Unsupported Browser
The American College of Surgeons website is not compatible with Internet Explorer 11, IE 11. For the best experience please update your browser.
Menu
Become a member and receive career-enhancing benefits

Our top priority is providing value to members. Your Member Services team is here to ensure you maximize your ACS member benefits, participate in College activities, and engage with your ACS colleagues. It's all here.

Become a Member
Become a member and receive career-enhancing benefits

Our top priority is providing value to members. Your Member Services team is here to ensure you maximize your ACS member benefits, participate in College activities, and engage with your ACS colleagues. It's all here.

Become a Member
ACS
ACS Case Reviews

Ischemic Fallopian Tube: Uncommon Femoral Hernia Contents during Pregnancy

December 19, 2024

Abstract

Background

Strangulated fallopian tube in a femoral hernia is a rare occurrence that requires prompt diagnosis and surgical intervention. Hernias may contain atypical internal structures, and prompt intervention may give these structures the best chance of survival.

Summary

A healthy, 31-year-old pregnant woman (G4P1021) at 19 weeks gestation presented with left groin pain. Investigation revealed a strangulated left fallopian tube within a femoral hernia. The initially ischemic-appearing fallopian tube was successfully preserved after enlarging the hernia defect. Subsequent histological examination following elective salpingectomy at 37 weeks (performed for sterilization after Cesarean section) showed no signs of ischemic damage.

Conclusion

A high index of suspicion for strangulated fallopian tube torsion warrants prompt emergent surgical intervention; however, even if the fallopian tube initially appears ischemic, ample opportunity should be given to revascularization procedures to maximize successful salvage.

Key Words

femoral hernia; hernias in pregnancy; ischemic femoral hernias; atypical hernia contents

Abbreviations


Case Description

A 31-year-old woman at 19 weeks and 3 days gestation presented to the emergency department with severe, sudden-onset, left lower quadrant abdominal pain for one hour prior to presentation. Physical examination revealed a bulging, exquisitely tender mass in the left groin. Initial point-of-care ultrasound indicated a pelvic mass corresponding to the bulge in question, possibly containing the left ovary.

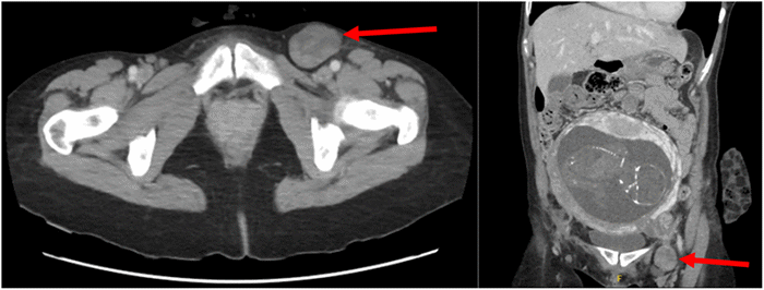
Subsequent CT scan revealed a left groin mass (Figure 1), likely representing a femoral hernia with suggestion of torsion of the fallopian tube and/or the left ovary. Laboratory values were unremarkable, and a beta hCG level was 7381mIU/mL. Medical and surgical history was notable for a prior right tubal pregnancy managed with methotrexate, a reducible umbilical hernia, and recent negative EGD/Bronchoscopy for hemoptysis of unknown origin. Following the history and physical examination as well as review of the lab work and imaging, the patient was urgently taken to the operating room.

Figure 1. Preoperative CT Scan. Published with Permission

A) Axial and B) coronal view of the CT scan showing the femoral hernia (arrows).
A) Axial and B) coronal view of the CT scan showing the femoral hernia (arrows).

In the operating room, based upon the size of the defect, an open McVay hernia repair technique was used. The McVay repair is a mesh-free technique for remor hernias that involves suturing the conjoined tendon to Cooper's ligaments and the inguinal ligament, along with a tension-reducing incision made in the anterior rectus sheath. Once the hernia sac was opened, its contents were exposed and confirmed to be strangulated. These contents included an ischemic-appearing, left fallopian tube (Figure 2A).

Upon this discovery, the fascial defect was extended anteromedially to relieve the strangulation of the hernia contents. The left fallopian tube began to show signs of improved perfusion (Figure 2B) as the vascular obstruction was now relieved. The contents of the hernia sac were then reduced, the hernia sac was excised, and the McVay repair was completed.

Figure 2. Incarcerated Femoral Hernia Repair with Ischemic Fallopian Tube Salvage. Published with Permission

A) Open McVay repair exposing the femoral defect. The hernia sac contents include an ischemic-appearing left fallopian tube; B) left fallopian tube after hernia sac decompression and detorsion, demonstrating improved viability
A) Open McVay repair exposing the femoral defect. The hernia sac contents include an ischemic-appearing left fallopian tube; B) left fallopian tube after hernia sac decompression and detorsion, demonstrating improved viability

On postoperative day 1, the patient was feeling well, ambulating, her pain was well-controlled, and she was tolerating a diet. Obstetrics team noted good fetal movement and no obstetric complaints. The patient was discharged in good condition. She was noted to be recovering well at her maternal fetal medicine and general surgery follow-ups at one and two weeks, respectively, and had no sign of recurrent hernia.

