Unsupported Browser
The American College of Surgeons website is not compatible with Internet Explorer 11, IE 11. For the best experience please update your browser.
Menu
Become a member and receive career-enhancing benefits

Our top priority is providing value to members. Your Member Services team is here to ensure you maximize your ACS member benefits, participate in College activities, and engage with your ACS colleagues. It's all here.

Become a Member
Become a member and receive career-enhancing benefits

Our top priority is providing value to members. Your Member Services team is here to ensure you maximize your ACS member benefits, participate in College activities, and engage with your ACS colleagues. It's all here.

Become a Member
ACS
ACS Case Reviews

A Unique Case of Primary Omental Infarction in a Young, Healthy Male Patient

March 6, 2025

Abstract

Background

Omental infarction, a relatively rare condition, often presents with nonspecific abdominal symptoms, making diagnosis challenging. Its clinical presentation can mimic more prevalent abdominal pathologies, such as appendicitis, cholecystitis, or diverticulitis. Therefore, it is important to highlight symptomatology, radiological findings, and management options for omental infarction to optimize patient care.

Summary

A previously healthy 24-year-old male presented to the emergency department with acute right-sided abdominal pain. Initial differential diagnoses included cholecystitis, nephrolithiasis, diverticulitis, pancreatitis, and appendicitis, prompting a comprehensive diagnostic workup including a complete blood count (CBC), comprehensive metabolic panel (CMP), lipase, and CT abdomen and pelvis. Laboratory evaluation revealed leukocytosis (14.96 × 109/L). Abdominal CT initially raised concern for peritoneal carcinomatosis.

A multidisciplinary approach was employed to achieve our final diagnosis, culminating in a diagnostic laparoscopy by the acute care surgery team, which was significant for partial necrotic omentum. A hand-assisted partial omentectomy was performed, achieving complete removal of the necrotic tissue. Subsequently, after the surgical intervention, the patient had complete resolution of his abdominal pain and an uneventful postoperative recovery.

Conclusion

This case underscores omental infarction as a differential diagnosis in the context of acute abdominal pain. Surgical intervention is a successful treatment option for omental infarctions, especially in young patients, and should be considered in the evaluation and care of future patients presenting with analogous clinical scenarios.

Key Words

laparoscopy; omental infarction; necrosis; multidisciplinary approach


Case Description

Omental infarction is a rare, unique cause of acute abdominal pain. The right side of the abdomen is the predominant site of occurrence, attributable to the greater size and redundancy of the omental tissue.1‒3 Diagnosis poses a clinical challenge due to its indistinct symptomatology, which can mimic more prevalent abdominal pathologies, including diverticulitis, appendicitis, cholecystitis, or ovarian cyst torsion.1,2,4 Torsion, leading to ischemia, is the primary cause.2,4 Etiologies are classified as primary (often idiopathic, potentially linked to trauma, intense exercise, or increased intra-abdominal pressure) or secondary (associated with adhesions, hernias, neoplastic growths, localized inflammation, vasculitis or polycythemia). Specifically, in obese patients, omental fat accumulation may contribute to infarction by compromising distal epiploic artery blood flow.1‒4

Clinical presentation of omental infarction typically involves localized abdominal pain, sometimes with nausea and vomiting, low-grade fever, and mild leukocytosis.5 Despite its non-specific clinical presentation, advances in diagnostic imaging techniques have expedited the identification of omental infarction. CT imaging is the preferred modality for diagnosis, characterized by radiographic features such as “streaks of whirling,” “interspersed area with hyperattenuating streaky infiltration,” or triangular/oval-shaped fatty masses.1‒4 Here, we report a rare case of a primary omental infarction in a young, otherwise healthy male, focusing on the diagnostic and therapeutic management and clinical outcomes.

A 24-year-old male with no significant past medical or surgical history presented to the emergency department with acute right-sided abdominal pain. He noted experiencing constipation a few days prior to presentation, although his bowel function subsequently normalized. Otherwise, he denied other symptoms in the past few days. The abdominal pain had started suddenly two days prior to presentation. This abdominal pain was not associated with fevers, chills, nausea, vomiting, or changes in his urinary or bowel habits. He denied any recent weight loss or hematochezia. He had not undergone a prior colonoscopy and had no history of gastrointestinal issues in the past. Notably, he had a maternal family history of breast and colon cancer. He was not taking any medications at the time of presentation.

His vital signs upon presentation were unremarkable, and he was afebrile with a BMI of 33.23 kg/m2. Examination revealed a soft, non-distended abdomen with right hemi-abdominal tenderness to palpation. He also had a soft, reducible umbilical hernia and bilateral inguinal hernias without overlying skin changes. With his clinical presentation, there was concern for appendicitis, cholecystitis, diverticulitis, or pancreatitis. CBC, CMP, lipase, and CT of the abdomen and pelvis with contrast were ordered. His labs were significant for a leukocytosis of 14.96 × 109/L.

