Unsupported Browser
The American College of Surgeons website is not compatible with Internet Explorer 11, IE 11. For the best experience please update your browser.
Menu
Become a member and receive career-enhancing benefits

Our top priority is providing value to members. Your Member Services team is here to ensure you maximize your ACS member benefits, participate in College activities, and engage with your ACS colleagues. It's all here.

Become a Member
Become a member and receive career-enhancing benefits

Our top priority is providing value to members. Your Member Services team is here to ensure you maximize your ACS member benefits, participate in College activities, and engage with your ACS colleagues. It's all here.

Become a Member
ACS
ACS Case Reviews

Pylephlebitis Following Laparoscopic Appendectomy for Appendicitis

March 6, 2025

Abstract

Background

A middle-aged Black male developed pylephlebitis following a seemingly uncomplicated laparoscopic appendectomy for acute appendicitis. This case highlights the potential for delayed presentation of pylephlebitis after abdominal surgery.

Summary

Two weeks after laparoscopic appendectomy, the patient presented with sudden abdominal pain. A CT scan revealed superior mesenteric vein (SMV) thrombophlebitis. He was admitted for intravenous heparin and serial abdominal examinations. On hospital day 5, worsening clinical and laboratory findings (fever, tachycardia, leukocytosis, elevated liver enzymes) prompted a CT angiogram to rule out bowel ischemia. This study confirmed persistent thrombosis within the SMV and worsening retroperitoneal inflammation, consistent with pylephlebitis secondary to appendicitis.

The patient was started on broad-spectrum antibiotics; fever, tachycardia, and laboratory derangements were resolved by hospital day 9. He completed a ten-day course of antibiotics and was discharged on oral anticoagulation with a planned total duration of therapy of six months. At outpatient follow-up, he reported no further complaints.

Conclusion

Pylephlebitis is an uncommon complication following intraabdominal surgery or infection. Several factors, including intraoperative manipulation and abdominal insufflation during laparoscopic procedures, have been implicated in its development. A high index of suspicion by the surgeon is crucial for timely diagnosis, given the often-delayed and subtle clinical presentation. Ultrasound or CT imaging can be used to confirm the diagnosis.

While optimal management strategies for pylephlebitis remain under debate, this case suggests that early initiation of broad-spectrum antibiotics and systemic anticoagulation is likely beneficial. This case emphasizes the importance of early recognition and prompt treatment for optimal outcomes.

Key Words

appendicitis; delayed complication; pylephlebitis; laparoscopic appendectomy


Case Description

Pylephlebitis, also known as suppurative thrombophlebitis of the portal mesenteric venous system, is the result of an infected inflammatory thrombus. Infectious sources are either difficult to elucidate or polymicrobial. Etiologies associated with this condition include prior abdominal infections such as appendicitis, pancreatitis, and diverticulitis. The average age of occurrence is 57, but it can affect any age group. Early diagnosis and aggressive treatment are crucial for preventing severe morbidity and mortality.1

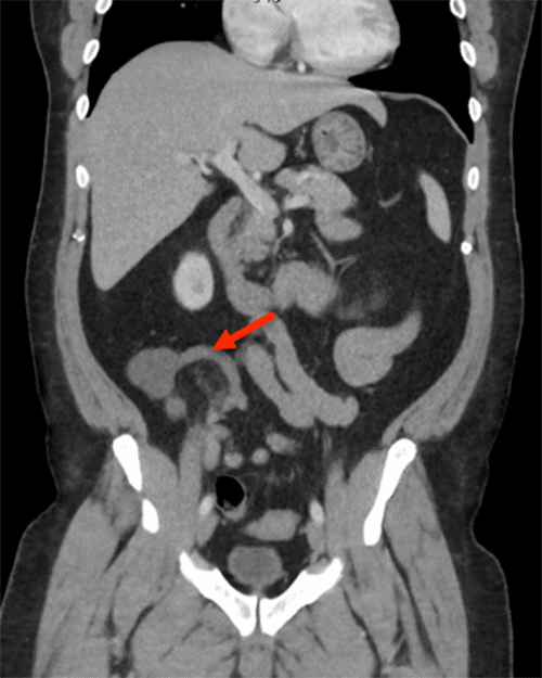
A 53-year-old Black male with a medical history of hyperaldosteronism, hypertension, and gastroesophageal reflux disease presented to the emergency department of a university-affiliated academic medical center with symptoms suggestive of appendicitis. A CT scan with contrast confirmed the diagnosis by demonstrating a dilated and inflamed appendix (Figure 1).

Figure 1. Contrast-enhanced CT Scan of Appendix. Published with Permission

The appendix appears dilated and inflamed (findings consistent with appendicitis)
The appendix appears dilated and inflamed (findings consistent with appendicitis)

He underwent an uncomplicated laparoscopic appendectomy. Intraoperative findings were notable for a suppurative but non-perforated appendix. The patient was discharged home on the same day.

