Unsupported Browser
The American College of Surgeons website is not compatible with Internet Explorer 11, IE 11. For the best experience please update your browser.
Menu
Become a member and receive career-enhancing benefits

Our top priority is providing value to members. Your Member Services team is here to ensure you maximize your ACS member benefits, participate in College activities, and engage with your ACS colleagues. It's all here.

Become a Member
Become a member and receive career-enhancing benefits

Our top priority is providing value to members. Your Member Services team is here to ensure you maximize your ACS member benefits, participate in College activities, and engage with your ACS colleagues. It's all here.

Become a Member
ACS
ACS Case Reviews

A Free Giant Intraabdominal Endometriotic Cyst

December 19, 2024

Abstract

Background

This case report describes a 31-year-old pre-menopausal woman with no prior medical or surgical history who presented with abdominal pain and altered bowel habits. Preoperative workup revealed a giant intra-abdominal mass measuring 27 x 22 x 13 cm, concerning for a possible malignancy. Given the potential risk of tumor spillage during minimally invasive surgery, the patient underwent an exploratory laparotomy for definitive diagnosis and removal of the mass.

Summary

Our patient is a healthy 31-year-old nulligravida pre-menopausal female with no prior medical or surgical history. She presented with abdominal pain and altered bowel habits due to a large intra-abdominal mass. Preoperative imaging identified a concerning large cystic lesion, prompting suspicion of malignancy. An exploratory laparotomy was performed, revealing and removing a giant smooth unilocular cyst without a clear origin or feeding blood vessels. Final pathology confirmed a benign endometriotic cyst with reactive changes, and no evidence of malignancy was found.

Conclusion

This case report presents an unusual instance of a giant intra-abdominal mass (27 x 22 x 13 cm) with no readily identifiable origin. Surprisingly, the final pathology revealed a benign endometriotic cyst. While endometriosis is a common gynecological condition affecting approximately 10% of women during their reproductive years, risk factors include factors like early menarche and low body mass index that increase exposure to estrogen. Most endometriomas are smaller than 10 cm and typically located in the ovaries or pelvis, rarely occurring outside this region. Preoperative imaging modalities like ultrasound and MRI can be helpful, but their findings are often nonspecific, making definitive diagnosis of endometriosis challenging. Giant endometriomas can be mistaken for malignant cysts, highlighting the importance of careful evaluation in female patients presenting with intra-abdominal masses. While laparoscopic surgery is the preferred approach for typical endometriosis cases, the surgical intervention should be tailored to the individual patient’s situation. The differential diagnosis for such masses should encompass both gastrointestinal and gynecological possibilities. This case emphasizes the importance of considering atypical presentations of even common benign pathologies when evaluating patients.

Key Words

endometriosis; mass; surgery


Case Description

A 31-year-old nulligravida woman with a body mass index (BMI) of 19 presented to our surgical oncology clinic for evaluation of an intraabdominal mass. She had no prior medical or surgical history and regular menstrual cycles every three weeks since menarche at age 11. She denied intermenstrual bleeding, used oral contraceptives for 15 years (discontinued two years prior), had no abnormal Pap smears, and was not sexually active.

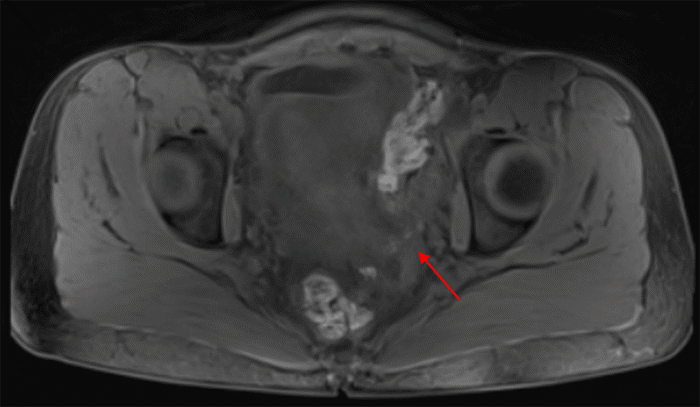
Several months prior to presentation, she experienced early satiety, abdominal bloating, and constipation, prompting medical evaluation. An abdominal ultrasound revealed a concerning 22 × 22 × 16 cm cystic structure abutting the uterine fundus. A follow-up pelvic MRI confirmed a large midline abdominal cystic lesion (Figure 1) but noted normal ovaries and a uterus separate from the mass. The lesion abutted the right ovary and uterus but did not appear to arise from them. Hyperintense foci, concerning for possible peritoneal seeding, were also identified (Figure 2).

Figure 1. MRI Pelvis with Large Intraabdominal Mass. Published with Permission

Figure 2. T1-Weighted MRI Pelvis Reveals Multiple Hyperintense Foci Suggestive of Peritoneal Seeding. Published with Permission

Due to concern for a malignant primary peritoneal tumor, a gynecologic oncology evaluation was obtained. The patient was then referred to surgical oncology. A chest/abdomen/pelvis CT scan showed no evidence of extra-abdominal disease.

