Unsupported Browser
The American College of Surgeons website is not compatible with Internet Explorer 11, IE 11. For the best experience please update your browser.
Menu
Become a member and receive career-enhancing benefits

Our top priority is providing value to members. Your Member Services team is here to ensure you maximize your ACS member benefits, participate in College activities, and engage with your ACS colleagues. It's all here.

Become a Member
Become a member and receive career-enhancing benefits

Our top priority is providing value to members. Your Member Services team is here to ensure you maximize your ACS member benefits, participate in College activities, and engage with your ACS colleagues. It's all here.

Become a Member
ACS
ACS Case Reviews

Reactivation of Sarcoidosis After Elective Gastric Sleeve

December 19, 2024

Abstract

Background

Sarcoidosis is a systemic granulomatous disease primarily affecting the lungs, with a prevalence of 3-5 per 100,000 individuals. Gastrointestinal involvement is uncommon, and the stomach is the most frequently affected organ, often presenting asymptomatically. Diagnosis can be challenging due to non-specific symptoms like pain, nausea, and reflux.

While data on sarcoidosis in the bariatric population is limited, the rising number of bariatric procedures in the US and the potential for undiagnosed asymptomatic gastric sarcoidosis raise concerns. Surgical pathology may incidentally diagnose sarcoidosis in these patients, leading to potential treatment dilemmas. While the diagnosis might not have immediate clinical consequences, long-term steroid therapy for sarcoidosis could have negative effects on weight management goals after bariatric surgery.

Summary

A 37-year-old male with morbid obesity, likely due to a year-long course of steroids for pulmonary sarcoidosis with iritis and a decade of latent disease, initially presented for bariatric evaluation. Following preoperative clearance, he underwent elective laparoscopic sleeve gastrectomy. However, postoperative bleeding necessitated a reoperation. Surgical pathology unexpectedly revealed sarcoidosis, which was not identified on preoperative or follow-up esophagogastroduodenoscopy (EGD) biopsies.

Over the next two years, the patient experienced persistent abdominal symptoms, including reflux and epigastric pain, despite maximal medical therapy. He presented to the emergency department on multiple occasions and consulted with various specialists. A splenectomy was eventually performed due to splenomegaly, with the pathology confirming sarcoidosis. A subsequent cholecystectomy for biliary dyskinesia did not reveal sarcoidosis on pathology and provided no symptomatic relief.

The patient’s condition ultimately progressed to transaminitis,  hepatomegaly, and liver involvement confirmed by sarcoidosis on pathology. This development necessitated referral for liver transplantation.

Conclusion

This case illustrates the importance of a thorough preoperative evaluation as well as patient counseling on the potential impact of active sarcoidosis on postoperative care in bariatric surgery patients.

Key Words

gastric sarcoidosis; extrapulmonary sarcoidosis; splenic sarcoidosis; hepatic sarcoidosis; gastric sleeve; case report


Case Description

A 37-year-old male with a past medical history of sarcoidosis and sleep apnea presented for elective laparoscopic sleeve gastrectomy due to morbid obesity (body mass index [BMI] of 42.6). Thirteen years prior, he was diagnosed with sarcoidosis after experiencing a two-month period of fevers, weight loss, nausea, vomiting, bilateral iritis (inflammation of the iris in both eyes), and hilar adenopathy identified on chest X-ray. Initial laboratory workup revealed a mildly elevated angiotensin-converting enzyme (ACE) level of 46 U/L. Bronchoscopic biopsy confirmed the diagnosis of sarcoidosis by demonstrating noncaseating granulomas.

He received corticosteroid treatment for pulmonary sarcoidosis for one and a half years, resulting in a significant weight gain of 100 pounds. Following treatment completion, he remained asymptomatic with no further need for medical intervention for sarcoidosis for over ten years leading up to his current evaluation for bariatric surgery.

Following preoperative evaluation by pulmonology and cardiology, the patient underwent an uncomplicated laparoscopic sleeve gastrectomy. Preoperative esophagogastroduodenoscopy (EGD) revealed only mild gastritis. No significant abnormalities were noted during the surgery.

