Unsupported Browser
The American College of Surgeons website is not compatible with Internet Explorer 11, IE 11. For the best experience please update your browser.
Menu
Become a member and receive career-enhancing benefits

Our top priority is providing value to members. Your Member Services team is here to ensure you maximize your ACS member benefits, participate in College activities, and engage with your ACS colleagues. It's all here.

Become a Member
Become a member and receive career-enhancing benefits

Our top priority is providing value to members. Your Member Services team is here to ensure you maximize your ACS member benefits, participate in College activities, and engage with your ACS colleagues. It's all here.

Become a Member
ACS
ACS Case Reviews

Massive Primary Retroperitoneal Mature Cystic Teratoma Presenting in a Pregnant Woman

December 19, 2024

Abstract

Background

Teratomas, defined as non-seminomatous germ cell tumors, arise from misplaced pluripotent germ cells that fail to migrate to their intended locations. Classified by the World Health Organization as mature, immature, or containing malignant components based on pathology, these tumors usually occur in the gonads. However, they can also develop in midline paraxial structures outside the gonads. Primary retroperitoneal mature cystic teratomas (PMCTs) are exceptionally rare, with limited documented cases. Even scarcer are reports of such tumors in pregnant women, where ovarian mature teratomas are more frequent.

While typically benign, teratomas can transform into malignant tumors and may mimic other malignancies clinically. Often asymptomatic, they are often incidentally detected through ultrasound or other imaging. Surgical resection remains the cornerstone of treatment, allowing definitive diagnosis through histopathological examination. Resection management and timing in pregnant patients pose a significant challenge due to the limited case reports available in the literature.

Summary

A 33-year-old woman, eight weeks pregnant, presented with an incidentally discovered abdominal mass on routine ultrasound. Imaging revealed a large (32.5 × 28.1 × 14.1 cm) well-circumscribed right retroperitoneal mass with both cystic and solid components. The mass significantly compressed the liver, gallbladder, inferior vena cava, kidneys, and bowel. A smaller (2.4 × 1.0 cm) mass was also identified at the celiac axis. Given concerns about worsening mass effect on the growing fetus and potential malignancy, surgical resection was performed when the patient was 10 weeks pregnant. Histopathology confirmed mature cystic teratomas in both lesions. At 31 weeks pregnancy, the patient developed preeclampsia and hemolysis, elevated liver enzymes, and low platelet count (HELLP) syndrome, necessitating an emergent cesarean section with the delivery of a healthy newborn. Follow-up imaging at six months postpartum showed no evidence of residual tumor. Both mother and baby continue to do well.

Conclusion

Primary retroperitoneal mature cystic teratomas (PMCTs) are exceptionally rare in pregnancy, with limited data available. This case report details successful PRMCT management during pregnancy and reviews current literature to improve understanding of this infrequently encountered condition.

Key Words

primary retroperitoneal mass; mature teratoma; pregnancy; cystic teratoma; retroperitoneal tumor; benign tumor

Abbreviations

primary retroperitoneal mature cystic teratoma (PRMCT)
carcinoembryonic antigen (CEA)
carbohydrate antigen 19-9 (CA 19-9)
carbohydrate antigen 125 (CA 125)
inferior vena cava (IVC)


Case Description

Teratomas comprise roughly 70% of testicular germ cell tumors and are classified based on their histologic features, similar to their gonadal counterparts. This classification system categorizes teratomas as mature, immature, or containing a secondary malignant component (carcinoma or sarcoma).1 The latest testicular germ cell tumor classification differentiates between postpubertal teratomas (considered differentiation from a malignant precursor) and prepubertal teratomas, which lack an association with germ cell neoplasia in situ.2 Mature teratomas comprise well-differentiated tissues derived from two or more germ layers, resembling any body tissue and exhibiting orderly organization with ectodermal and mesodermal elements surrounding endodermal components.3,4 These tumors typically arise in midline paraxial structures, most commonly involving the gonads (testes/ovaries), followed by extragonadal sites like intracranial, cervical, mediastinal, retroperitoneal, and sacrococcygeal regions.3,5

