Unsupported Browser
The American College of Surgeons website is not compatible with Internet Explorer 11, IE 11. For the best experience please update your browser.
Menu
Become a member and receive career-enhancing benefits

Our top priority is providing value to members. Your Member Services team is here to ensure you maximize your ACS member benefits, participate in College activities, and engage with your ACS colleagues. It's all here.

Become a Member
Become a member and receive career-enhancing benefits

Our top priority is providing value to members. Your Member Services team is here to ensure you maximize your ACS member benefits, participate in College activities, and engage with your ACS colleagues. It's all here.

Become a Member
ACS
ACS Case Reviews

Incidental Acute Appendicitis in the Setting of Ruptured Ectopic Pregnancy

May 5, 2025

Abstract

Background

A 30-year-old gravida 1, para 0 (G1P0) patient presented with acute abdominal pain. A subsequent evaluation revealed the unexpected co-occurrence of two distinct surgical emergencies: a ruptured ectopic pregnancy and acute appendicitis.

Summary

A 30-year-old G1P0 woman at seven weeks and three days gestation presented for her dating ultrasound and was found to have no intrauterine sac with a fluid collection in the left adnexa. Her human chorionic gonadotropin (hCG) level was 74 IU/L, which was slightly lower than a level of 81 IU/L measured two days prior. Given the free fluid in the pelvis and concern for an ectopic pregnancy, laparoscopic evaluation and management were recommended. However, the patient declined surgery and opted for methotrexate therapy.

Later that same day, she presented to the emergency room with acute onset of severe left lower quadrant abdominal pain and nausea. Vitals were stable, and laboratory results were unremarkable. Based on the clinical presentation, the emergency room physician suspected a ruptured ectopic pregnancy. A CT scan of the abdomen and pelvis was concerning for both acute appendicitis (inflamed and mildly dilated appendix) and a possible ruptured ectopic pregnancy (rim-enhancing fluid collection in the right hemipelvis). Both general surgery and obstetrics/gynecology teams were consulted for bedside evaluation.

A joint laparoscopic procedure was performed, with a left salpingectomy and appendectomy completed. The operative diagnosis corroborated the suspected etiology of her pain. Pathological examination of the surgical specimens revealed early acute mucosal appendicitis and the presence of ectopic products of conception within the left fallopian tube.

Conclusion

The concurrent presentation of two distinct etiologies of acute abdominal pain is a rare occurrence that should be considered in patients presenting with a complex clinical picture. While some case reports suggest a potential link between the inflammatory state of an ipsilateral ectopic pregnancy and appendicitis, reports on contralateral disease, as seen in this case, are even scarcer. While not completely defined, the correlation between methotrexate dosing and possible appendiceal changes reported in the literature is of interest in this presentation. The importance of a thorough intraoperative evaluation and, when needed, the concurrent assistance of additional surgical disciplines is evident.

Key Words

appendicitis; ectopic pregnancy


Case Description

Appendicitis is a primary diagnostic consideration in patients presenting with right lower quadrant pain. In pregnancy, ectopic pregnancy must also be considered. Surgical education typically emphasizes a focused, singular diagnosis. The concurrent presentation of two distinct indications for operative intervention is uncommon. This report describes a patient presenting with simultaneous ectopic pregnancy and appendicitis.

A 30-year-old female, gravida 1 para 0 (G1P0), reported a self-reported pregnancy loss at five weeks one day gestation. Subsequently, she had positive pregnancy tests a month later, with confirmatory β-human chorionic gonadotropin (β-hCG) levels of 59 and 81 IU/L (normal value: <5 IU/L) 48 hours apart. Due to the previous loss and concern for possible ectopic pregnancy, a transvaginal pelvic ultrasound was scheduled for dating. Ultrasound showed an empty uterus with the left adnexa measuring 3.6 × 5.0 cm with a moderate amount of fluid, concerning for possible ectopic pregnancy. The following day, the patient developed lower abdominal cramping, and the β-hCG level was reassessed at 74 IU/L. Given the large amount of pelvic free fluid, she was offered the choice between methotrexate administration and diagnostic laparoscopy. However, the patient declined surgery and opted for methotrexate therapy. She was clearly informed about the risks of ectopic pregnancy rupture and the need for immediate medical attention in case of worsening symptoms.

