Unsupported Browser
The American College of Surgeons website is not compatible with Internet Explorer 11, IE 11. For the best experience please update your browser.
Menu
Become a member and receive career-enhancing benefits

Our top priority is providing value to members. Your Member Services team is here to ensure you maximize your ACS member benefits, participate in College activities, and engage with your ACS colleagues. It's all here.

Become a Member
Become a member and receive career-enhancing benefits

Our top priority is providing value to members. Your Member Services team is here to ensure you maximize your ACS member benefits, participate in College activities, and engage with your ACS colleagues. It's all here.

Become a Member
ACS
ACS Case Reviews

Large Proliferating Trichilemmal Tumor (PTT) of the Occipital Scalp

July 8, 2024

Abstract

Background

Trichilemmal tumors, also known as pilar tumors or cysts, are benign lesions arising from the outer root sheath of the hair follicle. These keratin-filled, solid-cystic growths typically present with slow expansion in scalp regions with high hair follicle density.

While most trichilemmal tumors are benign, a rare subset undergoes rapid growth, classified as proliferating trichilemmal tumors (PTTs). Notably, despite their accelerated proliferation, PTTs often remain benign and non-invasive. However, a small risk of malignant transformation to trichilemmal carcinoma exists, along with potential for local invasion and distant metastasis, which can lead to significant morbidity and mortality.

Summary

A 71-year-old woman presented with an enlarging occipital scalp mass (18 months duration) that she delayed seeking medical attention for due to the COVID-19 pandemic. An incisional biopsy revealed a proliferating follicular cystic neoplasm, suggestive of a PTT. Preoperative CT scan confirmed no intracranial or skull invasion. Surgical resection with 1 cm margins was performed one month later. This wider margin selection by the surgeon considered the patient’s age, gender, and concerning features like the large, exophytic nature of the lesion with significant fungation. Final pathology confirmed PTT with no malignancy.

Conclusion

PTTs, uncommon scalp neoplasms, predominantly affect older women in high hair follicle density areas. When excising trichilemmal tumors, it is important for an experienced surgical pathologist to achieve clear margins and carefully examine the entire resected specimen to definitively rule out any foci of malignancy.

Key Words

trichilemmal tumor; trichilemmal cyst; pilar tumor; pilar cyst; proliferating trichilemmal tumor


Case Description

A 71-year-old woman with a history of hyperthyroidism and hypertension presented with an 18-month history of a progressively enlarging (10 × 8 cm) occipital scalp mass. Notably, she denied any neurological complaints (headache, dizziness, seizures, vision changes) and reported no prior similar lesions. The COVID-19 pandemic contributed to a delay in seeking medical attention. Examination revealed a multinodular, partially ulcerated, and firm mobile mass (Figure 1) with no apparent skull or periosteal attachment. A head and neck CT scan identified internal heterogenous calcifications and small cystic areas within the mass, with no signs of intracranial or skull invasion. An in-clinic incisional biopsy diagnosed a proliferating follicular cystic neoplasm.

Figure 1. Proliferating Trichilemmal Tumor. Published with Permission

A.

A) In vivo view of the scalp mass demonstrating its multinodular appearance
A) In vivo view of the scalp mass demonstrating its multinodular appearance

B.

B) Excised tumor specimen revealing a focus containing characteristic keratinaceous debris. Note the unremarkable overlying scalp with preserved hair follicles
B) Excised tumor specimen revealing a focus containing characteristic keratinaceous debris. Note the unremarkable overlying scalp with preserved hair follicles

A multidisciplinary approach involving surgical oncology and plastic surgery achieved successful tumor removal. The patient underwent radical resection of the scalp mass with 1 cm margins, followed by immediate reconstruction using a left lateral thigh split-thickness skin graft. The surgery occurred one month after initial presentation, with the tumor measuring 11.5 × 8.0 cm. Intraoperatively, no evidence of invasion into the skull or cranial cavity was found. Final pathology confirmed a proliferating trichilemmal tumor (PTT) (Figure 2). The patient recovered well postoperatively with successful skin graft healing, documented in Figure 3 at one week, three weeks, and seven months after surgery.

