Unsupported Browser
The American College of Surgeons website is not compatible with Internet Explorer 11, IE 11. For the best experience please update your browser.
Menu
Become a member and receive career-enhancing benefits

Our top priority is providing value to members. Your Member Services team is here to ensure you maximize your ACS member benefits, participate in College activities, and engage with your ACS colleagues. It's all here.

Become a Member
Become a member and receive career-enhancing benefits

Our top priority is providing value to members. Your Member Services team is here to ensure you maximize your ACS member benefits, participate in College activities, and engage with your ACS colleagues. It's all here.

Become a Member
ACS
ACS Case Reviews

Tension Pneumoperitoneum after Percutaneous Endoscopic Gastrostomy Tube Placement

October 10, 2024

Abstract

Background

Benign pneumoperitoneum, which refers to the presence of air in the peritoneal cavity, is commonly observed after endoscopic procedures, occurring in up to 25% of cases following percutaneous endoscopic gastrostomy (PEG) placement. However, no documented cases of tension pneumoperitoneum occurring after PEG placement exist in the available literature.

Summary

A 31-year-old woman with a complex medical history, including obesity, recurrent pneumonia, and suspected myotonic dystrophy, presented with acute hypercapnic respiratory failure, requiring intubation. Her evaluation revealed bilateral immobile vocal folds, prompting tracheostomy placement and PEG tube insertion. However, complications arose during these procedures, as she developed tension pneumoperitoneum and respiratory distress. An exploratory laparoscopy revealed no evidence of gastric perforation or bowel injury. She recovered well postoperatively and was discharged to acute rehab. The exact cause of tension pneumoperitoneum remains unclear, highlighting the challenges of managing complex cases in patients with multiple comorbidities.

Conclusion

Tension pneumoperitoneum represents a potentially life-threatening condition that demands immediate recognition and intervention, even in cases with a low suspicion of intra-abdominal injury. This case emphasizes the importance of being alert and quickly diagnosing and treating this complication following PEG tube placements. Notably, timely intervention allowed for a minimally invasive laparoscopic approach rather than a more extensive laparotomy, underscoring the significance of early detection and appropriate surgical management in optimizing patient outcomes. Healthcare providers should be aware of the potential risks associated with PEG tube insertions, including this rare but serious complication, to ensure patient safety and effective care delivery.

Key Words

tension pneumoperitoneum; PEG tube; percutaneous endoscopic gastrostomy


Case Description

A 31-year-old woman was transferred to our institution from another hospital due to acute hypercapnic respiratory failure, which required intubation. Her medical history includes recurrent pneumonia, sleep apnea, morbid obesity (BMI of 43.4), depression, and suspected myotonic dystrophy. Upon evaluation by an ENT specialist using fiberoptic laryngoscopy, she was found to have bilateral immobile vocal folds in the abducted position, an impaired cough reflex, and hypophonic and aphonic vocal quality. Despite the possibility of using BiPAP after extubation, the ENT specialist decided to perform a tracheostomy due to her muscle weakness and expected progressive disease course. Concurrently, a general surgeon was consulted to insert a percutaneous endoscopic gastrostomy (PEG) tube to provide enteral access, given her dysphagia.

Approximately one week later, the patient was taken to the operating room (OR) for a combined procedure involving tracheostomy tube insertion performed by the ENT and PEG tube placement by the acute care surgery service. First, the ENT surgeon performed an open tracheostomy insertion using a size 6.0 Shiley XLT cuffed tracheostomy tube. Following the tracheostomy procedure, the acute care surgeon placed the PEG tube. The procedure began with the introduction of a gastroscope through the oropharynx down to the second part of the duodenum, with no abnormalities detected during examination. Once the future site for the PEG tube was identified, the abdominal wall was transilluminated to maneuver the insertion of the needle into the stomach under visual guidance. A guidewire was then passed through the needle and grasped with an endoscopic snare, which was subsequently pulled out through the esophagus and mouth.

The guidewire was secured to the external end of the feeding tube, which was then pulled through the mouth, esophagus, and stomach, finally exiting through the abdominal wall. Then, the gastroscope was reinserted into the stomach to confirm the positioning of the G-tube. The stomach was fully collapsed and then reinflated with CO2 to maintain the working space. The placement of the G-tube was confirmed to be optimal without any signs of bleeding.

