Unsupported Browser
The American College of Surgeons website is not compatible with Internet Explorer 11, IE 11. For the best experience please update your browser.
Menu
Become a member and receive career-enhancing benefits

Our top priority is providing value to members. Your Member Services team is here to ensure you maximize your ACS member benefits, participate in College activities, and engage with your ACS colleagues. It's all here.

Become a Member
Become a member and receive career-enhancing benefits

Our top priority is providing value to members. Your Member Services team is here to ensure you maximize your ACS member benefits, participate in College activities, and engage with your ACS colleagues. It's all here.

Become a Member
ACS
ACS Case Reviews

Cardiac Herniation After Blunt Trauma in the Setting of Remote Penetrating Thoracic Traumas

March 6, 2025

Abstract

Background

Cardiac herniation is a rare but potentially fatal complication, most frequently reported following significant blunt thoracic trauma. Misdiagnosis is common due to the presence of concomitant injuries and the rarity of the condition, contributing to diagnostic delays and increased morbidity.

Summary

We present the case of a patient who experienced cardiac herniation following seemingly minor blunt thoracic trauma in the context of a remote history of penetrating left chest trauma. The patient presented with persistent chest pain and dyspnea. Initial workup suggested acute coronary syndrome, revealing elevated troponin, decreased cardiac function on echocardiography, and occlusion of the left anterior descending and first diagonal coronary arteries refractory to percutaneous coronary angioplasty. During attempted coronary artery bypass grafting (CABG), cardiac herniation was diagnosed intraoperatively, secondary to a large residual pericardial defect from the prior penetrating injury. The defect was repaired, and CABG was performed, resulting in an excellent patient outcome.

Conclusion

Cardiac herniation can be a life-threatening complication of pericardial injury. Its nonspecific signs and symptoms often lead to intraoperative diagnosis due to its rarity. Maintaining high clinical vigilance and carefully reviewing patients' medical history can minimize diagnostic delays and improve patient outcomes.

Key Words

cardiac herniation; cardiac trauma; pericardial defect; pericardial rupture

Abbreviations

coronary artery bypass graft (CABG)
cardiopulmonary bypass (CPB)
first diagonal branch (D1)
electrocardiography (EKG)
left anterior descending (LAD)
left internal mammary artery (LIMA)
magnetic resonance imaging (MRI)
percutaneous intervention (PCI)


Case Description

A 35-year-old male presented to an outside hospital with persistent chest pain and shortness of breath following a seemingly innocuous event of a child jumping on his back. His medical history was significant for a remote left thoracotomy and partial lung resection 10 years prior due to a gunshot wound to the left upper chest.

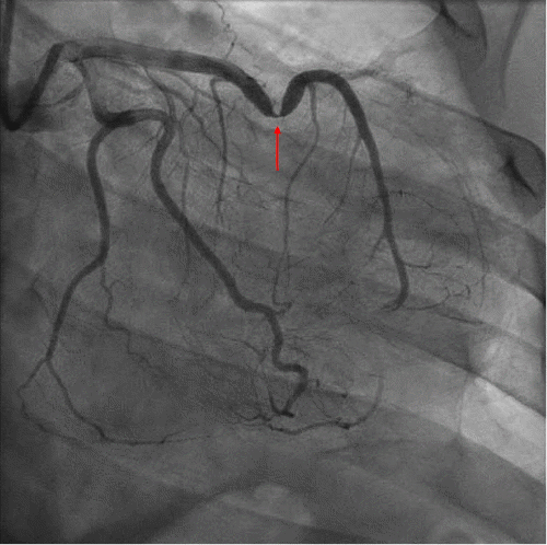
Initial workup revealed ST elevations in the anterolateral leads and a peak troponin of 43.74 µg/L. Coronary angiography demonstrated subtotal occlusion of the apical left anterior descending (LAD) and first diagonal (D1) arteries (Figure 1). Percutaneous coronary intervention (PCI) with stenting of the mid-LAD and balloon angioplasty of the D1 was performed. However, significant residual compressive lesions persisted in both arteries.

