Unsupported Browser
The American College of Surgeons website is not compatible with Internet Explorer 11, IE 11. For the best experience please update your browser.
Menu
Become a member and receive career-enhancing benefits

Our top priority is providing value to members. Your Member Services team is here to ensure you maximize your ACS member benefits, participate in College activities, and engage with your ACS colleagues. It's all here.

Become a Member
Become a member and receive career-enhancing benefits

Our top priority is providing value to members. Your Member Services team is here to ensure you maximize your ACS member benefits, participate in College activities, and engage with your ACS colleagues. It's all here.

Become a Member
ACS
ACS Case Reviews

Giant Mixed Beta Catenin-Inflammatory Hepatic Adenoma

May 5, 2025

Abstract

Background

Hepatocellular adenomas (HAs) are rare, benign liver neoplasms that most commonly occur in females of childbearing age. Given their potential for spontaneous hemorrhage and malignant transformation, the management of these consists of surveillance or surgical resection. The decision to resect can be complex, particularly in the setting of ongoing hormone exposure, and is largely dependent on size, growth, and clinical and pathologic factors.

Summary

We report the case of a primigravid 23-year-old female who was found, incidentally, with an 11.6 cm liver mass. Percutaneous biopsy tissue results were consistent with an inflammatory subtype HA. She was surveilled initially and then ultimately underwent resection eight weeks after delivery, given the mass’s size, location, and growth pattern. Final pathology demonstrated a 12.2 × 12.1 × 6.0 cm mixed beta-catenin inflammatory subtype HA, a rare subtype that likely harbors more risk of malignant transformation than the inflammatory subtype alone. The patient’s postoperative course was notable for one readmission for gastric ileus that was managed conservatively. At one-year follow-up, she remains without evidence of recurrence or growth.

Conclusion

Large HAs discovered in patients fit for surgery and in locations amenable to resection should be considered for such based on their risk for bleeding and malignant transformation. Delaying surgery during pregnancy can be safe, but this strategy mandates close patient observation while preparing for intervention. Advances in genomic profiling will continue to help stratify these risk factors, but as seen in this case, biopsy results can be discordant with final pathology.

Key Words

hepatocellular adenoma; liver mass; liver neoplasm; beta-catenin

 


Case Description

Hepatocellular adenomas (HA) are rare, benign liver neoplasms that most commonly occur in females of childbearing age and are associated with oral contraceptive (OCP) use.1 The majority of HAs are asymptomatic and identified incidentally on abdominal imaging. The natural progression of HA is variable. Bleeding and malignant transformation are well-described HA complications; larger tumors are at increased risk for both.1,2 Genetic profiling studies have furthered the understanding of these tumors, showing at least four distinct subtypes based on their molecular drivers and entailing different bleeding and malignant transformation risks.2,3 Herein, we report a 23-year-old female diagnosed in pregnancy with an 11.6 cm liver mass and ultimately underwent resection for a 12.2 × 12.1 × 6.0 cm mixed beta-catenin inflammatory mutated subtype HA.

A 23-year-old primigravid female with poorly controlled type I diabetes mellitus initially presented to the emergency department during her third trimester with symptoms suggestive of appendicitis. Magnetic resonance imaging (MRI) revealed an 11.6 cm segment III liver mass and multiple 1-2 cm masses in the right hepatic lobe with indeterminate imaging features. She had no personal history of hepatitis, recent travel history, or family history of hepatobiliary neoplasms. Given her pregnancy, she was advised to undergo close surveillance with deferred intervention for the dominant liver mass.

At 37 weeks gestation, the patient was induced due to severe preeclampsia. After delivery, she remained asymptomatic, denying abdominal pain, early satiety, jaundice, or bleeding. On exam, she had palpable hepatomegaly, but no stigmata of cirrhosis or portal hypertension. Laboratory results were significant for an elevated AFP at 61.4 ng/mL, with normal CEA (<0.9 µg/L), and CA 19-9 (9 U/mL). Bilirubin and transaminase levels were normal, and alkaline phosphatase was elevated to 500 U/L, which was attributed to her recent pregnancy.

