Unsupported Browser
The American College of Surgeons website is not compatible with Internet Explorer 11, IE 11. For the best experience please update your browser.
Menu
Become a member and receive career-enhancing benefits

Our top priority is providing value to members. Your Member Services team is here to ensure you maximize your ACS member benefits, participate in College activities, and engage with your ACS colleagues. It's all here.

Become a Member
Become a member and receive career-enhancing benefits

Our top priority is providing value to members. Your Member Services team is here to ensure you maximize your ACS member benefits, participate in College activities, and engage with your ACS colleagues. It's all here.

Become a Member
ACS
ACS Case Reviews

Lamotrigine in the Treatment of Refractory Solitary Rectal Ulcer in an Adolescent Patient

July 8, 2024

Abstract

Background

Solitary rectal ulcer syndrome (SRUS), an uncommon benign condition, is characterized by the presence of bleeding rectal ulcers. Its etiology is not well understood, but theories link it to wider rectal prolapse syndrome, secondary to paradoxical contraction of the pelvic floor and excessive straining on defecation. Treatment options and responses vary. Approaches include enemas with sucralfate, salicylate, corticosteroids, sulfasalazine, mesalamine, and topical fibrin sealant, as well as behavior modification therapy. Surgical options such as botulinum toxin injection into the puborectalis, argon beam coagulation (APC) of bleeding ulcers, rectopexy, and proctectomy are reserved for refractory ulcers.

Summary

A 12-year-old girl with SRUS underwent conservative medical therapy, eight colonoscopies with APC treatment of rectal ulcers, and seven rounds of botulinum toxin injections for puborectalis chemo-denervation. These interventions proved ineffective. Her symptoms improved after initiating lamotrigine, a medication typically used for neurological or psychiatric conditions.

Conclusion

This case highlights the potential role of psychological factors in SRUS and the possibility of atypical treatment responses.

Key Words

solitary rectal ulcer syndrome; lamotrigine


Case Description

Solitary rectal ulcer syndrome (SRUS) is a rare benign disease of the rectum, primarily affecting young adult females. It has a prevalence of 1 in 100,000 individuals per year and is characterized by a combination of symptoms, endoscopic findings, and histological abnormalities.1 It was first described in 1830 by Cruveilhier,2 and Madigan and Morson detailed clinical and histopathological features nearly a century later.3 SRUS usually presents with a symptom complex consisting of rectal bleeding, passage of mucus, straining on defecation, tenesmus, perineal and abdominal pain, incomplete evacuation sensation, constipation, and rectal prolapse.4 Diagnosis relies on a combination of clinical presentation, endoscopic visualization, and histological confirmation.

Despite the name "solitary rectal ulcer syndrome," ulcers are only present in around 40% of patients. Lesions are different in shape and size, varying from hyperemic mucosa to broad-based polypoid lesions, with only 20% of patients exhibiting a solitary ulcer.5-8 The pathophysiology of SRUS remains unclear, but a leading theory suggests it is secondary to paradoxical contraction of the pelvic floor during defecation trauma and subsequent ischemia to the rectal mucosa. This theory posits that excessive straining against a contracted puborectalis muscle creates high intra-abdominal pressure. This pressure forces the anterior rectal wall against the posterior wall, leading to traumatic necrosis of the rectal mucosa. As a result of significant Valsalva, the anterior rectal wall is often forced to prolapse beyond the tight puborectalis, leading to internal, occult intussusception and occasionally, sometimes full-thickness anorectal intussusception in severe cases, which can result in congestion, edema, and ulceration.9

SRUS can be difficult to treat and presents a management challenge due to its high recurrence rate. Conservative therapy forms the first-line approach, focusing on promoting easier bowel movements. This includes increased fluid and fiber intake, laxatives, and biofeedback/pelvic floor physical therapy to improve puborectalis relaxation during defecation. Many anti-inflammatory medications (e.g., sulfasalazine and corticosteroids) have been tried with mixed results. Emerging evidence suggests botulinum toxin injection into the puborectalis as a potential treatment for SRUS and pelvic floor dyssynergia-related obstructed defecation. Surgical methods like rectopexy to reduce internal intussusception, ulcer excision, and Delorme procedure are typically reserved for cases refractory to conservative therapy.10-14

