Unsupported Browser
The American College of Surgeons website is not compatible with Internet Explorer 11, IE 11. For the best experience please update your browser.
Menu
Become a member and receive career-enhancing benefits

Our top priority is providing value to members. Your Member Services team is here to ensure you maximize your ACS member benefits, participate in College activities, and engage with your ACS colleagues. It's all here.

Become a Member
Become a member and receive career-enhancing benefits

Our top priority is providing value to members. Your Member Services team is here to ensure you maximize your ACS member benefits, participate in College activities, and engage with your ACS colleagues. It's all here.

Become a Member
ACS
ACS Case Reviews

Resection of a Giant Hepatic Hemangioma Resolves Coagulopathy in an Adult

October 10, 2024

Abstract

Background

Kasabach-Merritt phenomenon (KMP) is a life-threatening consumptive coagulopathy typically associated with cavernous hemangiomas in infants. This case report describes a rare presentation of KMP in an adult patient with a giant hepatic hemangioma, successfully resolved following surgical resection.

Summary

A 42-year-old man with incidentally discovered hepatic hemangioma (16 cm) on workup for anemia experienced gradual enlargement over nine years (25 cm). This growth caused compression of intrahepatic structures, viscera displacement, and worsening symptoms (shortness of breath, abdominal fullness, early satiety, varicose veins). Lab results intermittently showed mild anemia, thrombocytopenia, and elevated prothrombin time.

Preoperatively, the patient underwent angioembolization targeting tributaries from the right inferior phrenic vein and branches of the right hepatic artery in segments VI and VII. Subsequently, an open resection was performed via a bilateral subcostal “chevron” incision. The surgery involved an eight-minute Pringle maneuver and rapid serial division of the abutting liver tissue in segments VI, VII, and VIII. The immediate postoperative period required transfusions of platelets, fresh frozen plasma, and tranexamic acid to manage coagulopathy. However, his coagulation studies normalized quickly, and he had an uneventful hospital course, leading to discharge on postoperative day (POD) 6. Follow-up at POD 15 showed sustained platelet count (>200K/μL) and improvement in shortness of breath with a 30-second per mile increase in running speed.

Conclusion

This study suggests a potential link between giant hepatic hemangiomas and a baseline low-level coagulopathy similar to Kasabach-Merritt syndrome (KMS). This raises concerns that expectant management in adult patients with these tumors might predispose them to overt KMS, particularly in the setting of trauma. While further investigation is warranted, the findings may justify considering earlier surgical resection of giant hepatic hemangiomas in patients exhibiting signs of coagulopathy.

Key Words

giant hemangioma; Kasabach-Merritt syndrome; coagulopathy; liver


Case Description

A rare but life-threatening complication, Kasabach-Merritt phenomenon (KMP), can develop in some patients with hepatic hemangiomas, despite their status as the most common benign liver tumors typically managed expectantly. Adult cases of KMP are particularly scarce, with our literature review identifying only 11 reported cases. This report describes an adult male patient who presented with KMP secondary to a giant hepatic hemangioma and associated coagulopathy. Notably, complete resolution of the coagulopathy was achieved following surgical resection of the hemangioma.

The patient, a 42-year-old man with a known right hepatic hemangioma (discovered nine years prior on CT scan during investigation for asymptomatic anemia), was under our clinic’s care. Initially, the 16 cm hemangioma was an incidental finding. His anemia improved with successful management of Crohn’s disease, the culprit identified via CT scan.

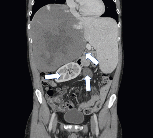
In the months preceding surgery, the patient developed progressive symptoms, including shortness of breath, abdominal fullness, early satiety, and worsening varicose veins. Repeat imaging revealed significant growth of the hemangioma (21.8 × 21.8 × 25.2 cm). The mass exerted a substantial compressive effect on the liver parenchyma, displacing surrounding organs like the gallbladder, stomach, duodenum, and pancreas inferiorly (Figure 1).

