Unsupported Browser
The American College of Surgeons website is not compatible with Internet Explorer 11, IE 11. For the best experience please update your browser.
Menu
Become a member and receive career-enhancing benefits

Our top priority is providing value to members. Your Member Services team is here to ensure you maximize your ACS member benefits, participate in College activities, and engage with your ACS colleagues. It's all here.

Become a Member
Become a member and receive career-enhancing benefits

Our top priority is providing value to members. Your Member Services team is here to ensure you maximize your ACS member benefits, participate in College activities, and engage with your ACS colleagues. It's all here.

Become a Member
ACS
ACS Case Reviews

Jejunal Desmoid Tumor After Roux-en-Y Gastric Bypass Mimicking GIST

July 8, 2024

Abstract

Background

Intraabdominal desmoid tumors are benign fibrous masses, accounting for approximately 0.03% of all neoplasms. In the setting of bariatric surgery, desmoid tumors are exceptionally uncommon, with just two prior reports. We present the first case of a jejunal desmoid tumor diagnosed two years after Roux-en-Y gastric bypass (RYGB).

Summary

A 41-year-old woman with a history of Roux-en-Y gastric bypass (RYGB) two years prior for morbid obesity presented with diffuse abdominal pain, nausea, and malaise. Computed tomography (CT) scan revealed a 6 cm mass in the mesentery near the jejunojejunostomy and gastrojejunostomy. Given these findings, magnetic resonance imaging (MRI) was ordered, demonstrating a 6.8 × 5.6 × 6.8 cm cystic-solid mass arising from the proximal jejunal wall near the anastomosis, suggestive of a gastrointestinal stromal tumor (GIST). Exploratory laparotomy revealed a large, solid tumor originating from the redundant jejunal segment of the biliopancreatic limb post-RYGB. Resection of the redundant jejunum with the tumor was performed, preserving the jejunojejunostomy. Histopathology and immunohistochemistry confirmed the mass as a desmoid tumor.

Conclusion

Desmoid tumors arising from the jejunum are exceptionally rare, with their diagnosis relying solely on case reports scattered throughout the literature. This case presentation contributes to this limited knowledge base by documenting the first reported instance of a jejunal DT developing specifically after RYGB surgery.

Key Words

desmoid tumor; Roux-en-Y gastric bypass; bariatric surgery


Case Description

A 41-year-old woman presents with a triad of mild diffuse abdominal pain, nausea, and malaise. Abdominal CT scan revealed a 6 cm cystic-solid heterogenous complex mass in the left upper quadrant (Figure 1). Her past medical history is significant for morbid obesity, currently controlled hypertension, and prediabetes status following Roux-en-Y gastric bypass (RYGB) two years prior. Surgical history includes left salpingectomy for ectopic pregnancy in 2006 and total laparoscopic hysterectomy for cervical intraepithelial neoplasia grade 2 (CIN-2), dysfunctional uterine bleeding, and severe dysmenorrhea in 2011. Family history is notable for breast cancer in her sister and trisomy 4 in her eldest son. Physical exam revealed only mild left upper quadrant abdominal tenderness.

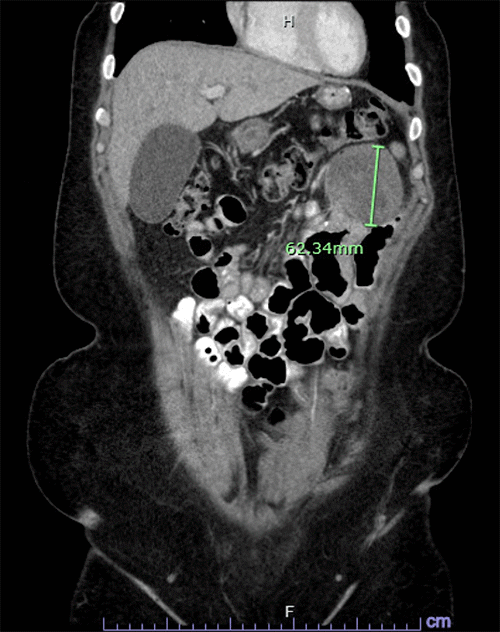
Figure 1. CT Scan of Well-defined Heterogeneous Mass in Left Upper Quadrant. Published with Permission

A.

Horizontal view (★tumor)
Horizontal view (★tumor)

B.