A previously healthy 12-year-old female presented to our emergency department with a two-month history of intermittent rectal bleeding, tenesmus, and supra-pubic pain. The bleeding was variable in amount and in its temporal relationship to defecation. She also noticed intermittent mucus in her stool. Blood work, including a complete blood count and coagulation labs, were within normal limits. Initial treatment with laxatives provided no relief, so the patient went for follow-up in the gastroenterology clinic. Subsequent colonoscopy revealed two rectal ulcers near the anal verge (Figure 1). Biopsy findings included scattered neutrophils in the lamina propria, fibrinous surface exudate, mild architectural distortion, and mild fibrosis, consistent with SRUS. The patient was advised to increase her dietary fiber intake and was started on regular laxatives. Sequential trials of laxatives, steroid/Carafate enemas, and oral mesalamine failed to improve her symptoms.

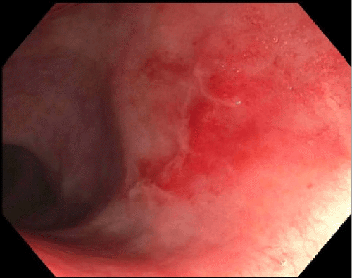
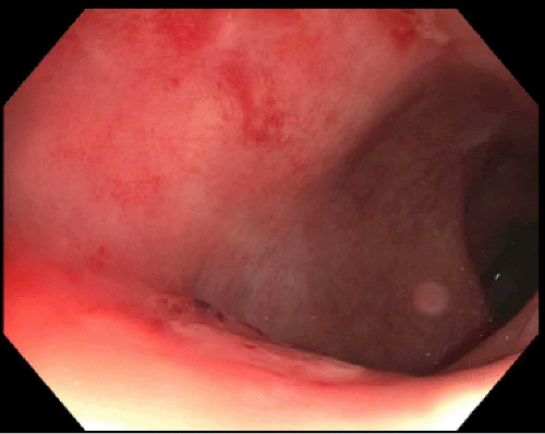
Figure 1. Findings from Colonoscopy (arrows point to rectal ulcer). Published with Permission

A.

B.

C.

A colonoscopy with argon plasma coagulation (APC) was performed several months after initial presentation due to persistent rectal bleeding. This initially improved bleeding only modestly. Despite subsequent treatment with amitriptyline and seven further colonoscopies with APC over a year (using 25-30 watts and 0.5-1 L/min flow) to coagulate the ulcerated tissue, bleeding persisted, and symptom relief was transient. Additionally, trials of hyoscyamine, dicyclomine, and valium proved ineffective. She was then referred to our office for surgical evaluation, MRI and fluoroscopic defecography were negative for vascular malformations or anatomical causes of bleeding.

Due to ongoing symptoms of tenesmus and bleeding, we performed chemo-denervation of the puborectalis using 100 units of botulinum toxin in 10 unit aliquots, which resulted in three months of remittance before her symptoms returned. Concurrently, she was started on fluoxetine for depression. She underwent six further botulinum toxin injections into the puborectalis over the following 2.5 years, with cessation of bleeding for three to five months after each treatment. At the last injection, we identified evidence of self-harm, prompting a medication switch from fluoxetine (SSRI) to lamotrigine by her psychologist. The patient has been symptom-free for 6 months since the last injection and transitioned to lamotrigine as the primary psychologic therapy.

Discussion

Due to its rarity and variable presentation, early diagnosis of SRUS in children requires a high level of suspicion from both surgeons and pathologists. Unlike adults, where a visible rectal ulcer is common, only 25% of children with SRUS exhibit this finding. Additionally, the lesion may not be solitary or ulcerated. A comprehensive medical history is crucial for early detection.