Pathological examination of the resected stomach tissue and a small splenule confirmed non-necrotizing granulomatous inflammation consistent with sarcoidosis (Figure 1).

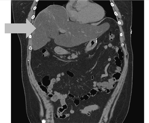
Figure 1. Abdominal CT Scan Reveals Splenomegaly (19 cm, gray arrow) and Lymphadenopathy (white arrow). Published with Permission

His hospital course was complicated by hemorrhage on postoperative day zero, requiring re-exploration for control of a short gastric artery. Swallow study on postoperative day two only demonstrated post-surgical changes. The patient also developed severe gout in his knee postoperatively, necessitating drainage by orthopedic surgery and rheumatology consultation.

Three weeks following discharge, the patient presented again with persistent abdominal pain, nausea, low-grade fever, and leukocytosis of 10.9/nL). CT demonstrated a small perigastric fluid collection, splenomegaly, and prominent abdominal and retroperitoneal lymphadenopathy. Based on the prior pathology findings and the new CT scan demonstrating lymphadenopathy, the patient was admitted for consultation with rheumatology and diagnosed with active sarcoidosis. Treatment with prednisone and methotrexate was initiated on an outpatient basis.

Throughout the following year, the patient experienced persistent nausea and abdominal pain, leading to multiple visits to the emergency department and surgical clinic. Repeat CT scans showed stable splenomegaly with prominent lymphadenopathy, but resolution of the initial perigastric fluid collection. His symptoms were managed by rheumatology with adjustments to his corticosteroid medication.

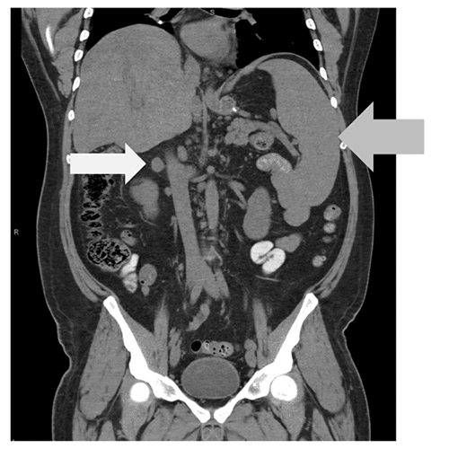
Three months after surgery, the patient presented to the emergency department again with new laboratory abnormalities: leukopenia (white blood cell count of 2.4) and elevated liver function tests (alkaline phosphatase 203, alanine transaminase 88, aspartate transaminase 51) with abnormal bilirubin levels. A repeat CT scan demonstrated a splenomegaly compared to prior studies (Figure 2).

Figure 2. Abdominal CT Scan Demonstrating New-onset Hepatic Steatosis. Published with Permission

Given persistent abdominal pain, nausea, reflux, leukopenia, and elevated liver enzymes despite maximal medical therapy, the patient was referred to gastroenterology and hematology/oncology for further evaluation.

Additional surgical workup included a hepatobiliary iminodiacetic acid (HIDA) scan, which revealed symptomatic biliary dyskinesia with no gallbladder emptying (ejection fraction of 0%). Following a steroid taper, the patient underwent a laparoscopic cholecystectomy by the original surgeon. The pathology of the gallbladder confirmed chronic cholecystitis but showed no evidence of sarcoidosis involvement.

Despite cholecystectomy, his abdominal symptoms and laboratory abnormalities persisted. Repeat imaging showed increased splenomegaly (18 cm to 19 cm). Hematology recommended a splenectomy to address the persistent leukopenia and rule out malignancy. Laparoscopic splenectomy was performed by the original surgeon ten months after the gastric sleeve procedure. Sarcoidosis was confirmed on pathology.

