Unsupported Browser
The American College of Surgeons website is not compatible with Internet Explorer 11, IE 11. For the best experience please update your browser.
Menu
Become a member and receive career-enhancing benefits

Our top priority is providing value to members. Your Member Services team is here to ensure you maximize your ACS member benefits, participate in College activities, and engage with your ACS colleagues. It's all here.

Become a Member
Become a member and receive career-enhancing benefits

Our top priority is providing value to members. Your Member Services team is here to ensure you maximize your ACS member benefits, participate in College activities, and engage with your ACS colleagues. It's all here.

Become a Member
ACS
ACS Case Reviews

Consequences of a Perforated Cecal Diverticulum: The Unexpected Cause of a Necrotizing Soft Tissue Infection

May 5, 2025

Abstract

Background

A 72-year-old female presented with acute abdominal symptoms, including right lower quadrant pain, overlying skin erythema, and hemodynamic instability. Diagnostic evaluation revealed a perforated cecal diverticulum with subsequent necrotizing soft tissue infection (NSTI).

Summary

Intra-abdominal infections, including appendicitis, diverticulitis, and bowel perforation, can rarely lead to NSTIs. NSTIs can have life-threatening outcomes if not addressed promptly with surgical debridement and broad-spectrum antibiotics. This case report illustrates a 72-year-old Filipino female who presented with septic shock secondary to an NSTI originating from a perforated cecal diverticulum. Computed tomography (CT) imaging confirmed the diagnosis, necessitating emergent debridement of the right groin with subsequent laparotomy. A right hemicolectomy with primary anastomosis was performed, followed by a course of broad-spectrum antibiotics. Despite the severity of the infection, the patient underwent a successful recovery without the need for additional debridement.

Conclusion

Early detection and prompt surgical intervention are crucial for managing NSTIs caused by loss of bowel integrity, including cecal perforation. Necrotizing soft tissue infections secondary to perforation of a cecal diverticulum are rare, and this case highlights the importance of considering intra-abdominal injuries as a source of NSTI to ensure appropriate therapy and patient recovery.

Key Words

necrotizing soft tissue infection; cecal diverticulum; perforation; septic shock


Case Description

Cecal diverticulosis is an uncommon condition, representing only 3.6% of all colonic diverticular diseases.1 While more prevalent in Asian populations, right-sided colonic diverticulitis, particularly involving the cecum, is less common in Western societies. Diverticula arise from weaknesses in the bowel wall at points of blood vessel penetration. True diverticula involve all layers of the bowel wall, whereas false diverticula lack the muscular layer. Cecal diverticula are typically located in the anterior cecal wall near the ileocecal valve and are often classified as true diverticula.2 The exact etiology of cecal diverticula remains unclear, with both congenital and acquired factors implicated.2,3 Histological studies have shown a mixed pattern of true and false diverticula with increasing prevalence in older populations.3

Generally, diverticula of the cecum are benign and asymptomatic. However, 10-20% of cases develop symptomps mimicking acute appendicitis, including right lower quadrant pain, fever, and leukocytosis.4 These clinical manifestations usually arise due to complications from diverticulitis or perforation, with potential sequelae such assepsis, peritonitis, abscess formation, or even more rarely, a necrotizing soft tissue infection (NSTI).5

The patient is a 72-year-old Filipino female who presented to the emergency department with a five-day history of constant and progressively worsening right lower quadrant pain, radiating to the right groin with spreading redness over the area, as well as complaints of loose stools (Figure 1). The patient had a complex medical history, including chronic myelogenous leukemia treated with Gleevec and metastatic colon cancer managed with palliative FOLFOX/bevacizumab chemotherapy. Additionally, she was on anticoagulant therapy (warfarin) for a left ventricular thrombus. Her last FOLFOX/bevacizumab infusion had been administered eight days prior to presentation.

Figure 1. Right Groin Erythema. Published with Permission

Mild erythema over the patient’s right groin extending laterally, seen on presentation
Mild erythema over the patient’s right groin extending laterally, seen on presentation

Upon arrival, the patient exhibited hemodynamic instability requiring vasopressor support, along with localized signs of inflammation and infection in the right groin. Physical examination demonstrated tenderness to palpation and erythema with induration overlying the right groin and extending to the right buttock. Rectal examination was notable for melena. Laboratory findings were remarkable for leukocytosis, elevated creatinine, and a supratherapeutic international normalized ratio (INR) greater than 20.