Later that same afternoon, the patient presented to the local emergency department with left lower quadrant abdominal pain and nausea. She denied fever, chills, or any other concerning symptoms. Vital signs were stable, with a heart rate in the 70s, blood pressure of 118/72 mm Hg, and afebrile temperature. Physical examination revealed a nondistended abdomen with pain elicited on mid-to-lower right lower quadrant pressure. The emergency room provider ordered a CT scan of the abdomen and pelvis. Hemoglobin was 12.8 g/dL (normal value: 11.6‒15 g/dL), and the white blood cell count was 7.1 × 109/L (normal value: 3.4‒9.6 × 109/L). The chemistry panel was unremarkable.

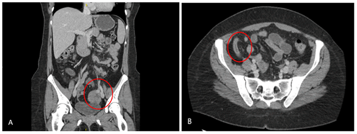
Workup in the emergency department with computed tomography imaging of the abdomen and pelvis (Figure 1) showed: (A) a heterogeneously enhancing high left adnexal mass without a separate left ovary identified; and (B) a dilated appendix demonstrating increased mucosal enhancement and adjacent fat stranding, consistent with acute appendicitis.

Figure 1. Abdominopelvic CT Scan. Published with Permission

(A) Heterogeneous enhancing mass in the left adnexal region. No separate left ovary is identified. (B) Dilated appendix with increased mucosal enhancement and surrounding fat stranding (suggestive of acute appendicitis)
(A) Heterogeneous enhancing mass in the left adnexal region. No separate left ovary is identified. (B) Dilated appendix with increased mucosal enhancement and surrounding fat stranding (suggestive of acute appendicitis)

Following consultation with general surgery, a joint laparoscopic exploration was performed by the obstetrics/gynecologist and general surgeon. Access was achieved via an infraumbilical port with additional suprapubic and left lower quadrant trocar placements. Intraoperative findings (Figure 2) included a dilated left fallopian tube with approximately 200 mL of blood clots and blood products in the pelvis as well as a thickened and dilated appendix and mesentery.

Figure 2. Intraoperative Findings. Published with Permission

(A) Dilated left fallopian tube containing approximately 200 mL of blood clots. Blood products are also visualized within the pelvis; (B) Thickened and dilated appendix with a thickened mesentery
(A) Dilated left fallopian tube containing approximately 200 mL of blood clots. Blood products are also visualized within the pelvis; (B) Thickened and dilated appendix with a thickened mesentery

The remainder of the patient’s abdominal survey was largely unremarkable. The surgical team proceeded with a left salpingectomy with appendectomy without complication. Surgical pathology of the appendiceal specimen (Figure 3) revealed early signs of acute mucosal inflammation, consistent with acute appendicitis. Microscopic features included intraluminal and lamina propria neutrophilic infiltrates, along with neutrophilic infiltrates within the crypt epithelium and lumina of the appendix.

Figure 3. Microscopic Findings of Appendicitis (H&E Stain). Published with Permission

(A) Appendix with intraluminal and lamina propria neutrophilic infiltrates (H&E), original magnification x10); and (B) appendiceal neutrophilic infiltrates within crypt epithelium and lumina (H&E, original magnification x20, indicated by arrows)
(A) Appendix with intraluminal and lamina propria neutrophilic infiltrates (H&E), original magnification x10); and (B) appendiceal neutrophilic infiltrates within crypt epithelium and lumina (H&E, original magnification x20, indicated by arrows)

Histologic evaluation of the fallopian tube (Figure 4) confirmed the suspected ectopic tubal pregnancy. The tissue demonstrated chorionic villi within hemorrhagic debris, along with the presence of chorionic villi and syncytiotrophoblast.

