Unsupported Browser
The American College of Surgeons website is not compatible with Internet Explorer 11, IE 11. For the best experience please update your browser.
Menu
Become a member and receive career-enhancing benefits

Our top priority is providing value to members. Your Member Services team is here to ensure you maximize your ACS member benefits, participate in College activities, and engage with your ACS colleagues. It's all here.

Become a Member
Become a member and receive career-enhancing benefits

Our top priority is providing value to members. Your Member Services team is here to ensure you maximize your ACS member benefits, participate in College activities, and engage with your ACS colleagues. It's all here.

Become a Member
ACS
ACS Case Reviews

An Interesting Presentation of Bouveret Syndrome: Tumbling Phenomenon and Possible Genetic Component

May 5, 2025

Abstract

Background

Gallstone ileus, a rare complication of cholelithiasis, occurs when a gallstone migrates from the gallbladder and causes obstruction within the small intestine. This typically happens due to a biliary-enteric fistula. In some cases, the gallstone may lodge in the stomach or duodenum, causing gastric outlet obstruction. This specific scenario is known as Bouveret syndrome.

Summary

This report describes an unusual case of gallstone ileus in a 74-year-old woman with no prior gallbladder issues but a positive family history for the condition. The patient presented to the emergency department with symptoms suggestive of small bowel obstruction, including abdominal pain, nausea, and vomiting. A CT scan revealed a 2 cm radiopaque object within the duodenum, consistent with a gallstone, along with moderate stomach dilation. Endoscopy confirmed the presence of the gallstone in the duodenum. However, during the subsequent enterolithotomy, the gallstone was surprisingly found impacted within the jejunum. Ultimately, the patient tolerated the surgery well and recovered without complications.

Conclusion

This case presentation holds significance for several reasons. Both gallstone ileus and Bouveret syndrome are rare complications associated with gallstones. Additionally, this case highlights the “tumbling phenomenon” and demonstrates how gallstone ileus can initially present as Bouveret syndrome and subsequently evolve into a jejunal impaction. Lastly, this case raises the possibility of a genetic predisposition to gallstone ileus, considering the patient’s family history.

Key Words

gallstone ileus; Bouveret syndrome; intestinal obstruction; bowel obstruction; enterolithotomy


Case Description

A 74-year-old white female presented to the emergency department with a 36-hour history of nausea, vomiting, and severe epigastric abdominal pain. She had no significant medical history but reported gradually worsening burning epigastric pain over the preceding two weeks. Her primary care physician trialed her on 40 mg of omeprazole for the aforementioned symptoms, but it provided no relief. Liver function tests were mildly abnormal (bilirubin 1.5 mg/dL, alkaline phosphatase 376 U/L, alanine aminotransferase 88 U/L, aspartate aminotransferase 38 U/L) and an elevated white blood cell count (16.8 × 109/L).

A computed tomography (CT) scan demonstrated a 2 cm rounded, radiopaque structure within the second portion of the duodenum, obstructing the outflow of stomach contents. The stomach appeared moderately dilated. The gallbladder was not clearly visualized, suggesting inflammation with erosion into the duodenum, stomach, or hepatic flexure. The majority of gallstone impaction sites are in the ileum related to the smaller diameter of the distal small bowel. Mild intrahepatic biliary ductal dilation, most significant in the left hepatic lobe, was observed (Figures 1 and 2).

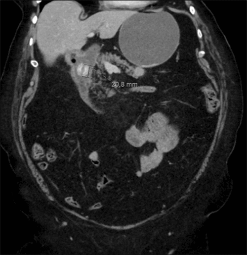
Figure 1. Coronal CT Imaging of Gallstone Ileus. Published with Permission

Coronal CT image demonstrating a gallstone within a small bowel loop in the right upper quadrant, with no evidence of distal small bowel dilation
Coronal CT image demonstrating a gallstone within a small bowel loop in the right upper quadrant, with no evidence of distal small bowel dilation

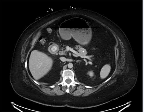
Figure 2. Axial CT Imaging of Gallstone Ileus. Published with Permission

