Unsupported Browser
The American College of Surgeons website is not compatible with Internet Explorer 11, IE 11. For the best experience please update your browser.
Menu
Become a member and receive career-enhancing benefits

Our top priority is providing value to members. Your Member Services team is here to ensure you maximize your ACS member benefits, participate in College activities, and engage with your ACS colleagues. It's all here.

Become a Member
Become a member and receive career-enhancing benefits

Our top priority is providing value to members. Your Member Services team is here to ensure you maximize your ACS member benefits, participate in College activities, and engage with your ACS colleagues. It's all here.

Become a Member
ACS
ACS Case Reviews

Negative Imaging Study in Pediatric Penetrating Abdominal Trauma

May 5, 2025

Abstract

Background

A 4-year-old child presented to the emergency department with penetrating abdominal trauma secondary to a BB gun.

Summary

The patient, a 4-year-old child, arrived at the emergency department after sustaining penetrating abdominal trauma from a BB gun. Although the primary survey using Advanced Trauma Life Support (ATLS) standards revealed normal vital signs, a secondary survey identified a 5 × 5 mm ballistic injury in the left lower abdominal quadrant.

Due to hemodynamic stability and nonperitonitic abdominal exam significant only for localized tenderness associated with the injury site, the patient was transported to CT scan for further characterization of the injury complex. CT of the abdomen and pelvis showed a retained 9 mm pellet in the left psoas muscle but was negative for acute intra-abdominal or pelvic pathology.

Based solely on the bullet trajectory suggested by the CT scan, the decision was made to proceed with exploratory laparotomy. Intraoperatively, five small bowel enterotomies were identified within a 12 cm segment of small bowel. The entire affected segment was resected, followed by primary anastomosis and closure of the abdomen. The patient tolerated the procedure well without complications and was discharged home on postoperative day 5.

Conclusion

Given that firearm-related injuries are now the leading cause of death in children after trauma, it is vital that clinicians maintain a high index of suspicion for the need for operative intervention in the setting of a benign physical exam, negative imaging, and hemodynamic stability.

Key Words

pediatric penetrating trauma; BB gun; laparotomy; small bowel injury; firearm

Abbreviations

PAT: penetrating abdominal trauma
MVC: motor vehicle collision
CDC: Centers for Disease Control and Prevention
POCUS: Point-of-Care Ultrasound
FAST: Focused Assessment with Sonography for Trauma
SNOM: selective nonoperative management
GSW: gunshot wound


Case Description

Penetrating abdominal trauma (PAT) is a growing concern in the United States, surpassing motor vehicle collisions (MVCs) as the leading cause of trauma-related deaths in children.1 It is critical that the surgeon appreciate the armamentarium of techniques available for diagnosing and managing PAT in children of all ages. This case report describes a 4-year-old child who sustained multiple small bowel enterotomies after a penetrating injury from a BB gun in lieu of negative findings for acute injury on index imaging studies.

A previously healthy 4-year-old child presented to an outside hospital after being shot in the abdomen with a BB gun. He arrived at our Level I Trauma Center approximately two hours following index insult. On evaluation, the primary survey was intact, and the secondary survey was significant for a 5 × 5 mm penetrating injury in the left lower quadrant of the abdomen. The child was hemodynamically stable and only experienced localized tenderness at the BB gun wound site.

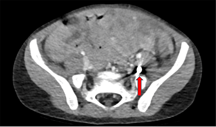
Given the patient’s stability and the localized nature of the injury, a CT scan was performed for further evaluation. Imaging studies were significant for retained foreign body lodged within the left psoas muscle (Figure 1). Additionally, the CT scan helped visualize the projectile’s trajectory from the anterior abdominal wall to the left psoas muscle. This trajectory confirmed a heightened suspicion for violation of the viscera. At this point, the decision was made to proceed with operative intervention due to the trajectory of the injury despite the absence of free air or free fluid in the radiographic interpretation.

Figure 1. Axial and Sagittal CT Abdomen & Pelvis. Published with Permission

A.

(A) Axial view view of CT abdomen and pelvis showing the retained 9mm ballistic fragment
(A) Axial view view of CT abdomen and pelvis showing the retained 9mm ballistic fragment

B.