Figure 4. Histopathological Examination of Fallopian Tube (H&E Stain). Published with Permission

(A) Chorionic villi within hemorrhagic debris of the fallopian tube, diagnostic of ectopic tubal pregnancy (H&E, original magnification x4); (B) chorionic villus and syncytiotrophoblast (arrow) (H&E, original magnification x20); and (C) chorionic villus within hemorrhagic debris (H&E, original magnification x20).
(A) Chorionic villi within hemorrhagic debris of the fallopian tube, diagnostic of ectopic tubal pregnancy (H&E, original magnification x4); (B) chorionic villus and syncytiotrophoblast (arrow) (H&E, original magnification x20); and (C) chorionic villus within hemorrhagic debris (H&E, original magnification x20).

Discussion

Abdominal pain is a frequent presenting complaint in emergency departments, accounting for nearly a third of all visits in the United States per year between 1999 and 2008.1 While a single diagnosis is often sought, this case exemplifies the importance of maintaining a broad differential diagnosis and considering additional potential causes even when a clear culprit seems evident. In the setting of abdominal pain, common presenting symptoms like amenorrhea or vaginal bleeding can significantly increase the suspicion for ectopic pregnancy. However, when a patient presents with acute right lower quadrant pain, it is crucial to rule out other more frequent etiologies, such as acute appendicitis.

Acute appendicitis is the most common non-obstetrical surgical emergency encountered during pregnancy, with an incidence ranging from 1 in 776 to 1 in 3000 pregnancies.1,2 It is crucial to include appendicitis in the differential diagnosis for women presenting with acute abdominal pain during pregnancy.

While previous literature suggests that right-sided ectopic pregnancy may induce an inflammatory response triggering periappendiceal inflammation and acute appendicitis,2,3 our patient’s pathology was notable for a contralateral, left-sided ectopic presentation. Published case reports on concurrent ectopic pregnancy and appendicitis also show a predominance of right tubal ectopic pregnancies (75%) compared to left-sided presentations (16%),2 emphasizing the rarity of this setting.

Documented cases of concurrent ectopic pregnancy and appendicitis are scarce, with estimates suggesting less than 29 total cases reported since the 1960s.1,2,4‒8 Interestingly, nearly a third of these cases involved patients who had undergone either in vitro fertilization (IVF) or reproductive hormone therapy, both of which are known risk factors for ectopic pregnancy.1 Another factor noted in some case reports is the prior administration of methotrexate, a medication used for non-surgical management of ectopic pregnancy. In a large case series examining 257 patients who underwent incidental appendectomy alongside total laparoscopic hysterectomy, only 52% had a normal appendix upon pathological evaluation. Fibrous obliteration was identified in 38% of cases, and chronic appendicitis was present in 1.1%.9 Methotrexate, an immunosuppressive medication, may contribute to the development of suppurative appendicitis, similar to the phenomenon observed in pediatric patients receiving chemotherapy.10

Ultimately, physicians must be willing to consider a multiple etiology diagnosis in the setting of abdominal pain, thereby challenging the law of parsimony: one should select the solution with the fewest assumptions, as this is most likely to be the correct explanation. This case highlights the value of thorough intraoperative evaluation of the abdominal and pelvic cavity during laparoscopic procedures across surgical specialties. Gynecologists routinely assess the liver and diaphragm for signs of endometriosis, while general surgeons may encounter gynecological conditions during exploratory laparoscopy for acute abdominal pain, such as pelvic inflammatory disease, Fitz-Hugh Curtis syndrome (perihepatitis), tubo-ovarian abscess, endometriosis, rupture ovarian cysts, adnexal torsion, and uterine fibroids.11 Prompt consultation with the appropriate surgical subspecialty during a laparoscopic procedure can potentially prevent patients from unnecessary additional surgery and associated morbidity.

Conclusion

This case report highlights the possibility of a dual presentation with appendicitis alongside a ruptured ectopic pregnancy. In female patients experiencing right lower quadrant abdominal pain, this rare co-occurrence should be considered within the differential diagnosis. The case emphasizes the importance of a well-coordinated surgical plan, particularly for young women presenting with acute abdomen and potential for multiple underlying etiologies.

