Unsupported Browser
The American College of Surgeons website is not compatible with Internet Explorer 11, IE 11. For the best experience please update your browser.
Menu
Become a member and receive career-enhancing benefits

Our top priority is providing value to members. Your Member Services team is here to ensure you maximize your ACS member benefits, participate in College activities, and engage with your ACS colleagues. It's all here.

Become a Member
Become a member and receive career-enhancing benefits

Our top priority is providing value to members. Your Member Services team is here to ensure you maximize your ACS member benefits, participate in College activities, and engage with your ACS colleagues. It's all here.

Become a Member
ACS
ACS Case Reviews

Torsion of a Remarkably Large Accessory Spleen

July 8, 2024

Abstract

Background

A 20-year-old male presented to our emergency department with acute torsion of an especially large accessory spleen.

Summary

A 20-year-old male presented to our emergency department with a week-long history of persistent abdominal pain and fever. He had previously been admitted for observation at another hospital when the symptoms first appeared but only experienced minimal improvement. After discharge, his condition worsened, prompting him to seek care at our facility.

A CT scan revealed a unique combination of findings. The patient exhibited polysplenia, a condition with multiple spleens, in the left upper abdomen. Additionally, the scan identified a concerning twist in the left upper to mid-abdominal mesentery. This twisting involved a large (14 × 5 × 6 cm) accessory spleen located within the mesentery, and caused an infarction.

Given these findings, a surgical resection of the accessory spleen was performed without complications. The patient was discharged on the third postoperative day and scheduled for follow-up in the clinic. This case highlights a rare cause of splenic complications—volvulus of a large accessory spleen.

Conclusion

Accessory spleens, small distinct organs with normal splenic function, can arise due to embryonic anomalies. Clinical manifestations are variable, and symptoms are often caused by irreducible torsion of the supernumerary spleen's vasculature, leading to venous congestion and infarction. Preoperative diagnosis of accessory splenic torsion is notoriously difficult to obtain but can be facilitated with advanced imaging modalities and a high index of clinical suspicion.

Key Words

accessory spleen; splenic torsion


Case Description

The spleen,normally situated below the left diaphragmatic dome in the left upper quadrant (LUQ) of the abdomen, is an intraperitoneal organ.1 Developmental anomalies linked with the spleen encompass splenic agenesis, persistent lobulation, and polysplenia, among others.2 An accessory (supernumerary) spleen, a congenital abnormality, refers to splenic tissue located outside the spleen proper.1,3 This anomaly arises from the failure of mesenchyme fusion in the dorsal mesogastrium during development, resulting in separate yet functionally equivalent spleens.1 Accessory spleens are typically small, rarely exceeding 4 centimeters,2 and are predominantly located in the splenic hilum, though they may also occur elsewhere in the abdomen.1 Histologically, accessory splenic tissue is identical to a normal spleen.3,4 It is estimated that congenital supernumerary spleens are present in approximately 10 to 30% of the population.5 Polysplenia, often associated with situs ambiguous—a congenital syndrome featuring anomalous cardiovascular and visceral findings—can also occur.1,6-8 Accessory spleens are perfused by branches of the splenic artery, and torsion of the supernumerary splenic vessels is a rare cause of acute abdomen with associated complications.4,9-12 This report presents a rare case involving torsion and subsequent infarction of a notably large accessory spleen.

A 20-year-old male presented to our emergency department with a one-week history of abdominal pain accompanied by a new onset of fever. A week earlier, he sought care at a local regional hospital, where he was admitted for observation upon the onset of symptoms. Notably, when the patient was 11 years old, he suffered an abdominal injury during a soccer game. Subsequent ultrasound examination revealed the presence of "two spleens" but no signs of intraabdominal bleeding. Given this medical history, he was managed conservatively and showed minimal improvement in symptoms during observation. Upon discharge, he was advised to return if symptoms recurred. However, four hours after discharge, he experienced a recurrence of symptoms along with fever, sweating, and chills. Consequently, he opted to seek care at our emergency department and was admitted under the surgical service.

