Unsupported Browser
The American College of Surgeons website is not compatible with Internet Explorer 11, IE 11. For the best experience please update your browser.
Menu
Become a member and receive career-enhancing benefits

Our top priority is providing value to members. Your Member Services team is here to ensure you maximize your ACS member benefits, participate in College activities, and engage with your ACS colleagues. It's all here.

Become a Member
Become a member and receive career-enhancing benefits

Our top priority is providing value to members. Your Member Services team is here to ensure you maximize your ACS member benefits, participate in College activities, and engage with your ACS colleagues. It's all here.

Become a Member
ACS
ACS Case Reviews

Only as Strong as the Weakest LINX: Disrupted Magnetic Sphincter Augmentation Device Management

July 8, 2024

Abstract

Background

The magnetic sphincter augmentation device (MSAD), also known as the LINX device, presents a promising approach for managing recurrent gastroesophageal reflux disease (GERD). Studies indicate its safety and efficacy with low complication and reoperation rates.

Summary

In this report, we describe a case involving the mechanical disruption of an MSAD. Five years post-implantation, the patient presented with complaints of persistent dysphagia refractory despite multiple endoscopic dilations. A barium swallow study revealed evidence suggestive of a disruption in the LINX device. Subsequently, the patient underwent robotic removal of the device, revealing a disruption in the titanium wire connecting two posterior beads. All beads were retrieved, and the MSAD was completely removed in a single stage with conversion to a Toupet fundoplication, resulting in the successful resolution of her dysphagia.

Conclusion

With only one similar case reported to date, this study presents a unique clinical picture of a rarely described complication associated with the MSAD. Our case offers new diagnostic considerations in patients presenting with symptoms that could be indicative of device malfunction.

Key Words

magnetic sphincter augmentation device; malfunction; disruption; gastroesophageal reflux disease; lower esophageal sphincter


Case Description

The LINX Reflux Management System (J&J Medical Devices), also known as the magnetic sphincter augmentation device (MSAD), acts to restore the competence of the esophagogastric junction (EGJ) by augmenting the lower esophageal sphincter (LES) with a circumferential band of magnetic beads. These magnets allow the passage of food into the stomach while preventing reflux through the constriction of an incompetent LES.1,2 Studies have shown that LINX MSAD effectively reduces GERD symptoms, lowers esophageal acid exposure, and permits decreased dependence on proton pump inhibitors (PPIs) in patients with medically refractory GERD.3-7 MSADs offer a safe alternative to fundoplication with the benefit of allowing gas release from the stomach via the EGJ, preserving gastric anatomy, and producing consistent and reversible results.3-5,8-10

At the time of market entry in 2012, no reported long-term MSAD-related complications were reported at four years.3,7,11,12 However, subsequent post-market surveillance revealed rare long-term complications of device erosion into the esophagus or migration, causing recurrence of reflux symptoms, dysphagia, and pain.13-15 The reported erosion rate is approximately 0.3%, with malfunction occurring in less than 0.1% of cases.15,16 While these adverse events are infrequent, the recurrence of symptoms and the need for device removal are frustrating for the patient and their care team. Fortunately, laparoscopic explant of the MSAD, with or without conversion to fundoplication, is a safe and effective procedure.6,13

The case details a patient with medically refractory GERD who underwent LINX placement. Her course was complicated by persistent postoperative dysphagia requiring serial dilations. Almost five years later, she was diagnosed with an uncommon complication involving mechanical disruption, requiring the removal of the device and conversion to fundoplication. Notably, this case did not involve a device recall. Given the infrequency of such device failures and the vague symptoms presented by our patient, this case stands out as unique in the literature. We recommend including mechanical LINX disruption in the differential diagnosis for persistent dysphagia following MSAD placement for GERD.

A 69-year-old woman presented with a five-year history of persistent dysphagia. In 2016, she underwent placement of a MSAD to address symptomatic reflux disease, supported by a high DeMeester score of 35. She developed dysphagia immediately following MSAD implantation. Dietary modifications failed to alleviate her symptoms. A barium esophagram performed two weeks after MSAD placement revealed a stricture at the gastroesophageal junction (GEJ) and delayed passage of a barium tablet at five minutes. Importantly, the exam did not show any signs of device malfunction. She promptly underwent dilation under fluoroscopic guidance with a 60Fr Savary dilator, providing only temporary relief. Despite undergoing two more dilations over the course of several years, her symptoms persisted.

