Unsupported Browser
The American College of Surgeons website is not compatible with Internet Explorer 11, IE 11. For the best experience please update your browser.
Menu
Become a member and receive career-enhancing benefits

Our top priority is providing value to members. Your Member Services team is here to ensure you maximize your ACS member benefits, participate in College activities, and engage with your ACS colleagues. It's all here.

Become a Member
Become a member and receive career-enhancing benefits

Our top priority is providing value to members. Your Member Services team is here to ensure you maximize your ACS member benefits, participate in College activities, and engage with your ACS colleagues. It's all here.

Become a Member
ACS
ACS Case Reviews

Stercoral Ulcer Perforation in a Young Woman at 29 Weeks Gestation Treated with Sigmoid Colectomy and Colostomy Creation

March 6, 2025

Abstract

Background

Constipation, affecting approximately 40% of pregnant women compared to 7% of non-pregnant women of similar age, can lead to the severe complication of stercoral ulceration and potentially perforation. We present a case of stercoral perforation in a pregnant patient, highlighting the unique challenges this scenario presents.

Summary

A 39-year-old woman at 29 weeks’ gestation presented with left lower quadrant abdominal pain and constipation. Initial MRI of the abdomen and pelvis revealed free fluid in the left lower quadrant, but was otherwise unremarkable. Due to clinical deterioration, a subsequent CT scan (obtained after consultation with maternal-fetal medicine) demonstrated free air and colonic perforation. The patient underwent exploratory laparotomy with sigmoid colectomy and end colostomy formation.

Postoperative recovery was uncomplicated, and she was discharged on postoperative day 7. This case raises several clinically relevant questions regarding optimal imaging strategies, post-operative birth planning, the potential for increased complications (including parastomal or incisional hernias) during the remainder of the pregnancy and delivery, and the timing of colostomy reversal. This case represents a rare clinical entity with limited precedent.

Conclusion

Surgical emergencies in pregnant patients pose unique management challenges. This case report describes a third-trimester pregnancy complicated by stercoral perforation requiring surgical intervention, emphasizing the deviations from standard perioperative care algorithms necessitated by this complex presentation.

Key Words

acute abdomen; sigmoid; pneumatosis intestinalis; pneumoperitoneum; surgery


Case Description

A 39-year-old G6P4 woman at 29 weeks’ gestation presented to the emergency department with a one-day history of left lower quadrant abdominal pain. She reported constipation, with her last bowel movement one week prior, unresponsive to over-the-counter laxatives. She denied narcotic use, pica, or other secondary causes of constipation.

Initially hemodynamically stable, her laboratory studies were notable for a leukocytosis of 18,900. Surgical consultation was obtained. Physical examination revealed left lower quadrant tenderness without peritoneal signs. MRI of the abdomen demonstrated free fluid and inflammation adjacent to the sigmoid colon.

The patient’s condition deteriorated, marked by increasing lethargy, tachycardia, and worsening abdominal signs and symptoms, including peritonitis. Following discussion with maternal-fetal medicine, a CT scan of the abdomen and pelvis was performed, revealing free air and stool in the abdomen (Figure 1). Given these findings, an emergency laparotomy was planned in conjunction with the obstetrics team, with continuous perioperative fetal monitoring.

