Unsupported Browser
The American College of Surgeons website is not compatible with Internet Explorer 11, IE 11. For the best experience please update your browser.
Menu
Become a member and receive career-enhancing benefits

Our top priority is providing value to members. Your Member Services team is here to ensure you maximize your ACS member benefits, participate in College activities, and engage with your ACS colleagues. It's all here.

Become a Member
Become a member and receive career-enhancing benefits

Our top priority is providing value to members. Your Member Services team is here to ensure you maximize your ACS member benefits, participate in College activities, and engage with your ACS colleagues. It's all here.

Become a Member
ACS
ACS Case Reviews

Littoral Cell Angioma Presenting as an Atraumatic Splenic Rupture in a Patient with Multiple Sclerosis

March 20, 2024

Abstract

Background

Atraumatic splenic rupture is a rare occurrence that is typically associated with an underlying infectious etiology or hematologic malignancy. Littoral cell angioma (LCA), a rare splenic vascular tumor, has been known to present with splenic rupture, though the majority of these cases also involved trauma. Here, we present a case of atraumatic splenic rupture thought to be secondary to LCA.

Summary

A 50-year-old female with a history of multiple sclerosis (MS), fibromyalgia, chronic opioid dependence, and no known recent trauma presented to an emergency department with several days of worsening abdominal pain. She was found to have a splenic rupture with hemoperitoneum on CT imaging and was taken for emergent exploratory laparotomy and splenectomy. Final pathologic evaluation revealed findings consistent with multifocal littoral cell angioma with associated extramedullary hematopoiesis.

Conclusion

While splenectomy is a commonly performed procedure in trauma surgery, splenic rupture in the absence of trauma should alert the surgeon to the possibility of an underlying disease process. This case highlights an unusual initial presentation of LCA, demonstrates that LCA can present as splenic rupture even without gross tumor burden, and represents the first reported case associating LCA with MS.

Key Words

littoral cell angioma; spleen; spontaneous splenic rupture; atraumatic splenic rupture; multiple sclerosis

 


Case Description

The patient is a 50-year-old female who presented to an emergency department following abrupt-onset left upper quadrant abdominal pain. She reported a week-long history of intermittent waxing and waning pain in this location, with sudden worsening on the morning of presentation. There was no notable inciting event. She had some associated nausea but no vomiting, fevers, malaise, or other associated symptoms. She also denied any recent history of trauma. Her medical history is notable for multiple sclerosis (MS), fibromyalgia, and chronic opioid use, and a 5 pack-year smoking history. Her family history does include MS, breast cancer in her mother and maternal grandmother (diagnosed at a young age), and lung cancer in her sister.

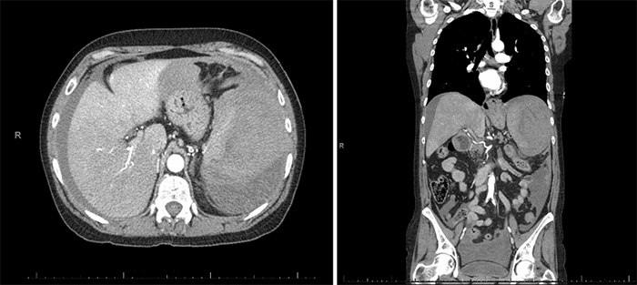
She was intermittently tachycardic and hypotensive but responsive to intravenous fluids. On abdominal exam, she was noted to be diffusely distended and tender, with peritoneal signs. Laboratory evaluation revealed a leukocytosis (WBC 21.4 K/uL), anemia (Hgb 8.6 g/dL), lactic acidosis (lactate 10.4 mmol/L), and AKI (Cr 2.2 mg/dL). She underwent a CTA of the chest, abdomen, and pelvis, which revealed a heterogeneous appearance of the spleen with associated hemoperitoneum (Figure 1).

Figure 1. Abdominal/Pelvic CT Scans. Published with Permission

Heterogeneous appearance of the spleen, with complex fluid in the left upper quadrant and free fluid in the abdomen and pelvis
Heterogeneous appearance of the spleen, with complex fluid in the left upper quadrant and free fluid in the abdomen and pelvis

Based on these findings concerning for splenic rupture, she was transferred to our facility for surgical care. En route, she became hypotensive, requiring blood product resuscitation, and stabilized transiently. On arrival at our facility, she was lethargic on exam and hypotensive and was taken emergently to the operating room.

During the exploratory laparotomy, roughly three liters of blood were evacuated, and the spleen appeared ruptured, with fresh blood in the left upper quadrant. Half of the splenectomy specimen was sent fresh for lymphoma workup, including flow cytometry, and half was sent for permanent sections and morphologic examination.

