Unsupported Browser
The American College of Surgeons website is not compatible with Internet Explorer 11, IE 11. For the best experience please update your browser.
Menu
Become a member and receive career-enhancing benefits

Our top priority is providing value to members. Your Member Services team is here to ensure you maximize your ACS member benefits, participate in College activities, and engage with your ACS colleagues. It's all here.

Become a Member
Become a member and receive career-enhancing benefits

Our top priority is providing value to members. Your Member Services team is here to ensure you maximize your ACS member benefits, participate in College activities, and engage with your ACS colleagues. It's all here.

Become a Member
ACS
ACS Case Reviews

A Unique Variation in the Intrahepatic and Extrahepatic Biliary Anatomy during Cholecystectomy

October 10, 2024

Abstract

Background

An intrahepatic choledochal cyst with anomalous drainage into the cystic duct was diagnosed during an elective cholecystectomy.

Summary

A 64-year-old woman with a history of biliary colic underwent an elective laparoscopic cholecystectomy. Dissection of the cystic duct and artery failed to achieve the critical view of safety, prompting conversion to open surgery for improved anatomical visualization. Even with open access, ambiguity persisted. An intraoperative cholangiogram (IOC) subsequently revealed an intrahepatic choledochal cyst (CDC) with an anomalous connection draining into the cystic duct (CD). The short cystic duct was ligated at the junction with the gallbladder infundibulum, preserving the anomalous duct draining the CDC. An outpatient MRCP was performed to assess potential malignancy in the CDC. This confirmed the IOC findings and ruled out malignancy. The patient recovered well and remains healthy over three years post-surgery. This case emphasizes the crucial role of conversion to open surgery during laparoscopic cholecystectomy when the critical view of safety cannot be established laparoscopically. Additionally, IOC serves as a valuable tool for delineating complex biliary anatomy.

Conclusion

This case report details a unique situation encountered during laparoscopic cholecystectomy: an intrahepatic choledochal cyst draining directly into the CD. This specific anatomical variant appears to be unreported in current medical literature.

The presence of aberrant biliary configurations is frequently observed during gallbladder removal procedures. In instances where the laparoscopic approach fails to establish a critical view of safety, conversion to open surgery with IOC is recommended. This shift in approach minimizes the risk of iatrogenic bile duct injury, particularly when dealing with atypical intrahepatic biliary anatomy, as seen in this case.

Key Words

choledochal cyst; aberrant biliary anatomy; conversion to open; intraoperative cholangiogram

Abbreviations


Case Description

A 64-year-old woman with a history of alcohol abuse (sober ten years), hepatitis C, and hyperlipidemia presented with intermittent epigastric pain for four years. Prior ultrasound confirmed gallstones. The pain occurred yearly, most recently after a fatty meal, radiating atypically to both flanks with a stronger left-sided sensation. HIDA scan, due to atypical presentations, revealed chronic duct obstruction, confirming chronic cholecystitis. The patient elected to proceed with cholecystectomy.

A laparoscopic approach was initiated in the usual fashion. Omental adhesions around the gallbladder's fundus and body were dissected. Dissection then focused on defining the triangle of Calot. The cystic duct was cleared circumferentially, and the cystic artery was identified within the triangle. However, a third structure resembling the common hepatic duct was encountered. Due to the inability to clearly visualize critical structures and ensure safety, the procedure was converted to open surgery.