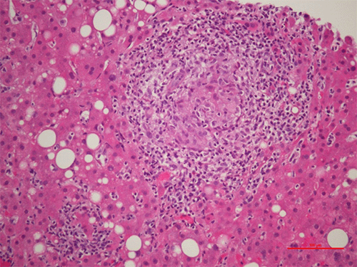
One year later, the patient had achieved significant weight loss (69.5%) and his post-splenectomy leukopenia resolved. However, he continued to experience abdominal pain, nausea, and reflux. Treatment with proton pump inhibitors and H2 blockers provided no relief. An upper gastrointestinal series and two EGDs showed no signs of reflux or leaks. EGDs revealed grade A esophagitis and chronic gastritis without evidence of sarcoidosis. Due to transaminitis, methotrexate was switched to Remicade, leading to temporary improvement in abdominal symptoms and transaminitis. However, he eventually became unresponsive to Remicade and presented to the emergency department multiple times with worsening abdominal pain, nausea, transaminitis (ALP 172, ALT 80, AST 174), and new-onset direct hyperbilirubinemia (total bilirubin 2.5, direct bilirubin 1.2). Imaging studies at this point revealed new findings of severe hepatic steatosis and mild hepatomegaly (Figure 3). A subsequent liver biopsy confirmed hepatic sarcoidosis with portal/pericellular fibrosis and severe steatosis (Figure 4). Azathioprine was initiated in place of Remicade, and the patient was referred to a tertiary center for liver transplant evaluation.

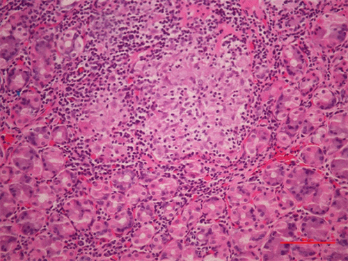
Figure 3. H&E Staining of Gastric Biopsy Demonstrating Sarcoidosis. Published with Permission

Figure 4. H&E Staining of Liver Biopsy Demonstrating Sarcoidosis. Published with Permission

Discussion

Sarcoidosis is a systemic granulomatous disease with a highly variable disease course. It can affect multiple organ systems either concurrently or in a sequential manner, with some organs remaining latent while others manifest active disease.1 Pulmonary involvement is the most frequent presenting feature, as seen in our case.2 Notably, this patient experienced a reactivation of gastric sarcoidosis after over a decade of latent disease, followed by subsequent involvement of the spleen and liver.

Gastrointestinal (GI) sarcoidosis is a relatively uncommon manifestation, affecting only 2.5% to 10% of patients with systemic disease, and is often asymptomatic.3,4 Symptomatic GI sarcoidosis is even rarer, with an estimated prevalence of 0.6 to 1%.5 Diagnosis typically relies on EGD with biopsy, but the presenting mucosa can appear normal even when biopsies reveal non-necrotizing granulomas.3 Interestingly, in this case, although gastric sarcoidosis was identified on the initial gastric specimen, there was no evidence of the disease found on preoperative or subsequent postoperative EGD biopsies. The likelihood of missing the diagnosis on endoscopic biopsies, as seen here, remains unclear and warrants further investigation.

Our case demonstrates that symptomatic gastrointestinal sarcoidosis can manifest with epigastric pain, nausea, vomiting, and gastritis.3,4 The mainstay of treatment for patients with steroid-refractory disease involves corticosteroids and immunomodulators.2 While proton pump inhibitors (PPIs) can be used adjunctively for gastric sarcoidosis, only about 25% of patients experience a positive response.6 Our patient’s symptoms did not improve significantly, although he did experience a temporary remission while receiving Remicade.

Following cholecystectomy and splenectomy, the lack of symptom improvement suggests these procedures were not addressing the underlying cause, such as biliary dyskinesia or splenomegaly-induced mass effect. However, determining whether the patient’s ongoing symptoms stemmed from treatment-refractory sarcoidosis, sequelae of bariatric surgery, or a combination of both remains unclear.

