Unsupported Browser
The American College of Surgeons website is not compatible with Internet Explorer 11, IE 11. For the best experience please update your browser.
Menu
Become a member and receive career-enhancing benefits

Our top priority is providing value to members. Your Member Services team is here to ensure you maximize your ACS member benefits, participate in College activities, and engage with your ACS colleagues. It's all here.

Become a Member
Become a member and receive career-enhancing benefits

Our top priority is providing value to members. Your Member Services team is here to ensure you maximize your ACS member benefits, participate in College activities, and engage with your ACS colleagues. It's all here.

Become a Member
ACS
ACS Case Reviews

A Novel Mesh Fixation Approach for Recurrent Traumatic Flank Hernia

December 19, 2024

Abstract

Background

Traumatic abdominal wall hernias (TAWH) most commonly occur as a result of high energy blunt abdominal trauma. Although rare, TAWHs are becoming more commonly identified owing to the routine use of high-resolution CT scans in the trauma setting. These hernias present a technical challenge for the general surgeon, as there are limited options for securing disrupted musculofascial tissues to the iliac crest.

Summary

We present a case of a 46-year-old female with a recurrent right flank hernia after a severe motor vehicle collision (MVC) several years ago. As a result of this MVC, the right external oblique, internal oblique, and transversus abdominis muscles were avulsed from the right iliac crest. She underwent an open hernia repair with mesh at an outside institution. Within six months, the hernia recurred resulting in severe abdominal pain. We performed an open repair of the recurrent flank hernia with a synthetic mesh. In this case, the mesh was secured to the iliac crest using FiberTak DX suture anchors.

Conclusion

We utilized a novel technique for securing the mesh to the iliac bone using FiberTak DX suture anchors. Six months after the operation, she remains pain free without evidence of hernia recurrence.

Key Words

traumatic hernia; flank hernia; recurrent hernia

 


Case Description

Traumatic abdominal wall hernias (TAWH) are a rare type of hernia, initially documented by Selby in 1906.1 Most TAWHs result from high-energy impact injury to the abdomen, frequently associated with seat belts or bicycle handlebars.2 Those related to seat belts are located at the level of the iliac crest when the lap belt is improperly positioned above the anterior superior iliac spine (ASIS).3 Associated injuries are common, with intra-abdominal injuries occurring in up to 60% of patients.4 The timing of repair may be done during the initial hospitalization or delayed.

We present the case of a 46-year-old female who suffered a severe pelvic fracture after a motor vehicle collision (MVC). She presented to us with a recurrent right flank hernia several years later. We were able to successfully close the defect by securing the mesh to the iliac crest with suture anchors that are commonly used by orthopedic surgeons for ligamentous reconstruction.

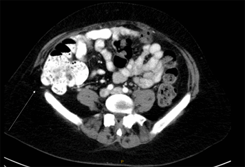
A 46-year-old woman was in a car crash nine years prior to her initial presentation. Her injuries included a complex pelvic fracture that required operative fixation on the side of the abdominal wall hernia. After discharge from rehabilitation, she noted pain associated with a bulge along the right iliac crest. A CT scan demonstrated that the right external oblique, internal oblique, and transversus abdominis muscles were avulsed along the iliac crest with colon and retroperitoneal fat herniating into the subcutaneous space. Eight years after the accident, the hernia was repaired by a surgeon from another health care system using a lightweight mesh. The mesh was positioned into the preperitoneal and retroperitoneal spaces. It was secured to the periosteum along the iliac crest with Prolene suture. Shortly after the operation, she began experiencing pain in the right side of the abdomen associated with a bulge at the area of the prior hernia. A CT scan confirmed the repair failed, and the hernia had recurred (Figure 1). The patient presented to our clinic with worsening flank and right-sided abdominal pain that limited her daily activities. Physical examination revealed a bulge along the right flank and was consistent with a recurrent hernia. She consented to proceeding with another repair of the hernia.

