Unsupported Browser
The American College of Surgeons website is not compatible with Internet Explorer 11, IE 11. For the best experience please update your browser.
Menu
Become a member and receive career-enhancing benefits

Our top priority is providing value to members. Your Member Services team is here to ensure you maximize your ACS member benefits, participate in College activities, and engage with your ACS colleagues. It's all here.

Become a Member
Become a member and receive career-enhancing benefits

Our top priority is providing value to members. Your Member Services team is here to ensure you maximize your ACS member benefits, participate in College activities, and engage with your ACS colleagues. It's all here.

Become a Member
ACS
ACS Case Reviews

De Novo Small Bowel Obstruction Due to Meckel’s Diverticular Adhesion

October 10, 2024

Abstract

Background

A generally healthy 51-year-old woman presented with a sudden onset of small bowel obstruction, and diagnostic laparoscopy revealed a Meckel’s diverticulum with an adhesive band causing an internal hernia.

Summary

A 51-year-old patient presented to the emergency department (ED), experiencing right-sided abdominal pain, nausea, and vomiting. She had no history of prior abdominal surgeries or chronic medical conditions but did have a history of several congenital anomalies, including cleft palate and arcuate uterus. She reported experiencing severe pain, nausea, and vomiting localized to the right lower quadrant for one day without any associated diarrhea or constipation. Upon examination, she exhibited guarding in the right lower quadrant and diffuse abdominal tenderness. A computed tomography (CT) scan with intravenous (IV) contrast showed a normal appendix but revealed dilated loops of small bowel with a focal transition point suggestive of small bowel obstruction (SBO). Given her symptoms, physical exam findings, and CT scan results, we determined that surgical intervention was necessary, considering her lack of prior abdominal procedures.

Diagnostic laparoscopy revealed one adhesive band spanning from the apex of a Meckel’s diverticulum to a distant spot on the small bowel mesentery, forming a space causing internal herniation of a loop of small bowel.

While Meckel’s diverticulum is typically encountered at a young age and considered benign, this case report highlights the unusual occurrence of symptomatic Meckel’s diverticulum leading to de novo small bowel obstruction in adults.

Conclusion

In cases of de novo small bowel obstruction, it is crucial to consider Meckel’s diverticulum-related adhesions as a potential cause. This report details a unique instance of a 51-year-old woman experiencing obstruction due to an adhesion from a Meckel’s diverticulum. The case underscores the significance of diagnostic laparoscopy in diagnosing and addressing de novo small bowel obstruction.

Key Words

Meckel’s diverticulum; small bowel obstruction; laparoscopy; acute abdomen; adhesions; congenital abnormality


Case Description

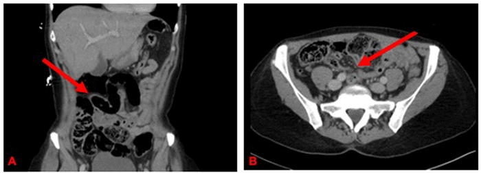
The patient, a 51-year-old female with a history of cleft palate and arcuate uterus and no previous abdominal surgeries, presented to the ED with sudden abdominal pain. The pain, which started five hours before the ED visit, was constant and maximal. She denied any prior history of similar episodes. She ate breakfast prior to the onset of pain but experienced intolerance to oral intake since and began dry heaving several hours prior to presentation. The patient did not endorse bowel irregularities. Physical examination revealed right lower quadrant guarding and widespread abdominal tenderness. Lab results, except for a lactate level of 2.7, were normal. A contrast-enhanced CT scan displayed mildly dilated distal small bowel loops with a focal transition point in the right lower quadrant, consistent with acute-on-chronic small bowel obstruction and a normal appendix (Figure 1).

