Unsupported Browser
The American College of Surgeons website is not compatible with Internet Explorer 11, IE 11. For the best experience please update your browser.
Menu
Become a member and receive career-enhancing benefits

Our top priority is providing value to members. Your Member Services team is here to ensure you maximize your ACS member benefits, participate in College activities, and engage with your ACS colleagues. It's all here.

Become a Member
Become a member and receive career-enhancing benefits

Our top priority is providing value to members. Your Member Services team is here to ensure you maximize your ACS member benefits, participate in College activities, and engage with your ACS colleagues. It's all here.

Become a Member
ACS
ACS Case Reviews

Recurrent Retrograde Intussusception Despite Revision of Jejunojejunal Anastomosis

July 8, 2024

Abstract

Background

Roux-en-Y gastric bypass (RYGB) rarely presents with intussusception, with an incidence of approximately 0.1-0.3%. This case report describes a unique presentation of recurrent retrograde intussusception following revision of the jejunojejunal (JJ) anastomosis after the initial episode. We conducted a concurrent literature review to identify optimal management strategies aimed at minimizing recurrence risk.

Summary

A 34-year-old woman with a history of laparoscopic RYGB in 2011 presented four years post-surgery with a small bowel obstruction localized at the jejunojejunal (JJ) anastomosis. Intraoperatively, a retrograde intussusception of four feet of the distal common channel into the area of the JJ anastomosis was identified and successfully reduced. However, she returned to the operating room on postoperative day 1 due to sepsis, where several areas of necrosis were discovered along the entire previously intussuscepted bowel. This necessitated the resection of four feet of the common channel and reconstruction of the JJ anastomosis. Five years later, she experienced a recurrence of retrograde intussusception at the JJ anastomosis, which was managed with laparoscopic reduction without the need for bowel resection.

Conclusion

Patients with RYGB can present with recurrent retrograde intussusception. Revision of JJ anastomosis (8.9% recurrence) and reduction with enteropexy (6.7% recurrence) is associated with a lower risk of recurrence compared to reduction or enteropexy only (35.9% recurrence). Nonoperative management is also associated with a high risk of recurrence (25%) but may be considered in stable patients without peritonitis who are poor operative candidates.

Key Words

recurrent retrograde intussusception; Roux-en-Y gastric bypass; surgical management

Abbreviations

RYGB: Roux-en-Y gastric bypass
JJ anastomosis: jejunojejunal anastomosis
GERD: gastroesophageal reflux disease
DM: diabetes mellitus


Case Description

Intussusception is a rare complication of Roux-en-Y gastric bypass (RYGB), with a reported incidence of about 0.1-0.3%.1 It has been described mostly in case reports and a few case series. There may be an increase in the number of cases of intussusception given the rapid increase in the rate of bariatric surgery, as evidenced by a report from the American Society for Metabolic and Bariatric Surgery, which indicated a 60% increase from 2011 to 2018.2 We describe a rare case of recurrent retrograde intussusception despite revision of jejunal-jejunal (JJ) anastomosis after the first episode of intussusception. We also reviewed the literature to determine the optimal management to reduce the risk of recurrence.

A 34-year-old woman underwent laparoscopic RYGB surgery in 2011 due to morbid obesity (BMI 35.5), gastroesophageal reflux disease (GERD), and diabetes mellitus (DM). The hepatobiliary and Roux limb were created at 50 cm and 100 cm, respectively. Four years post-RYGB, she presented to the emergency department (ED) with a twelve-hour history of increasingly sharp epigastric pain associated with multiple episodes of emesis. She did not report constipation or abdominal swelling upon arrival. Her BMI at presentation was 25.1, and her vital signs were stable (afebrile, heart rate 72 beats/min, blood pressure 150/82 mmHg, respiratory rate 20 breaths/min). Upon examination, she exhibited tenderness in the epigastric region but no guarding or rebound tenderness. Laboratory results indicated a white blood cell count of 11,300/mcL, lactic acid level of 1.6 mmol/L, sodium level of 133 mmol/L, and ionized calcium level of 1.05 mmol/L. A CT scan of the abdomen and pelvis (see Figure 1) revealed a small bowel obstruction with the point of blockage at the JJ anastomosis, along with dilation of the hepatobiliary and Roux limb.

Due to concerns regarding intussusception and dilation of the gastric remnant, the patient underwent emergency exploratory laparotomy. During the procedure, retrograde intussusception of the distal common channel into the area of the JJ anastomosis was discovered. The intussusception was wholly reduced, revealing a length of four feet for the intussusceptum. Although the bowel appeared edematous, there were no signs of necrosis, so bowel resection was not performed. To prevent recurrence, the distal end of the common channel involved in the intussusception was sutured to the hepatobiliary limb.