Computed tomography (CT) of the abdomen and pelvis demonstrated inflammation and gas within the right pelvic wall with 5 cm of complex fluid collection (Figure 2), and gas tracking along the psoas and iliacus muscles (Figures 3 and 4), suggestive of septic shock secondary to NSTI. Given the patient’s clinical presentation of septic shock, aggressive management was initiated with intravenous fluid resuscitation, broad-spectrum antibiotics, and reversal of coagulopathy using prothrombin complex concentrate and vitamin K. Subsequently, the patient underwent emergent surgical exploration and debridement of the infected right groin region.

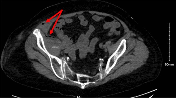
Figure 2. Right Pelvic Wall Inflammation. Published with Permission

CT Abdomen and Pelvis showing fat stranding, gas, and fluid in the right pelvic wall.
CT Abdomen and Pelvis showing fat stranding, gas, and fluid in the right pelvic wall.

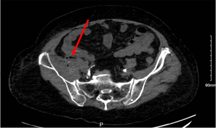
Figure 3. Gas and Heterogeneity in Psoas Muscle. Published with Permission

CT Abdomen and Pelvis showing small bubbles of gas and heterogeneity of the psoas muscle
CT Abdomen and Pelvis showing small bubbles of gas and heterogeneity of the psoas muscle

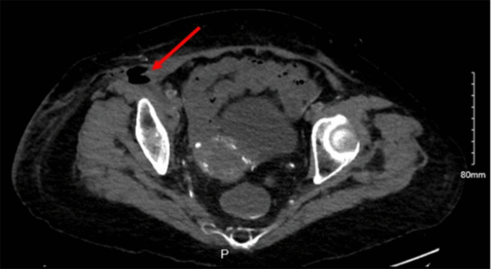
Figure 4. Gas and Heterogeneity in Iliacus Muscle. Published with Permission

CT Abdomen and Pelvis showing small bubbles of gas and heterogeneity of the iliacus muscle as well as gas in the right abdominal wall.
CT Abdomen and Pelvis showing small bubbles of gas and heterogeneity of the iliacus muscle as well as gas in the right abdominal wall.

Intraoperatively, the right groin incision revealed purulent, foul-smelling fluid upon opening the external oblique fascia. The overlying subcutaneous fat was gray and exhibited necrotic changes, necessitating debridement to healthy, bleeding tissue. An abdominal wall defect was identified without evidence of intra-abdominal content herniation.

Once the right groin had been adequately debrided, a diagnostic laparoscopy revealed  no evidence of intra-abdominal contamination. The right lower quadrant was inspected, and part of the cecum was found to be adherent to the abdominal side wall. The cecum was bluntly freed from the side wall, resulting in complete loss of the pneumoperitoneum and visualization of a defect in the abdominal wall connecting to the previously debrided right groin. Conversion to laparotomy confirmed a cecal perforation. A right hemicolectomy with primary anastomosis was performed. The decision to proceed with primary anastomosis was based on several factors, including the absence of intra-abdominal contamination, improving hemodynamic stability (reduced vasopressor requirement) with additional fluid resuscitation, and successful debridement of the right groin.

Following surgery, the patient was admitted to the intensive care unit for close monitoring and continued treatment with broad-spectrum antibiotics. Histopathological examination of the surgical specimen confirmed acute inflammation and necrosis within the right groin, along with a cecal diverticulum exhibiting serosal adhesions and acute inflammation. Notably, no evidence of malignancy was identified. Blood cultures obtained during the emergency department evaluation were positive for Klebsiella, prompting targeted antibiotic therapy. The patient’s postoperative course was without complications, and she did not require additional surgical debridement. She was discharged to a skilled nursing facility on postoperative day 16 for continued wound care, with a negative pressure wound therapy dressing in place.

Discussion

Cecal diverticula are uncommon and rarely present with bowel perforation. In this case, the patient’s use of bevacizumab, a monoclonal antibody targeting vascular endothelial growth factor, likely contributed to the development of cecal perforation. Bevacizumab is used in the treatment of various malignancies, including metastatic colorectal cancer (mCRC), and has been associated with an increased risk of bowel perforation, reaching up to 4% in mCRC patients. This increased risk is attributed to the medication’s ability to impair vascular regeneration and induce ischemia.6 One meta-analysis looked at 17 different randomized control trials with a total of 12,294 patients and found that risk factors for perforation include colorectal cancer and high cumulative dose of bevacizumab.7 Several studies have identified risk factors, including diverticulitis, colitis, and obstruction.6,7 Our patient has a history of diverticulitis and was exposed to a higher-than-standard dose of bevacizumab (4.8 mg/kg/week). While bowel obstruction was not present on physical exam, imaging, or upon examination of the bowel intraoperatively, bevacizumab likely contributed to the cecal perforation in the setting of cecal diverticulitis.