Differential diagnoses include common childhood conditions like inflammatory bowel disease, ischemic colitis, hemorrhoids, and fissures. While rare in children, malignancy must also be considered. Diagnosis relies on a combination of clinical features, visualized findings during proctosigmoidoscopy, and histological analysis. Imaging investigations like defecating proctography and pelvic floor evaluations may be employed.7,8 Imaging investigations like defecating proctography and pelvic floor evaluations may be employed. Laboratory tests are typically normal, but chronic rectal bleeding might indicate microcytic anemia. Stool analysis and sweat tests are recommended for children with internal or full-thickness rectal prolapse to rule out cystic fibrosis. Fluoroscopic or MRI defecography can be performed, if tolerated, to assess pelvic floor descent and dysfunction and potential complications like rectocele, internal rectal intussusception, and prolapse.1,7,8

Conservative management, including fiber supplementation, laxatives, and bowel retraining, is the first-line approach for SRUS. Different treatments like enemas containing sucralfate, salicylate, corticosteroid, sulfasalazine, mesalamine, and topical fibrin sealant have been used with variable efficacy.11,12,15 Behavior modification therapy by biofeedback training offers significant improvement (75%) in adults who have uncoordinated defecation habits, excessive straining and stool frequency, and high rectal sensory threshold.16,17

Our patient, however, exhibited minimal response to conservative measures (diet, laxatives, carafate/corticosteroid enemas) and experienced frequent relapses. While agents like sulfasalazine (used in IBD) have been explored for SRUS, their benefits and long-term effects lack robust evidence. Botulinum toxin injections and laparoscopic ventral rectopexy are emerging options for pelvic floor dyssynergia.4,11,12 In adults, laparoscopic ventral rectopexy has shown some advantages to standard sacral rectopexy for internal intussusception.13,14

Lamotrigine, a sodium channel blocker commonly used for epilepsy and bipolar disorder, lacks documented efficacy in treating SRUS. The current literature offers no reports of such use, and the potential mechanism of action for lamotrigine in SRUS remains unclear.

Conclusion

In pediatric patients, early diagnosis of SRUS presents a significant challenge. The reason lies in the syndrome's variable clinical presentation, with ulcers potentially being non-visible or solitary. To achieve an accurate diagnosis, a detailed history and comprehensive evaluation are essential, ruling out other potential conditions such as inflammatory bowel disease, ischemic colitis, hemorrhoids, fissures, or even malignancy. Due to the rarity of SRUS in children, further research and clinical trials are necessary to gain a deeper understanding of the condition and refine treatment approaches. This case report highlights a successful application of lamotrigine therapy in a child with refractory SRUS.

Lessons Learned

SRUS is uncommon and difficult to diagnose. Although many treatment options have been described, ulcers are often refractory to therapy, and recurrence rates are high. Lamotrigine may have a therapeutic effect on SRUS, but further prospective studies and long-term follow-up are required to establish the effect of the medication on SRUS.

Authors

Elnagar Ja; Teeple Eb

Author Affiliations

  1. Department of Surgery, Lankenau Medical Center, Philadelphia, PA 19096
  2. Department of Pediatric Surgery, Nemours/Alfred I. duPont Hospital for Children, Wilmington, DE 19803

Corresponding Author

Jaafar Elnagar, MBBS
Department of Surgery
Lankenau Medical Center
100 East Lancaster
MOB South 422
Wynnewood, PA 19096
Email: elnagarj@mlhs.org

Disclosure Statement

The authors have no conflicts of interest to disclose.

Funding/Support

The authors have no relevant financial relationships or in-kind support to disclose.

