Unsupported Browser
The American College of Surgeons website is not compatible with Internet Explorer 11, IE 11. For the best experience please update your browser.
Menu
Become a member and receive career-enhancing benefits

Our top priority is providing value to members. Your Member Services team is here to ensure you maximize your ACS member benefits, participate in College activities, and engage with your ACS colleagues. It's all here.

Become a Member
Become a member and receive career-enhancing benefits

Our top priority is providing value to members. Your Member Services team is here to ensure you maximize your ACS member benefits, participate in College activities, and engage with your ACS colleagues. It's all here.

Become a Member
ACS
ACS Case Reviews

Incidentally Discovered Gallbladder Neuroendocrine Tumor following Robotic-Assisted Laparoscopic Cholecystectomy for Acute Cholecystitis

October 10, 2024

Abstract

Background

A 51-year-old man with a medical history significant for gastroesophageal reflux disease (GERD), gout, hyperlipidemia, anxiety, insomnia, chronic fatigue, and syncope presented with right upper quadrant pain, nausea, and vomiting. The patient underwent cholecystectomy and was found to have a gallbladder neuroendocrine tumor.

Summary

Neuroendocrine tumors are neoplasms most identified in the gastrointestinal tract, lung, and pancreas. Gallbladder neuroendocrine tumors are exceedingly rare, with few cases reported in the literature. The patient, a 51-year-old man, underwent robotic-assisted laparoscopic cholecystectomy for presumed acute cholecystitis. He lacked any clinical features suggestive of carcinoid syndrome, a hallmark of functional neuroendocrine tumors.

Intraoperative gross examination failed to reveal any concerning signs. However, subsequent pathological analysis identified a solitary polypoid lesion on the superficial wall of the gallbladder near the cystic duct. Multiple yellow stones were also present.

Immunohistochemical staining confirmed the diagnosis of a WHO grade 1 GNET, positive for synaptophysin and chromogranin—notably, one axillary lymph node displayed features concerning for metastasis. A multidisciplinary tumor board recommended close monitoring of this lymph node with serial CT scans and referred the patient to oncology for long-term management.

Conclusion

Given the potential for rare pathologies like gallbladder neuroendocrine tumors (GB-NETs), thorough pathological evaluation of all gallbladder specimens remains paramount. GB-NETs necessitate a multimodal treatment approach, encompassing surgery, chemotherapy, radiation or radionuclide therapy, and targeted therapy. For low-grade tumors, surgery is the mainstay therapy, with long-term imaging follow-up essential for monitoring potential recurrence. Early detection and intervention are crucial for improving survival outcomes in GB-NETs due to their aggressive nature.

Key Words

laparoscopic; robotic surgery; mass; hepatobiliary


Case Description

Neuroendocrine tumors (NETs) present as a rare group of malignancies arising from various body sites. Gallbladder neuroendocrine tumors (GB-NETs) are especially rare, lacking a standardized diagnostic and treatment protocol. Diagnosis often occurs incidentally, as observed in this case. Management strategies are primarily dictated by the World Health Organization (WHO) tumor grade and the presence of metastasis. Lower-grade tumors typically warrant surgical resection, while higher-grade presentations with lymphovascular invasion or distant spread favor medical management.

This case report delves into a patient diagnosed with a WHO grade 1 GB-NET, a rare entity with limited documented cases in the literature. We aim to review the current understanding of GB-NETs and explore treatment options employed in similar reported cases.

A 51-year-old man with a medical history of GERD, gout, hyperlipidemia, anxiety, insomnia, chronic fatigue, and recurrent syncope (three episodes in the past year) presented to the emergency department (ED) with right upper quadrant (RUQ) pain, nausea, and vomiting. Physical examination revealed RUQ tenderness. Laboratory workup showed leukocytosis (white blood cell count of 15.13 K/uL). RUQ ultrasound identified gallstones within the gallbladder neck along with gallbladder wall thickening, consistent with acute cholecystitis. Consequently, the patient underwent robotic-assisted laparoscopic cholecystectomy utilizing Firefly technology. The resected gallbladder specimen was sent for pathological evaluation.

Figure 1. Intraoperative View of Inflamed Gallbladder during Robotic-Assisted Laparoscopic Cholecystectomy with Firefly Visualization. Published with Permission

Macroscopic examination of the resected gallbladder revealed multiple yellow calculi and a separate 0.8 × 0.6 × 0.3 cm grey-to-green polypoid lesion located 2.0 cm from the cystic duct margin. This lesion was confined to the superficial layer of the gallbladder wall. Pathologic evaluation confirmed complete resection with negative margins, and no evidence of lymphovascular invasion or increased mitotic activity was observed. The tumor displayed well-differentiated features with a Ki-67 proliferation index of less than 2%, consistent with a WHO grade 1 NET. Immunohistochemistry demonstrated positive staining for cytokeratin pool, synaptophysin, and chromogranin, further supporting the diagnosis of a NET.