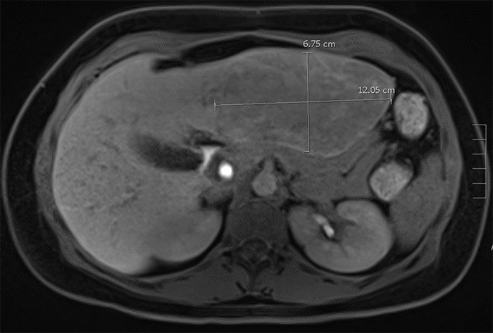
Imaging workup with a gadoxetate-enhanced liver MRI again demonstrated the dominant segment III liver mass and multiple right liver masses with variable enhancement patterns (Figure 1). Due to the atypical imaging appearance on multiple MRIs, a percutaneous biopsy was performed by interventional radiology, which showed a low-grade hepatocellular proliferation consistent with an inflammatory subtype adenoma. Staging CT scans of the chest, abdomen, and pelvis showed no extrahepatic abnormalities. Non-urgent resection of the left lobe mass was recommended given tumor size and atypical imaging appearance.

Figure 1. Preoperative Liver MRI. Published with Permission

A.

(A) Axial coronal gadoxetate-enhanced MRI liver image demonstrating a 10.6 × 12.1 × 6.8 cm left lobe segment II-IV lesion exhibiting heterogeneous enhancement that persists into the hepatobiliary phase, along with a T2-hypointense central scar. Additionally, two areas consistent with focal nodular hyperplasia are identified in segments IVb and VI, along with three small (~1 cm) lesions likely consistent with hepatic adenomas in segments VI and VII
(A) Axial coronal gadoxetate-enhanced MRI liver image demonstrating a 10.6 × 12.1 × 6.8 cm left lobe segment II-IV lesion exhibiting heterogeneous enhancement that persists into the hepatobiliary phase, along with a T2-hypointense central scar. Additionally, two areas consistent with focal nodular hyperplasia are identified in segments IVb and VI, along with three small (~1 cm) lesions likely consistent with hepatic adenomas in segments VI and VII

B.

(B) coronal gadoxetate-enhanced MRI liver image demonstrating a 10.6 × 12.1 × 6.8 cm left lobe segment II-IV lesion exhibiting heterogeneous enhancement that persists into the hepatobiliary phase, along with a T2-hypointense central scar. Additionally, two areas consistent with focal nodular hyperplasia are identified in segments IVb and VI, along with three small (~1 cm) lesions likely consistent with hepatic adenomas in segments VI and VII.
(B) coronal gadoxetate-enhanced MRI liver image demonstrating a 10.6 × 12.1 × 6.8 cm left lobe segment II-IV lesion exhibiting heterogeneous enhancement that persists into the hepatobiliary phase, along with a T2-hypointense central scar. Additionally, two areas consistent with focal nodular hyperplasia are identified in segments IVb and VI, along with three small (~1 cm) lesions likely consistent with hepatic adenomas in segments VI and VII.

Eight weeks postpartum, the patient underwent open left lateral section resection. The segment III mass was soft and exophytic, with prominent subcapsular vasculature, consistent with HA. Intraoperative ultrasound demonstrated the segment III mass abutting the segment II and segment III pedicles, necessitating left lateral section resection for clearance. An additional segment III lesion corresponding to focal nodular hyperplasia seen on MRI was also noted (Figure 2). She was discharged home on postoperative day (POD) 4. Her convalescence was notable for readmission on POD 6 for gastric ileus, which was managed conservatively.

Figure 2. Resected Liver Specimen. Published with Permission

A.

B.

Operative specimen demonstrating a 12.2 × 12.1 × 6.0 cm subcapsular lesion consistent with a mixed beta-catenin inflammatory subtype hepatocellular adenoma.
Operative specimen demonstrating a 12.2 × 12.1 × 6.0 cm subcapsular lesion consistent with a mixed beta-catenin inflammatory subtype hepatocellular adenoma.

Pathologic evaluation demonstrated a 12.2 × 12.1 × 6.0 cm subcapsular lesion consistent with an inflammatory subtype HCA. The margins were negative for adenoma, and the background hepatocytes were normal in histopathologic appearance. The specimen was submitted for molecular evaluation via OncoPLEX. This demonstrated a mixed beta-catenin inflammatory subtype, with the CTNNB1 p.K335T mutation on exon 7.

The patient remains under imaging surveillance with MRI for the remaining right lobe liver lesions, which were obtained every six months following resection. After 12 months, there is no evidence of recurrence or growth. Future imaging will be conducted annually.

