Unsupported Browser
The American College of Surgeons website is not compatible with Internet Explorer 11, IE 11. For the best experience please update your browser.
Menu
Become a member and receive career-enhancing benefits

Our top priority is providing value to members. Your Member Services team is here to ensure you maximize your ACS member benefits, participate in College activities, and engage with your ACS colleagues. It's all here.

Become a Member
Become a member and receive career-enhancing benefits

Our top priority is providing value to members. Your Member Services team is here to ensure you maximize your ACS member benefits, participate in College activities, and engage with your ACS colleagues. It's all here.

Become a Member
ACS
ACS Case Reviews

Surgical Resection of a Retrocaval Hepatocellular Carcinoma: Defining Tumor-Vein Interface in Oncologic High-Risk Tumors

March 6, 2025

Abstract

Background

Surgical management of high-risk hepatocellular carcinoma (HCC) tumors presents a significant challenge. This report describes a case of a large retrocaval HCC abutting the vena cava that was successfully resected without requiring vena cava resection in a patient with compensated cirrhosis (Child-Pugh A).

Summary

A 55-year-old woman with Child-Pugh A cirrhosis presented with a large retrocaval HCC arising from posterior segment 7 of the liver. The tumor replaced the right adrenal gland and had a broad interface with the inferior vena cava (IVC). Intraoperatively, an 11.5 × 7.3 × 6.8 cm exophytic, pedunculated HCC was found impinging on the IVC and right renal vein but without evidence of direct tumor invasion. A right posterior sectionectomy with en bloc right adrenalectomy was performed, achieving complete resection. The patient had an uneventful recovery and was discharged home on postoperative day 12.

Conclusion

While HCC tumor morphological heterogeneity is well-described, the ability to interpret radiologic findings and correlate them with macroscopic tumor morphology is critical for appropriate patient selection for surgical resection, even in cases of large, complex tumors.

Key Words

hepatocellular carcinoma; liver tumor; vena cava interface; hepatectomy


Case Description

A 55-year-old female with a history of treated hepatitis C initially presented with shortness of breath secondary to chronic emphysema exacerbation. A chest CT obtained at an outside hospital revealed pulmonary emphysema, stigmata of liver cirrhosis, and a 9.7 × 7.1 cm hypervascular mass in the hepatorenal recess. Biochemical workup ruled out pheochromocytoma, and a core needle biopsy demonstrated poorly differentiated hepatocellular carcinoma (HCC). The patient’s alpha-fetoprotein (AFP) level was elevated at 6124 ng/mL.

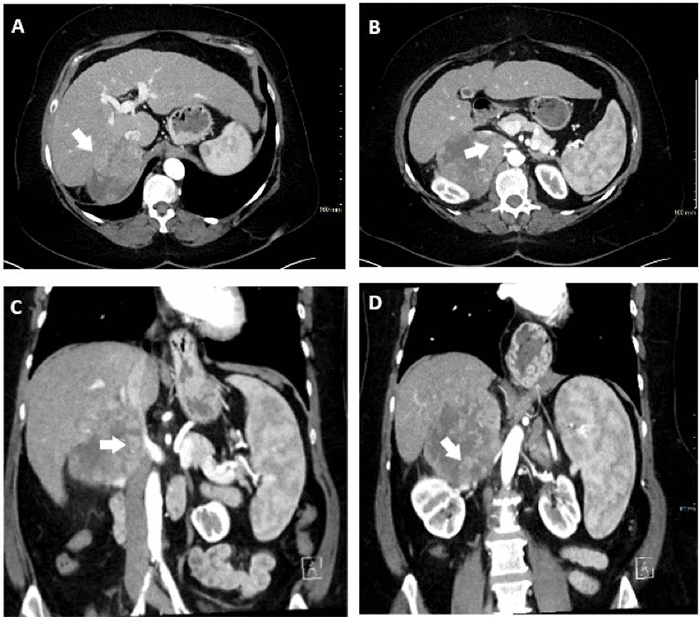
She was referred for surgical evaluation but was lost to follow-up for three months, subsequently presenting with right upper quadrant abdominal discomfort. A triphasic liver CT demonstrated an 11.0 × 9.3 × 7.6 cm (approximately 2 cm growth in 3 months) retrocaval HCC with a long interface with the infrahepatic IVC, inferiorly displacing the right kidney (Figure 1), and an adjacent 2 cm nodule. Staging CT of the chest, abdomen, and pelvis showed no evidence of distant metastasis. The tumor was deemed not favorable for liver-directed therapies and beyond size criteria for liver transplantation. Given the patient’s Child-Pugh A cirrhosis and the tumor’s anatomical resectability, surgical resection was considered, although it was recognized that the procedure would be complex and potentially require en bloc resection of the IVC.

