Unsupported Browser
The American College of Surgeons website is not compatible with Internet Explorer 11, IE 11. For the best experience please update your browser.
Menu
Become a member and receive career-enhancing benefits

Our top priority is providing value to members. Your Member Services team is here to ensure you maximize your ACS member benefits, participate in College activities, and engage with your ACS colleagues. It's all here.

Become a Member
Become a member and receive career-enhancing benefits

Our top priority is providing value to members. Your Member Services team is here to ensure you maximize your ACS member benefits, participate in College activities, and engage with your ACS colleagues. It's all here.

Become a Member
ACS
ACS Case Reviews

A Rare Case Report of Primary Gastric Synovial Sarcoma

December 19, 2024

Abstract

Background

Synovial sarcoma (SS) is a rare type of soft-tissue tumor that typically occurs in the extremities and joints. However, it can also manifest in the gastrointestinal tract, where it often mimics other mesenchymal, fibrous, and spindle cell neoplasms. Accurate diagnosis is crucial and requires a combination of morphological assessment, molecular testing (specifically for the SYT-SSX fusion transcript), and immunohistochemical confirmation. Due to the tumor’s aggressive nature and the need for complete excision, a partial or total gastrectomy is often the recommended treatment for primary gastric synovial sarcoma.

Summary

This case report presents a 42-year-old female with primary gastric synovial sarcoma discovered incidentally during an esophagogastroduodenoscopy. The diagnosis was confirmed through molecular identification of the characteristic t(X:18) translocation and supported by immunohistochemical findings. To better understand this rare presentation, a comprehensive literature review was conducted, analyzing the clinical characteristics of all 47 reported cases of primary gastric synovial sarcoma.

Conclusion

This case highlights the importance of considering synovial sarcoma in the differential diagnosis of spindle cell neoplasms within the GI tract. By utilizing a combination of morphological, molecular, and immunohistochemical techniques, clinicians can ensure accurate diagnosis and guide appropriate surgical management (often gastrectomy) to minimize the risk of recurrence. Further investigation into this rare entity is warranted.

Key Words

surgical oncology; sarcoma; robotic surgery


Case Description

Synovial sarcoma (SS) is a rare mesenchymal malignancy, comprising 5-10% of all soft tissue sarcomas. Typically manifesting in the second and third decades of life,1 SS is most often associated with extremity joints, with an annual diagnosis rate of just 0.81 per million children and 1.42 per million adults.2 While rare, extra-articular manifestations can occur in the heart, fallopian tubes, kidneys, lungs, and mediastinum. SS has also been reported in the gastrointestinal tract, primarily affecting the stomach, with the first primary gastric SS case documented in 2000.3

Due to the similar histological presentation of fascicles and sheets of spindle cells,4 gastric SS can be mistaken for gastrointestinal stromal tumors (GIST). Definitive diagnosis relies on immunohistochemical confirmation of the characteristic t(X;18)(p22;q11) translocation, resulting in the SYT-SSX fusion transcript. While SYT expression is ubiquitous, SSX genes are typically found in the testis and thyroid. SSX1 and SSX2 variants account for over 90% of SS cases. Antibodies targeting these fusion genes offer high sensitivity (95%) and specificity (100%) for SS diagnosis.

Currently, no specific guidelines exist for gastric SS. However, NCCN guidelines for sarcomas in the limbs, outer torso, head, and neck recommend R0 surgical resection with or without radiation. Reported gastric SS cases have been managed with various procedures, including partial, wedge, or total gastrectomy, via open or laparoscopic approaches.1,2,5

A 42-year-old woman with no significant medical history presented to her primary care physician after a tick bite suffered on a hike. She was prescribed prophylactic doxycycline for Lyme disease. Subsequently, she developed abdominal pain and melena, prompting a gastroenterology consultation. Esophagogastroduodenoscopy (EGD) revealed a medium-sized, submucosal, non-circumferential mass on the lesser curvature of the stomach, with no evidence of bleeding. Endoscopic ultrasound (EUS) further characterized the lesion as an intramural, subepithelial mass located 5 cm distal to the gastroesophageal junction. Biopsy results were negative for C-KIT but positive for CD34, suggesting a spindle cell neoplasm, most likely a leiomyoma. After further imaging to guide surgical planning, the patient underwent a robotic-assisted partial gastrectomy with intraoperative EGD for precise lesion localization. The patient recovered as expected and was discharged in stable condition.