The development of NSTI following a diverticular perforation is a rare but severe complication.8 NSTIs are characterized by rapidly progressing infections involving the skin, subcutaneous tissue, fascia, and muscle.9 Bacterial colonization and the production of proteolytic enzymes initiate the infection, with anaerobic environments created by vascular thrombosis accelerating bacterial growth and spread. This process ultimately leads to hematogenous dissemination to distant sites.10 Vascular injury occurs due to cytokine cascades that damage the endothelium. Vascular injury, induced by cytokine-mediated endothelial damage, further exacerbates tissue damage through increased vascular permeability, edema, and leukocyte infiltration, culminating in ischemic necrosis.11 The resulting coagulation cascade inhibits fibrinolysis and promotes microthrombosis, compounding tissue ischemia and necrosis.

NSTI originating from a distant area secondary to bowel perforation represents an atypical presentation. A literature review by Kumar et al.8 reviewed 67 atypical presentations of necrotizing fasciitis secondary to bowel injuries, and the breakdown of the different etiologies included trauma (29%), perforated appendicitis (23%), perforated diverticulitis (16%) and perforation of a gastrointestinal tract cancer (16%). The mortality rate associated with cecal perforation alone is substantial, ranging from 30% to 72%, with outcomes influenced by factors such as timing of perforation, extent of peritoneal contamination, and promptness of intervention.12 The development of NSTI can dramatically worsen the clinical course, leading to rapid progression to sepsis, multi-organ failure, and potentially death.9

Clinical suspicion remains the cornerstone for diagnosing NSTI, with surgical exploration providing definitive confirmation. Radiographic imaging may be considered, and findings such as gas in the tissues can support the diagnosis when NSTI is suspected.13 For instance, a meta-analysis by Kwee and Kwee14 found that the presence of gas was the most common diagnostic CT criteria and, although indicative of NSTI, demonstrated a sensitivity of only 48.6% and specificity of 93.2%. The presence of gas is often a late-stage finding, possibly explaining the low sensitivity, suggesting that NSTI may be present even without this imaging characteristic. Other CT findings, such as subcutaneous edema and fluid collections, have limited diagnostic value due to lower sensitivity and specificity (34.6% and 11.2%, respectively). However, the study suggests that combining multiple CT findings could improve diagnostic performance in the setting of suspected NSTI.14 In our patient, the presence of both gas and fluid collection on CT scan strengthened the suspicion of an ongoing NSTI.

Several case reports have described the development of NSTIs following a primary intra-abdominal source. Sablone et al. reported a case of NSTI in a patient who developed a right colic perforation after a polypectomy.15 The colonic contents spread into the retroperitoneum and subsequently down the inguinal canal to the thigh, transporting the intestinal microbial flora, leading to fascial necrosis and, ultimately, septic shock. The patient died two days after admission, which the authors attributed to inadequate treatment timing. Rupp et al. described a case of NSTI in the lower limb caused by a foreign body (toothpick) perforating the colon.16 Extensive soft tissue and muscle necrosis were encountered during emergency surgery, with the patient subsequently recovering due to immediate intervention. Two additional cases described by Panter et al.17 and Chanal et al.18 linked Crohn’s disease to NSTI development. In both cases, fistulization of the bowel into the retroperitoneum resulted in the formation of abscesses within the posterior abdominal wall and psoas muscle, respectively. Surgical resection of the diseased bowel and extensive debridement were required, along with antibiotic therapy, with histopathological examination confirming Crohn’s disease.

While several case reports have documented NSTIs following colonic perforations due to polypectomy, foreign body ingestion, or Crohn’s disease, there is a notable paucity of literature specifically addressing NSTIs originating from perforated cecal diverticulitis. A comprehensive literature search between January 1950 and June 2023 focusing on cecal diverticulitis, cecal perforation,  necrotizing soft tissue infection, and necrotizing fasciitis yielded limited results.. The search included all article types. A 2015 Letter to the Editor described a case of an otherwise healthy 38-year-old male with a perforated cecal diverticulum leading to retroperitoneal NSTI, successfully treated with debridement and hemicolectomy.19 This report cited an earlier Japanese case (2002) where a patient with a perforated cecal diverticulum and retroperitoneal gas of unknown etiology ultimately succumbed to the infection despite not undergoing emergent surgical debridement.20