Figure 1. CT Scan Demonstrating Recurrent Traumatic Right Flank Hernia. Published with Permission

The patient was positioned in the left lateral decubitus position, and the table was flexed to approximately 20 degrees. After identifying the fascia of the external oblique, the dissection was extended to the level of the costal margin superiorly and continued distally to the ASIS. The hernia sac and dehisced mesh were separated from the subcutaneous tissues. The dissection along the sac was continued onto the external oblique aponeurosis and the lateral edge of the right rectus sheath. This revealed a 6 cm defect in the lateral abdominal wall that continued into the flank. The previously placed hardware to stabilize the pelvic fracture was noted to be overlying the iliac bone.

Because of the prior use of ventralex failed and the patient’s desire to exercise, we elected to use Marlex mesh for this repair. During the preoperative planning for the operation, an orthopedic colleague shared his use of the FiberTak DX suture anchors for reconstructive surgery. This “tak” is constructed with a #1-FiberWire suture. Six suture anchors were placed along the iliac crest beginning at the ASIS. They were spaced 1 cm apart (Figure 2). The anchors were deployed within the standard fashion into the cortical bone with traction.

Figure 2. Iliac Crest with Successful Placement of Six Suture Anchors. Published with Permission

The Marlex mesh was then cut to a size of 6 x 8 cm to appropriately fit the defect. The mesh was first secured to the iliac crest using the wire suture attached to the anchors (Figure 3). The mesh was then placed deep to the transversus abdominus muscle in the retroperitoneal space. The free edge of the mesh was secured to the native lateral abdominal wall musculature with interrupted #0-Prolene vertical mattress sutures. The operating table was first unflexed to 0 degrees prior to tying the Prolene sutures. This allowed for minimal tension on the mesh (Figure 4). Two Jackson-Pratt (JP) drains were placed into the subcutaneous space to prevent seroma formation.

Figure 3. Mesh Fixation to Iliac Crest. Published with Permission

Wire sutures emanating from mesh anchors are used to secure the mesh to the superior aspect of the iliac crest
Wire sutures emanating from mesh anchors are used to secure the mesh to the superior aspect of the iliac crest

Figure 4. Tension-Free Repair of Traumatic Flank Hernia with Marlex Mesh. Published with Permission

The patient was discharged home on postoperative day two with the drains in place. She followed up at one- and seven-weeks. The JP drains were removed at the initial visit, and she subsequently reported resolution of all pre-operative symptoms. There were no signs of hernia recurrence at follow up.

Discussion

TAWHs are most commonly due to high-energy blunt abdominal trauma and less frequently the result of penetrating wounds. The incidence is less than 1% of all patients hospitalized after an MVC.4-6 The fascial defect is frequently not diagnosed during the initial evaluation and thus are a delayed diagnosis. Approximately 50% to 70% of patients presenting with a hernia in the flank region have a history of being injured in an MVC and wearing a seat belt.7,8 Burt et al. describes a shearing action that occurs on the abdominal wall musculature due to the lap belt migrating above the anterior iliac spine, increasing the risk of musculofascial avulsion from the iliac bone.4 TAWHs represent a specific type of flank hernia that typically involve disruption of both oblique muscles and the transversus abdominus muscle along the iliac crest. These hernias present a technical challenge for the general surgeon, as there are limited options for securing the disrupted musculofascial tissues to the iliac crest. We present a case of a traumatic flank hernia following a severe MVC several years prior. We utilized a novel technique for securing the mesh used to reestablish the integrity of the flank musculature to the iliac bone. To our knowledge, this is the first report of this technique.