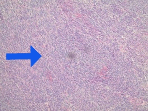
Pathology of the mass, however, revealed a surprise. The mass demonstrated uniform cells with oval, vesicular nuclei and eosinophilic inclusions. Immunohistochemistry was negative for CD117, DOG1, S100, desmin, and ERG. Critically, PCR identified diffuse positivity for SS18-SRX, confirming the diagnosis of synovial sarcoma (Figure 1). Worryingly, the tumor focally extended to the inked margin, indicating potential incomplete resection.

Figure 1. Histological Appearance of SS with Characteristic Spindle Cell Morphology and Diffuse Positivity for SS18-SSX Translocation (D). Published with Permission

A.

B.

C.

D.

Following a negative biopsy for malignancy proximal to the staple line from a repeat gastrectomy, the patient underwent a second robotic-assisted gastrectomy. EGD and direct visualization were used to identify the target lesion. The stomach was then resected both proximally and distally to the lesion with a 60mm blue cartridge stapler, ensuring a margin negative for disease as confirmed by frozen section analysis. Although reconstruction was initially considered, the surgical plan was revised intraoperatively to a gastro-gastro anastomosis at the patient’s request. Two gastrotomies were created with electrocautery on either side of the staple line, and indocyanine green (ICG) angiography was used to assess anastomotic perfusion. The anastomosis was then created with a 60mm blue cartridge stapler, forming a common channel. This common channel was closed in two layers using 2-0 absorbable Stratifix suture. Finally, a leak test was performed by submerging the anastomosis in saline and insufflating air via an orogastric tube.

The patient’s postoperative course was uncomplicated, with minimal nausea and incisional pain. Discharged on postoperative day two on a clear liquid diet, she progressed to a regular diet by her six-week follow-up, at which time she reported no issues with eating or drinking and had returned to normal activity levels. Pathology from the second surgery confirmed clear margins with no residual malignancy. Although the patient missed her six-month follow-up, she remains scheduled for her one-year follow-up.

Discussion

Synovial sarcoma (SS) of the gastrointestinal tract is a rare entity, infrequently documented in the medical literature. While most SS cases arise in large joints, this tumor type can occur in the gastrointestinal tract, named for its histological resemblance to developing synovium. Although the precise tissue origin remains uncertain, current hypotheses, supported by transgenic mouse studies, suggest that SS may be derived from immature myoblasts.6

Diagnosis of SS can be challenging based solely on histopathological examination, as it can be easily mistaken for gastrointestinal stromal tumors (GIST). However, unlike GIST, which typically stains positive for C-kit and lacks a chromosomal translocation, SS is usually C-kit negative and characterized by a specific reciprocal translocation t(X;18) or the presence of the SYT-SSX fusion gene. These molecular markers offer high specificity and sensitivity, making them crucial for definitive diagnosis.7

In addition to molecular testing, immunohistochemical analysis can further aid in differentiating SS from other spindle cell tumors. While less specific than the genetic markers, diffuse expression of bcl-2, positive staining for CD99, expression of NY-ESO-1, and diffuse nuclear staining for the transcriptional corepressor TLE1 can be helpful in this distinction.8

Once diagnosed, SS can be categorized into three subtypes: monophasic, biphasic, and poorly differentiated.2 Monophasic SS, composed entirely of spindle cells, presents the greatest diagnostic challenge due to its resemblance to other mesenchymal tumors, such as leiomyoma, leiomyosarcoma, schwannoma, solitary fibrous tumors, and gastroblastomas. It can also mimic cytokeratin-positive tumors like sarcomatoids and poorly differentiated carcinomas.9 Biphasic SS, in contrast, is distinguished by the presence of both spindle cells and an epithelial component. Poorly differentiated SS exhibits increased nuclear atypia and high mitotic activity, exceeding 6 mitoses/mm2 or 10 mitoses per 1.7 mm2.8,10

A comprehensive review of the literature identified 46 documented cases of primary gastric SS. A comparative analysis of these cases, including the one presented in this study, is essential for refining diagnostic approaches and establishing effective treatment protocols for primary gastric SS. It is important to note that one previously reported case of metastatic gastric involvement secondary to SS was excluded from this analysis to maintain a focus on primary gastric SS.