Several factors contribute to worse outcomes in patients with NSTIs, including advanced age, underlying medical comorbidities, and immunocompromised states. Among the various patient and treatment-related factors, early diagnosis and prompt surgical debridement have consistently demonstrated a significant impact on reducing NSTI-associated mortality.22 Delays in surgical intervention, often due to challenges in identifying the infection source or unclear clinical presentation, can lead to increased surgical procedures, worsening symptoms, prolonged recovery, and poorer overall outcomes. The variable clinical presentations of NSTIs further complicate early diagnosis, especially in immunocompromised patients who may not exhibit typical signs of infection, such as fever and leukocytosis. Consequently, immunocompromised patients have a two-fold increased risk of in-hospital mortality compared to immunocompetent patients.22

Despite this patient’s atypical presentation, early surgical intervention to address the underlying source of infection was critical for her survival. This case highlights the importance of considering intra-abdominal infections as a potential source of NSTIs, particularly when a specific focus of infection cannot be readily identified.

Conclusion

Cecal diverticulum perforation leading to NSTI is an extremely rare occurrence. Despite the paucity of cases, early detection and prompt surgical intervention remain the mainstay treatment. Given the atypical presentation of this case, it is essential for clinicians to have a high index of suspicion for less common etiologies of NSTIs, including intra-abdominal injuries, when evaluating patients with atypical symptoms to reduce patient morbidity and mortality and improve outcomes.

Lessons Learned

Early identification of NSTIs is crucial, as timely surgical intervention significantly impacts patient prognosis. In cases where the presentation is atypical, consideration of intra-abdominal sources of infection is essential. Effective management of these infections requires aggressive surgical debridement of necrotic tissue and control of the intra-abdominal inflammatory process.

Authors

Shin Ea; Fujiwara Aa; Takamori Rb; Brazer MLc

Author Affiliations

  1. John A. Burns School of Medicine, University of Hawai'i, Honolulu, HI 96813
  2. Kaiser Permanente Moanalua Medical Center, Department of Surgery, Honolulu, HI 96819
  3. Tripler Army Medical Center, Department of Surgery, Honolulu, HI 97859

Corresponding Author

Erica Shin, MSc
Department of Medicine
John A. Burns School of Medicine
University of Hawai'i
651 Ilalo Street
Honolulu, HI 96813
Email: ericays@hawaii.edu

Disclosure Statement

The authors have no conflicts of interest to disclose.

Funding/Support

The authors have no relevant financial relationships or in-kind support to disclose.

Received: April 15, 2023
Revision received: June 23, 2023
Accepted: June 27, 2023

