Unsupported Browser
The American College of Surgeons website is not compatible with Internet Explorer 11, IE 11. For the best experience please update your browser.
Menu
Become a member and receive career-enhancing benefits

Our top priority is providing value to members. Your Member Services team is here to ensure you maximize your ACS member benefits, participate in College activities, and engage with your ACS colleagues. It's all here.

Become a Member
Become a member and receive career-enhancing benefits

Our top priority is providing value to members. Your Member Services team is here to ensure you maximize your ACS member benefits, participate in College activities, and engage with your ACS colleagues. It's all here.

Become a Member
ACS
ACS Case Reviews

Pilomatricoma—Not Just a Pediatric Problem

May 5, 2025

Abstract

Background

Pilomatricoma (PMC), also known as calcifying epithelioma of Malherbe, is an uncommon benign skin tumor originating from the hair follicle. It most frequently presents in pediatric patients as a firm, subcutaneous nodule located on the head or neck. While some evidence suggests a secondary incidence peak in older patients (mean age 57.5 years), the prevalence in middle-aged adults remains unclear. PMCs often present with nonspecific features, mimicking various benign and malignant entities, leading to low diagnostic accuracy. This report presents a rare case of PMC in an otherwise healthy 48-year-old male.

Summary

A 48-year-old male developed a single, asymptomatic, firm mass in the left posterior triangle of his neck over approximately one to two months. Due to the suspicious nature of the mass, the patient underwent surgical excision under monitored anesthesia care. Intraoperatively, the mass was found to be surprisingly vascularized during circumferential dissection. Following complete resection, the mass was sent for pathological examination. Pathologic analysis confirmed findings consistent with PMC.

Conclusion

New-onset PMC in a middle-aged man is a rare occurrence, sharing a nonspecific presentation with numerous benign and malignant conditions. Definitive diagnosis currently requires surgical excision and histopathologic analysis. PMC should remain in the differential diagnosis for any surgeon evaluating a suspicious head and neck mass.

Key Words

pilomatricoma; surgical biopsy; excision; neck mass


Case Description

A 48-year-old male was referred to our tertiary care hospital’s outpatient general surgery service by his primary care physician for evaluation of a suspicious, discrete mass on the posterior aspect of his neck. The patient was uncertain about the mass’s duration but reported that it had been present for approximately one month, during which it had increased in size and exhibited mobility.

The patient had experienced a mild, symptomatic COVID-19 infection one month prior to noticing the mass. However, at the time of presentation, he was asymptomatic and reported good overall health. His past medical history included smoking cessation 14 years ago (20-pack-year history), low testosterone, chronic daily headaches, gastroesophageal reflux disease, and surgical procedures for a quadriceps tendon repair (2019) and biceps tendon repair (2021).

Physical examination revealed a supple, non-tender neck with a single, mobile mass (1.5 × 1.0 cm) in the left posterior triangle of the neck (Figure 1). The mass lacked overlying erythema or punctum, and no other palpable masses were detected in the neck. No salivary glands nor thyroid abnormalities were appreciated.

Figure 1. Anatomy of the Left Posterior Triangle of the Neck. Published with Permission

Schematic representation of the left posterior triangle of the neck (X indicates the palpable neck lesion). (Reprinted from Wikimedia Commons, 1918.)
Schematic representation of the left posterior triangle of the neck (X indicates the palpable neck lesion). (Reprinted from Wikimedia Commons, 1918.)

Given the location of the mass, the absence of enlarged lymph nodes elsewhere in the neck, and the lack of constitutional B symptoms (fever, night sweats, weight loss), the initial suspicion was a potentially reactive lymph node. However, due to the mass persisting for over a month, the patient opted for excisional biopsy to rule out malignancy definitively. Preoperative ultrasound imaging was discussed as an option but deferred in favor of proceeding directly to surgical excision, given the increased likelihood of definitive diagnosis via histopathologic examination.

The patient underwent surgery in the operating room under monitored anesthesia care. The mass was located in the left posterior triangle of the neck. Following local anesthetic infiltration, a 15-blade scalpel was used to create a skin incision, which was deepened through the subcutaneous tissue until the mass was visualized. Circumferential dissection of the mass was performed using tenotomy scissors, during which a small vascular bundle supplying the mass was clipped and sharply transected. The mass (Figure 2) was then resected in its entirety and sent to pathology for permanent section evaluation.

