Unsupported Browser
The American College of Surgeons website is not compatible with Internet Explorer 11, IE 11. For the best experience please update your browser.
Menu
Become a member and receive career-enhancing benefits

Our top priority is providing value to members. Your Member Services team is here to ensure you maximize your ACS member benefits, participate in College activities, and engage with your ACS colleagues. It's all here.

Become a Member
Become a member and receive career-enhancing benefits

Our top priority is providing value to members. Your Member Services team is here to ensure you maximize your ACS member benefits, participate in College activities, and engage with your ACS colleagues. It's all here.

Become a Member
ACS
ACS Case Reviews

Living Donor Right Posterior Sector Liver Transplant Guided by Right Hepatic Artery: First Report in the United States

March 6, 2025

Abstract

Background

The persistent shortage of deceased donor livers necessitates exploring alternative strategies in living donor liver transplantation (LDLT). Anatomical variations in potential living donors can preclude standard right or left lobe graft procurement. Right posterior sector (RPS) grafts offer a potential solution in such anatomically challenging cases. This report describes the first documented RPS graft LDLT in the United States.

Summary

A potential living liver donor presented with an early origin of the right posterior sector portal vein (Nakamura type D configuration), as well as other anomalies of the hepatic arterial and biliary anatomy, precluding standard right or left lobe donation. CT of the liver confirmed the intraparenchymal branching of the anterior portal vein branch. The anterior sector received arterial supply from a branch of the left hepatic artery coursing within the same portal pedicle as the right anterior sector portal vein. The donor was deemed suitable for RPS donation, with arterial inflow based on the right hepatic artery.

During donor surgery, the transection plane was marked after temporarily clamping the right hepatic artery and the right posterior sector portal vein, proceeding along the right hepatic vein plane. A small, non-reconstructible portal pedicle crossing into the posterior sector was divided. The graft weighed 740 g, yielding a graft-recipient weight ratio of 1.80. The transplant was successfully performed, with sustained good graft function at greater than one year post-transplant. A United Network for Organ Sharing data query confirmed this as the first reported RPS LDLT in the United States.

Conclusion

The successful outcome in this case suggests that RPS grafts may be a safe and effective option for select living donors with anatomical variations that would otherwise prohibit standard liver donation. This approach has the potential to expand the donor pool and increase access to LDLT.

Key Words

living donor liver transplantation; liver lesion; right posterior sector graft; anatomical variations


Case Description

Despite significant improvements in organ allocation, waitlist mortality for liver transplantation remains high, ranging from 20–25%.1 Living donor liver transplantation (LDLT) offers a lifesaving alternative for select patients, particularly those who are clinically sicker than their Model for End-Stage Liver Disease (MELD) score suggests.2

Graft size should ideally comprise at least 0.7–0.8% of the recipient's body weight,3,4 with a donor remnant liver volume of at least 30%.5 Conventionally, right lobe donation, typically constituting >70% of liver volume, is often precluded. However, utilizing the right posterior sector (RPS) as a graft can be both safe for the donor and feasible for the recipient, given that the RPS is usually larger than the left lobe.6 RPS graft procurement is technically complex due to less distinct anatomical landmarks, a larger, horizontal transection plane (rather than the typical vertical plane), and a smaller arterial supply. Pedicles crossing the transection plane can further complicate the procedure and volume estimation.7,8 Despite these technical hurdles, experienced centers in Asia have successfully utilized RPS grafts in up to 20% of LDLT cases.9

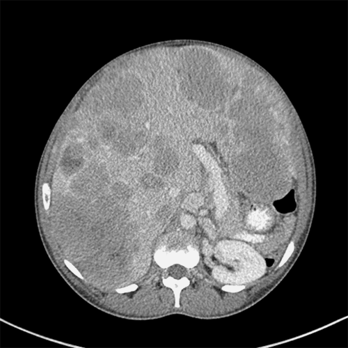
The recipient, a woman in her 40s (56.2 kg), presented with a large, biopsy-proven, well-differentiated metastatic neuroendocrine tumor confined to the liver (origin uncertain). Vena cava compression from the tumor (affecting approximately 85% of the liver) led to abdominal distention, dyspnea, and lower extremity edema (Figure 1). Despite eight months of disease control with monthly octreotide injections, progressive decline in quality of life prompted consideration for liver transplantation (LT). Preoperative workup included an octreotide scan showing no extrahepatic lesions, a stable chromogranin A level of 31 ng/mL, and a Model for End-Stage Liver Disease (MELD) score of 10.

