Unsupported Browser
The American College of Surgeons website is not compatible with Internet Explorer 11, IE 11. For the best experience please update your browser.
Menu
Become a member and receive career-enhancing benefits

Our top priority is providing value to members. Your Member Services team is here to ensure you maximize your ACS member benefits, participate in College activities, and engage with your ACS colleagues. It's all here.

Become a Member
Become a member and receive career-enhancing benefits

Our top priority is providing value to members. Your Member Services team is here to ensure you maximize your ACS member benefits, participate in College activities, and engage with your ACS colleagues. It's all here.

Become a Member
ACS
ACS Case Reviews

Nipple Leiomyoma: Review, Case Report, and Surgical Treatment

December 19, 2024

Abstract

Background

Leiomyoma of the nipple represents a benign, exceptionally rare form of dartoic smooth muscle tumor. Since first described by Virchow in 1851, less than 100 cases have been reported in the literature. While unusual, it remains an important diagnosis to consider among the broad range of nipple pathologies.

Summary

We present a case of a 69-year-old male who presented in 2021 with a nine-year history of a progressively enlarging and uncomfortable nipple mass. Symptoms had worsened significantly over the past 18 months. The patient underwent a central lumpectomy with excision of the nipple-areolar complex. Surgical pathology confirmed leiomyoma of the left breast. The surgery completely resolved the patient's pain, leading to a significant improvement in his quality of life.

Conclusion

Nipple leiomyoma is a rare and poorly understood benign tumor. It has gained some attention in the past decade, but remains infrequent. It is important to consider nipple leiomyoma in the differential for abnormalities of the nipple areolar complex.

Key Words

nipple leiomyoma; benign areolar tumors


Case Description

Leiomyoma of the nipple areolar complex is a rare finding; it is possibly underreported due to its low morbidity or misdiagnosis. Given the relative scarcity of specimens, there is a limited fund of knowledge regarding the pathophysiology involved. We present an unusual case of male nipple leiomyoma in a 69-year-old man. Similar to previous literature, his clinical manifestations were an enlarged nipple associated with stinging pain and hypersensitivity, worsened by cold and improved with heat.

Our patient was initially referred to the Breast Surgery clinic in 2021 for a nine-year history of a left-nipple lump with associated discomfort and progressive enlargement, more acutely over the 18 months prior to presentation. He had issues with the left nipple since the 1980s following trauma to the left chest working on a dairy farm, and he eventually noted a stinging sensation in his left nipple. The discomfort worsened with cold temperature and sometimes was profoundly painful in cold conditions, but heat relieved that pain. For the past several years, he observed an increase in the size of the affected nipple. Two prior diagnostic mammograms and a breast ultrasound were all negative for breast malignancy. Personal history was significant for chronic systolic heart failure and significant cardiac arrhythmia. The patient's preoperative cardiac risk assessment placed him at high risk for complications and caused an initial delay in surgery. Significant family history included a sister with a BRCA gene mutation and breast cancer diagnosed at age 45 as well as a paternal grandmother with lymphoma.

On physical exam, the nipple was visibly irritated, round, and enlarged compared to the right (Figure 1). It measured 1.5 x 1 x 1 cm, and was shaped like a marble sitting on top of the areola. Neither breast had palpable masses, and there was no lymphadenopathy. There was moderate gynecomastia bilaterally.

Figure 1. Preoperative Photograph Demonstrating Left Nipple Enlargement (1.5 × 1.0 × 1.0 cm) and Bilateral Gynecomastia. Published with Permission

The patient underwent a central lumpectomy with excision of the nipple-areolar complex and underlying breast parenchyma down to the pectoralis muscle to ensure the condition was fully cleared. This was discussed with the patient preoperatively; he verbally confirmed that he was not concerned about the extra volume loss and his interest in treatment that was as aggressive as needed to avoid any return to the OR. Surgical pathology revealed leiomyoma of the left breast and gynecomastia; no malignancy was identified. Clinically, the patient recovered well, and his pain completely resolved, which he felt greatly improved his quality of life.