(B) Sagittal view of CT abdomen and pelvis showing the retained 9mm ballistic fragment
(B) Sagittal view of CT abdomen and pelvis showing the retained 9mm ballistic fragment

On induction of general anesthesia, the patient experienced acute decompensation secondary to oxygen desaturation. A chest X-ray was promptly obtained, confirming satisfactory position of the endotracheal tube but atelectasis of the bilateral lower lobes. The patient quickly recovered with recruitment efforts by anesthesiology. The case then proceeded with exploratory laparotomy.

Preoperative antibiotic prophylaxis was provided with 15 mg/kg ertapenem, and a lower midline incision was made. Upon entrance to the abdomen, there was a small amount of hemoperitoneum. Exploration was notable for five small bowel enterotomies and an associated mesenteric defect. These enterotomies existed within a 12 cm segment of the small bowel, which was resected using a GIA 55 stapler with blue loads at the proximal and distal points of the injury. A side-to-side, functional end-to-end stapled small bowel anastomosis was performed. An appendectomy was subsequently performed in continuity with the operation. Incidental appendectomy was performed at the surgeon’s discretion due to the delayed presentation of the injury, multiple enterotomies, spillage of small bowel contents, risk of dense abdominal adhesions, and increased incidence of acute appendicitis in patients of this age. The abdomen was then primarily closed.

An uneventful hospital course followed the operation with extubation to nasal cannula on postoperative day 1, resumption of oral intake on postoperative day 3, and discharge home with family on postoperative day 5. There were no acute complications during the hospital stay. A follow-up clinic visit two weeks after discharge revealed a well-healing incision and no reported pain, changes in appetite, or limitations in activity, as described by the patient’s mother.

Discussion

A recent report by the Centers for Disease Control and Prevention (CDC) revealed a concerning trend: firearm injuries are now the leading cause of death in pediatric trauma patients, surpassing motor vehicle collisions (MVCs) for the first time.1 Firearm-related mortality increased at a rate of 13.5% from 2019 to 2020, coinciding with the COVID-19 pandemic.1 In light of the evidence-based consensus that encourages global reduction of operation and imaging in pediatric patients, this case review emphasizes that the evolving trauma landscape calls for revision or establishment of new algorithms to minimize the risk of missed injury in this vulnerable patient population.

The management of severely injured pediatric trauma patients often presents a clinical challenge. Effective communication can be hindered by age, language barriers, developmental stage, and concerns regarding nonaccidental trauma. Pediatric patients are further distinct in terms of anatomy and physiology than adults. Penetrating abdominal trauma (PAT) in this population frequently results in associated visceral injury due to the relatively large surface area of the liver and spleen, coupled with less protection from the lower rib cage and less developed abdominal musculature.2,3 This underscores the importance of maintaining a high index of suspicion for both solid organ and hollow viscus injuries in pediatric trauma patients.

The approach to diagnosis and workup following pediatric PAT is largely guided by the patient’s hemodynamic stability and whether imaging studies confirm a benign injury complex. Unfortunately, there is a paucity of literature evaluating diagnostic techniques for pediatric PAT assessment.

While immediate anteroposterior and lateral abdominal radiographs are useful for determining injury trajectory and identifying retained ballistics, most studies have focused on blunt abdominal trauma and exploring modalities such as contrast-enhanced ultrasound, point-of-care ultrasound (POCUS), focused assessment with sonography for trauma (FAST), and multivariable clinical prediction tools.4‒6

With nonoperative management of penetrating injuries under investigation, exploring alternative imaging modalities beyond clinical examination and CT scans is warranted, as CT may miss diaphragmatic and hollow viscus injuries. This case specifically illustrates this point, as a CT scan was performed instead of plain radiographs to limit radiation exposure in a hemodynamically stable, asymptomatic pediatric patient with normal laboratory markers. A critical bowel injury was missed. Because physiologic compensation may mask devastating injuries, it is critical to acknowledge that sole reliance on diagnostic data, without considering the full clinical picture, carries a significant risk of missed injuries and catastrophic outcomes.