Sarcoidosis can lead to granulomatous inflammation and fibrosis within the stomach wall (and GI tract in general), potentially causing diminished peristalsis and dysmotility, which could contribute to his persistent symptoms.2 Additionally, the patient’s sleeve gastrectomy (index operation) may have exacerbated gastroesophageal reflux, further contributing to his refractory symptoms.7 The prolonged course of postoperative steroids and immunomodulators introduces another layer of complexity. Chronic steroid use can irritate the stomach and increase the risk of gastric ulcers, while immunomodulators can lead to malabsorption disorders.7 With these potentially contributing potential risk factors, pinpointing a single definitive cause for his refractory symptoms is challenging.

In our case report, our patient also developed splenic sarcoidosis with increasing splenomegaly and persistent leukopenia. This complication, while presenting in a reported range of 5.6% to 50% of sarcoidosis cases,5,8 often occurs alongside hepatic involvement, as seen in this case. While hepatic sarcoidosis is itself frequent (50% to 90% of patients), it frequently presents without lab abnormalities (less than a third of cases).9,10 Typically, hepatic sarcoidosis can manifest with transaminitis in a cholestatic pattern, less commonly progressing to portal hypertension and, rarer still, hepatic failure requiring liver transplantation.10,11 In this case, the initial transaminitis was attributed to methotrexate, but the development of severe steatosis and hepatomegaly after discontinuation suggests an alternative explanation, potentially related to the underlying sarcoidosis.

This patient’s unusual disease course highlights the challenges of managing sarcoidosis and the paucity of data (only three published case reports) regarding bariatric surgery in this context.12,13 Preoperative evaluation for sarcoidosis patients considering bariatric surgery should include a comprehensive assessment of organ system involvement (especially pulmonary, cardiac, and ophthalmologic) and current medications.7 Severe cardiac or pulmonary involvement, symptomatic gastrointestinal sarcoidosis, and high-dose immunosuppression are all contraindications for bariatric surgery.7 Importantly, the past and current use of prolonged steroids should also be considered, as it increases the risk of post-surgical mortality. In such cases, sleeve gastrectomy is generally preferred over gastric bypass.7,14

In this case, the patient had a remote history of sarcoidosis without gastrointestinal involvement. Preoperative evaluation, including EGD, revealed no signs of active sarcoidosis or other contraindications to surgery. While the patient’s reflux symptoms may have worsened after the sleeve gastrectomy (potentially due to sarcoidosis), the prolonged need for post-surgical steroids made sleeve gastrectomy a more favorable option in hindsight.

Conclusion

We describe a rare case report of a morbidly obese patient with undiagnosed latent sarcoidosis who underwent sleeve gastrectomy for weight loss. Following surgery, the patient experienced multi-organ reactivation and disease progression, significantly impacting his health despite successful postoperative weight loss. This case highlights the complex considerations involved in managing morbidly obese patients with latent sarcoidosis.

Lessons Learned

Obese patients with known sarcoidosis need to undergo thorough preoperative evaluation, as well as careful counseling regarding the impact of postoperative medical therapy for active disease. The possibility of future disease progression with long-term steroids or immunomodulators after bariatric surgery needs to be balanced with the optimal management of obesity and its comorbidities. In this case, the identification of gastric sarcoidosis preoperatively would have argued against proceeding with gastric bypass surgery. Ideally, a multidisciplinary team should be involved from the outset to help manage patient expectations and outcomes.

Authors

Sheldon Ya; Halbert Ca,b

Author Affiliations

  1. Division of General Surgery, Christiana Care, Newark, DE 19718
  2. Division of Bariatric and Advanced GI Surgery, Christiana Care, Wilmington, DE 19732

Corresponding Author

Yarrow Sheldon, MD
Department of General Surgery
4755 Ogletown-Stanton Road
JH Ammon Education Center
Ste. 2E70B
Newark, DE 19718
Email: ysheldonmd@gmail.com

Disclosure Statement

The authors have no conflicts of interest to disclose.

Funding/Support

The authors have no relevant financial relationships or in-kind support to disclose.

