Unsupported Browser
The American College of Surgeons website is not compatible with Internet Explorer 11, IE 11. For the best experience please update your browser.
Menu
Become a member and receive career-enhancing benefits

Our top priority is providing value to members. Your Member Services team is here to ensure you maximize your ACS member benefits, participate in College activities, and engage with your ACS colleagues. It's all here.

Become a Member
Become a member and receive career-enhancing benefits

Our top priority is providing value to members. Your Member Services team is here to ensure you maximize your ACS member benefits, participate in College activities, and engage with your ACS colleagues. It's all here.

Become a Member
ACS
ACS Case Reviews

Cryptic Abdominal Mass in a Young Female: A Case of Unicentric Castleman Disease

May 5, 2025

Abstract

Background

Unicentric Castleman disease (UCD) is a proliferative disorder affecting a single lymph node. While most commonly found in the mediastinum, mesenteric involvement is rare. Surgical excision is typically curative.

Summary

Our patient presented with a palpable abdominal mass. Needle biopsy was consistent with a lymphoproliferative process. Complete surgical excision was performed, and final pathology confirmed unicentric Castleman disease. Fluorescence in situ hybridization (FISH) analysis revealed an ALK rearrangement, a classically oncogenic abnormality associated with lymphomas.

Conclusion

Unicentric Castleman disease should be considered in the differential diagnosis of mesenteric masses. Further investigation is needed to determine the clinical significance of ALK rearrangement in this disease.

Key Words

abdominal mass; Castleman disease; ALK rearrangement


Case Description

Castleman disease (CD) is a rare lymphoproliferative disorder affecting single (unicentric) or multiple (multicentric) lymph nodes. Approximately 6,500 to 7,700 cases of CD occur annually in the United States, with 75% classified as unicentric (UCD).¹ UCD, previously termed “giant lymph node hyperplasia,” typically presents in the mediastinum, although extra-thoracic UCD has been reported in the neck, axilla, pelvis, and retroperitoneum, with rare mesenteric involvement.1–3 UCD is often asymptomatic but can become symptomatic due to compression or disruption of adjacent structures.¹ In contrast, multicentric Castleman disease (MCD) is a systemic, progressive, inflammatory process.¹ CD diagnosis involves bloodwork, imaging to assess lymph node involvement, and histologic examination.⁴ UCD treatment consists of complete surgical excision and is associated with a low recurrence risk, whereas MCD requires systemic immunotherapy, which is not always effective.5,6

A 22-year-old female presented with abdominal pain four months after a miscarriage requiring dilatation and curettage at 14 weeks gestation. A CT scan revealed an 8.1 × 8.1 × 6.4 cm heterogeneous abdominal mass, suspicious for a desmoid tumor as opposed to a gastrointestinal stromal tumor. The mass was palpable and had been present for several years. Oncologic evaluation with recommended CT-guided biopsy was deferred due to a COVID-19 infection and subsequent relocation.

Two months after the onset of abdominal pain, she presented to our emergency department with periorbital and bilateral lower extremity edema, electrolyte abnormalities, mild transaminitis, hypoalbuminemia, and hypertension. Intermittent right-sided abdominal pain persisted. Repeat CT showed interval mass growth to 9.5 × 9.0 × 7.3 cm, with associated bilateral hydronephrosis despite normal renal function (Figure 1A). The mass was adjacent to the duodenum and inferior vena cava (IVC) posteromedially, the small bowel medially, the right colon inferolaterally, and the abdominal wall anteriorly, with well-defined circumferential fat planes. It was associated with the small bowel and right colon mesentery but appeared to have a separate blood supply. No other lymphadenopathy or abnormalities were noted. Workup for a functional neuroendocrine tumor and pheochromocytoma was negative. Electrolytes and transaminitis normalized with medical management of her hypertension. Percutaneous ultrasound-guided core needle biopsy was performed, revealing abnormal lymphoid tissue with increased vascular stroma surrounding regressed follicles, without evidence of lymphoma, suggestive of hyaline vascular type Castleman disease. The patient opted for surgical excision.