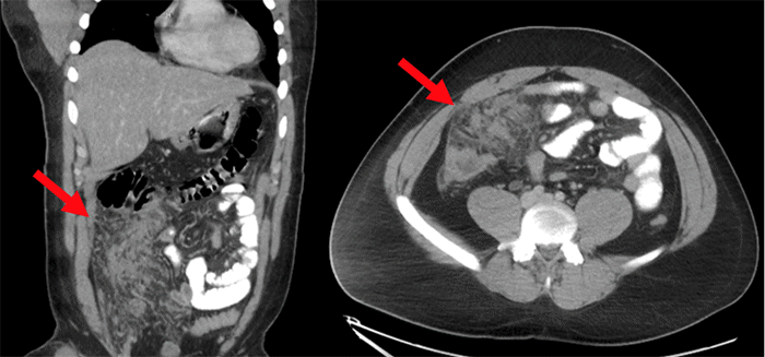
CT imaging demonstrated hepatic steatosis and hepatomegaly (liver span 20.5 cm). The gallbladder, pancreas, spleen, and adrenal glands were unremarkable. However, multifocal abutting soft tissue densities were identified in the central right abdominal peritoneum, extending into the pelvis, measuring approximately 7.5 × 10.4 cm in aggregate. A small amount of pelvic ascites was also present (Figure 1).

Figure 1. Abdominal CT Imaging at Presentation. Published with Permission

Coronal (left) and axial (right) views. Arrows indicate multifocal abutting soft tissue densities within the central right abdominal peritoneum
Coronal (left) and axial (right) views. Arrows indicate multifocal abutting soft tissue densities within the central right abdominal peritoneum

The symptomatology, physical exam, and imaging initially raised concern for peritoneal carcinomatosis. A review including general surgery, interventional radiology, diagnostic radiology, and internal medicine was conducted. Upon further review, the imaging suggested alternative diagnoses of omental infarction, vascular congestion, or mesenteritis.

Interventional radiology proposed a preoperative biopsy to establish a definitive diagnosis. However, given the concern for peritoneal carcinomatosis, the multidisciplinary team recommended a diagnostic laparoscopy instead. Additionally, a laparoscopy would minimize the risk of tumor seeding, which is a significant concern with a preoperative biopsy in suspected cases of peritoneal carcinomatosis. Furthermore, a laparoscopy would provide valuable information about the extent of disease and the feasibility of surgical resection, which would be crucial for determining the appropriate course of treatment and referring the patient to a quaternary referral center for specialized oncologic care if needed.

Diagnostic laparoscopy revealed extensive omental necrosis (Figure 2), with a small portion of the omentum extending into the right inguinal canal. The bilateral inguinal hernias were reducible and without bowel obstruction. Notably, torsion of the omentum was identified near the transverse colon, demarcating the transition to healthy tissue. No peritoneal studding or omental deposits were appreciated.

Figure 2. Intraoperative Imaging. Published with Permission

Infarcted omentum (left) and comparison of healthy and infarcted omentum (right)
Infarcted omentum (left) and comparison of healthy and infarcted omentum (right)

Consequently, a hand-assisted partial omentectomy was performed to excise the necrotic omentum, given the considerable size of the infarcted omentum, which precluded laparoscopic extraction. Throughout the procedure, exhaustive attempts at a completely laparoscopic resection were unsuccessful due to the size of the infarcted omentum, necessitating an enlarged incision for specimen extraction.

While there was discussion on repairing the inguinal hernia defects during this operation, concerns regarding a potential malignant etiology led to the decision to postpone the hernia repairs to a later date. This was considered an incidental finding as his presentation was not consistent with incarcerated hernias. Due to the concern for malignancy etiology, cytology of the peritoneal fluid was collected during the procedure, which revealed the absence of malignant cells. Final pathology of the omentum demonstrated inflammation, reactive mesothelial hyperplasia, and vascular congestion. The remainder of the diagnostic laparoscopy was unremarkable, and no complications occurred during the procedure.

Postoperatively, the patient recovered well, with complete resolution of abdominal pain. He was discharged home on postoperative day one. At his one-month follow-up visit in our outpatient clinic, he reported no further abdominal pain or other concerns.

Discussion

Omental infarction is a rarely encountered origin of acute abdominal pain, with limited documentation in the medical literature primarily consisting of case reports and case series comprising approximately 400 cases. This pathology exhibits most commonly in children and men aged 40-50, with a predominance in obese patients.2,3 Our patient, with a BMI of 33.23 kg/m2, falls within this category. The etiology could potentially be due to fatty accumulation within the omentum, occluding the distal epiploic arteries, or a spontaneous torsion of the omentum. The exact etiology of this patient’s omental infarction remains unclear.

