Unsupported Browser
The American College of Surgeons website is not compatible with Internet Explorer 11, IE 11. For the best experience please update your browser.
Menu
Become a member and receive career-enhancing benefits

Our top priority is providing value to members. Your Member Services team is here to ensure you maximize your ACS member benefits, participate in College activities, and engage with your ACS colleagues. It's all here.

Become a Member
Become a member and receive career-enhancing benefits

Our top priority is providing value to members. Your Member Services team is here to ensure you maximize your ACS member benefits, participate in College activities, and engage with your ACS colleagues. It's all here.

Become a Member
ACS
ACS Case Reviews

Laparoscopic Management of Ventriculoperitoneal Shunt Intracolonic Migration

July 8, 2024

Abstract

Background

A patient presented with a migrated ventriculoperitoneal (VP) extruding shunt through the anus.

Summary

A 29-year-old woman with a history of multiple VP shunt revisions presented with abdominal pain. A concerning complication was identified upon examination—the patient's VP shunt was protruding from her anus. The most recent revision of the shunt had been performed three years prior. Subsequent imaging studies revealed that the VP shunt had penetrated the distal transverse colon and tracked caudally, reaching the level of the rectum. Laparoscopic intervention was successful in closing the colotomy caused by the shunt.

Conclusion

VP shunt placement is a lifesaving procedure for hydrocephalus, but it can be associated with a rare and critical complication: bowel perforation. Due to the high mortality rate of this complication, prompt diagnosis and effective treatment are paramount. The management strategy for VP shunt-related bowel perforation is not one-size-fits-all, with various approaches detailed in the literature. This case report contributes to the existing knowledge by demonstrating the successful utilization of laparoscopic primary colotomy closure. This minimally invasive technique offers a significant advantage by avoiding the increased morbidity associated with traditional laparotomy and colectomy procedures.

Key Words

ventriculoperitoneal shunts; laparoscopy; bowel perforation


Case Description

Ventriculoperitoneal (VP) shunts are a well-established neurosurgical procedure generally performed to treat hydrocephalus, among other indications. These ventricular-based shunts can serve as a conduit from the brain to a distal compartment, such as the pleura, atrium, and, most commonly, the peritoneum.1 Although common, a variety of complications have been described. A rare intraabdominal complication described is VP shunt-associated bowel perforation.2,3 Perforation can occur weeks to years after device placement. Many patients are asymptomatic. However, a missed diagnosis can have life-threatening consequences like sepsis, meningitis, or even death.2,3 Due to the limited data on managing this complication, treatment is tailored to the individual's clinical presentation. This can range from non-surgical approaches like manual or endoscopic removal to surgical interventions using laparoscopic or open techniques.4

We report a case in which a 29-year-old woman with a history of suboccipital decompressive craniectomy and dural patch repair for Arnold-Chiari type 1 malformation presented with VP shunt protrusion through the anus. This prior surgery was complicated by cerebrospinal fluid leak and aseptic meningitis, necessitating VP shunt placement. Notably, the patient underwent multiple revisions for distal shunt occlusion and distal catheter migration through the incision site, both managed laparoscopically. The most recent revision occurred three years before this presentation.

She initially presented to the emergency department twice within a two-week period. The initial presentation was for intractable headaches. A head computed tomography (CT) ruled out hydrocephalus, and an X-ray shunt series showed an intact VP shunt catheter (Figure 1). Despite these findings, she was discharged home after two days. However, headaches persisted upon discharge, accompanied by new symptoms of epigastric abdominal pain and diarrhea. The night prior to presentation, triggered by the sensation of something protruding from her anus during a bowel movement, physical examination revealed a tender epigastric region but no signs of peritonitis or meningitis. The examination also identified the peritoneal end of the VP shunt visibly protruding through the anus, as seen in Figure 2.

Figure 1. VP Shunt Series Demonstrating Appropriate Catheter Position. Published with Permission

Figure 2. Anal Protrusion of VP Shunt Catheter. Published with Permission

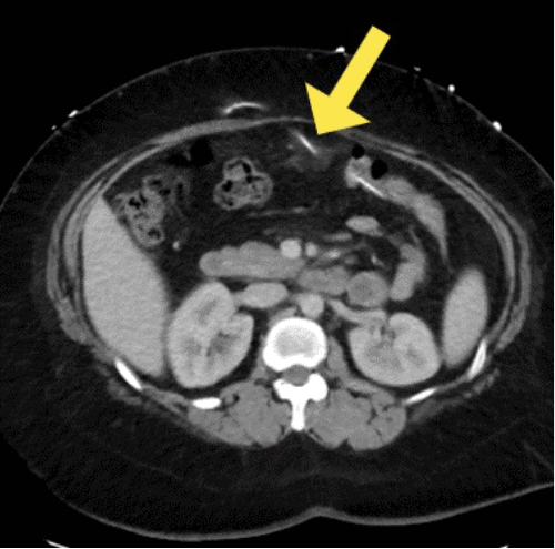
A CT scan of the abdomen and pelvis revealed the VP shunt entering the lumen of the distal transverse colon extending distally to the level of the rectum. There were inflammatory changes noted at the anterior mid-abdomen surrounding the catheter, but no intraperitoneal air, ascites, or adenopathy. A representative image of the CT scan is shown in Figure 3.