Discussion

Cutaneous leiomyomas are often classified into one of three types: piloleiomyoma, angioleiomyoma, and genital-type leiomyoma.2 Genital-type leiomyomas have a variety of origins, although all are from dartoic muscle. They can be vulvar, scrotal, or originate from the nipple areolar complex.3 Leiomyoma of the nipple is typically characterized by benign, abnormal growth of either the nipple itself or the underlying subareolar muscle. The period of time involved varies, though many case reports note at least six months.1-4 The condition predominantly affects females in a 3:1 ratio, usually middle-aged.5

Mammography is typically unrevealing, and on Doppler ultrasonography, the lesion appears as a well-circumscribed hypoechoic mass with increased peripheral blood flow.6 Histologically, there is a spectrum of possible appearances, although there are common findings among all cases.1-8,12 The cellular architecture is variable but always disorganized compared to control specimens. The stinging discomfort and hypersensitivity to sensation is likely secondary to this aberrant tissue that likely displaces neurovascular bundles. Leiomyomas are identified by immunohistochemistry with key markers including desmin, smooth-muscle actin (SMA), S100, FXIIIa, and CD34.7 It is important to distinguish nipple leiomyoma from other causes of areolar disease, particularly dermal leiomyosarcomas, which are also SMA and desmin positive. Unlike leiomyosarcomas, leiomyomas show no evidence of hypercellularity, nuclear atypia, mitotic figures, or a high N:C ratio.9,10

The factors contributing to nipple leiomyoma formation are not well-understood. Kaufman et. al postulated that the tumor arises from smooth muscle cells surrounding capillaries in the subcutaneous breast tissue.11 Diaz-Arias et. al suggested several possible cells of origin, including embryologically displaced smooth muscle from nipple, angiomatous smooth muscle, multipotent mesenchymal cells, and myoepithelial cells.12 Some case reports note estrogen or progesterone receptor positivity, particularly in men.8,13,14 One isolated report occurred in a 43-year-old woman shortly after initiating hormone replacement therapy.3 In others, trauma was reported prior to the onset of symptoms.1,4

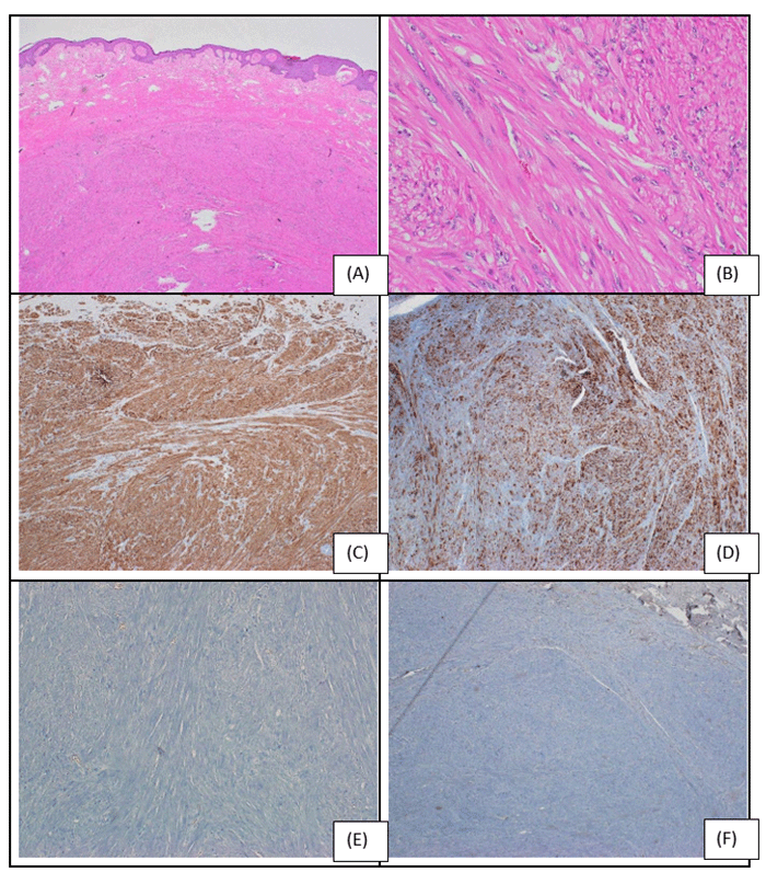
The initial differential diagnosis for our patient was broad and included papilloma, adenoma, and carcinoma, among others. Ruling out malignancy took precedence, and diagnostic mammogram and ultrasound were negative (Figure 2 ). The patient chose to proceed with excision, and surgical pathology showed a well-circumscribed, non-encapsulated smooth muscle lesion with interwoven fascicles of spindle cells and interceding bundles of collagen. Immunostains were reactive for SMA and desmin, and nonreactive for myogenin and pancytokeratin.

