Unsupported Browser
The American College of Surgeons website is not compatible with Internet Explorer 11, IE 11. For the best experience please update your browser.
Menu
Become a member and receive career-enhancing benefits

Our top priority is providing value to members. Your Member Services team is here to ensure you maximize your ACS member benefits, participate in College activities, and engage with your ACS colleagues. It's all here.

Become a Member
Become a member and receive career-enhancing benefits

Our top priority is providing value to members. Your Member Services team is here to ensure you maximize your ACS member benefits, participate in College activities, and engage with your ACS colleagues. It's all here.

Become a Member
ACS
ACS Case Reviews

Postoperative Gastrointestinal Dysmotility and Small Intestinal Bacterial Overgrowth in a Patient with Scleroderma

March 6, 2025

Abstract

Background

Patients with systemic scleroderma frequently experience chronic gastrointestinal (GI) dysmotility and recurrent small intestinal bacterial overgrowth (SIBO). However, the acute postoperative development of GI dysmotility and SIBO is a less recognized phenomenon, and its presentation can mimic a postoperative ileus and complicate diagnosis.

Summary

We present the case of a patient with limited systemic scleroderma and well-controlled bowel function who underwent a right hemicolectomy for an endoscopically unresectable polyp with multifocal high-grade dysplasia. The patient experienced two readmissions for presumed postoperative ileus following an uneventful initial hospitalization with discharge on postoperative day (POD) 2.

However, on POD 4, he developed acute abdominal distension, nausea, vomiting, and diarrhea, leading to readmission. A CT scan revealed diffuse dilation of the esophagus, stomach, and small bowel, with a patent anastomosis and no evidence of mechanical obstruction. His symptoms improved with bowel rest, and he was discharged on POD 8.

On POD 10, he again presented with distension, nausea, and vomiting, requiring a second readmission. Following consultation with rheumatology and gastroenterology, the patient was started on amlodipine for scleroderma-related GI dysmotility and rifaximin for SIBO. This resulted in rapid improvement, and he was discharged home on POD 18.

Conclusion

Acute GI dysmotility and SIBO associated with scleroderma can present similarly to postoperative ileus. Currently, no established guidelines exist for preventing postoperative GI dysmotility or SIBO in patients with scleroderma. This case highlights the importance of coordinated perioperative care between surgeons, rheumatologists, and gastroenterologists for patients with scleroderma, as surgery can trigger new-onset or exacerbation of gastrointestinal symptoms.

Key Words

colectomy; dysmotility; scleroderma; small intestinal bacterial overgrowth; SIBO


Case Description

Systemic scleroderma patients frequently experience chronic gastrointestinal (GI) dysmotility and recurrent episodes of small intestinal bacterial overgrowth (SIBO).1,2 Current understanding attributes this complication to factors such as overactive TGF-beta and fibrogenic pathways as well as autonomic dysfunction with a neuropathological component.1,2 However, the acute development of GI dysmotility and SIBO mimicking a postoperative ileus has not been documented previously.

The patient is a 72-year-old male referred to colorectal surgery for a 25 mm endoscopically unresectable colonic polyp. Biopsy results revealed multifocal high-grade dysplasia in a superficial sample. Past medical history includes limited systemic scleroderma with manifestations including Raynaud's phenomenon, pulmonary hypertension, and gastroesophageal reflux disease (GERD). Additionally, he has atrial fibrillation with a prior ablation procedure, obstructive sleep apnea, prostate cancer treated with radiation therapy and seed implantation, and a history of squamous cell carcinoma. Notably, his baseline bowel habits consisted of six well-formed bowel movements daily.

Eighteen and twelve months before surgery, the patient experienced two separate episodes of SIBO characterized by bloating and diarrhea, which were successfully treated. The first episode involved Morganella spp. and Candida, while the second episode identified Bacillus spp. and Candida. Amlodipine and tadalafil, previously used for Raynaud's phenomenon, were discontinued two years prior to surgery due to side effects. His surgical history includes bilateral punctoplasties and an open left inguinal hernia repair. He has a 30 pack-year smoking history, but he quit 45 years ago. Physical examination revealed moderately elevated blood pressure and a well-healed groin incision.

