Unsupported Browser
The American College of Surgeons website is not compatible with Internet Explorer 11, IE 11. For the best experience please update your browser.
Menu
Become a member and receive career-enhancing benefits

Our top priority is providing value to members. Your Member Services team is here to ensure you maximize your ACS member benefits, participate in College activities, and engage with your ACS colleagues. It's all here.

Become a Member
Become a member and receive career-enhancing benefits

Our top priority is providing value to members. Your Member Services team is here to ensure you maximize your ACS member benefits, participate in College activities, and engage with your ACS colleagues. It's all here.

Become a Member
ACS
ACS Case Reviews

A Systematic Review of Neurogenic Pulmonary Edema in Traumatic Brain Injury

December 19, 2024

Abstract

Background

Neurogenic pulmonary edema (NPE) is a rare but serious complication of central nervous system (CNS) injury, characterized by acute pulmonary edema without a secondary cause. We present a case of NPE followed by a systematic review and analysis focused on traumatic brain injury (TBI), and consider potential mortality-associated risk factors.

Summary

We conducted a systematic search across PubMed, Cochrane, Google Scholar, and SCOPUS using PRISMA guidelines. After reviewing 1,399 articles based on established criteria, 29 studies were included in the final analysis (n=45 patients). We performed frequency analysis, independent samples t-tests, and calculated odds ratios to investigate risk factors for mortality.

Conclusion

NPE related to TBI carries a significant mortality rate of 42.2% (n=19) and substantial morbidity. Median hospital stay was 11 days, and 78.3% of survivors were discharged home. Initial vital signs, including systolic blood pressure (mean [SD], 113.13 [20.17], p = 0.29) and heart rate (97.93 [19.89], p = 0.16), were not significant predictors of mortality. While most patients were male (83.7%), sex, age, and admission vitals were not associated with mortality risk. This study represents the first systematic review of NPE, specifically in TBI. However, currently, there is insufficient evidence to conclusively identify risk factors associated with mortality.

Key Words

neurogenic pulmonary edema; trauma; lung edema; trauma surgery


Case Description

Neurogenic pulmonary edema (NPE) is a clinical syndrome of acute pulmonary edema triggered by a major central nervous system (CNS) insult. Its exact pathophysiology remains unclear, but a sudden catecholamine surge following the CNS injury is a leading hypothesis. Despite its frequent description in the medical literature, diagnosing NPE is challenging due to the lack of specific markers and its multisystem presentation. Common etiologies include seizures, traumatic brain injury (TBI), and intracranial hemorrhage.1 Onset is rapid, occurring within minutes to hours of the inciting event. NPE can mimic several conditions, including aspiration pneumonitis, acute respiratory distress syndrome (ARDS), cardiogenic pulmonary edema, transfusion-associated lung disorders, and sepsis.

A previously healthy 22-year-old African American male presented with a single gunshot wound (GSW) to the head. On arrival, he was minimally responsive (Glasgow Coma Score [GCS] of 6: E4V1M1), with labored, agonal respirations. Despite 100% oxygen saturation on bag valve ventilation, his initial blood pressure was 80/30 mm Hg, and his heart rate was 62 beats per minute in sinus rhythm. Pupils were 2 mm, equal, and reactive. Rapid sequence intubation was performed within 10 minutes of arrival.

Focused assessment with sonography in trauma (FAST) revealed a diffusely hypokinetic left ventricle without tamponade or pericardial effusion. Initial chest X ray (CXR) demonstrated mild bilateral pulmonary edema (Figure 1A). CT scan of the head showed a ballistic fragment entering the left posterior parietal area, terminating in the left parasagittal anterior frontal lobe without contralateral injury (Figure 2). Imaging also revealed subarachnoid and subdural hematomas with a 3 mm midline shift.

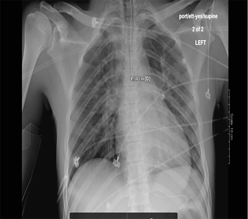
Figure 1. Chest X-rays Illustrating Progression of NPE. Published with Permission

A.

A) Initial CXR within ten minutes of arrival shows clear lung fields
A) Initial CXR within ten minutes of arrival shows clear lung fields

B.