Analysis of 46 cases1,3-5,7,9,11-16,17-30 reveals an average patient age of 45 years (range 13-72) with a nearly equal male-to-female ratio (23:24), confirming the lack of sex predilection for SS. Primary gastric SS tumors averaged 52 mm in size (range 6-160 mm). Consistent with the presented case, the most common clinical presentations were epigastric pain and anemia.

Among the cases with reported subtypes (n=42), the majority (86%) were monophasic, followed by biphasic (12%) and a single poorly differentiated case (2.4%). Resection with adjuvant chemotherapy was performed in 8 cases (20.5%), primarily for larger tumors with transmural or perivisceral involvement.

Minimally invasive approaches are becoming increasingly common. Laparoscopic resection was utilized in 18% of cases, while robotic-assisted laparoscopy, including the presented case, was employed in 5.1%. The remaining cases (77%) presumably underwent open procedures.

Reported surgical procedures included total gastrectomy (7.7%), partial gastrectomy (46%), wedge resection (28%), and simple resection without further specification (18%).

Outcome data was available for 37 cases, with a disease-specific mortality rate of 16% (6 deaths). The majority of patients (84%) were alive at the time of publication, with one death attributed to an unrelated cause. The increasing adoption of laparoscopic and robotic-assisted techniques suggests a trend towards improved prognosis, likely due to enhanced visualization and precision, facilitating complete resection and reducing recurrence and mortality.

Based on these findings, the optimal management of primary gastric SS involves surgical resection with wide margins, prioritizing the preservation of normal gastric anatomy through meticulous surgical planning and advanced techniques. Historically, SS has demonstrated a high degree of localization and a low propensity for metastasis. Consequently, there are no specific recommendations regarding the use or efficacy of adjuvant chemotherapy, and routine investigation of regional lymph node involvement is not considered necessary.41 However, complete tumor removal remains the overarching goal. The specific surgical approach may vary depending on the tumor’s location, depth of invasion, and the ability to achieve clear margins.2