The patient was referred to our institution for a second opinion on her dysphagia five years after device implantation. At her presentation, she reported difficulty swallowing with all food consistencies. We performed a comprehensive workup to investigate the etiology. Barium esophagram revealed delayed esophageal emptying and a concerning finding—dissociation of the posterior beads of the LINX system (Figure 1). This dissociation was not documented on prior studies, although image comparison was limited due to unavailability. High-resolution manometry (HRM) demonstrated persistent issues despite a previous repair attempt. Despite 100% bolus clearance, the test showed weak esophageal peristalsis and a recurrent 2 cm hiatal hernia. There was no device erosion or malposition on EGD.

A multidisciplinary team of gastroenterologists, GI surgeons, and speech-language pathologists reviewed the case. The timing of the dysphagia onset strongly suggested a potential link to the LINX device. However, definitively attributing the symptoms solely to device failure was challenging due to the presence of other factors known to contribute to dysphagia post-MSAD placement. Ultimately, the team recommended removal of the LINX device with conversion to fundoplication.

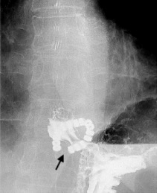
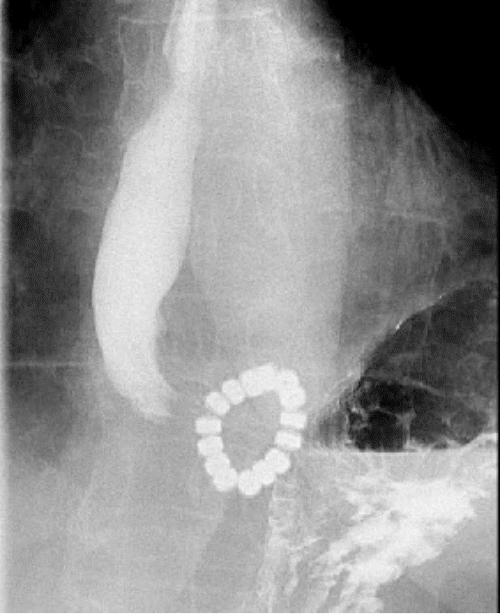
Figure 1. Barium Esophagram. Published with Permission

A.

Illustrating discontinuity in the posterior section of the LINX device during contrast passage. A) Pre-contrast image shows the LINX device in its intact state
Illustrating discontinuity in the posterior section of the LINX device during contrast passage. A) Pre-contrast image shows the LINX device in its intact state

B.

Illustrating discontinuity in the posterior section of the LINX device during contrast passage.  B) Following contrast passage through the device, separation is evident between the posterior beads (indicated by arrow).
Illustrating discontinuity in the posterior section of the LINX device during contrast passage. B) Following contrast passage through the device, separation is evident between the posterior beads (indicated by arrow).

We performed a robotic hiatal hernia repair, MSAD removal, and Toupet fundoplication on an elective basis. A Toupet wrap was selected based on the patient's presenting symptoms of dysphagia, delayed passage of barium tablet on esophagram, and weak esophageal contractility on HRM. Dense inflammation was noted around the diaphragmatic hiatus on entry into the abdomen. Initially, we transected the gastrohepatic ligament up to the right crus and completely divided the phrenoesophageal ligament along the edges of the hiatus. During lateral dissection, we noticed a disruption of the LINX at the titanium link between two beads, which confirmed that it was not the clasp of the LINX. Inadvertently, during medial dissection, we broke the titanium wire in another region, three beads down from the initial disruption. Subsequently, posterior dissection to the esophagus created a retro-esophageal window where we found the remaining three beads with wire disruptions on the terminal ends. We brought the fundus posteriorly to form our Toupet wrap using the window created to find the beads. The device was removed in two pieces, and after reviewing preoperative imaging and previous operative reports, we confirmed removal of all beads. She had an unremarkable postoperative course and reported immediate resolution of her dysphagia. At her three-month follow-up, she continued to experience relief of her symptoms.

