Unsupported Browser
The American College of Surgeons website is not compatible with Internet Explorer 11, IE 11. For the best experience please update your browser.
Menu
Become a member and receive career-enhancing benefits

Our top priority is providing value to members. Your Member Services team is here to ensure you maximize your ACS member benefits, participate in College activities, and engage with your ACS colleagues. It's all here.

Become a Member
Become a member and receive career-enhancing benefits

Our top priority is providing value to members. Your Member Services team is here to ensure you maximize your ACS member benefits, participate in College activities, and engage with your ACS colleagues. It's all here.

Become a Member
ACS
ACS Case Reviews

Large, Multifocal, and Symptomatic Gastric Xanthoma in a 41-Year-Old Woman

December 19, 2024

Abstract

Background

A 41-year-old woman presented with acid reflux and early satiety. Endoscopy revealed large, concerning multifocal gastric masses. Biopsy initially suggested malignancy, but pathology confirmed gastric xanthoma (GX).

Summary

Our patient, a 41-year-old female, initially presented with complaints of acid reflux and early satiety. She had no other concerning symptoms or relevant history. She was worked up for these complaints with an endoscopy, which was significant for large multifocal gastric masses. Initially presumed to be cancer, the mass was biopsied. Pathology resulted as gastric xanthoma. Given the size of the lesion and the association between gastric xanthoma and premalignant and malignant lesions, concern for malignancy persisted. The patient was taken to surgery for excision of the masses. The masses were completely excised, and final pathology remained consistent with the diagnosis of GX with no invasive component.

Conclusion

Gastric xanthomas are generally small, asymptomatic lesions that are benign in nature, but an association exists between gastric xanthoma and gastric malignancy. This patient's masses were significantly larger than any gastric xanthoma we have found in the literature, and while she was not found to have a malignant or premalignant lesion, given the association, increased surveillance is needed. There are currently no guidelines for surveillance in patients with gastric xanthoma.

Key Words

gastric xanthoma; xanthelasma; malignancy; atrophic gastritis


Case Description

Gastric xanthomas are exceedingly rare, benign, superficial lesions that are usually small, asymptomatic, and encountered incidentally on upper endoscopy. There is an association between H. pylori infection and gastric xanthoma; more recently, a correlation between gastric xanthomas and early gastric cancer was discovered. The lesions are usually discreet, although manifestations with numerous diffuse lesions have been observed. This report describes a case of a grossly unique gastric xanthoma that appeared as a large symptomatic villous mass.

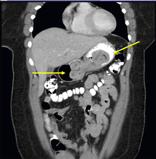
Our patient was an obese, 41-year-old woman who presented with a three-year history of reflux and early satiety without significant weight loss. She tolerated her diet without nausea or vomiting and reported normal bowel function. She received an upper endoscopy that revealed a small hiatal hernia and large, noncircumferential, frond-like, villous masses with extensive intragastric extension. A CT scan of the abdomen demonstrated the extent of the masses as well (see Figure 1). The biopsies of the masses were evaluated by two different pathologists; they both determined that the lesions were gastric xanthoma. She then underwent an endoscopic ultrasound, where deeper biopsies of the lesions were taken and were concordant with the diagnosis of xanthoma without pathologic evidence of carcinoma. She was then referred to surgical oncology for definitive care.

Figure 1. Preoperative CT Scan Demonstrates Gastric Xanthoma (arrows). Published with Permission

Image confirmed a large, well-defined mass within the gastric body
Image confirmed a large, well-defined mass within the gastric body

Given the known association between gastric xanthoma and gastric cancer as well as the symptomatic nature of the condition, the decision was made to pursue extirpation of the mass via partial gastrectomy. After performing upper endoscopy in the operating room, multifocal masses were visualized. The abdomen was entered via an anterior open approach with an upper midline incision and the mass was palpated. There was no extraluminal extension. A large anterior gastrotomy was made, and the multifocal xanthoma (three in total) were removed separately by externalizing them anteriorly through the gastrotomy and transecting the base with a gastrointestinal loaded stapler (Figures 2A and 2B). The anterior gastrotomy was then closed with a handsewn technique. Gross pathology measured the three specimens as 9 cm x 3.7 cm; 14 cm x 3 cm; and 0.5 cm x 0.3 cm. Final surgical pathology confirmed that all three specimens were consistent with xanthoma. There was no dysplasia or malignancy identified in the specimens, and the margins were free of xanthoma. The patient recovered well postoperatively. To our knowledge, this case represents the largest gastric xanthoma reported in the medical literature.