Case No. Year, Author Sex Age Tumor Size (mm) Subtype Treatment Outcome
1 2000, Billings M 47 52 Biphasic Gastrectomy with partial esophagectomy AWD
2 2000, Billings F 55 160 Monophasic Hemigastrectomy DD
3 2007, Akhunji M 42 115 Biphasic Resection, adjuvant chemotherapy DD
4 2008, Makhlouf F 67 8 Monophasic Partial gastrectomy AWD
5 2008, Makhlouf M 49 20 Monophasic Wedge resection DD
6 2008, Makhlouf F 68 20 Monophasic Wedge resection AWD
7 2008, Makhlouf M 29 28 Monophasic Partial gastrectomy AWD
8 2008, Makhlouf F 54 30 Monophasic Antrectomy with gastroduodenal resection NR
9 2008, Makhlouf F 58 30 Monophasic Wedge resection AWD
10 2008, Makhlouf F 37 40 Monophasic Partial gastrectomy DFOC
11 2008, Makhlouf M 50 60 Monophasic Resection, adjuvant chemotherapy AD
12 2008, Makhlouf M 42 80 Biphasic Partial gastrectomy, adjuvant chemotherapy DD
13 2008, Makhlouf F 66 150 Monophasic Gastrectomy with partial esophagectomy LTF
14 2012, Sinniah F 44 47 Monophasic Laparoscopic wedge resection AWD
15 2012, Wang F 38 72 Monophasic Wedge resection, adjuvant chemotherapy AD
16 2013, Kamata F 42 35 Monophasic Partial gastrectomy AWD
17 2013, Sahara M 22 25 Monophasic Wedge resection NR
18 2014, Torres M 44 150 Monophasic Total gastrectomy AWD
19 2014, Michot M 62 38 Monophasic Total gastrectomy, adjuvant chemotherapy AWD
20 2015, Romeo F 50 80 Monophasic NR LTF
21 2015, Romeo M 36 60 Poorly Differentiated NR AD
22 2015, Romeo M 37 20 Monophasic NR NR
23 2015, Romeo M 26 NR Monophasic NR AD
24 2015, Romeo M 58 100 Monophasic NR DD
25 2015, Romeo M 21 100 Monophasic NR DD
26 2015, Romeo M 36 60 Biphasic NR LTF
27 2015, Romeo F 54 38 Monophasic NR NR
28 2015, Wong, N F 49 35 Monophasic Resection AWD
29 2015, Wong, N F 35 120 Monophasic Resection, adjuvant chemotherapy AD
30 2017, So F 51 17 Monophasic Laparoscopic distal gastrectomy AWD
31 2018, Ogino F 27 20 NR Laparoscopic gastrectomy AWD
32 2018, Olsen F 57 18 Monophasic Wedge resection NR
33 2017, Hu M 58 63 Monophasic Robotic-assisted, wedge resection AD
34 2018, Fuente M 42 30 Monophasic Resection AWD
35 2019, Bialik M 26 80 Monophasic Partial gastrectomy, adjuvant chemotherapy AWD
36 2020, Wong, H M 54 16 Monophasic Laparoscopic wedge resection AWD
37 2020, Krupinska F 48 90 Monophasic Distal gastrectomy, adjuvant chemotherapy NR
38 2020, Manohar M 13 110 Monophasic Total gastrectomy AWD
39 2021, Kuboyama M 22 10 NR Laparoscopic partial gastrectomy AWD
40 2021, Kuboyama F 38 10 NR Resected NR
41 2021, Kuboyama M 72 13 NR Resected NR
42 2021, Marchand Crety F 32 35 Biphasic Wedge resection AWD
43 2021, Rivelli F 43 10 Monophasic Laparoscopic intragastric resection AWD
44 2021, Kinowaki F 59 26 Monophasic Resection NR
45 2021, Shibata M 59 8 NR Laparoscopic endoscopic cooperative surgery AWD
46 2021, Yoshiyasu F 61 6 Monophasic Laparoscopic wedge resection NR
47 Present Case F 42 40 Monophasic Robotic-assisted resection with gastro-gastric anastomosis AWD
Table 1. Summary of Reported Cases and Management Strategies for Primary Gastric SSs.
