Unsupported Browser
The American College of Surgeons website is not compatible with Internet Explorer 11, IE 11. For the best experience please update your browser.
Menu
Become a member and receive career-enhancing benefits

Our top priority is providing value to members. Your Member Services team is here to ensure you maximize your ACS member benefits, participate in College activities, and engage with your ACS colleagues. It's all here.

Become a Member
Become a member and receive career-enhancing benefits

Our top priority is providing value to members. Your Member Services team is here to ensure you maximize your ACS member benefits, participate in College activities, and engage with your ACS colleagues. It's all here.

Become a Member
ACS
ACS Case Reviews

Surgical Management of Chilaiditi Syndrome with Gastric Outlet Obstruction Due to Hepatic Hypermobility

December 19, 2024

Abstract

Background

A young man presented with gastrointestinal obstructive symptoms. He was found to have Chilaiditi syndrome with a hypermobile liver leading to gastric outlet obstruction.

Summary

An 18-year-old man with no significant past medical history presented with a three-day history of nausea, abdominal pain, and abdominal distention. These symptoms intermittently occurred over the past year but always spontaneously resolved. His CT scan on admission demonstrated a dilated esophagus, decompressed small bowel, and markedly dilated colon. The liver was significantly medialized. Due to concern of a large bowel obstruction, a colonoscopy was performed without evidence of obstruction, and a rectal tube was placed. The patient improved, but he was subsequently admitted twice more for similar symptoms, with imaging indicating global dilation of the gastrointestinal tract and hepatic medialization. Additional workup including rectal biopsy for Hirschsprung disease and capsule endoscopy for transit time were performed; neither were diagnostic. On the patient's fourth admission, imaging denoted interposition of the hepatic flexure posteromedial to the right hepatic lobe consistent with Chilaiditi Syndrome. The patient underwent a subtotal colectomy with primary anastomosis, and he has had symptomatic resolution at one year postoperatively.

Conclusion

The presentation of Chilaiditi syndrome varies, with many patients managed nonoperatively and others requiring surgical intervention. We discuss a case of a patient with a near-absent hepatocolic ligament and hepatic suspensory apparatus leading to a hypermobile liver and colon with gastric outlet obstruction. This patient ultimately underwent colectomy with enduring symptom resolution. This rare condition can be difficult to diagnose. Treatment may entail hepatic fixation or colectomy to prevent recurrence.

Key Words

Chilaiditi syndrome; hypermobile liver; gastric outlet obstruction


Case Description

Asymptomatic hepatodiaphragmatic colonic interposition (Chilaiditi 's sign) is a benign and usually incidental radiographic finding. Chilaiditi syndrome is a symptomatic interposition and may be associated with other pathologic entities including obstruction, colonic volvulus, and, rarely, a hypermobile liver due to laxity of the hepatic suspensory apparatus.1-5

The patient presented with three days of abdominal pain and distention with nausea. He denied any past medical or surgical history. He experienced similar painful episodes over the preceding year that resolved spontaneously within 48 hours. On exam, his abdomen was distended with mild tenderness; rectal exam was normal. CT scan showed a distended esophagus, decompressed small bowel, dilated large bowel, and a significantly medialized liver (Figure 1). As the entire colon was enlarged, colonoscopy was performed to rule out an anatomic cause for large bowel obstruction at the rectosigmoid junction. The patient was found to have a grossly distended colon without obstructing lesions or clear transition point consistent with volvulus. Proximal to the sigmoid colon, there were multiple redundant colonic loops that impeded navigation but were ultimately traversed with difficulty (Figure 2). A rectal decompression tube was placed. Given the nondefinitive findings of the colonoscopy, symptomatic improvement of the patient with decompression, and the patient's young age, additional diagnostic workup was performed for a presumed motility disorder. A full thickness excisional rectal biopsy was obtained for evaluation of Hirschsprung disease.

