Unsupported Browser
The American College of Surgeons website is not compatible with Internet Explorer 11, IE 11. For the best experience please update your browser.
Menu
Become a member and receive career-enhancing benefits

Our top priority is providing value to members. Your Member Services team is here to ensure you maximize your ACS member benefits, participate in College activities, and engage with your ACS colleagues. It's all here.

Become a Member
Become a member and receive career-enhancing benefits

Our top priority is providing value to members. Your Member Services team is here to ensure you maximize your ACS member benefits, participate in College activities, and engage with your ACS colleagues. It's all here.

Become a Member
ACS
ACS Case Reviews

Superior Mesenteric Artery Syndrome in a Burn Patient

July 8, 2024

Abstract

Background

A young burn patient developed superior mesenteric artery (SMA) syndrome after injury.

Summary

A 24-year-old male with a flame burn injury developed post-burn complications, including intractable nausea, high tube feed residuals, and abdominal pain. Imaging revealed compression of the duodenum (specifically, the third portion) with a narrowed aorto-mesenteric angle (15 degrees) and aorto-mesenteric distance (5 mm). Endoscopy found a tight angulation in the fourth portion of the duodenum, preventing scope passage beyond the ligament of Treitz. Conservative treatment was pursued to optimize his nutritional status and increase retroperitoneal fatty tissue mass, resolving his symptoms. This case highlights SMA syndrome as a rare cause of duodenal obstruction, potentially exacerbated by catabolic states like thermal injury.

Conclusion

In severely burned patients, significant catabolism due to severe weight loss and prolonged supine immobilization are established risk factors for the development of SMA syndrome. Management of SMA syndrome necessitates a multidisciplinary approach. Conservative measures should be pursued before operative avenues are considered.

Key Words

superior mesenteric artery syndrome; Wilkie syndrome; aorto-mesenteric angle; duodenal obstruction; duodenojejunal bypass


Case Description

A 24-year-old male with a normal BMI (25.06 kg/m2) presented with second and third-degree flame burns involving 25% of his total body surface area (TBSA). The burns involved the bilateral upper and lower extremities, back, torso, and face. Bronchoscopy on admission demonstrated severe inhalation injury.

His hospital course was prolonged and complicated by acute kidney injury requiring renal replacement therapy (RRT), multi-organism ventilator-associated pneumonia (VAP), bilateral empyemas managed thoracoscopically, and severe protein-calorie malnutrition. A multidisciplinary team approach was employed to optimize fluid resuscitation, nutritional support, and pulmonary care. The patient underwent successful excision and grafting of the burned areas and was weaned from ventilatory support.

A dedicated burn ICU dietician provided bi-weekly consultations to manage this complex case with hypercatabolism and metabolic derangements secondary to acute kidney injury. Early enteral nutrition was initiated via an orogastric tube, transitioning later to post-pyloric feeding for improved tolerance. Prealbumin, albumin levels, and weekly weight tracked nutritional status. During mechanical ventilation, multiple metabolic cart studies were used to precisely tailor caloric and protein requirements. Initially, a high-density critical care formula (1575 ml/day, 2363 kcal/day, 148 g protein/day) was administered. Based on metabolic cart data, adjustments were made, culminating in an increased feed volume of 2625 ml/day by week 19, delivering 3440 kcal/day and 246 g protein/day. Physical therapy had routinely visited the patient since the first week of his hospitalization; however, severe deconditioning resulted from the thermal injury and subsequent complications, limiting the effectiveness of range-of-motion and mobilization exercises.

The patient developed intractable nausea, high enteral residuals, and abdominal pain approximately 22 weeks into hospitalization. Despite enteral and parenteral nutritional support, his BMI fell to 18.34 kg/m2.

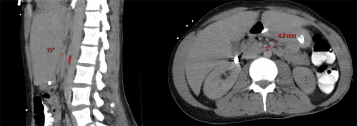
Kidney, ureter, and bladder (KUB) radiography demonstrated a persistently dilated stomach and proximal small bowel with decompressed distal small bowel and colon. After minimal improvement with gastric decompression and promotility agents, a noncontrast CT scan was performed due to a recent acute kidney injury to rule out obstruction or other etiologies. This imaging revealed crucial findings:

  • Significant compression of the third portion of the duodenum with upstream proximal dilation.
  • Aorto-mesenteric angle of only 15 degrees (normal range: 28-65 degrees).
  • Aorto-mesenteric distance of 5 mm (normal range: 10-28 mm).

Given these radiographic features, gastroenterology was consulted on suspicion of superior mesenteric artery (SMA) syndrome. Upper endoscopy was significant for tight angulation in the fourth portion of the duodenum, with the scope unable to traverse beyond the ligament of Treitz, and the procedure was aborted. The combination of radiographic findings, a diagnosis of SMA syndrome with delayed secondary motility was made.