Lessons Learned

Acute abdominal pain can sometimes arise from concurrent medical conditions. This case underscores the importance of considering multiple potential diagnoses, especially in situations where initial workup findings are inconclusive or suggestive of more than one issue. When faced with such scenarios, it is crucial to promptly involve the appropriate management teams to ensure optimal patient care.

Acknowledgments

The authors gratefully acknowledge the contributions of the following individuals to this case report: Drs. Megan P. Griffith (Department of Pathology, Mayo Clinic Health System), Jonathan M. Hard (Department of Radiology, Mayo Clinic Health System), and Jason H. Planas (Department of Emergency Medicine, Mayo Clinic Health System).

Authors

Krosch TCKa; Fite JRa; Khalife Tb

Author Affiliations

  1. Department of Surgery, Mayo Clinic Health System, Mankato, MN 56001
  2. Department of Obstetrics and Gynecology, Mayo Clinic Health System, Mankato, MN 56001

Corresponding Author

Tara C.K. Krosch, MD, FACS
Mayo Clinic Health System
1025 Marsh Street
Mankato, MN 56001
Email: krosch.tara@mayo.edu

Disclosure Statement

The authors have no conflicts of interest to disclose.

Funding/Support

The authors have no relevant financial relationships or in-kind support to disclose.

Received: March 16, 2023
Accepted: April 18, 2023

References

  1. Pate JD, Kindermann D, Hudson K. A case of Hickam’s dictum: concurrent appendicitis and ectopic pregnancy. J Emerg Med. 2013;45(5):679-682. doi:10.1016/j.jemermed.2013.04.050
  2. Nguyen H, Le K, Le C, Nguyen H. Concurrent ruptured ectopic pregnancy and appendicitis [published correction appears in J Am Board Fam Pract. 2005 Jul-Aug;18(4):333. J Am Board Fam Pract. 2005;18(1):63-66. doi:10.3122/jabfm.18.1.63
  3. Pelosi MA, Apuzzio J, Iffy L. Ectopic pregnancy as an etiologic agent in appendicitis. Obstet Gynecol. 1979;53(3 Suppl):4S-6S.
  4. Hazebroek EJ, Boonstra O, van der Harst E. Concurrent tubal ectopic pregnancy and acute appendicitis. J Minim Invasive Gynecol. 2008;15(1):97-98. doi:10.1016/j.jmig.2007.06.009
  5. Riggs JC, Schiavello HJ, Fixler R. Concurrent appendicitis and ectopic pregnancy. A case report. J Reprod Med. 2002;47(6):510-514.
  6. Biggs RL, Magann EF, O’Boyle JD. Concurrent interstitial ectopic pregnancy and appendicitis: a case report. J Reprod Med. 2008;53(5):378-381.
  7. Murewanhema G, Madombi S, Hlathswayo L, Simango N. Concurrent ruptured spontaneous heterotopic pregnancy and ruptured appendix with delayed presentation in the first trimester: a case report. Pan Afr Med J. 2020;37:222. Published 2020 Nov 5. doi:10.11604/pamj.2020.37.222.26182
  8. Ankouz A, Ousadden A, Majdoub KI, Chouaib A, Maazaz K, Taleb KA. Simultaneous acute appendicitis and ectopic pregnancy. J Emerg Trauma Shock. 2009;2(1):46-47. doi:10.4103/0974-2700.44683
  9. O’Hanlan KA, Fisher DT, O’Holleran MS. 257 incidental appendectomies during total laparoscopic hysterectomy. JSLS. 2007;11(4):428-431.
  10. Colunga-Pedraza JE, Fierro-Saenz S, Lopez-Reyna IG, et al. Escalated doses of methotrexate and L-asparaginase in critically ill children with a concurrent diagnosis of acute lymphoblastic leukemia and appendicitis. Pediatr Blood Cancer. 2023;70(4):e30140. doi:10.1002/pbc.30140
  11. Boyd CA, Riall TS. Unexpected gynecologic findings during abdominal surgery. Curr Probl Surg. 2012;49(4):195-251. doi:10.1067/j.cpsurg.2011.12.002