Unsupported Browser
The American College of Surgeons website is not compatible with Internet Explorer 11, IE 11. For the best experience please update your browser.
Menu
Become a member and receive career-enhancing benefits

Our top priority is providing value to members. Your Member Services team is here to ensure you maximize your ACS member benefits, participate in College activities, and engage with your ACS colleagues. It's all here.

Become a Member
Become a member and receive career-enhancing benefits

Our top priority is providing value to members. Your Member Services team is here to ensure you maximize your ACS member benefits, participate in College activities, and engage with your ACS colleagues. It's all here.

Become a Member
ACS
ACS Case Reviews

Repeat Thoracic Duct Embolization in Traumatic Thoracic Duct Injury: An Alternative to Surgical Ligation after Initial Failure

July 8, 2024

Abstract

Background

Traumatic disruption or occlusion of the thoracic duct leads to chylothorax, a condition characterized by chyle leakage into the pleural space. Conservative management with dietary adjustments is often the first-line approach. However, for refractory cases, traditional surgical options include thoracic duct ligation and pleurodesis. Percutaneous thoracic duct embolization (PTDE), a minimally invasive procedure performed by interventional radiologists, offers a viable alternative to surgery. Moreover, repeat PTDE is a viable option for cases with initial embolization failure, potentially delaying or even avoiding surgical intervention.

Summary

An 18-year-old trauma patient transferred from another facility presented with bilateral neck and chest stab wounds. A chest tube was placed for left hemopneumothorax. Drainage transitioned to milky, seropurulent fluid, concerning for chyle. Initial conservative management was ineffective. Interventional radiology (IR) performed thoracic duct embolization (TDE), achieving an initial reduction in chest tube output, but drainage subsequently returned to pre-embolization levels. A repeat TDE was then performed, resulting in definitive resolution of the chylothorax.

Conclusion

This case report describes a patient with traumatic chylothorax who exhibited treatment resistance to both conservative management and PTDE. Repeat PTDE ultimately achieved successful resolution of the chylothorax.

Key Words

trauma; chylothorax; percutaneous thoracic duct embolization

Abbreviations


Case Description

An 18-year-old male with penetrating neck and chest injuries by stab wounds presented to an outside facility. Following chest tube placement for a left hemopneumothorax, he was transferred to our Level I Trauma Center. On arrival, he had a stable Glasgow Coma Scale (GCS) score of 15 and vital signs. Admission to the surgical intensive care unit (ICU) was followed by CT angiography, which demonstrated a left lower lobe parenchymal defect with associated hematoma and pleural effusion (Figure 1).

Figure 1. Initial CTA Showing Pneumothorax and Soft Tissue Emphysema. Published with Permission

Initial chest tube drainage revealed serosanguineous fluid, which transitioned to a milky seropurulent effusion. A similar milky fluid was concurrently noted draining from the left neck wound. The neck wound was subsequently cleansed and drained with a Penrose drain inserted at bedside. Chemical analysis confirmed chyle with elevated triglyceride levels of 667 mg/dL in the drained fluid. Despite a seven-day trial of conservative management with NPO status and TPN, significant chyle output persisted via the chest tube, ranging from 400 to 1100 mL/day (Figure 2).

Figure 2. Preembolization Chest X Ray Demonstrating Left Hydropneumothorax with Chest Tube in Situ. Published with Permission

Interventional radiology performed a lymphangiogram to evaluate lymphatic drainage of the pelvic, abdominal, and thoracic regions. The study identified active extravasation from the thoracic duct near the clavicular head. The interventional radiologist then embolized the leaking segment using coils and glue (Figures 3-6). While chest tube drainage briefly declined, it returned to pre-procedure levels by postoperative day 2.

Figure 3. Early Filling of Cisterna Chyli over L1 (arrow). Published with Permission

Figure 4. Lymphangiogram via Inguinal Lymph Node Cannulation Demonstrating Opacification of Lumbar Nodes, Cisterna Chyli, and Lower Thoracic Duct. Published with Permission

Figure 5. Lymphangiogram: Active Contrast Extravasation (arrow). Published with Permission

Figure 6. Initial Coil Placement at Defect. Published with Permission

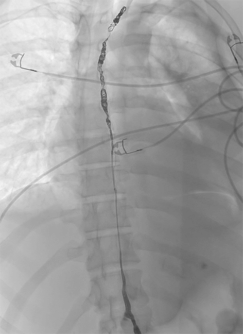
Repeat chest CTA revealed a localized air-fluid collection in the left hemithorax, concerning for empyema. However, imaging review suggested an anatomic variant: a posteromedially positioned thoracic duct coursing along the left aorta, lateral to the vertebral column. Given this anomaly, a second IR embolization attempt was undertaken. Accessing the thoracic duct via the left neck proved challenging due to its proximity to the subclavian junction. Therefore, we opted for a re-approach of the previously embolized cisterna chyli through the epigastrium, followed by successful repeat embolization with glue (Figures 7-10).