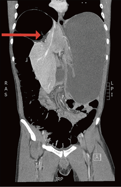
Figure 1. Coronal CT Scan on Initial Presentation. Published with Permission

Dilated colon with medial displacement of the liver
Dilated colon with medial displacement of the liver

Figure 2. Colonoscopy on Admission. Published with Permission

Grossly distended colon with colonic looping is demonstrated; however, a clear transition point diagnostic of volvulus is absent
Grossly distended colon with colonic looping is demonstrated; however, a clear transition point diagnostic of volvulus is absent

The patient improved and was discharged, but he was subsequently admitted twice more within three weeks for similar symptoms requiring repeat endoscopic decompression.

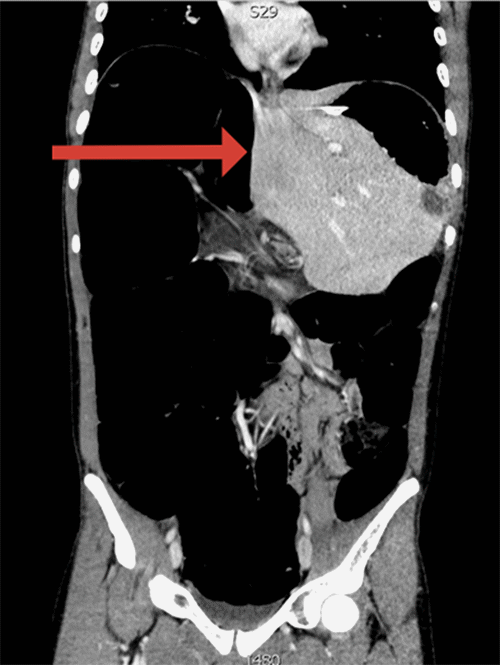
Figure 3. Coronal CT Scan on Second Presentation. Published with Permission

Distension of the colon and stomach with medial displacement of the liver (arrow)
Distension of the colon and stomach with medial displacement of the liver (arrow)

During his second admission, CT demonstrated a diffusely distended gastrointestinal tract from the esophagus through the rectosigmoid colon (Figure 3). Due to the global gastrointestinal (GI) tract distension, suspicion increased for a GI motility disorder. Anorectal manometry, smart pill testing, autoimmune workup, and additional laboratory and genetic testing, however, were all normal. Final pathology of the previous rectal biopsy demonstrated ganglion cells, ruling out Hirschsprung disease. The patient lacked an etiology for Ogilvie syndrome. Upper endoscopy, notably performed after colonic decompression, did not show evidence of gastroduodenal obstruction. Exploratory surgery was offered, but without a clear diagnosis or definitive surgical plan, the patient declined. During both admissions, a CT scan was obtained after decompression, and the GI tract appeared normal. The patient ultimately recovered uneventfully during both admissions and was discharged.

One week after last discharge, the patient returned for the fourth time with recurrent symptoms. Admission CT scan demonstrated Chilaiditi 's sign as well as a twisted proximal colon posterior to the liver (Figure 4). After recommending colectomy to prevent recurrence, the patient agreed to proceed to the operating room.

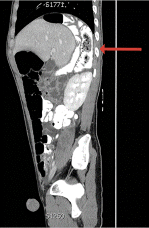
Figure 4. CT Scan on Fourth Presentation. Published with Permission

A.

B.

A (sagittal), Hepatic flexure interposed posteriorly and medially to the right liver lobe; and B (coronal), hepatic flexure interposed posterior and medial to the right liver lobe, consistent with Chilaiditi syndrome
A (sagittal), Hepatic flexure interposed posteriorly and medially to the right liver lobe; and B (coronal), hepatic flexure interposed posterior and medial to the right liver lobe, consistent with Chilaiditi syndrome

Endoscopic colonic decompression was performed to facilitate a minimally invasive approach. In the operating room, we encountered a redundant and dilated proximal colon with a lax hepatocolic ligament, flimsy left colonic peritoneal attachments, and diminutive hepatic suspensory apparatus leading to a hypermobile liver. A laparoscopic hand-assisted subtotal colectomy with primary anastomosis was performed. The patient's postoperative course was uneventful, and he was discharged home. Follow-up one year from initial admission confirmed durable resolution of the patient 's symptoms.