Figure 2. Multifocal Gastric Xanthoma Visualized Through Anterior Gastrotomy. Published with Permission
A.

B.

Multiple, yellowish lesions consistent with gastric xanthoma are evident on the gastric mucosa
Multiple, yellowish lesions consistent with gastric xanthoma are evident on the gastric mucosa

Discussion

Gastric xanthelasma, or gastric xanthoma, is an uncommon lesion of the lamina propria that is created by large, foamy histiocytes and appears grossly as a yellow-white plaque on the mucosal surface. Generally, gastric xanthomas manifest as discrete, small lesions less than 10 mm in diameter. They are most commonly even smaller—less than 5 mm in size. The largest lesion we have found in the literature was 1.5 cm. Rarely, patients can have numerous diffuse lesions or can present with gastric xanthomatosis, which is characterized by numerous small mucosal patches affecting a large surface area of the gastric mucosa.

Most gastrointestinal xanthomas are found within the stomach (76%); however, they can also be found in the esophagus (12%) and the duodenum (12%). Gastric xanthelasma is generally an incidental finding on upper endoscopy and rarely causes symptoms in isolation. Gastric xanthoma was previously thought to be associated with hyperlipidemia6; however, more recent studies show no association between hyperlipidemia and gastric xanthoma. While some studies have found a relationship between H. pylori infection and gastric xanthoma, many other publications have found no significant association with H. pylori. One of the most frequent associations with gastric xanthoma that we noted was atrophic gastritis (Table 1). Given the association between atrophic gastritis and gastric xanthoma as well as the association between atrophic gastritis and gastric cancer, the natural question is: is there a significant relationship between gastric xanthoma and malignancy that needs to be elucidated?

Authors # of Cases Reported Xanthoma Size(s) (cm) Multifocal? Gastric Malignancy Present? Other Associated Pathology?

Muraoka 199811

1 GX cells found within a 0.6 × 0.7 cm IIa gastric cancer No Yes

Isomoto 19992

67/134 NR NR No

H. pylori

Atrophic gastritis

Gencosmanoglu 20043

17/7320

<5 mm in diameter (14 patients)

5-10 mm in diameter (3 patients)

Yes (4/17 pts) No Atrophic gastritis

Jeong 200412

1 NR Yes No

Kubosawa 200713

1 NR Yes No

Yi 20076

54/771 Mean size 0.7 cm, no lesions >1.0 cm Yes, in 35% No

H. pylori

Atrophic gastritis

Jansen 20098

2 0.3-0.4 cm Yes No

Kinoshita 201114

1 NR No Yes

Sekikawa 20141

249/3238 NR NR Yes, xanthoma in 50/105 patients with gastric cancer Atrophic gastritis