Figure 7. Retrograde Access to Thoracic Duct at Subclavian Junction. Published with Permission

Figure 8. Retrograde Microcatheter Access to Thoracic Duct. Published with Permission

Figure 9. Repeat Access to Thoracic Duct. Published with Permission

The arrow indicates the placement of the catheter within the thoracic duct. Extravasation of contrast is noted at the puncture site in the cisterna chyli
The arrow indicates the placement of the catheter within the thoracic duct. Extravasation of contrast is noted at the puncture site in the cisterna chyli

Figure 10. Coil Pack Positioned Within Thoracic Duct. Published with Permission

Glue cast depicting the cisterna chyli
Glue cast depicting the cisterna chyli

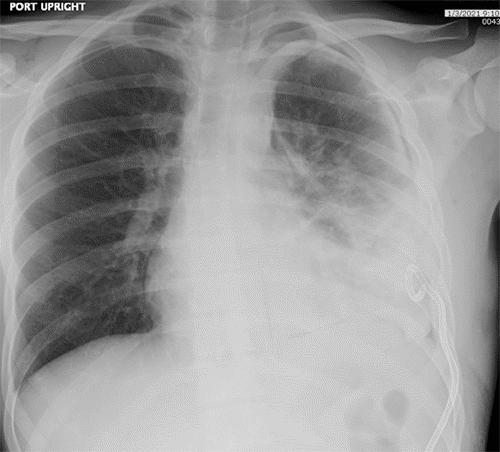
Chest tube drainage demonstrated a declining trend over the subsequent five days (Figure 11). Dietary advancement did not trigger an increase in output. Based on these findings, the chest tube was removed, and the patient was discharged home.

Figure 11. Chest X Ray, POD 5. Published with Permission

Improved left pleural effusion after repeat thoracic duct embolization
Improved left pleural effusion after repeat thoracic duct embolization

Discussion

The thoracic duct arises from the cisterna chyli located at the T12-L2 level, which collects lymph from the lower extremities, pelvis, and abdomen. The cisterna chyli begins para-aortic on the right side, courses cephalad along the right paravertebral gutter, and traverses the diaphragmatic hiatus into the thoracic cavity. At the level of T5-T6, it crosses the midline to the left of the esophagus and typically terminates at the left subclavian vein.

The thoracic duct exhibits significant anatomic variability, with a classic course observed in only 40-60% of individuals. This variability manifests in several forms:

  • Laterality: The duct may reside entirely on the right or left side of the body.
  • Duplication: A duplicated thoracic duct can be present.
  • Plexiform morphology: The duct may adopt a plexiform (network-like) structure.
  • Termination variations: The site of termination into the venous system can vary, including the jugular vein, the jugulosubclavian confluence, or the subclavian vein itself. Additionally, the number of terminal branches can be single or multiple.1,2

Traumatic chylothorax arises from thoracic duct disruption, secondary to trauma, or benign/malignant occlusion.3 Penetrating injuries are rare causes, whereas surgery in the thorax, esophagus, or abdomen represents the most frequent culprits.

Chylothorax management is highly etiology-dependent, with options ranging from conservative to surgical approaches. Interventional radiology (IR) with percutaneous thoracic duct embolization (PTDE) represents a recent advancement in treatment strategies.4 When determining the optimal approach, a key factor is the volume of chyle drained over 24 hours, with higher output suggesting a greater likelihood of needing surgery.5

Conservative management focuses on minimizing chyle flow and promoting leak closure. This includes:

  • Dietary modifications: A non- or low-fat diet supplemented with medium-chain triglycerides (MCTs) to bypass lymphatic absorption.
  • Fluid and electrolyte balance: Maintaining adequate hydration and correcting electrolyte imbalances.
  • Nutritional support: TPN may be necessary to meet nutritional needs while minimizing chyle production.
  • Drainage: Thoracentesis or chest tube placement for symptomatic relief and to monitor chyle output.
  • Somatostatin analogs: Medications like somatostatin or octreotide can potentially reduce chyle flow.