There is very little current literature on managing primary retroperitoneal mature cystic teratoma (PRMCT), and even less in pregnant patients, with most cases describing the more common tumor of ovarian origin.4,6 Ovarian mature cystic teratomas are the most common germ cell tumor and are the most common type of ovarian neoplasm comprising 20% of all ovarian tumors.4,6 They account for 70% of benign ovarian masses during the reproductive years and are often encountered during pregnancy, with an estimated incidence of ovarian tumors in 1 in 1,000 pregnancies, of which 3% to 6% are malignant.4 Mature teratoma of the ovary has been reported in approximately 30% to 50% of pregnancies.7 These adnexal masses are often discovered during routine ultrasound; increased ultrasound use has led to higher detection rates. According to reports, 55% of masses either resolve completely or significantly decrease in size without treatment.4,7,8

Primary retroperitoneal mature cystic teratomas are extremely rare compared to those of ovarian origin; they account for only 4% of all primary teratomas and 5% to 10% of all retroperitoneal tumors.3,5,9 They are most often diagnosed in children and rarely occur in adults.3,5,9,10 The risk of malignancy is also higher in children when compared to adults.3,9 Less than 40 cases of all retroperitoneal tumors diagnosed in pregnancy have been reported in the literature, with only a handful demonstrating mature cystic teratoma.3,5,8 Most current literature pertains to the diagnosis and management of retroperitoneal mature cystic teratoma in nonpregnant patients, with this population still being extremely deficient. The case described demonstrates a rare diagnosis, and the review of the literature contained within attempts to highlight the management of these tumors to improve the paucity of current literature.

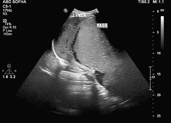
Figure 1. Initial Transabdominal Ultrasound. Published with Permission

Large, well-circumscribed abdominal mass identified on initial obstetrical ultrasound examination
Large, well-circumscribed abdominal mass identified on initial obstetrical ultrasound examination

Figure 2. T2-Weighted MRI. Published with Permission

Large (32.5 x 28.1 x 14.1 cm) retroperitoneal mass with both cystic and solid components containing internal fat
Large (32.5 x 28.1 x 14.1 cm) retroperitoneal mass with both cystic and solid components containing internal fat

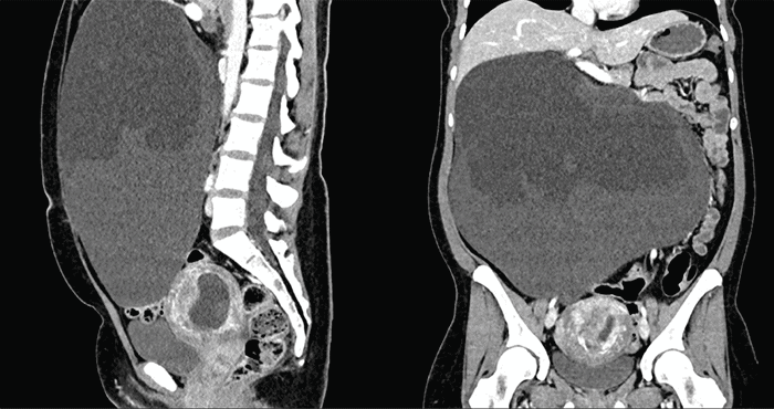
Figure 3. Preoperative CT Scan. Published with Permission

Well-defined, 16 x 20 x 30 cm cystic mass with fluid levels and no evidence of internal calcifications or fat density. The mass appears separate from adjacent organs and does not show signs of invasion
Well-defined, 16 x 20 x 30 cm cystic mass with fluid levels and no evidence of internal calcifications or fat density. The mass appears separate from adjacent organs and does not show signs of invasion

A 33-year-old woman presented after referral to the surgical oncology service at eight weeks gestational age with an incidentally found large abdominal mass on initial obstetrical ultrasound (Figure 1). Magnetic resonance imaging (MRI) of the abdomen identified a 32.5 cm x 28.1 cm x 14.1 cm mass with cystic and solid components, and internal fat, demonstrating significant mass-effect on the liver, gallbladder, inferior vena cava (IVC), bilateral kidneys, and with displacement of intestines from the right hemiabdomen into the left (Figure 2). This was her first pregnancy, and the patient described approximately one year of vague nondescript symptoms including early satiety, constipation, and weight-gain—some of which she had attributed to her pregnancy. Her family history was significant for breast cancer in a paternal aunt. Computed tomography (CT) imaging was performed due to the possibility that this retroperitoneal mass was harboring malignancy as well as for preoperative planning. Imaging showed a large, well-circumscribed 16 x 20 x 30 cm cystic mass containing fluid levels, with a separate 2.4 x 1.0 cm well-circumscribed mass along the celiac axis, without evidence of metastasis or obvious invasion (Figure 3). No specific tumor markers were obtained. Due to concern for malignancy and worsening mass-effect on intraabdominal organs in the setting of viable intrauterine pregnancy, the decision was made to proceed with surgical resection prior to the second trimester.