Axial CT image demonstrating a gallstone within a small bowel loop in the right upper quadrant
Axial CT image demonstrating a gallstone within a small bowel loop in the right upper quadrant

Given the absence of prior gallbladder resection and the constellation of findings, concern for Bouveret syndrome—a rare complication where a gallstone migrates from the gallbladder and becomes lodged in the duodenum, causing obstruction—was raised. The patient was admitted for further management. Initial interventions included fluid resuscitation, nil per os (NPO), placement of a nasogastric tube for decompression, and appropriate analgesia and anti-nausea medications. A Foley catheter was placed to monitor urine output.

The gastroenterology team attempted esophagogastroduodenoscopy (EGD) to visualize the obstruction. However, the cholecystoduodenal fistula could not be visualized due to the size and immobility of the stone. Attempts to dislodge the stone or place a Roth net were unsuccessful.

Following consultation with general surgery for gastric outlet obstruction, possibly due to Bouveret syndrome, the patient consented to an exploratory laparotomy with potential bowel resection and open cholecystectomy. Surgical intervention proceeded within 24 hours. While no stone was initially palpable in the proximal small bowel, further exploration revealed a single palpable stone lodged within the jejunum. A 2 cm longitudinal enterotomy was created using electrocautery to access the stone, which was then successfully delivered from the bowel lumen (Figure 3). The enterotomy was closed in an interrupted fashion with 3-0 silk sutures. Additionally, a falciform flap was fashioned and positioned in the right upper quadrant near a visualized cholecystoduodenal fistula. The patient tolerated the procedure well, was extubated in the operating room, and taken to the postanesthesia care unit (PACU) in excellent condition. Her postoperative recovery was uneventful, and she was discharged home four days after the procedure.

Figure 3. Endoscopic Identification of Duodenal Gallstone. Published with Permission

Gallstone impacted within the second portion of the duodenum, as identified via upper endoscopy
Gallstone impacted within the second portion of the duodenum, as identified via upper endoscopy

Figure 4. Gallstone in the Jejunum. Published with Permission

A.

A) Endoscopic visualization of a gallstone within the proximal jejunum
A) Endoscopic visualization of a gallstone within the proximal jejunum

B.

B) Surgical retrieval of the gallstone via enterolithotomy.
B) Surgical retrieval of the gallstone via enterolithotomy.

Discussion

Gallstone ileus, though encountered very infrequently, represents a potential late complication of gallstones and a rare cause of intestinal obstruction, accounting for only 1% of such cases.1 Typically affecting elderly and female patients, gallstone ileus arises when a gallstone migrates from the gallbladder into the small intestine through a biliary-enteric fistula, most commonly formed between the gallbladder and duodenum.2 A high index of suspicion for gallstone ileus is crucial in patients with a known history of gallstones who present with bowel obstruction.

The mainstay of treatment involves mechanically removing the impacted gallstone(s) either through an open or laparoscopic approach.3 Enterolithotomy is the preferred surgical method due to its lower complication incidence.4 While abdominal X-ray and ultrasound are often the initial imaging studies for acute abdominal pain, they are not sensitive for diagnosing gallstone ileus. For definitive diagnosis and to identify alternative etiologies, CT is the imaging modality of choice for this disease.5 An even rarer complication of gallstone disease is Bouveret syndrome, where the gallstone lodges in the stomach or duodenum, causing gastric outlet obstruction. This presentation constitutes only 1-3% of gallstone ileus cases.6,7

The development of gallstone ileus typically follows a pattern of recurrent cholecystitis episodes. Chronic inflammation of the gallbladder can lead to fistula formation between the gallbladder and the gastrointestinal tract. This newly created passage allows a gallstone to migrate into the gastrointestinal (GI) tract, resulting in mechanical bowel obstruction. The gallstone may become impacted in various locations throughout the GI tract. A review by Reisner and Cohen analyzing 1001 cases of gallstone ileus revealed that only 3.5% of stones were lodged in the duodenum, while 16.1% were found in the jejunum. The most common location, however, was the ileum, accounting for 60.5% of cases.8