The patient reported that his abdominal pain had intensified, especially when eating, moving, or deep inspiration. The increasingly severe pain was primarily located in the left upper quadrant and was non-radiating in nature. He endorsed nausea associated with three episodes of non-bilious, non-bloody emesis. On physical exam, he had tenderness to palpation in the left upper quadrant, with mild rebound tenderness. Laboratory tests, including a complete blood count, chemistry panels, and urinalysis, all returned normal values.

A computed tomography (CT) scan was conducted and reviewed by radiology. Based on clinical evaluation, it was determined that the patient exhibited congenital nonrotation of the intestine, with the entire colon positioned along the left abdomen and pelvis. There was no indication of an associated obstructive condition at the time of assessment (Figure 1). Additionally, evidence of polysplenia in the left upper abdomen was detected.

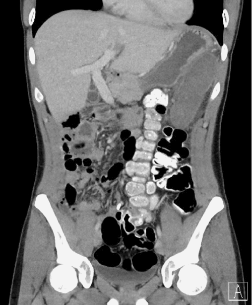
Figure 1. Coronal CT Scan. Published with Permission

Colon on left, small bowel on right due to congenital malrotation
Colon on left, small bowel on right due to congenital malrotation

An abnormal twisting configuration, known as the "swirl sign," was observed in the left-upper to mid-abdominal mesentery, leading to the presence of a very large accessory spleen measuring 14 × 5 × 6 cm. This accessory spleen was partially vascularized and situated adjacent to the gastric wall, with its superior aspect being nonvascular (Figure 2). Notably, prominent inflammatory stranding surrounding the mesentery was also identified. The patient was determined to have a large accessory spleen with volvulus, resulting in an infarction or injury (Figure 3).

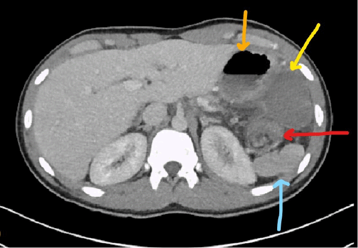
Figure 2. Abdominopelvic CT Scan. Published with Permission

Stomach (orange arrow), accessory spleen (yellow arrow), "swirl sign" (red arrow), and native spleen (blue arrow)
Stomach (orange arrow), accessory spleen (yellow arrow), "swirl sign" (red arrow), and native spleen (blue arrow)

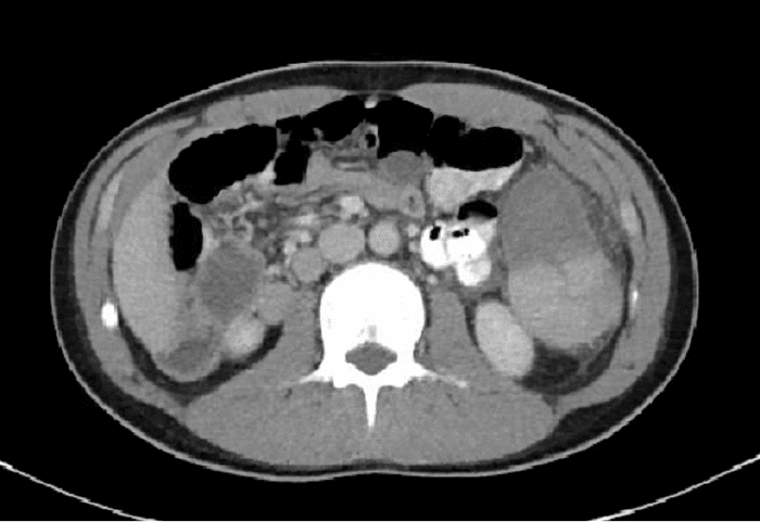
Figure 3. Accessory Spleen Demonstrating Infarcted and Non-infarcted Tissue. Published with Permission

