Unsupported Browser
The American College of Surgeons website is not compatible with Internet Explorer 11, IE 11. For the best experience please update your browser.
Menu
Become a member and receive career-enhancing benefits

Our top priority is providing value to members. Your Member Services team is here to ensure you maximize your ACS member benefits, participate in College activities, and engage with your ACS colleagues. It's all here.

Become a Member
Become a member and receive career-enhancing benefits

Our top priority is providing value to members. Your Member Services team is here to ensure you maximize your ACS member benefits, participate in College activities, and engage with your ACS colleagues. It's all here.

Become a Member
ACS
ACS Case Reviews

Prompt Treatment of Hemorrhagic Synovial Sarcoma with Local Metastatic Lesion

October 10, 2024

Abstract

Background

This case report presents the unique challenges encountered in managing a homeless patient with synovial sarcoma. The patient presented in a state of profound shock, likely due to the tumor burden. A large exophytic mass was identified on the dorsal aspect of his left foot.

Summary

A previously undiagnosed 56-year-old man presented with a hemorrhaging mass in his left lower extremity, leading to emergency department evaluation. He arrived in severe hemorrhagic and septic shock. Despite attempts at hemorrhagic control, the patient's condition necessitated an urgent left lower leg guillotine amputation via Syme's procedure. While initial stabilization was achieved, a second palpable mass was identified in the calf. Incisional biopsy with frozen section analysis revealed synovial sarcoma, consistent with the pathology of the foot mass. This diagnosis was confirmed by final pathology.

Conclusion

Despite the severity of the patient's status upon first arrived in the emergency room, he fared well. This was largely due to the rapid recognition that the patient required emergent guillitine amputation of the mass. After stabilization, the patient underwent a successful Gritti-Stokes amputation, with negative margins. Shortly after his definitive procedure, the patient was transferred to an acute rehab setting for an uneventful recovery and fitted with a sliding joint prosthesis and begun ambulatory training.

Key Words

SYT; SSX1; SSX2; SSX4; synovial sarcoma; Gritti-Stokes; guillotine; amputation


Case Description

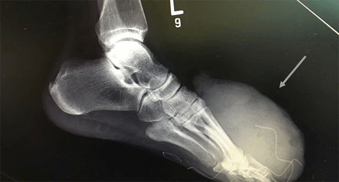
A 56-year-old male with a medical history of undiagnosed hypertension and hyperlipidemia presented to the emergency department via EMS with a left mid-foot exophytic hemorrhagic mass. Examination revealed a large (approximately 20 × 15 cm) necrotic and hemorrhagic tumor on the plantar aspect of the left foot. The mass exhibited friability and significant vascularity (Figure 1).

Figure 1. Preoperative Left Foot Radiograph Demonstrates Synovial Sarcoma (approximately 20 × 15 cm). Published with Permission

The patient's condition rapidly declined into severe septic and hemorrhagic shock, as evidenced by a hemoglobin level of 2.4 g/dl and leukocytosis of 38.4 × 109/L. Immediate endotracheal intubation was necessary, followed by initiation of a massive transfusion protocol. Attempts to temporarily control the hemorrhage were unsuccessful due to the highly vascularized and friable nature of the mass. Given the urgency of the situation and the inability to control bleeding non-surgically, the patient was emergently taken to the operating room for a left lower extremity Syme's guillotine amputation (Figure 2)

Figure 2. Left Foot Following Guillotine Amputation at the Syme's Level. Published with Permission

Further workup revealedan additional soft tissue mass that measured 3.5 × 2.5 and was located in the left posterior calf cm. As a result of the preliminary pathological diagnosis of the original mass, which indicated it to be a highly malignant tumor, the new finding required further workup. Once the patient stabilized, an MRI of the left lower extremity was performed. These images revealed no evidence of osteomyelitis but did identify a 3.5 × 1.7 × 2.5 cm subcutaneous cystic structure in the left posterior calf (Figure 3).