This case highlights a rare presentation of gallstone ileus. While initial imaging and endoscopic findings suggested Bouveret syndrome due to a gallstone impacted in the duodenum (causing stomach dilation), surgical exploration revealed the stone had migrated distally to the jejunum. This indicates the patient was experiencing a "tumbling" or "rolling" obstruction phenomenon, where the obstructing stone spontaneously migrates distally, causing recurring bowel obstruction.8

Previously described methods to assist stone migration from the duodenum to avoid technically challenging surgery include milking the stone proximally for removal via gastrotomy, distally into the jejunum, or using high-pressure water flushes to propel the stone into the jejunum.9,10 Furthermore, endoscopic lithotripsy to break up the gallstone in the duodenum and allow it to pass distally for later surgical retrieval has also been described.11 However, none of these interventions were necessary in this particular instance. Purposefully waiting for spontaneous stone passage from the duodenum to the distal GI tract before surgical intervention has not been described in the current literature.

Another noteworthy aspect is the patient’s familial history. Her daughter reportedly had gallstone ileus in 2020. While no documented cases of familial gallstone ileus exist in the current literature, this suggests a potential genetic predisposition. Typically, gallstone ileus is observed with a higher frequency in the elderly population12 (60-84 years old13). Additionally, existing data showcases a female predominance in gallstone disease and gallstone ileus, ranging from 72% to 90%.14,15 Consistent with this, a review of 128 cases by Cappell and Davis on Bouveret syndrome found the mean patient age of 74.1 ± 11.1 (SD) years (1–112) and a female-to-male sex ratio of 1.86.16 Further investigation will help illuminate this rare cause of small bowel obstruction.

Conclusion

This case presents an unusual instance of gallstone ileus characterized by Bouveret syndrome and subsequent spontaneous distal migration of the obstructing gallstone, a phenomenon known as “tumbling” or “rolling” obstruction. It also highlights the previously unreported familial occurrence of gallstone ileus, suggesting a potential role for genetic predisposition in this condition. This case underscores the variable presentation of gallstone ileus and the importance of considering this diagnosis in patients with small bowel obstruction, even in the absence of typical risk factors.

Lessons Learned

This case underscores several important lessons for clinicians. First, gallstone ileus can exhibit a dynamic obstructive pattern, as the obstructing gallstone may undergo spontaneous migration within the gastrointestinal tract. Second, while Bouveret syndrome is characterized by duodenal impaction, the obstructing stone can subsequently migrate distally, necessitating careful evaluation of the entire GI tract. Third, a familial history of gallstone ileus may suggest a genetic predisposition to this condition, warranting further investigation into potential heritable factors. Finally, although gallstone ileus is more common in elderly women, it should be considered in the differential diagnosis of small bowel obstruction in other patient populations.

Acknowledgment

The authors thank Dr. Syed Hasan (gastroenterologist) for performing the endoscopy and providing the endoscopic images presented in this report.

Authors

Chawla Ka; Rady Eb; Barber Mb; Bosaily Ab; Stengle Jc

Author Affiliations

  1. University of Toledo College of Medicine and Life Sciences, Toledo, OH 43614
  2. Department of Surgery, University of Toledo College of Medicine and Life Sciences, Toledo, OH 43614
  3. Department of Surgery, Promedica Healthcare System, Toledo, OH 43614

Corresponding Author

Karan Chawla, MD
University of Toledo College of Medicine
3000 Arlington Avenue
Toledo, OH 43606
Email: chawlakn@gmail.com

Disclosure Statement

The authors have no conflicts of interest to disclose.

Funding/Support

The authors have no relevant financial relationships or in-kind support to disclose.