Köksal 201615

69 NR Yes, in 20/69 Yes, in 1/69

Atrophic gastritis

Intestinal metaplasia

Sekikawa 201616

107 NR NR Yes, in 15/107 Atrophic gastritis

Kitamura 201717

66 NR NR Yes, xanthoma in 66/91 patients with gastric cancer

H. pylori

Atrophic gastritis

Shibukawa 201718

80 NR NR Yes, xanthoma in 80/192 patients with gastric cancer

Atrophic gastritis

Intestinal metaplasia

Alzahrani 201819

1 0.7 cm No No Hyperplastic polyp

Liu 20184

1 1.5 cm No No High-grade dysplasia

Shibukawa 201920

62 NR NR Yes, in 45/62

H. pylori

Intestinal metaplasia

Yamashita 201921

174 NR Yes, in 46/174; xanthoma in 46/114 patients with gastric cancer H. pylori

Hashimoto 20205

1 NR Yes No H. pylori

Xiao 202022

306 NR NR No

Atrophic gastritis

Intestinal metaplasia

Sayar 20207

108 NR NR Yes in 3/108

Atrophic gastritis

Intestinal metaplasia

Abu-Alreesh 202123

1 NR No No

Miura 202124

114 NR NR Yes, all 114 patients had GC (54/114 were rapidly growing GC)

Shibukawa 202125

247 NR NR Yes, in 99/247

H. pylori

Intestinal metaplasia

Table 1. Previous Cases of Gastric Xanthoma Reported in the Literature
Authors # of Cases Reported Xanthoma Size(s) (cm) Multifocal? Gastric Malignancy Present? Other Associated Pathology?

Muraoka 199811

1 GX cells found within a 0.6 × 0.7 cm IIa gastric cancer No Yes

Isomoto 19992

67/134 NR NR No

H. pylori

Atrophic gastritis

Gencosmanoglu 20043

17/7320

<5 mm in diameter (14 patients)

5-10 mm in diameter (3 patients)

Yes (4/17 pts) No Atrophic gastritis

Jeong 200412

1 NR Yes No

Kubosawa 200713

1 NR Yes No

Yi 20076

54/771 Mean size 0.7 cm, no lesions >1.0 cm Yes, in 35% No

H. pylori

Atrophic gastritis

Jansen 20098

2 0.3-0.4 cm Yes No

Kinoshita 201114

1 NR No Yes

Sekikawa 20141

249/3238 NR NR Yes, xanthoma in 50/105 patients with gastric cancer Atrophic gastritis

Köksal 201615

69 NR Yes, in 20/69 Yes, in 1/69

Atrophic gastritis

Intestinal metaplasia

Sekikawa 201616

107 NR NR Yes, in 15/107 Atrophic gastritis

Kitamura 201717

66 NR NR Yes, xanthoma in 66/91 patients with gastric cancer

H. pylori

Atrophic gastritis

Shibukawa 201718

80 NR NR Yes, xanthoma in 80/192 patients with gastric cancer

Atrophic gastritis

Intestinal metaplasia

Alzahrani 201819

1 0.7 cm No No Hyperplastic polyp

Liu 20184

1 1.5 cm No No High-grade dysplasia

Shibukawa 201920

62 NR NR Yes, in 45/62

H. pylori

Intestinal metaplasia

Yamashita 201921

174 NR Yes, in 46/174; xanthoma in 46/114 patients with gastric cancer H. pylori

Hashimoto 20205

1 NR Yes No H. pylori

Xiao 202022

306 NR NR No

Atrophic gastritis

Intestinal metaplasia

Sayar 20207

108 NR NR Yes in 3/108

Atrophic gastritis

Intestinal metaplasia

Abu-Alreesh 202123

1 NR No No

Miura 202124

114 NR NR Yes, all 114 patients had GC (54/114 were rapidly growing GC)

Shibukawa 202125

247 NR NR Yes, in 99/247

H. pylori

Intestinal metaplasia

As indicated previously, studies have demonstrated a correlation between gastric xanthomas and gastric precancerous lesions as well as between gastric xanthomas and gastric cancer. Miura et. al24 recently found an association between rapidly growing gastric cancers and gastric xanthelasma. While the incidence of gastric xanthomas in patients with diagnosed gastric cancer is significantly higher than in the general population,1 a causative relationship cannot be inferred. In our review, atrophic gastritis was the single most commonly encountered condition associated with gastric xanthoma, but it is possible that the association between xanthoma and gastric cancer is simply a representation of the known associations between atrophic gastritis  and both xanthoma and gastric cancer.

Conclusion

Gastric cancer is the fourth most common cause of cancer-related mortality globally. With such high mortality rates, guidelines for gastric cancer screening are warranted. There are currently no recommendations for postoperative surveillance for gastric xanthoma patients; however, given its association with gastric cancer, surveillance would be prudent.

