Unsupported Browser
The American College of Surgeons website is not compatible with Internet Explorer 11, IE 11. For the best experience please update your browser.
Menu
Become a member and receive career-enhancing benefits

Our top priority is providing value to members. Your Member Services team is here to ensure you maximize your ACS member benefits, participate in College activities, and engage with your ACS colleagues. It's all here.

Become a Member
Become a member and receive career-enhancing benefits

Our top priority is providing value to members. Your Member Services team is here to ensure you maximize your ACS member benefits, participate in College activities, and engage with your ACS colleagues. It's all here.

Become a Member
ACS
ACS Case Reviews

Abdominal Leiomyoma in a 52-Year-Old Male: A Rare Abdominal Mass

December 19, 2024

Abstract

Background

A 52-year-old male presented to the emergency department with progressive left lower quadrant and suprapubic abdominal pain as well as a five-day history of decreased oral intake and constipation.

Summary

Initial imaging identified a large abdominal cystic mass. A multidisciplinary team discussion recommended surgical resection. Exploration revealed a giant, calcified cystic lesion originating from the small bowel. The mass and a segment of the small bowel were resected. Final pathology revealed a 20 × 16 × 6 cm spindle cell lesion with no concerning features (atypia or high mitotic rate, <1 mitosis per 5.0 mm2). Immunohistochemistry confirmed smooth muscle differentiation with positive staining for SMA, MSA, and desmin. Negative staining for S-100, CD117, and DOG1 further supported the diagnosis. The Ki-67 proliferation index was less than 1%. This case presentation highlights the rare occurrence of intraabdominal leiomyoma in a male patient.

Conclusion

This case report underscores the atypical presentation of leiomyoma in a male patient, a scenario distinct from the usual predilection for female reproductive and gastrointestinal tracts. This unique occurrence creates distinct surgical challenges that require careful consideration during the operative approach.

Key Words

abdominal leiomyoma; leiomyoma; fibroid; cystic lesion


Case Description

Leiomyomas, also known as fibroids, are common benign mesenchymal tumors typically arising in the gastrointestinal tract1 and the female reproductive system.2 These soft tissue tumors typically present as large, well-circumscribed masses with a fibrous pseudocapsule.3 Leiomyomas in males, particularly those originating from the small bowel within the abdominal cavity, are exceptionally rare.4 This report details the unusual case of a giant leiomyoma identified in the abdominal cavity of a 52-year-old male patient.

A 52-year-old man with poorly controlled type 2 diabetes mellitus presented to the emergency department with a five-day history of progressive, worsening left lower quadrant abdominal pain. Three days prior, an outside hospital identified an abdominal mass on imaging, but due to limited clinical findings, he was discharged for outpatient oncology follow-up. Over the subsequent two days, the pain worsened in the left lower quadrant and suprapubic region. He described it as sharp, stabbing, and constant, with no alleviating or aggravating factors. He reported early satiety and constipation but denied nausea, vomiting, fever, or chills. He acknowledged unintentional weight gain over the past few months, attributing it to dietary habits. Surgical history was significant for a remote lumbar decompression, and his past medical history was otherwise unremarkable.

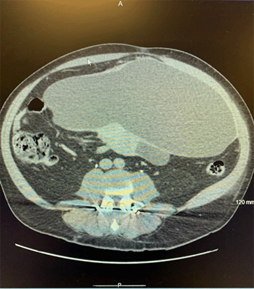
Physical examination revealed a distended abdomen with focal tenderness in the left lower quadrant and hypogastric region. A soft mass was readily palpable in this area. Abdominopelvic CT scan identified a large (30 × 14 × 17 cm) cystic mass with areas of calcification arising from either the mesentery and/or the distal small bowel (Figure 1).