Next, three T-fasteners were placed around the site of the PEG tube at the 4, 8, and 12 o’clock positions to secure it in place. No intraoperative complications were noted, although the patient exhibited mild distension with tympany after the PEG placement, likely due to insufflation during the procedure. An intraoperative esophagogastroduodenoscopy (EGD) decompression was performed to address this, which temporarily resolved the bloating. The estimated blood loss during the procedures was minimal (3cc), and the patient received 300cc of crystalloid fluid. Following the completion of the procedures, the patient was returned to the surgical intensive care unit (SICU) in stable condition.

Within 30 minutes of arrival to the SICU, the patient’s abdomen was noted to be distended and firm. Her peak inspiratory pressures (PIP) were elevated, ranging between 55 to 60, and she was hypoxic with oxygen saturation in the 70s and 80s. Arterial blood gas (ABG) revealed a pH of 7.32, PaCO2 of 70, and bicarbonate level of 35. The PAO2/FiO2 ratio was 87. A chest X-ray (CXR) (Figure 1) showed the tracheostomy tube placed in the right mainstem bronchus. An urgent bedside tracheostomy exchange was performed by the ENT, replacing the tube with a shorter one. A subsequent CXR also revealed pneumoperitoneum, with free air observed under both hemidiaphragm, a finding that was confirmed by abdominal X-ray (AXR) (Figure 2).

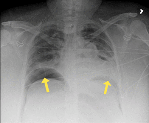
Figure 1. Postoperative Chest X-ray. Published with Permission

Right mainstem tracheostomy and free intraperitoneal air under bilateral hemidiaphragm is indicated
Right mainstem tracheostomy and free intraperitoneal air under bilateral hemidiaphragm is indicated

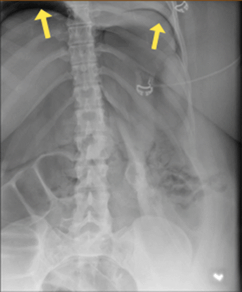
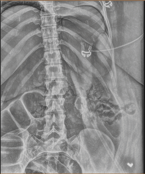
Figure 2. Postoperative Abdominal X-ray. Published with Permission

Imaging confirms the presence of free intraperitoneal air
Imaging confirms the presence of free intraperitoneal air

Immediate surgical intervention was deferred due to suspicion of benign pneumomediastinum with decompensation attributed to tracheostomy placement. After confirming proper tracheostomy exchange and placement, PIPs remained elevated with no improvement in the abdominal exam, revealing distension with associated firmness centrally in the epigastrum. Bladder pressure readings fluctuated between 75 and 63-65 with paralysis. White blood cell count was 6.7 without a left shift. Vitals were BP 116/72, HR 78, RR 14, SpO2 91%, and a temperature of 36.6°C, indicating hemodynamic stability. Potential diagnoses included occult injury, PEG tube dislodgement,  poor abdominal wall apposition by the stomach with leaking chyme, or bowel injury. While computed tomography (CT) scanning was considered, it was decided against due to indications for emergent exploration. The patient consented to diagnostic laparoscopy, with the potential for laparotomy, bowel resection, or perforation repair.

In the OR, upon entering the abdomen using an open Hassan for a 12-balloon port, a large rush of air was encountered, leading to an immediate improvement in PIPs, which is consistent with tension pneumoperitoneum. The PEG tube was noted to be in a good position within the stomach, and the mushroom was secured to the abdominal wall with T-fasteners. Insufflation using an orogastric tube during the case did not reveal any evidence of gastric perforation or through-and-through injury. There were no indications of injury to the omentum or colon. No free fluid, chyle, succus, or stool was visualized in any of the four abdominal quadrants. The surgery proceeded without any complications, and the patient experienced minimal blood loss, requiring only 200 cc of crystalloid. Postoperative disposition was stable on return to SICU.

On postoperative day 1, the patient was hemodynamically normal with normal PIPs and a softly distended abdomen. Tube feeding via PEG was initiated the following day and advanced to goal. The patient was later discharged to acute rehab.