On the first postoperative day (POD), the patient developed increasing leukocytosis and lactic acidosis, necessitating re-exploration of the abdomen. The patient was found to have several areas of necrosis along the entire length of the previously intussuscepted bowel. Consequently, four feet of bowel in the common channel and the distal ten centimeters of the hepatobiliary and Roux limbs were resected. The common limb was then anastomosed to the Roux limb, and the hepatobiliary limb was anastomosed just distal to the anastomosis using a gastro-intestinal anastomosis (GIA) stapler. The patient recovered well after the surgery.

Figure 1. CT Scan Demonstrating Intussusception. Published with Permission

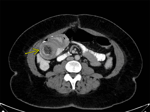
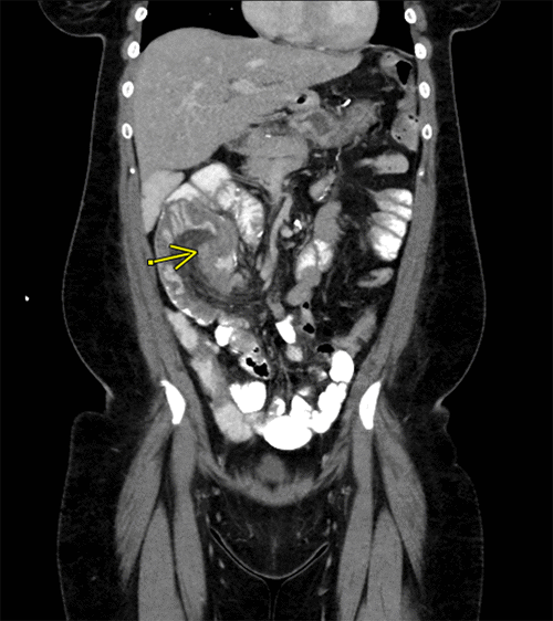
Nine years post-RYGB, the patient presented to the ED once again with complaints of intermittent abdominal pain for one week. Notably, she did not report experiencing nausea, obstipation, or abdominal distention. Upon presentation, her BMI was 32.5, and her vital signs were stable. During the abdominal examination, periumbilical tenderness was noted. Laboratory tests revealed a white blood cell count (WBC) of 7300/mcl; electrolyte levels were within the normal range. A CT scan (Figures 2 and 3) showed a small bowel intussusception involving the ileum, spanning approximately 20 cm, with signs of partial obstruction. Subsequently, the patient underwent a diagnostic laparoscopy, which revealed retrograde intussusception of the common channel at the anastomosis. Fortunately, the intussusceptum was easily reducible, and there were no indications of necrosis or edema. No bowel resection or enteropexy was deemed necessary. Following the procedure, the patient experienced an uneventful postoperative recovery, and she was discharged on POD 1.

Figure 2. Coronal CT Image Demonstrating Intussusception at Second Presentation. Published with Permission

Figure 3. Axial CT Image Demonstrating Intussusception at Second Presentation. Published with Permission

Discussion

Intussusception is defined as the invagination of the proximal segment of the bowel into an immediately distal segment of the bowel.3 Intussusception is a rare pathology in adults, constituting 5% of all cases of intussusception and almost 1-5% of cases of bowel obstruction.4 Almost 90% of intussusceptions in adults are secondary to pathologic conditions that serve as lead points like polyps, carcinomas, Meckel’s diverticulum, colonic diverticulum, and benign neoplasms.5 Due to the increasing popularity of bariatric surgery, there have been multiple reports of intestinal intussusception following RYGB, jejunoileal bypass, and Billroth II gastrectomy.6

Unlike the well-defined role of pathological lead points in causing antegrade intussusception, the mechanism behind retrograde intussussuception following bariatric surgery remains unclear. One hypothesis proposes that transecting the jejunum during RYGB disrupts the influence of natural pacemakers in the duodenum. This disruption is thought to trigger the formation of ectopic pacemakers within the Roux limb.7The electrical activity from these ectopic pacemakers is believed to propagate in both directions, proximodistally. This creates a segment of dysmotility within the bowel, potentially leading to retrograde intussusception in these patients.8

Risk factors for post-gastric bypass intussusception include female gender, younger age, and substantial weight loss. A large case series reported an average patient age of 45 ± 8.6 years, a mean BMI of 43.1 ± 8.2 kg/m² at RYGB surgery, and a mean BMI of 28.3 ± 5.8 kg/m² at intussusception presentation. Additionally, 30 out of 34 patients were female.9Notably, our patient’s preoperative BMI (35.5) aligns with previously reported values, but their BMI at intussusception presentation (25.1) falls below the series average.