On the day of surgery, he received oral acetaminophen 975 mg and a pre-incision quadratus lumborum block. Opioid antagonists, such as alvimopan, are not routinely used in our practice. He underwent a robot-assisted laparoscopic right colectomy and received 250 mcg of intraoperative fentanyl. Postoperatively, he was managed with acetaminophen 650 mg and ibuprofen 400 mg every 6 hours. A timeline of his hospitalizations is presented in Figure 1.

Figure 1. Patient's Clinical Timeline. Published with Permission

POD 0

Robot-assisted laparoscopic right hemicolectomy was performed. Patient admitted to Enhanced Recovery after Surgery (ERAS) pathway.

POD 2

Patient was discharged home with return of bowel function on regular diet. Reported no nausea or vomiting, and pain was controlled with oral medications.

POD 4

Patient initially did well at home but felt distended on POD 3 and developed diarrhea, nausea, and emesis—readmitted on POD 4 for management. Abdominal CT scan revealed diffuse dilation of esophagus, stomach, and small bowel, with patent ileocolic anastomosis and no discrete transition point. NG tube was placed for decompression.

POD 8

Patient was discharged home. NG tube was removed on POD 6. Copious watery diarrhea gradually slowed. Patient tolerated regular diet at discharge with no nausea or vomiting.

POD 10

Patient was readmitted with nausea, abdominal distention, and emesis. CT showed dilated small bowel and gastric distention, again without a distinct transition point, consistent with postoperative ileus Anastomosis was widely patent, and no leak was evident.

POD 15

GI and Rheumatology services were consulted. Patient received a diagnosis of scleroderma-related small bowel dysmotility and SIBO. Symptoms resolved rapidly with amlodipine 5 mg daily and rifaximin 550 mg TID.

POD 0

Robot-assisted laparoscopic right hemicolectomy was performed. Patient admitted to Enhanced Recovery after Surgery (ERAS) pathway.

POD 2

Patient was discharged home with return of bowel function on regular diet. Reported no nausea or vomiting, and pain was controlled with oral medications.

POD 4

Patient initially did well at home but felt distended on POD 3 and developed diarrhea, nausea, and emesis—readmitted on POD 4 for management. Abdominal CT scan revealed diffuse dilation of esophagus, stomach, and small bowel, with patent ileocolic anastomosis and no discrete transition point. NG tube was placed for decompression.

POD 8

Patient was discharged home. NG tube was removed on POD 6. Copious watery diarrhea gradually slowed. Patient tolerated regular diet at discharge with no nausea or vomiting.

POD 10

Patient was readmitted with nausea, abdominal distention, and emesis. CT showed dilated small bowel and gastric distention, again without a distinct transition point, consistent with postoperative ileus Anastomosis was widely patent, and no leak was evident.

POD 15

GI and Rheumatology services were consulted. Patient received a diagnosis of scleroderma-related small bowel dysmotility and SIBO. Symptoms resolved rapidly with amlodipine 5 mg daily and rifaximin 550 mg TID.

On postoperative day (POD) 0, he received two doses of intravenous hydromorphone 0.4 mg and a total of 15 mg of oral oxycodone. A regular diet was initiated immediately postoperatively. He required 15 mg of oral oxycodone on both POD 1 and 2. He demonstrated return of bowel function without nausea or distension during this initial admission. He was discharged home on POD 2.

However, on POD 3, he developed concerning symptoms suggestive of small bowel obstruction (SBO), including abdominal distention, diarrhea, nausea, and emesis, necessitating readmission on POD 4. A CT scan of the abdomen and pelvis revealed dilation of the esophagus, stomach, and small bowel, with a patent ileocolic anastomosis and no identifiable transition point (Figure 2). He was managed conservatively for an ileus with nasogastric decompression and bowel rest until POD 6. His abdominal distension and diarrhea resolved, and his diet was advanced. He was discharged on POD 8 on a regular diet, tolerating it well without nausea, vomiting, or distension, and with improving stool consistency. No opioids were administered during this readmission. On POD 10, the patient was readmitted again with nausea, vomiting, and abdominal distension.