Figure 1. Imaging and Gross Pathology. Published with Permission

(A) CT scan demonstrating a large mass at the confluence of the small bowel and right colon mesentery. (B) Gross pathology of a well-circumscribed 8.8 × 7.8 × 5.9 cm mass.
(A) CT scan demonstrating a large mass at the confluence of the small bowel and right colon mesentery. (B) Gross pathology of a well-circumscribed 8.8 × 7.8 × 5.9 cm mass.

Laparoscopic exploration revealed a large, non-invasive mass within the ileocolic mesentery, exerting mass effect on the retroperitoneum. Preoperatively placed ureteral stents confirmed the ureters were uninvolved. The mass extended medially to the small bowel mesentery root and laterally to the cecum, consistent with preoperative imaging. Due to limited laparoscopic exposure and relative fixation of the mass, a midline laparotomy was performed, and a wound protector was placed to facilitate evisceration. The mass was carefully dissected from the superior mesenteric artery (SMA), ileocolic vessels, and marginal artery, preserving bowel perfusion. The resulting mesenteric defect was closed, and fiducials were placed along the suture line. Blood loss was minimal, and the patient’s postoperative recovery was uneventful, leading to discharge on postoperative day four.

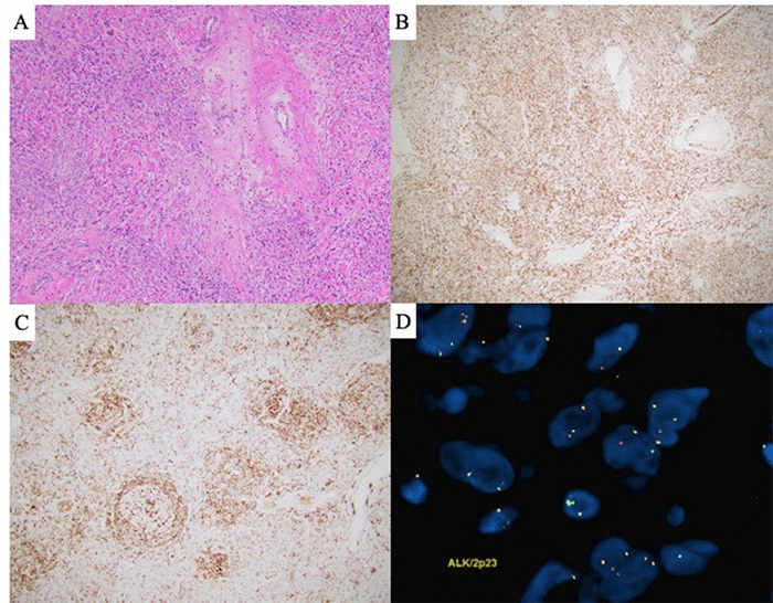
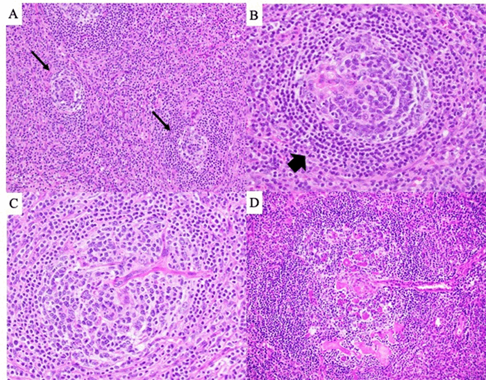
Final pathology revealed an 8.8 × 7.8 × 5.9 cm mass (Figure 1B) characterized by regressively transformed, atretic follicles, “onion-skinning” of mantle zones, and hypervascularity, including vessels penetrating follicles at right angles (Figure 2). Extrafollicular areas exhibited fibrosis, SMA-positive spindled cells, increased plasma cells, myxoid change, and focal necrosis (Figure 3A). ALK1 staining was positive in the spindled areas and a subset of non-lymphoid follicular cells (Figure 3B and C). Fluorescence in situ hybridization (FISH) analysis confirmed an ALK rearrangement (Figure 3D).

