Unsupported Browser
The American College of Surgeons website is not compatible with Internet Explorer 11, IE 11. For the best experience please update your browser.
Menu
Become a member and receive career-enhancing benefits

Our top priority is providing value to members. Your Member Services team is here to ensure you maximize your ACS member benefits, participate in College activities, and engage with your ACS colleagues. It's all here.

Become a Member
Become a member and receive career-enhancing benefits

Our top priority is providing value to members. Your Member Services team is here to ensure you maximize your ACS member benefits, participate in College activities, and engage with your ACS colleagues. It's all here.

Become a Member
ACS
ACS Case Reviews

Mixed Neuroendocrine Non-Neuroendocrine Neoplasm of the Gallbladder

March 6, 2025

Abstract

Background

Mixed neuroendocrine-non-neuroendocrine neoplasms (MiNENs) of the gallbladder are exceedingly rare. Most patients initially present with nonspecific right upper quadrant discomfort.

Summary

We present the case of a 67-year-old female referred to our institution following workup at an outside facility that revealed a gallbladder polyp. The patient reported a three-year history of sharp right upper quadrant and flank pain. Abdominal MRI demonstrated a broad-based, contrast-enhancing 1.9 × 1.2 cm lesion adherent to the inferomedial gallbladder wall, consistent with a polyp. Cholecystectomy with intraoperative frozen section analysis revealed gallbladder adenocarcinoma, prompting a subsequent laparoscopic liver wedge resection of segments 4B/5 and hepatoduodenal lymphadenectomy. Final pathology revealed a 3.5 cm MiNEN with perineural invasion, staged as pT3N0. The tumor was positive for AE1/AE3 and exhibited variable immunoreactivity for synaptophysin, chromogranin, and INSM1. Scattered tumor cells were positive for CK20, while CK7 was negative. The patient received adjuvant FOLFOX chemotherapy.

Conclusion

Primary gallbladder MiNENs are exceptionally rare tumors, and their pathogenesis remains poorly understood. These neoplasms can mimic both benign and malignant gallbladder disorders—the age of presentation and initial presentation of symptoms of our case aligned with the current literature. Further research is needed to improve our understanding of the disease process and to establish standardized treatment protocols.

Key Words

mixed neuroendocrine-non-neuroendocrine neoplasm; MiNEN; biliary; gallbladder cancer


Case Description

Neuroendocrine tumors of the gallbladder account for 0.5% of all neuroendocrine tumors and about 2% of all gallbladder cancers.1 The histogenesis of gallbladder neuroendocrine tumors remains uncertain due to the absence of neuroendocrine cells within the normal gallbladder.2 Three hypotheses have been proposed for the histogenesis of neuroendocrine carcinoma.3 First, intestinal metaplasia of the gallbladder mucosa, occurring in the setting of chronic inflammation, may contain neuroendocrine cells. Second, neuroendocrine tumors may arise from endodermal stem cells or progenitor cells with multidirectional differentiation potential. Third, the neuroendocrine component may derive from aberrant differentiation of an adenocarcinoma through neometaplasia or transdifferentiation.4

To our knowledge, fewer than 80 cases of primary gallbladder mixed neuroendocrine neoplasms (MiNENs) have been reported in the literature.1 The mean age at presentation for these reported cases is 64.5 years, with over two-thirds of patients initially presenting with right upper quadrant pain.1 Imaging studies like ultrasound (US), computed tomography (CT), magnetic resonance imaging (MRI), positron emission tomography-computed tomography (PET-CT), and somatostatin receptor scintigraphy can reveal useful information about these tumors. However, the imaging findings are typically non-specific. Consequently, imaging remains challenging for reliably differentiating MiNENs from gallbladder adenocarcinomas. This case report aims to present an extremely rare gallbladder neoplasm.2

A 67-year-old female with a medical history of hypertension and chronic obstructive pulmonary disease (COPD) was referred for evaluation of a gallbladder polyp. Her primary complaint was sharp right upper quadrant and flank pain, unrelated to food intake, which had begun three years prior to presentation. She denied nausea, emesis, jaundice, weight loss, and had no history of smoking, alcohol consumption, or illicit drug use.

