Unsupported Browser
The American College of Surgeons website is not compatible with Internet Explorer 11, IE 11. For the best experience please update your browser.
Menu
Become a member and receive career-enhancing benefits

Our top priority is providing value to members. Your Member Services team is here to ensure you maximize your ACS member benefits, participate in College activities, and engage with your ACS colleagues. It's all here.

Become a Member
Become a member and receive career-enhancing benefits

Our top priority is providing value to members. Your Member Services team is here to ensure you maximize your ACS member benefits, participate in College activities, and engage with your ACS colleagues. It's all here.

Become a Member
ACS
ACS Case Reviews

Acute Mesenteric Ischemia: A Rare Complication Following Minimally Invasive Modified McKeown Laparoscopic Esophagectomy

October 10, 2024

Abstract

Background

Acute mesenteric ischemia (AMI) is a rare but life-threatening complication, occurring in approximately 1 out of every 1000 hospital admissions for acute abdominal pain. Embolization of the superior mesenteric artery (SMA) is the most frequent cause of both acute and chronic mesenteric ischemia. While AMI has been documented following open and laparoscopic surgeries, it is an extremely uncommon event.

Mesenteric venous thrombosis and non-occlusive mesenteric ischemia (vasospasm) have been proposed as potential causes of AMI after complex laparoscopic procedures like bariatric surgery and laparoscopic esophagectomy. This case report presents a unique case of AMI secondary to a mechanical obstruction of the SMA following laparoscopic esophagectomy.

A delay in diagnosis and treatment of AMI can lead to high morbidity and mortality. Therefore, vigilance and early exploration to rule AMI are paramount to avoid adverse outcomes.

Summary

A 70-year-old female underwent a minimally invasive modified McKeown (MIE) laparoscopic esophagectomy for squamous cell carcinoma (SCC) of the mid-esophagus (26 cm from the incisors). On postoperative day 5, the patient developed AMI, necessitating removal of a significant portion of the bowel.

The proposed mechanism in this rare case is an acute mechanical obstruction of the SMA secondary to a kink resulting from an adhesion and “iatrogenic” tension placed on the adhesion during MIE when the stomach conduit was pulled into the chest for esophagogastric anastomosis. Additionally, the patient had a prior history of extended laparoscopic transverse colectomy for colon cancer.

It is plausible that during the extended transverse colectomy, the collateral vessels between the inferior mesenteric artery (IMA) and SMA through the marginal artery of Drummond and the arc of Riolan (meandering mesenteric artery) were completely severed. As jejunostomy tube feedings were escalated starting on postoperative day 3, the increased metabolic demand and blood flow, coupled with the lack of collateral flow between the IMA and SMA and the acute mechanical obstruction of the SMA, likely resulted in poor perfusion and subsequent ischemia with nonviability of the distal jejunum, ileum, and right colon.

While an anastomotic leak is a well-known and serious complication following MIE, this case highlights the importance of considering AMI in the perioperative period to avoid significant morbidity and high mortality.

Conclusion

This case highlights a rare cause of AMI following laparoscopic esophagectomy (MIE) secondary to acute obstruction of SMA. Accordingly, a careful assessment of splanchnic circulation preoperatively and intraoperatively is warranted in preventing undue complications, especially in the setting of prior abdominal surgery in patients undergoing advanced abdominal laparoscopic procedures. Given the technical complexity of advanced laparoscopic procedures, in addition to technical competence, patient factors are important determinants of outcome.

Key Words

laparoscopic; adhesions; Pneumatosis intestinalis; delayed complication; small bowel mesentery


Case Description

A 70-year-old female with biopsy-proven squamous cell carcinoma (SCC) of the mid-esophagus underwent minimally invasive modified McKeown laparoscopic esophagectomy (MIE)1‒4 (Figure 1A). She had received neoadjuvant chemoradiation prior to surgery.5,6 Preoperative workup included a computed tomographic angiography (CTA) revealing patent mesenteric vessels (Figure 2) and a negative evaluation for metastatic disease (Table 1).