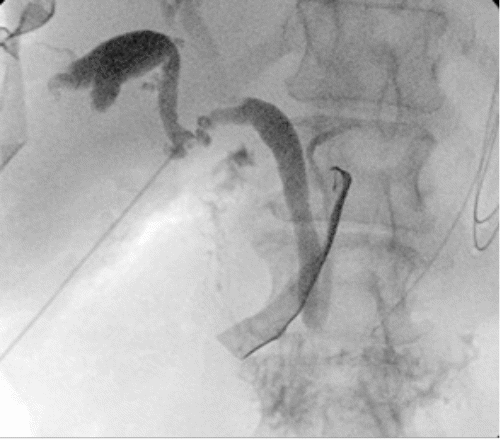
During laparoscopic cholecystectomy, the gallbladder dissection began at the fundus and progressed towards the liver bed. Upon entering the Calot's triangle, a structure resembling the cystic duct was identified, joining the common hepatic duct. However, an additional duct draining into the cystic duct, just beyond the infundibulum, indicated an anatomical anomaly. To further evaluate, an intraoperative cholangiogram was performed. This revealed a normal common bile duct, common hepatic duct, and left hepatic duct. However, a large anomalous duct draining the right liver lobe was visualized, consistent with a choledochal cyst. This anomalous duct emptied directly into the cystic duct (Figure 1A).

Therefore, the cystic duct was ligated between its origin at the infundibulum and the junction with the anomalous duct draining the choledochal cyst. A JP drain was placed for post-surgical drainage before closure. The patient's postoperative course was uneventful, allowing for discharge on postoperative day 3 with the JP drain removed. Her convalescence was uncomplicated.

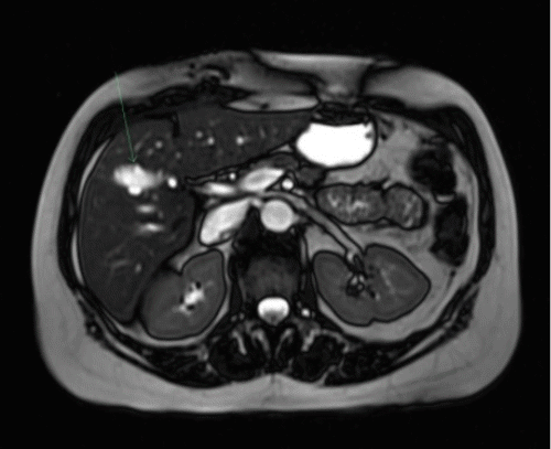
The final examination of the surgical pathology demonstrated chronic cholecystitis with cholelithiasis. Due to potential malignancy concerns within the intrahepatic choledochal cyst, a magnetic resonance cholangiopancreatography (MRCP) was performed two months following the cholecystectomy. This subsequent imaging revealed an anomalous finding—a fusiform dilatation of a specific right intrahepatic duct. This dilated duct drained a portion of segments 4B and 5 directly into the remnant of the cystic duct (Figures 1B and 1C). Notably, to the authors' knowledge, this is the first documented instance of such anomalous drainage of an intrahepatic choledochal cyst. The patient remained free of biliary symptoms one year after the index operation.

Figure 1. IOC and MRCP Depict Normal Biliary Anatomy with Choledochal Cyst. Published with Permission

A) IOC reveals a choledochal cyst (CDC) arising from the right side of the common bile duct (CBD) and draining directly into the cystic duct (CD)
A) IOC reveals a choledochal cyst (CDC) arising from the right side of the common bile duct (CBD) and draining directly into the cystic duct (CD)
B) MRCP demonstrates dilated intrahepatic ducts draining segments 4B and 5 (IH 4B/5) into the remnant of the cystic duct (R-CD) following cholecystectomy.
B) MRCP demonstrates dilated intrahepatic ducts draining segments 4B and 5 (IH 4B/5) into the remnant of the cystic duct (R-CD) following cholecystectomy.
C) MRCP demonstrates dilated intrahepatic ducts draining segments 4B and 5 (IH 4B/5) into the remnant of the cystic duct (R-CD) following cholecystectomy.
C) MRCP demonstrates dilated intrahepatic ducts draining segments 4B and 5 (IH 4B/5) into the remnant of the cystic duct (R-CD) following cholecystectomy.