B) coronal view
B) coronal view

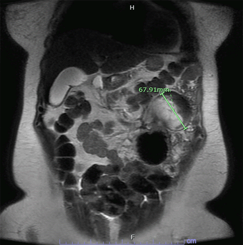
MRI further characterized the abdominal mass, revealing a 6.8 cm lesion arising from the proximal jejunal wall near the left upper quadrant gastrojejunostomy anastomosis. The mass exhibited ill-defined central enhancement with peripheral cystic degeneration, suggestive of a small bowel neoplasm (Figure 2). Based on these imaging findings, a provisional diagnosis of gastrointestinal stromal tumor (GIST) was favored. Percutaneous or endoscopic biopsy of the mass was deferred due to concern for peritoneal seeding.

Figure 2. MRI of Abdomen and Pelvis. Published with Permission

A.

B.

A left upper abdominal mass measuring 6.8 × 5.6 × 6.8 cm is observed to originate from a proximal jejunal loop in close proximity to the gastrojejunostomy anastomosis. The lesion displays ill-defined central enhancement near its attachment to the small bowel, surrounded by T2 hyperintense cystic contents and a peripheral T2 hypointense rim. Panels A and B depict horizontal and coronal views, respectively
A left upper abdominal mass measuring 6.8 × 5.6 × 6.8 cm is observed to originate from a proximal jejunal loop in close proximity to the gastrojejunostomy anastomosis. The lesion displays ill-defined central enhancement near its attachment to the small bowel, surrounded by T2 hyperintense cystic contents and a peripheral T2 hypointense rim. Panels A and B depict horizontal and coronal views, respectively

Exploratory laparotomy revealed a large, well-vascularized smooth surfaced mass arising from the redundant jejunal wall. The jejunojejunostomy anastomosis created after Roux-en-Y gastric bypass (RYGB) displayed clear margins (Figure 3 and 4). The mass and surrounding redundant jejunum were resected en bloc, achieving adequate gross margins proximally and distally while preserving the original jejunojejunostomy. Postoperatively, the patient experienced mild nausea, vomiting, and persistent spinal headaches requiring intervention. She was ultimately discharged on postoperative day 6.

Figure 3. Intraoperative Findings. Published with Permission

Mass originating from the redundant jejunum and invading the mesojejunum, measuring 8.5 x 7.0 x 7.0 cm.
Mass originating from the redundant jejunum and invading the mesojejunum, measuring 8.5 x 7.0 x 7.0 cm.

Figure 4. Excised Tumor. Published with Permission

A.

A) Tumor post-resection
A) Tumor post-resection

B.

B) Cross-section displaying tan-white to pink-yellow coloration, striated/whorled texture, and rubbery consistency
B) Cross-section displaying tan-white to pink-yellow coloration, striated/whorled texture, and rubbery consistency

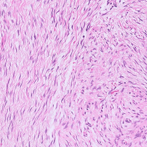
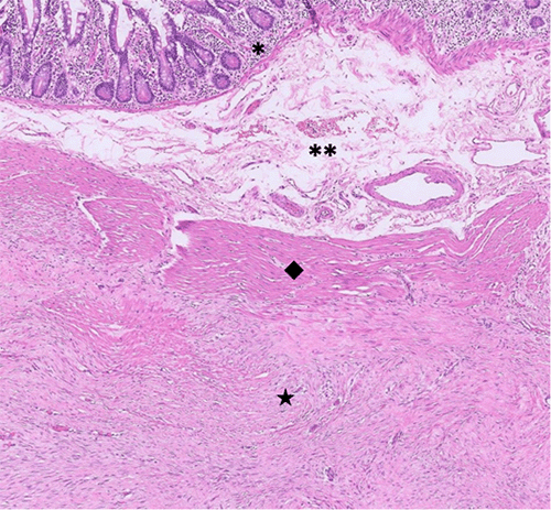
Histopathological examination revealed a subserosal fibromatosis extending into the small bowel wall without mucosal invasion (Figure 5A: H&E, x50). Higher magnification (Figure 5B: H&E, x400) showed spindle cell proliferation with somewhat ill-defined borders, comprised of uniform cells with plump ovoid nuclei and ample eosinophilic cytoplasm. The stroma was collagenous, focally edematous, and contained thin-walled small vessels scattered throughout the lesion. Additionally, some areas showed hyalinized, keloid-like changes. Resection margins were negative.

Immunohistochemistry (IHC) demonstrated positive beta-catenin staining (Figure 6), focally positive smooth muscle actin (SMA), and nuclear positivity of cyclin D1 in spindle cells. Properly controlled immunoperoxidase stains for CD117, DOG-1, desmin, S100, CD34, and calretinin were negative. These findings are diagnostic of a desmoid tumor.