Figure 1. Abdominpelvic CT Images. Published with Permission

Loops of mildly dilated distal small bowel with focal transition point in the right lower quadrant (denoted by arrows), in coronal (A) and axial (B) planes, consistent with acute-on-chronic small bowel obstruction
Loops of mildly dilated distal small bowel with focal transition point in the right lower quadrant (denoted by arrows), in coronal (A) and axial (B) planes, consistent with acute-on-chronic small bowel obstruction

The patient was started on crystalloid fluids for hydration, and due to a childhood history of cleft palate repair, the initiation of decompression with a nasogastric (NG) tube was deferred. Based on imaging and physical examination findings, diagnostic laparoscopy was considered the appropriate initial evaluation method. During laparoscopy, multiple dilated small bowel loops were observed. Further exploration revealed a dense adhesive band extending from an antimesenteric diverticulum to a point on the small bowel mesentery, causing an internal hernia with entrapped small bowel. The hernia contents were reduced, and the band was divided using electrocautery (Figure 2). Palpation of the diverticulum and adjacent bowel did not reveal an internal mass. A stapled diverticulectomy was performed on the soft and broad base of the diverticulum. Postoperatively, the patient progressed appropriately, experienced no additional pain requiring management, and was deemed suitable for discharge the next day. Final pathology confirmed benign enteric tissue, consistent with a Meckel’s diverticulum.

Figure 2. Intraoperative Laparoscopic Images. Published with Permission

Adhesive band originating from Meckel’s diverticulum and extending to the small bowel mesentery. In the initial view (A), the band forms an internal hernia, entrapping small bowel loops. Subsequent to division (B), the hernia is resolved
Adhesive band originating from Meckel’s diverticulum and extending to the small bowel mesentery. In the initial view (A), the band forms an internal hernia, entrapping small bowel loops. Subsequent to division (B), the hernia is resolved

Discussion

Meckel’s diverticulum, a true diverticulum resulting from incomplete vitelline duct obliteration during embryonic development,1,2 is the most prevalent congenital anomaly of the gastrointestinal tract.3 While the lifetime incidence rate of patient complications due to Meckel’s diverticulum is roughly 2-4%,4 over 50% of patients who develop complications are under ten years old. In adults, complicated Meckel’s diverticulum in adults is rare.5 Overall, the most common complications of Meckel’s diverticuli are inflammation, gastrointestinal bleeding, and small bowel obstruction.6 Among adults, intestinal obstruction is the most common complication, as seen in this patient.3,7

While most Meckel’s diverticuli in adults are incidentally discovered during abdominal surgery, complicated cases are rare and may manifest with a diverse range of symptoms.8 Plain radiographs may reveal a nonspecific intestinal obstruction or appear normal, while CT imaging can rarely distinguish between a diverticulum and intestinal loops.7 In children, scintigraphy with sodium 99mTcper technetate is the gold standard for diagnosing a Meckel’s diverticulum. In adults, however, scintigraphy is much less accurate due to the reduced prevalence of ectopic gastric mucosa within the diverticulum as well as the increased prevalence of other gastric disorders that can generate false positives.7,9

The lack of consistent clinical presentation and challenges in imaging detection make preoperative diagnosis of Meckel’s diverticulum difficult.10,11 Yamaguchi et al. found that only 6% of patients with complicated Meckel’s diverticulum were diagnosed preoperatively in their studies.5 Therefore, diagnostic laparoscopy becomes crucial in complicated Meckel’s diverticulum cases.10 While the necessity of resection is debated for incidentally discovered cases, surgical resection, including diverticulectomy via laparoscopic or open approaches, is the recommended treatment for symptomatic Meckel’s diverticulum.4,8 A 2005 Mayo Clinic review of 1476 patients suggested that simple diverticulectomy suffices for Meckel’s diverticula without evidence of a mass or other ectopic tissue.12 For cases of de novo SBO where abdominal entry is safe, laparoscopy offers a less invasive option, providing a comprehensive abdominal inspection, reducing postoperative pain, and potentially shortening hospital stays.13 In this case, a laparoscopic approach facilitated a simple surgical resolution for a benign condition.

Conclusion

We describe a case involving a 51-year-old woman who experienced de novo small bowel obstruction caused by a dense adhesion originating from a Meckel’s diverticulum. Small bowel obstruction is a prevalent complication in adults with Meckel’s diverticulum, and conventional imaging methods have limited diagnostic value in these cases. This instance underscores the significance of diagnostic laparoscopy and emphasizes the crucial role of surgical intervention in diagnosing and treating de novo small bowel obstruction.