Figure 3. Axial CT Scan of Abdomen Demonstrating Protrusion of VP Catheter Through Transverse Colon. Published with Permission

A two-stage procedure was performed on the patient for VP shunt revision. The first stage involved externalizing the proximal end of the shunt at the right chest wall. Laparoscopic access was then obtained through ports placed in the right and left anterior axillary lines, as well as the left and right periumbilical regions. Upon visualization, significant inflammation and dense adhesions were found around the VP shunt's entry point into the peritoneal cavity. These adhesions were taken down to allow for exposure of the shunt entrance. The intra-abdominal portion of the shunt was then divided, with the proximal segment pulled back into the abdomen. Further exploration revealed the VP shunt entering the transverse colon, as documented in Figure 4. Subsequently, the extracolonic portion of the shunt was divided and removed. This resulted in a clean-based 1 cm hole in the transverse colon with good vascularity. The colotomy was then laparoscopically closed in a figure-of-eight pattern using 3-0 Vicryl suture. To reinforce the repair, a modified Graham patch was created using omentum secured with 3-0 silk sutures over the closed colotomy site. Finally, a 19 French Blake drain was placed and secured over the transverse colon before being externalized through the left lateral port site.

Figure 4. Laparoscopic View Showing Protrusion of VP Shunt Through Transverse Colon. Published with Permission

Original CSF cultures obtained during the operation grew out E. coli, and the patient was started on appropriate antibiotics for meningitis. The intraoperative drain was removed on postop day 5 with no evidence of a bowel leak. Once CSF cultures were negative and medically cleared, the patient underwent a ventricular-atrial shunt. The remainder of the hospital course was unremarkable, and she was discharged home.

Discussion

VP shunt placement is one of the most common neurosurgical procedures, with approximately 30,000 performed annually in the United States. Although common, complication rates are high, with an estimated shunt failure rate of 11-25%.5-8 The most common complications include obstruction and infection. Although uncommon, other complications include pseudocyst formation, subdural hematoma, and bowel perforation.5

Bowel perforation from VP shunt placement is rare, with an incidence of 0.1-0.7%.3,5,9 Although uncommon, it carries an overall mortality rate of 15%. This rate increases to 22% with the presence of a CNS infection and 33% with an intraabdominal infection.4 Given the high morbidity and mortality, early detection and treatment are essential. The most common clinical presentation is insidious, with protrusion of the distal catheter from the anus.4 Peritonitis is present in 25% of patients; therefore, it is an unreliable exam finding. Aseptic meningitis is often present; therefore, diagnosing meningitis secondary to enteric organisms should raise concern for bowel perforation.3-5

A review by Hasan et al. in 2018 identified 94 cases of VP shunt-related bowel perforations in the literature, with a concerning finding that 52.1% occurred in children under ten years old.4 This vulnerability in younger patients is attributed to their thinner bowel walls, making them more susceptible to perforation.4,10,11 The study also investigated the time interval between VP shunt surgery and perforation detection. The mean duration increased with age. Infants (0-1 year) presented with perforation an average of 4.86 months after surgery, whereas the 10 to 50-year-old age group exhibited a much longer average interval of 36.9 months.4 This pattern aligns with the case presented here, where the patient's last shunt revision occurred 36 months before her current symptoms.

Pinpointing the exact cause of bowel perforation in VP shunt patients can be difficult to distinguish. Several factors likely contribute, including trocar placement during surgery, long-term irritation from the shunt itself, prior abdominal surgeries, infections, and even allergies to the silicone material.4,10-14

The leading theory is through pressure necrosis. This scenario involves the shunt tip developing a fibrous encasement due to localized inflammation. This creates an anchoring effect, allowing the shunt to adhere to the bowel wall, eventually causing erosion and perforation. Once the catheter erodes, peristalsis propagates distally through the digestive tract, potentially leading to protrusion through the anus.15,16 While uncommon, there are documented cases of the VP shunt migrating proximally throughout the entire GI tract. Colonic perforation is the most frequently reported location,4 and our patient adhered to this pattern with colonic perforation followed by distal migration. Her history of multiple prior laparoscopic revisions to the distal end of the shunt likely caused increased inflammation and scarring, placing her at higher risk for VP shunt erosion.

