Unsupported Browser
The American College of Surgeons website is not compatible with Internet Explorer 11, IE 11. For the best experience please update your browser.
Menu
Become a member and receive career-enhancing benefits

Our top priority is providing value to members. Your Member Services team is here to ensure you maximize your ACS member benefits, participate in College activities, and engage with your ACS colleagues. It's all here.

Become a Member
Become a member and receive career-enhancing benefits

Our top priority is providing value to members. Your Member Services team is here to ensure you maximize your ACS member benefits, participate in College activities, and engage with your ACS colleagues. It's all here.

Become a Member
ACS
ACS Case Reviews

Spontaneous Diaphragmatic Herniation of the Gallbladder

October 10, 2024

Abstract

Background

While acquired diaphragmatic hernias commonly present as traumatic sequela, they can also occur spontaneously. Few reports of these phenomena have been published, most of which have occurred on the left side.

Summary

This report describes the management of a rare case of a right-sided spontaneous diaphragmatic hernia with the gallbladder as the sole organ involved. The hernia was effectively reduced through a laparoscopic abdominal approach, followed by repair of the diaphragmatic defect using a robotic-assisted thoracoscopic technique. The patient was discharged on postoperative day 2 but later required a chest tube to address a pneumothorax and pleural effusion detected during the initial clinic follow-up. The issue resolved within 24 hours, and the patient returned home without further complications.

Conclusion

CT imaging stands out as the most dependable diagnostic modality for this condition. Thoracic and abdominal approaches are deemed acceptable for hernia repair, depending on the circumstances. Recent years have witnessed the adoption of robotic platforms in both approaches, proving to be a popular alternative to open or laparoscopic repair with promising outcomes. The successful collaboration between a general and cardiothoracic surgeon has resulted in the laparoscopic and robotic-assisted surgical repair of an exceptionally rare right-sided diaphragmatic hernia involving the gallbladder.

Key Words

diaphragmatic hernia; gallbladder; robotic surgery; laparoscopic surgery


Case Description

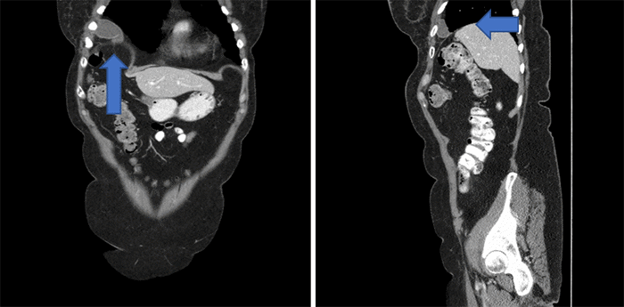
This case report represents one of the rarest documented instances of diaphragmatic hernia. Not only does it involve a case of spontaneous diaphragmatic rupture without a history of trauma, but it is also unique in occurring on the right side and exclusively involving the gallbladder. The patient, a 74-year-old female with interstitial lung disease, ER+ breast cancer, and hypothyroidism, underwent a contrast-enhanced CT abdomen/pelvis a year after completing a hysterectomy due to a high-grade squamous intraepithelial lesion of her cervix. The scan revealed the gallbladder situated superior to the right hemidiaphragm, accompanied by right hemidiaphragm elevation.

Figure 1. CT Imaging of Chest, Abdomen, and Pelvis. Published with Permission

A) Coronal view showing the gallbladder above the diaphragm, and B) sagittal view showing the gallbladder above the diaphragm
A) Coronal view showing the gallbladder above the diaphragm, and B) sagittal view showing the gallbladder above the diaphragm

Subsequently, she was referred to the cardiothoracic surgery clinic, where she reported progressive dyspnea and epigastric pain and tenderness. Upon reviewing her images, it was revealed that her right hemidiaphragm had been chronically elevated since 2019. A SNIFF test confirmed paralysis of the right hemidiaphragm. Following this, the possibility of dual thoraco-abdominal robotic surgical intervention was discussed with the patient, who agreed and provided consent. This approach would involve thoracic repair of her paralyzed diaphragm through plication after closing the diaphragm defect. It would also facilitate obtaining a tissue sample from her lung to diagnose the progressive deterioration of her pulmonary function. Given the chronic nature of the hernia, the potential presence of extensive thoracic adhesions involving the herniated gallbladder, which could not be lysed from within the abdomen, was considered. Therefore, a laparoscopic approach was deemed prudent initially to visualize the gallbladder and assess its health, determining if it was the cause of her recent abdominal pain episodes and necessitating resection.