Figure 1. Coronary Angiogram. Published with Permission

Note severe stenosis in the apical segment of the LAD artery (arrow). The occluded diagonal branch is poorly visualized in this projection.
Note severe stenosis in the apical segment of the LAD artery (arrow). The occluded diagonal branch is poorly visualized in this projection.

Post-procedure, the patient exhibited persistently elevated troponin levels and ST elevations on electrocardiogram (ECG). Echocardiography revealed severely reduced left ventricular function (ejection fraction 25-30%). Cardiac MRI confirmed a recent large LAD territory infarct with myocardial edema and microvascular obstruction. Post-PCI CT angiography showed severe mid-LAD stent compression and stenosis, along with bulging of the left ventricle and hypodense myocardium, consistent with acute myocardial infarction (Figure 2).

Figure 2. Coronal CT Angiogram Depicting Left Ventricle with Areas of Impingement by Pericardium (arrows). Published with Permission

After several days without clinical improvement or diagnostic advancement despite repeat imaging, the patient was transferred to our institution for coronary artery bypass grafting (CABG).

Intraoperatively, a large, preexisting left-sided pericardial defect was discovered, with herniation of the left ventricle through the defect (Figure 3). The defect was well-circumscribed with smooth edges, inconsistent with an acute tear (i.e., rupture) but indicative of a chronic rather than acute process. Following reduction of the herniated left ventricle, a clear demarcation line was observed where the pericardial defect had been compressing the coronary vessels (Figure 4). The extent of permanent damage to the coronary arteries remained uncertain.

Figure 3. Intraoperative View. Published with Permission

Edge of the pericardial defect (arrows); the left ventricle is visibly protruding through the defect.
Edge of the pericardial defect (arrows); the left ventricle is visibly protruding through the defect.

Figure 4. Post-reduction of Left Ventricle. Published with Permission

Note clear demarcation indicating the area of strangulation within the pericardial defect (arrows)
Note clear demarcation indicating the area of strangulation within the pericardial defect (arrows)

Given the identified coronary artery anatomy, the surgical team opted for a double coronary artery bypass graft (CABG x2), with the left internal mammary artery (LIMA) to LAD and radial artery to D1 grafts. The pericardial defect was then repaired using prosthetic mesh (Figure 5).

Figure 5. Repair of Left Lateral Pericardial Defect Using Prosthetic Mesh. Published with Permission

The postoperative course was uneventful, and the patient was discharged on postoperative day 7. One-year follow-up echocardiography demonstrated complete cardiac recovery, with an estimated ejection fraction of 55-60%.

Discussion

Cardiac herniation is a frequently missed diagnosis, requiring a high index of clinical suspicion, especially in patients with a history of blunt thoracic trauma, even remote. This patient's pericardial defect likely resulted from a penetrating gunshot wound sustained ten years prior, a conclusion supported by the intraoperative findings of smooth and well-circumscribed margins indicative of a chronic defect rather than an acute pericardial rupture.

Diagnosis of cardiac herniation is challenging, with only an estimated 18% of cases diagnosed preoperatively; the majority are identified intraoperatively.1 Reported mortality rates range from 57%  to 64% for patients presenting to the hospital.2

Presenting signs and symptoms are often vague, including chest pain, dyspnea, and, in severe cases, cardiogenic shock. Herniation followed by incarceration or strangulation is more common with larger left pleural-pericardial defects, typically 8-12 cm in size.3 Imaging findings suggestive of cardiac herniation include abnormal displacement of cardiac tissue into either hemithorax, potentially accompanied by pneumopericardium or hemopericardium.4

While the pericardium itself is thin and difficult to visualize on cross-sectional imaging, subtle signs of disruption, such as visible indentations or "divots" in adjacent cardiac tissue, may be present, as observed in this case on CT angiography.5 These findings can be easily overlooked, especially in the context of trauma and other injuries, without a high degree of clinical suspicion for cardiac herniation. In this case, the initial diagnosis was myocardial infarction, later attributed to a myocardial bridge. Imaging findings were initially misinterpreted as sequelae of an LAD territory myocardial infarction.