Figure 5. Hematoxylin and Eosin (H&E) Stains (50x and 400x, respectively). Published with Permission

A.

A) Predominantly subserosal involvement characterized by an indistinct spindle cell proliferation, with localized extension into the muscularis propria (*mucosa; **submucosa; ◆muscularis propria; ★tumor)
A) Predominantly subserosal involvement characterized by an indistinct spindle cell proliferation, with localized extension into the muscularis propria (*mucosa; **submucosa; ◆muscularis propria; ★tumor)

B.

B Proliferation of spindle-shaped cells featuring elongated, slender, and uniformly shaped nuclei with pale cytoplasm set within a collagenous stroma
B Proliferation of spindle-shaped cells featuring elongated, slender, and uniformly shaped nuclei with pale cytoplasm set within a collagenous stroma

Figure 6. Immunohistochemical Stain, 400x. Published with Permission

Demonstrating positive nuclear staining for beta-catenin in tumor cells
Demonstrating positive nuclear staining for beta-catenin in tumor cells

Discussion

The global obesity epidemic has reached alarming proportions, exceeding 33% prevalence in recent decades. This surge is accompanied by concerning mortality rates, with estimates suggesting obesity contributed to 3.4 million deaths in 2010.1

Bariatric surgery stands as the most effective treatment for obesity and its comorbidities, with strong short- and long-term data supporting its use. It is one of the most commonly performed gastrointestinal procedures worldwide.2 While some studies report conflicting results, the majority demonstrate a reduced risk of cancer, particularly obesity-related cancers, in patients who undergo bariatric surgery.3,4 The development of gastric cancer post-surgery is rare, with limited evidence suggesting a direct link between bariatric surgery and gastrointestinal tumor formation.5-7

Intraabdominal desmoid tumors (also known as desmoid-type fibromatosis or aggressive fibromatosis) are locally aggressive neoplasms arising primarily in the mesentery or retroperitoneum. These tumors infiltrate adjacent tissues but rarely metastasize.8,9 Patients with familial adenomatous polyposis (FAP) have a significantly increased risk, with an incidence of 10-20%.10-13 While extremity desmoids can occur, half of desmoid tumors are intra-abdominal, with the remaining half affecting the abdominal wall.10 Notably, the risk of IADT development in FAP patients is 852 times higher compared to the general population.14

Intraabdominal desmoid tumors originating from the small bowel are rare, with only a handful of cases reported in the literature.15-17 Similarly, gastric bypass surgery appears to be an uncommon risk factor, documented in just two prior cases (Table 1).9,15 The terminology used to describe these tumors has evolved over time. Initially, McFarlane defined it as fibromatosis in 1832.18,19 Later, in 1838, Mueller proposed replacing “aggressive fibromatosis” with “desmoid tumor.” Currently, the World Health Organization categorizes deep fibromatosis, aggressive fibromatosis, and desmoid tumor under the unifying term “desmoid-type fibromatosis.”

Reference No. Gender Years after Sx Site Size (mm) Treatment Preoperative diagnosis Recurrence
Our case F 2 Jejunum 85 Resection GIST Disease-free
9 F 1.5 Mesentery 180 Resection GIST Disease-free
15 M 3 Jejunum 158 Resection GIST Disease-free
Table 1. Prior Cases of Desmoid Tumors Post-gastric Bypass in Literature
Reference No. Gender Years after Sx Site Size (mm) Treatment Preoperative diagnosis Recurrence
Our case F 2 Jejunum 85 Resection GIST Disease-free
9 F 1.5 Mesentery 180 Resection GIST Disease-free
15 M 3 Jejunum 158 Resection GIST Disease-free

Primary desmoid tumors are rare and represent a small fraction, comprising only 0.03% of all neoplasms and less than 3% of soft tissue neoplasms.20 The estimated yearly incidence in the general population ranges from 2 to 4 cases per million individuals.15 These tumors predominantly affect individuals aged 15 to 60 years but can occur across other age groups, including women post-childbirth. The female-to-male gender ratio is 2:1, a proportion that remains consistent in children. Notably, there is no significant racial or ethnic predilection.21

The etiology of desmoid tumors remains unclear. However, the presence of clonal chromosomal changes in a significant number of cases suggests that these tumors are neoplastic in nature.22,23 Further, emerging evidence implicates dysregulated wound healing in the pathogenesis of these and other fibroblastic lesions.

The long-term oncological risk in the gastric remnant and the afferent/efferent jejunal limbs following RYGB remains unclear. While in our case, the redundant jejunal segment is excluded from the alimentary channel, potentially mitigating exposure to exogenous carcinogens. However, a theoretical concern centers around chronic exposure to stagnant bile as experimental studies have established a link between bile acids and gastrointestinal carcinogenesis.