The patient exhibited mild thrombocytopenia with platelet counts ranging from 94 × 103/μL to 130s (reference range typically higher) and a prolonged prothrombin time of 1.2 seconds. Additionally, he presented with relative anemia, with his highest recorded hemoglobin being 13 g/dL (reference range varies by age and sex). Preoperative labs showed slight improvement with hemoglobin at 13.1 g/dL and platelets at 153 × 103/μL.

Figure 1. Coronal View of Triple-Phase CT Abdomen/Pelvis with Contrast. Published with Permission

Hemangioma: Characteristic “centripetal fill-in” pattern is evident in the portal venous phase (arrow). Mass effect: Note the inferior displacement of the right kidney and leftward displacement of the gallbladder and inferior vena cava.
Hemangioma: Characteristic “centripetal fill-in” pattern is evident in the portal venous phase (arrow). Mass effect: Note the inferior displacement of the right kidney and leftward displacement of the gallbladder and inferior vena cava.

In anticipation of significant intraoperative bleeding during resection of the massive hemangioma, the patient underwent preoperative angioembolization the day prior to surgery. Hepatic angiography identified the hemangioma’s arterial supply: the right inferior phrenic artery (Figure 2) and three secondary branches of the right hepatic artery (Figure 3). All four vessels were successfully embolized with Gelfoam slurry. The procedure was well-tolerated, and no complications were reported either during the procedure or in the post-embolization period. The patient then proceeded to surgical resection of the hemangioma the following day.

Figure 2. Preoperative Angiography Demonstrates Hemangioma Blood Supply. Published with Permission

Selective angiography of a branch of the right inferior phrenic artery shows opacification, followed by subsequent filling of the hemangioma, confirming arterial supply
Selective angiography of a branch of the right inferior phrenic artery shows opacification, followed by subsequent filling of the hemangioma, confirming arterial supply

Figure 3. Pre-embolization Angiogram Demonstrates Tumor Arterial Supply. Published with Permission

The right hepatic artery (yellow arrow) supplies the tumor (not shown) via three second-order branches (white arrows). Opacification of these branches confirms their contribution to tumor blood flow.
The right hepatic artery (yellow arrow) supplies the tumor (not shown) via three second-order branches (white arrows). Opacification of these branches confirms their contribution to tumor blood flow.

Due to the large size of the hepatic mass, an open approach was chosen for resection. The patient was placed in a supine position, and a bilateral subcostal “chevron” incision provided optimal liver exposure (Figure 4). Exploration revealed a very large right lobe hemangioma displacing the rest of the seemingly normal liver. No concerning lesions suggestive of miliary disease or metastases were identified.

The initial steps involved dividing the falciform ligament and mobilizing the right hepatic lobe by releasing the coronary and triangular ligaments. Intraoperative ultrasound was utilized to precisely locate the right hepatic vein and portal structures. Although the hemangioma abutted the right hepatic vein and portal pedicle on ultrasound, a clear bridge of healthy liver parenchyma remained between these critical structures and the tumor.

Given this favorable anatomy, a parenchyma-sparing resection of the hemangioma was chosen to preserve the right hepatic vein and portal pedicles. The critical vascular structures were visualized using ultrasound, and the resectable liver parenchyma near them was demarcated. Inflow control was achieved with a Pringle maneuver, allowing for swift division of the liver parenchyma using an Echelon stapler with multiple vascular loads. The Pringle maneuver time was eight minutes. Topical hemostatic agents were applied to address slow, diffuse oozing from the cut liver edge. Notably, there were concerns about intraoperative bleeding as extravasated blood did not clot readily. The estimated blood loss was 600 mL, and a subhepatic drain was placed prior to abdominal closure.

Figure 4. Resected Giant Hemangioma. Published with Permission

Intraoperative ultrasound facilitated the identification and preservation of major intrahepatic structures, avoiding the need for formal liver resection.
Intraoperative ultrasound facilitated the identification and preservation of major intrahepatic structures, avoiding the need for formal liver resection.

