Unsupported Browser
The American College of Surgeons website is not compatible with Internet Explorer 11, IE 11. For the best experience please update your browser.
Menu
Become a member and receive career-enhancing benefits

Our top priority is providing value to members. Your Member Services team is here to ensure you maximize your ACS member benefits, participate in College activities, and engage with your ACS colleagues. It's all here.

Become a Member
Become a member and receive career-enhancing benefits

Our top priority is providing value to members. Your Member Services team is here to ensure you maximize your ACS member benefits, participate in College activities, and engage with your ACS colleagues. It's all here.

Become a Member
ACS
ACS Case Reviews

A Diagnostic Dilemma: Nonspecific Presentation of Heterotopic Pancreas in a Young Female

October 10, 2024

Abstract

Background

This case report presents a rare instance of heterotopic pancreas within the duodenum of a young woman. Heterotopic pancreas, characterized by the presence of pancreatic tissue outside the pancreas itself, typically manifests in adults and is infrequently encountered in this younger age demographic.

Summary

An 18-year-old woman presented with nausea, abdominal pain, and vomiting, suggestive of proximal duodenal stenosis. Distal gastrectomy with retrocolic isoperistaltic gastrojejunostomy was performed. The final pathology revealed heterotopic pancreatic tissue, underscoring the diagnostic challenge of identifying such anomalies preoperatively.

Conclusion

For unidentified gastrointestinal masses, heterotopic pancreas should be included in the differential diagnosis. This is because the condition often presents with vague and nonspecific clinical symptoms, potentially leading to misdiagnosis.

Key Words

heterotopic pancreas; antro-pyloro-duodenectomy (APDectomy)


Case Description

Heterotopic pancreatic tissue, with an incidence of 0.11% to 0.21%, is a rare finding.1 Often asymptomatic and discovered incidentally during investigation for other conditions, it can mimic symptoms of other gastrointestinal abnormalities.1 This case report explores the clinical presentation and diagnostic approach that led to the identification of heterotopic pancreatic tissue within the proximal duodenum.

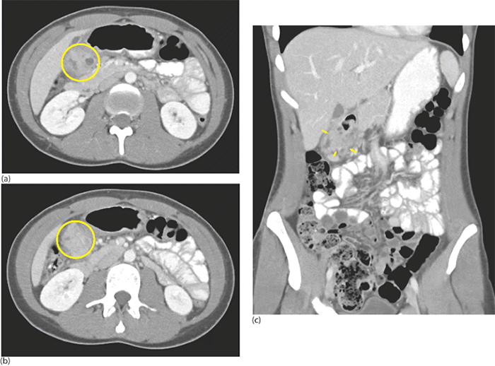
An 18-year-old woman presented with nausea, nonbilious, nonbloody vomiting, and poorly localized abdominal pain with diffuse tenderness. Laboratory workup revealed mild leukocytosis. Given a history of contact with sick individuals, a provisional diagnosis of viral gastroenteritis was made, and she was discharged. However, persistent symptoms prompted her return to the emergency department the following day. A CT scan suggested a 4.3 × 5.7 cm mass near the pylorus/duodenum (Figure 1).

Figure 1. Abdominopelvic CT Imaging of Periduodenal Mass. Published with Permission

Panel A (axial view, cephalad perspective) and Panel B (axial view) show a mass encircling the pylorus and duodenum (yellow circle). Panel C (sagittal view) highlights the mass with yellow arrows. However, the CT findings were inconclusive, and the differential diagnosis included duodenal ulcer disease with penetration, leiomyoma, atypical gastrointestinal stromal tumor (GIST), focal pancreatitis, or annular pancreas
Panel A (axial view, cephalad perspective) and Panel B (axial view) show a mass encircling the pylorus and duodenum (yellow circle). Panel C (sagittal view) highlights the mass with yellow arrows. However, the CT findings were inconclusive, and the differential diagnosis included duodenal ulcer disease with penetration, leiomyoma, atypical gastrointestinal stromal tumor (GIST), focal pancreatitis, or annular pancreas