A clinical consensus for the timing of operative fixation and the type of procedure recommended for repair of TAWHs is lacking. In fact, the literature only contains a few reports of case series with small numbers of patients describing the technique for repair during the index hospitalization. The authors also note a high rate of recurrent hernia5 and post-operative complications when compared to a delayed repair.9 Thus, Honaker and Green advocated for a delayed repair as the overall risk of incarceration in asymptomatic patients with TAWH is low.9 Comparatively, Harrell et al. recently conducted the largest multicenter retrospective review to date.7 They identified 281 patients with blunt TAWH and found no difference in hernia recurrence between early (within 48 hours of presentation) and late (mean >1 year) repair. However, a delayed repair may be preferred in patients who require emergent treatment of associated injuries, most commonly including lumbar fractures, pelvic fractures, splenic injuries, or bowel injuries.8 The contamination of the soft tissues associated with a bowel injury would eliminate the use of a synthetic mesh for the repair. Most studies report higher rates of primary fascial closure with early repair, likely owing to the high incidence of bowel injuries associated with TAWHs.7 In this setting synthetic mesh placement is discouraged due to the increased risk for mesh infection. In contrast, implanting mesh at the time of a delayed repair of the hernia reduces the incidence of hernia recurrence.10

There are many different techniques for mesh placement reported in the literature. Each TAWH is unique, and the operative approach may vary dependent on if there is partial or complete abdominal wall muscle disruption. Lyu and Ma described a flank hernia that resulted in the disruption of only the internal oblique, while the external oblique muscle remained intact.2 During the index hospitalization, a perforation of the ileum was repaired. The patient then presented for a delayed repair of the hernia that resulted from the transected internal oblique muscle. They described using the UltraPro Hernia System technique, in which an underlay mesh was placed below the internal oblique muscle, and an onlay mesh was placed below the external oblique muscle. In comparison, our patient’s traumatic flank hernia resulted in “complete lateral abdominal wall muscle disruption with herniation of intra-abdominal contents.”6 This would be classified as a Grade V injury of the abdominal wall using the Dennis grading system.6 The first surgeon who repaired the hernia elected to affix a light-weight synthetic mesh to tissue adjacent to the iliac crest. This tissue is often fibrotic due to the original traumatic injury and weakens over time and may have contributed to the development of a recurrent hernia. In the setting of complete musculofascial disruption from the iliac crest where healthy soft tissue is absent, bony fixation of permanent mesh to the iliac crest is recommended.7 This can be performed in both an open and laparoscopic fashion.11,12 A tension free repair is key, especially when the mesh is fixated to bone. We elected to use suture anchors to fixate a permanent mesh to the iliac crest. An alternative technique is the use of cortical bone screws however, this technique requires more disruption of tissues compared to anchor tacks. Additionally, the prior hardware placed for the pelvic fracture limited the space for placing cortical screws. Thus, we suggest the use of suture anchors.

Conclusion

Although rare, diagnoses of TAWHs are becoming more commonly identified, likely owing to increasing rates of seat belt use while driving. Additionally, these hernias are identified with the liberal use of high-resolution CT scans performed during the initial evaluation of blunt abdominal trauma.13 Surgical repair of the defect in the musculofascial tissues may be delayed if the patient is asymptomatic and the herniating tissue can be easily reduced.8,11,14 Furthermore, the diagnosis is often delayed as the fascial defect develops years after the original injury due to weaking of the lateral abdominal wall structures by hematoma or infection.3,14 All physicians should have a high index of suspicion for a TAWH in any patient who develops flank pain months to years after a MVC, as only 33% of patients will present with a palpable hernia.4

Lessons Learned

The timing of surgery for TAWHs should depend upon the extent of associated injuries found at initial presentation and operative approach should be tailored to the type of TAWH hernia.  For hernias that involve complete musculofascial disruption from the iliac crest, we recommend bony fixation of a permanent mesh to the iliac crest. We found the use of Fiber Tak DX suture anchors allowed for the mesh to be easily secured to the iliac bone with limited tension. To our knowledge, this is the first report specifically utilizing the Fiber Tak suture anchors to secure mesh to the iliac bone. Compared to other types of suture anchors, the Fiber Tak anchor does not require predrilling into the cortical bone and thus reduces tissue disruption. The authors would not have done anything differently if presented with the opportunity to revisit the presented case. The patient remains pain-free without evidence of hernia recurrence.