The patient experienced moderate blood loss in the immediate postoperative period, with 600mL of sanguineous drainage within two hours. This resulted in a 2 g/dL drop in hemoglobin (10.5 g/dL to 8.6 g/dL) and a decrease in platelet count (131 to 119). Thromboelastography indicated reduced clot strength (maximum amplitude of 53).

The patient received a blood transfusion (1 unit packed red blood cells), platelet transfusion (1 unit), fresh frozen plasma (3 units), and tranexamic acid (1 gram) for management. Due to close monitoring needs, the patient was transferred to the intensive care unit.

The drainage transitioned to serous fluid over time, and follow-up coagulation studies on postoperative day 3 showed a normalized platelet count. This allowed for discharge from the ICU on day 1. The remainder of their hospital stay was uneventful, with discharge on postoperative day 6 and a sustained platelet count of 244.

By postoperative day 15, the patient exhibited remarkable improvement in functional capacity. He could now climb six flights of stairs, demonstrating a significant increase in mobility. This progress continued at his follow-up visit, where he showed improved cardiovascular fitness, evidenced by a 30-second reduction in his mile running time. These functional gains likely stem from the resolution of the mass effect and decreased cardiac output shunting previously caused by the hemangioma. Furthermore, his platelet count remained stable at 222 × 103/μL during the most recent follow-up seven months after surgery.

Discussion

Kasabach-Merritt phenomenon (KMP) is a life-threatening consumptive coagulopathy typically presenting with a triad of thrombocytopenia, microangiopathic hemolytic anemia, and disseminated intravascular coagulation (DIC).1 It most commonly affects infants around two months old, particularly those with kaposiform hemangioendotheliomas (KHEs)—occurring in roughly 70% of pediatric KHE cases. Tufted angiomas can also be associated with KMP, though at a much lower rate (around 10% of patients).1

Despite a mortality rate hovering between 30% and 40%, the exact prevalence and incidence of KMP remain elusive; underreporting is also a suspected issue.4 Estimates from 2005 suggest an incidence range of 0.4% to 20%.5 A smaller, geographically limited study conducted in Massachusetts reported annual prevalence and incidence rates of 0.91 and 0.07 per 100,000 individuals, respectively.3 However, no comprehensive studies on KMP incidence, prevalence, or mortality have been conducted since 2005. Further investigation is warranted to understand the impact of geographical variations and patient age on KMP presentation.

KMP is often associated with vascular tumors such as KHEs, hepatic hemangiomas, and tufted angiomas.1,6 The exact cause of KMP remains under debate. However, the leading theory suggests that endothelial injury from these tumors triggers platelet activation. This sets off a cascade that consumes platelets and clotting factors, ultimately leading to severe coagulopathy.1,6,7 While rapidly enlarging vascular tumors are a major risk factor for KMP, even smaller tumors or fistulas have been implicated.8 Given its rarity, KMP poses a significant risk of fatal hemorrhage and death, highlighting the importance of early diagnosis and intervention.

Kasabach-Merritt phenomenon is known to be associated with vascular tumors that express markers like CD31, CD34, LYVE1, and PROKS1.9 These tumors can rapidly grow and cause skin involvement, manifesting as painful purpura or ecchymosis, typically on the limbs, abdomen, or retroperitoneum.1 While the presented patient lacked the classic severe coagulopathy of KMP, the borderline or mild thrombocytopenia and anemia could be indicative of a “low-level” consumptive coagulopathy and microangiopathic hemolytic anemia (MAHA). These findings suggest a possible subclinical presentation of KMP.