Figure 2. Gross Pathology Specimen. Published with Permission

Gross specimen following excision, measuring 1.4 × 0.7 × 0.7 cm
Gross specimen following excision, measuring 1.4 × 0.7 × 0.7 cm

The patient tolerated the surgical procedure well without any perioperative complications. Pathologic examination revealed a formalin-fixed, 1.4 × 0.7 × 0.7 cm tan-red mass with a red-to-white, gritty cut surface. Histopathologic analysis demonstrated two distinct cell types: a basophilic cell type with mitotic figures and indistinct cell borders, and an eosinophilic cell type lacking nuclei and exhibiting more distinct borders. Additionally, multinucleated giant cells were noted within the surrounding tissue (Figure 3).

Figure 3. Histopathology of Excised Specimen (H&E Stain). Published with Permission

A.

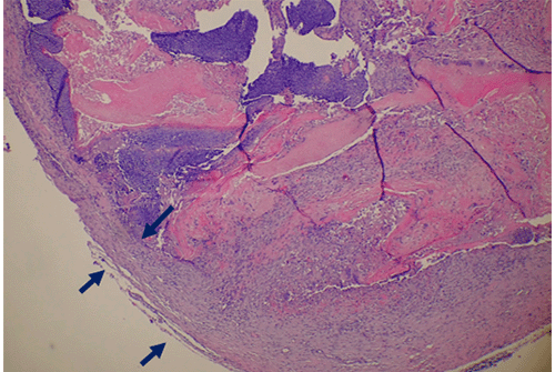
(A) Low-power magnification reveals a lobular, partially cystic lesion with a thick, fibrous capsule (dark blue arrows)
(A) Low-power magnification reveals a lobular, partially cystic lesion with a thick, fibrous capsule (dark blue arrows)

B.

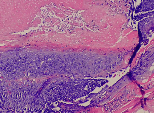
(B) Higher magnification shows an island of epithelial cells with basophilic cytoplasm transitioning into shadow/ghost cells in the central region of the tumor
(B) Higher magnification shows an island of epithelial cells with basophilic cytoplasm transitioning into shadow/ghost cells in the central region of the tumor

C.

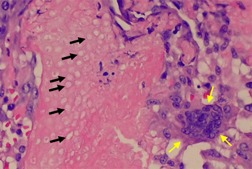
(C) This panel highlights a multinucleated histiocytic giant cell (yellow arrows) surrounding eosinophilic shadow/ghost cells (black arrows)
(C) This panel highlights a multinucleated histiocytic giant cell (yellow arrows) surrounding eosinophilic shadow/ghost cells (black arrows)

D.

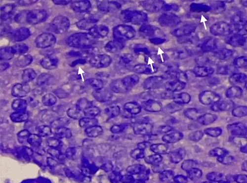
(D) High-power magnification reveals brisk mitotic figures (white arrows) within the basaloid cells
(D) High-power magnification reveals brisk mitotic figures (white arrows) within the basaloid cells

Discussion

Pilomatricoma (PMC), also referred to in the literature as “pilomatrixoma” and “calcifying epithelioma of Malherbe,” is an uncommon benign skin tumor originating from hair follicle matrix cells, first described by Malherbe and Chenantais in the 1880s.1‒3 These tumors have a well-documented predilection for the pediatric population,2‒5 with multiple studies reporting that up to 90% of PMC cases occur in patients younger than ten years old.6,7 While some evidence suggests a possible bimodal age distribution with a smaller secondary peak in patients around 57.5 years old,6,8,9 a more recent 2018 literature review contradicted this theory.1 Further evidence is needed to elucidate the distribution of PMC in middle-aged and older adults.

Although data on PMC prevalence in middle age are sparse, existing literature suggests this age group is more susceptible to malignant transformation of PMC into pilomatrix carcinoma.10 The exact rate of this transformation remains unknown, but it should be suspected in patients with focal PMC recurrences.11 Diagnosis, differentiation, and treatment of both PMC and pilomatrix carcinoma rely on complete surgical excision. However, no consensus exists on the optimal surgical margin size for either tumor type.13

Classic presentation of pilomatricoma in children involves a firm, painless nodule under the skin, often with discoloration of the overlying skin. Reported skin color variations include pearly white10 or reddish-blue,2,8,12 and may also be loculated.12 These tumors tend to be more common on the head, neck, and upper extremities compared to the lower extremities.2,3,5,10,12 Clinical signs include the “tent sign,” where stretching of the overlying skin causes a firm, angulated shape,13 and the “teeter-totter sign,” where palpation of one edge causes the opposing edge to protrude upward.14 However, neither is pathognomonic for PMC.