Following PAT, the choice of therapeutic intervention hinges on various factors. Traditionally, the options have included nonoperative management with serial abdominal exams, local wound exploration, laparoscopy, or laparotomy.

Current trends suggest a potential role for selective nonoperative management (SNOM) in hemodynamically stable children after careful clinical exam and concordant imaging.7 Triple-contrast abdominal CT may exclude peritoneal violation and avoid nontherapeutic operation.7

However, further investigation is warranted as other groups suggest that a gunshot wound (GSW) is a contraindication to nonoperative management.8 It should be emphasized that SNOM may result in delayed diagnosis of a hollow viscus injury, leading to unnecessary morbidity and potential mortality.9

Penetrating injuries from a BB pellet may be underestimated by healthcare providers, given the perception of BB guns as toys due to their marketing and relaxed state regulations compared to firearms. For instance, in Florida, children under 16 can operate a BB gun under the supervision of a parent.10 This pretense may provide a false sense of security to both parents and providers, potentially leading to inadequate evaluation and treatment.

Despite their toy-like image, BB guns can inflict serious injuries. The U.S. Consumer Product Safety Commission reports that BB guns are responsible for an average of four fatalities annually, and their muzzle velocities can exceed 350 feet per second, posing a significant risk.11 In addition to the case presented here, reports of penetrating cerebral, cardiac, and aortic injuries secondary to BB guns have also been reported in the literature.12‒14 Therefore, patients presenting with BB gun wounds should be treated with the same level of urgency and caution as those with high-velocity firearm injuries.

Perioperative decision-making following pediatric PAT is guided by surgeon preference, as no evidence-based algorithms currently exist. Studies indicate significant variation in the management of hemodynamically stable children with suspected hollow viscus injury, with 39.1% of surgeons choosing observation, 29.5% local wound exploration, and 31.5% laparoscopy in a case-based (nonclinical) scenario.9 Conversely, one center solely utilizes laparotomy following pediatric PAT and noted a 9.1% mortality rate (3 of 33 patients).2 Mortality was attributed to presentation more than 12 hours after injury, enterocutaneous fistula, compartment syndrome, and sepsis.2

Current guidelines recommend surgery for PAT patients who present with hemodynamic instability or suspected hollow viscus injury. However, clinical examination may be unreliable in the pediatric patient. Further confounding the presentation, our patient presented with a hemodynamically stable child without peritoneal signs, fever, or leukocytosis approximately two hours after the index injury. We believe this case highlights the critical need to re-evaluate existing guidelines and develop standardized algorithms to minimize the rate of missed injuries. Such efforts will significantly improve morbidity and mortality after trauma in this vulnerable population.

Conclusion

Given the lack of evidence-based algorithms for managing pediatric abdominal trauma following PAT and the increasing incidence of such injuries, it is crucial that surgeons are familiar with the available diagnostic and therapeutic modalities. This case review emphasizes the need for the timely development of standardized protocols for evaluating pediatric patients with penetrating abdominal trauma.

Lessons Learned

In managing all trauma patients, a cautious approach to nonoperative management of abdominal injuries is warranted. A high index of suspicion for injury to hollow organs and a low threshold for surgical intervention should be maintained throughout the post-injury course, even in asymptomatic patients. Hemodynamic stability does not preclude catastrophic abdominal injuries, as pediatric patients, in particular, may possess a physiologic reserve that masks immediate decompensation.

In this case, obtaining plain radiographs to identify a retained projectile could have potentially avoided an inconclusive CT scan. Currently, no standardized management algorithms exist for pediatric PAT. The rising incidence of pediatric penetrating abdominal trauma, now surpassing motor vehicle accidents as the leading cause of fatal pediatric trauma, underscores the critical need for physicians to be aware of the broad spectrum of clinical presentations and injury patterns. This case review highlights the diagnostic and management strategies utilized in this instance to minimize the risk of missed injury and optimize outcomes in these complex cases.