Lessons Learned

There is an observed association between gastric xanthoma and gastric cancer. Gastric xanthoma can have atypical presentations. Our patient had a remarkably large, unusual-appearing xanthoma. Given the size and the clinical symptoms she was experiencing due to mass effect, we had high suspicion for malignancy; however pathology did not demonstrate gastric malignancy. Our suspicions were unfounded, as there is no literature to our knowledge that suggests that the gross morphology of the lesion influences the likelihood of cancer. Additionally, our patient was not found to have any of the other conditions associated with gastric xanthoma in the literature, as she was H. pylori-negative, and tissue samples were similarly negative for atrophic gastritis, gastric dysplasia, and intestinal metaplasia. Regardless of our patient's presentation, given all that we do know about gastric xanthoma and its associated conditions, surveillance guidelines are currently lacking and should be established for patients with gastric xanthoma. We plan to surveil this patient with endoscopy every six months for two years, and then yearly.

Authors

Ivanhoe Ra; Davis CH2,3; Sinha Rd; Maggi Jb,e; Langan RCb,c,e

Author Affiliations

  1. Department of Surgery, Rutgers New Jersey Medical School, Newark, NJ 07103
  2. Division of Surgical Oncology, Rutgers Cancer Institute of New Jersey, New Brunswick, NJ 08901
  3. Rutgers Robert Wood Johnson Medical School, New Brunswick, NJ 08901
  4. Rutgers University School of Arts and Sciences, New Brunswick, NJ 08901
  5. Department of Surgery, Cooperman Barnabas Medical Center, Livingston, NJ 07039

Corresponding Author

Russell C. Langan, MD, FSSO, FACS
RWJBarnabas Health
Cooperman Barnabas Medical Center
Rutgers Cancer Institute of New Jersey
94 Old Short Hills Road
Suite 1172
Livingston, NJ 07039
Email: russell.langan@rwjbh.org

Disclosure Statement

The authors have no conflicts of interest to disclose.

Funding/Support

The authors have no relevant financial relationships or in-kind support to disclose.

Received: November 13, 2021
Revision received: February 1, 2022
Accepted: February 7, 2022