Figure 1. Preoperative Recipient CT Scan. Published with Permission

Large, space-occupying tumor causing compression of the vena cava and a significant right-sided pleural effusion
Large, space-occupying tumor causing compression of the vena cava and a significant right-sided pleural effusion

Fortunately, a potential living liver donor was identified. Donor liver MRI revealed acceptable steatosis but unusual biliary anatomy with five bile ducts converging at the confluence. Donor protocol CT demonstrated a Nakamura type D portal vein configuration10 (Figure 2A, 2B). The anterior sector of the donor's liver was supplied by a branch of the left hepatic artery running within the same portal pedicle as the right anterior sector portal vein (Figure 2C, 2D). Estimated volumes of the posterior segment graft (1111 cc) and the donor remnant liver (855 cc) were obtained (Figure 3A, 3B).

Figure 2. Preoperative CT Angiography of Donor Liver. Published with Permission

A and B) Donor portal vein anatomy consistent with a Nakamura type D configuration. C and D) Anterior sector supplied by a branch of the left hepatic artery coursing within the same portal pedicle as the right anterior sector portal vein
A and B) Donor portal vein anatomy consistent with a Nakamura type D configuration. C and D) Anterior sector supplied by a branch of the left hepatic artery coursing within the same portal pedicle as the right anterior sector portal vein

Figure 3. Three-dimensional CT Volumetry Reconstruction of Planned RPS Liver Graft. Published with Permission

Estimated graft volume of 1111 cc using a plane along the right hepatic vein for transection
Estimated graft volume of 1111 cc using a plane along the right hepatic vein for transection

LDLT was performed in early 2021. Recipient hepatectomy involved early division of the hepatic arteries, bile duct, and portal vein to facilitate removal of the massive liver. In the donor, after temporarily clamping the right hepatic artery and the right posterior sector (RPS) portal vein, the transection plane was marked on the liver surface.

Transection proceeded along the right hepatic vein plane. A small, non-reconstructible portal pedicle crossing into the posterior sector was ligated and divided. The graft weighed 740 g, resulting in a graft-recipient weight ratio of 1.80 (Figure 4). The right hepatic artery and RPS portal vein were divided, and the hilar plate containing the bile duct was sharply divided. Hepatic venous anastomosis was performed between the recipient's inferior vena cava and the donor's right hepatic vein using running 4-0 Prolene sutures. The recipient's main portal vein was anastomosed to the donor's RPS portal vein with running 5-0 Prolene sutures. Arterial anastomosis was performed between the recipient's proper hepatic artery and the donor's RPS artery using 7-0 Prolene with the "W" technique.11 Biliary anastomosis was performed between the recipient's common bile duct and the two donor bile ducts using interrupted 6-0 PDS sutures. Estimated blood loss was 4L, requiring 9 units of red blood cells and fresh frozen plasma. Cold ischemic time was 1 hour 11 minutes, and warm ischemic time was 20 minutes.

Figure 4. Explanted Right Posterior Sector Liver Graft. Published with Permission

Right hepatic vein clearly visible on the transection surface
Right hepatic vein clearly visible on the transection surface

Postoperative day 1 Doppler ultrasound showed no hepatic artery flow, and the recipient's hemoglobin rose from 10.5 g/dL preoperatively to 17 g/dL. Re-exploration confirmed hepatic artery thrombosis. The graft artery was divided distal to the anastomosis, revealing back bleeding. The anastomosis was patent, and thrombus was expressed, restoring brisk pulsatile flow from the proximal artery. Following 2 mg of tissue plasminogen activator, phlebotomy and hemodilution were performed to achieve a more physiological hemoglobin level. The arterial anastomosis was re-established end-to-end with interrupted 7-0 Prolene using the same "W" technique. Pulsatile bleeding from the hilar plate confirmed bile duct patency and vascularization.

On postoperative day 5, a drop in hemoglobin and hypotension prompted re-exploration, revealing bleeding from the ligated portal pedicle on the liver cut surface, which was controlled with transfixing sutures. Subsequent recovery was uneventful. The patient is now 1-year post-transplant with normal graft function. The donor also recovered uneventfully.