Case No. Year, Author Sex Age Tumor Size (mm) Subtype Treatment Outcome
1 2000, Billings M 47 52 Biphasic Gastrectomy with partial esophagectomy AWD
2 2000, Billings F 55 160 Monophasic Hemigastrectomy DD
3 2007, Akhunji M 42 115 Biphasic Resection, adjuvant chemotherapy DD
4 2008, Makhlouf F 67 8 Monophasic Partial gastrectomy AWD
5 2008, Makhlouf M 49 20 Monophasic Wedge resection DD
6 2008, Makhlouf F 68 20 Monophasic Wedge resection AWD
7 2008, Makhlouf M 29 28 Monophasic Partial gastrectomy AWD
8 2008, Makhlouf F 54 30 Monophasic Antrectomy with gastroduodenal resection NR
9 2008, Makhlouf F 58 30 Monophasic Wedge resection AWD
10 2008, Makhlouf F 37 40 Monophasic Partial gastrectomy DFOC
11 2008, Makhlouf M 50 60 Monophasic Resection, adjuvant chemotherapy AD
12 2008, Makhlouf M 42 80 Biphasic Partial gastrectomy, adjuvant chemotherapy DD
13 2008, Makhlouf F 66 150 Monophasic Gastrectomy with partial esophagectomy LTF
14 2012, Sinniah F 44 47 Monophasic Laparoscopic wedge resection AWD
15 2012, Wang F 38 72 Monophasic Wedge resection, adjuvant chemotherapy AD
16 2013, Kamata F 42 35 Monophasic Partial gastrectomy AWD
17 2013, Sahara M 22 25 Monophasic Wedge resection NR
18 2014, Torres M 44 150 Monophasic Total gastrectomy AWD
19 2014, Michot M 62 38 Monophasic Total gastrectomy, adjuvant chemotherapy AWD
20 2015, Romeo F 50 80 Monophasic NR LTF
21 2015, Romeo M 36 60 Poorly Differentiated NR AD
22 2015, Romeo M 37 20 Monophasic NR NR
23 2015, Romeo M 26 NR Monophasic NR AD
24 2015, Romeo M 58 100 Monophasic NR DD
25 2015, Romeo M 21 100 Monophasic NR DD
26 2015, Romeo M 36 60 Biphasic NR LTF
27 2015, Romeo F 54 38 Monophasic NR NR
28 2015, Wong, N F 49 35 Monophasic Resection AWD
29 2015, Wong, N F 35 120 Monophasic Resection, adjuvant chemotherapy AD
30 2017, So F 51 17 Monophasic Laparoscopic distal gastrectomy AWD
31 2018, Ogino F 27 20 NR Laparoscopic gastrectomy AWD
32 2018, Olsen F 57 18 Monophasic Wedge resection NR
33 2017, Hu M 58 63 Monophasic Robotic-assisted, wedge resection AD
34 2018, Fuente M 42 30 Monophasic Resection AWD
35 2019, Bialik M 26 80 Monophasic Partial gastrectomy, adjuvant chemotherapy AWD
36 2020, Wong, H M 54 16 Monophasic Laparoscopic wedge resection AWD
37 2020, Krupinska F 48 90 Monophasic Distal gastrectomy, adjuvant chemotherapy NR
38 2020, Manohar M 13 110 Monophasic Total gastrectomy AWD
39 2021, Kuboyama M 22 10 NR Laparoscopic partial gastrectomy AWD
40 2021, Kuboyama F 38 10 NR Resected NR
41 2021, Kuboyama M 72 13 NR Resected NR
42 2021, Marchand Crety F 32 35 Biphasic Wedge resection AWD
43 2021, Rivelli F 43 10 Monophasic Laparoscopic intragastric resection AWD
44 2021, Kinowaki F 59 26 Monophasic Resection NR
45 2021, Shibata M 59 8 NR Laparoscopic endoscopic cooperative surgery AWD
46 2021, Yoshiyasu F 61 6 Monophasic Laparoscopic wedge resection NR
47 Present Case F 42 40 Monophasic Robotic-assisted resection with gastro-gastric anastomosis AWD