Histopathological hallmarks of PMC include islands of epithelial cells made up of basophilic cells, a transformation zone to eosinophilic shadow or “ghost” cells, and calcification.7,9,10,12 Additionally, studies have indicated that PMC tumors are often encapsulated in a thick layer of fibrous tissue.16,17 All of these histological markers except calcification were noted in our patient’s tumor (Figure 3).

The morphological progression of PMC is theorized to occur in stages. The first (“early”) stage is characterized by a small, cystic tumor. This progresses to the “fully developed” stage, with a larger, more cystic tumor and basophilic cells at the periphery. The “early regressive” stage is marked by islands of basophilic cells, shadow/ghost cells, and multinucleated giant cells. The final (“late regressive”) stage is characterized by a lack of basophilic and giant cells with calcification and ossification.18 Based on the histopathological findings, our patient’s PMC appears to have been in the “early regressive stage” at the time of diagnosis.

While definitive diagnosis hinges on surgical excision and histopathologic examination, soft-tissue ultrasound (US) has emerged as a preoperative imaging modality that may help support clinical suspicion,13 with accuracy rates ranging between 25% to 28%.10Ultrasound findings associated with PMC include a well-defined, hypoechogenic mass with thinning of the overlying dermis and a posterior acoustic shadow along the dermal-subcutaneous junction.1,4,5 When PMC is clinically suspected, the use of US can significantly improve diagnostic accuracy, from 33% to 76%.4 In very rare cases, computed tomography and magnetic resonance imaging modalities have been used, but their value in diagnosing PMC remains inconclusive.1

The effectiveness of fine-needle aspiration (FNA) in diagnosing PMC has also been explored but is not favored due to low accuracy rates. Studies report that up to 40% of confirmed PMC cases fail to show the classic histological features in FNA samples.4 Therefore, surgical excision remains the gold standard for definitive diagnosis and treatment of PMC.1

Given the nonspecific nature of this tumor’s presentation, it is exceedingly difficult to identify solely based on physical examination findings, leading to low preoperative diagnosis rates, typicallyranging from  0% to 30%.8 The differential diagnoses for PMC include a wide array of benign lesions (e.g., reactive lymph nodes, keratoacanthoma, cysts, ossifying hematoma, foreign body granuloma, giant cell tumor, fibroxanthoma, and osteoma cutis) and malignant lesions (e.g., squamous cell carcinoma, basal cell carcinoma, melanoma, and metastatic disease).7,8,13

This ambiguity in presentation, coupled with the potential of a malignant lesion, makes PMC an important differential diagnosis to consider for any suspicious head and neck mass evaluated by a general surgeon. While PMC should be considered with higher suspicion in pediatric patients, it can also occur, albeit rarely, in middle-aged adults. This report presents a fascinating and uncommon case of a middle-aged man with a suspicious neck mass ultimately diagnosed as an incidental PMC.

Conclusion

PMC is a benign tumor typically presenting in the head and neck region of pediatric patients but may also present to a smaller degree in older individuals. Rarely has it been reported in middle-aged patients, as highlighted here. Surgeons evaluating suspicious head and neck masses in adults should include PMC on their differential diagnosis list. Excisional biopsy remains the gold standard for definitive diagnosis and curative treatment, as clinical suspicion and preoperative imaging are unreliable, and malignant transformation is a possibility.

Lessons Learned

This unique case underscores the need for further research on the epidemiology of PMC across different age groups. Prior studies on PMC have primarily focused on pediatric populations, given its typical presentation in children. This case highlights the potential for PMC to occur in middle-aged adults, suggesting the need for additional studies to understand better:

  • The true incidence of PMC throughout the lifespan.
  • The risk factors associated with developing PMC later in life.
  • The rate of transformation of PMC into pilomatrix carcinoma.

Authors

Olia Ka,b; Hancock Ha

Author Affiliations

  1. Surgical Critical Care & Trauma Surgery, Eastern Maine Medical Center, Bangor, ME 04401
  2. Department of Medicine, University of New England College of Osteopathic Medicine, Biddeford, ME 04005

Corresponding Author

Heather Hancock, MD
Surgical Critical Care & Trauma Surgery
Eastern Maine Medical Center
489 State Street
Bangor, ME 04401
Email: hhancock@northernlight.org

Disclosure Statement

The authors have no conflicts of interest to disclose.