Figure 2. Histopathologic Features. Published with Permission

(A) Atretic follicles (arrows), 100x magnification. (B) "Onion skinning" of the mantle zone (arrow), 200x magnification. (C and D) Vessels penetrating follicles at right angles, 200x magnification.
(A) Atretic follicles (arrows), 100x magnification. (B) "Onion skinning" of the mantle zone (arrow), 200x magnification. (C and D) Vessels penetrating follicles at right angles, 200x magnification.

Figure 3. Immunochemistry and FISH. Published with Permission

(A) Spindled area of the mass, H&E stain, 40x magnification. (B) ALK1 immunohistochemical stain in the spindled area, 40x magnification. (C) ALK1 immunohistochemical stain demonstrating positivity both within and outside the follicles, 40x magnification. (D) Fluorescence in situ hybridization (FISH) using an ALK break-apart probe, demonstrating separate red and green signals in multiple cells, consistent with ALK rearrangement. A yellow fusion signal indicates the normal, non-rearranged ALK copy.
(A) Spindled area of the mass, H&E stain, 40x magnification. (B) ALK1 immunohistochemical stain in the spindled area, 40x magnification. (C) ALK1 immunohistochemical stain demonstrating positivity both within and outside the follicles, 40x magnification. (D) Fluorescence in situ hybridization (FISH) using an ALK break-apart probe, demonstrating separate red and green signals in multiple cells, consistent with ALK rearrangement. A yellow fusion signal indicates the normal, non-rearranged ALK copy.

Discussion

The differential diagnosis for an abdominal mass in adults is broad, encompassing organomegaly, hernias, lymph nodes, and intra-abdominal neoplasms.7 Location, chronicity, and invasion of surrounding structures influence symptomatology, which is often nonspecific, presenting as abdominal pain with or without gastrointestinal disturbances.4,8 Essential components of the diagnostic workup include imaging studies to characterize the mass and its relationship to adjacent structures, facilitating tissue sampling for histopathologic diagnosis.4 Mesenteric masses pose a unique challenge, as they can arise from resident mesenchymal cells or cells in transit, including lymphocytes and malignant epithelia. Lymphomas are the most common solid tumors of the mesentery.9 Other tumor types, such as Castleman disease (CD), have a low incidence among mesenteric pathologies.2,10,11

Over 70% of CD cases occur in the mediastinum, with rare mesenteric involvement; an estimated 53 cases have been reported in the literature.2,12,13 However, identifying CD cases is limited by the lack of a specific International Classification of Diseases (ICD) code until October 1, 2016.1 Two histologic variants of CD exist: hyaline vascular (HV) and plasmacytic.14 In the HV variant, lymph nodes exhibit multiple small follicles with atretic germinal centers containing predominantly follicular dendritic cells, expanded mantle zones with concentric rings of mantle cells (onion-skin appearance), and increased interfollicular vascularity, often with vessels penetrating germinal centers at right angles.6,12 The plasmacytic variant features hyperplastic follicles with interfollicular sheets of plasma cells.2 Unicentric Castleman disease (UCD) is typically associated with the HV subtype, while multicentric Castleman disease (MCD) more often exhibits plasmacytic features and is associated with human immunodeficiency virus (HIV) and human herpesvirus 8 (HHV8).4,5,15,16 MCD workup must include HIV status evaluation and baseline serum inflammatory markers. MCD treatment primarily involves biologic therapy (e.g., rituximab).1,5 In contrast, the gold standard for UCD treatment is complete surgical resection, associated with >90% relapse-free survival.1,5,6 Unresectable disease may be managed with rituximab, steroids, or local radiation to reduce mass size prior to excision.5,6

In asymptomatic patients with unresectable disease, observation with annual physical examinations, laboratory studies, and imaging is recommended.6,17 In a study that evaluated treatments of 71 patients with UCD, 13 patients entered a “watch-and-wait” period, and 11 remained stable without medical or surgical intervention for the 17-year observation period.17 These data suggest a subset of UCD patients may not require resection. However, it is currently unknown which UCD patients benefit from upfront resection versus nonoperative management.