Discussion

Choledochal cysts (CDC), though rare (occurring in roughly 1 per 150,000 individuals in North America),1 present an array of significant challenges during surgery, especially in achieving a safe operative field. This case report highlights this very concern.

A 64-year-old woman undergoing a laparoscopic cholecystectomy for biliary colic presented an unexpected intraoperative finding. Exploration revealed an intrahepatic choledochal cyst with an anomaly—drainage into the cystic duct. This unusual variant of an aberrant bile duct exemplifies the inherent variability encountered by surgeons.

The case emphasizes the crucial role of anatomical understanding and the importance of readily converting to open surgery and/or performing an intraoperative cholangiogram whenever concerns regarding biliary anatomy arise. This ensures a successful surgical outcome by mitigating potential complications arising from unexpected anatomical variations.

Furthermore, the text emphasizes a broader point—nearly a third of patients exhibit atypical biliary anatomy, with anomalies in either the intrahepatic or extrahepatic ducts and variations in the cystic artery.2

Our case presents an anomalous biliary duct configuration resembling the Huang type A5 variant, where a right posterior hepatic duct joins the cystic duct.3 However, this particular anomaly does not align with any existing Todani classification for choledochal cysts.

Therefore, we propose designating this unique anatomy—an intrahepatic choledochal cyst draining segments 5/8 through the right anterior duct into the cystic duct—as a novel Type VII variant.

This case highlights the inherent variability encountered during biliary tree development. The insertion point of the right posterior duct demonstrates significant divergence, with approximately 2% of individuals exhibiting drainage into the cystic duct.2 Consequently, during dissection within Calot's triangle to establish a critical view of the cystic duct, it is not unusual to encounter this variant. Care must be taken to avoid injury to this aberrant structure.

Similarly, the identification of a dilated cystic duct often suggests a Type VI choledochal cyst,4 prompting resection at the junction of the choledochal cyst with the common hepatic duct. In our patient, meticulous dissection and conversion to an open procedure allowed us to identify the anomalous drainage of the right anterior duct into the proximal cystic duct. IOC facilitated a comprehensive assessment of the biliary tree's anatomy, revealing an unexpected intrahepatic choledochal cyst involving the right anterior duct, draining segments 4b/5 into the cystic duct. This visualization enabled safe ligation of the short cystic duct without compromising the anomalous drainage.

The report then acknowledges the variability in the decision to convert a laparoscopic procedure to open surgery. While standardization remains challenging due to surgeon preference and case specifics,5 established factors predict when conversion becomes necessary. However, there are known factors that can predict the necessity for such a conversion. These factors include a thick gallbladder wall, male gender, age over 65, a contracted gallbladder, unclear anatomy, and acute cholecystitis.6 Regardless of the reasons, achieving a safe critical view of Calot's triangle is paramount. If proper retraction fails to provide this view, conversion to open surgery becomes crucial to minimize the risk of bile duct or arterial structures,7 which are two to five times more likely to occur during laparoscopic cholecystectomy compared to an open approach.8

According to SAGES, the IOC aims to identify bile duct stones, clarify biliary anatomy, and prevent bile duct injuries.9 However, there is no consensus on the optimal timing for performing an IOC during cholecystectomy. Surgeons might choose a routine or selective approach.

Selective IOC is typically employed when encountering intraoperative challenges like extensive inflammation, bleeding, necrosis, or abnormal anatomy.10 While the literature on IOC's definitive role in preventing injuries is inconclusive, it undeniably offers a detailed delineation of anatomy.5

Given the inherent unpredictability of biliary anatomy, surgeons must exercise constant vigilance for anomalies during laparoscopic cholecystectomy. A proactive stance that includes readiness to convert to open surgery when necessary and the utilization of IOC can minimize the risk of injuries to the biliary and vascular systems.

Conclusion

This specific biliary anatomy presents a unique variation not previously documented in the literature. This situation highlights the common challenge general surgeons face when encountering unexpected bile duct configurations. Recognizing the need for an immediate switch to an open procedure or performing an intraoperative cholangiography (IOC) becomes critical. This timely intervention minimizes the risk of injury to the ductal system.