The patient underwent midline laparotomy and resection of the primary mass from the right hemi-abdomen. Intraoperatively, the mass was adherent to the head of the pancreas and duodenum as well as the right kidney and ascending colon. A portal lymphadenectomy was performed due to the concern for malignancy and the possible involvement of adjacent lymph nodes. A second, multilobulated, cystic, 2.4 x 3.1 cm mass was found adjacent to the superior mesenteric artery (SMA). Resection of both masses was performed, and hair fibers were noted on the primary tumor. A 19-French Blake drain was left posterior to the head of the pancreas with an overlying omental flap.

Figure 4. Gross Findings of Excised Teratoma. Published with Permission

A, Intact, resected cystic specimen with a red, smooth, and glistening external surface; B, cut section of the resected mass revealing a mixture of yellow-gray granular material, hair follicles, and friable keratin debris with adipose tissue
A, Intact, resected cystic specimen with a red, smooth, and glistening external surface; B, cut section of the resected mass revealing a mixture of yellow-gray granular material, hair follicles, and friable keratin debris with adipose tissue

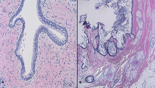
Figure 5. Microscopic Findings Consistent with Teratoma. Published with Permission

A, Respiratory epithelium and dense fibroconnective tissue; B, skin with adnexal structures, including hair follicles, keratin debris, pilosebaceous units, smooth muscle, and adipose tissue
A, Respiratory epithelium and dense fibroconnective tissue; B, skin with adnexal structures, including hair follicles, keratin debris, pilosebaceous units, smooth muscle, and adipose tissue

Surgical resection specimens consisted of a 30 cm intact, red cystic structure with smooth external surface, weighing 18 pounds (Figure 4A), as well as a 2 cm intact mass with similar morphologic features, weighing 8 grams. Sectioning of the specimen revealed a unilocular cyst filled with greasy, yellow-gray granular material admixed with hairs, friable keratin-rich debris, and adipose tissue (Figure 4B). Histologic sections demonstrated a mature teratoma with elements from all three germinal layers: endoderm (Figure 5A), ectoderm (Figure 5B), and mesoderm (Figure 5B). No immature elements were appreciated. Final pathology demonstrated two mature cystic teratomas with the larger measuring 18 pounds, both negative for malignancy. Lymph nodes were similarly negative for malignancy.

The postoperative course was complicated by pancreatic fistula requiring two additional ultrasound-guided drains placed by interventional radiology and approximately two months of total parenteral nutrition. This was likely a result of the tumor's adherence to the pancreatic head and need for dissection free from pancreatic tissue. The patient ultimately presented at 31-weeks gestation with fetal growth restriction and new onset preeclampsia determined to be hemolysis, elevated liver enzymes, low platelet count (HELLP) syndrome requiring emergent caesarian section; a healthy male neonate was successfully delivered. Surveillance CT scan at six months postoperatively revealed no residual mass or intraabdominal fluid collections. The patient and her child continued to recover well.