AWD, alive without disease; AD, alive with disease; DD, died of disease; NR, not reported; LTF, loss to follow-up; DFOC, died from other cause.

Conclusion

Synovial sarcoma of the stomach is a rare and likely underdiagnosed malignancy due to its histologic similarities to other tumor types. Increased awareness of SS in the gastrointestinal tract is crucial for accurate diagnosis and differentiation from other spindle cell and mesenchymal neoplasms, particularly C-kit-negative GISTs. Confirmation relies on immunohistochemical identification of the characteristic t(X;18) translocation or SYT-SSX fusion gene transcript. While surgical excision remains the primary treatment, the literature lacks specific surgical guidelines. However, there is a trend toward utilizing advanced minimally invasive techniques, including laparoscopic and robotic-assisted approaches. Due to the limited number of reported cases, predicting the prognosis of gastrointestinal SS remains difficult. Continued documentation and analysis of cases are needed to establish optimal management protocols and prognostic indicators.

Lessons Learned

This case highlights the challenges in diagnosing and managing gastric SS. A gastric mass on the lesser curvature of the stomach, initially presumed to be a GIST based on endoscopic and endoscopic ultrasound findings, was resected via robotic-assisted partial gastrectomy. However, final pathology revealed SS with positive margins, necessitating a second surgical intervention. To avoid a complex gastric bypass reconstruction, a gastro-gastro anastomosis was performed, deviating from the standard techniques reported in other cases. While successful in this instance, this approach may not be suitable for all patients, particularly those with comorbidities, due to the risk of severe complications.