A case series by Zabeck et al. (n=82) reported a success rate of 16% (13 cases) with conservative management using dietary modifications alone.5 Expanding treatment to include video-assisted thoracoscopic surgery (VATS) or pleurodesis increased the overall success rate to 69%. However, 32% (26 cases) ultimately required thoracotomy with thoracic duct ligation or repeat procedures.5

Thoracic duct embolization has emerged as a minimally invasive alternative to surgery for chylothorax, boasting high success rates and a minimal complication profile. A case series by Itkin et al. reported a 90% success rate with TDE when the thoracic duct was successfully catheterized.6 However, in cases where TDE fails, surgical intervention remains necessary. This usually entails a thoracotomy with thoracic duct ligation and pleurodesis.

Following failed initial antegrade TDE, repeat embolization via either the retrograde or antegrade approach offers a viable alternative to surgery. Recent studies suggest superior success rates when the retrograde transcervical approach is included alongside the traditional antegrade transabdominal approach for initial cannulation.7 Mounting evidence from multiple studies supports the retrograde approach as both effective and safe for repeat TDE.4,7

Conclusion

We report a case of traumatic chylothorax that proved refractory to both conservative management and initial PTDE. Given this treatment failure, we opted for repeat PTDE instead of proceeding with surgical thoracic duct ligation. This repeat intervention successfully achieved resolution of the chylothorax.

Lessons Learned

Following unsuccessful percutaneous embolization for chylothorax, repeat embolization using either a retrograde or repeat antegrade approach should be considered before resorting to surgical thoracic duct ligation.

Authors

Philip GJa,b,c; Foerster Ka,b; Fischer KJa,d; Grizzell Be; Rust Kf

Author Affiliations

  1. Department of Acute Care Trauma & Surgery, Wesley Medical Center, Wichita, KS 67214
  2. University of Kansas Wichita General Surgery Residency, Wichita, KS 67214
  3. Kansas Surgical Consultants, Wichita, KS 67208
  4. University of Kansas School of Medicine-Wichita, Wichita, KS 67214
  5. Wichita Surgical Specialists, Wichita, KS 67226
  6. Department of Radiology, Wesley Medical Center, Wichita, KS 67214

Corresponding Author

George J. Philip, MD, MPH
Kansas Surgical Consultants
3243 E. Murdock Street
Ste. 404
Wichita, KS 67208
Email: gphilip@kansassurgical.com

Disclosure Statement

The authors have no conflicts of interest to disclose.

Funding/Support

The authors have no relevant financial relationships or in-kind support to disclose.

Received: October 25, 2021
Revision received: March 26, 2022
Accepted: April 5, 2022

References

  1. Johnson OW, Chick JF, Chauhan NR, et al. The thoracic duct: clinical importance, anatomic variation, imaging, and embolization. Eur Radiol. 2016;26(8):2482-2493. doi:10.1007/s00330-015-4112-6
  2. Phang K, Bowman M, Phillips A, Windsor J. Review of thoracic duct anatomical variations and clinical implications. Clin Anat. 2014;27(4):637-644. doi:10.1002/ca.22337
  3. Novelli PM, Chan EG, Frazier AA, Villa Sanchez M. Interventional Therapies for Thoracic Duct Injury and Intractable Chylothorax. J Thorac Imaging. 2019;34(4):258-265. doi:10.1097/RTI.0000000000000422
  4. Bundy JJ, Chick JF, Jiao A, et al. Percutaneous fluoroscopically-guided transcervical retrograde access facilitates successful thoracic duct embolization after failed antegrade transabdominal access. Lymphology. 2019;52(2):52-60.
  5. Zabeck H, Muley T, Dienemann H, Hoffmann H. Management of chylothorax in adults: when is surgery indicated?. Thorac Cardiovasc Surg. 2011;59(4):243-246. doi:10.1055/s-0030-1250374
  6. Itkin M, Kucharczuk JC, Kwak A, Trerotola SO, Kaiser LR. Nonoperative thoracic duct embolization for traumatic thoracic duct leak: experience in 109 patients. J Thorac Cardiovasc Surg. 2010;139(3):584-590. doi:10.1016/j.jtcvs.2009.11.025
  7. Jun H, Hur S, Jeong YS, Kang CH, Lee H. Thoracic duct embolization in treating postoperative chylothorax: does bail-out retrograde access improve outcomes?. Eur Radiol. 2022;32(1):377-383. doi:10.1007/s00330-021-08145-9