B) Repeat CXR one hour later reveals marked bilateral pulmonary edema consistent with NPE
B) Repeat CXR one hour later reveals marked bilateral pulmonary edema consistent with NPE

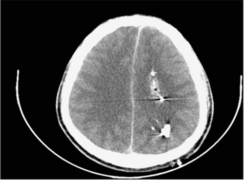
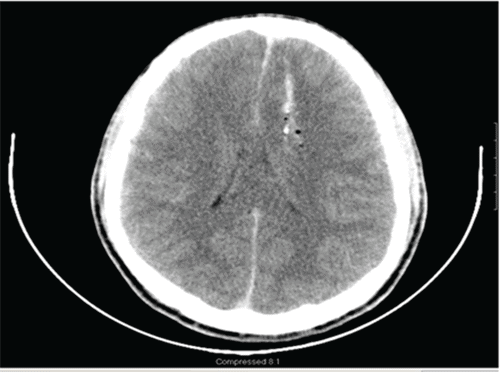
Figure 2. Head CT (superior to inferior views). Published with Permission
A.

B.

C.

Bullet trajectory through the left posterior parietal area, terminating in the left parasagittal anterior frontal lobe. No contralateral injury
Bullet trajectory through the left posterior parietal area, terminating in the left parasagittal anterior frontal lobe. No contralateral injury

Repeat CXR less than an hour later showed worsening pulmonary edema (Figure 1B). The patient developed copious pink frothy secretions within 30 minutes. In the OR, serial bronchoscopies extracted approximately 700cc of serosanguinous fluid. He also underwent a left-sided decompressive hemicraniectomy, revealing diffuse brain edema.

Despite intervention, the patient’s neurological status did not improve over 72 hours, meeting brain death protocol criteria. He expired on hospital day 4 following confirmation of brain death.

Discussion

Neurogenic pulmonary edema is a rare but serious complication of CNS injury. While reported following infectious CNS events and aneurysmal hemorrhage, data on NPE-related TBI is limited to case reports and series, with mortality rates estimated at 60% to 100%.2 This lack of strong evidence prompted our systematic review to provide an analysis of demographics and mortality in NPE caused by TBI.

The purpose of this study was to perform a systematic review of literature to provide an evidence-based analysis of demographics and mortality related to NPE caused by TBI. We adhered to PRISMA guidelines, searching PubMed, Cochrane, Google Scholar, and SCOPUS for articles on NPE (Figure 3). Two reviewers screened the initial 1,399 results, applying rigorous exclusion criteria. The final analysis included 29 articles (all case reports and series) with objective data, representing 45 TBI patients.3‒32 Data collection covered demographics, vital signs, time to pulmonary edema onset, hospital length of stay (LOS), discharge status, and initial oxygenation levels. Given the limited amount of studies on this topic, case reports and case series comprised all of the literature (Table 2).