Authors

Patel Ta,b; Abbas Ha,b; Ranburger Dc

Author Affiliations

  1. Department of General Surgery, HCA Orange Park Hospital, Orange Park, FL 32073
  2. General Surgery Residency Program, Mercer University School of Medicine, Savannah, GA 31404
  3. Edward Via College of Osteopathic Medicine-Auburn, Auburn, AL 36832

Corresponding Author

Tristan Patel, MD
HCA Orange Park Hospital - General Surgery
2001 Kingsley Avenue
Orange Park, FL 32073
Email: tristan.patel@hcahealthcare.com

Disclosure Statement

This research was supported (in whole or in part) by HCA Healthcare and/or an HCA Healthcare affiliated entity. The views expressed in this publication represent those of the author(s) and do not necessarily represent the official views of HCA Healthcare or any of its affiliated entities.

Funding/Support

The authors have no relevant financial relationships or in-kind support to disclose.

Received: July 18, 2022
Revision received: September 5, 2022
Accepted: September 27, 2022

References

  1. Michot N, Robert PE, De Muret A, Marques F, de Calan L, Benchellal Z. Gastric synovial sarcoma: case report and systematic review of literature. J Gastrointest Cancer. 2014;45 Suppl 1:129-131. doi:10.1007/s12029-014-9591-1
  2. Gazendam AM, Popovic S, Munir S, Parasu N, Wilson D, Ghert M. Synovial Sarcoma: A Clinical Review. Curr Oncol. 2021;28(3):1909-1920. Published 2021 May 19. doi:10.3390/curroncol28030177
  3. Rivelli M, Fernandes E, Conti C, et al. Laparoscopic intragastric resection of gastric synovial sarcoma: report of the first ever case with video demonstration. World J Surg Oncol. 2021;19(1):65. Published 2021 Mar 1. doi:10.1186/s12957-021-02172-y
  4. Sahara S, Otsuki Y, Egawa Y, et al. Primary synovial sarcoma of the stomach--a case report and review of the literature. Pathol Res Pract. 2013;209(11):745-750. doi:10.1016/j.prp.2013.06.018
  5. Torres Rivas HE, Fernández S, Fresno MF. Primary gastric synovial sarcoma. Pathology. 2014;46(3):253-256. doi:10.1097/PAT.0000000000000078
  6. Haldar M, Hancock JD, Coffin CM, Lessnick SL, Capecchi MR. A conditional mouse model of synovial sarcoma: insights into a myogenic origin. Cancer Cell. 2007;11(4):375-388. doi:10.1016/j.ccr.2007.01.016
  7. Ogino S, Konishi H, Ichikawa D, et al. Detection of fusion gene in cell-free DNA of a gastric synovial sarcoma. World J Gastroenterol. 2018;24(8):949-956. doi:10.3748/wjg.v24.i8.949
  8. Fligman I, Lonardo F, Jhanwar SC, Gerald WL, Woodruff J, Ladanyi M. Molecular diagnosis of synovial sarcoma and characterization of a variant SYT-SSX2 fusion transcript. Am J Pathol. 1995;147(6):1592-1599.
  9. Kurpińska M, Kaznowska E, Kruczak A, et al. Synovial sarcoma of the stomach: case report and systematic review of the literature. Pol J Pathol. 2020;71(2):181-193. doi:10.5114/pjp.2020.97024
  10. Jo VY, Fletcher CD. WHO classification of soft tissue tumours: an update based on the 2013 (4th) edition. Pathology. 2014;46(2):95-104. doi:10.1097/PAT.0000000000000050
  11. Billings SD, Meisner LF, Cummings OW, Tejada E. Synovial sarcoma of the upper digestive tract: a report of two cases with a demonstration of the X;18 translocation by fluorescence in situ hybridization. Mod Pathol. 2000;13(1):68-76. doi:10.1038/modpathol.3880011
  12. Akhunji S, Musil I, Baisre de Leon A, et al. Synovial sarcoma arising in the gastric wall. Cancer Ther. 2007;5:457-462.
  13. Makhlouf HR, Ahrens W, Agarwal B, et al. Synovial sarcoma of the stomach: a clinicopathologic, immunohistochemical, and molecular genetic study of 10 cases. Am J Surg Pathol. 2008;32(2):275-281. doi:10.1097/PAS.0b013e31812e6a58
  14. Sinniah RP, Roche E, Cameron D. GI Synovial Sarcomas. Clin Transl Gastroenterol. 2012;3(4):e11. Published 2012 Apr 19. doi:10.1038/ctg.2012.6
  15. Wang CC, Wu MC, Lin MT, Lee JC. Primary gastric synovial sarcoma. J Formos Med Assoc. 2012;111(9):516-520. doi:10.1016/j.jfma.2012.07.010
  16. Kamata K, Wada R, Yajima N, Sawada M, Wakasa H, Yagihashi S. Primary gastric synovial sarcoma: molecular diagnosis and prediction of prognosis. Clin J Gastroenterol. 2013;6(4):303-308. doi:10.1007/s12328-013-0403-0
  17. Romeo S, Rossi S, Acosta Marín M, et al. Primary Synovial Sarcoma (SS) of the digestive system: a molecular and clinicopathological study of fifteen cases. Clin Sarcoma Res. 2015;5:7. Published 2015 Feb 12. doi:10.1186/s13569-015-0021-3
  18. Wong NA, Campbell F, Shepherd NA. Abdominal monophasic synovial sarcoma is a morphological and immunohistochemical mimic of gastrointestinal stromal tumour. Histopathology. 2015;66(7):974-981. doi:10.1111/his.12593
  19. So IT, Cho KB, Lee JY, et al. A primary gastric synovial sarcoma: A case report and literature review [published correction appears in Medicine (Baltimore). 2018 Jan;97(4):e9742. doi: 10.1097/MD.0000000000009742] [published correction appears in Medicine (Baltimore). 2017 Dec;96(52):e9531. doi: 10.1097/MD.0000000000009531]. Medicine (Baltimore). 2017;96(49):e8904. doi:10.1097/MD.0000000000008904