While awareness of omental infarction as a cause of acute abdominal pain is increasing, the standard of therapeutic management remains debated. Options include conservative or surgical management. Conservative intervention, with = oral analgesics and anti-inflammatory agents, is typically recommended due to the self-resolving course of many omental infarctions.3

A systematic review demonstrated an 84.1% success rate for conservative management in 73.3% of cases. However, surgical intervention offers the advantage of reduced hospitalization duration. A comparative analysis revealed an average hospital stay of 2.5 days for surgical management versus 5 days for conservative management. Notably, patients who failed conservative management had the longest average hospital stay (6.9 days). Younger age and/or an elevated white blood cell count (>12 × 109/L) at admission seemed to be predictive factors for failing conservative management. Of those who failed conservative management, 68.7% ultimately underwent a surgical approach, with 27.2% requiring conversion to laparotomy.5

Another review of 64 patients revealed a 15.6% failure rate of conservative management, necessitating subsequent laparoscopic resection.6 Overall, surgical treatment leads to faster resolution of symptoms and hastened recovery with minimal need for follow-up. Conversely, patients managed conservatively may require up to three months of clinical and radiologic monitoring. Furthermore, surgical intervention may mitigate the risk of future complications such as intra-abdominal adhesions or abscess formation due to the persistence of necrotic tissue.5

In our case, the patient’s radiologic findings were initially concerning for peritoneal carcinomatosis, vascular congestion, omental infarction, or mesenteritis. Given the diagnostic uncertainty, and in collaboration with the patient, clinical judgment led to the decision of surgical intervention with laparoscopic omentectomy. The patient’s young age and lack of significant medical or surgical history made him an excellent surgical candidate. This decision in management resulted in immediate resolution of the patient’s abdominal pain and facilitated a short hospital stay of one day.

Conclusion

This case illustrates primary omental infarction, a rare cause of acute generalized abdominal pain. In young patients presenting with such pain in the absence of other symptoms, a broad differential diagnosis must be considered. Standard workup includes CBC, CMP, lipase, and CT of the abdomen and pelvis. CT imaging is instrumental in diagnosing omental infarction. While conservative management has traditionally been favored for omental infarctions, surgical intervention should be considered in patients with predictors of conservative management failure, such as younger age and leukocytosis.

Lessons Learned

The adoption of a multidisciplinary approach in the management of patients with rare diagnoses is instrumental in the delivery of optimal patient care. In clinically ambiguous scenarios, surgical intervention may be appropriate for definitive diagnosis. In this young, otherwise healthy patient, surgical intervention facilitated rapid recovery and an optimal clinical outcome.

Authors

Mehta Aa; Cho Tb; Marrero Kb; George Lb; Checovich Aa,b

Author Affiliations

  1. Carle Illinois College of Medicine, Urbana, IL, 61801
  2. Department of General Surgery, Carle Foundation Hospital, Urbana, IL, 61801

Corresponding Author

Anila Mehta, MD
Carle Illinois College of Medicine
506 S. Mathews Avenue
Urbana, IL 61801
Email: anilam2@illinois.edu

Disclosure Statement

The authors have no conflicts of interest to disclose.

Funding/Support

The authors have no relevant financial relationships or in-kind support to disclose.

Received: July 16, 2023
Revision received: October 23, 2023
Accepted: January 2, 2024

References

  1. Bin Mohamed Ebrahim ME, Kulasegaran S, Leibman S, Smith G. Greater omental infarction. ANZ J Surg. 2022;92(11):3080-3081. doi:10.1111/ans.17545
  2. Castro BN, Amado A, Torre AP, Azevedo J, Graça S, Maciel J. Idiopathic left omental infarction. Autops Case Rep. 2019;10(1):e2019123. Published 2019 Dec 13. doi:10.4322/acr.2019.123
  3. Park TU, Oh JH, Chang IT, et al. Omental infarction: case series and review of the literature. J Emerg Med. 2012;42(2):149-154. doi:10.1016/j.jemermed.2008.07.023
  4. Subasinghe D, Jayasinghe R, Ranaweera G, Kodithuwakku U. Spontaneous omental infarction: A rare case of acute abdomen. SAGE Open Med Case Rep. 2022;10:2050313X221135982. Published 2022 Nov 7. doi:10.1177/2050313X221135982
  5. Medina-Gallardo NA, Curbelo-Peña Y, Stickar T, et al. OMENTAL INFARCTION: SURGICAL or CONSERVATIVE TREATMENT? A CASE REPORTS and CASE SERIES SYSTEMATIC REVIEW. Ann Med Surg (Lond). 2020;56:186-193. Published 2020 Jun 27. doi:10.1016/j.amsu.2020.06.031
  6. Soobrah R, Badran M, Smith SG. Conservative management of segmental infarction of the greater omentum: a case report and review of literature. Case Rep Med. 2010;2010:765389. doi:10.1155/2010/765389