Unsupported Browser
The American College of Surgeons website is not compatible with Internet Explorer 11, IE 11. For the best experience please update your browser.
Menu
Become a member and receive career-enhancing benefits

Our top priority is providing value to members. Your Member Services team is here to ensure you maximize your ACS member benefits, participate in College activities, and engage with your ACS colleagues. It's all here.

Become a Member
Become a member and receive career-enhancing benefits

Our top priority is providing value to members. Your Member Services team is here to ensure you maximize your ACS member benefits, participate in College activities, and engage with your ACS colleagues. It's all here.

Become a Member
ACS
ACS Case Reviews

Beyond the Obvious: Appendiceal Endometriosis Presenting as Acute Appendicitis

July 3, 2024

Abstract

Background

A female patient presented signs and symptoms consistent with acute appendicitis. Postoperative pathological examination revealed appendiceal endometriosis.

Summary

A young woman presented with classic symptoms of acute appendicitis (acute right lower quadrant pain, nausea, and vomiting). Notably, she lacked cyclic pelvic pain or dysmenorrhea, which are typical signs of endometriosis. She endorsed amenorrhea secondary to an intrauterine device (IUD) placement. A preoperative computerized tomography (CT) scan supported appendicitis by showing a distended appendix with a fecalith at the ostia. Laparoscopic appendectomy revealed a grossly hypervascular yet benign-appearing appendix. The right ovary was also enlarged. Pathology identified endometriosis within the appendix, with no evidence of appendiceal inflammation. This case highlights the importance of a comprehensive gynecologic history and thorough laparoscopic examination in premenopausal females presenting with suspected acute appendicitis. Including a gynecological evaluation can help identify endometriosis or other female reproductive issues as the precipitating etiology.

Conclusion

Appendiceal endometriosis is a rare manifestation of endometriosis that can resemble acute appendicitis in its clinical presentation. We concur that the standard of care for this presentation should be appendectomy with a microscopic exam. Further investigations should study the implications of appendiceal endometriosis on future complications from endometriosis.

Key Words

appendiceal; appendicitis; appendix; endometriosis; laparoscopy; surgery


Case Description

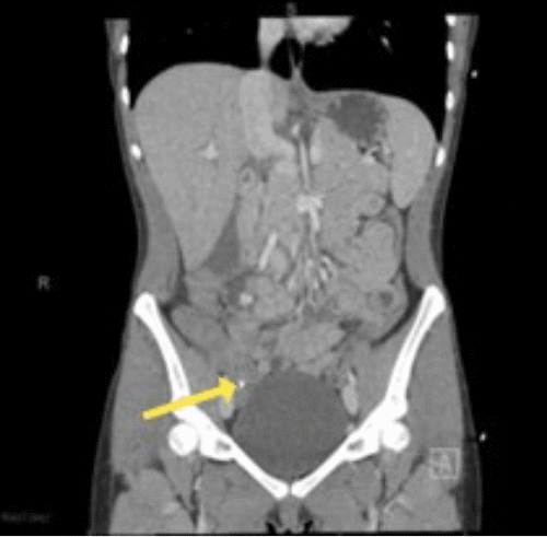
A 21-year-old female with a past medical history of asthma and a current intrauterine device (IUD) presented with sudden onset, diffuse abdominal pain associated with nausea, vomiting, and chills. The abdominal pain started about 12 hours prior and worsened throughout the day. She was afebrile and hemodynamically stable on arrival. Physical exam was significant for severe right lower quadrant tenderness with involuntary guarding. Blood tests showed an elevated white blood cell count (26,000) and mildly elevated lactic acid (3.2 mmol/L). A pregnancy test was negative. Abdominal and pelvic CT scan demonstrated a fluid-filled appendix with a fecalith obstructing the opening (appendix ostia), consistent with acute appendicitis (Figures 1 and 2). The patient received a single dose of metronidazole and levofloxacin for empiric antibiotic coverage and proceeded directly to laparoscopic appendectomy.

Intraoperative findings revealed a hypervascular appearing appendix without significant surrounding inflammation and an enlarged right ovary that was also hypervascular. There were no signs of frank perforation, intraabdominal fluid, purulence, or adhesions. No areas of ectopic endometrial implantation or other pathologies were observed throughout the abdomen. The patient tolerated the procedure well and was discharged home in stable condition. They were prescribed a five-day course of oral antibiotics and instructed to follow up with the surgeon as an outpatient. Notably, the appendix pathology confirmed the presence of endometrial glands and stroma within the subserosa, consistent with a diagnosis of appendiceal endometriosis.

Figure 1. Coronal View of Abdominopelvic CT with Arrow Pointing to Fecalith at Ostia of Appendix. Published with Permission

Figure 2. Axial View of Abdominopelvic CT with Visible Fecalith at Ostia of Appendix. Published with Permission

Discussion

This case highlights a rare presentation of appendiceal endometriosis mimicking acute appendicitis. While the patient exhibited classic symptoms, the pathology revealed endometriosis as the sole cause, with no evidence of traditional appendicitis. Appendiceal endometriosis is a purely pathologically derived diagnosis and typically confirmed by the presence of endometrial glands, stroma, and hemorrhage in the appendix tissue.1

A literature review shows that appendiceal endometriosis is a rare occurrence, with only a few similar cases reported. One such case involved a young, previously healthy woman with acute appendicitis symptoms who, like our patient, lacked gross pelvic endometriosis. However, unlike our case, her pathology also revealed acute appendicitis.2 Another study in South Korea analyzing over 2000 appendectomy specimens identified appendiceal endometriosis in just 0.23% of cases, with only two patients presenting with right lower quadrant pain, the classic location for appendicitis pain, while the other three had incidental appendectomies during other procedures.3 This study also highlighted a younger demographic, with a median age of 27 and 80% of patients diagnosed under 30 years old.