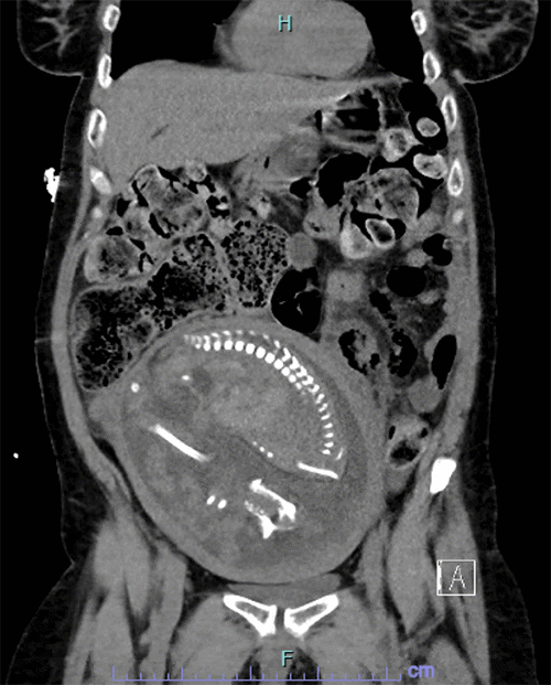
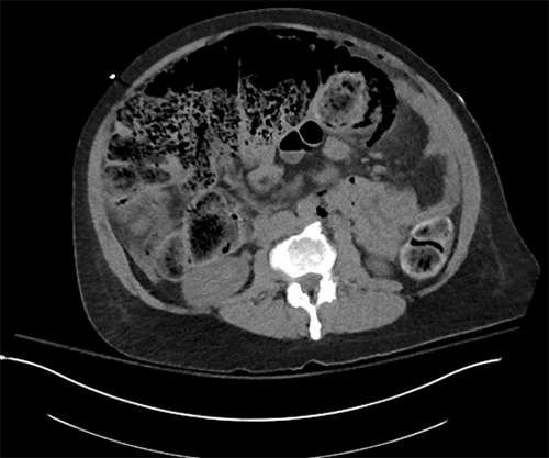
Figure 1. Abdominal and Pelvic CT Imaging (Axial and Coronal Views) with IV Contrast. Published with Permission

The axial view demonstrates a large fecal burden with associated air trapping
The axial view demonstrates a large fecal burden with associated air trapping
The coronal view confirms significant fecal impaction with multiple air pockets, suggestive of stercoral perforation
The coronal view confirms significant fecal impaction with multiple air pockets, suggestive of stercoral perforation

Exploratory laparotomy, sigmoid colectomy, and end colostomy creation were performed. Feculent ascites was encountered intraoperatively. A perforation was identified posteriorly within the mesentery of the sigmoid colon, with free air tracking along the retroperitoneum and in the mesentery of the proximal colon. The remaining colon appeared well-perfused and viable. The colon was divided proximal and distal to the perforation, and the proximal colon was disimpacted. Numerous large, firm fecaliths were removed. Following irrigation, the abdomen was closed, and an end colostomy was created through the rectus muscle in the left upper abdomen, distant from the gravid uterus.

Postoperatively, the patient recovered well and was discharged on postoperative day 7 after return of bowel function and adequate pain control. She subsequently delivered a healthy infant vaginally after induction of labor for severe pre-eclampsia. Seven months postpartum, she underwent successful colostomy reversal.

Discussion

Constipation, characterized by hard stools, infrequent bowel movements, or difficulty with stool passage, is a common affliction. While often uncomfortable, chronic constipation can lead to serious complications. Fecal impaction, if untreated, can progress to ulceration, necrosis, and even perforation.1 This is particularly prevalent in older, often bedridden adults, with mortality rates as high as 60% in cases of perforation.2 The pathophysiology of stercoral perforation involves impacted stool exerting pressure on the colonic wall, exceeding capillary perfusion pressure, and resulting in ischemia, necrosis, and eventual perforation.

Although constipation is more common in older adults, it also frequently occurs during pregnancy. The etiology in pregnancy is multifactorial, including compression of the colon by the gravid uterus, iron supplementation, and the influence of progesterone on intestinal transit.3

While constipation during pregnancy rarely leads to serious consequences, stercoral perforation is exceedingly rare, with only five cases reported. Of these, four involved secondary contributing factors (Table 1). One case involved a patient at 41 weeks’ gestation with a history of pica (clay consumption) and chronic constipation, who presented with severe abdominal pain and delivered a stillborn infant, ultimately succumbing herself shortly after delivery. Autopsy confirmed stercoral perforation.4 Another report described a patient at 31 weeks’ gestation with a history of narcotic abuse and untreated chronic constipation, presenting with peritoneal signs. Surgical exploration revealed feculent peritonitis, necessitating resection and colostomy creation. Postoperatively, colostomy prolapse complicated by impending colonic ischemia required cesarean section and colostomy revision. Mother and baby recovered well in this case.5 A third case involved a 31-week pregnant woman with a history of chronic constipation and narcotic use who presented with abdominal pain. Despite multiple imaging modalities, the source of her pain remained elusive until she developed septic shock, at which point CT imaging revealed a sigmoid perforation. She underwent cesarean section and sigmoid colectomy with colostomy creation.6