Figure 3. Left Calf Metastasis: 3.5 x 1.7 x 2.5 cm Subcutaneous Cystic Structure. Published with Permission

Given the patient's initial presentation and the final pathology report that diagnosed the left foot mass as a poorly differentiated malignant neoplasm consistent with synovial sarcoma, metastatic malignancy was highly probable. The patient subsequently underwent incisional biopsy of the left calf mass—this pathology revealed a local metastatic tumor originating from the left foot.

The patient underwent a metastatic work up consisting of CT head, chest, abdomen and pelvis, all of which negative for distant metastases. Following negative metastatic work up, the patient underwent a completion of left lower extremity amputation via successful Gritti Stokes amputation (Figure 4) with concurrent groin sentinel lymph nodes biopsy for tumor staging.

Figure 4. Left Lower Extremity Status Post-Gritti-Stokes (AKA) Amputation. Published with Permission

Considering the size of left calf metastatic lesion (3.5 × 1.7 × 2.5 cm), we determined it would not be possible to achieve adequate negative margins by doing a standard BKA, thus the decision was made to perform a Gritti Stokes amputation (AKA). Surgical margins of amputation and all three lymph nodes were negative for metastasis. The remainder of the patient's hospital stay was uneventful, and he was successfully transferred to an acute rehab for ambulatory training and limb prosthesis. The patient had an oncology consultation while recovering in rehab, at which time there was discussion of adjuvant chemotherapy considering the metastasis to the left calf. However, due to the unclear role adjuvant chemo plays in the survival rates of patients with sarcomas, the case was deferred to a tumor board discussion. The patient was scheduled for outpatient oncology follow up, at which time the options were to be discussed. Unfortunately, the patient did not return for follow-up.

Discussion

Synovial sarcoma is a rare mesenchymal neoplasm that predominantly presents in the extremities, with 80% of tumors presenting in the extremities and the remaining 20% in trunk, retroperitoneal, abdomen, head and neck.1,2 These neoplasms account for approximately 8 to 10% of all soft tissue sarcomas,3 with an incidence of 800 to 1000 cases per year in the U.S.4 Although it is more common among adults in the third to fifth decades, it can also occur in adolescents of younger age.5 Synovial sarcomas affect both males and females, but some studies have suggested a slight predominance in males.6 In spite of favorable prognosis amongst the younger population, synovial sarcomas typically have a high metastatic potential, majority of which metastasize to the lungs.7,8 Additionally, metastatic lymph nodes are more common in synovial sarcomas than other soft tissue sarcomas, with an incidence of 10-12% as opposed to 3-5% for soft tissue sarcomas.9 With the incidence of lymph nodes metastases correlating to the extent of the disease.

Synovial sarcoma is a rare mesenchymal neoplasm that originates from the joint, bursae and/or tendon sheath.8 Even though it is termed as synovial sarcoma, it does not arise from synovial tissue, rather it is epithelial in origin.1,10 The histological features of synovial sarcoma include the coexistence of the cuboidal-columnar epithelial cells and elongated spindle fibrosarcoma like cells which make it unique among other soft tissue sarcomas.6 In addition, synovial sarcoma is considered to be a high grade sarcoma, in contrast to other soft tissue sarcomas which tend to have both high- and low-grade tumors.1 Synovial sarcoma usually presents with monophasic or biphasic histologic subtypes. Monophasic synovial sarcoma presents with only ovoid spindle cell morphology whereas biphasic synovial sarcoma presents with both spindle cell elements and epithelial components.1 However, the literature has more recently described a third histologic subtypes, a poorly differentiated synovial sarcoma.1