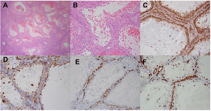
Gross pathologic evaluation revealed homogenous parenchyma without masses or lesions. On microscopic examination, multifocal vascular lesions were identified. These demonstrated a bland but hobnailed lining with some papillary projections and anastomosing channels. The lumens also contained blood and apparent extramedullary hematopoiesis with scattered megakaryocytes as well as sloughed lining cells. Immunohistochemical staining was performed and showed appropriate splenic immunoarchitecture. The lining of the vascular lesions was positive for CD31 and CD68 but negative for CD34 and CD8, consistent with multifocal littoral cell angioma (Figure 2).

Figure 2. Microscopic Evaluation of LCA. Published with Permission

A) Low power image demonstrating proliferation of anastomosing vascular channels. B) High power image demonstrating vascular channels lined by bland endothelial demonstrating a hobnail appearance and with papillary luminal projections. C-F) Immunohistochemical staining for C) CD31, D) CD68, E) CD34, F) and CD8 demonstrate that the cells of the lining are positive for CD31 and CD68, but are negative for CD34 and CD8
A) Low power image demonstrating proliferation of anastomosing vascular channels. B) High power image demonstrating vascular channels lined by bland endothelial demonstrating a hobnail appearance and with papillary luminal projections. C-F) Immunohistochemical staining for C) CD31, D) CD68, E) CD34, F) and CD8 demonstrate that the cells of the lining are positive for CD31 and CD68, but are negative for CD34 and CD8

Discussion

Splenic rupture, which can be life-threatening, is a relatively common occurrence in the setting of blunt abdominal trauma. On the other hand, atraumatic splenic rupture is a much rarer entity. While it is possible to have spontaneous rupture of a histologically normal spleen, the majority of atraumatic splenic ruptures are thought to be related to underlying infection or hematologic malignancy.1,2 It is therefore important to have a high suspicion for undiagnosed pathology in patients with seemingly spontaneous splenic rupture and to perform the appropriate diagnostic evaluation. In this case, the histologic evaluation revealed littoral cell angioma (LCA), a rare primary vascular tumor of the splenic red pulp.

Though LCA has been a named entity since 1991,3 it is very rare and is represented in the literature by only case reports and a handful of reviews. A recently published review found 150 cases reported in English language journals between 1991 and 2020.4 Our patient’s histopathology is consistent with that of LCA, with cells demonstrating a hybrid endothelial-histiocytic pattern, staining positive for CD31 and CD68 but negative for CD34 and CD8.3,5 This pattern is characteristic of littoral cells, which originate from the red pulp and have features of both endothelial cells and macrophages. The histologic architecture noted in this patient is also classic for LCA with papillary projections and anastomosing channels in a multifocal distribution, but, notably, she did not have any gross tumor burden or splenomegaly, with a total splenic weight of 111.4 g, which is within the normal range.6 More commonly, tumor nodules are noted during diagnosis, whether on imaging or gross examination of the spleen.4,7

The typical clinical presentation of LCA is variable, but patients are usually either asymptomatic or have symptoms related to hypersplenism. Splenic rupture from LCA, particularly in the absence of trauma, is exceedingly rare. The literature review revealed three other cases of splenic rupture as the initial presentation of LCA. One was an atraumatic splenic rupture in a 54-year-old male with metastatic disease,8 and the other two patients had traumatic history.9,10 The case presented here is interesting because it suggests that LCA alone, without splenomegaly or even macroscopic disease, can predispose patients to splenic rupture. This emphasizes the need to suspect underlying pathology and perform the appropriate histologic evaluation following any atraumatic splenic rupture. While the majority of LCAs are benign and splenectomy alone is adequate treatment, diagnosing LCA is important because of its association with other disease processes.

Although data is limited, it has been reasonably well-established that there is a strong association between LCA and epithelial and hematologic malignancies7,11-13 as well as between LCA and diseases of immune dysregulation.12 In their recent review, Ramael et al. report that one-third of LCA cases were accompanied by malignancies, while another one-third of cases were associated with diseases of immune dysregulation such as Crohn’s, psoriasis, and systemic lupus erythematosus.4 This patient does not have any known underlying malignancy but does have a personal and family history of MS, which is thought to be an inflammatory autoimmune disorder involving autoreactive lymphocytes.14 To our knowledge, this represents the first published case of LCA in a patient with MS. There are no established guidelines regarding specific cancer screening for patients with LCA. However, patients who receive this diagnosis should certainly be urged to undergo age-appropriate cancer screening at a minimum.

Conclusion

Splenic rupture is commonly encountered in the setting of trauma. Still, an atraumatic splenic rupture is much rarer and should prompt the provider to consider the possibility of the underlying pathology and pursue appropriate workup. This case contributes to the limited body of literature about LCA. It demonstrates that LCA may present with atraumatic splenic rupture in the absence of chronic symptoms, gross tumor burden, or splenomegaly. Furthermore, this case underscores the link between LCA and diseases of immune dysregulation, serving as the first report of LCA in a patient with MS.