Authors Date Published Title Brief description
WL Russell Jun-76 Stercoraceous ulcer A 41-week pregnant patient with a history of clay pica presented with abdominal pain, delivered a stillborn infant, and died shortly after. Autopsy revealed stercoral perforation.4
JF Sung et al. Feb-09 Stercoral perforation of the colon with favorable pregnancy outcome A 36-week pregnant patient with a history of IBS presented with fever, tachycardia, and abdominal pain. Stercoral perforation was discovered during a Cesarean section performed for diagnostic uncertainty. Both mother and infant recovered.12
AL Atkinson, A Pepe. Apr-10 Stercoral perforation of the colon in pregnancy A 37-week pregnant patient with a history of an eating disorder and narcotic use disorder presented with abdominal pain and peritonitis. Sigmoid resection and colostomy creation were performed for stercoral perforation. Postoperatively, ostomy prolapse necessitated colostomy revision and Cesarean section on day 6.5
T Matsushita et al. Nov-11 Stercoral perforation of the colon during pregnancy A 22-week pregnant patient with a history of left oophorectomy and significant constipation presented with acute abdominal pain and peritonitis. CT scan showed free air, leading to surgery where an adhesion between the uterus and sigmoid colon was found, with the perforation adjacent to it. Sigmoid colectomy and colostomy were performed. Uncontrollable uterine contractions led to a vaginal delivery shortly after surgery, and the infant died.13
AB Costales et al. Apr-15 Stercoral perforation of the colon during pregnancy: a case report and review of the literature A 31-week pregnant patient with a history of narcotic abuse presented with acute abdominal pain. Ultrasound and MRI showed abdominal fluid, but a CT scan revealed sigmoid colon perforation. Cesarean section, sigmoid resection, and colostomy creation were performed. Postoperative complications included an intraabdominal abscess and fascial dehiscence requiring reoperation. Both mother and infant ultimately recovered.6
Table 1. Summary of Published Cases of Stercoral Perforation During Pregnancy and Management Strategies
Authors Date Published Title Brief description
WL Russell Jun-76 Stercoraceous ulcer A 41-week pregnant patient with a history of clay pica presented with abdominal pain, delivered a stillborn infant, and died shortly after. Autopsy revealed stercoral perforation.4
JF Sung et al. Feb-09 Stercoral perforation of the colon with favorable pregnancy outcome A 36-week pregnant patient with a history of IBS presented with fever, tachycardia, and abdominal pain. Stercoral perforation was discovered during a Cesarean section performed for diagnostic uncertainty. Both mother and infant recovered.12
AL Atkinson, A Pepe. Apr-10 Stercoral perforation of the colon in pregnancy A 37-week pregnant patient with a history of an eating disorder and narcotic use disorder presented with abdominal pain and peritonitis. Sigmoid resection and colostomy creation were performed for stercoral perforation. Postoperatively, ostomy prolapse necessitated colostomy revision and Cesarean section on day 6.5
T Matsushita et al. Nov-11 Stercoral perforation of the colon during pregnancy A 22-week pregnant patient with a history of left oophorectomy and significant constipation presented with acute abdominal pain and peritonitis. CT scan showed free air, leading to surgery where an adhesion between the uterus and sigmoid colon was found, with the perforation adjacent to it. Sigmoid colectomy and colostomy were performed. Uncontrollable uterine contractions led to a vaginal delivery shortly after surgery, and the infant died.13
AB Costales et al. Apr-15 Stercoral perforation of the colon during pregnancy: a case report and review of the literature A 31-week pregnant patient with a history of narcotic abuse presented with acute abdominal pain. Ultrasound and MRI showed abdominal fluid, but a CT scan revealed sigmoid colon perforation. Cesarean section, sigmoid resection, and colostomy creation were performed. Postoperative complications included an intraabdominal abscess and fascial dehiscence requiring reoperation. Both mother and infant ultimately recovered.6