Figure 3. Prisma Diagram

Study Design* # Male # Female Mortality (yes/no) Time to first CXR DC Neuro Status** Hospital LOS
Bejalokovic 2006 CR 1 0 n 1.5 hours 2 20 days
Casey 1983 CR 0 0 y
Chaari 2015 CR 1 0 y 4 hours
Cohen 1977 CR 2 2 y 2 hours, 1 hour 1 21 days
Felman 1971 CS 2 1 y 1
Fontes 2003 CR/LR 1 1 y 1 hour, 1 hour
Gary 1998 CR 1 0 n 2
Hegde 2017 CR 0 1 n 2 hours 1 8 days
Hideki 2018 CR 1 0 n 1 hour
James 1978 CR 1 0 y 5 hours
Jeyashanmugaraja 2019 CR 1 0 n 1 hour 2
Lagerkranser 1982 CS 1 0 n 1 7 days
Loughnan 1980 CR 1 0 n 1 hour 1 10 days
Matsuyama 2007 CR 1 0 n 1 7 days
Mehmet 2015 CR 2 0 y 12 hours, 1 hour 1 35 days
Qin 2005 CS 0 0 y
Rajagopal 2017 CR 1 0 n 5 days
Rubin 2001 CR 2 0 n 3 hours 1, 3 5 days, 11 days
Schranz 1981 CR 1 0 n 1
Shah 2013 CR 1 0 n 1 hour 1 3 days
Sherr 2009 CR 0 1 n 1 hour 2
Shigemori 1981 CR 0 1 n 1
Simmons 1969 CS 9 0 y
Sisikht 2020 CR 1 0 y 24 hours
Wauchob 1984 CR 2 0 n 4 hours, 4 hours 2, 2 45 days, 30 days
Wohns 1985 CR 1 0 n 45 hours 2 60 days
Xiaoping 2016 CR 1 0 n 2
Yamagishi 2014 CR 0 1 n
Table 1. Review and Quality of Included Studies
Study Design* # Male # Female Mortality (yes/no) Time to first CXR DC Neuro Status** Hospital LOS
Bejalokovic 2006 CR 1 0 n 1.5 hours 2 20 days
Casey 1983 CR 0 0 y
Chaari 2015 CR 1 0 y 4 hours
Cohen 1977 CR 2 2 y 2 hours, 1 hour 1 21 days
Felman 1971 CS 2 1 y 1
Fontes 2003 CR/LR 1 1 y 1 hour, 1 hour
Gary 1998 CR 1 0 n 2
Hegde 2017 CR 0 1 n 2 hours 1 8 days
Hideki 2018 CR 1 0 n 1 hour
James 1978 CR 1 0 y 5 hours
Jeyashanmugaraja 2019 CR 1 0 n 1 hour 2
Lagerkranser 1982 CS 1 0 n 1 7 days
Loughnan 1980 CR 1 0 n 1 hour 1 10 days
Matsuyama 2007 CR 1 0 n 1 7 days
Mehmet 2015 CR 2 0 y 12 hours, 1 hour 1 35 days
Qin 2005 CS 0 0 y
Rajagopal 2017 CR 1 0 n 5 days
Rubin 2001 CR 2 0 n 3 hours 1, 3 5 days, 11 days
Schranz 1981 CR 1 0 n 1
Shah 2013 CR 1 0 n 1 hour 1 3 days
Sherr 2009 CR 0 1 n 1 hour 2
Shigemori 1981 CR 0 1 n 1
Simmons 1969 CS 9 0 y
Sisikht 2020 CR 1 0 y 24 hours
Wauchob 1984 CR 2 0 n 4 hours, 4 hours 2, 2 45 days, 30 days
Wohns 1985 CR 1 0 n 45 hours 2 60 days
Xiaoping 2016 CR 1 0 n 2
Yamagishi 2014 CR 0 1 n

*CR = case report, CS = case series, LR = literature review

**DC Neuro status. 1 = no deficit, 2 = mild deficit (one neurological deficit one discharge), 3 = severe deficit (two or more neurological deficits on discharge)

Descriptive statistics (means, standard deviations, frequencies) were calculated using SPSS Version 26. We compared patients who survived versus those who died, with mortality as the primary outcome. Independent samples t-tests and odds ratios were used to assess risk factors, including admission vitals, gender, age, and time to first chest X-ray. Secondary outcomes were discharge neurological status, disposition, and LOS.

Our analysis revealed an overall NPE mortality rate of 42.4% (n=19) in these TBI cases. Most survivors (78.3%) were discharged home, with 63.6% returning to baseline neurological function. Admission vitals, gender, and time to pulmonary edema onset did not appear to significantly affect mortality risk (Table 2). The median LOS for survivors was 11 days. (Table 3).

N Mean Std.Deviation Std.Error Mean t df p Mean Difference 95%CI Upper 95%CI Lower
Age 19 22.9 12.6 2.9 -0.84 41 0.4 -45.2 -12.8
Systolic BP 23 123.4 36.3 16.25 1.09 20 0.09 17.66 -16.23
Diastolic BP 22 72.3 20.5 9.9 0.19 19 0.12 1.85 -18.86
HR 23 110.9 35.2 15.35 1.47 20 0.06 22.59 -9.42
Starting PEEP 14 7.2 2.5 1.41 0.89 12 0.06 1.27 -1.81
Ending PEEP 14 11.6 9.3 5.34 0.36 12 0.48 1.93 -9.69
Table 2. Multivariable Analysis for Risk Factors for Mortality in NPE
N Mean Std.Deviation Std.Error Mean t df p Mean Difference 95%CI Upper 95%CI Lower
Age 19 22.9 12.6 2.9 -0.84 41 0.4 -45.2 -12.8
Systolic BP 23 123.4 36.3 16.25 1.09 20 0.09 17.66 -16.23
Diastolic BP 22 72.3 20.5 9.9 0.19 19 0.12 1.85 -18.86
HR 23 110.9 35.2 15.35 1.47 20 0.06 22.59 -9.42
Starting PEEP 14 7.2 2.5 1.41 0.89 12 0.06 1.27 -1.81
Ending PEEP 14 11.6 9.3 5.34 0.36 12 0.48 1.93 -9.69
Characteristic Survived (n = 24) Deceased (n =19)