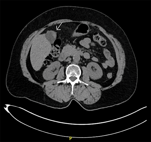
On original examination, the patient appeared well, with no abdominal tenderness, distention, guarding, masses, or evident jaundice. Initial laboratory evaluation revealed a total bilirubin of <0.2 mg/dL, alkaline phosphatase of 73 units/L, alanine aminotransferase (ALT) of 201 units/L, and aspartate aminotransferase (AST) of 290 units/L. Carcinoembryonic antigen (CEA) was elevated at 7.8 ng/mL, while CA 19-9 was within normal limits. A complete blood count and complete metabolic panel were unremarkable. Initial CT of the abdomen and pelvis demonstrated focal thickening of the gallbladder wall without pericholecystic stranding (Figure 1).

Figure 1. Abdominopelvic CT Imaging. Published with Permission

A.

(A) Axial CT image demonstrating focal thickening of the gallbladder wall without pericholecystic stranding
(A) Axial CT image demonstrating focal thickening of the gallbladder wall without pericholecystic stranding

B.

(B) Coronal CT image demonstrating focal thickening of the gallbladder wall without pericholecystic stranding
(B) Coronal CT image demonstrating focal thickening of the gallbladder wall without pericholecystic stranding

Subsequent MRI of the abdomen with MRCP revealed a broad-based, contrast-enhancing 1.9 × 1.2 cm lesion adherent to the inferomedial gallbladder wall, consistent with a polyp. CT of the chest, abdomen, and pelvis showed no evidence of metastatic disease. The patient was scheduled for diagnostic laparoscopy with cholecystectomy and intraoperative frozen section analysis, with the potential for liver segmentectomy and hepatoduodenal ligament lymphadenectomy if malignancy was identified.

Intraoperatively, diagnostic laparoscopy revealed a peritoneal implant nodule in the right upper quadrant, which was excised and sent for frozen section analysis; the results were negative for malignancy. A cholecystectomy was then performed, and the suspected gallbladder polyp was identified as invasive adenocarcinoma on frozen section analysis. The decision was made to proceed with laparoscopic liver wedge resection of segment 4B/5 and hepatoduodenal lymphadenectomy.

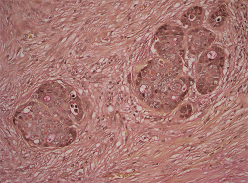
Final pathology revealed a 3.5 cm mixed neuroendocrine-non-neuroendocrine neoplasm (MiNEN) with perineural invasion (Figures 2A and 2B); resection margins were negative for malignancy. Ten lymph nodes were resected, and all were negative for malignancy.

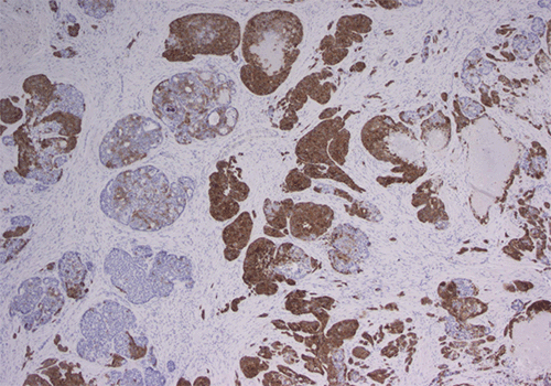
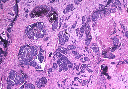
Figure 2. Histopathologic Features of of MiNEN Tumor with Distinct Morphology. Published with Permission

A.

(A) H&E stain (40x magnification) demonstrating the infiltrating tumor cells with a nested and cribriform architecture, patchy tumor necrosis, and calcifications
(A) H&E stain (40x magnification) demonstrating the infiltrating tumor cells with a nested and cribriform architecture, patchy tumor necrosis, and calcifications

B.