Figure 1. Abdominopelvic CT Scan of Giant Cystic Mass. Published with Permission

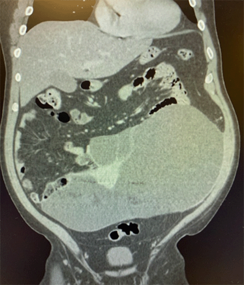
Following multidisciplinary discussion with radiology, medical oncology, and surgical oncology, written informed consent was obtained for open surgical exploration and excision of the abdominal mass. Upon laparotomy, a large, thin-walled cystic mass occupying the entire lower abdomen was readily identified (Figure 2). The lesion appeared intact without foul odor or evident fluid, suggesting no gross rupture. However, a localized inflammatory reaction between the mass and the left lower abdominal wall indicated possible ongoing perforation, which correlated with the patient’s clinical presentation and physical exam findings. Minor omental attachments were noted, but no gross invasion of surrounding tissues was observed. This allowed for blunt dissection and complete removal of the intact mass from the abdomen. The base of the lesion exhibited focal adherence to the antimesenteric border of the small bowel, approximately 15 cm proximal to the terminal ileum. In this location, the predominantly cystic mass harbored a small region containing solid components. Given the proximity to the small bowel and potential malignancy, an en bloc resection of the involved small bowel segment with subsequent standard small bowel anastomosis was performed. Exploration of the remaining abdominal cavity revealed no further abnormalities. The abdomen was closed in layers with staple closure of the skin incision.

Figure 2. Laparotomy Findings. Published with Permission

Large, cystic lesion with calcified components adherent to the small bowel muscularis propria
Large, cystic lesion with calcified components adherent to the small bowel muscularis propria

The patient’s postoperative course was uneventful, with discharge on postoperative day four. Gross examination revealed a spindle cell lesion measuring at least 20 × 16 × 6 cm arising from the small bowel muscularis propria. The mitotic rate was low (<1 per 5.0 mm2). Immunohistochemical staining demonstrated positivity for smooth muscle actin (SMA), muscle-specific actin (MSA), and desmin, confirming smooth muscle differentiation. The lesion was negative for S-100, CD117, and DOG1, excluding other mesenchymal tumors. Ki-67 proliferation index was less than 1%, further supporting a benign classification. Based on these findings, the diagnosis of leiomyoma was confirmed. At follow-up, the patient’s incision site showed good healing, and he had resumed his regular activities.

Discussion

Leiomyomas, benign mesenchymal tumors with smooth muscle differentiation,1 are more commonly encountered in the female reproductive tract,4 particularly the uterus, where they can cause a spectrum of symptoms including abnormal uterine bleeding, pelvic pressure, and dysfunction of neighboring organs.1,2,4 However, they can also arise within the gastrointestinal (GI) tract, often remaining asymptomatic.1,6

GI leiomyomas can manifest with various symptoms depending on their location and size. Esophageal leiomyomas may cause dysphagia, while gastric leiomyomas can present with epigastric pain, GI bleeding, or even mucosal ulcerations. Intestinal leiomyomas may lead to bowel dysfunction.1,6,7 Risk factors for leiomyomas include race, age, early menarche, and obesity.5

Treatment for leiomyomas depends on several factors, including the tumor’s size, location within the affected organ, and the patient’s characteristics.2 In the female reproductive tract, treatment for uterine fibroids is individualized and may include medications or surgery depending on factors like tumor size and location.2 However, within the GI tract, surgical resection is the mainstay of therapy for esophageal, intestinal, and gastric leiomyomas due to their potential for causing luminal obstruction or bleeding.6,7 Generally, GI tract leiomyomas exhibit little to no malignant potential.1

Male abdominal leiomyomas are exceptionally rare. A 2015 literature review identified only eight cases characterized by presentation in younger men with large tumors exhibiting low mitotic activity and minimal cellular atypia. Immunohistochemical staining in these cases revealed SMA and desmin positivity in 7 out of 8 patients.4 A recent report described a pelvic leiomyoma in a male causing obstructive uropathy. Immunohistochemical analysis showed desmin positivity but negativity for S-100, CD117, and CD34.8 These findings align with our patient’s immunohistochemical profile, further supporting the diagnosis of a small bowel-derived intraabdominal leiomyoma.

Microscopic examination of leiomyomas typically reveals a well-circumscribed lesion composed of spindle cells with eosinophilic cytoplasm and characteristic cigar-shaped nuclei. Hematoxylin and eosin (H&E) staining demonstrates these cells arranged in fascicular bundles with minimal mitotic activity.9 This finding was consistent with the histopathological features observed in our patient’s case.