Over 90% of synovial sarcomas have chromosomal translocations between chromosome X and 18.5,6 The translocation t(X;18) (p11.2:q11.2) occurs between SYT gene of chromosome 18 and one of highly homologous genes (SSX1, SSX2 and SSX4) of the X chromosome.11,12 About two thirds of synovial sarcomas have a fusion of SYT/SSX1 chromosomes, while the other one-third have a fusion of SYT/SSX2 chromosomes. Only a few cases reported had fusion between SYT and SSX4.12,13

The treatment of synovial sarcomas is multimodal and includes approaches such as local wide excision surgery, amputation, chemotherapy, and/or radiation. The gold standard of treatment for primary synovial sarcoma is complete surgical resection of the tumor, with pathologic specimens having clean, tumor free margins.1 Surgery is considered to be the mainstay treatment for locally recurrent disease.1 In the event of local recurrences, amputations may be required when limb salvageable options are not viable. However, surgical options may be limited in the treatment of metastatic synovial sarcomas. Thus, it is also recommended that recurrent tumors be treated with neoadjuvant systemic therapy.1

The role of adjuvant radiation therapy for synovial sarcomas is similar to that of other soft tissue sarcomas. Adjuvant radiation therapy is indicated when tumor size is equal or greater than 5 cm.14 The use of chemotherapy in primary disease is controversial due to toxicity and unclear survival rate. Primary synovial sarcomas which are greater or equal to 5 cm have more than 50% chance of distant metastases,15 and in such cases there may be a role of chemotherapy as some studies have shown promising results of the survival rates from chemotherapy for the treatment of metastatic and pediatric synovial sarcomas.16,17

The prognosis of synovial sarcoma depends on factors such as age, size, location, histology, margin, mitotic activity, and tumor invasion to vasculature, bone, and or nerve. Many studies have indicated that synovial sarcomas have poor prognosis with a five-year survival rate ranging from 23.5 % to 51 %.18,19

Conclusion

Prompt diagnosis and intervention in synovial sarcoma, a rare malignancy with high metastatic and recurrence potential, is critical. Despite the patient's severe presentation, his hospital course remained relatively uneventful. Early recognition of the need for emergent guillotine amputation for bleeding control proved critical. Furthermore, the established knowledge of the aggressive nature of synovial sarcoma facilitated a swift medical workup and surgical intervention. This proactive approach minimized complications and facilitated a smooth recovery, allowing for the patient's discharge to acute rehabilitation.

Lessons Learned

This case underscores the critical role of well-defined protocols and swift intervention for emergent hemorrhage in atypical presentations like metastatic synovial sarcoma. The limited surgical options in such cases highlight the pressing need for further research to improve patient outcomes. Integrating these lessons into clinical practice can empower healthcare professionals to refine management strategies and ultimately improve the prognosis for synovial sarcoma patients.

Authors

Bhattarai P; Fluss G; Wallack M; Finlay D

Author Affiliation

Department of Surgery, Metropolitan Hospital Center, New York, NY 10029

Corresponding Author

Gabriella Fluss, PA-C
Department of Surgery
Metropolitan Hospital Center
1901 1st Avenue
New York, NY 10029
Email: gfluss1@gmail.com

Disclosure Statement

The authors have no conflicts of interest to disclose.

Funding/Support

The authors have no relevant financial relationships or in-kind support to disclose.

Received: December 20, 2021
Revision received: March 14, 2022
Accepted: April 5, 2022