Figure 2. Discontinuity of Titanium Wire and Beads, A) Medial and B) Lateral Portions. Published with Permission

A.

B.

Discussion

Dysphagia is the most common serious complication after placement of a pharyngeal dysphagia swallowing aid (MSAD), affecting 43-68% of patients.3,11,17,18 Edema, scarring, undersized device, and poor peristaltic reserve can all contribute to this issue.19,20 Fortunately, symptoms are usually self-limited and resolve within the first year.3,17,18 In rare cases of persistent dysphagia, studies suggest a device removal rate of around 1.5-1.8%,21,22 and mechanical failure of the MSAD itself is seldom the culprit. This case stands out because it describes an instance where a malfunctioning device contributed to dysphagia, a complication otherwise commonly observed after MSAD placement.

The literature reports a single instance of LINX disruption. A 72-year-old woman experienced immediate chest pain and reflux symptom recurrence four months following device implantation. Preoperative esophagram confirmed device disruption, necessitating removal and conversion to fundoplication. This malfunction was speculated to be related to a 2018 recall involving a component failure leading to device discontinuity.23

The presenting symptoms of dysphagia and the patient's clinical course underscore several learning points for clinicians utilizing the MSAD. Our case suggests a new mechanism of MSAD malfunction that should be considered in patients experiencing persistent postoperative dysphagia and reflux. It is unclear if our patient's dysphagia was related solely to the disruption of her device. Based on the time course of her symptoms, it is likely that improper sizing or herniation of the stomach into the device also played a role. While disruption of the device was confirmed preoperatively with barium esophagram, unlike a previously reported case,23 our patient did not exhibit recurrent reflux symptoms or the characteristic acute sentinel episode of chest pain associated with wire fracture.23 For situations where device discontinuity necessitates piecemeal removal, it is crucial to refer to preoperative imaging to ensure complete retrieval of all beads and minimize the risk of complications.

The removal of the device is relatively straightforward and can be safely performed as a one-stage procedure. At our institution, device removal is routinely performed with the same basic steps involving exposure of the hiatus, dissection of the capsule surrounding the device, and division of the wire between the beads to facilitate removal. We do not routinely disengage the clasp as maintaining device integrity is unnecessary. Most importantly, we count the number of beads removed and reference any preoperative imaging or operative reports for verification. We routinely perform conversion to fundoplication as this technique has been shown to control GERD symptoms following device removal.13,14

It is unclear if dilation of the patient's LINX led to device disruption. However, postoperative dysphagia is a known complication, affecting up to 30% of patients, according to some studies.16,22 Dilation is often employed to address this issue, but there are currently no documented cases of dilation directly causing device disruption.

The manufacturer recommends specific protocols to minimize theoretical concerns for device breakage, including waiting at least six weeks post implementation, using a dilator with a diameter no larger than 15 mm, and performing the procedure under fluoroscopy with balloon dilators.24

Our case presented a scenario where these recommendations were not followed. First, the patient was dilated just two weeks postoperatively. Second, a larger 20 mm Savary dilator was used, exceeding the recommended size. Although fluoroscopy visualized bead separation during the procedure, suggesting the dilation itself was not the culprit, this case underscores the importance of adhering to manufacturer recommendations for cautious dilation, particularly within the first eight weeks following LINX placement.

Current literature recommends managing early dysphagia (less than eight weeks post-surgery) with conservative measures like dietary modifications, a brief course of oral steroids, and avoidance of early dilation.22

This case highlights the importance of device explantation in cases of dysphagia refractory to nonoperative interventions. In hindsight, the temporal relation of dysphagia to the implantation of the device might have suggested it as the etiology; however, a delay in diagnosis and treatment occurred. Overconfidence in device efficacy and initial surgical decisions can lead to "diagnostic momentum," hindering reevaluation. In this case, a multidisciplinary team can offer a fresh and unbiased perspective, reducing diagnostic errors and eliminating cognitive bias. For patients with post-LINX dysphagia, chest pain, or recurrent heartburn, a workup including barium esophagram, HRM, and EGD should assess device integrity. Suspicion for device malfunction should be particularly high in those with persistent symptoms.