Figure 1. Noncontrast Abdominal CT Scan. Published with Permission

Image shows compression of the third part of the duodenum between SMA and the aorta. Reduced aortomesenteric angle (red) and distance confirm SMA syndrome
Image shows compression of the third part of the duodenum between SMA and the aorta. Reduced aortomesenteric angle (red) and distance confirm SMA syndrome

Conservative management was undertaken to address nutritional deficiencies, replenish mesenteric fat stores, and alleviate duodenal compression. Total parenteral nutrition (TPN) was initiated to achieve eucaloric state and promote weight gain. Once obstruction improved, a nasojejunal (NJ) tube was placed to facilitate enteral feeding. The NJ tube was eventually transitioned to a gastrojejunal (GJ) tube for long-term access. The patient was gradually advanced to a regimented diet of small, frequent liquid meals, which were well-tolerated. By discharge to rehabilitation, symptoms had fully resolved.

Discussion

SMA syndrome (also known as Wilkie syndrome), first described by Rokitansky in 1842, is a rare cause of small bowel obstruction. It occurs from compression of the third portion of the duodenum between the SMA and the aorta as the SMA passes between these two vessels.1,2typically attributed to a loss of the cushioning retroperitoneal fat pad, leading to an increased angle between the SMA and the aorta. Other contributing factors include surgical alteration of the gastrointestinal anatomy or congenital variation of the SMA-aortic angle. The overall incidence of this condition is approximately 0.013-0.3%; however, it appears significantly higher (1.1%) in patients with burn injuries.3 There is a documented female predominance, and patients often exhibit a characteristic asthenic (thin and frail) body habitus.1,3-6

SMA syndrome mimics presentations of other forms of small bowel obstruction with symptoms including food intolerance, abdominal pain, and emesis. However, unlike typical cases of bowel obstruction, abdominal distension is not as pronounced due to the limited length of the small bowel affected by the blockage.6

Diagnosis of SMA syndrome frequently occurs incidentally during CT imaging for abdominal issues.4 This can demonstrate as a dilated proximal duodenum at the level of the third portion, transitioning abruptly to a decompressed distal small bowel. Key diagnostic radiographic features involve a narrowed aorto-mesenteric angle (typically <20-25°, compared to the normal range of 28-65°) and a decreased aorto-mesenteric distance (often <8mm, compared to the usual 10-28mm).1-3,6Confirmation relies on a combination of consistent clinical presentation and these characteristic radiographic findings.1,4,7

SMA syndrome primarily presents as a chronic condition. Anatomic variations or rapid, significant weight loss are known risk factors.

Surgical iatrogenesis:

  • Procedures altering gastrointestinal anatomy can lead to SMA syndrome. This can occur due to changes in the SMA-aorta angle (e.g., scoliosis correction) or from substantial weight loss post-surgery (e.g., bariatric surgery).

Nutritional Deficiencies:

  • Cachexia associated with malignancy, AIDS, or anorexia nervosa is a major contributor to SMA development. These cases typically exhibit an insidious onset.

Acute Presentations:

  • In contrast, catabolic states like major burns can trigger a more acute SMA syndrome.5, 8-16 This is characterized by rapid weight loss within a short timeframe.

Patients with surgical alterations to their anatomy may develop SMA syndrome due to shifts in the angle between the SMA and the aorta (e.g., scoliosis correction) or due to extreme weight reduction (e.g., bariatric surgery). Cachexia related to cancer and AIDS, as well as anorexia nervosa, have been associated with the majority of reported cases. These forms of SMA syndrome have an insidious onset. However, in catabolic states such as major burns, there can be a more acute onset,5,8-16 characterized by rapid weight loss over a short period.

Once identified, treating SMA syndrome requires either weight gain to correct the underlying pathophysiology, surgical correction of duodenal compression, or gastrointestinal bypass procedures.2 Conservative measures such as TPN and enteral feeding beyond the obstruction can be curative in patients presenting acutely. Positioning interventions to increase the aortomesenteric angle during feeding have been reported successful.2,4 However, patients with chronic SMA syndrome may require more long-lasting solutions. Surgical correction, such as division of the ligament of Treitz (Strong’s procedure), can release the duodenum from the aorta, but it carries a reported failure rate of 25%. Bypass procedures like duodenojejunostomy or gastrojejunostomy are preferred when conservative measures fail. Laparoscopic duodenojejunostomy is now considered the surgical procedure of choice.1,3,6

Burn injuries exceeding 20% TBSA trigger a hypermetabolic response, leading to significant (sometimes unavoidable) weight loss even with aggressive nutritional support due to elevated metabolic demands for tissue repair.8This catabolic state is further exacerbated by potential weakness in the abdominal musculature and prolonged periods of supine positioning necessitated by burn location and overall deconditioning.5 When medical management fails, surgical considerations in burn patients include the potential presence of unhealed burns on the abdomen.9Therefore, early mobilization and nutritional optimization become paramount whenever feasible in this patient population. These strategies can significantly mitigate the risk of SMA syndrome by expediting recovery and minimizing muscle catabolism.

Conclusion

SMA syndrome presents a diagnostic hurdle due to its overlap with nonspecific gastrointestinal complaints. Severe burns, particularly those leading to significant weight loss and prolonged immobilization, are established risk factors for SMA in this patient population. Treatment of SMA syndrome requires a multidisciplinary approach. Enteral feeding initiated post-obstruction along with appropriate nutritional support, plays a crucial role in the acute phase. However, surgical intervention is warranted for chronic presentations or when conservative measures prove inadequate.