Figure 1. Schematic Representation. Illustration by Jamie Lynn

A) Preoperative: Depiction of esophageal squamous cell carcinoma located 26 cm from the incisors. A 5 cm gastric conduit is planned, preserving the right gastroepiploic artery for vascular supply.
A) Preoperative: Depiction of esophageal squamous cell carcinoma located 26 cm from the incisors. A 5 cm gastric conduit is planned, preserving the right gastroepiploic artery for vascular supply.
B) Postoperative: Following minimally invasive modified McKeown laparoscopic esophagectomy (MIE), the tumor is resected, the gastric conduit is transposed into the thoracic cavity, and an esophagogastric anastomosis is created in the neck.
B) Postoperative: Following minimally invasive modified McKeown laparoscopic esophagectomy (MIE), the tumor is resected, the gastric conduit is transposed into the thoracic cavity, and an esophagogastric anastomosis is created in the neck.
C) Pathophysiological: Fibrous adhesive band tethered posteriorly to the gastric conduit, encircling the superior mesenteric artery (arrow). Tension (iatrogenic) on this adhesion during gastric conduit transposition results in acute angulation and obstruction of the vessel.
C) Pathophysiological: Fibrous adhesive band tethered posteriorly to the gastric conduit, encircling the superior mesenteric artery (arrow). Tension (iatrogenic) on this adhesion during gastric conduit transposition results in acute angulation and obstruction of the vessel.

Figure 2. Preoperative CTA of Abdomen and Pelvis (C, D) with 3D Reconstruction (A, B) Revealing Patent Superior Mesenteric Artery (arrow). Published with Permission

Figure 2. Preoperative CTA of Abdomen and Pelvis (C, D) with 3D Reconstruction (A, B) Revealing Patent Superior Mesenteric Artery (arrow). Published with Permission
Figure 2. Preoperative CTA of Abdomen and Pelvis (C, D) with 3D Reconstruction (A, B) Revealing Patent Superior Mesenteric Artery (arrow). Published with Permission

Patient

History

Demographics

70-year-old Caucasian female

Past Medical History

Gastroesophageal reflex disease, hypertension, hyperlipidemia, hypothyroidism, and bilateral non-obstructing renal pelvis calculi and gallstones

Past Surgical History

Mastectomy left breast for infiltrating ductal carcinoma with breast reconstruction (DIEP) at age 47

Laparoscopic extended transverse colectomy for stage I adenocarcinoma of colon at age 67

Esophageal SCC Stage

pT3N0M0

Chemotherapy

Adjuvant chemotherapy for left breast cancer at age 45

Neoadjuvant chemotherapy for SCC of esophagus, three cycles, using Carboplatin and Paclitaxel, preoperatively

Radiation Therapy

Adjuvant radiation to chest for breast cancer at age 45

Radiation to chest for SCC of esophagus, preoperatively

Diagnostic Tests

PET-CT chest, abdomen, pelvis negative for metastatic disease

EGD, 2-cm mid esophageal SCC, 26-cm from incisors, (cT3N1M0)

EUS, SCC 26 cm from incisors, two small reactive lymph nodes (cT3N1M0)

CTA abdominal aorta, patent right gastroepiploic artery, celiac trunk, SMA and IMA, mild calcification wall of SMA

Table 1. Past Medical History

Patient

History

Demographics

70-year-old Caucasian female

Past Medical History

Gastroesophageal reflex disease, hypertension, hyperlipidemia, hypothyroidism, and bilateral non-obstructing renal pelvis calculi and gallstones

Past Surgical History

Mastectomy left breast for infiltrating ductal carcinoma with breast reconstruction (DIEP) at age 47

Laparoscopic extended transverse colectomy for stage I adenocarcinoma of colon at age 67

Esophageal SCC Stage

pT3N0M0

Chemotherapy

Adjuvant chemotherapy for left breast cancer at age 45

Neoadjuvant chemotherapy for SCC of esophagus, three cycles, using Carboplatin and Paclitaxel, preoperatively