Figure 2. Nipple Leiomyoma: Gross and Microscopic Findings. Published with Permission

A, Microscopic examination demonstrates the lesion composed of interwoven fascicles of spindle cells with intervening collagen bundles; B, individual cells exhibit abundant eosinophilic cytoplasm, occasional vacuoles, and elongated nuclei with minimal atypia; C, D, positive staining for SMA and desmin; E, F, negative staining for pancytokeratin and myogenin
A, Microscopic examination demonstrates the lesion composed of interwoven fascicles of spindle cells with intervening collagen bundles; B, individual cells exhibit abundant eosinophilic cytoplasm, occasional vacuoles, and elongated nuclei with minimal atypia; C, D, positive staining for SMA and desmin; E, F, negative staining for pancytokeratin and myogenin

Estrogen and progesterone receptor immunostains were each positive in approximately 20% of cells, with weak and moderate intensity, respectively (Figure 3). These characteristics add to a puzzling array of previously reported examples. Rodriguez et. alreported bilateral ER/PR (+) nipple leiomyoma in a patient with a history of prostate cancer and bilateral gynecomastia, suggesting systemic hormonal imbalance as contributory.13 Nakamura and coauthors reported two male nipple leiomyomas, neither of which showed ER or PR positivity.8 Yuksel et. alshowed reported a male nipple leiomyoma that was ER positive, but PR negative.14It seems plausible that there is a relationship between underlying hormone imbalance and nipple leiomyoma formation at least in some cases, but the association is unclear.

Figure 3. Immunohistochemical Stains for Estrogen Receptor (ER) and Progesterone Receptor (PR). Published with Permission

A, ER) shows weak cytoplasmic positivity in approximately 20% of the cells; B, PR demonstrates moderate cytoplasmic positivity in 20% of the cells. Additionally, the figure reveals background changes suggestive of gynecomastia
A, ER) shows weak cytoplasmic positivity in approximately 20% of the cells; B, PR demonstrates moderate cytoplasmic positivity in 20% of the cells. Additionally, the figure reveals background changes suggestive of gynecomastia

Our patient also noted a remote history of nipple trauma while working on a dairy farm four decades ago. Given that little is known of the role of trauma in regard to leiomyoma formation, it is unclear whether the traumatic event was associated with this patient's mass or circumstantial. However, the haphazard arrangement of collagen and smooth muscle cells could represent an aberrant repair process. The patient demonstrated gynecomastia, and so there is some suggestion of hormonal contribution, and one possibility is that trauma and hormonal imbalance together contributed to the formation. We propose a possible route to leiomyoma development in this particular patient, and possibly others: an initial traumatic event, followed by remodeling of native tissue architecture, and altered by hormonal imbalance in a background of estrogen and progesterone positive cells.

The condition can be distressing for patients due to pain and discomfort. Calcium-channel blockers and α-adrenergic blockers can provide some relief and are thought to help by inhibiting smooth muscle contraction within the aberrantly located smooth muscle fiber/neurovascular bundles.5 However, they should be thought of as a temporary measure until definitive treatment. One group reported successful treatment using a CO2 laser, with impressive cosmetic results and no recurrence at 20-month follow-up.15 Laser ablation is an established alternative treatment for other cutaneous leiomyomas, and it will be interesting to see if it gains favor for nipple leiomyoma.16 For now, the standard of care remains excision with wide margins, which has shown near-zero recurrence rates.17 For our patient, complete excision substantially improved his quality of life by completely resolving his pain, and imaginably other patients would derive a similar benefit.

Conclusion

Nipple leiomyoma is a rare and poorly understood benign tumor of the nipple areolar complex. It has gained increasing attention in the literature, particularly in the past decade. It is important to consider nipple leiomyoma in the differential for areolar disease to continue investigating its mechanism of development.

Lessons Learned

Nipple leiomyoma has been shown to develop in a background of trauma and hormonal imbalance, though its exact mechanism of pathogenesis is not understood. It is a rare but important mass for surgeons to consider in their differential. Complete excision remains the standard of care, though laser ablation has shown success in isolated cases.

Acknowledgments

The authors would like to thank their patient for allowing us to publish this work as well as the  Department of Surgery at the University of Arizona.

Authors

Shir S; Tran T; Carlson Q; LeBeau L; Chalkey S; Donohue C; Erdrich J

Author Affiliation

Department of Surgery, University of Arizona College of Medicine, Tucson, AZ 85724

Corresponding Author

Jennifer Erdrich MD, MPH, FSSO, FACS
Department of Surgery, Division of Surgical Oncology
1501 N. Campbell Avenue
Room 4410
Tucson, AZ 85724
Email: jerdrich@surgery.arizona.edu

Disclosure Statement

The authors have no conflicts of interest to disclose.