Discussion

Hepatocellular adenomas (HA) are benign liver neoplasms with variable propensities for hemorrhage and/or malignant transformation, influenced by genetic and environmental factors. Estrogen-containing oral contraceptives are a well-established risk factor for the development and growth of these lesions.4 Several studies have correlated the reduced estrogen dose in modern contraceptives with a decreasing incidence of HA.1 Exogenous steroid use and elevated endogenous hormones, such as in pregnancy or Klinefelter syndrome, have also been associated with HA.5-8 Obesity is increasingly recognized as a risk factor, potentially mediated by hyperinsulinemia, estrogen production, and hepatic steatosis.9,10

HAs are most commonly identified on abdominal imaging obtained for unrelated reasons or vague, nonspecific upper abdominal complaints that prompt such imaging, as was the case with our patient. MRI has a high specificity and sensitivity for diagnosing HAs, reaching up to 88 and 100%, respectively.4 Imaging characteristics of HA can vary by subtype, but most adenomas are hyperintense on T1-weighted and T2-weighted images.

Advances in genomic profiling have revealed at least four distinct molecular subtypes of HA:

  • HNF-1a inactivated (30-50%)
  • Beta-catenin activated (10-15% in Western series)
  • Inflammatory (35%)
  • Unclassified (5-10%)

The presence of the CTNNB1 mutation was demonstrated to have a higher predilection for malignant transformation, up to 10% in one series.11 Some authors have expanded the classification to eight subtypes, including mixed beta-catenin inflammatory activated tumors and sonic hedgehog-activated tumors.11

While our patient’s histology suggested an inflammatory subtype, her molecular studies showed a mixed beta-catenin inflammatory activated tumor. This specific subtype is rare (<5% of HAs in Western series) and predominantly found in younger patients. The mixed beta-catenin inflammatory subtype shares phenotypic characteristics of each group, linked by the CTNNB1 mutation

Due to its rarity, the natural progression of mixed-type HAs is under investigation. Cancer risk is most likely associated with specific beta-catenin mutations (mutations in exon 3 carry a higher risk than mutations in exon 7/8). In contrast, large tumors with exon 7/8 mutations are at higher bleeding risk.11

HA treatment paradigms are divided into pathways of close surveillance or elective surgical resection to prevent rupture or malignant transformation. Rupture with hemorrhage occurs in up to 27.2% of HA and can be life-threatening.12 Rupture risk is proportional to tumor size, but also imaging/anatomic factors like prominent tumor arteries, exophytic growth pattern, subcapsular or segment II/III location.2,13 Recent genomic classification studies have identified higher rupture risk with inflammatory, HNF-1a inactivated, and sonic hedgehog subtypes.

Malignant transformation of an HA has been associated with several factors, including male sex (with a 10-year cumulative risk of 60%), size >5 cm, the beta-catenin activated subtype, the use of androgen or anabolic steroid, and glycogen storage diseases. 14-16 In one systematic review, the mean size of HAs that demonstrated malignant transformation into hepatocellular carcinoma was 10.5 cm with the smallest reported case being 4 cm.16

Consensus recommendations advise resection for HAs >5 cm, cause symptoms, or show signs of increased risk for malignancy (seen in males, the beta-catenin activated subtype, or with evidence of dysplasia), assuming appropriate operative risk.4,17-19 For patients for whom hepatectomy carries undue risk, transarterial embolization (TAE) or ablation may be considered.20 If there are no concerning findings on imaging or pathology, it is acceptable to observe these patients closely.

Cessation of exogenous hormone intake has been demonstrated to lead to tumor regression of up to 79% in some patients.21 Despite concerns for hormone-induced growth and rupture in pregnant patients, studies have shown that surveillance is a safe approach in this patient population. A prospective study of 51 pregnancies in 48 females with HA <5 cm demonstrated growth in only 25% of lesions (with a median growth of 1.4 cm). Only one required TAE due to growth to 7.6 cm; no rupture or hemorrhage occurred, and all births were without complications.22

Some clinicians may have elected to observe this patient, especially to see if the decrease in hormone exposure after pregnancy would have resulted in regression. Deferring surgery in favor of close observation was offered to the patient at the initial consultation. However, we balanced this against the adenoma’s size and patient’s preference for timing of the procedure. We elected for an open surgical approach primarily based upon the mass’s size given that our extraction port would likely have to be slightly smaller than an open incision; however, a minimally invasive approach could be considered in similar cases.