Conclusion

This case illustrates the importance of considering device disruption as a cause of complications in patients with MSADs. A barium esophagram provides a reliable method to assess device integrity. If fragmentation is identified, it is essential to utilize preoperative imaging and operative reports to ensure the complete removal of all beads during surgery.

Lessons Learned

Effective management of post-implantation dysphagia hinges on prompt recognition and early intervention. This case underscores the importance of maintaining a critical approach, even when initial diagnoses seem clear. Collaboration within a multidisciplinary team can provide valuable perspectives and reduce biases, leading to more accurate diagnoses. These lessons highlight the need for vigilance and adherence to best practices in managing device-related complications.

Authors

Prager LPa; Lippincott MDa; Sujka JAa; David BMa; DuCoin CGa

Author Affiliations

  1. University of South Florida Surgical Outcomes Research Team, University of South Florida, Tampa, FL 33606
  2. General Surgery Department, Joy McCann Culverhouse Center for Swallowing Disorders, Tampa, FL 33612

Corresponding Author

Michelle Lippincott, MD
Harbourside Medical Tower
Ste. 410
Tampa, FL 33606
Email: mlippincott@usf.edu

Disclosure Statement

Dr. DuCoin is involved in research and development for Boston Scientific. He is also an Educational Consultant for Intuitive, Medtronic, and Johnson & Johnson. The authors have no other conflicts of interest to disclose.

Funding/Support

The authors have no relevant financial relationships or in-kind support to disclose.

Received: August 10, 2021
Revision received: February 1, 2022
Accepted: February 7, 2022