Received: November 2, 2021
Revision received: January 19, 2022
Accepted: January 26, 2022

References

  1. Zhu QC, Shen RR, Qin HL, Wang Y. Solitary rectal ulcer syndrome: clinical features, pathophysiology, diagnosis and treatment strategies. World J Gastroenterol. 2014;20(3):738-744. doi:10.3748/wjg.v20.i3.738
  2. Cruveihier J Ulcer chronique du rectum. In: Bailliere JB. Anatomie pathologique du crops humain. Paris: 1829
  3. Madigan MR, Morson BC. Solitary ulcer of the rectum. Gut. 1969;10(11):871-881. doi:10.1136/gut.10.11.871
  4. Keshtgar AS. Solitary rectal ulcer syndrome in children. Eur J Gastroenterol Hepatol. 2008;20(2):89-92. doi:10.1097/MEG.0b013e3282f402c1
  5. Dehghani SM, Malekpour A, Haghighat M. Solitary rectal ulcer syndrome in children: a literature review. World J Gastroenterol. 2012;18(45):6541-6545. doi:10.3748/wjg.v18.i45.6541
  6. Perito ER, Mileti E, Dalal DH, et al. Solitary rectal ulcer syndrome in children and adolescents. J Pediatr Gastroenterol Nutr. 2012;54(2):266-270. doi:10.1097/MPG.0b013e318240bba5
  7. Mackle EJ, Parks TG. The pathogenesis and pathophysiology of rectal prolapse and solitary rectal ulcer syndrome. Clin Gastroenterol. 1986;15(4):985-1002.
  8. Al-Brahim N, Al-Awadhi N, Al-Enezi S, Alsurayei S, Ahmad M. Solitary rectal ulcer syndrome: a clinicopathological study of 13 cases. Saudi J Gastroenterol. 2009;15(3):188-192. doi:10.4103/1319-3767.54749
  9. Levine DS. "Solitary" rectal ulcer syndrome. Are "solitary" rectal ulcer syndrome and "localized" colitis cystica profunda analogous syndromes caused by rectal prolapse?. Gastroenterology. 1987;92(1):243-253.
  10. Beck DE. Surgical Therapy for Colitis Cystica Profunda and Solitary Rectal Ulcer Syndrome. Curr Treat Options Gastroenterol. 2002;5(3):231-237. doi:10.1007/s11938-002-0045-7
  11. Gouriou C, Chambaz M, Ropert A, et al. A systematic literature review on solitary rectal ulcer syndrome: is there a therapeutic consensus in 2018?. Int J Colorectal Dis. 2018;33(12):1647-1655. doi:10.1007/s00384-018-3162-z
  12. Bulut T, Canbay E, Yamaner S, Gulluoglu M, Bugra D. Solitary rectal ulcer syndrome: exploring possible management options. Int Surg. 2011;96(1):45-50. doi:10.9738/1376.1
  13. Tweedie DJ, Varma JS. Long-term outcome of laparoscopic mesh rectopexy for solitary rectal ulcer syndrome. Colorectal Dis. 2005;7(2):151-155. doi:10.1111/j.1463-1318.2004.00729.x
  14. Bonnard A, Mougenot JP, Ferkdadji L, Huot O, Aigrain Y, De Lagausie P. Laparoscopic rectopexy for solitary ulcer of rectum syndrome in a child. Surg Endosc. 2003;17(7):1156-1157. doi:10.1007/s00464-002-4285-3
  15. Ederle A, Bulighin G, Orlandi PG, Pilati S. Endoscopic application of human fibrin sealant in the treatment of solitary rectal ulcer syndrome. Endoscopy. 1992;24(8):736-737. doi:10.1055/s-2007-1010574
  16. Vaizey CJ, Roy AJ, Kamm MA. Prospective evaluation of the treatment of solitary rectal ulcer syndrome with biofeedback. Gut. 1997;41(6):817-820. doi:10.1136/gut.41.6.817
  17. Malouf AJ, Vaizey CJ, Kamm MA. Results of behavioral treatment (biofeedback) for solitary rectal ulcer syndrome. Dis Colon Rectum. 2001;44(1):72-76. doi:10.1007/BF02234824