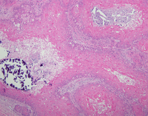
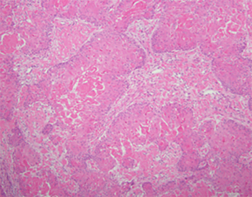
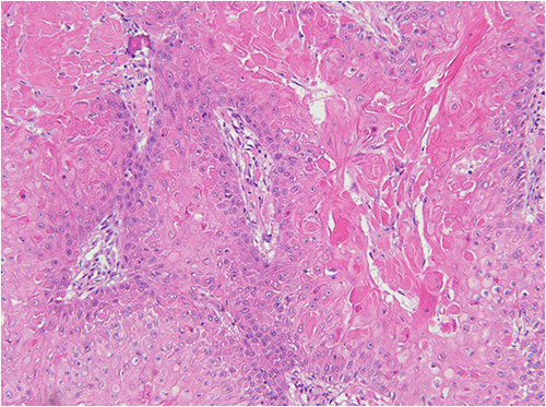
Figure 2. Histopathological Features of PTT. Published with Permission

A.

A, 100x) Dense clusters of squamous cells characterize the PTT
A, 100x) Dense clusters of squamous cells characterize the PTT

B.

B, 100x) Cystic regions with keratinization lacking a granular layer (arrow) and peripheral palisading of the basal layer are evident
B, 100x) Cystic regions with keratinization lacking a granular layer (arrow) and peripheral palisading of the basal layer are evident

C.

C, 200x) Squamous cells with minimal cytologic atypia and abundant keratin are observed
C, 200x) Squamous cells with minimal cytologic atypia and abundant keratin are observed

Figure 3. Serial Images Demonstrating Surgical Site Healing Progression. Published with Permission

A.

B.

C.

Discussion

Trichilemmal tumors, also known as pilar tumors, pilar cysts, or trichilemmal cysts, are benign neoplasms arising from the isthmus.1,2 Histologically, they lack a granular layer within the keratinized epithelium. These common lesions, affecting 5-10% of the population,3 predominantly occur in women (5:1 ratio) at an average age of 65.2 years.2,4 They typically grow slowly on the scalp, often unnoticed, in areas rich in hair follicles. However, approximately 2% of trichilemmal tumors exhibit rapid growth, categorized as PTTs. Notably, PTTs can also arise de novo without a preexisting trichilemmal tumor.3

PTTs, though known for rapid multiplication, are typically benign. However, malignant transformation to trichilemmal carcinoma can occur,2,5-7 particularly in older women; histologically, trichilemmal carcinoma resembles squamous cell carcinoma.6 Signs of potential malignancy include rapid growth of a previously slow-growing trichilemmal tumor and development of exophytic nodules.4

While local invasion by PTTs is documented,8 trichilemmal carcinomas have a higher invasive potential.9 Scalp involvement can extend to the skull and intracranial space,9 highlighting the importance of preoperative CT or MRI scans. Regional and distant metastasis are also possibilities with trichilemmal carcinoma.10

In many cases, malignant foci of trichilemmal carcinoma may be sequestered within a proliferating trichilemmal tumor (PTT) comprised of mostly benign tissue. Therefore, complete examination by an experienced pathologist is essential to rule out any potential trichilemmal carcinoma within the entire PTT specimen.

Due to their rarity, there is no single established standard of care for PTTs or trichilemmal carcinomas. Simple excision is typically used for PTTs, while malignant trichilemmal carcinomas require wider margins, often around 1 cm.2 Frozen section analysis during surgery is recommended to assess the margins of suspected PTTs for potential malignant foci that necessitate wider excision. Early identification and surgical removal of PTTs are crucial. This approach aims to prevent malignant transformation and achieve early eradication of trichilemmal carcinoma, which often arises from preexisting PTTs rather than developing independently.11 Timely intervention can prevent local invasion and metastasis associated with advanced trichilemmal carcinoma.

Wide local excision with 1 cm margins was chosen over simple excision due to several factors. The tumor’s large size, outward growth pattern, significant fungation, and rapid growth all raised concern for malignancy, particularly given the patient’s age and gender. These characteristics warranted a more aggressive approach than simple excision, which carries a documented 3.7% local recurrence rate.9 Importantly, the reconstructive plan involving a skin graft to cover the resulting defect was not significantly compromised by the 1 cm margins.