Funding/Support

The authors have no relevant financial relationships or in-kind support to disclose.

Received: July 9, 2022
Revision received: February 2, 2023
Accepted: March 27, 2023

References

  1. Masamatti SS, Manjunath HR, Babu BD. Leiomyoma of nipple: a rare case report and review of literature. Int J Sci Stud. 2015;3(6):210–3
  2. Spyropoulou GA, Pavlidis L, Trakatelli M, et al. Rare benign tumours of the nipple. J Eur Acad Dermatol Venereol. 2015;29(1):7-13. doi:10.1111/jdv.12623
  3. Ku J, Campbell C, Bennett I. Leiomyoma of the nipple. Breast J. 2006;12(4):377-380. doi:10.1111/j.1075-122X.2006.00282.x
  4. Pavlidis L, Vakirlis E, Spyropoulou GA, Pramateftakis MG, Dionyssiou D, Demiri E. A 35-year-old woman presenting with an unusual post-traumatic leiomyoma of the nipple: a case report. J Med Case Rep. 2013;7:49. Published 2013 Feb 19. doi:10.1186/1752-1947-7-49
  5. Deveci U, Kapakli MS, Altintoprak F, Cayırcı M, Manukyan MN, Kebudi A. Bilateral nipple leiomyoma. Case Rep Surg. 2013;2013:475215. doi:10.1155/2013/475215
  6. Cho HJ, Kim SH, Kang BJ, Kim H, Song BJ, Lee AW. Leiomyoma of the nipple diagnosed by MRI. Acta Radiol Short Rep. 2012;1(9):arsr.2012.120025. Published 2012 Oct 1. doi:10.1258/arsr.2012.120025
  7. Hammer P, White K, Mengden S, Korcheva V, Raess PW. Nipple leiomyoma: A rare neoplasm with a broad spectrum of histologic appearances. J Cutan Pathol. 2019;46(5):343-346. doi:10.1111/cup.13423
  8. Nakamura S, Hashimoto Y, Takeda K, et al. Two cases of male nipple leiomyoma: idiopathic leiomyoma and gynecomastia-associated leiomyoma. Am J Dermatopathol. 2012;34(3):287-291. doi:10.1097/DAD.0b013e31822a3075
  9. Elston D, Ferringer T, Ko C, Peckham S, High W, DiCaudo D. Dermatopathology. 3rd ed. Philadelphia, PA: Saunders Elsevier; 2018.
  10. Wong LC, Huang PC, Luh SP, Huang CS. Primary leiomyosarcoma of the nipple-areola complex: report of a case and review of literature. J Zhejiang Univ Sci B. 2008;9(2):109-113. doi:10.1631/jzus.B0720246
  11. Kaufman HL, Hirsch EF. Leiomyoma of the breast. J Surg Oncol. 1996;62(1):62-64. doi:10.1002/(SICI)1096-9098(199605)62:1<62::AID-JSO13>3.0.CO;2-V
  12. Diaz-Arias AA, Hurt MA, Loy TS, Seeger RM, Bickel JT. Leiomyoma of the breast. Hum Pathol. 1989;20(4):396-399. doi:10.1016/0046-8177(89)90052-x
  13. Ramos Rodriguez AJ, Guo R, Bridges AG. Estrogen and progesterone receptor-positive bilateral nipple leiomyoma in a man. Int J Dermatol. 2017;56(12):1512-1513. doi:10.1111/ijd.13662
  14. Yuksel ME, Tamer F, Bozlak N. Estrogen receptor positive, progesterone receptor negative, leiomyoma of the areola of a male patient. Dermatol Online J. 2018;24(6):13030/qt82z7f5bz. Published 2018 Jun 15.
  15. López V, López I, Alcacer J, Ricart JM. Successful treatment of leiomyoma of the nipple with carbon dioxide laser. Actas Dermosifiliogr. 2013;104(10):928-930. doi:10.1016/j.ad.2013.05.002
  16. Christenson LJ, Smith K, Arpey CJ. Treatment of multiple cutaneous leiomyomas with CO2 laser ablation. Dermatol Surg. 2000;26(4):319-322. doi:10.1046/j.1524-4725.2000.99250.x
  17. Khachemoune A, Rodriguez C, Lyle S, Jiang SB. Genital leiomyoma: surgical excision for both diagnosis and treatment of a unilateral leiomyoma of the male nipple. Dermatol Online J. 2005;11(1):20. Published 2005 Mar 1.