Radiation Therapy

Adjuvant radiation to chest for breast cancer at age 45

Radiation to chest for SCC of esophagus, preoperatively

Diagnostic Tests

PET-CT chest, abdomen, pelvis negative for metastatic disease

EGD, 2-cm mid esophageal SCC, 26-cm from incisors, (cT3N1M0)

EUS, SCC 26 cm from incisors, two small reactive lymph nodes (cT3N1M0)

CTA abdominal aorta, patent right gastroepiploic artery, celiac trunk, SMA and IMA, mild calcification wall of SMA

DIEP (deep inferior epigastric perforator artery flap), SCC (squamous cell carcinoma), EGD (esophagogastroduodenoscopy), EUS (endoscopic ultrasound), PET-CT (positron emission topography-computed tomography), CTA (computed tomographic angiography), SMA (superior mesenteric artery), IMA (inferior mesenteric artery)

Following an on-table esophagogastroduodenoscopy (EGD) and flexible bronchoscopy, laparoscopic MIE was performed using a previously described technique.1‒4 The surgical procedure involved the following key steps:

  1. Thoracoscopic stage: Liberation of the intrathoracic esophagus and mediastinal lymph node dissection via video-assisted thoracoscopic surgery (VATS).7
  2. Laparoscopic stage: Mobilization of the stomach to create a 5 cm gastric conduit along with a feeding jejunostomy under direct laparoscopic visualization.
  3. Cervical stage: Dissection of the cervical esophagus with circumferential mobilization. The esophagogastric specimen containing the tumor was delivered into the neck and resected with clear margins. An esophagogastric anastomosis was then created in the neck to connect the cervical esophagus to the gastric conduit (Figure 1B).

On postoperative day 5, the patient complained of acute abdominal pain that was disproportionate to her physical exam findings despite pain control with intravenous (IV) narcotics. Initially, anastomotic leak was suspected.1‒4 However, a CT scan of the abdomen and pelvis revealed a distended bowel and pneumatosis of the bowel wall and concerning tapering of the distal SMA (Figure 3). Given these findings, the patient was taken to the operating room for emergent exploration.

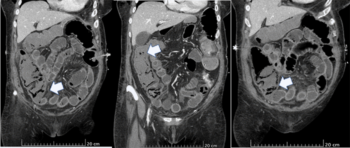
Figure 3. Abdominopelvic CT Scan Demonstrating Dilated Loops of Small and Large Bowel, with Distal Ileal and Right Colonic Ischemia Accompanied by Pneumatosis Intestinalis (arrow). Published with Permission

An exploratory laparotomy revealed dilated small bowel loops with areas of ischemia and necrosis involving the jejunum, distal ileum, and ascending colon. Evaluation of the mesenteric vasculature identified diminished pulsation in the SMA and a sharp kink caused by an adhesion/fibrous band encircling the vessel and pulling the vessel cephalad with adhesion tethered posteriorly to the mobilized stomach conduit (Figure 1C). Careful division of the adhesion resulted in immediate improvement of blood flow, appreciated by a strong, palpable pulse and pulse Doppler assessment demonstrating distal flow in the SMA and IMA.

Subsequently, the necrotic portion of the jejunum, distal ileum, and right colon were removed. Due to the bowel discontinuity, secondary to patchy necrosis and ongoing areas of questionable bowel viability, a temporary abdominal closure using vacuum-assisted closure was performed, with a planned second-look laparotomy anticipated.8 The second surgery, performed 48 hours later, confirmed no further areas of necrosis or malperfusion. Small bowel continuity was restored, and an end ileostomy was created.

Postoperative evaluation included a single-contrast esophagram at four weeks, which revealed patent anastomosis in the upper mediastinum with no evidence of anastomotic leak or stricture (Figure 4). At eight months, end ileostomy was reversed without complications and remained free of esophageal cancer at 27 months follow-up. However, despite dietary and lifestyle modifications, the patient continues to suffer from moderate gastroesophageal reflux disease (GERD) with post-prandial abdominal colic with cramping and intermittent bouts of explosive diarrhea.