Our patient presented with hypertension, electrolyte abnormalities, and hydronephrosis, initially attributed to her abdominal mass. However, these resolved with medical management preoperatively. The etiology of these symptoms remains unclear, although renovascular hypertension secondary to mass effect is a plausible explanation. She also presented with an isolated mass and surgical pathology consistent with hyaline vascular CD, collectively indicative of UCD. Post-resection, she remains asymptomatic. Given the low recurrence risk, no adjuvant therapy was administered, and she will be monitored with serial imaging for at least five years, although specific follow-up guidelines are lacking.

The biological drivers of CD, including genetic, autoimmune, viral, and clonal mechanisms, remain incompletely understood.18-20 Constitutively active point mutations in PDGFRB, a tyrosine kinase receptor, have been reported in been reported in 10% to 20% of UCD cases.3,18 ALK abnormalities, another tyrosine kinase receptor, typically associated with hematopoietic malignancies, have been rarely reported in benign tumors, including CD.21,22 ALK fusions with various genes, such as NPM1, TPM3/TPM4, and EML4, result in constitutive kinase activity. In a large study of 19,272 patients with hematopoietic diseases, ALK-NPM1 rearrangements were identified in 58 patients, with only one case of CD.23 ALK rearrangement was also identified in our patient; however, its role in disease development or its potential association with malignant transformation remains to be determined.

Conclusion

Unicentric Castleman disease is an uncommon disorder that can present as a mesenteric mass. The biological drivers of Castleman disease are poorly understood, and further studies are needed to define the role of ALK rearrangement in this benign pathology.

Lessons Learned

The evaluation of a patient with a palpable mesenteric mass should include imaging, biochemical studies, and histopathologic analysis to exclude malignancy. UCD should be considered in the differential diagnosis.

Authors

Meshkin Da; Narayanan Sb; Moore EMc; Whelan Sb

Author Affiliations

  1. University of Pittsburgh, School of Medicine, Pittsburgh, PA 15213
  2. UPMC Department of Surgery, Pittsburgh, PA 15213
  3. UPMC Department of Pathology, Pittsburgh, PA 15213

Corresponding Author

Sean Whelan, MD
UPMC St. Margaret
Medical Arts Building
100 Delafield Road, Ste. 113
Pittsburgh, PA 15215
Email: whelansp2@upmc.edu

Disclosure Statement

The authors have no conflicts of interest to disclose.

Funding/Support

The authors have no relevant financial relationships or in-kind support to disclose.