Authors

Mathews ALa; Luchette FAa,b

Author Affiliations

  1. Department of Surgery, Loyola University Medical Center, Maywood, IL 60153
  2. Edward Hines Jr. Veterans Administration Hospital, Hines, IL 60141

Corresponding Author

Alexandra L. Mathews, MD
Department of Surgery
Loyola University Medical Center
2160 S. First Avenue
Maywood, IL, 60153
Email: alexandra.mathews@luhs.org

Disclosure Statement

The authors have no conflicts of interest to disclose.

Funding/Support

The authors have no relevant financial relationships or in-kind support to disclose.

Received: June 17, 2022
Revision received: October 18, 2022
Accepted: December 14, 2022

References

  1. Selby CD. Direct abdominal hernia of traumatic origin. JAMA. 1906;47:1485–6.
  2. Lyu YX, Ma HY. Case report of traumatic abdominal wall hernia caused by seat belt. Medicine (Baltimore). 2018;97(50):e13402. doi:10.1097/MD.0000000000013402
  3. Damschen DD, Landercasper J, Cogbill TH, Stolee RT. Acute traumatic abdominal hernia: case reports. J Trauma. 1994;36(2):273-276. doi:10.1097/00005373-199402000-00026
  4. Burt BM, Afifi HY, Wantz GE, Barie PS. Traumatic lumbar hernia: report of cases and comprehensive review of the literature. J Trauma. 2004;57(6):1361-1370. doi:10.1097/01.ta.0000145084.25342.9d
  5. Netto FA, Hamilton P, Rizoli SB, et al. Traumatic abdominal wall hernia: epidemiology and clinical implications. J Trauma. 2006;61(5):1058-1061. doi:10.1097/01.ta.0000240450.12424.59
  6. Dennis RW, Marshall A, Deshmukh H, et al. Abdominal wall injuries occurring after blunt trauma: incidence and grading system. Am J Surg. 2009;197(3):413-417. doi:10.1016/j.amjsurg.2008.11.015
  7. Harrell KN, Grimes AD, Albrecht RM, et al. Management of blunt traumatic abdominal wall hernias: A Western Trauma Association multicenter study. J Trauma Acute Care Surg. 2021;91(5):834-840. doi:10.1097/TA.0000000000003250
  8. Coleman JJ, Fitz EK, Zarzaur BL, et al. Traumatic abdominal wall hernias: Location matters. J Trauma Acute Care Surg. 2016;80(3):390-397. doi:10.1097/TA.0000000000000946
  9. Honaker D, Green J. Blunt traumatic abdominal wall hernias: Associated injuries and optimal timing and method of repair. J Trauma Acute Care Surg. 2014;77(5):701-704. doi:10.1097/TA.0000000000000431
  10. Belgers HJ, Hulsewé KW, Heeren PA, Hoofwijk AG. Traumatic abdominal wall hernia: delayed presentation in two cases and a review of the literature. Hernia. 2005;9(4):388-391. doi:10.1007/s10029-005-0338-6
  11. Novitsky YW. Laparoscopic repair of traumatic flank hernias. Hernia. 2018;22(2):363-369. doi:10.1007/s10029-017-1707-7
  12. Ferris M, Pirko C, Nottingham J. Delayed laparoscopic repair of a traumatic flank hernia: A case report and review of the literature. Int J Surg Case Rep. 2018;51:372-375. doi:10.1016/j.ijscr.2018.09.011
  13. Bunn C, Ringhouse B, Patel P, et al. Trends in utilization of whole-body computed tomography in blunt trauma after MVC: Analysis of the Trauma Quality Improvement Program database. J Trauma Acute Care Surg. 2021;90(6):951-958. doi:10.1097/TA.0000000000003129
  14. Bender JS, Dennis RW, Albrecht RM. Traumatic flank hernias: acute and chronic management. Am J Surg. 2008;195(3):414-417. doi:10.1016/j.amjsurg.2007.12.004