After undergoing an upper endoscopic ultrasound (EUS) by gastroenterology, a submucosal mass was seen near the antrum/pylorus with features suggestive of either a leiomyoma or gastrointestinal stromal tumor (GIST) based on the presence of gastric mucinous and smooth muscle cells. She was discharged with a one-month follow-up appointment in surgical oncology. However, upon returning home early from college, she experienced worsening right upper quadrant and epigastric pain, nausea, and vomiting. Given persistent symptoms consistent with peripyloric stenosis, she was referred to our hepatopancreatobiliary surgical service. Evaluation confirmed the need for surgical intervention, and an antro-pyloro-duodenectomy (APDectomy) was deemed the most appropriate course of action.

Exploratory laparotomy provided direct visualization of the upper abdominal cavity, revealing a mass in the pyloric region. This mass presented with significant inflammation and scarring, extending into the duodenum, gallbladder, and concerningly, the head of the pancreas–findings that mirrored the preoperative imaging suggesting a possible malignancy. Given the uncertain nature of the mass and its potential infiltration into surrounding structures, the surgical team opted for a more extensive resection. This included a cholecystectomy to remove the inflamed gallbladder and an antrectomy with pyloric and duodenal bulb resection. The extensive inflammatory process involving the pylorus necessitated a 5 cm proximal antrectomy to ensure adequate margins. Careful mobilization of the distal stomach, pylorus, and duodenum away from the pancreas and the hepatoduodenal ligament was critical to achieving complete excision of the mass while preserving vital structures. Reconstruction involved a retrocolic isoperistaltic gastrojejunostomy to re-establish gastrointestinal continuity, along with meticulous closure of the duodenal stump (Figure 2). Notably, frozen section analysis during the procedure revealed an unexpected diagnosis: the mass was identified as heterotopic pancreatic tissue, a finding subsequently confirmed by final pathology. The final pathology report also documented the size of the heterotopic pancreatic tissue as 3.2 × 2.6 cm (Figure 2).

Figure 2. Illustration Depicting Retrocolic Isoperistaltic Billroth II Gastrojejunostomy and Excised Specimen

Laparoscopic rendering of the operative field demonstrating a retrocolic isoperistaltic Billroth II gastrojejunostomy after resection. Inset: histopathology confirming the presence of heterotopic pancreas near the gastric antrum
Laparoscopic rendering of the operative field demonstrating a retrocolic isoperistaltic Billroth II gastrojejunostomy after resection. Inset: histopathology confirming the presence of heterotopic pancreas near the gastric antrum

One month post-procedure, the patient reported a full recovery. She had resumed her regular dietary habits and successfully returned to both her college studies and athletic activities.

Discussion

Heterotopic pancreas (HP) refers to pancreatic tissue located outside the pancreas itself.1 Often discovered incidentally, HP can present with a wide range of symptoms depending on its size and anatomical location. This case exemplifies this variability, as the patient’s symptoms led to initial misdiagnoses such as GIST or leiomyoma.2

The most common location for HP is the antrum, where it can present with symptoms like pain and obstruction of the gastric outlet.3 Following the antrum, the descending duodenum is the next most frequent site. Here, HP may be asymptomatic or cause epigastric pain.3 While HP diagnosis can occur at any age, it typically presents in the fifth or sixth decade of life, with a higher male predominance.4 It is important to note that HP in younger individuals is rare, as most cases go undetected until adulthood.4

The incidence of symptomatic HP in early childhood and adolescence appears exceedingly low. Studies by Seddon and Stringer and Juricic et al. highlight this rarity. Among 478 patients, Seddon and Stringer identified only 11 with HP (0.02%); of these patients, only five were adolescents (13-17 years old).5 Juricic et al. similarly emphasize the scarcity of HP in young patients, attributing most symptomatic cases to adulthood. The authors suggest HP’s slow growth often leads to delayed presentation with mass effect in later decades. Consequently, diagnosing HP in adolescents can be challenging due to low clinical suspicion and nonspecific symptoms.6 Supporting this notion, several case reports describe ectopic pancreas in both symptomatic and asymptomatic individuals, with presentations often occurring closer to the third decade of life (Table 1). Collectively, these findings underscore the infrequency of symptomatic HP in adolescents.