We initially employed a laparoscopic approach to visualize and assess the hernia site in the operating room. Peri-colonic fat was easily reduced through the hernia from below, followed by the gallbladder, which displayed signs of necrosis and necessitated resection. Removal of some adhesions from the liver and diaphragm revealed a clear visualization of the hernia defect at the center of the right hemidiaphragm (Figure 2).

Figure 2. Intraoperative Visualization of Central Diaphragmatic Defect After Laparoscopic Cholecystectomy. Published with Permission

Subsequently, the case transitioned to the robotic-assisted thoracoscopic technique, and the hernia defect was primarily closed using nonabsorbable sutures and pledgets. A plication of the right hemidiaphragm was performed due to paralysis. Before concluding the case, a biopsy of the right lower lobe was obtained to characterize her lung disorder accurately. The patient was discharged on postoperative day two and needed a chest tube to resolve a pneumothorax and pleural effusion identified at the initial follow-up appointment in the clinic. The issues were resolved after 24 hours, and the patient returned home with no further complications.

Discussion

The diaphragm, a vital structure dividing the thorax and abdomen, is composed of musculo-fibrous tissue. Its embryological origins involve four main components: septum transversum, two pleuroperitoneal folds, cervical myotomes, and the dorsal mesentery, coalescing around week 3 of gestation. Although the process is typically completed by week 8, imperfections can lead to anatomical defects known as congenital diaphragmatic hernias.1 Even with a perfect completion, there remains a possibility of acquiring a diaphragmatic hernia.

While diaphragmatic hernias are typically congenital, they can also be acquired. About 75% of diagnosed acquired diaphragmatic hernias result from blunt thoracoabdominal trauma, leading to diaphragm rupture in up to 3.6% of cases.2 Left-sided rupture accounts for 90% of cases, with a 58% chance of herniation. In contrast, right-sided rupture is less common, occurring in 5-20% of cases, with herniation following in 19% of cases.3

Spontaneous or iatrogenic diaphragmatic hernias are rare and are often associated with pediatric liver transplants, liver resection, radiofrequency ablation for hepatocellular carcinoma, and pregnancy.4-7 Spontaneous defects may initially be asymptomatic and only become apparent later when they have significantly enlarged. While uncommon, diaphragmatic hernias can lead to a mortality rate of 31% due to incarceration and strangulation.9 Coughing and physical exercise are reported as common preceding events in cases, but there are also instances of spontaneous diaphragmatic hernias without any preceding effort after ruling out iatrogenic diaphragm injuries.10 These hernias predominantly occur on the left side and often involve the stomach, colon, greater omentum, or small intestine. Symptoms of spontaneous hernias typically include thoracoabdominal pain, nausea, vomiting, and dyspnea.11

CT imaging is the preferred method for accurate diagnosis, with a diagnostic range of 50-78% depending on the lesion site.12 Despite this, the most reliable diagnosis still involves exploration in the operating room, where laparoscopy and thoracoscopy offer advanced minimally invasive options.13,14 Diagnosing right-sided hernias poses a particular challenge, contributing to delayed diagnoses in the majority of cases.15 X-rays have a limited success rate of 17% in diagnosing right-sided rupture. For accuracy, serial chest radiographs and CT scans, possibly utilizing MRI scans, are recommended.16