Discussion

The case described demonstrates an extremely rare diagnosis of primary retroperitoneal mature cystic teratoma in a pregnant woman. Four cases were identified in the literature after a 2020 review of all primary retroperitoneal tumors diagnosed during pregnancy was performed.8 PRMCTs are extremely rare compared to those of ovarian origin, and they account for only 4% of all primary teratomas and 5% to 10% of all retroperitoneal tumors.3,5,9 Some believe that they arise as metastasis from the gonadal tissues rather than representing true primary tumors, but they are more common in children (within the first six months to first decade of life) and rarely occur in adults.3,5,9,10 While more common in children, retroperitoneal teratomas are still rare overall in this population, with less than 3% diagnosed in all children.7 While these tumors are most often benign, the malignancy rate is 26% in children, which is significantly higher than the 3% to 7% malignancy rate in adults.3,9 Larger size of mature teratomas and longer duration of the presence of the mass has been reported to increase the chances of malignant transformation.5

Less than 40 cases of retroperitoneal tumors diagnosed in pregnancy have been reported in the literature, with only a handful demonstrating mature cystic teratoma.3,5,8 PRMCTs are twice as common in women compared to males and are usually encountered on the left side of the retroperitoneum near the upper pole of the left kidney.3,5,9,10 This differs from our patient, as she presented with a right-sided retroperitoneal tumor. They can be confused clinically with ovarian tumors, renal cysts, adrenal tumors, retroperitoneal fibromas, sarcomas, hemangiomas, and enlarged lymph nodes.10 Most are discovered incidentally on routine ultrasound or on imaging for other indications, as most present asymptomatically, which is consistent with the discovery of this patient's mass on routine obstetrical ultrasound (Figure 1).3,5,7,8 Patients can also present with compressive mass effect symptoms as the masses grow larger, which likely accounts for the nonspecific complaints that our patient described of over one year, with many attributed to pregnancy.5

Ultrasound is often the initial modality used in diagnosis, as it can be used to differentiate between solid and cystic components and may be able to detect calcification from teeth and/or bone, or posterior sound attenuation from sebaceous material and hair within a cyst cavity.4,5 It can be difficult to determine the true location of masses by ultrasound alone, specifically while differentiating between ovarian and retroperitoneal tumors.10 Further imaging with computed tomography (CT) or magnetic resonance imaging (MRI) is often needed for diagnosis and to determine potential malignancy.5,8,10 MRI was performed in our patient to initially characterize the mass,  and CT imaging was employed to further evaluate potential malignancy and preoperative planning. Characteristic findings on CT imaging include well-marginated, multilobulated complex masses with both cystic and solid components; and fluid, fat, soft tissue, and bone densities observed in the retroperitoneal space. The presence of hypoattenuating fat within the cyst or calcifications in the cyst wall is highly suggestive of cystic teratoma.5,10 Our patient's CT imaging demonstrated a large 16 x 20 x 30 cm well-circumscribed cystic mass with fluid levels, without internal calcifications or fat density identified, that did not appear to arise from adjacent organs or demonstrate invasion and was concerning for mesenteric lymphangioma per radiology review (Figure 3). The second 2.4 cm x 1.0 cm mass was well-circumscribed and appeared to contain proteinaceous or hemorrhagic material. Absence of mature tissues, sebum, and occurrence in childhood years have been reported to be predictors of malignant change.5 MRI has been used, specifically during pregnancy, to avoid radiation exposure, as these lesions have a high fat content and appear hyperintense on T1-weighted images.5,8 The MRI performed on our patient demonstrated a 32.5 x 28.1 x 14.1 cm arising from or abutting the inferior surface of the liver, with both cystic and solid components with evidence of internal fat, with differential diagnosis considering fibrolamellar hepatocellular carcinoma, hepatic adenoma, giant hemangioma, leiomyosarcoma of the mesentery, or a cystic teratoma per radiology report (Figure 2).

Tumor markers such as alpha-fetoprotein, carcinoembryonic antigen (CEA), carbohydrate antigen 19-9 (CA 19-9), and carbohydrate antigen 125 (CA 125) have been used in the diagnoses and differentiation of these tumors from other neoplasms, with the efficacy varying widely in the current literature.4,5,7 The use of tumor markers for diagnosis in pregnancy is limited because the values are physiologically altered, although they are advocated by some as they may be useful for postoperative tumor surveillance after undergoing resection.4,5,7 The most common markers to be elevated in patients with suspected teratomas are reported to be CA 19-9 in 42% of patients, and CA-125 in 16% of patients, with significant correlation between elevated CA 19-9 and tumor size, presence of adhesions, and ovarian torsion rates when they arise in the ovaries.5 Some authors have also reported elevated CEA levels in patients with malignant conversion of retroperitoneal teratomas, but the relationship is not well established.5 No tumor markers were obtained in our patient, as we did not feel they would aid in diagnosis.