Lessons Learned

While de novo small bowel obstructions necessitate exploration to exclude malignancy, it is crucial to consider other rare causes, such as Meckel’s diverticulum, in the differential diagnosis. In this case, diagnostic laparoscopy was the most suitable initial surgical approach.

Authors

Wilkinson L; Lumpkin S; Perez A

Author Affiliation

Department of Surgery, University of North Carolina, Chapel Hill, NC 27514

Corresponding Author

Lily Wilkinson
UNC Department of Surgery
101 Manning Drive
Chapel Hill, NC 27599
Email: lily_wilkinson@med.unc.edu

Disclosure Statement

The authors have no conflicts of interest to disclose.

Funding/Support

The authors have no relevant financial relationships or in-kind support to disclose.

Received: March 28, 2022
Revision received: June 27, 2022
Accepted: July 28, 2022

References

  1. Soltero MJ, Bill AH. The natural history of Meckel’s Diverticulum and its relation to incidental removal. A study of 202 cases of diseased Meckel’s Diverticulum found in King County, Washington, over a fifteen year period. Am J Surg. 1976;132(2):168-173. doi:10.1016/0002-9610(76)90043-x
  2. Marascia DJ. Small Bowel Obstruction Secondary to Intussuscepted Meckel’s Diverticulum in an Adult. Case Rep Surg. 2019;2019:3241782. Published 2019 Nov 29. doi:10.1155/2019/3241782
  3. Chen JJ, Lee HC, Yeung CY, et al. Meckel’s Diverticulum: Factors Associated with Clinical Manifestations. ISRN Gastroenterol. 2014;2014:390869. Published 2014 Apr 1. doi:10.1155/2014/390869
  4. Sagar J, Kumar V, Shah DK. Meckel’s diverticulum: a systematic review [published correction appears in J R Soc Med. 2007 Feb;100(2):69]. J R Soc Med. 2006;99(10):501-505. doi:10.1177/014107680609901011
  5. Yamaguchi M, Takeuchi S, Awazu S. Meckel’s diverticulum. Investigation of 600 patients in Japanese literature. Am J Surg
  6. Parvanescu A, Bruzzi M, Voron T, et al. Complicated Meckel’s diverticulum: Presentation modes in adults. Medicine (Baltimore). 2018;97(38):e12457. doi:10.1097/MD.0000000000012457
  7. Rossi P, Gourtsoyiannis N, Bezzi M, et al. Meckel’s diverticulum: imaging diagnosis. AJR Am J Roentgenol. 1996;166(3):567-573. doi:10.2214/ajr.166.3.8623629
  8. Yorkgitis BK, Devecki K. Managing Meckel diverticulum: To resect or not resect?. JAAPA. 2020;33(10):30-32. doi:10.1097/01.JAA.0000697244.35582.cb
  9. Schwartz MJ, Lewis JH. Meckel’s diverticulum: pitfalls in scintigraphic detection in the adult. Am J Gastroenterol. 1984;79(8):611-618.
  10. Chatterjee A, Harmath C, Vendrami CL, et al. Reminiscing on Remnants: Imaging of Meckel Diverticulum and Its Complications in Adults. AJR Am J Roentgenol. 2017;209(5):W287-W296. doi:10.2214/AJR.17.18088
  11. Blouhos K, Boulas KA, Tsalis K, et al. Meckel’s Diverticulum in Adults: Surgical Concerns. Front Surg. 2018;5:55. Published 2018 Sep 3. doi:10.3389/fsurg.2018.00055
  12. Park JJ, Wolff BG, Tollefson MK, Walsh EE, Larson DR. Meckel diverticulum: the Mayo Clinic experience with 1476 patients (1950-2002). Ann Surg. 2005;241(3):529-533. doi:10.1097/01.sla.0000154270.14308.5f
  13. Tashjian DB, Moriarty KP. Laparoscopy for treating a small bowel obstruction due to a Meckel’s diverticulum. JSLS. 2003;7(3):253-255.