Received: April 6, 2023
Revision received: June 25, 2023
Accepted: June 26, 2023

References

  1. Carbone A, Borok M, Damania B, et al. Castleman disease. Nat Rev Dis Primers. 2021;7(1):84. Published 2021 Nov 25. doi:10.1038/s41572-021-00317-7
  2. Keller AR, Hochholzer L, Castleman B. Hyaline-vascular and plasma-cell types of giant lymph node hyperplasia of the mediastinum and other locations. Cancer. 1972;29(3):670-683. doi:10.1002/1097-0142(197203)29:3<670::aid-cncr2820290321>3.0.co;2-#
  3. Li Z, Lan X, Li C, et al. Recurrent PDGFRB mutations in unicentric Castleman disease. Leukemia. 2019;33(4):1035-1038. doi:10.1038/s41375-018-0323-6
  4. Dufay C, Abdelli A, Le Pennec V, Chiche L. Mesenteric tumors: diagnosis and treatment. J Visc Surg. 2012;149(4):e239-e251. doi:10.1016/j.jviscsurg.2012.05.005
  5. Abramson JS. Diagnosis and Management of Castleman Disease. J Natl Compr Canc Netw. 2019;17(11.5):1417-1419. doi:10.6004/jnccn.2019.5037
  6. van Rhee F, Oksenhendler E, Srkalovic G, et al. International evidence-based consensus diagnostic and treatment guidelines for unicentric Castleman disease. Blood Adv. 2020;4(23):6039-6050. doi:10.1182/bloodadvances.2020003334
  7. Expert Panel on Gastrointestinal Imaging, Fowler KJ, Garcia EM, et al. ACR Appropriateness Criteria® Palpable Abdominal Mass-Suspected Neoplasm. J Am Coll Radiol. 2019;16(11S):S384-S391. doi:10.1016/j.jacr.2019.05.014
  8. Yamamoto W, Kono H, Maekawa M, Fukui T. The relationship between abdominal pain regions and specific diseases: an epidemiologic approach to clinical practice. J Epidemiol. 1997;7(1):27-32. doi:10.2188/jea.7.27
  9. Sheth S, Horton KM, Garland MR, Fishman EK. Mesenteric neoplasms: CT appearances of primary and secondary tumors and differential diagnosis. Radiographics. 2003;23(2):457-536. doi:10.1148/rg.232025081
  10. Meador TL, McLarney JK. CT features of Castleman disease of the abdomen and pelvis. AJR Am J Roentgenol. 2000;175(1):115-118. doi:10.2214/ajr.175.1.1750115
  11. Glazer M, Rao VM, Reiter D, McCue P. Isolated Castleman disease of the neck: MR findings. AJNR Am J Neuroradiol. 1995;16(4):669-671.
  12. Bracale U, Pacelli F, Milone M, et al. Laparoscopic treatment of abdominal unicentric castleman's disease: a case report and literature review. BMC Surg. 2017;17(1):38. Published 2017 Apr 12. doi:10.1186/s12893-017-0238-6
  13. Lv A, Hao C, Qian H, Leng J, Liu W. Castleman disease of the mesentery as the great mimic: Incidental finding of one case and the literature review. Biosci Trends. 2015;9(3):198-202. doi:10.5582/bst.2015.01065
  14. Castleman B, Iverson L, Menendez VP. Localized mediastinal lymphnode hyperplasia resembling thymoma. Cancer. 1956;9(4):822-830. doi:10.1002/1097-0142(195607/08)9:4<822::aid-cncr2820090430>3.0.co;2-4
  15. Dispenzieri A, Fajgenbaum DC. Overview of Castleman disease. Blood. 2020;135(16):1353-1364. doi:10.1182/blood.2019000931
  16. Van Rhee F. Nearly 70 years later: the continued unraveling of Castleman disease. Haematologica. 2023;108(1):7-8. Published 2023 Jan 1. doi:10.3324/haematol.2022.280902
  17. Boutboul D, Fadlallah J, Chawki S, et al. Treatment and outcome of Unicentric Castleman Disease: a retrospective analysis of 71 cases. Br J Haematol. 2019;186(2):269-273. doi:10.1111/bjh.15921
  18. Butzmann A, Kumar J, Sridhar K, Gollapudi S, Ohgami RS. A Review of Genetic Abnormalities in Unicentric and Multicentric Castleman Disease. Biology (Basel). 2021;10(4):251. Published 2021 Mar 24. doi:10.3390/biology10040251
  19. Fajgenbaum DC, Shilling D. Castleman Disease Pathogenesis. Hematol Oncol Clin North Am. 2018;32(1):11-21. doi:10.1016/j.hoc.2017.09.002
  20. Wu D, Lim MS, Jaffe ES. Pathology of Castleman Disease. Hematol Oncol Clin North Am. 2018;32(1):37-52. doi:10.1016/j.hoc.2017.09.004
  21. Farinha P, Subtil A, Carr A, et al. ALK+ hyaline vascular Castleman disease: a new kid on the block. Histopathology. 2022;80(6):1007-1010. doi:10.1111/his.14624
  22. Cao Z, Gao Q, Fu M, Ni N, Pei Y, Ou WB. Anaplastic lymphoma kinase fusions: Roles in cancer and therapeutic perspectives. Oncol Lett. 2019;17(2):2020-2030. doi:10.3892/ol.2018.9856
  23. Subbiah V, Kuravi S, Ganguly S, et al. Precision therapy with anaplastic lymphoma kinase inhibitor ceritinib in ALK-rearranged anaplastic large cell lymphoma. ESMO Open. 2021;6(4):100172. doi:10.1016/j.esmoop.2021.100172