The differential diagnosis for an abdominal leiomyoma includes malignant mimics like leiomyosarcoma, gastrointestinal stromal tumors (GISTs), and benign entities such as parasitic leiomyomas,10 retroperitoneal leiomyomatosis,3 and desmoid tumors/fibromatosis.11 Criteria for benign smooth muscle lesions of the uterus include tissues that exhibit no cell atypia or necrosis, have a decreased mitotic rate, and are well-circumscribed. If mitotic figures, cell necrosis, or cellular atypia had been present in this specimen, leiomyosarcoma would have been more likely.12 Gastrointestinal stromal tumors are mesenchymal tumors found within the GI tract. These tumors also take on a spindle-shaped morphology; however, they are generally CD117 positive13 (this case was negative). Parasitic leiomyomas are described as tumors that adhere to adjacent structures, neovascularize, and dissociate from the uterus. Retroperitoneal leiomyomatosis is primarily found in women who are concomitantly diagnosed with uterine fibroids. The etiology of retroperitoneal leiomyomatosis remains elusive. Two main hypotheses exist: hormonal stimulation of residual smooth muscle cells and development from embryonic rests.14 Desmoid tumors are described as fibroblastic proliferations found within soft tissues that have a high risk of recurrence but lack the ability to metastasize. Microscopically, they show a heterogeneous proliferation of spindle cells with weak encapsulation and positive immunostaining for B-catenin, vimentin, Cox2, c-KIT, and PDGFRb.11

Immunohistochemistry plays a crucial role in differentiating benign from malignant myometrial tumors. Ki-67, a marker expressed during the proliferative cell cycle, is often elevated in aggressive tumors.12 The low Ki-67 value (<1%) in this case suggests a more indolent pathology. While some studies report estrogen and progesterone receptor positivity in myometrial tumors,4 these receptors were not specifically evaluated in this case. Additionally, CD34 immunohistochemistry could have provided further insights. CD34 positivity is characteristic of solitary fibrous tumors, typically arising in suprafascial locations. Previously classified as pleomorphic sarcomas or myofibrosarcomas, CD34-positive tumors exhibit higher mitotic activity and Ki-67 expression compared to fibroblastic tumors.15

While numerous treatment options exist for uterine fibroids in females, the presentation in this case—a giant abdominal mass causing obstructive symptoms in a male patient—necessitated surgical intervention. Considering the mass size and its proximity to surrounding structures, the interventional radiologist deemed an image-guided biopsy unsafe. Therefore, surgery with both diagnostic and curative intent was undertaken.

The definitive diagnosis achieved through surgery allowed for curative resection, eliminating the need for further adjuvant therapy.2 The patient’s postoperative course has been uneventful. Due to the rarity of this presentation, established surveillance guidelines are currently lacking in the literature.

Our case highlights the negative consequences of delayed definitive treatment for a large intraabdominal mass. The initial decision by the outside hospital to discharge the patient without a comprehensive workup resulted in a subsequent emergency department visit, repeat imaging, and additional healthcare expenditure. While cost minimization is an important consideration, it should not overshadow the human cost of delayed care. The emotional burden and potential complications associated with such delays warrant a more thorough initial evaluation.

Conclusion

As highlighted earlier, abdominal leiomyomas are exceptionally rare in males. This case presentation showcases a unique cause for abdominal pain, bowel obstruction, and abdominal masses. The surgical resection served a dual purpose of diagnosis and treatment. While the rarity of this condition in males may limit extensive research, existing treatment strategies for uterine, esophageal, and gastric leiomyomas suggest that surgical resection is likely curative for symptomatic intraabdominal leiomyomas as well.

Lessons Learned

While intraabdominal masses are often evaluated in outpatient settings, the rapid growth and concerning presentation in this case warranted urgent care and a more thorough workup. This case emphasizes the importance of considering a broad differential diagnosis regardless of patient gender. Duplicate laboratory tests and imaging due to prior hospital discharge illustrate the potential drawbacks of fragmented care. A more streamlined inpatient workup might have facilitated earlier diagnosis and definitive surgical intervention, potentially reducing healthcare costs and patient burden.

Authors

Phillips TLa; Frey AMb; Christopher TLc

Author Affiliations

  1. Edward Via College of Osteopathic Medicine, Auburn, AL 36832
  2. Brookwood Baptist Health Systems, Birmingham, AL 35209
  3. Grandview Medical Center, Birmingham, AL 35243

Corresponding Author

Taylor L. Phillips, OMS-III
910 S. Donahue Drive
Auburn, AL 36832
Email: tphillips@auburn.vcom.edu

Disclosure Statement

The authors have no conflicts of interest to disclose.