Randomized trials in the colorectal metastases domain support laparoscopic parenchyma-sparing surgery, but other studies specifically addressing left lateral sectionectomies in the context of Enhanced Recovery After Surgery (ERAS) programs have not demonstrated any significant advantages of the minimally invasive over the open approach.23-25 Regardless, minimally invasive left lateral sectionectomy is a valid approach to this problem in experienced hands.

Conclusion

HA are benign liver neoplasms frequently discovered incidentally in young women. These tumors carry the potential for bleeding and malignant transformation. In this case, our patient successfully carried her pregnancy to term and subsequently underwent resection. Final pathology revealed a 12.2 × 12.1 × 6.0 cm mixed beta-catenin inflammatory subtype hepatocellular adenoma. To our knowledge, this represents one of the largest hepatic adenomas reported in the United States.

Lessons Learned

In carefully selected cases, it is safe to delay surgery for large HA during pregnancy until after delivery. When considering surgical intervention for HA, surgeons should assess the patient’s overall fitness and the lesion’s associated risks, including spontaneous hemorrhage and malignant transformation. Advances in genomic profiling will continue to enhance our ability to categorize the risk factors associated with HA and guide optimal management strategies.

Authors

Laverty RB; Thomas SB; Krell RW

Author Affiliation

Department of Surgery, Brooke Army Medical Center, San Antonio, TX 78234

Corresponding Author

Robert B. Laverty, MD
General Surgery Department
Brooke Army Medical Center
3551 Roger Brooke Drive
JBSA Fort Sam Houston, TX 78234
Email: rblaverty@gmail.com

Disclosure Statement

The views expressed herein are those of the author(s) and do not reflect the official policy or position of Brooke Army Medical Center, the US Army Medical Department, the US Army Office of the Surgeon General, the Department of the Army, the Department of the Air Force, or the Department of Defense, or the US Government.

Funding/Support

The authors have no relevant financial relationships or in-kind support to disclose.

Received: May 16, 2023
Revision received: August 16, 2023
Accepted: November 28, 2023