Funding/Support

The authors have no relevant financial relationships or in-kind support to disclose.

Received: April 15, 2023
Revision received: June 29, 2023
Accepted: August 24, 2023

References

  1. Jones CD, Ho W, Robertson BF, Gunn E, Morley S. Pilomatrixoma: A Comprehensive Review of the Literature. Am J Dermatopathol. 2018;40(9):631-641. doi:10.1097/DAD.0000000000001118
  2. Pirouzmanesh A, Reinisch JF, Gonzalez-Gomez I, Smith EM, Meara JG. Pilomatrixoma: a review of 346 cases. Plast Reconstr Surg. 2003;112(7):1784-1789. doi:10.1097/01.PRS.0000091160.54278.64
  3. Yencha MW. Head and neck pilomatricoma in the pediatric age group: a retrospective study and literature review. Int J Pediatr Otorhinolaryngol. 2001;57(2):123-128. doi:10.1016/s0165-5876(00)00449-3
  4. Schwarz Y, Pitaro J, Waissbluth S, Daniel SJ. Review of pediatric head and neck pilomatrixoma. Int J Pediatr Otorhinolaryngol. 2016;85:148-153. doi:10.1016/j.ijporl.2016.03.026
  5. Hassan SF, Stephens E, Fallon SC, et al. Characterizing pilomatricomas in children: a single institution experience. J Pediatr Surg. 2013;48(7):1551-1556. doi:10.1016/j.jpedsurg.2012.08.007
  6. Le C, Bedocs PM. Calcifying Epithelioma of Malherbe. In: StatPearls. Treasure Island (FL): StatPearls Publishing; June 12, 2023.
  7. Han G, Kim AR, Song HJ, Oh CH, Jeon J. Updated view on epidemiology and clinical aspects of pilomatricoma in adults. Int J Dermatol. 2017;56(10):1032-1036. doi:10.1111/ijd.13732
  8. Lan MY, Lan MC, Ho CY, Li WY, Lin CZ. Pilomatricoma of the head and neck: a retrospective review of 179 cases. Arch Otolaryngol Head Neck Surg. 2003;129(12):1327-1330. doi:10.1001/archotol.129.12.1327
  9. Julian CG, Bowers PW. A clinical review of 209 pilomatricomas. J Am Acad Dermatol. 1998;39(2 Pt 1):191-195. doi:10.1016/s0190-9622(98)70073-8
  10. DeRosa DC, Lin-Hurtubise K. Pilomatricoma: an unusual dermatologic neoplasm. Hawaii J Med Public Health. 2012;71(10):282-286.
  11. Goufman DB, Murrell GL, Watkins DV. Pathology forum. Quiz case 2. Pilomatricoma (calcifying epithelioma of Malherbe). Arch Otolaryngol Head Neck Surg. 2001;127(2):218-220.
  12. Sung KY, Lee S, Jeong Y, Lee SY. Pseudocystic pilomatricoma: A new variant and review of the literature [published correction appears in Australas J Dermatol. 2022 May;63(2):282. doi: 10.1111/ajd.13749]. Australas J Dermatol. 2021;62(1):60-63. doi:10.1111/ajd.13402
  13. Hernández-Núñez A, Nájera Botello L, Romero Maté A, et al. Retrospective study of pilomatricoma: 261 tumors in 239 patients. Actas Dermosifiliogr. 2014;105(7):699-705. doi:10.1016/j.ad.2014.01.003
  14. Graham JL, Merwin CF. The tent sign of pilomatricoma. Cutis. 1978;22(5):577-580.
  15. Pant I, Joshi SC, Kaur G, Kumar G. Pilomatricoma as a diagnostic pitfall in clinical practice: report of two cases and review of literature. Indian J Dermatol. 2010;55(4):390-392. doi:10.4103/0019-5154.74566
  16. Cho S, Whang KK, Hahm JH. Pilomatricoma: a clinical and histopathologic study of 13 cases. Ann Dermatol. 2000;12:179-184.
  17. Peterson Wc Jr, Hult Am. Calcifying epithelioma of Malherbe. Arch Dermatol. 1964;90:404-410. doi:10.1001/archderm.1964.01600040032006
  18. Kaddu S, Soyer HP, Hödl S, Kerl H. Morphological stages of pilomatricoma. Am J Dermatopathol. 1996;18(4):333-338. doi:10.1097/00000372-199608000-00001