Figure 1. Preoperative Contrast-enhanced CT Imaging. Published with Permission

(A) An 11.0 × 9.7 × 7.1 cm tumor located in the hepatorenal recess of a cirrhotic liver. (B) The tumor, arising from liver segment VII, exhibiting direct contact with the inferior vena cava (arrow); (C) an extensive tumor-vena cava interface, extending superiorly from the hepatic confluence to the renocaval junction and inferiorly to the renal pelvis (D).
(A) An 11.0 × 9.7 × 7.1 cm tumor located in the hepatorenal recess of a cirrhotic liver. (B) The tumor, arising from liver segment VII, exhibiting direct contact with the inferior vena cava (arrow); (C) an extensive tumor-vena cava interface, extending superiorly from the hepatic confluence to the renocaval junction and inferiorly to the renal pelvis (D).

Preoperative venovenous bypass cannulas were placed in anticipation of potential total hepatic vascular exclusion, en bloc IVC resection, and possible IVC reconstruction. Exploration via a modified Makuuchi laparotomy revealed a large, exophytic, vascularized tumor in the hepatorenal recess, arising from the posterior liver with extensive IVC abutment. A right posterior sectionectomy was performed using intraoperative ultrasound and crush clamp parenchymal transection via an anterior approach (Figure 2).

Figure 2. Post-resection Surgical Bed. Published with Permission

A) Cirrhotic liver morphology, B) intra-parenchymal right hepatic vein, C) retrocaval tumor cavity previously occupied by the resected tumor, now displacing the inferior vena cava D) ventrally from its normal anatomical position
A) Cirrhotic liver morphology, B) intra-parenchymal right hepatic vein, C) retrocaval tumor cavity previously occupied by the resected tumor, now displacing the inferior vena cava D) ventrally from its normal anatomical position

The tumor was removed en bloc with the right adrenal gland. A separate 2 cm tumor nodule (lymph node) abutting the right renal-cava junction was resected, and metal clips were placed for potential adjuvant radiation therapy. An intraoperative cholangiogram confirmed intact left and right hepatic ducts and second-order right anterior and left biliary radicals.

Postoperative transaminase elevation was expected, with alanine transaminase peaking at 745 U/L, aspartate aminotransferase peaking at 689 U/L, and total bilirubin peaking at 1.8 mg/dL on postoperative day 1, with subsequent normalization. The patient was discharged on postoperative day 12, with discharge delays primarily attributable to social factors.

Gross examination of the resected specimen revealed a 677 g portion of liver containing a tumor measuring 14.5 × 13.0 x 7.0 cm (Figure 3). The identified liver segment measured 13.0 × 7.5 × 7.0 cm, with the tumor measuring 11.5 × 7.3 × 6.8 cm and clear surgical margins of 2 cm (R0). Histology confirmed moderately to poorly differentiated HCC, extending beyond the liver and completely replacing the right adrenal gland. Small vessel invasion was noted, but no perineural invasion was identified. The adjacent renal-cava nodule was a metastatic lymph node with extensive extranodal extension. Pathologic staging was pT4N1 (Stage IVA – AJCC 8th Edition).

Figure 3. Resected Specimen (Liver Segments 6 and 7, Right Adrenal Gland, and Right Perinephric Tissue). Published with Permission

(A) Tumor measuring 11.5 × 7.3 × 6.8 cm; (B) moderately to poorly differentiated hepatocellular carcinoma; (C) extrahepatic tumor extension with direct invasion and near-complete replacement of the right adrenal gland; (D) a satellite nodule with metastatic carcinoma involving one lymph node and extensive tumor within the fibroadipose tissue
(A) Tumor measuring 11.5 × 7.3 × 6.8 cm; (B) moderately to poorly differentiated hepatocellular carcinoma; (C) extrahepatic tumor extension with direct invasion and near-complete replacement of the right adrenal gland; (D) a satellite nodule with metastatic carcinoma involving one lymph node and extensive tumor within the fibroadipose tissue

Following review at a multidisciplinary cancer conference, the patient was recommended for adjuvant radiation therapy. She completed 50.4 Gy of external beam radiation to the post-resection tumor bed. She was subsequently lost to follow-up and represented six months later after a motor vehicle accident. At that time, metastatic recurrence was identified in the L1/L2 vertebrae, right renal hilum, and as multifocal liver lesions. Palliative systemic therapy with pembrolizumab and bevacizumab was initiated.