Received: June 29, 2022
Revision received: September 7, 2023
Accepted: October 24, 2022

References

  1. Shkolnik LE, Shin RD, Brabeck DM, Rothman RD. Symptomatic gastric sarcoidosis in a patient with pulmonary sarcoidosis in remission. BMJ Case Rep. 2012;2012:bcr2012006559. Published 2012 Jul 13. doi:10.1136/bcr-2012-006559
  2. Nadpara N, Greenwald HS, Parkman HP. Treatment of a Gastrointestinal Sarcoidosis Flare: A Multidisciplinary Approach for a Multisystem Disease. Am J Case Rep. 2021;22:e932494. Published 2021 Sep 23. doi:10.12659/AJCR.932494
  3. Vahid B, Spodik M, Braun KN, Ghazi LJ, Esmaili A. Sarcoidosis of gastrointestinal tract: a rare disease. Dig Dis Sci. 2007;52(12):3316-3320. doi:10.1007/s10620-006-9448-y
  4. Brito-Zerón P, Bari K, Baughman RP, Ramos-Casals M. Sarcoidosis Involving the Gastrointestinal Tract: Diagnostic and Therapeutic Management. Am J Gastroenterol. 2019;114(8):1238-1247. doi:10.14309/ajg.0000000000000171
  5. Statement on sarcoidosis. Joint Statement of the American Thoracic Society (ATS), the European Respiratory Society (ERS) and the World Association of Sarcoidosis and Other Granulomatous Disorders (WASOG) adopted by the ATS Board of Directors and by the ERS Executive Committee, February 1999. Am J Respir Crit Care Med. 1999;160(2):736-755. doi:10.1164/ajrccm.160.2.ats4-99
  6. Chinitz MA, Brandt LJ, Frank MS, Frager D, Sablay L. Symptomatic sarcoidosis of the stomach. Dig Dis Sci. 1985;30(7):682-688. doi:10.1007/BF01308419
  7. Kilby KA, Kilbourne CM, Judson MA, Bonville DJ, Beegle SH. Considerations regarding sarcoidosis in the bariatric surgical patient. Surg Obes Relat Dis. 2018;14(2):219-224. doi:10.1016/j.soard.2017.10.007
  8. Saito S, Kodama K, Kogiso T, et al. Atypical Sarcoidosis Diagnosed by Massive Splenomegaly. Intern Med. 2020;59(5):641-648. doi:10.2169/internalmedicine.3646-19
  9. Momah N, Otesile A, Pawa R, Shedlofsky S. Sarcoidosis Presenting as Necrotizing Sarcoid Granulomatosis of the Liver, Sclerosing Cholangitis, and Gastric Ulcer. ACG Case Rep J. 2014;1(3):164-166. Published 2014 Apr 4. doi:10.14309/crj.2014.38
  10. Vatti R, Sharma OP. Course of asymptomatic liver involvement in sarcoidosis: role of therapy in selected cases. Sarcoidosis Vasc Diffuse Lung Dis. 1997;14(1):73-76.
  11. Tadros M, Forouhar F, Wu GY. Hepatic Sarcoidosis. J Clin Transl Hepatol. 2013;1(2):87-93. doi:10.14218/JCTH.2013.00016
  12. Stroh C, Bottger J, Meyer F, Lippert H, Manger T. Sarcoidosis after adjustable silicone gastric banding - a report of two cases in Germany. Obes Facts. 2009;2(5):332-334. doi:10.1159/000235865
  13. Labeck B, Nehoda H, Kähler C, Freund M, Aigner F, Weiss HG. Adjustable gastric banding in a patient with sarcoidosis. Surg Endosc. 2001;15(11):1361. doi:10.1007/s004640042003
  14. Kaplan JA, Schecter SC, Rogers SJ, Lin MYC, Posselt AM, Carter JT. Expanded indications for bariatric surgery: should patients on chronic steroids be offered bariatric procedures?. Surg Obes Relat Dis. 2017;13(1):35-40. doi:10.1016/j.soard.2015.10.086