(B) Ki-67 stain (40x magnification) showing a high proliferation index within the adenocarcinoma component and a significantly lower proliferation index in the neuroendocrine component
(B) Ki-67 stain (40x magnification) showing a high proliferation index within the adenocarcinoma component and a significantly lower proliferation index in the neuroendocrine component

C.

(C) Mucicarmine stain (200x magnification) highlighting mucin production by the tumor, confirming the presence of an adenocarcinoma component
(C) Mucicarmine stain (200x magnification) highlighting mucin production by the tumor, confirming the presence of an adenocarcinoma component

D.

(D) Synaptophysin stain (40x magnification) demonstrating a dual population of tumor cells, highlighting the neuroendocrine component
(D) Synaptophysin stain (40x magnification) demonstrating a dual population of tumor cells, highlighting the neuroendocrine component

The tumor consisted of 35% WHO grade 3, well-differentiated neuroendocrine tumor with a 30% proliferation index, and 65% poorly differentiated adenocarcinoma with an 80% proliferation index. The tumor was staged as pT3N0. Immunohistochemical staining showed the tumor to be positive for AE1/AE3 and variably immunoreactive for synaptophysin, chromogranin, and INSM1. Scattered tumor cells were positive for CK20, and the tumor was negative for CK7. Following discussion at the multidisciplinary tumor board, adjuvant FOLFOX chemotherapy was recommended. To date, surveillance imaging has shown no evidence of recurrence or metastatic disease within the abdomen.

Discussion

The global incidence of gallbladder cancer varies geographically due to the interplay of dietary, genetic, and environmental factors. Lee et al. reported that, between 1985 and 2005, the incidence of gallbladder carcinoma in the United States was 0.9 per 100,000 males and 1.6 per 100,000 females, representing 0.16% and 0.39% of all cancers, respectively.4 Adenocarcinomas are the most common malignant neoplasms of the gallbladder, comprising approximately 90% of all gallbladder carcinomas.5 Neuroendocrine tumors of the gallbladder are rare, accounting for only 0.5% of all neuroendocrine tumors and about 2% of all gallbladder cancers.1,6,7

Most cases of MiNENs have been reported in North America, Europe, and Asia.8 MiNEN are characterized by two distinct components: a non-neuroendocrine component, most often adenoma or adenocarcinoma, and a neuroendocrine component, with each component constituting at least 30% of the tumor.9 These components may be intermixed or spatially separated within the lesion. MiNEN is graded separately for each component, with the overall tumor grade reflecting the higher of the two grades.9 Prognosis is also determined by the higher grade, as these lesions are typically highly aggressive and prone to rapid metastasis.9

Fewer than 80 cases of primary gallbladder MiNEN have been reported in the literature.1 The mean age at presentation is 64.5 years, and over two-thirds of patients initially present with right upper quadrant (RUQ) pain.1 This patient, a 67-year-old female presenting with sharp RUQ pain, aligns with this typical presentation.

The pathogenesis of primary gallbladder neuroendocrine and mixed tumors remains poorly understood, largely due to the absence of a neuroectodermal component in the gallbladder. One theory suggests that neuroendocrine cells may arise from intestinal or gastric metaplasia secondary to chronic inflammation from gallstones or cholecystitis. Transdifferentiation of cancer cells has also been proposed.7,10

Classically, a MiNEN is defined as having at least 30% of both neuroendocrine and non-neuroendocrine components.11 However, recent studies suggest that a lower threshold should be considered for MiNEN diagnosis due to the aggressive nature and metastatic potential of these tumors.11