Authors

Ng Ga,b; Carlin MNa,c

Author Affiliations

  1. Department of Surgery, Texas Tech University Health Sciences Center El Paso, El Paso, TX 79905
  2. Department of Surgery, Baylor Scott & White, Temple, TX 76508
  3. Trauma Department, ChristianaCare, Newark, DE 19718

Corresponding Author

Margo N. Carlin, DO
ChristianaCare Trauma Department
4755 Ogletown-Stanton Road
Ste. 1320
Newark, DE 19718
Email: margoca@pcom.edu

Disclosure Statement

The authors have no conflicts of interest to disclose.

Funding/Support

The authors have no relevant financial relationships or in-kind support to disclose.

Received: June 15, 2023
Revision received: January 16, 2024
Accepted: April 4, 2024

References

  1. Goldstick JE, Cunningham RM, Carter PM. Current Causes of Death in Children and Adolescents in the United States. N Engl J Med. 2022;386(20):1955-1956. doi:10.1056/NEJMc2201761
  2. Wabada S, Abubakar AM, Chinda JY, Adamu S, Bwala KJ. Penetrating abdominal injuries in children. Ann Pediatr Surg. 2018;14(1):8-12.
  3. Williams RF, Grewal H, Jamshidi R, et al. Updated APSA Guidelines for the Management of Blunt Liver and Spleen Injuries. J Pediatr Surg. 2023;58(8):1411-1418. doi:10.1016/j.jpedsurg.2023.03.012
  4. Trinci M, Piccolo CL, Ferrari R, Galluzzo M, Ianniello S, Miele V. Contrast-enhanced ultrasound (CEUS) in pediatric blunt abdominal trauma. J Ultrasound. 2019;22(1):27-40. doi:10.1007/s40477-018-0346-x
  5. Liang T, Roseman E, Gao M, Sinert R. The Utility of the Focused Assessment With Sonography in Trauma Examination in Pediatric Blunt Abdominal Trauma: A Systematic Review and Meta-Analysis. Pediatr Emerg Care. 2021;37(2):108-118. doi:10.1097/PEC.0000000000001755
  6. Arbra CA, Vogel AM, Plumblee L, et al. External validation of a five-variable clinical prediction rule for identifying children at very low risk for intra-abdominal injury after blunt abdominal trauma. J Trauma Acute Care Surg. 2018;85(1):71-77. doi:10.1097/TA.0000000000001933
  7. Tran S, Kabre R. Selective Nonoperative Management of Pediatric Penetrating Abdominal Trauma. Clinical Pediatric Emergency Medicine. 2014;15(3):219-222. doi:10.1016/j.cpem.2014.07.004.
  8. Sakamoto R, Matsushima K, de Roulet A, et al. Nonoperative management of penetrating abdominal solid organ injuries in children. J Surg Res. 2018;228:188-193. doi:10.1016/j.jss.2018.03.034
  9. Butler EK, Groner JI, Vavilala MS, Bulger EM, Rivara FP. Surgeon choice in management of pediatric abdominal trauma. J Pediatr Surg. 2021;56(1):146-152. doi:10.1016/j.jpedsurg.2020.09.023
  10. The Florida Legislature. Title XLVI Crimes. Chapter 790: Weapons and Firearms. Accessed January 16, 2024. http://www.leg.state.fl.us/statutes/index.cfm?App_mode=Display_Statute&URL=0700-0799/0790/Sections/0790.22.html
  11. U.S. Consumer Product Safety Commission. BB Guns Can Kill. Publication 5089. Accessed January 16, 2024. https://www.cpsc.gov/s3fs-public/5089.pdf
  12. Kumar R, Kumar R, Mallory GW, et al. Penetrating head injuries in children due to BB and pellet guns: a poorly recognized public health risk. J Neurosurg Pediatr. 2016;17(2):215-221. doi:10.3171/2015.6.PEDS15148
  13. Jackson CC, Munyikwa M, Bacha EA, Statter MB, Starr JP. Cardiac BB gun injury with missile embolus to the lung. J Trauma. 2007;63(4):E100-E104. doi:10.1097/TA.0b013e3181469ea7
  14. Sunderland M, Lafranchise E, Durrant A. Pediatric Aortic Injury From a BB Gun Injury Requiring Emergent Thoracotomy. Am Surg. 2023;89(4):1138-1140. doi:10.1177/0003134820971575