Figure 4. Four Weeks Post-MIE Esophagram Demonstrating Patent Esophagogastric Anastomosis Without Evidence of Leak or Stricture. Published with Permission

Discussion

Acute mesenteric ischemia (AMI) is a rare but critical complication, affecting roughly 1 in every 1000 hospital admissions for acute abdominal pain. This risk increases significantly in patients over 70 years old, with estimates reaching up to 10%.9‒11 Delays in diagnosis and treatment can lead to high rates of morbidity and mortality.12

Arterial obstruction, encompassing embolism, thrombosis, infection, dissection, and vasospasm (nonocclusive mesenteric ischemia),9‒13 is more common in both acute and chronic mesenteric ischemia compared to venous obstruction.9 The SMA appears to be the most commonly involved vessel.

While rare, there have been documented cases of AMI in the setting of surgical conditions,14 including both open15 and laparoscopic approaches.16,17 Mesenteric venous thrombosis18,19 and nonocclusive mesenteric ischemia14 have been more commonly reported following laparoscopic procedures like sleeve gastrectomy,18,19 bowel resection,20 appendectomy.21 Open and laparoscopic ventral mesh implantation have also been associated with nonocclusive mesenteric ischemia.13,22

The critical distinction lies in the blood supply. Acute occlusion of the SMA can result in profound ischemia even with intact collateral circulation present, as visceral collaterals are insufficient to adequately perfuse the bowel in the distribution of the blocked artery.9 Conversely, in chronic mesenteric ischemia, the gradual occlusion of one or more vessels leads to slow but progressive enlargement of collaterals to accommodate the metabolic demands of the bowel.9,11,12 Therefore, the combination of a compromised collateral blood supply and occlusion of the SMA, a key vessel in the mesenteric circulation, can lead to a disastrous outcome.

This case highlights several factors that likely contributed to the development of AMI with subsequent loss of bowel following MIE. The key factor was occlusion of the SMA secondary to a kink caused by an adhesion and the tension (iatrogenic) created on the adhesion when the stomach conduit was pulled into the chest during MIE. In addition, the possibility of severed collaterals between the inferior mesenteric artery (IMA) and SMA (particularly those arising from prior extended transverse colectomy through the marginal artery of Drummond and the arc of Riolan [meandering mesenteric artery]) may have further compromised blood flow distal to the SMA obstruction. Furthermore, given the high-resistance nature of the mesenteric vasculature makes it susceptible to impaired regional perfusion from vasospasm,9 increased metabolic demand (escalation of enteral feedings)23,24 coupled with compromised blood flow of the mesenteric circulation, likely attributed to the development of AMI.

Preoperative assessment of celiac artery circulation should be routine in patients undergoing MIE to assess the patency of the vessels supplying the stomach conduit.1‒3,10‒12 Meanwhile, our case highlights the need for a thorough evaluation of mesenteric circulation, especially in the setting of prior abdominal surgeries (prevalent in 24.8% of MIE patients)1 or those undergoing advanced laparoscopic procedures. Despite adequate preoperative assessment, intraoperative and perioperative vigilance is key to preventing adverse outcomes. Successful patient outcomes require a comprehensive approach that considers patient factors, technical considerations, and the expertise of the surgical team.

Conclusion

This case report describes the first documented instance of acute mesenteric ischemia due to SMA thrombosis following laparoscopic esophagectomy. Delayed recognition and treatment of AMI can lead to significant morbidity and mortality. In the postoperative period, when a patient’s abdominal symptoms deviate from expected findings on physical examination, AMI, alongside anastomotic leak, should be included in the differential diagnosis to prevent catastrophic outcomes.

This case underscores the importance of meticulous pre-, intra-, and postoperative assessment of splanchnic circulation, especially in patients with a history of prior intra-abdominal surgery. This is particularly relevant for those undergoing complex laparoscopic abdominal procedures.