Discussion

Percutaneous endoscopic gastrostomy (PEG) tube placement is a widely performed endoscopic procedure worldwide. Its primary goal is to establish enteral access for patients who cannot tolerate oral feeds. Typically, the procedure involves identifying the point where the stomach is closest to the abdominal wall using endoscopic transillumination and one-to-one indentation. The tube is then inserted through this site using methods such as “pull,” “push” (using a guidewire), or “introducer” (Russel) techniques.1

Major complications of PEG tube placement include bleeding, necrotizing fasciitis, buried bumper syndrome, and internal organ injury.1 All intra-abdominal organs are at some risk of injury during PEG tube placement. Visceral perforation is often identified via free air on abdominal X-rays. However, this study is of limited use in PEG tube placement due to the high occurrence of benign pneumoperitoneum.

Pneumoperitoneum, or air within the abdominal cavity, reflects visceral perforation in 85-95% of cases. On the other hand, benign pneumoperitoneum, which is not caused by perforation, can occur in up to 25% of cases following PEG tube placement. It often only requires conservative management.2 The etiology of development is not defined but likely related to high intragastric insufflation air pressures in relation to needle puncture of the abdominal wall and stomach, which may allow air to escape through the stomach and into the abdomen.3

Far less common is tension pneumoperitoneum, a type of intra-abdominal compartment syndrome characterized by pneumoperitoneum with signs of new organ dysfunction/failure, including gross abdominal distension, signs of peritonitis, and respiratory distress.4,5. Conceptually similar to a tension pneumothorax, this condition can be rapidly fatal, and prompt intervention with abdominal decompression is essential.5

Cadena et al. posit that intraperitoneal gas causing intra-abdominal compartment syndrome, defined by sustained intra-abdominal pressure of more than 20 mmHg with associated organ dysfunction by the World Society of the Abdominal Compartment Syndrome, offers a more objective definition.6 This is a rare condition with no associated epidemiological studies. A literature review revealed 13 case reports published as of 2019, seven of which were attributed to iatrogenic etiology. Tension pneumoperitoneum results from entrapment of large volumes of intraperitoneal air, which causes compression of the inferior vena cava, reduced venous return to the heart, splinting of the diaphragm compromising ventilation, poor intra-abdominal visceral perfusion, and kidney dysfunction resulting in oliguria and decreased GFR.7 Classical symptoms include abdominal distension with associated signs of cardiovascular collapse: respiratory distress, hypotension, and tachycardia.7

The diagnosis of tension pneumoperitoneum is mainly clinical, and consideration should always be given to other possible etiologies such as bleeding, visceral perforation, or tension pneumothorax. Imaging may confirm the presence of intra-abdominal free air in cases of uncertainty, but its utility in PEG tube placement is limited due to high rates of benign pneumoperitoneum.2 For patients exhibiting clinical signs of tension pneumoperitoneum (abdominal distension, peritonism, respiratory distress), evaluation of intra-abdominal pressure via the trans-bladder technique is the recommended modality to diagnose intra-abdominal compartment hypertension (>12 mm Hg).5 Once the diagnosis of intra-abdominal hypertension is established, confirmation is provided by clinical features of abdominal compartment syndrome (signs of new organ dysfunction/failure). Treatment of abdominal compartment syndrome is emergent decompression, with decompressive laparotomy recommended by the World Society of Abdominal Compartment Syndrome.5

Tension pneumoperitoneum, a rare complication often linked with endoscopic perforation, was not previously associated with PEG placement.8 Other reported etiologies of tension pneumoperitoneum include endobronchial ultrasound (EBUS) and pulmonary barotrauma. Kealey et al. documented a case in which tension pneumoperitoneum developed following percutaneous endoscopic gastrojejunostomy (PEGJ).9 They suggested that the tension pneumoperitoneum likely developed with air leakage around the gastrostomy balloon during the passage of the endoscope into the duodenum, a factor not typically encountered in standard PEG placement. The diagnosis was made when the patient showed immediate postoperative bradycardia and increased airway resistance, along with a tympanic abdomen and distension. The authors did not specify whether imaging or the trans-bladder technique was used to confirm the diagnosis. Emergency peritoneocentesis to relieve pressure was performed, resulting in immediate improvement without further complications.

Although the exact cause of this case remains unclear, we hypothesize that prolonged insufflation led to air leakage around the gastrostomy tube. This deviation from usual PEG tube placement procedures, possibly involving simultaneous tracheostomy or the use of T-fasteners via a flap-valve mechanism, could have contributed. Other possible considerations include the fact that this is the same etiology contributing to the high rates of benign pneumoperitoneum but with the added complication of tension physiology. It is plausible that the patient’s body habitus prevented proper sealing of the gastric and abdominal walls, allowing for an air leak into the abdominal cavity, exacerbated by T-fastener placement and prolonged insufflation.