Gastric restrictive surgery may theoretically contribute to tumor growth through several mechanisms. Prolonged food exposure within the gastrointestinal tract could increase contact with potential exogenous carcinogens. Furthermore, chronic irritation and inflammation in the redundant jejunal pouch due to increased pressure, along with potential inflammation from surgical materials, are hypothesized as potential contributors to carcinogenesis.24 However, these hypotheses are speculative due to limited case reports. Most cases were diagnosed at an advanced stage, with patients experiencing nonspecific UGI symptoms such as epigastric pain, nausea, and vomiting for extended periods before diagnosis.

Following bariatric surgery, there’s heightened concern for delayed diagnosis of GI malignancies. Postoperative nausea and vomiting (PONV) are frequently dismissed as dietary indiscretion (hard foods, overeating) or related to the surgical procedure (gastroenterostomy). However, intramural tumor growth within the GI tract can be substantial before causing overt symptoms. Furthermore, the creation of long Roux-en-Y limbs or biliopancreatic diversions significantly complicates endoscopic visualization of the GI tract.

Desmoid tumors exhibit a distinct anatomical distribution: roughly 50% occur in the retroperitoneum, 9% in the mesentery, and 40% originate from the small bowel wall.25 Sporadic cases are often linked to abdominal surgery, pregnancy, hormone therapy, or Gardner’s syndrome. In contrast, intraabdominal desmoid tumors are rare and typically associated with FAP.15 To our knowledge, only two documented cases of desmoid tumors following gastric bypass surgery exist, with no prior reports of this tumor arising specifically from the jejunum after RYGB.

The symptoms of desmoid tumors are nonspecific and depend on the size and location, ranging from nonspecific pain and discomfort to obstructive and mass effect symptoms.9,26 Our patient primarily reported abdominal discomfort with recent nausea and malaise, which are nonspecific findings.

Cross-sectional imaging with CT or MRI is crucial to define the tumor’s relationship with adjacent structures. This information guides surgical feasibility and treatment decisions. However, radiographic differentiation between desmoid tumors and malignant soft tissue tumors can be challenging. Additionally, staging radiographic studies for distant spread are unnecessary, as desmoids typically lack regional or distant metastasis.27

The diagnosis is typically established through histopathology because the tumor may mimic other tumors, both grossly and radiologically (Table 2). This case exemplifies this challenge, as the patient’s presentation mimicked a gastrointestinal stromal tumor (GIST). Immunohistochemistry played a crucial role in definitive diagnosis. The absence of staining for Desmin, CD34, and S-100 excluded fibrosarcoma, leiomyoma, leiomyosarcoma, and malignant peripheral nerve sheath tumors. Additionally, the negative staining for CD117 and DOG-1 effectively ruled out GIST. Conversely, positive beta-catenin staining confirmed the diagnosis of desmoid tumor.

Parameters Desmoid tumor GIST
Cellular origin Fibroblast Interstitial cells of Cajal (ICCs)
Incidence 2 to 4 per million population per year 10 and 15 cases per million population per year
Epidemiology Ages of 15 and 60 are most affected; F > M Median age of diagnosis between 65 and 69 years; F = M
Location

Can develop at virtually any body site, with primary sites including the trunk/extremities, abdominal wall, and intraabdominal region (bowel and mesentery).

In patients with FAP, intraabdominal desmoids predominate. In non-FAP-associated cases, the most involved areas are the shoulder girdle, hip-buttock region, and the extremities, where the location is usually deep in the muscles or along fascial planes.

Occur throughout the gastrointestinal (GI) tract from the esophagus to the anus.

Within the GI tract, primary tumor sites are most common in the stomach (40 to 60%) and jejunum/ileum (25 to 30%)

Clinical presentation Most present as a deeply seated painless or minimally painful mass with a history of slow growth. Intraabdominal desmoids can present with nausea, early satiety, intestinal obstruction, bowel ischemia, or functional deterioration in an ileoanal anastomosis

Most patients with subepithelial masses are asymptomatic, and their tumors are often discovered incidentally.

Frequent abdominal pain, overt or occult GI bleeding

Radiographic studies

MRI is the preferred imaging method.

Variable and relate to their cellularity and fibrous content: On T1-weighted images, lesions appear hypointense or isointense to muscle, while on T2-weighted images, they are mainly hyperintense, with occasional hypointense bands indicative of collagen bundle accumulation.