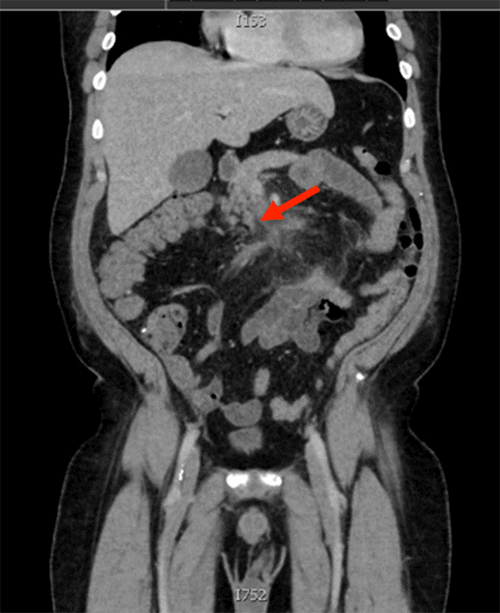
On postoperative day (POD) 12, the patient reported feeling well with no complaints during a routine follow-up clinic visit. Final pathology confirmed acute appendicitis. However, on POD 15, he presented to the emergency department with sudden-onset worsening epigastric abdominal pain and nausea. While a physical exam revealed no concerning findings, laboratory tests showed a mild elevation in white blood cell count (leukocytosis) and lactate levels. A CT scan with contrast identified superior mesenteric vein (SMV) thrombophlebitis (Figure 2). The patient was admitted for non-operative management with serial abdominal examinations and intravenous heparin infusion.

Figure 2. CT Scan Demonstrating Superior Mesenteric Vein (SMV) Thrombophlebitis. Published with Permission

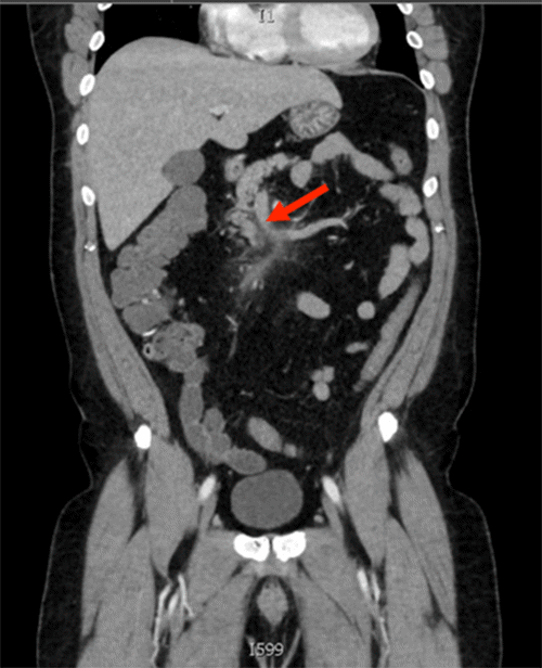
On POD 20, the patient developed a fever and tachycardia that worsened overnight. A CT angiogram was ordered to rule out pulmonary embolus or bowel ischemia. The scan revealed a persistent filling defect within the SMV and worsening retroperitoneal inflammation (Figure 3). There were no signs of bowel compromise, perforation, or progression of the thrombus into the portal vein. Based on these findings, a diagnosis of pylephlebitis of the SMV secondary to the previous appendicitis was established.

Figure 3. SMV Thrombosis with Worsening Retroperitoneal Inflammation. Published with Permission

Despite subjective improvement reported by the patient on POD 21, fever and tachycardia persisted. Laboratory tests showed rising liver enzymes and white blood cell count. This prompted the initiation of broad-spectrum antibiotics. Over the next three days, the patient continued to experience intermittent fever and tachycardia, although his overall condition subjectively improved.

By POD 24, the patient’s clinical course showed significant improvement. All laboratory abnormalities had resolved, and he tolerated a regular diet without abdominal pain. Blood cultures from previous workups for fever did not identify any bacterial growth. The course of antibiotics was extended to a total of 10 days. The remainder of his hospitalization was marked by non-oliguric acute kidney injury, which responded well to fluid resuscitation and resolved completely. The patient was discharged home on POD 29 on a six-month regimen of oral anticoagulation. Close follow-up visits confirmed complete resolution of symptoms, and the patient reported feeling well.

Discussion

Pylephlebitis, also known as suppurative thrombophlebitis of the portal mesenteric venous system, is a rare but serious intra-abdominal complication characterized by inflammation and thrombosis within the portal venous system.1 This process can begin in either the mesenteric or splenic veins and progress to involve the portal vein itself, with subsequent infection of the thrombus. In some cases, primary portal vein thrombosis can also occur.