When diagnosis is uncertain by imaging alone, percutaneous biopsy can be considered.8 Biopsy was not performed in our patient because we did not think it would change management, which we determined should ultimately focus on the need for surgical resection to both ensure definitive characterization and relieve the patient's compressive symptoms caused by mass effect.3,5,8,9,11 The timing of surgical excision is debated; it is largely dependent on the size of the tumor, increased concern for malignancy, presence of mass effect symptoms, and the status of the fetus during pregnancy and gestational age.3–5,8,12 The ideal timing for ovarian teratoma excision has been suggested to be within the second trimester (14 to 22 weeks gestational age) to avoid the period of greatest risk of drug-induced teratogenicity and spontaneous fetal losses due to intrinsic fetal abnormalities having already occurred, while still allowing for an acceptable operative field.4 Manipulation of the uterus should be minimized to avoid increased risk of placental abruption, premature labor, and/or fetal loss.4 Due to the significant mass effect created by our patient's tumor, the decision was made to proceed with surgical resection when the patient was 10 weeks pregnant. Our team extensively discussed the potential risks and benefits of resection and considered both maternal and fetal outcomes; to help facilitate our management planning process, we consultated with a high-risk obstetrician.

Prognosis of benign primary mature retroperitoneal teratoma appears to be excellent after complete surgical excision, with near 100% first-year survival and five-year survival rates.3,5,9 These teratomas are notoriously resistant to radiotherapy and chemotherapy and are only used in tumors with malignant features.5,9 This highlights the importance of aggressive surgical resection with oncologically clear margins in the treatment of these patients. Ultimately, the patient underwent emergent caesarean section due to the development of preeclampsia and HELLP syndrome. Postoperative surveillance imaging was obtained at six months after surgical resection with no residual tumor identified. Malignant teratomas can frequently recur, so annual follow-up imaging has been recommended in these patients—though the role of surveillance imaging is less clear in benign mature teratoma after histopathological examination.4,5

In a 2020 review of all primary retroperitoneal tumors during pregnancy, 34 case reports and one case series were found. Within this group, 62.9% of tumors were benign, 63% were found incidentally, and 77% were found with ultrasound, with the majority diagnosed in the third trimester and presenting asymptomatically.8 Tumor sizes ranged between 5 and 32 cm, MRI was used in 13 cases, and CT imaging in six patients.8 Percutaneous biopsy was performed in 8% of cases, and surgical treatment was used in 88% of cases, with six cases undergoing resection in the second trimester and 18 after delivery.8 Caesarean section was performed in 17 patients, 11 underwent vaginal deliveries, and three pregnancies were terminated.8 Maternal mortality occurred in 8.5% of cases, and fetal prognosis was good in 65% of pregnancies, with two reported miscarriages and two spontaneous preterm deliveries. Of all these cases, only four were diagnosed on histopathological examination as mature teratomas. This highlights the scarcity of current literature on primary retroperitoneal mature teratoma during pregnancy and the need for ongoing research into this disease process and its management.

Conclusion

This patient's presentation, diagnosis, and surgical management demonstrate a rare disease process with very little description in the current literature. The literature review and description contained in this case report seeks to fill this deficiency in the literature, with successful management of PRMCT in a 10-week-pregnant woman, with significant mass effect and risk to the fetus. While rare, malignant transformation is possible and as these tumors can mimic other neoplasms and malignancies, timely recognition and management is paramount for definitive diagnosis. With little recommendation on timing of surgical management, the decision of when to operate is largely based on tumor characteristics, mass effect, suspicion for malignancy, maternal and fetal risk, and gestational age. While the ideal timing of resection may not always be obtainable, it is able to be performed safely in the first trimester. While more is known about ovarian mature cystic teratoma in pregnancy, the current knowledge of PRMCT, especially during pregnancy, is lacking; more research on the presentation and management is needed.

Lessons Learned

While extremely rare, primary retroperitoneal mature cystic teratoma can present in pregnancy. To minimize risks to both the mother and fetus, it is important to promptly diagnose and surgically treat (with complete excision for histopathologic examination) this condition. Current treatment challenges include the facts that imaging characteristics and tumor markers are not definitive in diagnosis, recommendations for management are still evolving, and there continues to be a scarcity of literature on this topic.