While physical examination showing the VP catheter protruding is often diagnostic, various imaging modalities can be used as supplemental tools. Abdominal X-rays, CT scans, and endoscopy have all been described as helpful adjuncts in the diagnosis.4 However, studies by Shuiab et al. have highlighted the low diagnostic yield of the VP shunt X-ray series in detecting clinically significant shunt malfunctions. Their research found a low sensitivity (18.7%) and positive predictive value (13%) for this modality.17 The authors concluded that using this diagnostic modality prolonged turnaround time, increased medical costs, and unnecessary radiation exposure for patients. Utilizing the patient's symptomology and CT scans should be the preferred diagnostic modality.17 Notably, in our case, a VP shunt series performed two weeks prior to presentation failed to identify the complication.

VP shunt perforation into the bowel necessitates immediate neurosurgical intervention. The cornerstone of treatment involves removing the catheter, administering intravenous antibiotics, and establishing an external ventriculostomy until there is no evidence of CSF infection.2,18 The specific approach to shunt removal hinges on the patient's clinical presentation and other factors.

For patients exhibiting peritonitis or other abdominal complications, surgical removal of the shunt via laparotomy or laparoscopy is required.4 For stable patients, minimally invasive techniques like endoscopic retrieval or manual anal extraction have been described.4,19 Endoscopic removal is employed when the catheter does not protrude through the anus. During this procedure, clips can be placed to seal the perforation site. In stable patients with anal protrusion, some studies suggest safe removal of the distal catheter from the anus without intervention to the site of perforation.20 Chronic fibrosis often seals the perforation, negating the need for further intervention.18,19

In this case, the decision for surgery was based on physical examination and CT findings indicating inflammation at the perforation site. Laparoscopy was chosen initially to visualize the perforation. Knuth et al. (2013) reported a similar case successfully managed with laparoscopic surgery, utilizing an Endo-GIA stapler to resect the perforation area.21 Given the size and clean-based nature of our patient's colotomy, resection was deemed unnecessary. An intraoperative drain was placed near the colotomy repair. The patient recovered well, and the drain was removed without evidence of leakage.

Conclusion

VP shunt perforation of the bowel is a rare but serious complication, occurring in only 0.1-0.7% of cases. Despite its uncommon nature, prompt diagnosis and intervention are crucial to prevent severe consequences. Various treatment approaches have been described in the literature, emphasizing the need for individualized management.

The authors advocate for a minimally invasive approach for the management of the enterotomy whenever possible, prioritizing the primary closure of the bowel defect. This strategy minimizes patient morbidity compared to performing a bowel resection and laparotomy.

Lessons Learned

VP shunt-related bowel perforation can occur years after initial placement. Identification and correct management are essential in ensuring optimal patient outcomes. This complication can easily be repaired utilizing a minimally invasive approach.

Authors

Allsbrook AP; Brown AM

Author Affiliation

Department of Surgery, St. Luke's University Health Network, Bethlehem, PA 18015

Corresponding Author

Anthony P. Allsbrook, DO
St. Luke's University Health Network
701 Ostrum Street
Ste. 202
Bethlehem, PA 18015
Email: anthony.allsbrook@sluhn.org

Disclosure Statement

The authors have no conflicts of interest to disclose.

Funding/Support

The authors have no relevant financial relationships or in-kind support to disclose.

Received: September 25, 2021
Revision received: February 1, 2022
Accepted: February 7, 2022