An exploratory laparotomy was performed due to concern for possible tumor spillage during removal. The procedure revealed a mostly free tumor with some inflammatory attachments to the proximal rectum, which were meticulously dissected. The ovaries appeared normal. Gross examination showed a large, well-circumscribed mass measuring 27 × 22 × 13 cm and weighing 4 kg (Figure 3). It did not originate from a specific organ or site and was removed completely intact without rupture. The unilocular cyst contained an opaque, blood-tinged fluid (Figure 4).

Figure 3. Gross Examination of Resected Specimen Measuring 27 × 22 × 13 cm (4 kg). Published with Permission

Figure 4. Histological Findings Consistent with Endometriotic Cyst. Published with Permission

H&E stain demonstrates a cyst lined by a single layer of cuboidal to columnar epithelium with morphology resembling endometrium. Subepithelial stroma containing foci of hemorrhage and hemosiderin-laden mast cells is also evident
H&E stain demonstrates a cyst lined by a single layer of cuboidal to columnar epithelium with morphology resembling endometrium. Subepithelial stroma containing foci of hemorrhage and hemosiderin-laden mast cells is also evident

Pathological examination revealed an endometriotic cyst with reactive changes, with no evidence of malignancy. The patient had an uneventful three-day hospitalization and was discharged in stable condition. At her postoperative visit, she reported feeling well and returning to her baseline activities.

Discussion

Endometriosis is a gynecological condition primarily affecting women of reproductive age. It is characterized by the presence of endometrial-like tissue outside the uterus. Symptoms can include chronic abdominal and pelvic pain, dysmenorrhea, dyschezia, dyspareunia, and infertility.1 While the exact prevalence is unknown, estimates suggest it affects around 10% of women during their reproductive years.2 It most commonly presents in women between the ages of 25 to 29, with rare cases diagnosed after menopause (postmenopause, >44 years old).3

Several factors are associated with an increased risk of endometriosis. One such factor is a lower body mass index (BMI). Studies show that the average BMI of women with endometriosis is around 21.3.4 The leading theory for the etiology of endometriosis is retrograde menstruation. During menstruation, some endometrial tissue sheds backward through the fallopian tubes and implants itself outside the uterus.1

Endometriosis can manifest in various forms, ranging from superficial lesions on the peritoneum to deep infiltrating lesions that can involve surrounding organs such as the bladder or bowel.2,5,6 Large endometriotic cysts are quite rare in presentation, and when exceeding 15 cm in size, malignancy should be included in the differential.7 Endometriosis has been linked to an increased risk of ovarian cancer, with studies suggesting up to a fourfold increased risk for developing low-grade serous, clear cell, and endothelial subtypes of ovarian cancer.1,8

Endometriosis can manifest in various ways, with symptoms ranging from mild to severe and often lacking specificity. This can make diagnosis challenging. No single reliable biomarker exists, and both patients and healthcare providers may not be fully aware of the condition, leading to potential delays.2

Imaging plays a crucial role in the diagnostic process. Ultrasonography (transabdominal or transvaginal) is usually the first imaging modality employed and is recommended for all patients presenting with symptoms.9 Ultrasound findings may include a unilocular or multilocular cyst with low-level internal echoes. Magnetic resonance imaging (MRI) can be a valuable adjunct in specific cases. This might be necessary if ultrasound results are inconclusive, if the area of concern is obscured by adhesions or overlying bowel, or if malignancy is suspected.

Preoperatively differentiating endometriomas from other types of cysts based on imaging alone can be difficult due to the nonspecific nature of these lesions. As seen in our patient’s case, endometriomas can mimic neoplastic lesions.2

Treatment for endometriosis primarily focuses on symptom management. Non-steroidal anti-inflammatory drugs (NSAIDs) are typically recommended as the initial therapy due to their pain-relieving properties. Given the estrogen-dependent nature of endometrial tissue, combined oral contraceptives containing both estrogen and progestin are also a common treatment option.1

Surgical intervention becomes necessary when initial therapies fail to provide sufficient relief, for obtaining a definitive diagnosis of a suspicious mass, or for immediate treatment. Laparoscopic surgery is the preferred method for removing endometriomas. This technique is associated with less postoperative pain and higher fertility rates compared to traditional laparotomy followed by medical therapy.1,5 Interestingly, studies suggest that surgical intervention in women without known infertility factors can improve their chances of achieving spontaneous pregnancy.2

Hormonal suppression therapy following surgery is recommended to reduce the risk of symptom recurrence. Without ongoing hormonal suppression, approximately half of all patients will experience a return of symptoms within five years.1

Our case report describes an unusual presentation of endometriosis, which is significant due to the size of the endometriotic cyst as well as the location. Larger endometriotic cysts have been associated with increased rates of malignancy, specifically ovarian cysts greater than 15 cm.7 Therefore, malignancy must be a key consideration during the evaluation of giant cysts. Surgical intervention should be planned to minimize the risk of tumor spillage and subsequent peritoneal seeding. Our patient’s presentation was atypical, lacking the common symptoms typically associated with endometriosis.