This patient presented with an elevated CEA and normal CA 19-9. In prior reports of MiNEN with measured CEA and CA 19-9, 35.7% of patients had elevated CEA, and approximately half had elevated CA 19-9.1 Similarly, in our patient's case, intraoperative frozen section analysis of the cholecystectomy specimen revealed invasive adenocarcinoma, prompting liver wedge resection of segments 4B/5 and hepatoduodenal lymphadenectomy. A recent study by Patkar et al. investigating intraoperative frozen section in suspected gallbladder malignancy demonstrated a sensitivity of 88.3%, specificity of 99.6%, positive predictive value of 99.4%, negative predictive value of 92.7%, and diagnostic accuracy of 95.1%.12

The five-year survival for primary gallbladder cancer is less than 20%.11 The median survival time for MiNEN patients ranges from 12.2 months to 36 months ± 11.42 months.1,11 Overall, MiNEN is a significantly aggressive cancer and necessitates close surveillance.11 Liver metastasis is most common, but other sites have been reported.7 Prognostic factors for primary gallbladder cancers include tumor size, direct liver invasion, presence of thick rim diffusion restriction, and the presence and size of liver or lymph node metastases.13

Due to the rarity of gallbladder MiNEN, data supporting specific treatment strategies are limited. Some evidence suggests that surgical intervention may improve progression-free survival in patients with gallbladder neuroendocrine tumors.6 Curative resection is a treatment option, but there is no consensus regarding resection margins. Procedures range from simple cholecystectomy to radical liver resection with lymphadenectomy and resection of the hepatoduodenal ligament, 1 depending on tumor stage.2

Systemic therapy with oxaliplatin plus gemcitabine or etoposide, cisplatin, and adriamycin has shown some effectiveness,6 though data remain limited. Fluorouracil and oxaliplatin have also been reported as effective systemic chemotherapy in case reports.

This patient's operation was guided by the intraoperative frozen section finding of adenocarcinoma. The neuroendocrine component was identified on final pathology. Current evidence does not demonstrate a significant survival benefit from postoperative chemotherapy in MiNEN patients, although data are limited.1 In this case, radical cholecystectomy and liver wedge resection were performed, followed by tumor board recommendation for adjuvant FOLFOX chemotherapy. The patient has remained without recurrence to date.

Conclusion

Primary gallbladder mixed neuroendocrine-non-neuroendocrine tumors (MiNENs) are exceedingly rare. The pathogenesis of this specific malignancy remains poorly understood. The patient's age and initial symptom presentation in this case are consistent with the existing literature. However, published reports indicate that these tumors do not necessarily present with specific or pathognomonic symptoms. In this case, surgical resection with intraoperative frozen section analysis, followed by adjuvant chemotherapy, was the chosen treatment strategy.

Lessons Learned

Primary gallbladder MiNENs are exceptionally rare, with fewer than 80 cases reported in the literature. The mean age at presentation is 64.5 years, and right upper quadrant pain is the most common initial symptom. A high index of suspicion for gallbladder malignancy is warranted in patients in their sixth or seventh decade of life presenting with potential gallbladder disorders. The inclusion of additional testing, such as tumor markers like CEA and CA 19-9, in the initial workup should be considered. In our case, the patient exhibited suspicious findings on abdominal imaging and an elevated CEA level. In retrospect, these findings should have heightened the suspicion for malignancy. Further research is needed to improve our understanding of the disease process and to develop standardized treatment protocols.

Authors

Delgado Ca; Cobb Wa; Dobrie La; Kuo Eb; Rosales Ac

Author Affiliations

  1. Department of General Surgery, AdventHealth Orlando, Orlando, FL 32803
  2. Department of Pathology, AdventHealth Orlando, Orlando, FL 32803
  3. Department of Surgical Oncology, AdventHealth Cancer Institute, Orlando, FL 32804

Corresponding Author

William Cobb, MD
Department of General Surgery
AdventHealth Orlando
Ste. 400
Orlando, FL 32803
Email: william.cobb.md@adventhealth.com

Disclosure Statement

The authors have no conflicts of interest to disclose.

Funding/Support

The authors have no relevant financial relationships or in-kind support to disclose.