Jeong et al. reported a similar case of appendiceal endometriosis with cyclical symptoms, including abdominal pain, nausea, vomiting, and abnormal uterine bleeding, that coincided with menstruation.1 This association with menstruation is echoed in other case reports, where women often experienced menstruation during episodes of acute pain mimicking appendicitis.4 Interestingly, our patient denied dysmenorrhea as she had not menstruated in over a year due to an IUD placement. This lack of cyclical symptoms adds another layer of complexity to understanding the link between the acute presentation and her underlying endometriosis. Further investigation is needed to elucidate the mechanisms by which endometriosis in the appendix can manifest as acute abdominal pain independent of menstruation.

The cause of acute pain in appendiceal endometriosis remains unclear. One theory suggests that endometrial tissue shedding leads to neural plexus compression, causing pain and presentation similar to acute appendicitis.4 However, this would not necessarily lead to a heightened inflammatory reaction with markedly elevated leukocytosis, as seen in most patients. Other theories in the literature deliberate whether acute inflammation due to obstruction from an endometrioma or hemorrhage of the endometrial tissue may result in obstruction, edema, and inflammation.5

Regardless of etiology, appendectomy is the standard of care for these patients as there is no way to discern appendiceal endometriosis from acute appendicitis on its presentation. An appendectomy also resolves the acute pain even when the pathology later demonstrates appendiceal endometriosis.1,2,4 The management of our patient would not be changed, except that this patient did not need postoperative antibiotics. There was a normal-appearing appendix, and postoperative antibiotics are not the standard of care. Therefore, our patient had unnecessary antibiotic exposure.5

This case highlights the importance of pathology and patient follow-up, even in patients with classic appendicitis symptoms and imaging. An intraoperative examination should always be conducted to evaluate for the gross presence of other abdominal abnormalities during an appendectomy, specifically ectopic endometrial tissue, when operating on premenopausal females.1,2,4

Conclusion

Appendiceal endometriosis, although rare, can masquerade as acute appendicitis in females. To ensure an accurate diagnosis and optimal management, a multifaceted approach is crucial. This includes:

  1. Comprehensive Gynecological History: A detailed history focusing on gynecological symptoms is vital. This may reveal indicators like dysmenorrhea, abnormal uterine bleeding, cyclic abdominal pain, chronic pelvic pain, or infertility, potentially suggesting a gynecological cause for the pain.
  2. Intraoperative Examination: A thorough exploration of the abdomen and pelvis during surgery is essential. This allows for the visualization of any gross pathological findings, including signs of endometriosis beyond the appendix.
  3. Pathology Follow-up: Ensuring proper pathological examination of the appendix is paramount. Even if the appendix appears relatively normal during surgery, the presence of endometriosis can only be definitively confirmed through microscopic analysis.

It is important to note, as demonstrated in our case and supported by a thorough literature review, not all patients with appendiceal endometriosis will report the typical gynecological symptoms. Therefore, appendectomy should still be performed even if the appendix appears grossly unremarkable intraoperatively. This approach is crucial to definitively rule out other potential pathologies, such as endometriosis itself. Further research is warranted to investigate the long-term implications of endometriosis following a diagnosis of appendiceal involvement.

Lessons Learned

Acute appendicitis is an infrequent presentation of endometriosis. We agree that the standard of care should always be appendectomy with a pathological exam when a patient has symptoms of appendicitis. A comprehensive gynecologic history and intraoperative exam should be conducted to evaluate for the presence of other gross pathology, such as ectopic endometrial tissue, especially in women of reproductive age.

Authors

Barraza Aa; Warner Sb; Gomez Mb

Author Affiliations

  1. Nova Southeastern University College of Osteopathic Medicine, Fort Lauderdale, FL 33314
  2. Department of General Surgery, Broward Health, Fort Lauderdale, FL 33316

Corresponding Author

Allan Barraza, DO
1960 N. Ogden Street
Ste. 360
Denver, CO 80218
Email: abarraza2022@gmail.com

Disclosure Statement

The authors have no conflicts of interest to disclose.

Funding/Support

The authors have no relevant financial relationships or in-kind support to disclose.

Received: October 2, 2021
Revision received: February 1, 2022
Accepted: February 7, 2022

References

  1. Jeong DH, Jeon H, Adkins K. Appendiceal endometriosis: a greater mimicker of appendicitis. Hong Kong Med J. 2019;25(6):492-493. doi:10.12809/hkmj187654
  2. Drumond JPN, de Melo ALA, Germini DE, Morrell AC. Acute Appendicitis Secondary to Appendiceal Endometriosis. Case Rep Surg. 2020;2020:8813184. Published 2020 Oct 10. doi:10.1155/2020/8813184
  3. Yoon J, Lee YS, Chang HS, Park CS. Endometriosis of the appendix. Ann Surg Treat Res. 2014;87(3):144-147. doi:10.4174/astr.2014.87.3.144
  4. St John BP, Snider AE, Kellermier H, Minhas S, Nottingham JM. Endometriosis of the appendix presenting as acute appendicitis with unusual appearance. Int J Surg Case Rep. 2018;53:211-213. doi:10.1016/j.ijscr.2018.10.048
  5. Laskou S, Papavramidis TS, Cheva A, et al. Acute appendicitis caused by endometriosis: a case report. J Med Case Rep. 2011;5:144. Published 2011 Apr 11. doi:10.1186/1752-1947-5-144
  6. Bratzler DW, Dellinger EP, Olsen KM, et al. Clinical practice guidelines for antimicrobial prophylaxis in surgery. Am J Health Syst Pharm. 2013;70(3):195-283. doi:10.2146/ajhp120568