Postoperative labs identified an elevated chromogranin A concentration of 106 (normal range: 0-103). Neuron-specific enolase (NSE) was not included in the initial testing. A follow-up CT scan of the chest, abdomen, and pelvis revealed a concerning finding: a 1.1 × 0.8 cm lymph node in the left axilla, suggestive of potential metastasis. The patient’s case was presented to the multidisciplinary tumor board, leading to a referral to oncology for further evaluation and treatment. A subsequent PET-CT scan using [64Cu]Dotatate was performed, which showed no evidence of somatostatin receptor-positive disease.

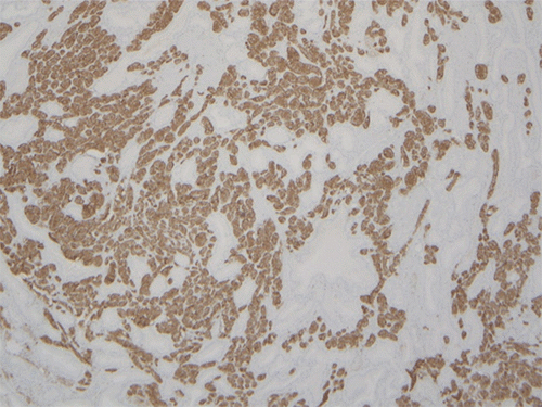
Figure 2: Histological Analysis of Gallbladder Tissue. Published with Permission

Hematoxylin and eosin (H&E) staining
Hematoxylin and eosin (H&E) staining
Synaptophysin immunohistochemical staining
Synaptophysin immunohistochemical staining

Figure 3. Postoperative Chest and Abdominal CT Scan. Published with Permission

Images demonstrate an enlarged lymph node in the left axilla (1.1 × 0.8 cm), raising concern for metastasis
Images demonstrate an enlarged lymph node in the left axilla (1.1 × 0.8 cm), raising concern for metastasis

Discussion

Gallbladder neuroendocrine tumors GB-NETs are a rare malignancy, constituting only 0.5% of all NETs and 1-5% of gastrointestinal NETs.1,2 While the majority of NETs originate in the GI tract (particularly the lung and pancreas), GB-NETs are exceptional and typically present without the characteristic carcinoid syndrome seen in roughly 1% of cases.2

According to the Surveillance, Epidemiology, and End Results (SEER) program, gallbladder NETs comprise 0.5% of NETs and 2.1% of all gallbladder tumors.3 A 10-year analysis revealed a median age of 67 years at diagnosis and a low median survival rate of 10.8 months for gallbladder carcinoma.4 Certain genetic disorders, including multiple endocrine neoplasia, Von Hippel-Lindau disease, tuberous sclerosis, and neurofibromatosis, predispose individuals to developing neuroendocrine tumors.

These tumors are often identified incidentally on imaging studies. In cases with metastasis, clinical presentation can range from non-specific constitutional symptoms suggestive of malignancy to specific signs arising from a functional tumor (e.g., carcinoid syndrome, hypoglycemia). Diagnosis is usually confirmed by immunohistochemistry, where tumor cells typically demonstrate reactivity to chromogranin and synaptophysin. Furthermore, pathological evaluation is crucial in determining tumor grade and other relevant clinical characteristics.

Management of GB-NETs involves surgery and chemotherapy, with the extent determined by tumor stage. Well-differentiated, low-grade tumors favor surgical intervention. A study by Liu et al. suggested that cholecystectomy with gallbladder bed cautery might be sufficient for T1bN0M0 GB-NETs.5 However, the optimal surgical approach remains under debate. Lee et al. advocate for simple cholecystectomy as the preferred treatment for T1a (mucosa) and T1b (muscularis) stages.6

Beyond surgery, various treatment modalities exist for GB-NETs:

  • Chemotherapy: Employs different chemotherapeutic agents.
  • Radiation therapy: Targets the tumor directly.
  • Targeted therapy: Utilizes medications like everolimus, approved for gastrointestinal (GI) NETs.
  • Peptide receptor radionuclide therapy: Utilizes radioisotopes like 177Lu-dotatate, specifically approved for advanced GI-NETs.

The liver, the most common metastatic site for GB cancer, offers treatment options including:

  • Radiofrequency ablation (RFA): Destroys tumors using heat.
  • Hepatic artery embolization: Blocks blood supply to the tumor.
  • Radioembolization: Delivers radioactive material directly to the tumor via the hepatic artery, often using Yttrium-90.