A review of right posterior sector graft case reports and series identified no US cases. An OPTN data request (January 1995–March 2021) revealed the following distribution of graft types:

  • Right lobe grafts without the middle hepatic vein: 3553
  • Right lobe grafts with the middle hepatic vein: 543
  • Left lobe grafts: 742
  • Left lateral segment grafts: 1446
  • Partial left lobe grafts: 1068
  • Left trisegment grafts: 2 (reported)
  • Right trisegment grafts with middle hepatic vein: 6 (reported)
  • Left lobe grafts with caudate lobe: 36
  • Left lobe grafts with caudate lobe procured on the bench: 10 (reported)

Significantly, no grafts were reported within the OPTN data set as "right posterior sector," "right lateral sector," or "segment 6, 7."

Discussion

The critical shortage of livers from deceased donors creates a significant waitlist mortality rate, ranging from 20-25%.1 Living donor liver transplantation offers a viable strategy to bridge this gap and improve patient outcomes. A minimum 30% remnant liver volume is generally recommended for donor safety.5

Hwang et al. explored the potential of utilizing the RPS graft in LDLT for cases where standard right or left lobe grafts are unsuitable.13 Their study demonstrated that approximately 7% of potential donors who were initially deemed unsuitable due to limitations with the right or left lobe could still be potential candidates through RPS graft donation. Similarly, Kim et al. reported a success rate of 20% using RPS grafts in their adult-to-adult LDLT population.9 In their series, the RPS graft was selected due to inadequate remnant liver volume in 10 cases and favorable vascular anatomy in three.

RPS volumetry can be less reliable than whole lobe volumetry due to the lack of consistent anatomical landmarks beyond the right hepatic vein, leading to potential overestimation (approximately 19%).8 In our case, the estimated RPS graft volume by CT volumetry was 1111 cc, while the actual graft weight was 740 g, representing a discrepancy of nearly 37%.

Blood supply to RPS of the liver can sometimes include contributions from the anterior pedicle. This potential anatomic variation, if unrecognized, can lead to graft failure during liver transplantation, as evidenced by the case series reported by Kusakabe et al.7 Similarly, Rammohan et al. identified 3 out of 18 RPS grafts in their study where segment 7 received blood flow from the right anterior pedicle,8 requiring venous conduits. Our donor liver also exhibited this anatomical variation, with a small portal pedicle originating from the anterior sector and crossing the transection plane.

Previous studies have reported a correlation between the small diameter of the RPS artery and a higher incidence of hepatic artery thrombosis.9,12,15 In some cases, it is possible to harvest the entire right hepatic artery without jeopardizing the remnant liver. Kokudo et al. reported two such cases without donor ischemia or recipient hepatic artery thrombosis.12 In our case, the anterior sector was supplied by a branch of the left hepatic artery, enabling us to use the entire right hepatic artery with the graft.

Conclusion

The use of RPS grafts offers a viable alternative for LDLT when variant anatomy or graft size considerations preclude standard right or left lobe grafts. Living donor liver transplant programs should consider this option, particularly when standard anatomical configurations for right or left lobes are unsuitable. While this technique is well-described internationally, we describe the first reported case in the United States.

Lessons Learned

In this case, the donor presented with a Nakamura type D portal vein configuration, characterized by intraparenchymal branching of the anterior branch. Additionally, the anterior sector received arterial supply from a branch of the left hepatic artery traveling within the same portal pedicle as the right anterior sector portal vein. These anatomical variations precluded standard right or left lobe donation, making an RPS graft an ideal solution. Although a small-caliber right posterior sector artery has been identified as a risk factor for hepatic artery thrombosis after RPS LDLT, the anatomical variations in our case allowed for utilization of the entire right hepatic artery with the graft, potentially mitigating this risk.

Acknowledgment

We gratefully acknowledge the contributions of Drs. Marlon F. Levy, Amit Sharma, Aamir Khan, and Yuzuru Sambommatsu (Virginia Commonwealth University), and Dr. Chandra S. Bhati (University of Maryland) for their expert care of the donor and recipient, including surgical and perioperative management. The authors also thank Dr. Jill Bruno (Virginia Commonwealth University) for her expert radiological analysis and assistance with figures.

Authors

Imai D; Kumaran V; Cotterell AH; Lee SD; Bruno DA

Author Affiliation

Division of Transplant Surgery, Department of Surgery, Virginia Commonwealth University, Richmond, VA 23298

Corresponding Author

Daisuke Imai, MD, PhD
Department of Surgery
Virginia Commonwealth University
1200 E. Broad Street
16th Floor, West Wing
Richmond, VA 23298
Email: daisuke.imai@vcuhealth.org

Disclosure Statement

The authors have no conflicts of interest to disclose.