Contrast-enhanced CT of the abdomen and pelvis is the imaging method of choice: Solid, smoothly contoured mass that enhances brightly with intravenous contrast.

Gross section White-gray firm mass Soft tumor with hemorrhage, necrosis, and cystic degeneration
Cellular morphology Small bundles of spindle cells in an abundant fibrous stroma Varies from spindle-shaped to epithelioid; uniform
IHC

Nuclear β-catenin (+)
CD117 (+) (75%)
Vimentin (+)
Smooth muscle actin (+)
CD 34 (-)
S-100 (-)
Desmin (-)

β-catenin (-)
CD117 (+) (>95%)
DOG-1 (+) (97%)
CD 34 (+) (60 to 70%)
Smooth muscle actin (+/-) (30 to 40%)
S-100 (-) (5%)
Desmin (-) (rare)

Risk stratification and prognosis Anatomic site of disease; size; gender and age Tumor size and mitotic rate; primary tumor site; tumor rupture; imaging characteristics; LN involvement; molecular alterations
Parameters Desmoid tumor GIST
Cellular origin Fibroblast Interstitial cells of Cajal (ICCs)
Incidence 2 to 4 per million population per year 10 and 15 cases per million population per year
Epidemiology Ages of 15 and 60 are most affected; F > M Median age of diagnosis between 65 and 69 years; F = M
Location

Can develop at virtually any body site, with primary sites including the trunk/extremities, abdominal wall, and intraabdominal region (bowel and mesentery).

In patients with FAP, intraabdominal desmoids predominate. In non-FAP-associated cases, the most involved areas are the shoulder girdle, hip-buttock region, and the extremities, where the location is usually deep in the muscles or along fascial planes.

Occur throughout the gastrointestinal (GI) tract from the esophagus to the anus.

Within the GI tract, primary tumor sites are most common in the stomach (40 to 60%) and jejunum/ileum (25 to 30%)

Clinical presentation Most present as a deeply seated painless or minimally painful mass with a history of slow growth. Intraabdominal desmoids can present with nausea, early satiety, intestinal obstruction, bowel ischemia, or functional deterioration in an ileoanal anastomosis

Most patients with subepithelial masses are asymptomatic, and their tumors are often discovered incidentally.

Frequent abdominal pain, overt or occult GI bleeding

Radiographic studies

MRI is the preferred imaging method.

Variable and relate to their cellularity and fibrous content: On T1-weighted images, lesions appear hypointense or isointense to muscle, while on T2-weighted images, they are mainly hyperintense, with occasional hypointense bands indicative of collagen bundle accumulation.

Contrast-enhanced CT of the abdomen and pelvis is the imaging method of choice: Solid, smoothly contoured mass that enhances brightly with intravenous contrast.

Gross section White-gray firm mass Soft tumor with hemorrhage, necrosis, and cystic degeneration
Cellular morphology Small bundles of spindle cells in an abundant fibrous stroma Varies from spindle-shaped to epithelioid; uniform
IHC

Nuclear β-catenin (+)
CD117 (+) (75%)
Vimentin (+)
Smooth muscle actin (+)
CD 34 (-)
S-100 (-)
Desmin (-)

β-catenin (-)
CD117 (+) (>95%)
DOG-1 (+) (97%)
CD 34 (+) (60 to 70%)
Smooth muscle actin (+/-) (30 to 40%)
S-100 (-) (5%)
Desmin (-) (rare)

Risk stratification and prognosis Anatomic site of disease; size; gender and age Tumor size and mitotic rate; primary tumor site; tumor rupture; imaging characteristics; LN involvement; molecular alterations

R0 resection with negative margins remains the gold standard for resectable desmoid tumors, offering a 25-50% reduction in recurrence rates.28 However, experts advocate a cautious approach, especially for static tumors, due to associated surgical morbidity and relatively high recurrence rates. For unresectable intraabdominal desmoid tumors, particularly those involving the mesentery or encasing vessels and/or organs, especially in Gardner syndrome patients, a multimodality treatment strategy is often favored.29,30 This approach typically involves initial medical therapy, with options including noncytotoxic agents such as NSAIDs or celecoxib, tamoxifen, radiotherapy, targeted therapy with imatinib, or cytotoxic chemotherapy with agents like vinblastine, methotrexate, doxorubicin, and dacarbazine.