GB-NETs generally exhibit a poor prognosis due to presentation at advanced stages with established metastasis. However, for low-grade tumors like this case, early surgical excision demonstrates promising outcomes with minimal recurrence rates. While studies directly addressing GB-NET lymph node metastasis are lacking, we can infer from evidence from small bowel NETs (particularly duodenal NETs) that resection of metastatic lymph nodes is crucial for improved survival, especially in this aggressive disease.7,8 This is further emphasized by the fact that biliary NETs are typically detected at later stages and often present with higher grades. Analysis of biliary NETs specifically revealed that grade 3 GB-NETs are associated with a significantly poorer prognosis regarding both progression-free and overall survival.9

Routine follow-up with serial imaging is generally recommended for all neuroendocrine tumors, irrespective of the disease stage. In this case, the patient will undergo regular imaging studies to monitor the axillary lymph node and other potential findings.

Conclusion

GB-NETs represent a rare and aggressive malignancy. Prognosis is significantly worse for patients diagnosed with advanced stage tumors. Currently, no standardized approach exists for the detection, evaluation, or management of GB-NETs. In cases of chronic cholecystitis or cholelithiasis that undergo cholecystectomy, gallbladder specimens should be evaluated for abnormalities, including tumors, as this is the most common method for detecting these malignancies.

Lessons Learned

For well-differentiated, low-grade tumors like the one presented in this case, cholecystectomy appears to be a sufficient treatment approach. Therefore, meticulous pathological evaluation of gallbladders during surgical procedures is crucial for the early detection of these uncommon malignancies, potentially leading to improved patient outcomes.

Authors

Parker DRa; Zarour LRb

Author Affiliations

  1. Western University of Health Sciences College of Osteopathic Medicine of the Pacific Northwest, Lebanon, OR 97355
  2. Department of General Surgery, Legacy Medical Group, Gresham, OR 97030

Corresponding Author

Luai R. Zarour, MD
Legacy Medical Group General Surgery
24800 SE Stark Street
Gresham, OR 97030
Email: lrzarour@lhs.org

Disclosure Statement

The authors have no conflicts of interest to disclose.

Funding/Support

The authors have no relevant financial relationships or in-kind support to disclose.

Received: April 24, 2022
Revision received: August 3, 2022
Accepted: September 6, 2022

References

  1. Hussain I, Sarvepalli D, Zafar H, Jehanzeb S, Ullah W. Neuroendocrine Tumor: A Rare, Aggressive Tumor of the Gallbladder. Cureus. 2019;11(9):e5571. Published 2019 Sep 5. doi:10.7759/cureus.5571
  2. Eltawil KM, Gustafsson BI, Kidd M, Modlin IM. Neuroendocrine tumors of the gallbladder: an evaluation and reassessment of management strategy. J Clin Gastroenterol. 2010;44(10):687-695. doi:10.1097/MCG.0b013e3181d7a6d4
  3. Yao JC, Hassan M, Phan A, et al. One hundred years after "carcinoid": epidemiology of and prognostic factors for neuroendocrine tumors in 35,825 cases in the United States. J Clin Oncol. 2008;26(18):3063-3072. doi:10.1200/JCO.2007.15.4377
  4. Duffy A, Capanu M, Abou-Alfa GK, et al. Gallbladder cancer (GBC): 10-year experience at Memorial Sloan-Kettering Cancer Centre (MSKCC). J Surg Oncol. 2008;98(7):485-489. doi:10.1002/jso.21141
  5. Liu W, Chen W, He X, Qu Q, Hong T, Li B. Cholecystectomy with gallbladder bed cautery might be sufficient for T1bN0M0 neuroendocrine carcinoma of gallbladders: Cases report and literature review. Medicine (Baltimore). 2017;96(47):e8778. doi:10.1097/MD.0000000000008778
  6. Lee SE, Jang JY, Lim CS, Kang MJ, Kim SW. Systematic review on the surgical treatment for T1 gallbladder cancer. World J Gastroenterol. 2011;17(2):174-180. doi:10.3748/wjg.v17.i2.174
  7. Shoushtari AN, Bluth MJ, Goldman DA, et al. Clinical features and response to systemic therapy in a historical cohort of advanced or unresectable mucosal melanoma. Melanoma Res. 2017;27(1):57-64. doi:10.1097/CMR.0000000000000306
  8. Moris D, Tsilimigras DI, Lim J, et al. Neuroendocrine carcinomas of the gallbladder: Lessons learnt from cases at opposite ends of the spectrum. J BUON. 2018;23(6):1922-1926.
  9. Lee KJ, Cho JH, Lee SH, et al. Clinicopathological characteristics of biliary neuroendocrine neoplasms: a multicenter study. Scand J Gastroenterol. 2017;52(4):437-441. doi:10.1080/00365521.2016.1261938