While this is the first documented case of tension pneumoperitoneum following PEG tube placement, considering the widespread use of PEG tubes globally, healthcare providers must recognize the potential for this complication. They should maintain a heightened clinical suspicion when presented with symptoms indicative of intra-abdominal compartment syndrome. Timely diagnosis and proper management, including abdominal decompression, seem to result in resolution and uncomplicated recovery without acute sequelae. However, delaying management may lead to significant morbidity and mortality.5

Conclusion

This case represents the first reported instance of tension pneumoperitoneum following PEG tube placement. Tension pneumoperitoneum may be life-threatening, necessitating emergency intervention and abdominal decompression. It should thus be recognized as a potential complication associated with PEG tube insertions. Despite a low initial suspicion of intra-abdominal injury, the patient was promptly diagnosed and treated for tension pneumoperitoneum with no delays in care. Laparoscopic treatment was successfully employed, avoiding the need for a full laparotomy.

Lessons Learned

Clinicians should be aware that patients undergoing PEG tube placement may develop tension pneumoperitoneum to facilitate prompt and appropriate management.

Authors

Youssef Ga; Van Dover TJa; Bloom JAb; Bawazeer MAb

Author Affiliations

  1. Tufts University School of Medicine, Boston, MA 02111
  2. Department of Surgery, Tufts Medical Center, Boston, MA 02111

Corresponding Author

George Youssef, MD
Department of Surgery
Mount Sinai School of Medicine
5 E. 98th Street
Box 1259
New York, NY 10029
Email: gyouss01@gmail.com

Disclosure Statement

The authors have no conflicts of interest to disclose.

Funding/Support

The authors have no relevant financial relationships or in-kind support to disclose.

Received: October 25, 2021
Revision received: March 26, 2022
Accepted: April 5, 2022

References

  1. Rahnemai-Azar AA, Rahnemaiazar AA, Naghshizadian R, Kurtz A, Farkas DT. Percutaneous endoscopic gastrostomy: indications, technique, complications and management. World J Gastroenterol. 2014;20(24):7739-7751. doi:10.3748/wjg.v20.i24.7739
  2. Mularski RA, Sippel JM, Osborne ML. Pneumoperitoneum: a review of nonsurgical causes. Crit Care Med. 2000;28(7):2638-2644. doi:10.1097/00003246-200007000-00078
  3. Gottfried EB, Plumser AB, Clair MR. Pneumoperitoneum following percutaneous endoscopic gastrostomy. A prospective study. Gastrointest Endosc. 1986;32(6):397-399. doi:10.1016/s0016-5107(86)71919-6
  4. Jalali SM, Emami-Razavi H, Mansouri A. Gastric perforation after cardiopulmonary resuscitation. Am J Emerg Med. 2012;30(9):2091.e1-2091.e20912. doi:10.1016/j.ajem.2011.12.032
  5. Kirkpatrick AW, Roberts DJ, De Waele J, et al. Intra-abdominal hypertension and the abdominal compartment syndrome: updated consensus definitions and clinical practice guidelines from the World Society of the Abdominal Compartment Syndrome. Intensive Care Med. 2013;39(7):1190-1206. doi:10.1007/s00134-013-2906-z
  6. Cadena M, Solano J, Caycedo N, et al. Tension pneumoperitoneum: Case report of a rare form of acute abdominal compartment syndrome. Int J Surg Case Rep. 2019;55:112-116. doi:10.1016/j.ijscr.2019.01.014
  7. Das P, Mukherjee R, Pathak D, Gangopadhyay A, Halder S, Singh SK. Tension pneumoperitoneum: a very rare complication of acute gangrenous appendicitis. Ann R Coll Surg Engl. 2016;98(8):e197-e199. doi:10.1308/rcsann.2016.0240
  8. Denkler C, Sterbling HM, Seoudi H. Tension pneumoperitoneum following upper endoscopy. J Surg Case Rep. 2020;2020(11):rjaa401. Published 2020 Nov 12. doi:10.1093/jscr/rjaa401
  9. Kealey WD, McCallion WA, Boston VE. Tension pneumoperitoneum: a potentially life-threatening complication of percutaneous endoscopic gastrojejunostomy. J Pediatr Gastroenterol Nutr. 1996;22(3):334-335. doi:10.1097/00005176-199604000-00021