Three weeks later, the patient re-presented to the emergency department with a recurrent left lower groin bulge. On physical exam, the left femoral herniorrhaphy wound was healed without dehiscence or infection, and there was a firm, tender, non-reducible mass in this area. General surgery was consulted. Upon history and physical exam by surgery, a diagnosis of femoral hernia recurrence was made. As a result of this diagnosis, the patient was returned to the operating room, where a structure thought to be the hernia sac was freed circumferentially and opened. This drained ascitic fluid, and further examination revealed an intact suture line deep to this fluid collection, suggesting communicating seroma rather than hernia recurrence. Patient was closed and had no further issues related to her left femoral hernia.

Three months later, the patient presented to the hospital for a Cesarean section at 37 weeks gestation due to concern for placenta previa. She delivered a healthy baby without complications. At the time of the Cesarean section, the patient underwent bilateral salpingectomy for elective sterilization. Her fallopian tubes were sent for routine pathologic examination, allowing a unique opportunity to assess the long-term implications of strangulation. There were no histologic signs of ischemic damage noted at initial evaluation or at re-evaluation for the purposes of this publication (Figure 3).

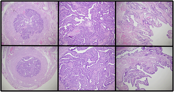
Figure 3. Histopathological Findings of Resected Fallopian Tubes. Published with Permission

Top row (left to right): Left fallopian tube, left fallopian tube (higher magnification), left fimbria. No histological evidence of ischemic damage identified. Bottom row (left to right): Right fallopian tube, right fallopian tube (higher magnification), right fimbria
Top row (left to right): Left fallopian tube, left fallopian tube (higher magnification), left fimbria. No histological evidence of ischemic damage identified. Bottom row (left to right): Right fallopian tube, right fallopian tube (higher magnification), right fimbria

Discussion

Groin hernias during pregnancy are rare, with a reported incidence of approximately 0.1%.5 Following a conservative "watch-and-wait" approach is generally recommended unless strangulation is evident, as observed in this case, where surgical intervention becomes necessary.5

The presence of a fallopian tube within a femoral hernia is an exceptionally rare occurrence. The limited documented cases in medical literature make it difficult to determine a precise incidence rate. For comparison, a retrospective study reported a 2.9% incidence of fallopian tube involvement involvement in a series of 242 inguinal hernias in females.6 A comprehensive literature search identified only 14 documented cases of fallopian tubes within femoral hernias.7‒19 Notably, all these cases prioritized reduction and preservation of the fallopian tube whenever possible.7‒19 In most instances (17 out of 18 cases), the tubes showed no signs of ischemia during surgery, eliminating the need for a decision regarding preservation or removal.17,18

The single reported case of ischemic fallopian tube involved a 54-year-old woman presenting with a five-day history of colicky, severe left lower quadrant pain radiating to the groin, a palpable groin mass for one day, nausea, and vomiting. A clinical diagnosis of incarcerated left femoral hernia was made. During surgery, a dusky ovary and fallopian tube were observed within the hernia sac. Similar to our case, the compromised tissue regained normal coloration following hernia reduction, sparing the fallopian tube.19

Management strategies remain consistent with other strangulated groin hernias:

  • High index of suspicion for atypical presentations
  • Emergent imaging and surgical consultation to confirm diagnosis and plan intervention
  • Prompt surgical intervention to address strangulation

This case adds to the limited literature by presenting a rare instance of a strangulated fallopian tube within a groin hernia and, notably, the first reported case in a pregnant or potentially child-bearing patient. The management principles of high index of suspicion, emergent imaging and surgical consultation, and prompt surgical intervention apply to our patient. Intraoperative consultation by gynecology may guide decision-making if there is any question of the viability of the adnexal structures.

Conclusion

While the occurrence of an ischemic fallopian tube contained within a strangulated femoral hernia is unusual, it is important to prepare for unique herniated intraabdominal contents since rare and uncommon findings will occur with this high volume of cases. An awareness of the potential for fallopian tube herniation may better support the prompt and effective surgical treatment of these hernias; as observed in this case, such awareness may also increase the chances of adnexal salvage. The type of hernia repair and the use of mesh versus a mesh free repair should be based on the surgeon's clinical judgment.

Lessons Learned

The presentation of a fallopian tube initially appearing ischemic can potentially recover after timely strangulation release, even without histological evidence of long-term ischemia. This finding is supported by existing literature on incarcerated hernias involving fallopian tubes7-19 and reports on incarcerated fallopian tubes in inguinal hernias.6 Based on this case and the established literature, we recommend attempting to conserve adnexal structures, even if they exhibit ischemic signs during initial examination.

Authors

Evans JJa; Petrochko JMa; Sherman MJb; Gifford TDc; Baillie Da; Brown AMa

Author Affiliations

  1. Department of General Surgery, St. Luke's University Health Network, Bethlehem, PA 18015
  2. Department of Pathology, St. Luke's University Health Network, Bethlehem, PA 18015
  3. Department of Obstetrics and Gynecology, St. Luke's University Health Network, Bethlehem, PA 18015

Corresponding Author

Andrew M. Brown, MD
St. Luke's General Surgery - Quakertown
1021 Park Avenue
Ste. 100B
Quakertown, PA 18951
Email: andrew.brown2@sluhn.org

Disclosure Statement

The authors have no conflicts of interest to disclose.