  20. Olsen G, Beal EW, Pfeil S, Dillhoff M. Primary Gastric Synovial Sarcoma Mimicking a Gastrointestinal Stromal Tumor (GIST) : Gastric Synovial Sarcoma. J Gastrointest Surg. 2018;22(8):1450-1451. doi:10.1007/s11605-017-3657-x
  21. Hu S, Wong K, Ramesh KH, Villanueva-Siles E, Panarelli N, In H. Diffuse, Aggressive Metastatic Progression after Minimally Invasive Local Resection of Primary Gastric Synovial Sarcoma: a Case Report and Systematic Review of the Literature. J Gastrointest Cancer. 2019;50(1):116-122. doi:10.1007/s12029-017-9979-9
  22. Fuente I, Bruballa R, Corradetti S, Cavadas D, Beskow A, Wright F. Gastric Synovial Sarcoma. J Gastrointest Surg. 2019;23(7):1515-1517. doi:10.1007/s11605-018-4065-6
  23. Bialick S, Schwartz S, Khiew YC, Budina A, Hartner L. 1925. GIST kidding: Primary gastric synovial sarcoma presenting as hematemesis. Am J Gastroenterol. 2019;114(Suppl 1):S1076-S1077. doi:10.14309/01.ajg.0000597232.39299.ec
  24. Wong HK, Law S, Collins R. Gastric synovial sarcoma: a case report and literature review. Hong Kong Med J. 2020;26(2):142-145. doi:10.12809/hkmj197986
  25. Manohar A, Gopal C, Premalata CS, et al. Primary Gastric Synovial Sarcoma in a Child: A Case Report and Review of the Literature. J Pediatr Hematol Oncol. 2021;43(1):e119-e122. doi:10.1097/MPH.0000000000001688
  26. Kuboyama Y, Yamada Y, Kohashi K, et al. Three cases of synovial sarcoma of gastric wall: A case report and review of the literature. Pathol Res Pract. 2021;219:153352. doi:10.1016/j.prp.2021.153352
  27. Marchand Crety C, Bellefqih S, Amroun K, Garbar C, Felici F. Primary gastric synovial sarcoma: A case report and literature review. Int J Surg Case Rep. 2021;78:270-273. doi:10.1016/j.ijscr.2020.12.055
  28. Kinowaki Y, Abe S, Abe S, et al. Synovial sarcoma of the stomach: a case report and a systematic review of literature. Clin J Gastroenterol. 2021;14(4):1020-1026. doi:10.1007/s12328-021-01408-4
  29. Shibata R, Morishita M, Koreeda N, et al. Primary gastric synovial sarcoma resected by laparoscopic endoscopic cooperative surgery of the stomach: a case report. Surg Case Rep. 2021;7(1):225. Published 2021 Oct 20. doi:10.1186/s40792-021-01310-8
  30. Yoshiyasu K, Kono H, Hojo Y, et al. A minute primary gastric synovial sarcoma with ulcer: a case report. Diagn Pathol. 2021;16(1):115. Published 2021 Dec 13. doi:10.1186/s13000-021-01175-3
  31. Schreiber-Facklam H, Bode-Lesniewska B, Frigerio S, Flury R. Primary monophasic synovial sarcoma of the duodenum with SYT/SSX2 type of translocation. Hum Pathol. 2007;38(6):946-949. doi:10.1016/j.humpath.2007.01.018
  32. Zhao Q, Geha AS, Devries SR, et al. Biatrial primary synovial sarcoma of the heart. J Am Soc Echocardiogr. 2007;20(2):197.e1-197.e1974. doi:10.1016/j.echo.2006.08.035
  33. Mitsuhashi A, Nagai Y, Suzuka K, et al. Primary synovial sarcoma in fallopian tube: case report and literature review. Int J Gynecol Pathol. 2007;26(1):34-37. doi:10.1097/01.pgp.0000225841.13880.3a
  34. Pitino A, Squillaci S, Spairani C, et al. Primary synovial sarcoma of the kidney. A case report with pathologic appraisal investigation and literature review. Pathologica. 2011;103(5):271-278.
  35. Pandey L, Joseph D, Pasricha R, Gupta MK. Primary synovial sarcoma of the lung: a rare presentation, diagnostic dilemma and review of literature. BMJ Case Rep. 2020;13(11):e237678. Published 2020 Nov 23. doi:10.1136/bcr-2020-237678
  36. Ukekwe FI, Ezemba N, Olusina DB, Igbokwe U, Ngene C. Giant primary synovial sarcoma of the anterior mediastinum: A case report and review of literature. Niger J Clin Pract. 2016;19(2):293-297. doi:10.4103/1119-3077.175965
  37. Tariq MU, Din NU, Abdul-Ghafar J, Park YK. The many faces of solitary fibrous tumor; diversity of histological features, differential diagnosis and role of molecular studies and surrogate markers in avoiding misdiagnosis and predicting the behavior. Diagn Pathol. 2021;16(1):32. Published 2021 Apr 20. doi:10.1186/s13000-021-01095-2
  38. Lee W, Han K, Harris CP, Shim S, Kim S, Meisner LF. Use of FISH to detect chromosomal translocations and deletions. Analysis of chromosome rearrangement in synovial sarcoma cells from paraffin-embedded specimens. Am J Pathol. 1993;143(1):15-19.
  39. Samuel T, Norly S, Ros’aini P. Gastric ulcer that turned out to be metastasis of a synovial sarcoma: A case report and literature review. Med J Malaysia. 2016;71(6):363-365.
  40. Brecht IB, Ferrari A, Int-Veen C, et al. Grossly-resected synovial sarcoma treated by the German and Italian Pediatric Soft Tissue Sarcoma Cooperative Groups: discussion on the role of adjuvant therapies. Pediatr Blood Cancer. 2006;46(1):11-17. doi:10.1002/pbc.20502