Author(s) Reported Cases of HP Average Age of Patients with HP (years) Number of Incidentally Found HP Cases Number of Cases with HP Isolated to the Duodenum Number of Cases with HP Isolated to the Stomach

Ormarsson et al. (2006)7

30 42.5 14 (46.6%) 1 14

Pang (1988)8

32 27.5 18 (56.2%) 4 5

Lai and Tompkins (1986)9

37 For adults, defined as 12 years or older, the average age was: 50 +/-9.53 28 (75.6%) 10 8

Dolan et al. (1974)10

212 No average reported, but the highest incidence of HP was in the sixth decade 172 (81.1%) 77 81
Table 1. Summary of Reported Heterotopic Pancreas Cases from Literature Review
Short Review of Reported Cases of Heterotopic Pancreas
Author(s) Reported Cases of HP Average Age of Patients with HP (years) Number of Incidentally Found HP Cases Number of Cases with HP Isolated to the Duodenum Number of Cases with HP Isolated to the Stomach

Ormarsson et al. (2006)7

30 42.5 14 (46.6%) 1 14

Pang (1988)8

32 27.5 18 (56.2%) 4 5

Lai and Tompkins (1986)9

37 For adults, defined as 12 years or older, the average age was: 50 +/-9.53 28 (75.6%) 10 8

Dolan et al. (1974)10

212 No average reported, but the highest incidence of HP was in the sixth decade 172 (81.1%) 77 81

Our case highlights the unusual extension of heterotopic pancreas and the inflammation around the pylorus extending into the duodenum. A review by Ormarsson et al. analyzing 30 cases identified only one instance of isolated duodenal heterotopic pancreas discovered incidentally.7 Further investigation by the same group across 212 cases from 1952 to 1974 revealed a more frequent duodenal presence (77 cases, 36.3%) compared to the stomach (81 cases, 38.2%). Notably, only 34.4% of these patients presented with symptoms, while the remainder were incidentally identified.10

Furthermore, cross-sectional imaging can assist in localizing or sizing heterotopic pancreas and identifying features such as the presence of overlying mucosal tissue, ill-defined borders, or endoluminal growth patterns.2 However, in our case, imaging identified a poorly demarcated soft tissue mass but lacked details on the extent of submucosal involvement or the endoluminal growth pattern. This underscores the challenge of accurately identifying this ectopic tissue through imaging alone.

Endoscopic ultrasound (EUS) was used initially to obtain tissue, but the material retrieved did not lead to a correct diagnosis due to the small quantity obtained by aspiration. HP is often situated submucosally, and endoscopic biopsies frequently only sample the mucosa, adding an extra layer of complexity to the diagnostic process.4

This case presented a complex peri-pancreatic mass with concerning features on imaging (indistinct margins, potential infiltration) and indeterminate pathology. Due to these factors, an open surgical approach (exploratory laparotomy, cholecystectomy, and APDectomy) was necessary despite the potential benefits of minimally invasive techniques. Open surgery allowed for direct palpation to accurately assess the mass and margins, which was crucial for achieving a safe and complete resection. Additionally, preoperative imaging revealed significant inflammation and scarring around the pancreatic head, raising concerns about the safety and feasibility of laparoscopic techniques.