Sporadic desmoids are most common, with 5-15% associated with FAP,10,31,32 caused by mutations in the adenomatous polyposis coli (APC) gene (chromosome 5q21-q22). Due to the predominance of abdominal desmoids in FAP),10 some experts suggest screening for FAP (colonoscopy or genetic testing) in patients with intra-abdominal or truncal desmoid tumors.32 However, the yield for detecting FAP in such patients without a prior history is relatively low (4-5% in two separate series32,33). Therefore, we propose a selective approach, not recommending universal FAP screening for all patients with intra-abdominal or truncal desmoids. Consequently, a screening colonoscopy was not advised for this patient.

Currently, there are no established evidence-based protocols for post-treatment surveillance. The National Comprehensive Cancer Network (NCCN) recommends history, physical examination, and appropriate imaging (q3-6 months for 2-3 years) followed by annual evaluations.34 In our case, we proposed a more intensive regimen for this patient: follow-up with an oncologist, including clinical examinations and alternating CT and MRI scans every six months for the first two years. This would transition to annual assessments until year six and then biennial evaluations after that.

Sporadic desmoid tumors frequently harbor somatic APC mutations and activating mutations in CTNNB1, both leading to β-catenin accumulation.35-38 The prevalence of CTNNB1 mutations exhibits some variability in sporadic desmoid tumors (39-87%), with larger and more recent studies estimating it around 85%.39 Genetic screening may be particularly valuable for patients with multiple desmoids, a characteristic more frequent in the FAP group.

A targeted approach focusing on an “enriched population” has been proposed, directing screening towards individuals with desmoid tumors and specific risk factors such as: age below 40 years (11% yield), intra-abdominal or retroperitoneal location (5.4% yield), multifocal disease (29% yield), and family history (8% yield).33 Given her medical and family histories, we recommended a genetic counseling session.

Conclusion

Desmoid tumors arising from the jejunum are exceptionally rare, with only a scant number of case reports documented in the literature. This case presentation adds to this limited body of knowledge by describing the first reported instance of a jejunal desmoid tumor developing after an RYGB surgery. While the association between desmoid tumors and surgical procedures is documented, the relationship between RYGB and jejunal desmoid tumors specifically is entirely novel.

Lessons Learned

Diagnosing a desmoid tumor is typically established based on histopathology because the tumor may mimic other tumors, like GIST, both grossly and radiologically. A multidisciplinary approach to individualized patient care is proposed for optimal therapeutic management.

Authors

Cao Xa; Poling Ja; Konopka DJb; Hissong Ec; Madayag RMa; Pinson GDa

Author Affiliations

  1. Department of Surgery, St. Anthony Hospital, Lakewood, CO 80228
  2. Department of Pathology, St. Anthony Hospital, Lakewood, CO 80228
  3. Department of Pathology and Clinical Laboratories, University of Michigan, Ann Arbor, MI 48109

Corresponding Author

Gregory D. Pinson, MD
11600 W. Second Place
Lakewood, CO 80228
Email: gdpinson50@hotmail.com

Disclosure Statement

The authors have no conflicts of interest to disclose.

Funding/Support

The authors have no relevant financial relationships or in-kind support to disclose.

Received: September 25, 2021
Revision received: February 1, 2022
Accepted: February 7, 2022