References

  1. Al-Ani AH, Alhosani ME, Aljabberi KM. Asymptomatic Migration of Ventriculoperitoneal Shunt Tube through the Anus. J Univer Surg. 2019;7(3:6). doi:10.36648/2254-6758.7.1.111
  2. Zain M, Ibrahim A, Khalil AM, et al. Silent colonic perforation complicating a ventriculoperitoneal shunt with trans-anal protrusion. MOJ Clin Med Case Rep. 2019;9(5):124-126. doi:10.15406/mojcr.2019.09.00320
  3. Sathyanarayana S, Wylen EL, Baskaya MK, Nanda A. Spontaneous bowel perforation after ventriculoperitoneal shunt surgery: case report and a review of 45 cases. Surg Neurol. 2000;54(5):388-396. doi:10.1016/s0090-3019(00)00334-7
  4. Hasan A, Sharma S, Chopra S, Purohit DK. Anal Extrusion of Ventriculoperitoneal Shunt: A Report of Two Cases and Review of Literature. J Pediatr Neurosci. 2018;13(1):8-12. doi:10.4103/JPN.JPN_97_17
  5. Paff M, Alexandru-Abrams D, Muhonen MG, Loudon WG. Ventriculoperitoneal shunt complications: A review. Interdiscip Neurosurg. 2018;13:66-70. doi:10.1016/j.inat.2018.04.004.
  6. Bondurant CP, Jimenez DF. Epidemiology of cerebrospinal fluid shunting. Pediatr Neurosurg. 1995;23(5):254-259. doi:10.1159/000120968
  7. Khan F, Rehman A, Shamim MS, Bari ME. Factors affecting ventriculoperitoneal shunt survival in adult patients. Surg Neurol Int. 2015;6:25. Published 2015 Feb 13. doi:10.4103/2152-7806.151388
  8. Wu Y, Green NL, Wrensch MR, Zhao S, Gupta N. Ventriculoperitoneal shunt complications in California: 1990 to 2000. Neurosurgery. 2007;61(3):557-563. doi:10.1227/01.NEU.0000290903.07943.AF
  9. Ferreira PR, Bizzi JJ, Amantéa SL. Protrusion of ventriculoperitoneal shunt catheter through the anal orifice. A rare abdominal complication. J Pediatr Surg. 2005;40(9):1509-1510. doi:10.1016/j.jpedsurg.2005.05.073
  10. Park CK, Wang KC, Seo JK, Cho BK. Transoral protrusion of a peritoneal catheter: a case report and literature review. Childs Nerv Syst. 2000;16(3):184-189. doi:10.1007/s003810050491
  11. Adeloye A. Protrusion of ventriculo peritoneal shunt through the anus: report of two cases. East Afr Med J. 1997;74(5):337-339.
  12. Caksen H, Kiymaz N, Odabaş D, Tuncer O, Ataş B. Anal protrusion of ventriculo-peritoneal shunt catheter in an infant. Brain Dev. 2003;25(2):146-147. doi:10.1016/s0387-7604(02)00158-4
  13. Jamjoom AB, Rawlinson JN, Kirkpatrick JN. Passage of tube per rectum: an unusual complication of a ventriculoperitoneal shunt. Br J Clin Pract. 1990;44(11):525-526.
  14. Brownlee JD, Brodkey JS, Schaefer IK. Colonic perforation by ventriculoperitoneal shunt tubing: a case of suspected silicone allergy. Surg Neurol. 1998;49(1):21-24. doi:10.1016/s0090-3019(97)00014-1
  15. Wang R, Wang Y, Zhang RT, Huang L, Luo Y. Migration of the distal catheter of a ventriculoperitoneal shunt into the colon: case report and clinical analysis. J Pediatr Surg Case Rep. 2014 Jan;2(1):1-3. doi: 10.1016/j.epsc.2013.11.006.
  16. Hai A, Rab AZ, Ghani I, Huda MF, Quadir AQ. Perforation into gut by ventriculoperitoneal shunts: A report of two cases and review of the literature. J Indian Assoc Pediatr Surg. 2011;16(1):31-33. doi:10.4103/0971-9261.74521
  17. Shuaib W, Johnson JO, Pande V, et al. Ventriculoperitoneal shunt malfunction: cumulative effect of cost, radiation, and turnaround time on the patient and the health care system. AJR Am J Roentgenol. 2014;202(1):13-17. doi:10.2214/AJR.13.11176
  18. Vinchon M, Baroncini M, Laurent T, Patrick D. Bowel perforation caused by peritoneal shunt catheters: diagnosis and treatment. Neurosurgery. 2006;58(1 Suppl):ONS76-ONS82. doi:10.1227/01.NEU.0000192683.26584.34
  19. İştemen İ, Arslan A, Olguner SK, Açık V. Bowel perforation of ventriculoperitoneal shunt catheter: endoscopically treated two cases. Childs Nerv Syst. 2021;37(1):315-318. doi:10.1007/s00381-020-04709-0
  20. Bales J, Morton RP, Airhart N, Flum D, Avellino AM. Transanal presentation of a distal ventriculoperitoneal shunt catheter: Management of bowel perforation without laparotomy. Surg Neurol Int. 2016;7(Suppl 44):S1150-S1153. Published 2016 Dec 28. doi:10.4103/2152-7806.196930
  21. Knuth J, Detzner M, Heiss MM, Weber F, Bulian DR. Laparoscopy for a ventriculoperitoneal shunt tube dislocated into the colon. JSLS. 2013;17(4):675-678. doi:10.4293/108680813X13794522666527