Conclusion

Our case highlights the rare presentation of symptomatic HP in a young patient. HP, along with annular pancreas and pancreas divisum, represents one of the three congenital pancreatic anomalies. However, diagnosing HP can be particularly challenging in this younger demographic. The often nonspecific clinical presentation of HP, mimicking other pathologies, further complicates the diagnostic process.

Lessons Learned

Heterotrophic pancreas presents a unique diagnostic dilemma within the spectrum of congenital pancreatic anomalies. Unlike adults, where symptoms may be more specific, the clinical presentation in this younger demographic can be quite nonspecific, often mimicking other pathologies. This lack of clear clinical features can significantly complicate the diagnostic process for HP.

Authors

Sunday MAa; Zheng Rb; Nassar Wb; Huang J-Lc; Yeo CJa,b

Author Affiliations

  1. Sidney Kimmel Medical College and Thomas Jefferson University, Philadelphia, PA 19107
  2. Department of Surgery, Thomas Jefferson University Hospital. Sidney Kimmel Medical College and Thomas Jefferson University, Philadelphia, PA 19107
  3. Department of Pathology, Thomas Jefferson University, Philadelphia, PA 19107

Corresponding Author

Madalyne A. Sunday, MD
Sidney Kimmel Medical College
1015 Walnut Street
Philadelphia, PA 19107
Email: mas100@students.jefferson.edu

Disclosure Statement

The authors have no conflicts of interest to disclose.

Funding/Support

The authors have no relevant financial relationships or in-kind support to disclose.

Received: February 12, 2022
Revision received: April 18, 2022
Accepted: May 3, 2022

References

  1. Yuan Z, Chen J, Zheng Q, Huang XY, Yang Z, Tang J. Heterotopic pancreas in the gastrointestinal tract. World J Gastroenterol. 2009;15(29):3701-3703. doi:10.3748/wjg.15.3701
  2. Kim JY, Lee JM, Kim KW, et al. Ectopic pancreas: CT findings with emphasis on differentiation from small gastrointestinal stromal tumor and leiomyoma. Radiology. 2009;252(1):92-100. doi:10.1148/radiol.2521081441
  3. Rezvani M, Menias C, Sandrasegaran K, Olpin JD, Elsayes KM, Shaaban AM. Heterotopic Pancreas: Histopathologic Features, Imaging Findings, and Complications. Radiographics. 2017;37(2):484-499. doi:10.1148/rg.2017160091
  4. Rodriguez AA, Berquist W, Bingham D. Gastric outlet obstruction caused by heterotopic pancreas in an adolescent. Dig Dis Sci. 2015;60(4):835-837. doi:10.1007/s10620-014-3314-0
  5. Seddon K, Stringer MD. Gastric heterotopic pancreas in children: A prospective endoscopic study. J Pediatr Surg. 2020;55(10):2154-2158. doi:10.1016/j.jpedsurg.2019.10.053
  6. Juricic M, Djagbare DY, Carmassi M, et al. Heterotopic pancreas without Meckel’s diverticulum in children as unique cause of gastrointestinal bleeding: think about it!. Surg Radiol Anat. 2018;40(8):963-965. doi:10.1007/s00276-018-2042-0
  7. Ormarsson OT, Gudmundsdottir I, Mårvik R. Diagnosis and treatment of gastric heterotopic pancreas. World J Surg. 2006;30(9):1682-1689. doi:10.1007/s00268-005-0669-6
  8. Pang LC. Pancreatic heterotopia: a reappraisal and clinicopathologic analysis of 32 cases. South Med J. 1988;81(10):1264-1275.
  9. Lai EC, Tompkins RK. Heterotopic pancreas. Review of a 26 year experience. Am J Surg. 1986;151(6):697-700. doi:10.1016/0002-9610(86)90045-0
  10. Dolan RV, ReMine WH, Dockerty MB. The fate of heterotopic pancreatic tissue. A study of 212 cases. Arch Surg. 1974;109(6):762-765. doi:10.1001/archsurg.1974.01360060032010