Funding/Support

The authors have no relevant financial relationships or in-kind support to disclose.

Received: December 19, 2022
Revision received: April 10, 2023
Accepted: June 27, 2023

References

  1. Dunson JR, Bakhtiyar SS, Joshi M, Goss JA, Rana A. Intent-to-treat survival in liver transplantation has not improved in 3 decades due to donor shortage relative to waitlist growth. Clin Transplant. 2021;35(10):e14433. doi:10.1111/ctr.14433
  2. Humar A, Ganesh S, Jorgensen D, et al. Adult Living Donor Versus Deceased Donor Liver Transplant (LDLT Versus DDLT) at a Single Center: Time to Change Our Paradigm for Liver Transplant. Ann Surg. 2019;270(3):444-451. doi:10.1097/SLA.0000000000003463
  3. Kiuchi T, Kasahara M, Uryuhara K, et al. Impact of graft size mismatching on graft prognosis in liver transplantation from living donors. Transplantation. 1999;67(2):321-327. doi:10.1097/00007890-199901270-00024
  4. Selzner M, Kashfi A, Cattral MS, et al. A graft to body weight ratio less than 0.8 does not exclude adult-to-adult right-lobe living donor liver transplantation. Liver Transpl. 2009;15(12):1776-1782. doi:10.1002/lt.21955
  5. Fan ST, Lo CM, Liu CL, Yong BH, Chan JK, Ng IO. Safety of donors in live donor liver transplantation using right lobe grafts. Arch Surg. 2000;135(3):336-340. doi:10.1001/archsurg.135.3.336
  6. Leelaudomlipi S, Sugawara Y, Kaneko J, Matsui Y, Ohkubo T, Makuuchi M. Volumetric analysis of liver segments in 155 living donors. Liver Transpl. 2002;8(7):612-614. doi:10.1053/jlts.2002.33731
  7. Kusakabe J, Yagi S, Okamura Y, et al. Anatomical Pitfall in Right Posterior Sector Graft Procurement in Living Donor Liver Transplantation. Liver Transpl. 2020;26(2):299-303. doi:10.1002/lt.25648
  8. Rammohan A, Reddy MS, Rela M. Anatomical Pitfall in Right Posterior Sector Graft Procurement in Living Donor Liver Transplantation. Liver Transpl. 2020;26(3):465-466. doi:10.1002/lt.25674
  9. Kim BW, Xu W, Wang HJ, Park YK, Lee K, Kim MW. Volumetry-based selection of right posterior sector grafts for adult living donor liver transplantation. Liver Transpl. 2011;17(9):1046-1058. doi:10.1002/lt.22338
  10. Nakamura T, Tanaka K, Kiuchi T, et al. Anatomical variations and surgical strategies in right lobe living donor liver transplantation: lessons from 120 cases. Transplantation. 2002;73(12):1896-1903. doi:10.1097/00007890-200206270-00008
  11. Kumaran V, Kapoor S, Sable S, Nath B, Varma V. The "W" Technique: A Safe and Reproducible Technique for Hepatic Artery Reconstruction in Living Donor Liver Transplantation. Ann Transplant. 2021;26:e926979. Published 2021 Jan 29. doi:10.12659/AOT.926979
  12. Kokudo T, Hasegawa K, Arita J, et al. Use of a Right Lateral Sector Graft in Living Donor Liver Transplantation Is Feasible, but Special Caution Is Needed With Respect to Liver Anatomy. Am J Transplant. 2016;16(4):1258-1265. doi:10.1111/ajt.13604
  13. Hwang S, Lee SG, Lee YJ, et al. Donor selection for procurement of right posterior segment graft in living donor liver transplantation. Liver Transpl. 2004;10(9):1150-1155. doi:10.1002/lt.20225
  14. Cho A, Okazumi S, Takayama W, et al. Anatomy of the right anterosuperior area (segment 8) of the liver: evaluation with helical CT during arterial portography. Radiology. 2000;214(2):491-495. doi:10.1148/radiology.214.2.r00fe38491
  15. Yoshizumi T, Ikegami T, Kimura K, et al. Selection of a right posterior sector graft for living donor liver transplantation. Liver Transpl. 2014;20(9):1089-1096. doi:10.1002/lt.23924