These latter two cases, along with the present case, highlight the diagnostic challenges of abdominal pain during pregnancy. Evaluation of abdominal complaints in pregnant patients preferentially avoids ionizing radiation. MRI is the preferred modality due to its lack of radiation and high soft tissue contrast resolution. While CT scans deliver radiation doses below the threshold generally considered harmful to the fetus (typically 8 mSv for the abdomen and 6 mSv for the pelvis, with <100 mSv considered low dose7), many clinicians remain hesitant to order them. Furthermore, pneumoperitoneum and pneumatosis, while detectable on MRI as signal voids on T1- and T2-weighted imaging, can be subtle and may not be the most sensitive or specific indicators of perforation. Nevertheless, if MRI is unavailable, diagnosis should not be delayed, and CT should be considered. Ultrasound, readily available and cost-effective, offers another diagnostic option. Point-of-care ultrasound has demonstrated 92% sensitivity and 53% specificity for detecting pneumoperitoneum,9 with findings including A-lines and enhancement of the gas-peritoneal interface.10 In situations where MRI and CT are unavailable, ultrasound may be a suitable alternative when perforation is suspected.

Our patient presented several clinical challenges. She developed stercoral perforation at 29 weeks’ gestation, requiring emergent surgery. Her pregnancy complicated diagnostic evaluation. While MRI is the standard for minimizing fetal radiation exposure, in this case, it proved insufficient, necessitating CT imaging for definitive diagnosis. Diagnostic laparoscopy, with conversion to laparotomy if needed, could have been considered, especially given the development of peritonitis after the MRI, potentially avoiding further radiation exposure. Ultimately, a Hartmann procedure was performed, with the gravid uterus adding complexity to the dissection.

A proposed algorithm for diagnosis and management of abdominal pain and peritonitis is outlined in Figure 2. In pregnant patients presenting with abdominal pain and peritonitis, diagnostic laparoscopy with conversion to laparotomy, if necessary, is indicated. If the patient is stable, preoperative imaging may aid surgical planning. In the absence of peritonitis, MRI is the preferred imaging modality. If MRI reveals a surgical condition, surgical intervention is warranted. If MRI is inconclusive, CT can be performed, followed by surgery if indicated. If CT is unrevealing, observation may be appropriate.

Figure 2. Proposed Algorithm for the Diagnosis and Management of Abdominal Pain and Peritonitis in Pregnant Patients

Management of the colostomy presented another clinical question. At 29 weeks, significant uterine growth during the remainder of the pregnancy could place tension on the colostomy mesentery. Adequate mobilization of the colon was crucial. Furthermore, the patient’s risk for hernia formation, both during pregnancy and vaginal delivery, was increased. While some data support single-stage anastomosis for Hinchey class IV perforated diverticulitis (e.g., the LADIES trial, which showed no significant difference in short-term morbidity or mortality between primary anastomosis and Hartmann’s procedure for Hinchey III and IV diverticulitis11), our patient presented with feculent peritonitis, for which Hartmann's procedure is the standard of care. However, in retrospect, primary anastomosis might have been considered.

The patient ultimately delivered vaginally without complication. However, a cesarean section, if required, could have been complicated by adhesions from the recent surgery and the presence of the colostomy. Finally, colostomy reversal timing is a consideration. While non-pregnant patients may undergo reversal sooner, our patient required postpartum reversal, which was performed at 7 months.

Conclusion

Stercoral perforation, a serious complication of constipation, can affect any individual with significant constipation, including pregnant patients, though it is more prevalent in older adults. We present a case of stercoral perforation in a pregnant patient successfully managed with colon resection and colostomy formation. Diagnosing this condition in pregnant patients presents a unique challenge, and while ionizing radiation should be minimized, it remains a valuable tool when other imaging modalities are inconclusive. Surgical management in pregnant patients mirrors that of non-pregnant individuals, but the gravid uterus necessitates careful consideration due to its impact on surgical access and visualization.