Lessons Learned

Laparoscopic cholecystectomy is complicated by frequent biliary tree variations, increasing the risk of unintended bile duct injury during surgery with unclear anatomy. Intraoperative cholangiography offers a more precise delineation of the bile ducts. If uncertainty persists despite IOC, conversion to an open procedure provides a wider field for dissection, minimizing the risk of surgical complications.

Authors

Erickson Aa; Eguia Ea; Luchette Fa,b

Author Affiliations

  1. Department of Surgery, Loyola University Medical Center, Maywood, IL 60153
  2. Surgery Service Line, Edward Hines Jr. Veterans Administrative Hospital, Hines, IL 60141

Corresponding Author

Anne Erickson, MD
Department of Surgery
2160 S. 1st Avenue
Maywood, IL 60153
Email: anne.e.erickson@luhs.org

Disclosure Statement

The authors have no conflicts of interest to disclose.

Funding/Support

The authors have no relevant financial relationships or in-kind support to disclose.

Received: January 11, 2022
Revision received: February 26, 2022
Accepted: March 30, 2022

References

  1. Wiseman K, Buczkowski AK, Chung SW, Francoeur J, Schaeffer D, Scudamore CH. Epidemiology, presentation, diagnosis, and outcomes of choledochal cysts in adults in an urban environment. Am J Surg. 2005;189(5):527-531. doi:10.1016/j.amjsurg.2005.01.025
  2. Yeo CJ. Anatomy, Embryology, Anomalies, and Physiology of the Biliary Tract. Chapter 106. In: Shackelford's Surgery of the Alimentary Tract. 8th ed. Philadelphia, PA: Elsevier; 2019: 1249-66.
  3. El Hariri M, Riad M. Intrahepatic bile duct variation: MR cholangiography and implication in hepatobiliary surgery. Egypt J Radiol Nucl Med. 2019;50(1):78. doi.org/10.1186/s43055-019-0092-x
  4. De U, Das S, Sarkar S. Type VI choledochal cyst revisited. Singapore Med J. 2011;52(5):e91-e93.
  5. Hope WW, Fanelli R, Walsh DS, et al. SAGES clinical spotlight review: intraoperative cholangiography. Surg Endosc. 2017;31(5):2007-2016. doi:10.1007/s00464-016-5320-0
  6. Wakabayashi G, Iwashita Y, Hibi T, et al. Tokyo Guidelines 2018: surgical management of acute cholecystitis: safe steps in laparoscopic cholecystectomy for acute cholecystitis (with videos). J Hepatobiliary Pancreat Sci. 2018;25(1):73-86. doi:10.1002/jhbp.517
  7. Philip Rothman J, Burcharth J, Pommergaard HC, Viereck S, Rosenberg J. Preoperative Risk Factors for Conversion of Laparoscopic Cholecystectomy to Open Surgery - A Systematic Review and Meta-Analysis of Observational Studies. Dig Surg. 2016;33(5):414-423. doi:10.1159/000445505
  8. Sanford DE. An Update on Technical Aspects of Cholecystectomy. Surg Clin North Am. 2019;99(2):245-258. doi:10.1016/j.suc.2018.11.005
  9. Iwashita Y, Ohyama T, Honda G, et al. What are the appropriate indicators of surgical difficulty during laparoscopic cholecystectomy? Results from a Japan-Korea-Taiwan multinational survey. J Hepatobiliary Pancreat Sci. 2016;23(9):533-547. doi:10.1002/jhbp.375
  10. Flum DR, Dellinger EP, Cheadle A, Chan L, Koepsell T. Intraoperative cholangiography and risk of common bile duct injury during cholecystectomy. JAMA. 2003;289(13):1639-1644. doi:10.1001/jama.289.13.1639