P

Age in years median (Q1, Q3) 15.5 (8.75, 28.75) 20 (16, 29) 0.4
Gender, n (%)
Male 21 (87.5%) 15 (83.3%)
Female 3 (12.5%) 3 (16.7%)
Blood pressure, systolic (mmHg) median (Q1, Q3) 130 (115, 165) 110 (100, 125) 0.29
Blood pressure, diastolic (mmHg) median (Q1, Q3) 67 (53, 97.5) 76 (60, 80) 0.85
Admission heart rate (beats per minute) median (Q1, Q3) 110 (86, 163) 100 (82, 118) 0.16
Admission PaO2 (mmHg) median (Q1, Q3) 64 (49, 68) 53 (28, 56)
Time to first Chest X-Ray (hours) median (Q1, Q3) 1 (1, 3.5) 4 (1, 12)
Hospital length of stay (days) median (Q1, Q3) 11 (6.5–31.3) 0.71 (0.26–8.25)
Neurological status at discharge, n (%)
Full recovery 14 (63.6%)
Mild deficit* 7 (31.8%)
Severe deficit** 1 (4.5%)
Discharge disposition, n (%)
Home 18 (78.3%)
Rehab 5 (21.7%)
Table 3. Patient Data
Characteristic Survived (n = 24) Deceased (n =19)

P

Age in years median (Q1, Q3) 15.5 (8.75, 28.75) 20 (16, 29) 0.4
Gender, n (%)
Male 21 (87.5%) 15 (83.3%)
Female 3 (12.5%) 3 (16.7%)
Blood pressure, systolic (mmHg) median (Q1, Q3) 130 (115, 165) 110 (100, 125) 0.29
Blood pressure, diastolic (mmHg) median (Q1, Q3) 67 (53, 97.5) 76 (60, 80) 0.85
Admission heart rate (beats per minute) median (Q1, Q3) 110 (86, 163) 100 (82, 118) 0.16
Admission PaO2 (mmHg) median (Q1, Q3) 64 (49, 68) 53 (28, 56)
Time to first Chest X-Ray (hours) median (Q1, Q3) 1 (1, 3.5) 4 (1, 12)
Hospital length of stay (days) median (Q1, Q3) 11 (6.5–31.3) 0.71 (0.26–8.25)
Neurological status at discharge, n (%)
Full recovery 14 (63.6%)
Mild deficit* 7 (31.8%)
Severe deficit** 1 (4.5%)
Discharge disposition, n (%)
Home 18 (78.3%)
Rehab 5 (21.7%)

*Mild deficit was defined as one neurologic deficit on discharge
**Severe deficit was defined as two or more neurologic deficits on discharge

As seen in our case, a single high-velocity GSW to the head likely triggered a sudden rise in intracranial pressure, leading to a catecholamine surge. This cascade of events potentially caused both direct myocardial stunning and subsequent diffuse pulmonary edema. The observed severe hypoxia, acute bilateral infiltrates, and copious pulmonary secretions further support the diagnosis of NPE.

While pre-intubation aspiration remains a potential contributing factor, the onset of hypoxia related to aspiration pneumonitis (hours to days after the inciting event)31 contrasts with the acute presentation observed in this case. This timing makes NPE a more compelling diagnosis. Acute respiratory distress syndrome (ARDS) warrants consideration due to the acuity of respiratory distress. However, the clear neurologic insult combined with evidence of cardiac hypokinesis, in the absence of a primary cardiac or pulmonary cause, strengthens the case for NPE as the predominant mechanism.

Transfusion-associated circulatory overload (TACO) must also be carefully weighed in the differential. While TACO and NPE can present with similar acute respiratory distress, the extremely rapid onset of pulmonary edema in this patient, following ten units of blood products, deviates from TACO’s typically slower progression (less than six hours after a blood transfusion).33 This further supports NPE as the more likely primary process.