While hepatic hemangiomas are the most common benign liver tumors, the true prevalence of giant lesions remains unclear.4 Case reports have linked hepatic hemangiomas (cavernous hemangiomas) to rare instances of adult-onset KMP. The clinical presentation of KMP in adults with hemangiomas may deviate from the typical pediatric presentation. Patients with hemangiomas under 5 cm may be asymptomatic.6 However, larger tumors (>5 cm) can cause abnormal lab findings, including thrombocytopenia, anemia, neutropenia, prolonged prothrombin time, hypofibrinogenemia, and occasionally elevated bilirubin.10 Only 11 cases of adult KMP have been documented in the literature.6,8,10 Surgical resection in eight of these patients resulted in normalization of platelet counts and coagulation studies.

This case suggests that adult KMP presentation may differ from pediatric KMP due to factors like patient body surface area relative to tumor volume. In retrospect, the patient’s postoperative recovery of platelet count, hemoglobin, and prothrombin time to “new baselines” suggests a possible mild coagulopathy, aligning with the Kasabach-Merritt triad. While not as overt a coagulopathy as that classically seen in Kasabach-Merritt syndrome, this patient’s mild coagulopathy could pose a significant risk in situations like trauma or major blood loss surgery, as their coagulation reserves are already partially depleted. This possibility is further supported by postoperative thromboelastography results. The ongoing drainage output might reflect “non-surgical” bleeding from raw surfaces that would normally clot with normal coagulation parameters. Recognizing even subtle KMP signs and understanding its potential occurrence is crucial for managing patients with giant hepatic hemangiomas.

Timely surveillance of hepatic hemangiomas is critical to minimize the risk of KMP development and prevent treatment delays.11-13 Asymptomatic hemangiomas don’t necessitate immediate intervention. However, lesions exceeding 5 cm warrant follow-up imaging with contrast-enhanced MRI every 6-12 months after initial diagnosis. For hemangiomas exhibiting growth ≤ 3 mm annually, further imaging can be deferred. Conversely, lesions with growth exceeding 3 mm per year require continued surveillance MRI every 6-12 months. For patients in the latter category, surgical resection should be discussed collaboratively by surgeons and hepatologists. While hemangioma size alone can inform surgical decision-making, studies support conservative management for asymptomatic patients.13 However, patients who develop symptoms like abdominal fullness, right upper quadrant pain, bleeding, or early satiety warrant immediate evaluation for surgical resection.11,12 Additionally, thorough laboratory workup should also be conducted to monitor for potential KMP.

For KMP arising from vascular tumors, management is primarily supportive.1 The goal is to minimize hemorrhage risk through platelet transfusions and regular blood monitoring. However, surgical resection remains the definitive treatment. Notably, some adult-onset hepatic hemangiomas may not be suitable for resection due to potential complications.6

The development of overt KMS significantly complicates the clinical picture. Altered hemodynamics elevate the risk of postoperative hemorrhage. In such cases, alternative treatment options come into play, including systemic bevacizumab, liver transplantation, cryoprecipitate, and radiation therapy.1,6

Early detection of hepatic hemangiomas and heightened awareness of KMS are crucial. This approach can increase the window of opportunity for safe surgical resection and minimize the risk of life-threatening KMS.

Conclusion

This report details a rare adult case of Kasabach-Merritt phenomenon (KMP) associated with a hepatic hemangioma in a 42-year-old man with Crohn’s disease. While typically affecting infants with specific vascular tumors, this case highlights its potential occurrence in adults. Surgical resection of the hemangioma led to symptom and lab normalization. Early CT imaging for hemangiomas and further study of adult-onset KMP are crucial for optimal management of this unique presentation.

Lessons Learned

In adults with a giant hepatic hemangioma, the pre-resection coagulopathy associated with Kasabach-Merritt syndrome, also known as Kasabach-Merritt phenomenon, may present subtly. Early detection of these hemangiomas through CT imaging, especially in patients with incidental findings of consumptive coagulopathy, is crucial. Prompt surgical resection can be necessary to address the underlying KMS and improve coagulopathy. This emphasizes the importance of maintaining a high index of suspicion for KMS in adults with large hepatic hemangiomas and unexplained coagulopathy.