For patients presenting with non-specific symptoms like diffuse abdominal pain, nausea, and vomiting, imaging plays a crucial role in diagnosing intussusception. A literature review by Singla et al. suggests CT scans offer the highest diagnostic yield, with an accuracy rate of 81%. Conversely, abdominal radiographs (6.4%), intraoperative exploration (6.4%), small bowel follow-through (4.3%), and ultrasound (2.1%) yielded significantly lower diagnostic rates.10

Early surgical intervention is warranted for patients presenting with intussusception. Various surgical options have been described, including reduction, reduction with enteropexy, and revision of JJ anastomosis. The best management is not clearly defined. In 2012, a review of cases involving 71 patients suspected of intussusception on imaging was conducted. Among these patients, 68 (96%) underwent surgery. Of these surgical cases, 51 patients (75%) were diagnosed with retrograde intussusception, 8 patients (11.8%) had antegrade intussusception, and details for the remaining 9 cases (13.2%) were not specified. Surgical interventions included 48 patients (70.6%) who underwent revision of anastomosis with small bowel resection, 16 patients (23.5%) who underwent surgical reduction without resection, and 4 patients (5.9%) who were treated with plication only. Recurrence of intussusception occurred in 9 patients (13.2%), with four of these patients having previously undergone revision of anastomosis with small bowel resection.10

Orthopoulos et al. conducted a case series involving 34 patients with radiological evidence of intussusception. Of these patients, 33 underwent surgery. Among them, 14 presented with acute intussusception during surgery, while 11 had retrograde intussusception. Treatment approaches included reduction and enteropexy for 20 patients, revision of jejunojejunal anastomosis in 5 patients, reduction alone in 2 patients, and diagnostic laparoscopy with no evidence of intussusception in 6 patients. Eight patients experienced a recurrence of intussusception, with only one undergoing a revision of jejunojejunal anastomosis during the index operation.11

Poliakin et al.’s retrospective study identified 34 cases of intussusception, with 15 requiring surgical intervention. Of the surgical cases, eight involved retrograde intussusception. Reduction and enteropexy were the most common surgical approaches (7/15). Other procedures included simple reduction (5/15) and revision of the jejunoileostomy (JJ revision, 3/15). Notably, seven patients experienced recurrence, with most (5/7) having only undergone reduction during the initial surgery.12

A review of the presented cases (Table 1) suggests revision of the jejunojejunostomy (JJ) anastomosis (8.9% recurrence) and reduction with enteropexy (6.7% recurrence) as potentially superior approaches to isolated reduction or enteropexy alone (35.9% recurrence) for recurrent intussusception. A separate analysis of recurrence rates for reduction-only and enteropexy-only groups was not possible due to combined reporting in Singla et al.’s study. Nonoperative management, while attempted in a few cases, carries a high recurrence risk (25%). It may be considered for hemodynamically stable patients without peritonitis or those deemed poor surgical candidates but with the caveat of a higher likelihood of future recurrence. In our case, the decision for reduction without enteropexy or JJ revision was based on minimizing invasiveness, given the limited data available at the time regarding the optimal surgical approach for minimizing recurrence.

  

  

Type of intussusception

Management

Total Cases

Retrograde

Antegrade

Unspecified

Other Pathology Noted

Nonoperative

Revision of JJ Anastomosis

Reduction-only

Enteropexy-only

Reduction and Enteropexy

Diagnostic Laparoscopy

Singla et al.

71

51

8

9

-

3

48

16

4

-

-

Orthopoulos et al.

34

11

3

19

-

1

5

2

12

8

6

Poliakin et al.

34

8

-

7

11

8

3

5

-

7

-

Total

139

70

11

35

11

12

56

23

16

15

6

Recurrence of intussusception

  

  

  

  

  

3

5

14

  

1

2

% of reoccurrence

  

  

  

  

  

25

8.9

  35.9

  

6.7

33.3

Table 1. Intussusception Management & Recurrence (3 Case Series).

  

  

Type of intussusception

Management

Total Cases

Retrograde

Antegrade

Unspecified

Other Pathology Noted

Nonoperative

Revision of JJ Anastomosis

Reduction-only

Enteropexy-only

Reduction and Enteropexy

Diagnostic Laparoscopy

Singla et al.

71

51

8

9

-

3

48

16

4

-

-

Orthopoulos et al.

34

11

3

19

-

1

5

2

12

8

6

Poliakin et al.