Discussion

Hepatocellular carcinoma (HCC) represents the leading cause of worldwide cancer-related mortality, with a concerning rise in incidence observed within the United States.1 Unlike most other solid tumors, HCC diagnosis can be definitively established through noninvasive multiphase contrast-enhanced cross-sectional liver imaging, eliminating the need for tissue confirmation prior to initiating treatment. The Liver Imaging Reporting and Data Systems (LI-RADS) criteria provide near-100% positive predictive value for HCC in cirrhotic patients.2

In this case, the patient underwent biopsy at an outside institution, likely due to initial diagnostic uncertainty. The loss of the fat plane between the retrocaval tumor and the vena cava limited radiographic interpretation. However, the exophytic, encapsulated morphology suggested an expansive, rather than invasive, growth pattern, evidenced by mass effect and complete IVC collapse, but without macroscopic intravascular thrombus. Intraoperatively, the tumor was readily dissected from the IVC adventitia with clear microscopic margins, obviating the need for vena cava resection.

Complete surgical resection with negative margins is the recommended curative treatment in compensated patients with resectable HCC. Advancements in surgical techniques have improved the safety and tolerability of liver surgery, even for high-risk HCC (large >5 cm tumors, multinodular disease, and/or major vascular invasion).3 However, despite these advancements, a significant portion (70-80%) of patients experience postoperative recurrence after resection of high-risk tumors.4,5

This patient’s metastatic recurrence raises the question of adjuvant systemic therapy in such patients. Current treatment algorithms for potentially resectable HCC prioritize surgical assessment and active surveillance after complete locoregional therapy.6 Further research is needed to evaluate neoadjuvant and adjuvant therapies in high-risk HCC to optimize patient selection for resection and improve outcomes.

Concurrently with surgical advancements, systemic therapies have also evolved, including checkpoint inhibition (PD-L1) combined with vascular endothelial growth factor (VEGF) inhibition. This combination has demonstrated superior overall and progression-free survival compared to sorafenib in unresectable HCC.7

The emerging data supporting dual PD-L1/VEGF blockade as a first-line therapy for unresectable HCC opens the door for studying its efficacy in the adjuvant setting for high-risk patients following curative resection or ablation. Two key trials are underway to investigate this:

  • IMbrave 050: This phase 3 randomized trial is evaluating the use of dual PD-L1/VEGF blockade versus active surveillance in HCC patients at high risk of recurrence following curative resection or ablation. The primary endpoint is recurrence-free survival (RFS), with overall survival (OS) as a secondary outcome measure.8
  • EMERALD-2: This phase 3, randomized, double-blind, placebo-controlled study is assessing the efficacy and safety of PD-L1 inhibition, either alone or combined with VEGF blockade, as adjuvant therapy in patients who have successfully undergone curative therapy. The primary outcome measure is RFS for dual PD-L1/VEGF blockade versus placebo, with secondary outcome measures including RFS for PD-L1 monotherapy versus placebo and overall survival across all three arms. Additional secondary outcome measures include RFS at 24 and 36 months, time to recurrence, and time from randomization to recurrence/progression on the next line of therapy.9

We support the investigation of adjuvant systemic therapy in high-risk patients with acceptable toxicity profiles. While neoadjuvant data are limited, a phase 1b study has shown the feasibility of neoadjuvant combined PD-1 inhibition and tyrosine kinase inhibition. This approach successfully converted locally advanced HCC into resectable disease in 80% of patients (12/15), with major pathologic responses observed in 42% (5/12).10

Surgical treatment selection depends on tumor number, size, location, extrahepatic disease, and liver function. Resection is preferred for resectable HCC in compensated cirrhosis, while transplantation is reserved for decompensated cirrhosis meeting Milan/UNOS or University of California San Francisco criteria.11,12

For single HCC tumors in patients with preserved liver function and no portal hypertension, surgical resection offers a low perioperative mortality rate and excellent survival rates, approaching 70% at five years.11‒13 Therefore, appropriately selected patients should be considered for resection regardless of tumor size, with meticulous assessment of the tumor-vessel interface and future liver remnant to determine resectability and surgical complexity.

Conclusion

A thorough understanding of HCC macroscopic morphology, coupled with meticulous preoperative planning using multiphase contrast-enhanced cross-sectional liver imaging, is essential for defining the extent of resection.

Anatomic constraints play a crucial role in determining HCC surgical resectability. Factors to consider include:

  • Tumor location and liver vasculature relationship
  • Degree of underlying cirrhosis
  • Future liver remnant volume

Predicting tumor-major vein interface dissectability in large HCCs based on imaging alone remains challenging, and surgical exploration should be considered when clear invasion is not radiographically evident.

Lessons Learned

Differentiating HCC tumor abutment from microscopic invasion or adhesion to adjacent vessels remains a limitation of cross-sectional imaging. Surgical exploration should be considered in potentially resectable HCC cases where obvious vessel invasion is not observed radiographically. Further research is warranted to evaluate the role of neoadjuvant therapy in high-risk HCC. Additionally, the efficacy of adjuvant combination PD-L1 and VEGF inhibition after complete resection should be investigated to determine its clinical benefit.