Received: September 25, 2023
Revision received: January 30, 2024
Accepted: February 22, 2024

References

  1. Ren X, Jiang H, Sun K, et al. Mixed neuroendocrine-non-neuroendocrine neoplasm of the gallbladder: case report and literature review. Diagn Pathol. 2022;17(1):51. Published 2022 Jun 17. doi:10.1186/s13000-022-01231-6
  2. Ishikawa T, Nakano K, Osaka M, et al. Mixed neuroendocrine-non-neuroendocrine neoplasms of the gallbladder: a case report. Surg Case Rep. 2021;7(1):70. Published 2021 Mar 17. doi:10.1186/s40792-021-01152-4
  3. Shintaku M, Kataoka K, Kawabata K. Mixed adenoneuroendocrine carcinoma of the gallbladder with squamous cell carcinomatous and osteosarcomatous differentiation: report of a case. Pathol Int. 2013;63(2):113-119. doi:10.1111/pin.12029
  4. Lee SW, Baek SY, Sung SH. Combined Undifferentiated and Neuroendocrine Carcinomas of the Gallbladder Appearing as Two Separate Lesions: A Case Report with Radiological-Pathological Correlation. J Radiol Case Rep. 2015;9(5):14-21. Published 2015 May 31. doi:10.3941/jrcr.v9i5.2165
  5. Levy AD, Murakata LA, Rohrmann CA Jr. Gallbladder carcinoma: radiologic-pathologic correlation [published correction appears in Radiographics 2001 May-Jun;21(3):766]. Radiographics. 2001;21(2):295-555. doi:10.1148/radiographics.21.2.g01mr16295
  6. Niu C, Wang S, Guan Q, Ren X, Ji B, Liu Y. Neuroendocrine tumors of the gallbladder. Oncol Lett. 2020;19(5):3381-3388. doi:10.3892/ol.2020.11461
  7. Chu H, Shi Y, Liu J, Huang D, Zhang J, Dou C. Update in clinical management for gallbladder neuroendocrine carcinoma. Medicine (Baltimore). 2021;100(14):e25449. doi:10.1097/MD.0000000000025449
  8. Lin YX, Jia QB, Fu YY, Cheng NS. Mixed Adenoneuroendocrine Carcinoma of the Gallbladder. J Gastrointest Surg. 2018;22(8):1452-1454. doi:10.1007/s11605-017-3664-y
  9. Skalický A, Vištejnová L, Dubová M, Malkus T, Skalický T, Troup O. Mixed neuroendocrine-non-neuroendocrine carcinoma of gallbladder: case report. World J Surg Oncol. 2019;17(1):55. Published 2019 Mar 22. doi:10.1186/s12957-019-1598-4
  10. Yu T, Li S, Zhang Z. Primary mixed large cell neuroendocrine carcinoma and adenocarcinoma of the gallbladder: A case report and literature review. Asian J Surg. 2022;45(11):2336-2338. doi:10.1016/j.asjsur.2022.05.036
  11. Kadota Y, Funakoshi S, Hirose S, et al. Focal neuroendocrine carcinoma mixed with adenocarcinoma of the gallbladder with aggressive lymph node metastasis in a patient who did not meet the mixed neuroendocrine-non-neuroendocrine neoplasm criteria. Clin J Gastroenterol. 2022;15(1):185-191. doi:10.1007/s12328-021-01547-8
  12. Patkar S, Gundavda K, Chaudhari V, et al. Utility and limitations of intraoperative frozen section diagnosis to determine optimal surgical strategy in suspected gallbladder malignancy. HPB (Oxford). 2023;25(3):330-338. doi:10.1016/j.hpb.2022.12.003
  13. Bae JS, Kim SH, Yoo J, Kim H, Han JK. Differential and prognostic MRI features of gallbladder neuroendocrine tumors and adenocarcinomas. Eur Radiol. 2020;30(5):2890-2901. doi:10.1007/s00330-019-06588-9