Our systematic review highlights a high mortality rate associated with NPE. While insufficient evidence exists to link age or gender definitively to NPE risk, our analysis and presented case highlight a predominance of young males among those affected. Notably, 63.6% of survivors experienced a full recovery, suggesting the importance of prompt NPE identification and management for better outcomes.

Furthermore, we observed a prolonged average delay of 1.7 hours between admission and the first chest X-ray. The cause of this delay is unclear; however, it may be due to prioritization of other injuries or limited awareness of pulmonary complications. Due to the small sample size (n = 45) and limited number of published cases, statistical analysis of risk factors associated with mortality did not yield significant results. Outliers in the data likely skewed averages within this dataset. We advocate for continued case reporting and data collection on NPE to enable a more robust investigation into risk factors for mortality.

While the precise mechanism of NPE remains under investigation, four leading theories propose an initial intracranial event triggering a “catecholamine surge” that ultimately leads to acute onset pulmonary edema.34

  1. Neuro-Cardiac Model: Acute neurological injury elevates intracranial pressure (ICP), causing massive sympathetic catecholamine release.2 This induces direct myocardial injury, paralleling processes seen in Takutsubo’s cardiomyopathy. Resultant cardiac dysfunction contributes to pulmonary edema.
  2. Neuro-Hemodynamic Model: The catecholamine surge primarily increases afterload and systemic pressure rather than direct myocardial injury. This sudden vasoconstriction impairs contractility, with backflow leading to elevated pulmonary hydrostatic pressure and edema.2
  3. Blast Theory: Expanding on the neuro-hemodynamic model, this theory posits a combination of hydrostatic pressure changes and direct pulmonary barotrauma due to rapid pressure shifts. The presence of red blood cells and protein in the alveolar fluid of NPE patients suggests a mechanism beyond simple hydrostatic pulmonary edema. This observation supports the theory of alveolar capillary cell death, which would explain the capillary leak and exudative nature of the effluent. This phenomenon aligns with our case, where bronchoscopy revealed copious amounts of pink, frothy fluid.2
  4. Pulmonary Venule Adrenergic Hypersensitivity: This theory proposes that widespread, hypersensitive alpha and beta-adrenergic receptors in pulmonary vasculature suffer direct injury from the catecholamine surge, leading to vascular damage and edema.2

NPE remains a diagnosis of exclusion, requiring careful differentiation from aspiration pneumonitis, TACO, and ARDS. Key distinguishing features include rapid onset, absence of primary cardiopulmonary injury, and evidence of CNS trauma (Figure 4), and there are several proposed diagnostic criteria:

  • Bilateral chest X-ray infiltrates
  • PaO2/FiO2 ratio <200
  • No left atrial hypertension
  • CNS injury
  • Absence of other ARDS triggers1

Figure 4. Diagnosis and Treatment

Alongside diagnostics, clinical presentation aids in identifying NPE.34 Symptoms typically manifest within 30 to 60 minutes of CNS injury (occasionally delayed up to 12 to 24 hours).1 Symptoms present concurrently with neurogenic cardiac disturbances. Dyspnea, pink frothy sputum, tachypnea, cyanosis, hypertension, and fever are common at presentation.35 Notably, NPE’s rapid resolution can lead to some patients being asymptomatic upon arrival.1

Treatment prioritizes addressing the primary CNS insult, with supportive care for symptomatology. Decompressive hemicraniectomy may be indicated in cases of elevated ICP, as seen in our case presentation. Respiratory management aligns closely with ARDS protocols: abiding by Brain Trauma Foundation Guidelines,36 mechanical ventilation with a target O2 saturation >90% or PaO2 >90 mmHg is generally acceptable for TBI patients. Serial bronchoscopy aids in excessive fluid removal, and inotropes may be necessary to support compromised cardiac output. While aggressive suctioning of pulmonary edema and positive end-expiratory pressure (PEEP) can be useful in oxygen management,37 these interventions must be used cautiously due to their potential to worsen ICP.38 Lung-protective ventilation strategies are critical.40 Pressure control ventilation may become necessary, but clinicians must be vigilant in avoiding permissive hypercapnia, as the resultant cerebral vasodilation can exacerbate secondary brain injury.