Funding/Support

The authors have no relevant financial relationships or in-kind support to disclose.

Received: November 13, 2021
Revision received: February 1, 2022
Accepted: February 7, 2022

References

  1. Sbaraglia M, Businello G, Bellan E, Fassan M, Dei Tos AP. Mesenchymal tumours of the gastrointestinal tract. Pathologica. 2021;113(3):230-251. doi:10.32074/1591-951X-309
  2. De La Cruz MS, Buchanan EM. Uterine Fibroids: Diagnosis and Treatment. Am Fam Physician. 2017;95(2):100-107.
  3. Nasta A, Nandy K, Bansod Y. An Unusual Case of Abdominal Leiomyoma Presenting as a Free Lying Intraperitoneal Mass in an Elderly Gentleman. Case Rep Surg. 2016;2016:1714958. doi:10.1155/2016/1714958
  4. Wang X, Ren J, Chen G, Xu S. Giant abdominal leiomyoma of male: a case report and literature reviews. Int J Clin Exp Pathol. 2015;8(7):8532-8535. Published 2015 Jul 1.
  5. Donnez J, Dolmans MM. Uterine fibroid management: from the present to the future. Hum Reprod Update. 2016;22(6):665-686. doi:10.1093/humupd/dmw023
  6. A-Lai GH, Hu JR, Yao P, Lin YD. Surgical Treatment for Esophageal Leiomyoma: 13 Years of Experience in a High-Volume Tertiary Hospital. Front Oncol. 2022;12:876277. Published 2022 Apr 11. doi:10.3389/fonc.2022.876277
  7. Tarcoveanu E, Bradea C, Dimofte G, Ferariu D, Vasilescu A. Laparoscopic wedge resection of gastric leiomyoma. JSLS. 2006;10(3):368-374.
  8. Singh SK, Kafle A, Karkee RJ, Irfan QA, Pradhan A, Pandit N. Primary Leiomyoma of the Pelvis Complicated by Obstructive Uropathy: a Rare Entity in an Adult Male. Indian J Surg Oncol. 2020;11(Suppl 2):237-239. doi:10.1007/s13193-020-01194-4
  9. Brioso Rubio X, Beal SG, Ross JA, Kresak J. Educational Case: Smooth Muscle Tumors of the Uterus. Acad Pathol. 2020;7:2374289520932285. Published 2020 Jun 19. doi:10.1177/2374289520932285
  10. Miettinen M. Smooth muscle tumors of soft tissue and non-uterine viscera: biology and prognosis. Mod Pathol. 2014;27 Suppl 1(Suppl 1):S17-S29. doi:10.1038/modpathol.2013.178
  11. Garcia-Ortega DY, Martín-Tellez KS, Cuellar-Hubbe M, et al. Desmoid-Type Fibromatosis. Cancers (Basel). 2020;12(7):1851. Published 2020 Jul 9. doi:10.3390/cancers12071851
  12. Rubisz P, Ciebiera M, Hirnle L, et al. The Usefulness of Immunohistochemistry in the Differential Diagnosis of Lesions Originating from the Myometrium. Int J Mol Sci. 2019;20(5):1136. Published 2019 Mar 6. doi:10.3390/ijms20051136
  13. Miettinen M, Lasota J. Gastrointestinal stromal tumors: review on morphology, molecular pathology, prognosis, and differential diagnosis. Arch Pathol Lab Med. 2006;130(10):1466-1478. doi:10.5858/2006-130-1466-GSTROM
  14. Fasih N, Prasad Shanbhogue AK, Macdonald DB, et al. Leiomyomas beyond the uterus: unusual locations, rare manifestations. Radiographics. 2008;28(7):1931-1948. doi:10.1148/rg.287085095
  15. Carter JM, Weiss SW, Linos K, DiCaudo DJ, Folpe AL. Superficial CD34-positive fibroblastic tumor: report of 18 cases of a distinctive low-grade mesenchymal neoplasm of intermediate (borderline) malignancy. Mod Pathol. 2014;27(2):294-302. doi:10.1038/modpathol.2013.139