34

8

-

7

11

8

3

5

-

7

-

Total

139

70

11

35

11

12

56

23

16

15

6

Recurrence of intussusception

  

  

  

  

  

3

5

14

  

1

2

% of reoccurrence

  

  

  

  

  

25

8.9

  35.9

  

6.7

33.3

Conclusion

While rare, retrograde intussusception following RYGB carries significant morbidity. Female patients, younger individuals, and those experiencing substantial weight loss are more susceptible. However, a high index of suspicion is crucial for all post-RYGB patients presenting with bowel obstruction. Urgent surgical intervention is recommended, ideally including both reduction and enteropexy or revision of the anastomosis to minimize recurrence risk. Evidence suggests nonoperative management, reduction alone, or solely enteropexy are associated with higher recurrence rates.

Lessons Learned

The optimal surgical approach for recurrent intussusception following RYGB remains under investigation. Collaboration between surgeons, gastroenterologists, and other specialists can provide a comprehensive evaluation and potentially identify underlying causes or contributing factors beyond anatomical issues. While revision of the JJ anastomosis aims to address the anatomical abnormality, its efficacy in preventing recurrence requires further study. In some cases, additional techniques, such as bowel resection or alternative reconstruction methods, may be necessary.

Authors

Samad MA; Shelton J; Asplund M; Shih-Della Penna DC; Ryan JP

Author Affiliation

Department of Surgery, WellSpan York Hospital, York, PA 17403

Corresponding Author

Muhammad Adeel Samad, MD
WellSpan York Hospital
Department of Surgery
1001 S. George Street
2 Main, Surgical Services
York, PA 17403
Email: adeelsamad28@gmail.com

Disclosure Statement

The authors have no conflicts of interest to disclose.

Funding/Support

The authors have no relevant financial relationships or in-kind support to disclose.

Received: November 13, 2021
Revision received: February 1, 2022
Accepted: February 7, 2022

References

  1. Singla S, Guenthart BA, May L, Gaughan J, Meilahn JE. Intussusception after laparoscopic gastric bypass surgery: an underrecognized complication. Minim Invasive Surg. 2012;2012:464853. doi:10.1155/2012/464853
  2. English WJ, DeMaria EJ, Hutter MM, et al. American Society for Metabolic and Bariatric Surgery 2018 estimate of metabolic and bariatric procedures performed in the United States. Surg Obes Relat Dis. 2020;16(4):457-463. doi:10.1016/j.soard.2019.12.022
  3. Marsicovetere P, Ivatury SJ, White B, Holubar SD. Intestinal Intussusception: Etiology, Diagnosis, and Treatment. Clin Colon Rectal Surg. 2017;30(1):30-39. doi:10.1055/s-0036-1593429
  4. Lianos G, Xeropotamos N, Bali C, Baltoggiannis G, Ignatiadou E. Adult bowel intussusception: presentation, location, etiology, diagnosis and treatment. G Chir. 2013;34(9-10):280-283.
  5. Mahmood A, Mahmood N, Robinson RB. Small Bowel Intussusception: A Dangerous Sequela of Bariatric Surgery. Radiol Case Rep. 2016;2(1):10-12. Published 2016 Jan 5. doi:10.2484/rcr.v2i1.63
  6. Tu BN, Kelly KA. Motility Disorders after Roux-en-Y Gastrojejunostomy. Obes Surg. 1994;4(3):219-226. doi:10.1381/096089294765558412
  7. Kumar A, Ogbonda S, Persaud P, Shiwalkar N. Retrograde Intussusception after Roux-en-Y Gastric Bypass. Cureus. 2020;12(6):e8825. Published 2020 Jun 25. doi:10.7759/cureus.8825
  8. Poliakin LA, Sundaresan N, Hui B, et al. S146-Jejunojejunal intussusception after roux-En-Y gastric bypass: a case series of 34 patients. Surg Endosc. 2021;35(8):4632-4637. doi:10.1007/s00464-020-07889-7
  9. Singla S, Guenthart BA, May L, Gaughan J, Meilahn JE. Intussusception after laparoscopic gastric bypass surgery: an underrecognized complication. Minim Invasive Surg. 2012;2012:464853. doi:10.1155/2012/464853
  10. Orthopoulos G, Grant HM, Sharma P, Thompson E, Romanelli JR. S054: incidence and management of jejunojejunal intussusception after Roux-en-Y gastric bypass: a large case series. Surg Endosc. 2020;34(5):2204-2210. doi:10.1007/s00464-019-07009-0
  11. Poliakin LA, Sundaresan N, Hui B, et al. S146-Jejunojejunal intussusception after roux-En-Y gastric bypass: a case series of 34 patients. Surg Endosc. 2021;35(8):4632-4637. doi:10.1007/s00464-020-07889-7