Discussion

Chilaiditi 's sign is found incidentally in 0.025 to 0.28% of plain films and 1.2 to 2.4% of CT scans. Chilaiditi syndrome, which is associated with a wide variety of clinical symptoms and presentations, is even less common.5,6 A hypermobile, or “wandering,” liver is also rare, with approximately 30 cases documented and even fewer leading to gastrointestinal obstruction.7,8 The simultaneous presence of these entities contributed to the initial diagnostic confusion of this case.

A variety of anatomic factors can result in Chilaiditi syndrome. Reduced liver volume in conditions such as cirrhosis may allow for colonic interposition. Right diaphragmatic elevation from phrenic nerve injury creates a potential space where colon may enter. Colonic mobility may be increased by redundancy or elongation (e.g., in chronic constipation). Malrotation, malposition, or intraabdominal adhesions from prior surgery may serve as a site of fixation for axial colonic rotation.3,5,9 Additionally, iatrogenic causes from colonoscopy, nasoenteric feeding tube insertion, and bariatric surgery have been reported.5 A laxity of hepatic suspensory ligaments, previously reported as an etiology of Chilaiditi syndrome and combined with lack of colonic fixation seen in our case, allowed the mobile proximal colon to be interpositioned anterior or posterior to the liver.5,9 This obstruction lead to medialization of the liver and compression of the duodenum, resulting in gastric outlet obstruction.

In this patient’s case, the degree of liver displacement obscured our ability to discern Chilaiditi sign on initial imaging. The varying anatomic positioning of the colon and liver led to different presentations on subsequent imaging. At times, it appeared the entire colon was dilated without volvulus nor obstruction, thus increasing the suspicion for a motility disorder such as Hirschsprung or Ogilvie syndrome. Partly due to its rarity, we did not consider a wandering liver as a contributing etiology, merely a result of the colon's dilation. In hindsight, a hypermobile liver and colon led to the colonic interposition and obstruction with resultant hepatic shift and gastric outlet obstruction, a condition rarely seen in Chilaiditi syndrome.8

No clear guidance exists on the operative treatment of Chilaiditi syndrome or wandering liver.9,10 Previously described approaches include simple detorsion with or without colopexy in the case of volvulus, segmental colectomy, or subtotal/total colectomy with possible colostomy.11 We performed a subtotal colectomy over total colectomy given the patient’s nonredundant sigmoid colon and resultant risk of chronic diarrhea. For a wandering liver, even less information is available regarding management. Laparoscopic hepatopexy has been suggested as an option for symptomatic cases.7,12 While observation with simple patient repositioning has also been performed, the long-term durability of this approach is dubious.7 As the colon seemed to be the primary driver of the patient's symptoms, leading to hepatic displacement and subsequent obstruction, we did not perform hepatic fixation, although this may have been warranted. We were deterred by a lack of knowledge on optimal methods and durability of hepatic fixation.

Our case is one of only three descriptions in the literature of intermittent gastric outlet obstruction associated with Chilaiditi syndrome, and we discuss a rare coexistence with liver hypermobility. While an underlying motility disorder was initially suspected to cause this patient 's diffuse gastrointestinal dilation, it was ultimately determined that distention of the interposed colonic segment due to lax hepatic and colonic fixation led to medial liver displacement and subsequent duodenal compression. The patient 's recurrent symptoms necessitated surgical management. The patient has had no additional events in the one year since his operation.

Conclusion

Chilaiditi syndrome is rare and associated with a variety of clinical presentations. This currently reported experience, which manifested with gastric outlet obstruction in the setting of liver and colonic hypermobility, was ultimately managed with surgical resection. This led to long-term resolution of the patient 's symptoms.

Lessons Learned

While Chilaiditi's sign is a radiographic finding that is often incidentally encountered and safely observed, Chilaiditi syndrome may require surgical intervention.13 This report illustrates a case of Chilaiditi syndrome resulting from colonic and liver hypermobility and calls for heightened awareness of clinicians when evaluating patients with symptoms attributable to this condition. Greater recognition of these entities would have resulted in earlier diagnosis, specific patient counseling, and cure. While the optimal operative management of Chilaiditi syndrome remains ill-defined, our patient underwent colectomy with primary anastomosis without hepatic fixation and subsequently experienced no additional symptomatic episodes.

Acknowledgments

The authors would like to acknowledge and thank the patient for consenting for the publication of case details and associated photographs.