References

  1. Mihura M, Louie BE. Laparoscopic Antireflux Surgery: Magnetic GEJ Augmentation. In: Grams J, Perry K, Tavakkoli A. (eds) The SAGES Manual of Foregut Surgery. 2019. Springer, Cham. doi:10.1007/978-3-319-96122-4_13
  2. Bonavina L, Saino GI, Bona D, et al. Magnetic augmentation of the lower esophageal sphincter: results of a feasibility clinical trial. J Gastrointest Surg. 2008;12(12):2133-2140. doi:10.1007/s11605-008-0698-1
  3. Ganz RA, Peters JH, Horgan S. Esophageal sphincter device for gastroesophageal reflux disease. N Engl J Med. 2013;368(21):2039-2040. doi:10.1056/NEJMc1303656
  4. Bonavina L, DeMeester T, Fockens P, et al. Laparoscopic sphincter augmentation device eliminates reflux symptoms and normalizes esophageal acid exposure: one- and 2-year results of a feasibility trial. Ann Surg. 2010;252(5):857-862. doi:10.1097/SLA.0b013e3181fd879b
  5. Ganz RA, Edmundowicz SA, Taiganides PA, et al. Long-term Outcomes of Patients Receiving a Magnetic Sphincter Augmentation Device for Gastroesophageal Reflux. Clin Gastroenterol Hepatol. 2016;14(5):671-677. doi:10.1016/j.cgh.2015.05.028
  6. Bona D, Saino G, Mini E, et al. Magnetic sphincter augmentation device removal: surgical technique and results at medium-term follow-up. Langenbecks Arch Surg. 2021;406(7):2545-2551. doi:10.1007/s00423-021-02294-7
  7. Bell R, Lipham J, Louie BE, et al. Magnetic Sphincter Augmentation Superior to Proton Pump Inhibitors for Regurgitation in a 1-Year Randomized Trial. Clin Gastroenterol Hepatol. 2020;18(8):1736-1743.e2. doi:10.1016/j.cgh.2019.08.056
  8. Smith CD, Ganz RA, Lipham JC, Bell RC, Rattner DW. Lower Esophageal Sphincter Augmentation for Gastroesophageal Reflux Disease: The Safety of a Modern Implant. J Laparoendosc Adv Surg Tech A. 2017;27(6):586-591. doi:10.1089/lap.2017.0025
  9. Schizas D, Mastoraki A, Papoutsi E, et al. LINX® reflux management system to bridge the "treatment gap" in gastroesophageal reflux disease: A systematic review of 35 studies. World J Clin Cases. 2020;8(2):294-305. doi:10.12998/wjcc.v8.i2.294
  10. Sheu EG, Rattner DW. Evaluation of the LINX antireflux procedure. Curr Opin Gastroenterol. 2015;31(4):334-338. doi:10.1097/MOG.0000000000000189
  11. Lipham JC, DeMeester TR, Ganz RA, et al. The LINX® reflux management system: confirmed safety and efficacy now at 4 years. Surg Endosc. 2012;26(10):2944-2949. doi:10.1007/s00464-012-2289-1
  12. Bonavina L, Saino G, Bona D, Sironi A, Lazzari V. One hundred consecutive patients treated with magnetic sphincter augmentation for gastroesophageal reflux disease: 6 years of clinical experience from a single center. J Am Coll Surg. 2013;217(4):577-585. doi:10.1016/j.jamcollsurg.2013.04.039
  13. Asti E, Siboni S, Lazzari V, Bonitta G, Sironi A, Bonavina L. Removal of the Magnetic Sphincter Augmentation Device: Surgical Technique and Results of a Single-center Cohort Study. Ann Surg. 2017;265(5):941-945. doi:10.1097/SLA.0000000000001785
  14. Tatum JM, Alicuben E, Bildzukewicz N, Samakar K, Houghton CC, Lipham JC. Removing the magnetic sphincter augmentation device: operative management and outcomes. Surg Endosc. 2019;33(8):2663-2669. doi:10.1007/s00464-018-6544-y
  15. Alicuben ET, Bell RCW, Jobe BA, et al. Worldwide Experience with Erosion of the Magnetic Sphincter Augmentation Device. J Gastrointest Surg. 2018;22(8):1442-1447. doi:10.1007/s11605-018-3775-0
  16. Lipham JC, Taiganides PA, Louie BE, Ganz RA, DeMeester TR. Safety analysis of first 1000 patients treated with magnetic sphincter augmentation for gastroesophageal reflux disease. Dis Esophagus. 2015;28(4):305-311. doi:10.1111/dote.12199
  17. Reynolds JL, Zehetner J, Bildzukewicz N, Katkhouda N, Dandekar G, Lipham JC. Magnetic sphincter augmentation with the LINX device for gastroesophageal reflux disease after U.S. Food and Drug Administration approval. Am Surg. 2014;80(10):1034-1038.
  18. Alicuben ET, Tatum JM, Samaan JS, et al. Characterization of Dysphagia after Magnetic Sphincter Augmentation Device Placement for Gastroesophageal Reflux Disease. J Am Coll Surg. 2018;227(4):S16-S16. doi:10.1016/j.jamcollsurg.2018.07.014
  19. Leeds SG, Ebrahim A, Potter EM, et al. The role of preoperative workup in predicting dysphagia, dilation, or explantation after magnetic sphincter augmentation. Surg Endosc. 2020;34(8):3663-3668. doi:10.1007/s00464-020-07664-8
  20. Dominguez-Profeta R, Cheverie JN, Blitzer RR, et al. More beads, more peristaltic reserve, better outcomes: factors predicting postoperative dysphagia after magnetic sphincter augmentation. Surg Endosc. 2021;35(9):5295-5302. doi:10.1007/s00464-020-08013-5
  21. Bell RCW. LINX. Foregut. 2021;1(2):167-172. doi:10.1177/26345161211026329
  22. Ayazi S, Zheng P, Zaidi AH, et al. Magnetic Sphincter Augmentation and Postoperative Dysphagia: Characterization, Clinical Risk Factors, and Management. J Gastrointest Surg. 2020;24(1):39-49. doi:10.1007/s11605-019-04331-9
  23. Ji H, Chandrasekhara V, Leggett CL. Magnetic sphincter augmentation device malfunction. Gastrointest Endosc. 2021;93(1):261-262. doi:10.1016/j.gie.2020.07.011
  24. Fletcher R, Dunst CM, Abdelmoaty WF, et al. Safety and efficacy of magnetic sphincter augmentation dilation. Surg Endosc. 2021;35(7):3861-3864. doi:10.1007/s00464-020-07799-8