The choice of surgical intervention techniques is contingent upon the timing and presentation of the hernia. In cases of delayed presentation without suspicion of abdominal injuries, a thoracotomy is the preferred approach due to thoracic adhesions that make reduction challenging via laparotomy.17 However, in the setting of acute herniation, particularly with abdominal trauma, laparotomy offers the opportunity for hernia reduction without concerns for extensive adhesions, allowing for a survey of abdominal organs for potential injuries.17 A recent advancement in diaphragmatic hernia repair is the use of robotic techniques, which provide increased surgical dexterity and demonstrate success in treating left and right-sided diaphragmatic hernias.18 In cases where there is evidence of paralysis of the affected hemidiaphragm, plication may be indicated. Traditionally performed via open thoracotomy, thoracoscopic and laparoscopic techniques, including robotic-assisted approaches, have proven successful. While less commonly performed, laparoscopic plication has recently shown benefits in reducing the risk of injury to intra-abdominal organs and avoiding single-lung ventilation. However, right-sided repairs present challenges in abdominal approach and exposure.19

Conclusion

This case possesses several unique features, making it a novel and exceptionally rare occurrence that a surgeon may seldom encounter in their career. A right-sided diaphragmatic hernia exclusively involving the gallbladder, devoid of any trauma history, stands as a genuine surgical anomaly. The successful collaboration and treatment, incorporating both laparoscopic and robotic-assisted repair techniques, highlight the effective management of this unprecedented surgical pathology. This report exemplifies a once-in-a-lifetime case handled by a partnership between a general and cardiothoracic surgeon at a community-based teaching hospital.

Lessons Learned

Spontaneous diaphragmatic hernias are exceptionally rare occurrences, with limited documentation in surgical and radiological literature. This case report represents the sole documented instance of a spontaneous right-sided hernia exclusively involving the gallbladder—the successful treatment employed a combined approach, utilizing abdominal laparoscopic and thoracic robotic assistance.

Authors

Whitson Da; Thompson Rb; Lewis Rc

Author Affiliations

  1. Northeast Georgia Medical Center, Department of Graduate Medical Education, Gainesville, GA 30501
  2. Northeast Georgia Medical Center, Northeast Georgia Physicians Group, Department of Cardiovascular and Thoracic Surgery, Gainesville, GA 30501
  3. Northeast Georgia Medical Center, Northeast Georgia Physicians Group, Department of General Surgery, Gainesville, GA 30501

Corresponding Author

Daniel Whitson, MD
743 Spring Street NE
GME Office
Gainesville, GA 30501
Email: daniel.whitson@nghs.com

Disclosure Statement

The authors have no conflicts of interest to disclose.

Funding/Support

The authors have no relevant financial relationships or in-kind support to disclose.

Received: February 14, 2022
Revision received: April 19, 2022
Accepted: May 12, 2022