Lessons Learned

In the postoperative period, when a patient’s abdominal complaints appear inconsistent with physical examination findings, both AMI and anastomotic leak must be included in the differential diagnosis to prevent delays in treatment. Careful preoperative, intraoperative, and postoperative assessment of splanchnic circulation is crucial, especially for patients with prior intraabdominal surgery undergoing complex laparoscopic procedures. This vigilance can help mitigate the risk of undiagnosed AMI. It remains unclear whether a preoperative splanchnic angiography, considered the gold standard for evaluating arterial circulation, in place of CTA, especially in the setting of prior history of extended laparoscopic transverse colectomy could have influenced the outcome in this specific case. Given the patient’s history of prior extended laparoscopic transverse colectomy, a more comprehensive vascular assessment using a combination of CTA and contrast angiography might be warranted in similar cases with potential vascular compromise.

Authors

Foster A; Mohan S; Reiser J; Sharieff KA

Author Affiliation

Nova Southeastern University Patel College of Osteopathic Medicine, Clearwater, FL 33759

Corresponding Author

Khavir A. Sharieff, DO, MBA
Department of Surgery and Clinical Simulation
Nova Southeastern University Patel College of Osteopathic Medicine
3400 Gulf to Bay Boulevard
Clearwater, FL 33759
Email: ksharief@nova.edu

Disclosure Statement

The authors have no conflicts of interest to disclose. All images are original creations with input from all the authors.

Funding/Support

The authors have no relevant financial relationships or in-kind support to disclose.

Received: October 18, 2022
Revision received: June 18, 2023
Accepted: September 11, 2023