The optimal surgical approach should be tailored to the suspected injuries and available clinical information. In this case, sternotomy was chosen for the anticipated CABG. However, a lateral pericardial defect can be challenging to repair via sternotomy in the presence of a beating heart, and retraction of the heart for defect access can lead to hemodynamic compromise. Thoracotomy is typically the preferred approach for suspected pericardial rupture.

Following pericardial violation, whether traumatic or iatrogenic, repair of the defect is indicated if the size poses a future risk of cardiac herniation. Primary repair with permanent suture or mesh prosthesis can be used, provided a tension-free closure is achieved. Large pericardial defects, such as the one in this case, are less likely to cause cardiac strangulation and may not necessarily require repair.

Conclusion

Cardiac herniation is a rare condition with a wide range of presentations. While acute presentations following blunt or penetrating trauma are recognized, insidious presentations can occur years after the initial injury. A thorough review of past medical and surgical history is crucial, particularly when the clinical picture is atypical for the presenting mechanism of injury. Maintaining a high index of suspicion for cardiac herniation can improve diagnostic accuracy and potentially reduce adverse outcomes.

Lessons Learned

Cardiac herniation should be a key diagnostic consideration following blunt thoracic trauma due to its associated high morbidity and mortality. This case highlights the importance of prompt diagnosis, as the patient's delayed diagnosis led to a prolonged hospitalization and unnecessary investigations. It reinforces the various clinical and imaging findings suggestive of cardiac herniation. Furthermore, this case underscores the critical importance of meticulous closure of even small pericardial defects to prevent this potentially devastating complication.

Authors

Danial JSa; Siems CBb; Mohammed Ab; John Rb

Author Affiliations

  1. University of Minnesota School of Medicine, Minneapolis, MN 55455
  2. Division of Cardiothoracic Surgery, Department of Surgery, University of Minnesota, Minneapolis, MN 55455

Corresponding Author

Ranjit John, MD
Department of Surgery
University of Minnesota
420 Delaware Street SE, MMC 207
Minneapolis, MN 55455
Email: johnx008@umn.edu

Disclosure Statement

The authors have no conflicts of interest to disclose.

Funding/Support

The authors have no relevant financial relationships or in-kind support to disclose.

Received: January 13, 2023
Revision received: June 22, 2023
Accepted: June 27, 2023

References

  1. Cook F, Mounier R, Martin M, Dhonneur G. Late diagnosis of post-traumatic ruptured pericardium with cardiac herniation. Can J Anaesth. 2017;64(1):94-95. doi:10.1007/s12630-016-0746-3
  2. Sherren PB, Galloway R, Healy M. Blunt traumatic pericardial rupture and cardiac herniation with a penetrating twist: two case reports. Scand J Trauma Resusc Emerg Med. 2009;17:64. Published 2009 Dec 15. doi:10.1186/1757-7241-17-64
  3. Carrillo EH, Heniford BT, Dykes JR, McKenzie ED, Polk HC Jr, Richardson JD. Cardiac herniation producing tamponade: the critical role of early diagnosis. J Trauma. 1997;43(1):19-23. doi:10.1097/00005373-199707000-00007
  4. Leibecke T, Stoeckelhuber BM, Gellissen J, et al. Posttraumatic and postoperative cardiac luxation: computed tomography findings in nine patients. J Trauma. 2008;64(3):721-726. doi:10.1097/TA.0b013e3180341fa9
  5. Nassiri N, Yu A, Statkus N, Gosselin M. Imaging of cardiac herniation in traumatic pericardial rupture. J Thorac Imaging. 2009;24(1):69-72. doi:10.1097/RTI.0b013e31818d12de