References

  1. Eilber FC, Dry SM. Diagnosis and management of synovial sarcoma. J Surg Oncol. 2008;97(4):314-320. doi:10.1002/jso.20974
  2. Brennan M, Lewis J. Diagnosis and management of soft tissue sarcoma: CRC Press; 2002.
  3. Mastrangelo G, Coindre JM, Ducimetière F, et al. Incidence of soft tissue sarcoma and beyond: a population-based prospective study in 3 European regions. Cancer. 2012;118(21):5339-5348. doi:10.1002/cncr.27555
  4. Palmerini E, Staals EL, Alberghini M, et al. Synovial sarcoma: retrospective analysis of 250 patients treated at a single institution. Cancer. 2009;115(13):2988-2998. doi:10.1002/cncr.24370
  5. Herzog CE. Overview of sarcomas in the adolescent and young adult population. J Pediatr Hematol Oncol. 2005;27(4):215-218. doi:10.1097/01.mph.0000161762.53175.e4
  6. Gerner RE, Moore GE. Synovial sarcoma. Ann Surg. 1975;181(1):22-25. doi:10.1097/00000658-197501000-00006
  7. dos Santos NR, de Bruijn DR, van Kessel AG. Molecular mechanisms underlying human synovial sarcoma development. Genes Chromosomes Cancer. 2001;30(1):1-14. doi:10.1002/1098-2264(2000)9999:9999<::aid-gcc1056>3.0.co;2-g
  8. Armstrong AV Jr, Aedo A, Phelps S.v Synovial sarcoma: a case report. Clin Podiatr Med Surg. 2008;25(2):167-vi. doi:10.1016/j.cpm.2007.11.002
  9. Singer S, Baldini EH, Demetri GD, Fletcher JA, Corson JM. Synovial sarcoma: prognostic significance of tumor size, margin of resection, and mitotic activity for survival. J Clin Oncol. 1996;14(4):1201-1208. doi:10.1200/JCO.1996.14.4.1201
  10. Kempson RL, Fletcher CDM, Evans HL, Hendrickson MR, Sibley RK. Armed Forces Institute of Pathology. Washington, DC: 2001. Atlas of Tumor Pathology. Tumors of Soft Tissues. 3rd series. Fascicle 30; pp. 138–148.
  11. Sandberg AA, Bridge JA. Updates on the cytogenetics and molecular genetics of bone and soft tissue tumors. Synovial sarcoma. Cancer Genet Cytogenet. 2002;133(1):1-23. doi:10.1016/s0165-4608(01)00626-4
  12. Mitelman F, Johansson B, Mertens F, editors. Mitelman Database of chromosome aberrations in cancer (2007). https://cgap.nci.nih.gov/Chromosomes/Mitelman.
  13. dos Santos NR, de Bruijn DR, van Kessel AG. Molecular mechanisms underlying human synovial sarcoma development. Genes Chromosomes Cancer. 2001;30(1):1-14. doi:10.1002/1098-2264(2000)9999:9999<::aid-gcc1056>3.0.co;2-g
  14. Choong PF, Petersen IA, Nascimento AG, Sim FH. Is radiotherapy important for low-grade soft tissue sarcoma of the extremity?. Clin Orthop Relat Res. 2001;(387):191-199. doi:10.1097/00003086-200106000-00026
  15. Lewis JJ, Antonescu CR, Leung DH, et al. Synovial sarcoma: a multivariate analysis of prognostic factors in 112 patients with primary localized tumors of the extremity. J Clin Oncol. 2000;18(10):2087-2094. doi:10.1200/JCO.2000.18.10.2087
  16. Rosen G, Forscher C, Lowenbraun S, et al. Synovial sarcoma. Uniform response of metastases to high dose ifosfamide. Cancer. 1994;73(10):2506-2511. doi:10.1002/1097-0142(19940515)73:10<2506::aid-cncr2820731009>3.0.co;2-s
  17. Okcu MF, Munsell M, Treuner J, et al. Synovial sarcoma of childhood and adolescence: a multicenter, multivariate analysis of outcome. J Clin Oncol. 2003;21(8):1602-1611. doi:10.1200/JCO.2003.07.008
  18. Mackenzie DH. Synovial sarcoma. A review of 58 cases. Cancer. 1966;19(2):169-180. doi:10.1002/1097-0142(196602)19:2<169::aid-cncr2820190205>3.0.co;2-n
  19. Ariel IM, Pack GT. Synovial sarcoma. Review of 25 cases. N Engl J Med. 1963;268:1272-1275. doi:10.1056/NEJM196306062682305