Lessons Learned

This case represents only the sixth reported instance in the literature detailing the diagnosis and treatment of stercoral perforation during pregnancy, highlighting its rarity. While minimizing ionizing radiation exposure is paramount in pregnant patients, diagnostic delays due to radiation avoidance are contraindicated when alternative modalities are unavailable or fail to provide a clear diagnosis. In this particular case, earlier surgical intervention, upon the development of peritoneal signs and altered mental status, may have obviated the need for additional diagnostic studies. Furthermore, the feasibility of a primary anastomosis during the initial surgical procedure warrants consideration in retrospect.

Authors

Wells K; Lee S; Gorman M

Author Affiliation

Department of Surgery, Vassar Brothers Medical Center, Poughkeepsie, NY 12601

Corresponding Author

Kathryn Wells, DO
Vassar Brothers Medical Center-Nuvance Health
Department of Surgery
45 Reade Place
Poughkeepsie, NY 12601
Email: kathryn.wells@nuvancehealth.org

Disclosure Statement

The authors have no conflicts of interest to disclose.

Funding/Support

The authors have no relevant financial relationships or in-kind support to disclose.

Received: January 20, 2023
Revision received: April 29, 2023
Accepted: June 27, 2023

References

  1. Morano C, Sharman T. Stercoral Colitis. In: StatPearls. Treasure Island (FL): StatPearls Publishing; July 10, 2023.
  2. Naseer M, Gandhi J, Chams N, Kulairi Z. Stercoral colitis complicated with ischemic colitis: a double-edge sword. BMC Gastroenterol. 2017;17(1):129. Published 2017 Nov 28. doi:10.1186/s12876-017-0686-6
  3. Vazquez JC. Constipation, haemorrhoids, and heartburn in pregnancy. BMJ Clin Evid. 2010;2010:1411. Published 2010 Aug 3.
  4. Russell WL. Stercoraceous ulcer. Am Surg. 1976;42(6):416-420.
  5. Atkinson AL, Pepe A. Stercoral perforation of the colon in pregnancy. J Surg Case Rep. 2010;2010(2):5. Published 2010 Apr 1. doi:10.1093/jscr/2010.2.5
  6. Costales AB, Agarwal AK, Chauhan SP, Refuerzo JS, Taub EA. Stercoral Perforation of the Colon during Pregnancy: A Case Report and Review of the Literature. AJP Rep. 2015;5(1):e25-e29. doi:10.1055/s-0034-1544105
  7. McCollough CH, Bushberg JT, Fletcher JG, Eckel LJ. Answers to Common Questions About the Use and Safety of CT Scans. Mayo Clin Proc. 2015;90(10):1380-1392. doi:10.1016/j.mayocp.2015.07.011
  8. Kobi M, Flusberg M, Chernyak V. MR imaging of acute abdomen and pelvis. Curr Radiol Rep. 2016; 4(6). doi:10.1007/s40134-016-0160-1
  9. Chen SC, Yen ZS, Wang HP, Lin FY, Hsu CY, Chen WJ. Ultrasonography is superior to plain radiography in the diagnosis of pneumoperitoneum. Br J Surg. 2002;89(3):351-354. doi:10.1046/j.0007-1323.2001.02013.x
  10. Indiran V, Vinoth Kumar R, Jefferson B. Enhanced peritoneal stripe sign. Abdom Radiol (NY). 2018;43(12):3518-3519. doi:10.1007/s00261-018-1628-7
  11. Lambrichts DPV, Vennix S, Musters GD, et al. Hartmann’s procedure versus sigmoidectomy with primary anastomosis for perforated diverticulitis with purulent or faecal peritonitis (LADIES): a multicentre, parallel-group, randomised, open-label, superiority trial. Lancet Gastroenterol Hepatol. 2019;4(8):599-610. doi:10.1016/S2468-1253(19)30174-8
  12. Sung JF, Salvay HB, Hansman MF, Taslimi MM. Stercoral perforation of the colon with favorable pregnancy outcome. Obstet Gynecol. 2009;113(2 Pt 2):491-492. doi:10.1097/AOG.0b013e3181834b24
  13. Matsushita T, Yumoto Y, Fukushima K, et al. Stercoral perforation of the colon during pregnancy. J Obstet Gynaecol Res. 2011;37(11):1685-1688. doi:10.1111/j.1447-0756.2011.01550.x