References

  1. Lim SS, Vos T, Flaxman AD, et al. A comparative risk assessment of burden of disease and injury attributable to 67 risk factors and risk factor clusters in 21 regions, 1990-2010: a systematic analysis for the Global Burden of Disease Study 2010 [published correction appears in Lancet. 2013 Apr 13;381(9874):1276] [published correction appears in Lancet. 2013 Feb 23;381(9867):628. AlMazroa, Mohammad A [added]; Memish, Ziad A [added]]. Lancet. 2012;380(9859):2224-2260. doi:10.1016/S0140-6736(12)61766-8
  2. Renehan AG, Tyson M, Egger M, Heller RF, Zwahlen M. Body-mass index and incidence of cancer: a systematic review and meta-analysis of prospective observational studies. Lancet. 2008;371(9612):569-578. doi:10.1016/S0140-6736(08)60269-X
  3. Sanchez BR, Morton JM, Curet MJ, Alami RS, Safadi BY. Incidental finding of gastrointestinal stromal tumors (GISTs) during laparoscopic gastric bypass. Obes Surg. 2005;15(10):1384-1388. doi:10.1381/096089205774859326
  4. De Pergola G, Silvestris F. Obesity as a major risk factor for cancer. J Obes. 2013;2013:291546. doi:10.1155/2013/291546
  5. Ostlund MP, Lu Y, Lagergren J. Risk of obesity-related cancer after obesity surgery in a population-based cohort study. Ann Surg. 2010;252(6):972-976. doi:10.1097/SLA.0b013e3181e33778
  6. Adams TD, Stroup AM, Gress RE, et al. Cancer incidence and mortality after gastric bypass surgery. Obesity (Silver Spring). 2009;17(4):796-802. doi:10.1038/oby.2008.610
  7. Orlando G, Pilone V, Vitiello A, et al. Gastric cancer following bariatric surgery: a review. Surg Laparosc Endosc Percutan Tech. 2014;24(5):400-405. doi:10.1097/SLE.0000000000000050
  8. Brunicardi FC, Andersen DK, Billiar TR. Schwartz’s Principles of Surgery, 11th ed. New York, USA: McGraw-Hill Education, 2019.
  9. Perez Y, Webber JD, Edelman D. Mesenteric fibromatosis of the small bowel mesentery after gastric bypass surgery. CRSLS. 2015. https://crsls.sls.org/2013-00264/
  10. Nieuwenhuis MH, Lefevre JH, Bülow S, et al. Family history, surgery, and APC mutation are risk factors for desmoid tumors in familial adenomatous polyposis: an international cohort study. Dis Colon Rectum. 2011;54(10):1229-1234. doi:10.1097/DCR.0b013e318227e4e8
  11. Clark SK, Neale KF, Landgrebe JC, Phillips RK. Desmoid tumours complicating familial adenomatous polyposis. Br J Surg. 1999;86(9):1185-1189. doi:10.1046/j.1365-2168.1999.01222.x
  12. Bertario L, Russo A, Sala P, et al. Genotype and phenotype factors as determinants of desmoid tumors in patients with familial adenomatous polyposis. Int J Cancer. 2001;95(2):102-107. doi:10.1002/1097-0215(20010320)95:2<102::aid-ijc1018>3.0.co;2-8
  13. Griffioen G, Bus PJ, Vasen HF, Verspaget HW, Lamers CB. Extracolonic manifestations of familial adenomatous polyposis: desmoid tumours, and upper gastrointestinal adenomas and carcinomas. Scand J Gastroenterol Suppl. 1998;225:85-91. doi:10.1080/003655298750027281
  14. Gurbuz AK, Giardiello FM, Petersen GM, et al. Desmoid tumours in familial adenomatous polyposis. Gut. 1994;35(3):377-381. doi:10.1136/gut.35.3.377
  15. Mahnashi Y, Alotaibi AS, Aldakhail M, Alshahrani A. Desmoid tumor at the gastrointestinal anastomosis after a one-anastomosis gastric bypass (mini-gastric bypass): a case report. J Surg Case Rep. 2020;2020(1):rjz411. Published 2020 Jan 30. doi:10.1093/jscr/rjz411
  16. Colombo P, Rahal D, Grizzi F, Quagliuolo V, Roncalli M. Localized intra-abdominal fibromatosis of the small bowel mimicking a gastrointestinal stromal tumor: a case report. World J Gastroenterol. 2005;11(33):5226-5228. doi:10.3748/wjg.v11.i33.5226
  17. Ebeling PA, Fun T, Beale K, Cromer R, Kempenich JW. Primary Desmoid Tumor of the Small Bowel: A Case Report and Literature Review. Cureus. 2019;11(6):e4915. Published 2019 Jun 17. doi:10.7759/cureus.4915
  18. Liu X, Zong S, Cui Y, Yue Y. Misdiagnosis of aggressive fibromatosis of the abdominal wall: A case report and literature review. Medicine (Baltimore). 2018;97(10):e9925. doi:10.1097/MD.0000000000009925
  19. Rampone B, Pedrazzani C, Marrelli D, Pinto E, Roviello F. Updates on abdominal desmoid tumors. World J Gastroenterol. 2007;13(45):5985-5988. doi:10.3748/wjg.v13.45.5985