Though various pharmacological interventions have been used in case reports for NPE, robust evidence for their efficacy is lacking. Inotropes like dobutamine and milrinone might improve cardiac contractility where it is compromised,35 while diuretics and nitrates can help decrease pulmonary fluid volume by enhancing diuresis and promoting pulmonary vasodilation. However, using diuretics in acute trauma requires extra caution due to the potential for hypovolemia due to hemorrhagic causes. Some case studies suggest that positive inotropes, combined with diuretics and nitrates, may provide both symptom relief and a mortality benefit in severe pulmonary edema.35 However, whether this benefit extends to patients with complicated NPE remains unclear.

This review’s value relies on the quality of available evidence. Unfortunately, high-level evidence on NPE caused by TBI is scarce, necessitating the inclusion of case reports and case series. Incomplete data across studies and a focus on in-hospital complications were also limitations. We acknowledge the rarity of TBI-induced NPE, which hinders the collection of robust data. The small sample sizes inherent to this clinical area limited the power needed to draw definitive conclusions about mortality risk factors. Retrospective reviews of patient data, structured for survival vs. mortality comparisons, hold promise for identifying key risk factors influencing outcomes in this complex clinical scenario.

Conclusion

Neurogenic pulmonary edema, a rare complication of acute neurological insult like trauma, is characterized by the acute onset of pulmonary edema. Currently, there is insufficient data to definitively identify risk factors associated with its significant mortality and morbidity.

Lessons Learned

In trauma patients presenting with head injuries, consider the possibility of NPE as a potential complication, even in the absence of primary lung injury. Early identification, though challenging due to its rarity, is essential for guiding management and potentially improving outcomes.

Authors

Papa Aa,b; Lapoint Da,b; Roberts MBb; Carrillo Ac; Collins Jd; Galiczynski Sd; Ratnasekera Ab,e,f

Author Affiliations

  1. Department of Internal Medicine, Jacobs School of Medicine and Biomedical Sciences, Buffalo, NY 14203
  2. Philadelphia College of Osteopathic Medicine, Philadelphia, PA 19131
  3. Department of Internal Medicine, Franciscan Health Olympia Fields, Olympia Fields, IL 60461
  4. Department of Surgery, Crozer Chester Medical Center, Upland, PA 19013
  5. Department of Surgery, ChristianaCare, Newark, DE 19718
  6. Drexel University College of Medicine, Philadelphia, PA 19129

Corresponding Author

Alexander Papa, DO, MS
2445 S. Garnet Street
Philadelphia, PA 19145
Email: alexanderpap@pcom.edu

Disclosure Statement

The authors have no conflicts of interest to disclose.

Funding/Support

The authors have no relevant financial relationships or in-kind support to disclose.