Funding/Support

The authors have no relevant financial relationships or in-kind support to disclose.

Received: August 16, 2022
Revision received: October 9, 2022
Accepted: November 30, 2022

References

  1. HerniaSurge Group. International guidelines for groin hernia management. Hernia. 2018;22(1):1-165. doi:10.1007/s10029-017-1668-x
  2. Köckerling F, Koch A, Lorenz R. Groin hernias in women-a review of the literature. Front Surg. 2019;6:4. Published 2019 Feb 11. doi:10.3389/fsurg.2019.00004
  3. Danawar NA, Mekaiel A, Raut S, Reddy I, Malik BH. How to treat hernias in pregnant women?. Cureus. 2020;12(7):e8959. Published 2020 Jul 2. doi:10.7759/cureus.8959
  4. Oma E, Bay-Nielsen M, Jensen KK, Jorgensen LN, Pinborg A, Bisgaard T. Primary ventral or groin hernia in pregnancy: a cohort study of 20,714 women. Hernia. 2017;21(3):335-339. doi:10.1007/s10029-017-1618-7
  5. Legros-Lefeuvre A, Clair C, Schwarz J, Schäfer M, Demartines N, Mantziari S. Hernie inguino-fémorale chez les femmes: spécificités de prise en charge [Groin hernia in female patients: sex-specific management]. Rev Med Suisse. 2020;16(699):1305-1309.
  6. Gurer A, Ozdogan M, Ozlem N, Yildirim A, Kulacoglu H, Aydin R. Uncommon content in groin hernia sac. Hernia. 2006;10(2):152-155. doi:10.1007/s10029-005-0036-4
  7. Maylard AE. Strangulated hernia of the left ovary in the femoral region. Br Med J. 1892;1(1632):761-762. doi:10.1136/bmj.1.1632.761
  8. Devane JF. Fallopian tube found in femoral hernia. Lancet. 1916;188(4862):805. doi:10.1016/S0140-6736(00)99253-5
  9. Keasling JE. Incarcerated femoral hernia containing an ovary. J Am Med Assoc. 1959;170:2184-2185. doi:10.1001/jama.1959.63010180004011a
  10. Kotlinska MA, Ragg JL, Poole DR, Giannopoulos TI. Groin swelling: unexpected findings. J Obstet Gynaecol. 2009;29(6):562-563. doi:10.1080/01443610903052081
  11. Atmatzidis S, Chatzimavroudis G, Dragoumis D, Atmatzidis K. Incarcerated femoral hernia containing ipsilateral fallopian tube. Case Rep Med. 2010;2010:741915. doi:10.1155/2010/741915
  12. Alzaraa A. Unusual contents of the femoral hernia. ISRN Obstet Gynecol. 2011;2011:717924. doi:10.5402/2011/717924
  13. López C, Durán MC, Tobaruela E, et al. Femoral hernia containing incarcerated fallopian tube. Hernia. 2011;15(6):717-718. doi:10.1007/s10029-011-0871-4
  14. Oakenful C, Lambrianides AL. Incarcerated adult femoral hernia containing a fallopian tube. Australas J Ultrasound Med. 2011;14(4):16-17. doi:10.1002/j.2205-0140.2011.tb00125.x
  15. Ambedkar V, Singh A, Bain J, Singh LM. A rare case of femoral herniation of female internal genitalia. J Nat Sci Biol Med. 2015;6(2):454-456. doi:10.4103/0976-9668.160038
  16. Soeta N, Saito T, Nemoto T, Oshibe I, Gotoh M. Laparoscopic repair of irreducible femoral hernia containing the fallopian tube alone: a case report. Surg Case Rep. 2016;2(1):57. doi:10.1186/s40792-016-0185-y
  17. Marcos-Santos P, Bailon-Cuadrado M, Choolani-Bhojwani E, Pacheco-Sanchez D. Femoral hernia containing the right fallopian tube: chronic pain with menstruation. Ann R Coll Surg Engl. 2019;101(7):e157-e159. doi:10.1308/rcsann.2019.0082
  18. Viveiros D, Lázaro A, Carvalho H. Femoral hernia containing the right fallopian tube: A rare finding. Hérnia femoral contendo a trompa de falópio direita: um achado raro. Rev Bras Ginecol Obstet. 2019;41(8):520-522. doi:10.1055/s-0039-1693055
  19. Coyle D, Kavanagh N, Mahmoud A, Lowery AJ, Khan W, Barry K. Incarcerated femoral hernia containing ovary and fallopian tube in a 54-year-old. BMJ Case Rep. 2011;2011:bcr0520114263. Published 2011 Aug 4. doi:10.1136/bcr.05.2011.4263
  20. Morf PF. III. Hernia of the fallopian tube without hernia of the ovary. Ann Surg. 1901;33(3):247-268. doi:10.1097/00000658-190101000-00026