References

  1. Cristaudo A, Pillay P, Naidu S. Caecal diverticulitis: Presentation and management. Ann Med Surg (Lond). 2015;4(1):72-75. Published 2015 Feb 23. doi:10.1016/j.amsu.2015.02.002
  2. Ruiz-Tovar J, Reguero-Callejas ME, González Palacios F. Inflammation and perforation of a solitary diverticulum of the cecum. A report of 5 cases and literature review. Rev Esp Enferm Dig. 2006;98(11):875-880. doi:10.4321/s1130-01082006001100007
  3. Turner GA, O’Grady MJ, Purcell RV, Frizelle FA. The Epidemiology and Etiology of Right-Sided Colonic Diverticulosis: A Review. Ann Coloproctol. 2021;37(4):196-203. doi:10.3393/ac.2021.00192.0027
  4. Ugur K. Perforation of Cecal Diverticulum after Appendectomy. J Coll Physicians Surg Pak. 2019;29(2):175-177. doi:10.29271/jcpsp.2019.02.175
  5. Kröpfl V, Treml B, Scheidl S, et al. Necrotizing fasciitis of the lower extremity caused by perforated sigmoid diverticulitis-a case report. J Surg Case Rep. 2018;2018(8):rjy198. Published 2018 Aug 6. doi:10.1093/jscr/rjy198
  6. Abu-Hejleh T, Mezhir JJ, Goodheart MJ, Halfdanarson TR. Incidence and management of gastrointestinal perforation from bevacizumab in advanced cancers. Curr Oncol Rep. 2012;14(4):277-284. doi:10.1007/s11912-012-0238-8
  7. Hapani S, Chu D, Wu S. Risk of gastrointestinal perforation in patients with cancer treated with bevacizumab: a meta-analysis. Lancet Oncol. 2009;10(6):559-568. doi:10.1016/S1470-2045(09)70112-3
  8. Kumar D, Cortés-Penfield NW, El-Haddad H, Musher DM. Bowel Perforation Resulting in Necrotizing Soft-Tissue Infection of the Abdomen, Flank, and Lower Extremities. Surg Infect (Larchmt). 2018;19(5):467-472. doi:10.1089/sur.2018.022
  9. Bonne SL, Kadri SS. Evaluation and Management of Necrotizing Soft Tissue Infections. Infect Dis Clin North Am. 2017;31(3):497-511. doi:10.1016/j.idc.2017.05.011
  10. Paramythiotis D, Koukoutsis H, Harlaftis N. Necrotizing soft tissue infections. Surgical Practice.
  11. 2007;11:17-28. doi.org/10.1111/j.1744-1633.2007.00330.x
  12. Chernyadyev SA, Ufimtseva MA, Vishnevskaya IF, et al. Fournier’s Gangrene: Literature Review and Clinical Cases. Urol Int. 2018;101(1):91-97. doi:10.1159/000490108
  13. Al-Balas H, Al-Balas M, Al-Wiswasy M. Idiopathic spontaneous cecal perforation: A rare pathology with high mortality. Ann Med Surg (Lond). 2020;60:518-521. Published 2020 Nov 21. doi:10.1016/j.amsu.2020.11.047
  14. Wallace HA, Perera TB. Necrotizing Fasciitis. In: StatPearls. Treasure Island (FL): StatPearls Publishing; February 21, 2023.
  15. Kwee RM, Kwee TC. Diagnostic performance of MRI and CT in diagnosing necrotizing soft tissue infection: a systematic review. Skeletal Radiol. 2022;51(4):727-736. doi:10.1007/s00256-021-03875-9
  16. Sablone S, Lagouvardou E, Cazzato G, et al. Necrotizing Fasciitis of the Thigh as Unusual Colonoscopic Polypectomy Complication: Review of the Literature with Case Presentation. Medicina (Kaunas). 2022;58(1):131. Published 2022 Jan 15. doi:10.3390/medicina58010131
  17. Rupp M, Knapp G, Weisweiler D, Heiss C, Alt V. Intestinal Perforation by a Toothpick as Reason for Necrotizing Fasciitis. J Bone Jt Infect. 2018;3(4):226-229. Published 2018 Oct 4. doi:10.7150/jbji.29065
  18. Panter SJ, Bramble MG, Bell JR. Necrotizing fasciitis in Crohn’s disease. Eur J Gastroenterol Hepatol. 2001;13(4):429-431. doi:10.1097/00042737-200104000-00022
  19. Chanal J, Duong TA, Valeyrie-Allanore L, et al. Necrotizing fasciitis of the thigh revealing a Crohn’s disease. J Eur Acad Dermatol Venereol. 2015;29(8):1648-1649. doi:10.1111/jdv.12524
  20. Bouassida M, Hamzaoui L, Mroua B, et al. Retroperitoneal necrotizing fasciitis with gas gangrene, caused by perforated caecal diverticulitis. Int J Colorectal Dis. 2015;30(12):1739-1740. doi:10.1007/s00384-015-2150-9
  21. Tasaki M, Tsutsui Y, Maruyama R, et al. Nihon Hinyokika Gakkai Zasshi. 2002;93(7):758-761. doi:10.5980/jpnjurol1989.93.758
  22. Keung EZ, Liu X, Nuzhad A, Adams C, Ashley SW, Askari R. Immunocompromised status in patients with necrotizing soft-tissue infection. JAMA Surg. 2013;148(5):419-426. doi:10.1001/jamasurg.2013.173
  23. Tsetse C, Chaudhry SR, Jabi F, Taylor JN. Perforated cecal diverticulitis with CT diagnosis and medical management. Radiol Case Rep. 2018;14(1):30-35. Published 2018 Oct 4. doi:10.1016/j.radcr.2018.08.030
  24. Heidelberg LS, Pettke EN, Wagner T, Angotti L. An atypical case of necrotizing fasciitis secondary to perforated cecal cancer. J Surg Case Rep. 2020;2020(11):rjaa371. Published 2020 Nov 10. doi:10.1093/jscr/rjaa371
  25. Matrana MR, Margolin DA. Epidemiology and pathophysiology of diverticular disease. Clin Colon Rectal Surg. 2009;22(3):141-146. doi:10.1055/s-0029-1236157
  26. Kyziridis DS, Parpoudi SN, Antoniou ND, et al. Cecal diverticulitis is a challenging diagnosis: a report of 3 cases. Am J Case Rep. 2015;16:206-210. Published 2015 Apr 8. doi:10.12659/AJCR.892848