  20. Escobar C, Munker R, Thomas JO, Li BD, Burton GV. Update on desmoid tumors. Ann Oncol. 2012;23(3):562-569. doi:10.1093/annonc/mdr386
  21. Mankin HJ, Hornicek FJ, Springfield DS. Extra-abdominal desmoid tumors: a report of 234 cases. J Surg Oncol. 2010;102(5):380-384. doi:10.1002/jso.21433
  22. De Wever I, Dal Cin P, Fletcher CD, et al. Cytogenetic, clinical, and morphologic correlations in 78 cases of fibromatosis: a report from the CHAMP Study Group. CHromosomes And Morphology. Mod Pathol. 2000;13(10):1080-1085. doi:10.1038/modpathol.3880200
  23. Middleton SB, Frayling IM, Phillips RK. Desmoids in familial adenomatous polyposis are monoclonal proliferations. Br J Cancer. 2000;82(4):827-832. doi:10.1054/bjoc.1999.1007
  24. Nascimento WA, Macedo CES, Santa-Cruz F, Coelho HGB, Camelo Soares DT, Ferraz ÁAB. Gastrointestinal stromal tumor of the excluded stomach after Roux-en-Y gastric bypass: A case report and literature review. Int J Surg Case Rep. 2020;74:196-200. doi:10.1016/j.ijscr.2020.08.026
  25. Faria SC, Iyer RB, Rashid A, Ellis L, Whitman GJ. Desmoid tumor of the small bowel and the mesentery. AJR Am J Roentgenol. 2004;183(1):118. doi:10.2214/ajr.183.1.1830118
  26. Gounder MM, Maddux L, Paty J, Atkinson TM. Prospective development of a patient-reported outcomes instrument for desmoid tumors or aggressive fibromatosis. Cancer. 2020;126(3):531-539. doi:10.1002/cncr.32555
  27. Lee JC, Thomas JM, Phillips S, Fisher C, Moskovic E. Aggressive fibromatosis: MRI features with pathologic correlation. AJR Am J Roentgenol. 2006;186(1):247-254. doi:10.2214/AJR.04.1674
  28. Lahat G, Nachmany I, Itzkowitz E, et al. Surgery for sporadic abdominal desmoid tumor: is low/no recurrence an achievable goal?. Isr Med Assoc J. 2009;11(7):398-402.
  29. Patel SR, Benjamin RS. Desmoid tumors respond to chemotherapy: defying the dogma in oncology. J Clin Oncol. 2006;24(1):11-12. doi:10.1200/JCO.2005.03.6566
  30. Bertagnolli MM, Morgan JA, Fletcher CD, et al. Multimodality treatment of mesenteric desmoid tumours. Eur J Cancer. 2008;44(16):2404-2410. doi:10.1016/j.ejca.2008.06.038
  31. Fallen T, Wilson M, Morlan B, Lindor NM. Desmoid tumors -- a characterization of patients seen at Mayo Clinic 1976-1999. Fam Cancer. 2006;5(2):191-194. doi:10.1007/s10689-005-5959-5
  32. Koskenvuo L, Peltomäki P, Renkonen-Sinisalo L, et al. Desmoid tumor patients carry an elevated risk of familial adenomatous polyposis. J Surg Oncol. 2016;113(2):209-212. doi:10.1002/jso.24117
  33. van Houdt WJ, Wei IH, Kuk D, et al. Yield of Colonoscopy in Identification of Newly Diagnosed Desmoid-Type Fibromatosis with Underlying Familial Adenomatous Polyposis. Ann Surg Oncol. 2019;26(3):765-771. doi:10.1245/s10434-018-07138-1
  34. National Comprehensive Cancer Network. NCCN Clinical Practice Guidelines in Oncology. 2019. Available at: https://www.nccn.org/professionals/physician_gls. Accessed May 6, 2021.
  35. Tejpar S, Nollet F, Li C, et al. Predominance of beta-catenin mutations and beta-catenin dysregulation in sporadic aggressive fibromatosis (desmoid tumor). Oncogene. 1999;18(47):6615-6620. doi:10.1038/sj.onc.1203041
  36. Heinrich MC, McArthur GA, Demetri GD, et al. Clinical and molecular studies of the effect of imatinib on advanced aggressive fibromatosis (desmoid tumor). J Clin Oncol. 2006;24(7):1195-1203. doi:10.1200/JCO.2005.04.0717
  37. Cheon SS, Cheah AY, Turley S, et al. beta-Catenin stabilization dysregulates mesenchymal cell proliferation, motility, and invasiveness and causes aggressive fibromatosis and hyperplastic cutaneous wounds. Proc Natl Acad Sci U S A. 2002;99(10):6973-6978. doi:10.1073/pnas.102657399
  38. Signoroni S, Frattini M, Negri T, et al. Cyclooxygenase-2 and platelet-derived growth factor receptors as potential targets in treating aggressive fibromatosis [published correction appears in Clin Cancer Res. 2008 Jul 1;14(13):4354]. Clin Cancer Res. 2007;13(17):5034-5040. doi:10.1158/1078-0432.CCR-07-0336
  39. Lazar AJ, Hajibashi S, Lev D. Desmoid tumor: from surgical extirpation to molecular dissection. Curr Opin Oncol. 2009;21(4):352-359. doi:10.1097/CCO.0b013e32832c9502