Received: May 12, 2023
Revision received: December 9, 2023
Accepted: January 24, 2024

References

  1. Dai XZ, Li GQ, Zhang F, Wang XH, Zhang CY. Gallstone ileus: case report and literature review. World J Gastroenterol. 2013;19(33):5586-5589. doi:10.3748/wjg.v19.i33.5586
  2. Morosin T, De Robles MSB, Putnis S. Gallstone Ileus: An Unusual Cause of Intestinal Obstruction. Cureus. 2020;12(3):e7284. Published 2020 Mar 15. doi:10.7759/cureus.7284
  3. Jakubauskas M, Luksaite R, Sileikis A, Strupas K, Poskus T. Gallstone Ileus: Management and Clinical Outcomes. Medicina (Kaunas). 2019;55(9):598. Published 2019 Sep 17. doi:10.3390/medicina55090598
  4. Bakhshi GD, Chincholkar RG, Agarwal JR, Gupta MR, Gokhe PS, Nadkarni AR. Gallstone Ileus: Dilemma in the Management. Clin Pract. 2017;7(3):977. Published 2017 Aug 1. doi:10.4081/cp.2017.977
  5. Aldo C, Lorenzo M, Olgerta L, Alberto C, Licia U, Melchiore G. Rolling in the Deep: Imaging Findings and Diagnostic Pearls in Gallstone Ileus. Surg Res Pract. 2020;2020:1421753. Published 2020 Apr 24. doi:10.1155/2020/1421753
  6. Caldwell KM, Lee SJ, Leggett PL, Bajwa KS, Mehta SS, Shah SK. Bouveret syndrome: current management strategies. Clin Exp Gastroenterol. 2018;11:69-75. Published 2018 Feb 15. doi:10.2147/CEG.S132069
  7. Qasaimeh GR, Bakkar S, Jadallah K. Bouveret’s Syndrome: An Overlooked Diagnosis. A Case Report and Review of Literature. Int Surg. 2014;99(6):819-823. doi:10.9738/INTSURG-D-14-00087.1
  8. Reisner RM, Cohen JR. Gallstone ileus: a review of 1001 reported cases. Am Surg. 1994;60(6):441-446.
  9. Smith E, Zhao S, El Boghdady M, Sabato-Ceraldi S. Bouveret syndrome: A challenging case of impacted gallstone within the fourth part of the duodenum. Int J Surg Case Rep. 2022;94:107084. doi:10.1016/j.ijscr.2022.107084
  10. Mavroeidis VK, Matthioudakis DI, Economou NK, Karanikas ID. Bouveret syndrome-the rarest variant of gallstone ileus: a case report and literature review. Case Rep Surg. 2013;2013:839370. doi:10.1155/2013/839370
  11. Stein PH, Lee C, Sejpal DV. A Rock and a Hard Place: Successful Combined Endoscopic and Surgical Treatment of Bouveret’s Syndrome. Clin Gastroenterol Hepatol. 2015;13(13):A25-A26. doi:10.1016/j.cgh.2015.07.044
  12. Abou-Saif A, Al-Kawas FH. Complications of gallstone disease: Mirizzi syndrome, cholecystocholedochal fistula, and gallstone ileus. Am J Gastroenterol. 2002;97(2):249-254. doi:10.1111/j.1572-0241.2002.05451.x
  13. Halabi WJ, Kang CY, Ketana N, et al. Surgery for gallstone ileus: a nationwide comparison of trends and outcomes. Ann Surg. 2014;259(2):329-335. doi:10.1097/SLA.0b013e31827eefed
  14. Nakao A, Okamoto Y, Sunami M, Fujita T, Tsuji T. The oldest patient with gallstone ileus: report of a case and review of 176 cases in Japan. Kurume Med J. 2008;55(1-2):29-33. doi:10.2739/kurumemedj.55.29
  15. Warshaw AL, Bartlett MK. Choice of operation for gallstone intestinal obstruction. Ann Surg. 1966;164(6):1051-1055. doi:10.1097/00000658-196612000-00015
  16. Cappell MS, Davis M. Characterization of Bouveret’s syndrome: a comprehensive review of 128 cases. Am J Gastroenterol. 2006;101(9):2139-2146. doi:10.1111/j.1572-0241.2006.00645.x