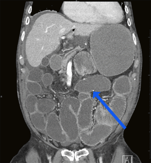
Figure 2. Abdominal and Pelvic CT Scan on POD 4. Published with Permission.

Note distended stomach and small bowel loops and a patent ileocolic anastomosis (blue arrow); no evidence of leakage
Note distended stomach and small bowel loops and a patent ileocolic anastomosis (blue arrow); no evidence of leakage

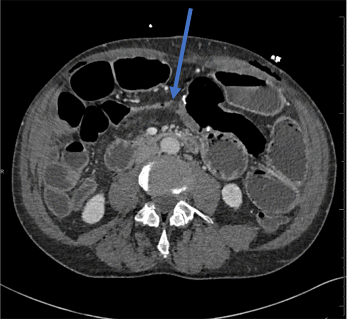
A CT scan demonstrated dilated small bowel loops with air-fluid levels, gastric distention, and a small segment of decompressed small bowel proximal to the patent anastomosis (Figure 3). A water-soluble upper GI study on POD 11 confirmed contrast passage into the colon. Persistent, copious watery diarrhea was noted, with negative C. difficile testing, ruling out a mechanical obstruction.

Figure 3. Abdominal and Pelvic CT Scan on POD 10. Published with Permission

Note dilated small bowel loops and a segment of decompressed small bowel proximal to the ileocolic anastomosis (blue arrow)
Note dilated small bowel loops and a segment of decompressed small bowel proximal to the ileocolic anastomosis (blue arrow)

Given the patient's history of scleroderma and prior episodes of SIBO, consultations with gastroenterology and rheumatology were obtained. Based on clinical and radiographic findings, a 14-day course of rifaximin (550 mg TID) was initiated for presumed SIBO. Amlodipine (5 mg daily) was empirically started for scleroderma-related bowel dysmotility. He received one dose of intravenous Dilaudid (0.4 mg) upon admission, followed by intermittent acetaminophen and ibuprofen for pain. The patient was discharged on a regular diet on POD 18.

At subsequent follow-up appointments, he was tolerating a regular diet without issues. He completed a second course of rifaximin for persistent bloating and diarrhea several months later, per gastroenterology recommendations. Amlodipine was discontinued two years postoperatively without any changes in GI function. His bowel function has since improved with probiotics and dietary modification (including gluten and dairy elimination).

Discussion

Scleroderma, an autoimmune disorder characterized by collagen deposition, frequently affects the GI system, impacting over 90% of patients.1,2 While chronic GI dysmotility and predisposition to SIBO are recognized complications of scleroderma, the acute development of both entities following intestinal surgery in the immediate postoperative period has not been previously described. The reported symptoms of dysmotility and SIBO can closely mimic those of postoperative ileus, a common complication affecting 10% -30% of patients after abdominal surgery.3

Currently, no established guidelines exist for the perioperative management of scleroderma-related GI dysmotility. Although colectomy may increase the long-term risk of small intestinal bacterial or fungal overgrowth, no studies describe early SIBO after colectomy.4 Increased SIBO risk has been reported weeks to months after bariatric and gastric surgery. While the use of probiotics postoperatively has shown some benefit in reducing bloating for patients who underwent Roux-en-Y gastric bypass, they do not prevent SIBO.5 This observation aligns with the demonstrated lack of evidence supporting the use of probiotics or prokinetic agents for treating SIBO in scleroderma patients.6 Importantly, patients with subtypes of scleroderma, such as limited or diffuse cutaneous scleroderma, exhibit the same 10-fold increased risk of SIBO compared to controls, similar to those with systemic sclerosis.7

Conclusion

Surgeons should be vigilant about the potential impact scleroderma can have on the GI tract. Close coordination with rheumatology and gastroenterology colleagues throughout the perioperative period is crucial for optimal patient care. While postoperative ileus is a well-recognized complication after intestinal surgery, patients with scleroderma, even those without a history of chronic GI dysmotility, are at increased risk for developing acute dysmotility and SIBO.