A review of the literature revealed only a handful of published case reports documenting endometriotic cysts of this size. While some documented cases of giant extra-pelvic endometriomas exist, these masses usually have a clear origin, often from the ovary, and may have identifiable feeding blood vessels contributing to their growth.5,7,10 In contrast, our patient’s intraoperative evaluation revealed no clear origin for the mass and no identifiable feeding vessels.

Conclusion

This case report presents a unique manifestation of a common disease. It represents the first documented case of a free-floating intra-abdominal endometriotic cyst lacking an obvious origin or feeding blood vessels.

Lessons Learned

A broad differential diagnosis should be considered when evaluating abdominal masses in women of reproductive age. Endometriosis is a potential cause, affecting up to 10% of women in this age group. Ultrasound, including both transvaginal and transabdominal approaches, is a recommended diagnostic tool for suspected endometriosis. However, it is important to note that preoperative symptoms and imaging findings in endometriosis can often be nonspecific. Additionally, there are currently no reliable biomarkers available for diagnosing endometriosis.

Large endometriotic cysts, particularly those exceeding 15 cm in ovarian tissue, are rare. These large cysts are associated with an increased risk of malignancy. Surgical intervention for such cases should be specifically designed to minimize the risk of tumor spillage and subsequent peritoneal seeding.

Authors

Poon Da; Kaupp Sa; Abdel-Misih Sb; Bai Kc

Author Affiliations

  1. General Surgery Residency Program, Stony Brook University Hospital, Stony Brook, NY 11794
  2. Division of Surgical Oncology, Stony Brook University Hospital, Stony Brook, NY 11794
  3. Department of Pathology, Stony Brook University Hospital, Stony Brook, NY 11794

Corresponding Author

Danny Poon, MD
General Surgery Residency Program
Stony Brook Medicine/University Hospital
Stony Brook, NY 11794
Email: danny.poon@stonybrookmedicine.edu

Disclosure Statement

The authors have no conflicts of interest to disclose.

Funding/Support

The authors have no relevant financial relationships or in-kind support to disclose.

Received: August 27, 2022
Accepted: February 1, 2023

References

  1. Flyckt R, Kim S, Falcone T. Surgical Management of Endometriosis in Patients with Chronic Pelvic Pain. Semin Reprod Med. 2017;35(1):54-64. doi:10.1055/s-0036-1597306
  2. Zondervan KT, Becker CM, Missmer SA. N Engl J Med. 2020;382(13):1244-1256. doi:10.1056/NEJMra1810764
  3. Naem A, Shamandi A, Al-Shiekh A, Alsaid B. Free large sized intra-abdominal endometrioma in a postmenopausal woman: a case report. BMC Womens Health. 2020;20(1):190. Published 2020 Sep 3. doi:10.1186/s12905-020-01054-x
  4. Brigham and Women's Hospital. Deeply Infiltrating Endometriosis. [Last Reviewed August 01, 2022] Retrieved July 27, 2022 from https://www.brighamandwomens.org/obgyn/infertility-reproductive-surgery/endometriosis/deeply-infiltrative-endometriosis
  5. Yaşar L, Süha Sönmez A, Galip Zebitay A, et al. Huge ovarian endometrioma—a case report. Gynecol Surg. 2010;7:365-367. doi: 10.1007/s10397-009-0482-6
  6. Pearce CL, Templeman C, Rossing MA, et al. Association between endometriosis and risk of histological subtypes of ovarian cancer: a pooled analysis of case-control studies. Lancet Oncol. 2012;13(4):385-394. doi:10.1016/S1470-2045(11)70404-1
  7. Missmer SA, Hankinson SE, Spiegelman D, Barbieri RL, Marshall LM, Hunter DJ. Incidence of laparoscopically confirmed endometriosis by demographic, anthropometric, and lifestyle factors. Am J Epidemiol. 2004;160(8):784-796. doi:10.1093/aje/kwh275
  8. Hediger ML, Hartnett HJ, Louis GM. Association of endometriosis with body size and figure. Fertil Steril. 2005;84(5):1366-1374. doi:10.1016/j.fertnstert.2005.05.029
  9. Becker CM, Bokor A, Heikinheimo O, et al. ESHRE guideline: endometriosis. Hum Reprod Open. 2022;2022(2):hoac009. Published 2022 Feb 26. doi:10.1093/hropen/hoac009
  10. Capaccione KM, Levin M, Tchabo N, Darcey J, Amorosa J. Massive endometrioma presenting with dyspnea and abdominal symptoms. Radiol Case Rep. 2017;12(4):741-745. Published 2017 Jul 24. doi:10.1016/j.radcr.2017.06.009