References

  1. Chandrasekharan PK, Rawat M, Madappa R, Rothstein DH, Lakshminrusimha S. Congenital Diaphragmatic hernia - a review. Matern Health Neonatol Perinatol. 2017;3:6. Published 2017 Mar 11. doi:10.1186/s40748-017-0045-1
  2. Kozak O, Mentes O, Harlak A, et al. Late presentation of blunt right diaphragmatic rupture (hepatic hernia). Am J Emerg Med. 2008;26(5):638.e3-638.e638005. doi:10.1016/j.ajem.2007.10.032
  3. Boulanger BR, Milzman DP, Rosati C, Rodriguez A. A comparison of right and left blunt traumatic diaphragmatic rupture. J Trauma. 1993;35(2):255-260. doi:10.1097/00005373-199308000-00014
  4. Esposito F, Lim C, Salloum C, et al. Diaphragmatic hernia following liver resection: case series and review of the literature. Ann Hepatobiliary Pancreat Surg. 2017;21(3):114-121. doi:10.14701/ahbps.2017.21.3.114
  5. Cortes M, Tapuria N, Khorsandi SE, et al. Diaphragmatic hernia after liver transplantation in children: case series and review of the literature. Liver Transpl. 2014;20(12):1429-1435. doi:10.1002/lt.23977
  6. Singh M, Singh G, Pandey A, Cha CH, Kulkarni S. Laparoscopic repair of iatrogenic diaphragmatic hernia following radiofrequency ablation for hepatocellular carcinoma. Hepatol Res. 2011;41(11):1132-1136. doi:10.1111/j.1872-034X.2011.00865.x
  7. Jacobs R, Honore PM, Hosseinpour N, Nieboer K, Spapen HD. Sudden cardiac arrest during pregnancy: a rare complication of acquired maternal diaphragmatic hernia. Acta Clin Belg. 2012;67(3):198-200. doi:10.2143/ACB.67.3.2062655
  8. Katukuri GR, Madireddi J, Agarwal S, Kareem H, Devasia T. Delayed Diagnosis of Left-Sided Diaphragmatic Hernia in an Elderly Adult with no History of Trauma. J Clin Diagn Res. 2016;10(4):PD04-PD5. doi:10.7860/JCDR/2016/17506.7544
  9. Lu J, Wang B, Che X, et al. Delayed traumatic diaphragmatic hernia: A case-series report and literature review. Medicine (Baltimore). 2016;95(32):e4362. doi:10.1097/MD.0000000000004362
  10. Stoica SC, Craig SR, Soon SY, Walker WS. Spontaneous rupture of the right hemidiaphragm after video-assisted lung volume reduction operation. Ann Thorac Surg. 2002;74(3):929-931. doi:10.1016/s0003-4975(02)03478-1
  11. Losanoff JE, Edelman DA, Salwen WA, Basson MD. Spontaneous rupture of the diaphragm: case report and comprehensive review of the world literature. J Thorac Cardiovasc Surg. 2010;139(6):e127-e128. doi:10.1016/j.jtcvs.2009.05.035
  12. Sandstrom CK, Stern EJ. Diaphragmatic hernias: a spectrum of radiographic appearances. Curr Probl Diagn Radiol. 2011;40(3):95-115. doi:10.1067/j.cpradiol.2009.11.001
  13. McDonald AA, Robinson BRH, Alarcon L, et al. Evaluation and management of traumatic diaphragmatic injuries: A Practice Management Guideline from the Eastern Association for the Surgery of Trauma. J Trauma Acute Care Surg. 2018;85(1):198-207. doi:10.1097/TA.0000000000001924
  14. Ochsner MG, Rozycki GS, Lucente F, Wherry DC, Champion HR. Prospective evaluation of thoracoscopy for diagnosing diaphragmatic injury in thoracoabdominal trauma: a preliminary report. J Trauma. 1993;34(5):704-710. doi:10.1097/00005373-199305000-00013
  15. Athanassiadi K, Kalavrouziotis G, Athanassiou M, et al. Blunt diaphragmatic rupture. Eur J Cardiothorac Surg. 1999;15(4):469-474. doi:10.1016/s1010-7940(99)00073-1
  16. Shanmuganathan K, Mirvis SE. Imaging diagnosis of nonaortic thoracic injury. Radiol Clin North Am. 1999;37(3):533-vi. doi:10.1016/s0033-8389(05)70110-x
  17. Naunheim KS. Adult presentation of unusual diaphragmatic hernias. Chest Surg Clin N Am. 1998;8(2):359-369
  18. Vertaldi S, Manigrasso M, D'Angelo S, Servillo G, De Palma GD, Milone M. Robotic repair of iatrogenic left diaphragmatic hernia. A case report. Int J Surg Case Rep. 2020;76:488-491. doi:10.1016/j.ijscr.2020.10.032
  19. Groth SS, Rueth NM, Kast T, et al. Laparoscopic diaphragmatic plication for diaphragmatic paralysis and eventration: an objective evaluation of short-term and midterm results. J Thorac Cardiovasc Surg. 2010;139(6):1452-1456. doi:10.1016/j.jtcvs.2009.10.020