References

  1. Luketich JD, Pennathur A, Awais O, et al. Outcomes after minimally invasive esophagectomy: review of over 1000 patients. Ann Surg. 2012;256(1):95-103. doi:10.1097/SLA.0b013e3182590603
  2. Palazzo F, Rosato EL, Chaudhary A, et al. Minimally invasive esophagectomy provides significant survival advantage compared with open or hybrid esophagectomy for patients with cancers of the esophagus and gastroesophageal junction. J Am Coll Surg. 2015;220(4):672-679. doi:10.1016/j.jamcollsurg.2014.12.023
  3. Swanstrom LL, Hansen P. Laparoscopic total esophagectomy. Arch Surg. 1997;132(9):943-949. doi:10.1001/archsurg.1997.01430330009001
  4. Altorki N. En-bloc esophagectomy--the three-field dissection. Surg Clin North Am. 2005;85(3):611-xi. doi:10.1016/j.suc.2005.01.005
  5. van Hagen P, Hulshof MC, van Lanschot JJ, et al. Preoperative chemoradiotherapy for esophageal or junctional cancer. N Engl J Med. 2012;366(22):2074-2084. doi:10.1056/NEJMoa1112088
  6. Cools-Lartigue J, Spicer J, Ferri LE. Current status of management of malignant disease: current management of esophageal cancer. J Gastrointest Surg. 2015;19(5):964-972. doi:10.1007/s11605-014-2701-3
  7. Palanivelu C, Prakash A, Senthilkumar R, et al. Minimally invasive esophagectomy: thoracoscopic mobilization of the esophagus and mediastinal lymphadenectomy in prone position--experience of 130 patients. J Am Coll Surg. 2006;203(1):7-16. doi:10.1016/j.jamcollsurg.2006.03.016
  8. Meng X, Liu L, Jiang H. Indications and procedures for second-look surgery in acute mesenteric ischemia. Surg Today. 2010;40(8):700-705. doi:10.1007/s00595-009-4140-4
  9. Clair DG, Beach JM. Mesenteric Ischemia. N Engl J Med. 2016;374(10):959-968. doi:10.1056/NEJMra1503884
  10. Wyers MC. Acute mesenteric ischemia: diagnostic approach and surgical treatment. Semin Vasc Surg. 2010;23(1):9-20. doi:10.1053/j.semvascsurg.2009.12.002
  11. Oldenburg WA, Lau LL, Rodenberg TJ, Edmonds HJ, Burger CD. Acute mesenteric ischemia: a clinical review. Arch Intern Med. 2004;164(10):1054-1062. doi:10.1001/archinte.164.10.1054
  12. Pesantez M, Del Real A, Zamir A. The Urgent Need for Early Diagnosis and Treatment of Acute Mesenteric Ischemia: A Retrospective Study to Review Outcomes With Current Standard of Care. Am J Gastroenterol. 2020;115(10):S1635. doi: 10.14309/01.ajg.0000714472.52884.5b
  13. Qureshi SS, Neve RS, Raina SA, Mistry RC. Fatal non-occlusive mesenteric ischemia after esophagectomy. J Cancer Res Ther. 2010;6(1):112-113. doi:10.4103/0973-1482.63546
  14. Chait J, Duffy E, Marks N, Rajaee S, Hingorani A, Ascher E. Superior Mesenteric Artery Thrombosis after Necrotizing Pancreatitis. Ann Vasc Surg. 2019;59:307.e17-307.e20. doi:10.1016/j.avsg.2019.02.046
  15. Kim SH, Hwang HY, Kim MJ, Park KJ, Kim KB. Early laparoscopic exploration for acute mesenteric ischemia after cardiac surgery. Acute Crit Care. 2020;35(3):213-217. doi:10.4266/acc.2018.00423
  16. Luna-Jaspe C, Luna R, Duque P, Cabrera F. Portal mesenteric venous thrombosis after bariatric surgery: report on 3 cases and literature review. Obesity Surgery. 2015;25(11):1989-1990.
  17. Rottenstreich A, Elazary R, Kalish Y. Abdominal thrombotic complications following bariatric surgery. Surg Obes Relat Dis. 2017;13(1):78-84. doi:10.1016/j.soard.2016.05.012
  18. Tan SBM, Greenslade J, Martin D, Talbot M, Loi K, Hopkins G. Portomesenteric vein thrombosis in sleeve gastrectomy: a 10-year review. Surg Obes Relat Dis. 2018;14(3):271-275. doi:10.1016/j.soard.2017.12.010
  19. Alenazi NA, Ahmad KS, Essa MS, Alrushdan MS, Al-Shoaibi AM. Porto-mesenteric vein thrombosis following laparoscopic sleeve gastrectomy for morbid obesity: Case series and literature review. Int J Surg Case Rep. 2019;63:59-64. doi:10.1016/j.ijscr.2019.09.004
  20. Sivasambu B, Yogarajah M, Wilson T. Acute Portomesenteric Venous Thrombosis following Laparoscopic Small Bowel Resection and Ventral Hernia Repair. Case Rep Gastrointest Med. 2015;2015:851852. doi:10.1155/2015/851852
  21. Harris J, Blackwood N, Pillai S, Chiu B. Mesenteric vein thrombosis following laparoscopic appendectomy. J Pediatr Surg Case Rep. 2014;2(11):495-497. doi:10.1016/j.epsc.2014.10.005
  22. Hokamura N, Kato H, Watanabe H, Tachimori Y, Shimoda T, Nakanishi Y. Fulminant nonocclusive mesenteric ischemia developing just after esophagectomy. Hepatogastroenterology. 1999;46(29):2865-2867.
  23. Kurita D, Fujita T, Horikiri Y, Sato T, Fujiwara H, Daiko H. Non-occlusive mesenteric ischemia associated with enteral feeding after esophagectomy for esophageal cancer: report of two cases and review of the literature. Surg Case Rep. 2019;5(1):36. Published 2019 Feb 20. doi:10.1186/s40792-019-0580-2
  24. Albrecht HC, Trawa M, Gretschel S. Nonocclusive mesenteric ischemia associated with postoperative jejunal tube feeding: Indicators for clinical management. J Int Med Res. 2020;48(8):300060520929128. doi:10.1177/0300060520929128