Authors

Clegg DJa; Bogardus SRa; Schmocker RKb; Peralta Ic; Nodit Lc; Enomoto LMb

Author Affiliations

  1. Department of Surgery, University of Tennessee Graduate School of Medicine, Knoxville, TN 37920
  2. Department of Surgery, Division of Surgical Oncology, University of Tennessee Graduate School of Medicine, Knoxville, TN 37920
  3. Department of Pathology, University of Tennessee Graduate School of Medicine, Knoxville, TN 37920

Corresponding Author

Laura M. Enomoto, MD, MSC, FACS
University of Tennessee Graduate School of Medicine
1924 Alcoa Highway, Suite 330
Knoxville TN, 37920
Email: lenomoto@utmck.edu

Disclosure Statement

The authors have no conflicts of interest to disclose.

Funding/Support

The authors have no relevant financial relationships or in-kind support to disclose.

Received: August 16, 2022
Revision received: October 9, 2022
Accepted: November 30, 2022

References

  1. Travis WD, Brambilla E, Müller-Hermelink HK, Harris CC. Pathology and genetics of tumours of the lung, pleura, thymus and heart. IARC WHO classification of tumours. Oxford University Press: IARC; 2004.
  2. Williamson SR, Delahunt B, Magi-Galluzzi C, et al. The World Health Organization 2016 classification of testicular germ cell tumours: a review and update from the International Society of Urological Pathology Testis Consultation Panel. Histopathology. 2017;70(3):335-346. doi:10.1111/his.13102
  3. Sasi W, Ricchetti GA, Parvanta L, Carpenter R. Giant mature primary retroperitoneal teratoma in a young adult: report of a rare case and literature review. Case Rep Surg. 2014;2014:930538. doi:10.1155/2014/930538
  4. Gupta M, Saini V. Germ cell tumors and their association with pregnancy. In: Ahmed RG, editor. Germ Cell. IntechOpen; 2017. Available from: https://www.intechopen.com/books/germ-cell/germ-cell-tumors-and-their-association-with-pregnancy
  5. Singh C, Raypattanaik NM, Sharma I, Kaman L. Primary Retroperitoneal Teratoma in a Young Male: A Case Report. Cureus. 2021;13(6):e15376. Published 2021 Jun 1. doi:10.7759/cureus.15376
  6. Usta IM, Birjawi GA, Nassar AH. Benign cystic teratoma mimicking an abdominal pregnancy. Acta Obstet Gynecol Scand. 2006;85(11):1397-1398. doi:10.1080/00016340500432929
  7. Becerril-González AN, Pérez-Martínez A, Sereno-Coló JA. Teratoma pélvico retroperitoneal. Reporte de un caso [Pelvic retroperitoneal teratoma. A case report]. Ginecol Obstet Mex. 2013;81(12):727-732.
  8. Aragón-Mendoza RL, Arenas-Gamboa J, Vieira-Serna S, Sierra IAJ. Primary retroperitoneal tumor during pregnancy: Case report and review of the literature. Tumor retroperitoneal primario durante el embarazo: reporte de un caso y revisión de la literatura. Rev Colomb Obstet Ginecol. 2020;71(2):195-207. doi:10.18597/rcog.3477
  9. Peyvandi H, Arsan F, Alipour-Faz A, Yousefi M. Primary retroperitoneal mature cystic teratoma in an adult: A case report. Int J Surg Case Rep. 2016;28:285-288. doi:10.1016/j.ijscr.2016.10.011
  10. Wang RM, Chen CA. Primary retroperitoneal teratoma. Acta Obstet Gynecol Scand. 2000;79(8):707-708.
  11. Khan SA, Mahmood T, Sarwar MZ, Rasool SH, Siddique MD, Khan Z. Retroperitoneal Teratoma in an adult presenting with painful abdominal mass: case history and literature review. 2012;5(1):3.
  12. Chen LH, Chang SD, Huang HY, Wang HS, Soong YK, Wu HM. Repeated pregnancy with concomitant presence of ovarian teratoma: A case report and literature review. Taiwan J Obstet Gynecol. 2017;56(5):694-696. doi:10.1016/j.tjog.2017.08.021