Authors

Barbera ELa; Krell RWa; Marowske JGb; Chauviere MVa

Author Affiliations

  1. Department of Surgery, Brooke Army Medical Center, Fort Sam Houston, TX 78234
  2. Department of Medicine, Brooke Army Medical Center, Fort Sam Houston, TX 78234

Corresponding Author

Elizabeth Barbera, MD
Brooke Army Medical Center
3551 Roger Brooke Drive
Fort Sam Houston, TX 78234
Email: elcarp@mac.com

Disclosure Statement

The view(s) expressed herein are those of the author(s) and do not reflect the official policy or position of Brooke Army Medical Center, the United States Army Medical Department, the Department of the Army, Department of the Air Force, Department of Defense, or the United Sates Government. The voluntary, fully informed consent of the subjects used in this research was obtained as required by 32 CFR 219 and DODI 3216.02_AFI40-402. No authors have any individual relevant disclosures. All authors have consented for publication and attest their significant contributions to this work.

Funding/Support

The authors have no relevant financial relationships or in-kind support to disclose.

Received: May 16, 2022
Revision received: June 7, 2022
Accepted: July 28, 2022

References

  1. Saber AA, Boros MJ. Chilaiditi's syndrome: what should every surgeon know?. Am Surg. 2005;71(3):261-263. doi:10.1177/000313480507100318
  2. Williams A, Cox R, Palaniappan B, Woodward A. Chilaiditi's syndrome associated with colonic volvulus and intestinal malrotation-A rare case. Int J Surg Case Rep. 2014;5(6):335-338. doi:10.1016/j.ijscr.2014.03.011
  3. Plorde JJ, Raker EJ. Transverse colon volvulus and associated Chilaiditi's syndrome: case report and literature review. Am J Gastroenterol. 1996;91(12):2613-2616.
  4. Huerta S, Pickett ML, Mottershaw AM, Gupta P, Pham T. Volvulus of the Transverse Colon. Am Surg. 2023;89(5):1930-1943. doi:10.1177/00031348211041564
  5. Yin AX, Park GH, Garnett GM, Balfour JF. Chilaiditi syndrome precipitated by colonoscopy: a case report and review of the literature. Hawaii J Med Public Health. 2012;71(6):158-162.
  6. Evrengül H, Yüksel S, Orpak S, Özhan B, Ağladıoğlu K. Chilaiditi Syndrome. J Pediatr. 2016;173:260. doi:10.1016/j.jpeds.2016.02.060
  7. Beh PS, Burgess A, Sritharan M, Fong J. Wandering liver: an unusual cause of recurrent gastric outlet obstruction. BMJ Case Rep. 2019;12(3):e229452. Published 2019 Mar 6. doi:10.1136/bcr-2019-229452
  8. Goyal S. Chilaiditi Syndrome-Diagnostic Dilemma: Case Report. International Journal of Clinical Studies and Medical Case Reports. 2020;3(6):51. doi: 10.46998/IJCMCR.2020.03.000051
  9. Tariq HA, Pillay T. The air up there - Chilaiditi's syndrome: A case report and review of the literature. Afr J Emerg Med. 2020;10(4):266-268. doi:10.1016/j.afjem.2020.04.001
  10. Rosa F, Pacelli F, Tortorelli AP, Papa V, Bossola M, Doglietto GB. Chilaiditi's syndrome. Surgery. 2011;150(1):133-134. doi:10.1016/j.surg.2009.11.023
  11. Potemin S, Gumenyk S. Single-stage subtotal colon resection in Chilaiditi syndrome: report of a case. Grand Rounds. 2011;11(1):70-3.
  12. Pérez-Sánchez LE, Sánchez-González JM, Chocarro-Huesa C. "Wandering Liver" Associated to Bowel Obstruction. Clin Gastroenterol Hepatol. 2019;17(1):e5. doi:10.1016/j.cgh.2017.12.050
  13. Fiumecaldo D, Buck L. Chilaiditi's Syndrome Causing High-Grade Small-Bowel Obstruction Requiring Exploratory Laparotomy. Mil Med. 2018;183(5-6):e281-e283. doi:10.1093/milmed/usx069