Received: May 18, 2022
Accepted: June 23, 2022

References

  1. Temple M, Hallman M, Luks AM. Neurogenic Pulmonary Edema. In: UpToDate. Waltham, MA: UpToDate; March 20, 2021. Available from: https://www.uptodate.com/contents/neurogenic-pulmonary-edema
  2. Al-Dhahir MA, M Das J, Sharma S. Neurogenic Pulmonary Edema. In: StatPearls. Treasure Island (FL): StatPearls Publishing; July 17, 2023.
  3. Fontes RB, Aguiar PH, Zanetti MV, Andrade F, Mandel M, Teixeira MJ. Acute neurogenic pulmonary edema: case reports and literature review. J Neurosurg Anesthesiol. 2003;15(2):144-150. doi:10.1097/00008506-200304000-00013
  4. Nastasovic T, Milakovic B, Marinkovic JE, Grujicic D, Stosic M. Could cardiac biomarkers predict neurogenic pulmonary edema in aneurysmal subarachnoid hemorrhage?. Acta Neurochir (Wien). 2017;159(4):705-712. doi:10.1007/s00701-017-3091-6
  5. Chaari A, Chtara K, Toumi N, Bahloul M, Bouaziz M. Neurogenic pulmonary edema after severe head injury: a transpulmonary thermodilution study. Am J Emerg Med. 2015;33(6):858.e1-858.e8583. doi:10.1016/j.ajem.2014.12.009
  6. Sarı MY, Yıldızdaş RD, Yükselmiş U, Horoz ÖÖ. Our patients followed up with a diagnosis of neurogenic pulmonary edema. Turk Pediatri Ars. 2015;50(4):241-244. Published 2015 Dec 1. doi:10.5152/TurkPediatriArs.2015.1411
  7. Yasui H, Arima H, Hozumi H, Suda T. Neurogenic Pulmonary Edema without Norepinephrine Elevation. Intern Med. 2018;57(14):2097-2098. doi:10.2169/internalmedicine.9825-17
  8. Shigemori M, Ogata T, Shirahama M, Tokutomi T, Kusano N, Nakajima O. [Neurogenic pulmonary edema following severe head injury--case report (author’s transl)]. No Shinkei Geka. 1981;9(3):331-335.
  9. Loughnan PM, Brown TC, Edis B, Klug GL. Neurogenic pulmonary oedema in man: aetiology and management with vasodilators based on haemodynamic studies. Anaesth Intensive Care. 1980;8(1):65-71. doi:10.1177/0310057X8000800111
  10. Simmons RL, Martin AM Jr, Heisterkamp CA 3rd, Ducker TB. Respiratory insufficiency in combat casualties. II. Pulmonary edema following head injury. Ann Surg. 1969;170(1):39-44. doi:10.1097/00000658-196907000-00005
  11. Matsuyama T, Okuchi K, Nishiguchi T, Seki T, Murao Y. Neurogenic pulmonary edema caused by a medulla oblongata lesion after head trauma. J Trauma. 2007;63(3):700-702. doi:10.1097/01.ta.0000198215.33226.e1
  12. Felman AH. Neurogenic pulmonary edema. Observations in 6 patients. Am J Roentgenol Radium Ther Nucl Med. 1971;112(2):393-396. doi:10.2214/ajr.112.2.393
  13. Agrawal A, Timothy J, Pandit L, Kumar A, Singh GK, Lakshmi R. Neurogenic pulmonary oedema. Eur J Gen Med. 2007;4(1):25–32. doi:10.29333/ejgm/82417
  14. Wohns RN, Tamas L, Pierce KR, Howe JF. Chlorpromazine treatment for neurogenic pulmonary edema. Crit Care Med. 1985;13(3):210-211. doi:10.1097/00003246-198503000-00016
  15. Lin X, Xu Z, Wang P, Xu Y, Zhang G. Role of PiCCO monitoring for the integrated management of neurogenic pulmonary edema following traumatic brain injury: A case report and literature review. Exp Ther Med. 2016;12(4):2341-2347. doi:10.3892/etm.2016.3615
  16. Fontes RB, Aguiar PH, Zanetti MV, Andrade F, Mandel M, Teixeira MJ. Acute neurogenic pulmonary edema: case reports and literature review. J Neurosurg Anesthesiol. 2003;15(2):144-150. doi:10.1097/00008506-200304000-00013
  17. Cohen HB, Gambill AF, Eggers GW Jr. Acute pulmonary edema following head injury: two case reports. Anesth Analg. 1977;56(1):136-139. doi:10.1213/00000539-197701000-00034
  18. Jeyashanmugaraja GP, Gunasekaran K, Arora A, Kwon JS, Wolff AJ. Acute pulmonary edema: Not always cardiogenic. Paper presented at: American Thoracic Society 2019 International Conference; May 17-22, 2019; Dallas, TX. doi:10.1164/ajrccm-conference.2019.199.1_MeetingAbstracts.A3200
  19. Sisakht M, Paymard A, Javdansirat S. Neurogenic pulmonary edema post head trauma: A case report. Int J Pharm Res. 2021;13(1). doi: 10.31838/ijpr/2020.12.01.145
  20. Rajagopal R, Ganesh S, Vetrivel M. Neurogenic Pulmonary Edema in Traumatic Brain Injury. Indian J Crit Care Med. 2017;21(5):329-331. doi:10.4103/ijccm.IJCCM_431_16