Lessons Learned

In the case of atraumatic splenic rupture, underlying pathology should be suspected. Littoral cell angioma may be associated with multiple sclerosis and can present as atraumatic splenic rupture, even in the absence of gross tumor burden.

Authors

Williamson AJHa; Pruitt LCCa; Williams Mb; Hanley TMb; Grudziak Ja

Author Affiliations

  1. Department of Surgery, University of Utah Hospitals, Salt Lake City, UT 84132
  2. Department of Pathology, University of Utah Hospitals, Salt Lake City, UT 84132

Corresponding Author

Andrea Williamson, MD
Division of General Surgery
University of Utah
30 N. 1900 East, 3B324 SOM
Salt Lake City, UT 84132
Email: andrea.williamson@hsc.utah.edu

Disclosure Statement

The authors have no conflicts of interest to disclose.

Funding/Support

The authors have no relevant financial relationships or in-kind support to disclose.

Received: July 12, 2021
Accepted: January 19, 2022

References

  1. Renzulli P, Hostettler A, Schoepfer AM, Gloor B, Candinas D. Systematic review of atraumatic splenic rupture. Br J Surg. 2009;96(10):1114-1121. doi:10.1002/bjs.6737
  2. Aubrey-Bassler FK, Sowers N. 613 cases of splenic rupture without risk factors or previously diagnosed disease: a systematic review. BMC Emerg Med. 2012;12:11. Published 2012 Aug 14. doi:10.1186/1471-227X-12-11
  3. Falk S, Stutte HJ, Frizzera G. Littoral cell angioma. A novel splenic vascular lesion demonstrating histiocytic differentiation. Am J Surg Pathol. 1991;15(11):1023-1033.
  4. Ramael M, Schoeters P, De Pooter K, et al. Multi-Focal Splenic Tumour in a Belgian Patient and a Brief Review of the Literature on Littoral Cell Angioma. Eur J Case Rep Intern Med. 2020;7(11):001863. Published 2020 Aug 29. doi:10.12890/2020_001863
  5. Arber DA, Strickler JG, Chen YY, Weiss LM. Splenic vascular tumors: a histologic, immunophenotypic, and virologic study. Am J Surg Pathol. 1997;21(7):827-835. doi:10.1097/00000478-199707000-00011
  6. Molina DK, DiMaio VJ. Normal Organ Weights in Women: Part II-The Brain, Lungs, Liver, Spleen, and Kidneys. Am J Forensic Med Pathol. 2015;36(3):182-187. doi:10.1097/PAF.0000000000000175
  7. Peckova K, Michal M, Hadravsky L, et al. Littoral cell angioma of the spleen: a study of 25 cases with confirmation of frequent association with visceral malignancies. Histopathology. 2016;69(5):762-774. doi:10.1111/his.13026
  8. Yamane H, Ohashi K, Suwaki T, Takigawa N. Ruptured littoral cell angiosarcoma causing hemoperitoneum. Intern Med. 2012;51(3):337-338. doi:10.2169/internalmedicine.51.6663
  9. McHugh A, O’Gorman C, Cooley S, McEntee G, Burke N. Littoral cell angioma with splenic rupture in pregnancy. Case Rep Perinat Med. 2018 Feb; 7(1):20170064. doi: 10.1515/crpm-2017-0064.
  10. Pilz JB, Sperschneider T, Lutz T, Loosli B, Maurer CA. Littoral cell angioma in main and accessory intrapancreatic spleen presenting as splenic rupture. Am J Surg. 2011;201(2):e15-e17. doi:10.1016/j.amjsurg.2009.11.013
  11. Bisceglia M, Sickel JZ, Giangaspero F, Gomes V, Amini M, Michal M. Littoral cell angioma of the spleen: an additional report of four cases with emphasis on the association with visceral organ cancers. Tumori. 1998;84(5):595-599. doi:10.1177/030089169808400516
  12. Harmon RL, Cerruto CA, Scheckner A. Littoral cell angioma: a case report and review. Curr Surg. 2006;63(5):345-350. doi:10.1016/j.cursur.2006.06.011
  13. Chatelain D, Bonte H, Guillevin L, Balladur P, Flejou JF. Small solitary littoral cell angioma associated with splenic marginal zone lymphoma and villous lymphocyte leukaemia in a patient with hepatitis C infection. Histopathology. 2002;41(5):473-475. doi:10.1046/j.1365-2559.2002.14313.x
  14. Martin R, Sospedra M, Rosito M, Engelhardt B. Current multiple sclerosis treatments have improved our understanding of MS autoimmune pathogenesis. Eur J Immunol. 2016;46(9):2078-2090. doi:10.1002/eji.201646485