Authors

Le VHa; Tee MCb; Buss Rc; Andres MWd; Kuestner LMd; Franko Ja

Author Affiliations

  1. Department of Surgery, MercyOne Medical Center, Des Moines, IA 50314
  2. Department of Surgery, Howard University College of Medicine, Washington, DC 20060
  3. Department of Radiology, MercyOne Medical Center, Des Moines, IA 50314
  4. Department of Pathology, MercyOne Medical Center, Des Moines, IA 50314
  5. Department of Surgery, MercyOne Iowa Heart Center, Des Moines, IA 50314

Corresponding Author

Viet H. Le, MD, MS, FACS
Department of Surgery
MercyOne Medical Center
411 Laurel Street
Ste. 2100
Des Moines, IA 50314
Email: vietle.md@gmail.com

Disclosure Statement

The authors have no conflicts of interest to disclose.

Funding/Support

The authors have no relevant financial relationships or in-kind support to disclose.

Received: August 25, 2022
Revision received: April 16, 2023
Accepted: May 15, 2023

References

  1. El-Serag HB, Mason AC. Rising incidence of hepatocellular carcinoma in the United States. N Engl J Med. 1999;340(10):745-750. doi:10.1056/NEJM199903113401001
  2. Tang A, Bashir MR, Corwin MT, et al. Evidence Supporting LI-RADS Major Features for CT- and MR Imaging-based Diagnosis of Hepatocellular Carcinoma: A Systematic Review. Radiology. 2018;286(1):29-48. doi:10.1148/radiol.2017170554
  3. Truty MJ, Vauthey JN. Surgical resection of high-risk hepatocellular carcinoma: patient selection, preoperative considerations, and operative technique. Ann Surg Oncol. 2010;17(5):1219-1225. doi:10.1245/s10434-010-0976-5
  4. Li ZL, Yu JJ, Guo JW, et al. Liver resection is justified for multinodular hepatocellular carcinoma in selected patients with cirrhosis: A multicenter analysis of 1,066 patients. Eur J Surg Oncol. 2019;45(5):800-807. doi:10.1016/j.ejso.2018.12.016
  5. Zhong JH, Rodríguez AC, Ke Y, Wang YY, Wang L, Li LQ. Hepatic resection as a safe and effective treatment for hepatocellular carcinoma involving a single large tumor, multiple tumors, or macrovascular invasion [published correction appears in Medicine (Baltimore). 2015 Feb;94(6):1]. Medicine (Baltimore). 2015;94(3):e396. doi:10.1097/MD.0000000000000396
  6. National Comprehensive Cancer Network. Hepatobiliary Cancers (Version 5.2021). https://www.nccn.org/professionals/physician_gls/pdf/hepatobiliary.pdf. Accessed Feb 27, 2022.
  7. Finn RS, Qin S, Ikeda M, et al. Atezolizumab plus Bevacizumab in Unresectable Hepatocellular Carcinoma. N Engl J Med. 2020;382(20):1894-1905. doi:10.1056/NEJMoa1915745
  8. Hack SP, Spahn J, Chen M, et al. IMbrave 050: a Phase III trial of atezolizumab plus bevacizumab in high-risk hepatocellular carcinoma after curative resection or ablation [published correction appears in Future Oncol. 2020 Oct;16(29):2371]. Future Oncol. 2020;16(15):975-989. doi:10.2217/fon-2020-0162
  9. ClinicalTrials.gov. Assess Efficacy and Safety of Durvalumab Alone or Combined with Bevacizumab in High Risk of Recurrence HCC Patients After Curative Treatment (EMERALD-2) [NCT03847428]. ClinicalTrials.gov. Updated February 21, 2023. Accessed April 16, 2023. https://classic.clinicaltrials.gov/ct2/show/results/NCT03847428
  10. Ho WJ, Zhu Q, Durham J, et al. Neoadjuvant Cabozantinib and Nivolumab Converts Locally Advanced HCC into Resectable Disease with Enhanced Antitumor Immunity. Nat Cancer. 2021;2(9):891-903. doi:10.1038/s43018-021-00234-4
  11. Fonseca AL, Cha CH. Hepatocellular carcinoma: a comprehensive overview of surgical therapy. J Surg Oncol. 2014;110(6):712-719. doi:10.1002/jso.23673
  12. Poon RT, Fan ST. Hepatectomy for hepatocellular carcinoma: patient selection and postoperative outcome. Liver Transpl. 2004;10(2 Suppl 1):S39-S45. doi:10.1002/lt.20040
  13. Marrero JA, Kulik LM, Sirlin CB, et al. Diagnosis, Staging, and Management of Hepatocellular Carcinoma: 2018 Practice Guidance by the American Association for the Study of Liver Diseases. Hepatology. 2018;68(2):723-750. doi:10.1002/hep.29913