References

  1. Sekikawa A, Fukui H, Maruo T, et al. Gastric xanthelasma may be a warning sign for the presence of early gastric cancer. J Gastroenterol Hepatol. 2014;29(5):951-956. doi:10.1111/jgh.12512
  2. Isomoto H, Mizuta Y, Inoue K, et al. A close relationship between Helicobacter pylori infection and gastric xanthoma. Scand J Gastroenterol. 1999;34(4):346-352. doi:10.1080/003655299750026344
  3. Gencosmanoglu R, Sen-Oran E, Kurtkaya-Yapicier O, Tozun N. Xanthelasmas of the upper gastrointestinal tract. J Gastroenterol. 2004;39(3):215-219. doi:10.1007/s00535-003-1288-3
  4. Liu CX, Shen YY, Shi N, et al. Correlation of endoscopic images and histological findings of a high grade dysplasia developed in a gastric xanthoma. Int J Clin Exp Pathol. 2018;11(2):1018-1022. Published 2018 Feb 1.
  5. Hashimoto R, Torralba EJ, Li X. Diffuse Gastric Xanthomatosis. Clin Gastroenterol Hepatol. 2020;18(11):e132. doi:10.1016/j.cgh.2019.07.064
  6. Yi SY. Dyslipidemia and H pylori in gastric xanthomatosis. World J Gastroenterol. 2007;13(34):4598-4601. doi:10.3748/wjg.v13.i34.4598
  7. Sayar S, Ayranci G, Kürbüz K, et al. High frequency of gastric cancer precursor lesions in patients with gastric xanthelasma: a prospective case-control study. Eur J Gastroenterol Hepatol. 2020;32(9):1130-1134. doi:10.1097/MEG.0000000000001795
  8. Jansen HJ, van Krieken JH, Römkens TE. Yellow-white lesions in the upper gastrointestinal tract. Gastric xanthelasmas. Neth J Med. 2009;67(10):360-361.
  9. 9
  10. Sung H, Ferlay J, Siegel RL, et al. Global Cancer Statistics 2020: GLOBOCAN Estimates of Incidence and Mortality Worldwide for 36 Cancers in 185 Countries. CA Cancer J Clin. 2021;71(3):209-249. doi:10.3322/caac.21660
  11. Muraoka A, Suehiro I, Fujii M, et al. Type IIa early gastric cancer with proliferation of xanthoma cells. J Gastroenterol. 1998;33(3):326-329. doi:10.1007/s005350050091
  12. Jeong YS, Park H, Lee DY, Lee SI, Park C. Gastric xanthomatosis. Gastrointest Endosc. 2004;59(3):399-400. doi:10.1016/s0016-5107(03)02593-8
  13. Kubosawa H, Yano K, Oda K, et al. Xanthogranulomatous gastritis with pseudosarcomatous changes. Pathol Int. 2007;57(5):291-295. doi:10.1111/j.1440-1827.2007.02089.x
  14. Kinoshita H, Yamaguchi S, Sakata Y, Arii K, Mori K, Kodama R. A rare case of xanthogranuloma of the stomach masquerading as an advanced stage tumor. World J Surg Oncol. 2011;9:67. Published 2011 Jul 2. doi:10.1186/1477-7819-9-67
  15. Köksal AŞ, Suna N, Kalkan İH, et al. Is Gastric Xanthelasma an Alarming Endoscopic Marker for Advanced Atrophic Gastritis and Intestinal Metaplasia?. Dig Dis Sci. 2016;61(10):2949-2955. doi:10.1007/s10620-016-4210-6
  16. Sekikawa A, Fukui H, Sada R, et al. Gastric atrophy and xanthelasma are markers for predicting the development of early gastric cancer. J Gastroenterol. 2016;51(1):35-42. doi:10.1007/s00535-015-1081-0
  17. Kitamura S, Muguruma N, Okamoto K, et al. Clinicopathological Assessment of Gastric Xanthoma as Potential Predictive Marker of Gastric Cancer. Digestion. 2017;96(4):199-206. doi:10.1159/000481346
  18. Shibukawa N, Ouchi S, Wakamatsu S, Wakahara Y, Kaneko A. Gastric xanthoma is a predictive marker for metachronous and synchronous gastric cancer. World J Gastrointest Oncol. 2017;9(8):327-332. doi:10.4251/wjgo.v9.i8.327
  19. Alzahrani M, Alqunaitir A, Alsohaibani M, Al-Rikabi AC. Gastric xanthelasma associated with hyperplastic polyp and mucosal erosions: report of an unusual case and literature review. Oxf Med Case Reports. 2018;2018(8):omy051. Published 2018 Aug 11. doi:10.1093/omcr/omy051
  20. Shibukawa N, Ouchi S, Wakamatsu S, Wakahara Y, Kaneko A. Gastric Xanthoma Is a Predictive Marker for Early Gastric Cancer Detected after Helicobacter pylori Eradication. Intern Med. 2019;58(6):779-784. doi:10.2169/internalmedicine.0925-18
  21. Yamashita K, Suzuki R, Kubo T, et al. Gastric Xanthomas and Fundic Gland Polyps as Endoscopic Risk Indicators of Gastric Cancer. Gut Liver. 2019;13(4):409-414. doi:10.5009/gnl17136
  22. Xiao D, Tong X, Yuan X, Wu Y, Chen P. Gastric xanthelasma may be a warning sign of intestinal metaplasia: A cross‑sectional study. Oncol Rep. 2020;44(3):1275-1281. doi:10.3892/or.2020.7651
  23. Abu-Alreesh S, Rosen D, Nalbantoglu I, Arbizu RA. Gastric Xanthoma: An Incidental and Unusual Finding. J Pediatr Gastroenterol Nutr. 2021;73(1):e26. doi:10.1097/MPG.0000000000003085
  24. Miura K, Oshima T, Tamura A, et al. Gastric Xanthoma Is Related to the Rapid Growth of Gastric Cancer. J Clin Med. 2021;10(23):5704. Published 2021 Dec 5. doi:10.3390/jcm10235704
  25. Shibukawa N, Ouchi S, Wakamatsu S, Wakahara Y, Kaneko A. Gastric xanthoma is correlated with early gastric cancer of previously Helicobacter pylori-infected gastric mucosa. JGH Open. 2020;5(2):249-252. Published 2020 Dec 14. doi:10.1002/jgh3.12479