Diverticulitis is the most commonly identified source of pylephlebitis;2‒5 however, it can also develop in association with other intra-abdominal infections such as appendicitis, cholecystitis, and pancreatitis. The overall incidence of pylephlebitis is low, estimated at around 0.3%, but it carries a significant mortality rate of up to 25%.6,7

While the causative organism is often not identified, as in this case, polymicrobial infections are most frequently implicated. Beyond infection, other potential contributing factors include venous stasis, increased intraabdominal pressure from laparoscopic insufflation, intraoperative manipulation of tissues, splanchnic endothelial, or underlying systemic conditions that increase the risk of blood clots (thrombophilic states).2‒5 Despite these potential causes, pylephlebitis remains a poorly understood and often missed diagnosis that is incredibly lethal if not aggressively treated.

Pylephlebitis presents a diagnostic challenge due to its delayed and variable presentation, even in patients with a recent or remote history of abdominal surgery. Symptoms can be vague and may include fatigue, fever, abdominal pain, and nausea/vomiting.6,7

Diagnosis relies on abdominal imaging studies such as ultrasonography or CT scan. These studies should demonstrate a thrombus within the portal-mesenteric venous system accompanied by inflammatory changes.8 Special attention should be paid to the presence or absence of a hepatic abscess, as this finding is independently associated with increased mortality. Laboratory tests are often non-specific but may reveal leukocytosis, elevated liver enzymes, and decreased hemoglobin.7,9

Indeed, this case’s non-specific presentation emphasizes the need for a high index of suspicion and wide differential for pylephlebitis. There is a risk of pylephlebitis progressing to involve the feeding tributaries of the portal-mesenteric venous system. This can lead to critical ischemia of the small bowel, potentially resulting in perforation.7 This possibility of occlusive thrombosis is particularly significant when evaluating patients with suppurative thrombophlebitis. Such cases may necessitate emergent surgical exploration. Patients with sepsis leading to disseminated intravascular coagulation (DIC) are at especially high risk for this complication.7

In our patient, repeat cross-sectional imaging did not reveal bowel wall thickening or free fluid, suggesting no evidence of bowel ischemia. However, this case emphasizes the importance of serial abdominal examinations in a monitored setting and a low threshold for performing CT angiography if there is any suspicion of a completely occlusive thrombus.

While optimal management for pylephlebitis without bowel ischemia remains unclear, broad-spectrum antibiotics and systemic anticoagulation are generally considered the mainstay of treatment. In this case, we initiated anticoagulation upon admission with the goals of preventing further thrombus propagation, reducing the risk of bowel ischemia, and promoting venous recanalization.

Historically, anticoagulation has been advocated for its potential to prevent bowel infarction by limiting extension of the preexisting thrombus.4,7,8,10 However, some studies suggest that only patients with a hypercoagulable state may benefit from systemic anticoagulation.10,11 Our patient did not have a preexisting diagnosis of hypercoagulability. Nevertheless, up to 13% to 33% of pylephlebitis cases may be associated with underlying thrombophilia, and combined antibiotic and anticoagulation therapy has demonstrated a mortality benefit compared to antibiotics alone.7,10,12

There was a five-day delay between this patient’s readmission and initiation of antibiotic therapy. Initially, based on the absence of fever and mild leukocytosis, we believed his thrombophlebitis was non-infectious. However, upon developing sepsis and demonstrating worsening porto-mesenteric inflammation on repeat imaging, we adjusted our management strategy. Vancomycin and Piperacillin/Tazobactam were chosen for broad-spectrum coverage against gram-positive cocci and gram-negative bacilli, as recommended for pylephlebitis. While the optimal duration of antibiotic therapy remains debated, some authors advocate for at least four weeks to minimize the risk of hepatic abscess formation.7,8,13 In this case, a ten-day course was deemed sufficient based on symptom resolution, improvement in laboratory tests, and blood culture results suggesting skin flora contamination rather than true infection.

Prior to discharge, the patient was referred to hematology for thrombophilia workup. Additionally, the heparin infusion was transitioned to an oral factor Xa inhibitor with a planned total duration of anticoagulation therapy of six months. As with other forms of provoked venous thrombosis, a 3-6 month course to total therapy is well described.14

Conclusion

Pylephlebitis, a rare but potentially life-threatening complication, involves septic thrombosis within the portal mesenteric venous system following intraabdominal surgery or infection. This case highlights the critical role of early diagnosis and prompt treatment with broad-spectrum antibiotics and systemic anticoagulation for optimal outcomes.