Lessons Learned

Clinicians need to be aware of this rare cause of duodenal obstruction, which may have a higher prevalence in patient populations with catabolic conditions such as thermal injury.

Authors

Iles K; McEwan S; Nizamani R

Author Affiliation

Department of Surgery, University of North Carolina at Chapel Hill, Chapel Hill, NC 27599

Corresponding Author

Rabia Nizamani, MD, FACS
Department of Surgery
University of Nevada, Las Vegas
Kirk Kerkorian School of Medicine
Las Vegas, NV 89102
Email: rabia.nizamani@unlv.edu

Disclosure Statement

The authors have no conflicts of interest to disclose.

Funding/Support

The authors have no relevant financial relationships or in-kind support to disclose.

Received: March 4, 2021
Revision received: May 17, 2022
Accepted: June 22, 2022

References

  1. Thompson KL, Ziegler J, Trate DM. Superior Mesenteric Artery Syndrome: A Nutrition-Focused Clinical Update. Top Clin Nutr. 2017;32(1):2-14. doi:10.1097/TIN.0000000000000090
  2. Osegueda de Rodríguez EJ, Hernández-Villegas AC, Serralde-Zúñiga AE, Reyes-Ramírez ALDC. The two sides of superior mesenteric artery syndrome treatment: conservative or surgical management?. Nutr Hosp. 2017;34(4):997-1000. Published 2017 Jul 28. doi:10.20960/nh.1006
  3. Frongia G, Schenk JP, Schaible A, Sauer P, Mehrabi A, Günther P. Food fear, quick satiety and vomiting in a 16 years old girl: It’s bulimia, or maybe not…? A case report of Wilkie’s syndrome (superior mesenteric artery syndrome). Int J Surg Case Rep. 2019;65:184-188. doi:10.1016/j.ijscr.2019.10.038
  4. Mathenge N, Osiro S, Rodriguez II, Salib C, Tubbs RS, Loukas M. Superior mesenteric artery syndrome and its associated gastrointestinal implications. Clin Anat. 2014;27(8):1244-1252. doi:10.1002/ca.22249
  5. Reckler JM, Bruck HM, Munster AM, Curreri PW, Pruitt BA Jr. Superior mesenteric artery syndrome as a consequence of burn injury. J Trauma. 1972;12(11):979-985. doi:10.1097/00005373-197211000-00008
  6. Merrett ND, Wilson RB, Cosman P, Biankin AV. Superior mesenteric artery syndrome: diagnosis and treatment strategies. J Gastrointest Surg. 2009;13(2):287-292. doi:10.1007/s11605-008-0695-4
  7. Wang T, Wang ZX, Wang HJ. Clinical Insights into Superior Mesenteric Artery Syndrome with Multiple Diseases: A Case Report. Dig Dis Sci. 2019;64(6):1711-1714. doi:10.1007/s10620-018-5436-2
  8. Milner EA, Cioffi WG, McManus WF, Pruitt BA Jr. Superior mesenteric artery syndrome in a burn patient. Nutr Clin Pract. 1993;8(6):264-266. doi:10.1177/0115426593008006264
  9. Lescher TJ, Sirinek KR, Pruitt BA Jr. Superior mesenteric artery syndrome in thermally injured patients. J Trauma. 1979;19(8):567-571. doi:10.1097/00005373-197908000-00004
  10. Chen X, Wang Q, Li F. Incomplete duodenal obstruction caused by cholecystitis in an extensive burn patient. Chin Med J (Engl). 2019;132(10):1241-1243. doi:10.1097/CM9.0000000000000189
  11. Jiménez-Castro L, Aguirre HD, Posada-López AF. Síndrome de arteria mesentérica superior secundario aquemadura severa. Rev CES Med. 2014; 28(1): 139-146. ISSN 0120-8705.
  12. Banssillon VG, Tapissier B, Goudot B, Marichy Y. A propos d'une observation de syndrome de l'artère mésentérique supérieure d'évolution fatale chez un brûlé [A case of superior mesenteric artery syndrome in a burned patient with fatal outcome]. Anesth Analg (Paris). 1977;34(1):199-201.
  13. Barnett RA. A simple diagnostic sign in the superior mesenteric artery syndrome in a burned patient. Br J Plast Surg. 1976;29(4):322-324. doi:10.1016/0007-1226(76)90015-1
  14. Ogbuokiri CG, Law EJ, MacMillan BG. Superior mesenteric artery syndrome in burned children. Am J Surg. 1972;124(1):75-79. doi:10.1016/0002-9610(72)90172-9
  15. Wallace RG, Howard WB. Acute superior mesenteric artery syndrome in the severely burned patient. Radiology. 1970;94(2):307-310. doi:10.1148/94.2.307
  16. Kirksey TD, Moncrief JA, Pruitt BA Jr, O’Neill JA Jr. Gastrointestinal complications in burns. Am J Surg. 1968;116(5):627-633. doi:10.1016/0002-9610(68)90336-x