Authors

Nguyen P*; Shah V*; Wu A; Nigam A
*Shared co-first authors

Author Affiliation

Department of Surgical Oncology, Albany Medical Center, Albany, NY 12208

Corresponding Author

Virali Shah, MBA
Division of Gastroenterology-Hepatology, Department of Medicine
Albany Medical College
1769 Union Street, 2nd Floor
Albany, NY 12309
Email: shahv1@amc.edu

Meeting Presentation

Society of American Gastrointestinal and Endoscopic Surgeons, Annual Conference, March 2022

Disclosure Statement

The authors have no conflicts of interest to disclose.

Funding/Support

The authors have no relevant financial relationships or in-kind support to disclose.

Received: February 1, 2022
Revision received: August 22, 2022
Accepted: October 24, 2022

References

  1. Lewis D, Vaidya R. Kasabach-Merritt Syndrome. In: StatPearls. Treasure Island (FL): StatPearls Publishing; July 22, 2021.
  2. Mahajan P, Margolin J, Iacobas I. Kasabach-Merritt Phenomenon: Classic Presentation and Management Options. Clin Med Insights Blood Disord. 2017;10:1179545X17699849. Published 2017 Mar 16. doi:10.1177/1179545X17699849
  3. Croteau SE, Liang MG, Kozakewich HP, et al. Kaposiform hemangioendothelioma: atypical features and risks of Kasabach-Merritt phenomenon in 107 referrals. J Pediatr. 2013;162(1):142-147. doi:10.1016/j.jpeds.2012.06.044
  4. Volchenboum S. Chapter 119 – Thrombocytopenia. In: Comprehensive Pediatric Hospital Medicine. 2007;744-749. doi:10.1016/B978-032303004-5.50123-X
  5. Bajenaru N, Balaban V, Săvulescu F, Campeanu I, Patrascu T. Hepatic hemangioma -review-. J Med Life. 2015;8 Spec Issue(Spec Issue):4-11.
  6. Albitar HAH, Iyer V. Giant Liver Hemangioma with Kasabach-Merritt Syndrome. Am J Med. 2020;133(1):56-57. doi:10.1016/j.amjmed.2019.06.024
  7. Famularo G. Kasabach-Merritt Syndrome. Am J Med. 2020;133(12):e747. doi:10.1016/j.amjmed.2020.02.032
  8. Famularo G, Galluzzo M, Ottaviani P, Tarsitani P. Kasabach-Merritt syndrome arising from a vascular fistula. Am J Emerg Med. 2019;37(7):1394.e3-1394.e4. doi:10.1016/j.ajem.2019.04.013
  9. Pantelic M, Pantelic M, Djuric P, Markovic K, Vucinic T, Juloski JT. Kasabach-Merritt Syndrome in an Adult. Turk J Haematol. 2020;37(1):53-54. doi:10.4274/tjh.galenos.2019.2019.0068
  10. Liu X, Yang Z, Tan H, et al. Giant liver hemangioma with adult Kasabach-Merritt syndrome: Case report and literature review. Medicine (Baltimore). 2017;96(31):e7688. doi:10.1097/MD.0000000000007688 Surgical management of hepatic hemangiomas: a multi-institutional experience. HPB (Oxford). 2014;16(10):924-928. doi:10.1111/hpb.12291
  11. Yoon SS, Charny CK, Fong Y, et al. Diagnosis, management, and outcomes of 115 patients with hepatic hemangioma. J Am Coll Surg. 2003;197(3):392-402. doi:10.1016/S1072-7515(03)00420-4
  12. Terkivatan T, Vrijland WW, Den Hoed PT, et al. Size of lesion is not a criterion for resection during management of giant liver haemangioma. Br J Surg. 2002;89(10):1240-1244. doi:10.1046/j.1365-2168.2002.02219.x