Lessons Learned

Pylephlebitis can present with subtle signs and symptoms, requiring a high index of suspicion, particularly in patients with a recent history of intra-abdominal surgery or infection. Early recognition and prompt intervention are crucial due to the associated high mortality rate. The cornerstone of treatment is the combination of broad-spectrum antibiotics to combat infection and systemic anticoagulation to prevent further thrombus propagation, reduce the risk of bowel ischemia, and promote venous recanalization. This case underscores the importance of rapidly initiating broad-spectrum antibiotics to prevent septic complications. While the optimal duration of antibiotic therapy remains a subject of ongoing debate and requires further research, immediate systemic anticoagulation is essential for mitigating the risks of thrombus extension and bowel ischemia.

Authors

Hamilton C; Kobylarz F; Moore R

Author Affiliation

Department of General Surgery, Dwight D. Eisenhower Army Medical Center, Fort Gordon, GA 30905

Corresponding Author

Connor Hamilton, MD
Department of General Surgery
Dwight D. Eisenhower Army Medical Center
300 E. Hospital Road
Fort Gordon, GA 30905
Email: connor.d.hamilton3.mil@health.mil

Disclosure Statement

The authors have no conflicts of interest to disclose.

Funding/Support

The authors have no relevant financial relationships or in-kind support to disclose.

Received: January 9, 2022
Revision received: March 29, 2023
Accepted: June 14, 2023

References

  1. Choudhry AJ, Baghdadi YM, Amr MA, Alzghari MJ, Jenkins DH, Zielinski MD. Pylephlebitis: a Review of 95 Cases. J Gastrointest Surg. 2016;20(3):656-661. doi:10.1007/s11605-015-2875-3
  2. Chau NG, Bhatia S, Raman M. Pylephlebitis and pyogenic liver abscesses: a complication of hemorrhoidal banding. Can J Gastroenterol. 2007;21(9):601-603. doi:10.1155/2007/106946
  3. Goitein D, Matter I, Raziel A, et al. Portomesenteric thrombosis following laparoscopic bariatric surgery: incidence, patterns of clinical presentation, and etiology in a bariatric patient population. JAMA Surg. 2013;148(4):340-346. doi:10.1001/jamasurg.2013.1053
  4. James AW, Rabl C, Westphalen AC, Fogarty PF, Posselt AM, Campos GM. Portomesenteric venous thrombosis after laparoscopic surgery: a systematic literature review. Arch Surg. 2009;144(6):520-526. doi:10.1001/archsurg.2009.81
  5. Tandon R, Davidoff A, Worthington MG, Ross JJ. Pylephlebitis after CT-guided percutaneous liver biopsy. AJR Am J Roentgenol. 2005;184(3 Suppl):S70-S72. doi:10.2214/ajr.184.3_supplement.01840s70
  6. Balthazar EJ, Gollapudi P. Septic thrombophlebitis of the mesenteric and portal veins: CT imaging. J Comput Assist Tomogr. 2000;24(5):755-760. doi:10.1097/00004728-200009000-00017
  7. Kanellopoulou T, Alexopoulou A, Theodossiades G, Koskinas J, Archimandritis AJ. Pylephlebitis: an overview of non-cirrhotic cases and factors related to outcome. Scand J Infect Dis. 2010;42(11-12):804-811. doi:10.3109/00365548.2010.508464
  8. Plemmons RM, Dooley DP, Longfield RN. Septic thrombophlebitis of the portal vein (pylephlebitis): diagnosis and management in the modern era. Clin Infect Dis. 1995;21(5):1114-1120. doi:10.1093/clinids/21.5.1114
  9. Saxena R, Adolph M, Ziegler JR, Murphy W, Rutecki GW. Pylephlebitis: a case report and review of outcome in the antibiotic era. Am J Gastroenterol. 1996;91(6):1251-1253.
  10. Baril N, Wren S, Radin R, Ralls P, Stain S. The role of anticoagulation in pylephlebitis. Am J Surg. 1996;172(5):449-453. doi:10.1016/S0002-9610(96)00220-6
  11. Wong K, Weisman DS, Patrice KA. Pylephlebitis: a rare complication of an intra-abdominal infection. J Community Hosp Intern Med Perspect. 2013;3(2):10.3402/jchimp.v3i2.20732. Published 2013 Jul 5. doi:10.3402/jchimp.v3i2.20732
  12. Vivas I, Bilbao JI, Martínez-Cuesta A, Benito A, Delgado C, Velázquez P. Combination of various percutaneous techniques in the treatment of pylephlebitis. J Vasc Interv Radiol. 2000;11(6):777-780. doi:10.1016/s1051-0443(07)61640-6
  13. Waxman BP, Cavanagh LL, Nayman J. Suppurative pyephlebitis and multiple hepatic abscesses with silent colonic diverticulitis. Med J Aust. 1979;2(7):376-378.
  14. Pradka SP, Trankiem CT, Ricotta JJ. Pylephlebitis and acute mesenteric ischemia in a young man with inherited thrombophilia and suspected foodborne illness. J Vasc Surg. 2012;55(6):1769-1772. doi:10.1016/j.jvs.2011.12.055