Inefficacy of conservative therapy prompted vaccination with Prevnar followed by Pneumovax eight weeks later. The following morning, the patient underwent laparoscopic splenectomy in the operating room. Initial video exploration revealed a significantly enlarged supernumerary spleen dominating the view in the left upper quadrant. Inflammatory omentum was observed draped over the accessory spleen. During meticulous spleen mobilization, dense adhesions to the stomach and gastric arcade were noted. The "swirl sign" from the CT scan was confirmed visually as torsion of the splenic vessels on the lateral aspect. After isolating the vessels, the splenic vessels were transected using an Endo GIA stapler to achieve hemostasis and detach the torsed spleen. Due to its size, the spleen could not be comfortably accommodated in a bag and necessitated a paramedian incision incorporating a trocar site for removal. Gross examination confirmed torsion and thrombosis of the vessels. Final pathology findings indicated a 300 g, 14.0 × 7.5 × 4.8 cm torsed accessory spleen with hemorrhage, vascular congestion, and infarction. Additionally, fat necrosis and inflammation were noted.

Following surgery, the patient's postoperative course was uneventful. Discharged on postoperative day three, he attended a follow-up clinic visit one week later. This visit included informing the patient about his identified congenital appendix malformation and discussing the potential consequences should he develop acute appendicitis.

Discussion

Accessory spleens arise from incomplete fusion of the dorsal mesogastrium's mesenchyme, resulting in separate spleens with equivalent functions.1 Typically located in the splenic hilum, they can occasionally appear elsewhere in the abdomen.1,5 Histologically identical to a normal spleen,3 these accessory organs are usually small, ranging from 2 to 4 cm.2,5 However, a review by Palumbo et al. identified only four cases exceeding 7 cm.2 Polysplenia, a condition where multiple spleens occur, can be associated with situs ambiguous, a rare congenital syndrome with complex cardiovascular and visceral anomalies (0.0001% of births, more common in females).6-8,17 These anomalies include malpositioning of the stomach, liver, gallbladder agenesis, and pancreatic malformations.6-8 Notably, intestinal malrotation occurs in roughly 70% of polysplenic patients with syndromic features.6,7 This case describes a patient with torsion of a remarkably large accessory spleen (14 cm, consistent with polysplenia) accompanied by congenital malrotation of the intestines.

Clinical manifestations of accessory splenic torsion are diverse, often stemming from the irreducible torsion of the vasculature, which hampers adequate perfusion of the supernumerary spleen.5 The sequelae of this torsion can lead to various complications, including strangulation, infarction, acute inflammation, and venous congestion, resulting in anomalous spleen swelling.5,12,13

Despite the availability of modern imaging techniques, preoperative diagnosis remains a challenge.2,5,13,14 While abdominal CT and ultrasound may offer subtle clues, definitive diagnosis relies on identifying a "swirl-sign" on CT, indicative of a twisted vascular pedicle.14 This finding was indeed crucial for our patient's diagnosis, and we strongly endorse its importance. While angiography and MRI are valuable for characterizing torsion, their utility in emergent presentations is limited.15,16 Consequently, preoperative diagnosis often proves elusive, necessitating clinical diagnosis based on imaging, which may later be confirmed during intraabdominal surgery.

Conclusion

Accessory spleens, separate yet fully functional organs found in approximately 10 to 30% of the population, are typically small and clinically silent embryological anomalies. In this case, we encountered an exceptionally large accessory spleen, further complicated by torsion of the vascular pedicle, resulting in infarction and hemorrhagic necrosis. Diagnosis before surgery proved challenging but was ultimately confirmed through CT findings and direct surgical visualization.

Lessons Learned

Preoperatively diagnosing acute torsion of an accessory spleen poses challenges. In this case, the correlation between advanced imaging findings and clinical symptoms prompted the timely surgical removal of a notably large accessory spleen.

Authors

Diamond VMa; Seepaulsing Na; Nora JDb; Harvey Rc

Author Affiliations

  1. College of Medicine, Florida State University, Tallahassee, FL 32306
  2. Sarasota Memorial Hospital, Department of General Surgery, Sarasota, FL 34239
  3. Sarasota Memorial Hospital, Department of Radiology, Sarasota, FL 34239

Corresponding Author

Victoria M. Diamond, MD
Sidney Kimmel Medical College
833 Chestnut Street
Philadelphia, PA 19107
Email: victoriamdiamond22@gmail.com

Disclosure Statement

The authors have no conflicts of interest to disclose.

Funding/Support

The authors have no relevant financial relationships or in-kind support to disclose.