Lessons Learned

This case highlights the potential for patients with scleroderma to develop acute GI dysmotility and SIBO. In retrospect, a more thorough preoperative history, considering the patient's scleroderma diagnosis, GERD, and prior SIBO episodes, could have identified him as being at high risk for GI complications. Earlier diagnosis and initiation of preventive measures, such as calcium-channel blockers and rifaximin, might have prevented one or both readmissions.

However, further studies are warranted to determine whether prophylactic treatment with these medications is indicated for all scleroderma patients undergoing intestinal surgery. Additionally, minimizing postoperative opioid use may play a role in preventing or reducing the severity of dysmotility and SIBO in this patient population.

Authors

Urbik VMa,d; Stauder ELa; Luppens CLb,e; Frech TMc,f; Huang LCb

Author Affiliations

  1. School of Medicine, University of Utah, Salt Lake City, UT, 84132
  2. Department of Surgery, University of Utah, Salt Lake City, UT, 84132
  3. Department of Internal Medicine, University of Utah, Salt Lake City, UT 84132
  4. Department of Pediatrics, Emory University School of Medicine, Atlanta, GA, 30322
  5. Department of Surgery, University of New Mexico, Albuquerque, NM, 87106
  6. Division of Rheumatology and Immunology, Department of Internal Medicine, Vanderbilt University Medical Center, Nashville, TN, 37232

Corresponding Author

Lyen C. Huang, MD, MPH, FACS, FASCRS
Department of Surgery
Spencer Fox Eccles School of Medicine
University of Utah
30 North 1900 East
Room 3B150B
Salt Lake City, UT 84132

Disclosure Statement

The authors have no conflicts of interest to disclose.

Funding/Support

The authors have no relevant financial relationships or in-kind support to disclose.

Received: August 25, 2022
Revision received: April 16, 2023
Accepted: May 15, 2023

References

  1. Shreiner AB, Murray C, Denton C, Khanna D. Gastrointestinal Manifestations of Systemic Sclerosis. J Scleroderma Relat Disord. 2016;1(3):247-256. doi:10.5301/jsrd.5000214
  2. Thoua NM, Bunce C, Brough G, Forbes A, Emmanuel AV, Denton CP. Assessment of gastrointestinal symptoms in patients with systemic sclerosis in a UK tertiary referral centre. Rheumatology (Oxford). 2010;49(9):1770-1775. doi:10.1093/rheumatology/keq147
  3. Venara A, Neunlist M, Slim K, et al. Postoperative ileus: Pathophysiology, incidence, and prevention. J Visc Surg. 2016;153(6):439-446. doi:10.1016/j.jviscsurg.2016.08.010
  4. Rao SSC, Tan G, Abdulla H, Yu S, Larion S, Leelasinjaroen P. Does colectomy predispose to small intestinal bacterial (SIBO) and fungal overgrowth (SIFO)?. Clin Transl Gastroenterol. 2018;9(4):146. Published 2018 Apr 25. doi:10.1038/s41424-018-0011-x
  5. Wagner NRF, Ramos MRZ, de Oliveira Carlos L, et al. Effects of Probiotics Supplementation on Gastrointestinal Symptoms and SIBO after Roux-en-Y Gastric Bypass: a Prospective, Randomized, Double-Blind, Placebo-Controlled Trial. Obes Surg. 2021;31(1):143-150. doi:10.1007/s11695-020-04900-x
  6. Pittman N, Rawn SM, Wang M, Masetto A, Beattie KA, Larché M. Treatment of small intestinal bacterial overgrowth in systemic sclerosis: a systematic review. Rheumatology (Oxford). 2018;57(10):1802-1811. doi:10.1093/rheumatology/key175
  7. Shah A, Pakeerathan V, Jones MP, et al. Small Intestinal Bacterial Overgrowth Complicating Gastrointestinal Manifestations of Systemic Sclerosis: A Systematic Review and Meta-analysis. J Neurogastroenterol Motil. 2023;29(2):132-144. doi:10.5056/jnm22168