Conclusion

Proliferating trichilemmal tumors (PTTs) are uncommon neoplasms that occur most commonly in areas of high hair follicle density in older women. Given the rarity of the disease, there is currently no universally accepted standard of care. However, timely diagnosis and surgical excision remain paramount to prevent malignant transformation. A personalized approach is crucial, weighing factors like tumor characteristics, patient demographics, and malignancy risk to determine the most appropriate management strategy.

Lessons Learned

Complete excision with clear margins and meticulous examination by an experienced surgical pathologist are essential for PTT management. This collaborative approach minimizes recurrence risk and ensures detection of any malignancy.

Authors

Noorbakhsh SI; Harris BR; Adelanwa AO; Thomay AA

Author Affiliation

West Virginia University School of Medicine, Morgantown, WV 26505

Corresponding Author

Alan A. Thomay, MD, FACS
Department of Surgery
1 Stadium Drive
Morgantown, WV 26505
Email: aathomay@hsc.wvu.edu

Disclosure Statement

The authors have no conflicts of interest to disclose.

Funding/Support

The authors have no relevant financial relationships or in-kind support to disclose.

Received: June 3, 2021
Revision received: August 19, 2021
Accepted: January 24, 2022

References

  1. Brownstein MH, Arluk DJ. Proliferating trichilemmal cyst: a simulant of squamous cell carcinoma. Cancer. 1981;48(5):1207-1214. doi:10.1002/1097-0142(19810901)48:5<1207::aid-cncr2820480526>3.0.co;2-1
  2. Kim UG, Kook DB, Kim TH, Kim CH. Trichilemmal Carcinoma from Proliferating Trichilemmal Cyst on the Posterior Neck. Arch Craniofac Surg. 2017;18(1):50-53. doi:10.7181/acfs.2017.18.1.50
  3. Ramaswamy AS, Manjunatha HK, Sunilkumar B, Arunkumar SP. Morphological spectrum of pilar cysts. N Am J Med Sci. 2013;5(2):124-128. doi:10.4103/1947-2714.107532
  4. Markal N, Kurtay A, Velidedeoğlu H, Hücümenoğlu S. Malignant transformation of a giant proliferating trichilemmal tumor of the scalp: patient report and literature review. Ann Plast Surg. 1998;41(3):314-316. doi:10.1097/00000637-199809000-00017
  5. Sethi S, Singh UR. Proliferating trichilemmal cyst: report of two cases, one benign and the other malignant. J Dermatol. 2002;29(4):214-220. doi:10.1111/j.1346-8138.2002.tb00252.x
  6. Trabelsi A, Stita W, Gharbi O, Kanani N, Sriha B, Korbi S. Malignant proliferating trichilemmal tumor of the scalp: a case report. Dermatol Online J. 2008;14(8):11. Published 2008 Aug 15.
  7. Amaral AL, Nascimento AG, Goellner JR. Proliferating pilar (trichilemmal) cyst. Report of two cases, one with carcinomatous transformation and one with distant metastases. Arch Pathol Lab Med. 1984;108(10):808-810.
  8. López-Ríos F, Rodríguez-Peralto JL, Aguilar A, Hernández L, Gallego M. Proliferating trichilemmal cyst with focal invasion: report of a case and a review of the literature. Am J Dermatopathol. 2000;22(2):183-187. doi:10.1097/00000372-200004000-00018
  9. Satyaprakash AK, Sheehan DJ, Sangüeza OP. Proliferating trichilemmal tumors: a review of the literature. Dermatol Surg. 2007;33(9):1102-1108. doi:10.1111/j.1524-4725.2007.33225.x
  10. Goyal S, Jain BB, Jana S, Bhattacharya SK. Malignant proliferating trichilemmal tumor. Indian J Dermatol. 2012;57(1):50-52. doi:10.4103/0019-5154.92679
  11. Ye J, Nappi O, Swanson PE, Patterson JW, Wick MR. Proliferating pilar tumors: a clinicopathologic study of 76 cases with a proposal for definition of benign and malignant variants. Am J Clin Pathol. 2004;122(4):566-574. doi:10.1309/0XLEGFQ64XYJU4G6