Received: July 1, 2021
Revision received: September 1, 2021
Accepted: January 24, 2022

References

  1. Varga I, Babala J, Kachlik D. Anatomic variations of the spleen: current state of terminology, classification, and embryological background. Surg Radiol Anat. 2018;40(1):21-29. doi:10.1007/s00276-017-1893-0
  2. Palumbo V, Mannino M, Teodoro M, et al. An extremely rare case of an oversized accessory spleen: case report and review of the literature. BMC Surg. 2019;19(1):45. Published 2019 Apr 27. doi:10.1186/s12893-019-0510-z
  3. Radu CC, Muţiu G, Pop O. Accessory spleen. Rom J Morphol Embryol. 2014;55(3 Suppl):1243-1246.
  4. Ren C, Liu Y, Cao R, et al. Colonic obstruction caused by accessory spleen torsion: A rare case report and literature review. Medicine (Baltimore). 2017;96(39):e8116. doi:10.1097/MD.0000000000008116
  5. Bergeron E, Ratte S, Jeannotte S, Recoskie MJ. The use of a handheld gamma probe for identifying two accessory spleens in difficult locations in the same patient
  6. Kothari SS. Non-cardiac issues in patients with heterotaxy syndrome. Ann Pediatr Cardiol. 2014;7(3):187-192. doi:10.4103/0974-2069.140834
  7. Yildiz AE, Ariyurek MO, Karcaaltincaba M. Splenic anomalies of shape, size, and location: pictorial essay. ScientificWorldJournal. 2013;2013:321810. Published 2013 Apr 21. doi:10.1155/2013/321810
  8. Tawfik AM, Batouty NM, Zaky MM, Eladalany MA, Elmokadem AH. Polysplenia syndrome: a review of the relationship with viscero-atrial situs and the spectrum of extra-cardiac anomalies. Surg Radiol Anat. 2013;35(8):647-653. doi:10.1007/s00276-013-1100-x
  9. Settle EB. The surgical importance of accessory spleens with report of two cases. Am J Surg. 1940;50:22-26. doi:10.1016/S0002-9610(40)90357-9.
  10. Babcock TL, Coker DD, Haynes JL, Conklin HB. Infarction of an accessory spleen causing an acute abdomen. Am J Surg. 1974;127(3):336-337. doi:10.1016/0002-9610(74)90044-0
  11. Padilla D, Ramia JM, Martin J, Pardo R, Cubo T, Hernandez-Calvo J. Acute abdomen due to spontaneous torsion of an accessory spleen. Am J Emerg Med. 1999;17(4):429-430. doi:10.1016/s0735-6757(99)90103-1
  12. Blouhos K, Boulas KA, Salpigktidis I, Barettas N, Hatzigeorgiadis A. Ectopic spleen: An easily identifiable but commonly undiagnosed entity until manifestation of complications. Int J Surg Case Rep. 2014;5(8):451-454. doi:10.1016/j.ijscr.2014.05.010
  13. Farvacque G, De Chaisemartin C. Accessory spleen mimicking an intra-abdominal tumour. ANZ J Surg. 2019;89(10):E448-E449. doi:10.1111/ans.14750
  14. Mendi R, Abramson LP, Pillai SB, Rigsby CK. Evolution of the CT imaging findings of accessory spleen infarction. Pediatr Radiol. 2006;36(12):1319-1322. doi:10.1007/s00247-006-0323-y
  15. Grinbaum R, Zamir O, Fields S, Hiller N. Torsion of an accessory spleen. Abdom Imaging. 2006;31(1):110-112. doi:10.1007/s00261-005-0042-0
  16. Jans R, Vanslembrouck R, Van Hoe L, Sockx L, Demedts I, Baert AL. Torsion of accessory spleen in an adult patient: imaging findings at CT, MRI and angiography. J Belge Radiol. 1997;80(5):229-230.
  17. Joshi BM, Singh S, Kumar A, Sandhu MS, Rana D. Situs Ambiguous Anomaly during Laparoscopic Cholecystectomy in an Adult Female. Niger J Surg. 2020;26(1):72-77. doi:10.4103/njs.NJS_47_183