  21. Sherr GT, Beal A, Irwin E, Roach R, Dyste G. Acute and critical care management of a pediatric patient with medullo-cerebellar impaling. J Clin Neurosci. 2009;16(9):1239-1241. doi:10.1016/j.jocn.2008.11.024
  22. James HE, Tsueda K, Wright B, Young AB, McCloskey J. The effect of positive end-expiratory pressure (PEEP) ventilation in neurogenic pulmonary oedema. Report of a case. Acta Neurochir (Wien). 1978;43(3-4):275-280. doi:10.1007/BF01587962
  23. Loughnan PM, Brown TC, Edis B, Klug GL. Neurogenic pulmonary oedema in man: aetiology and management with vasodilators based on haemodynamic studies. Anaesth Intensive Care. 1980;8(1):65-71. doi:10.1177/0310057X8000800111
  24. O’Leary R, McKinlay J. Neurogenic pulmonary oedema. Continuing Education in Anaesthesia Critical Care & Pain. 2011;11(3):87-92. doi: 10.1093/bjaceaccp/mkr006.
  25. Schranz D, Stopfkuchen H, Jüngst BK. Hämorrhagisches Lungenäodem und Herzkreislaufinsuffizienz nach isoliertem Schädelhirntrauma. Kombinierte Behandlung mit Dobutamin und Nitroglycerin [Hemorrhagic pulmonary edema and cardiac failure following isolated head injury. Treatment with dobutamine and nitroglycerin (author's transl)]. Monatsschr Kinderheilkd. 1981;129(4):248-250.
  26. Qin SQ, Sun W, Wang HB, Zhang QL. Neurogenic pulmonary edema in head injuries: analysis of 5 cases. Chin J Traumatol. 2005;8(3):172-178.
  27. Bjelakovic B, Vukomanovic V, Saranac L, Stefanovic I. ECG changes in 8-year-old boy with pulmonary edema after head injury. ScientificWorldJournal. 2006;6:571-576. Published 2006 May 17. doi:10.1100/tsw.2006.108
  28. Wauchob TD, Brooks RJ, Harrison KM. Neurogenic pulmonary oedema. Anaesthesia. 1984;39(6):529-534. doi:10.1111/j.1365-2044.1984.tb07355.x
  29. van Bussel B, Peters N, Aries M. Neurogenic pulmonary oedema. BMJ Case Rep. 2018;2018:bcr2017224011. Published 2018 Mar 14. doi:10.1136/bcr-2017-224011
  30. Rubin DM, McMillan CO, Helfaer MA, Christian CW. Pulmonary edema associated with child abuse: case reports and review of the literature. Pediatrics. 2001;108(3):769-775. doi:10.1542/peds.108.3.769
  31. Hegde A, Prasad GL, Kini P. Neurogenic pulmonary oedema complicating traumatic posterior fossa extradural haematoma: Case report and review. Brain Inj. 2017;31(1):127-130. doi:10.1080/02699052.2016.1219388
  32. Yamagishi T, Ochi N, Yamane H, Takigawa N. Neurogenic pulmonary edema after subarachnoid hemorrhage. J Emerg Med. 2014;46(5):683-684. doi:10.1016/j.jemermed.2013.11.094
  33. Klompas M. Aspiration pneumonia in adults. In: Post TW, ed. UpToDate. Waltham, MA: UpToDate; Accessed March 20, 2021. Available from: https://www.uptodate.com/contents/aspiration-pneumonia-in-adults
  34. Acute Respiratory Distress Syndrome Network, Brower RG, Matthay MA, et al. Ventilation with lower tidal volumes as compared with traditional tidal volumes for acute lung injury and the acute respiratory distress syndrome. N Engl J Med. 2000;342(18):1301-1308. doi:10.1056/NEJM200005043421801
  35. Voelker MT, Spieth P. Blood transfusion associated lung injury. J Thorac Dis. 2019;11(8):3609-3615. doi:10.21037/jtd.2019.06.61
  36. Barile M. Pulmonary Edema: A Pictorial Review of Imaging Manifestations and Current Understanding of Mechanisms of Disease. Eur J Radiol Open. 2020;7:100274. Published 2020 Oct 30. doi:10.1016/j.ejro.2020.100274
  37. Purvey M, Allen G. Managing acute pulmonary oedema. Aust Prescr. 2017;40(2):59-63. doi:10.18773/austprescr.2017.012
  38. Carney N, Totten AM, O'Reilly C, et al. Guidelines for the Management of Severe Traumatic Brain Injury, Fourth Edition. Neurosurgery. 2017;80(1):6-15. doi:10.1227/NEU.0000000000001432
  39. Brower RG, Lanken PN, MacIntyre N, et al. Higher versus lower positive end-expiratory pressures in patients with the acute respiratory distress syndrome. N Engl J Med. 2004;351(4):327-336. doi:10.1056/NEJMoa032193
  40. Frost EA. Effects of positive end-expiratory pressure on intracranial pressure and compliance in brain-injured patients. J Neurosurg. 1977;47(2):195-200. doi:10.3171/jns.1977.47.2.0195