References

  1. Rooks JB, Ory HW, Ishak KG, et al. Epidemiology of hepatocellular adenoma. The role of oral contraceptive use. JAMA. 1979;242(7):644-648.
  2. Bieze M, Phoa SS, Verheij J, van Lienden KP, van Gulik TM. Risk factors for bleeding in hepatocellular adenoma. Br J Surg. 2014;101(7):847-855. doi:10.1002/bjs.9493
  3. Bioulac-Sage P, Blanc JF, Rebouissou S, Balabaud C, Zucman-Rossi J. Genotype phenotype classification of hepatocellular adenoma. World J Gastroenterol. 2007;13(19):2649-2654. doi:10.3748/wjg.v13.i19.2649
  4. Tsilimigras DI, Rahnemai-Azar AA, Ntanasis-Stathopoulos I, et al. Current approaches in the management of hepatic adenomas. J Gastrointest Surg. 2019;23(1):199-209. doi:10.1007/s11605-018-3917-4
  5. Noels JE, van Aalten SM, van der Windt DJ, et al. Management of hepatocellular adenoma during pregnancy. J Hepatol. 2011;54(3):553-558. doi:10.1016/j.jhep.2010.07.022
  6. Vijay A, Elaffandi A, Khalaf H. Hepatocellular adenoma: An update. World J Hepatol. 2015;7(25):2603-2609. doi:10.4254/wjh.v7.i25.2603
  7. Paustian L, Chao MM, Hanenberg H, et al. Androgen therapy in Fanconi anemia: A retrospective analysis of 30 years in Germany. Pediatr Hematol Oncol. 2016;33(1):5-12. doi:10.3109/08880018.2015.1129567
  8. Velazquez I, Alter BP. Androgens and liver tumors: Fanconi’s anemia and non-Fanconi’s conditions. Am J Hematol. 2004;77(3):257-267. doi:10.1002/ajh.20183
  9. Bröker MEE, Gaspersz MP, Klompenhouwer AJ, et al. Inflammatory and multiple hepatocellular adenoma are associated with a higher BMI. Eur J Gastroenterol Hepatol. 2017;29(10):1183-1188. doi:10.1097/MEG.0000000000000930
  10. Bunchorntavakul C, Bahirwani R, Drazek D, et al. Clinical features and natural history of hepatocellular adenomas: the impact of obesity. Aliment Pharmacol Ther. 2011;34(6):664-674. doi:10.1111/j.1365-2036.2011.04772.x
  11. Nault JC, Couchy G, Balabaud C, et al. Molecular classification of hepatocellular adenoma associates with risk factors, bleeding, and malignant transformation. Gastroenterology. 2017;152(4):880-894.e6. doi:10.1053/j.gastro.2016.11.042
  12. van Aalten SM, de Man RA, IJzermans JN, Terkivatan T. Systematic review of haemorrhage and rupture of hepatocellular adenomas. Br J Surg. 2012;99(7):911-916. doi:10.1002/bjs.8762
  13. Deneve JL, Pawlik TM, Cunningham S, et al. Liver cell adenoma: a multicenter analysis of risk factors for rupture and malignancy. Ann Surg Oncol. 2009;16(3):640-648. doi:10.1245/s10434-008-0275-6
  14. Bossen L, Grønbaek H, Lykke Eriksen P, Jepsen P. Men with biopsy-confirmed hepatocellular adenoma have a high risk of progression to hepatocellular carcinoma: A nationwide population-based study. Liver Int. 2017;37(7):1042-1046. doi:10.1111/liv.13423
  15. Bioulac-Sage P, Rebouissou S, Thomas C, et al. Hepatocellular adenoma subtype classification using molecular markers and immunohistochemistry. Hepatology. 2007;46(3):740-748. doi:10.1002/hep.21743
  16. Stoot JH, Coelen RJ, De Jong MC, Dejong CH. Malignant transformation of hepatocellular adenomas into hepatocellular carcinomas: a systematic review including more than 1600 adenoma cases. HPB (Oxford). 2010;12(8):509-522. doi:10.1111/j.1477-2574.2010.00222.x
  17. Strong RW, Lynch SV, Wall DR, Ong TH. The safety of elective liver resection in a special unit. Aust N Z J Surg. 1994;64(8):530-534. doi:10.1111/j.1445-2197.1994.tb02279.x
  18. Descottes B, Glineur D, Lachachi F, et al. Laparoscopic liver resection of benign liver tumors. Surg Endosc. 2003;17(1):23-30. doi:10.1007/s00464-002-9047-8
  19. Dokmak S, Ftériche FS, Borscheid R, Cauchy F, Farges O, Belghiti J. 2012 Liver resections in the 21st century: we are far from zero mortality. HPB (Oxford). 2013;15(11):908-915.1 doi:10.1111/hpb.12069
  20. (EASL) EAftSotL. EASL Clinical Practice Guidelines on the management of benign liver tumours. J Hepatol. 2016;65(2):386-398. doi:10.1016/j.jhep.2016.04.001
  21. van Aalten SM, Witjes CD, de Man RA, Ijzermans JN, Terkivatan T. Can a decision-making model be justified in the management of hepatocellular adenoma? Liver Int. 2012;32(1):28-37. doi:10.1111/j.1478-3231.2011.02667.x
  22. Gaspersz MP, Klompenhouwer AJ, Broker MEE, et al. Growth of hepatocellular adenoma during pregnancy: A prospective study. J Hepatol. 2020;72(1):119-124. doi:10.1016/j.jhep.2019.09.011
  23. Fretland ÅA, Dagenborg VJ, Bjørnelv GMW, et al. Laparoscopic versus open resection for colorectal liver metastases: The OSLO-COMET randomized controlled trial. Ann Surg. 2018;267(2):199-207. doi: 10.1097/SLA.0000000000002353.
  24. Wong-Lun-Hing EM, van Dam RM, van Breukelen GJ, et al. Randomized clinical trial of open versus laparoscopic left lateral hepatic sectionectomy within an enhanced recovery after surgery programme (ORANGE II study). Br J Surg. 2017;104(5):525-535. doi: 10.1002/bjs.10438.
  25. Ding G, Cai W, Qin M. Pure Laparoscopic Versus Open Liver Resection in Treatment of Hepatolithiasis Within the Left Lobes: A Randomized Trial Study. Surg Laparosc Endosc Percutan Tech. 2015;25(5):392-4. doi: 10.1097/SLE.0000000000000120.