Unsupported Browser
The American College of Surgeons website is not compatible with Internet Explorer 11, IE 11. For the best experience please update your browser.
Menu
Become a member and receive career-enhancing benefits

Our top priority is providing value to members. Your Member Services team is here to ensure you maximize your ACS member benefits, participate in College activities, and engage with your ACS colleagues. It's all here.

Become a Member
Become a member and receive career-enhancing benefits

Our top priority is providing value to members. Your Member Services team is here to ensure you maximize your ACS member benefits, participate in College activities, and engage with your ACS colleagues. It's all here.

Become a Member
ACS
ACS Case Reviews

A Case of an Incisional Spigelian-Type Hernia

March 20, 2024

Abstract

Background

A 78-year-old female presented with bowel obstruction as a result of an incarcerated Spigelian-type hernia at the site of a prior open appendectomy.

Summary

Our patient presented with typical bowel obstruction symptoms, including abdominal pain, distension, nausea, and vomiting. She was hemodynamically stable and with normal labs but was exquisitely tender over an indistinct bulge in her right lower quadrant abdominal wall, which was not reducible. A CT abdomen and pelvis demonstrated bowel obstruction due to a Spigelian-type hernia. She was taken to the OR, where her hernia was reduced laparoscopically but was ultimately repaired using an open technique because of the lateral location of the abdominal wall defect and the limited working space because of the distended bowel.

Conclusion

Surgeons should be aware that this type of hernia is a possible result of a division of the Spigelian aponeurosis, either by an open incision or a trocar, and should consider the closure of the fascia at this site.

Key Words

Spigelian hernia; incisional hernia; bowel obstruction; laparoscopic hernia repair; open ventral hernia, hernia repair


Case Description

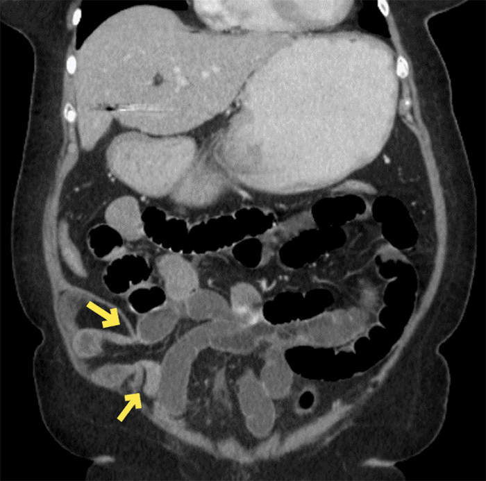
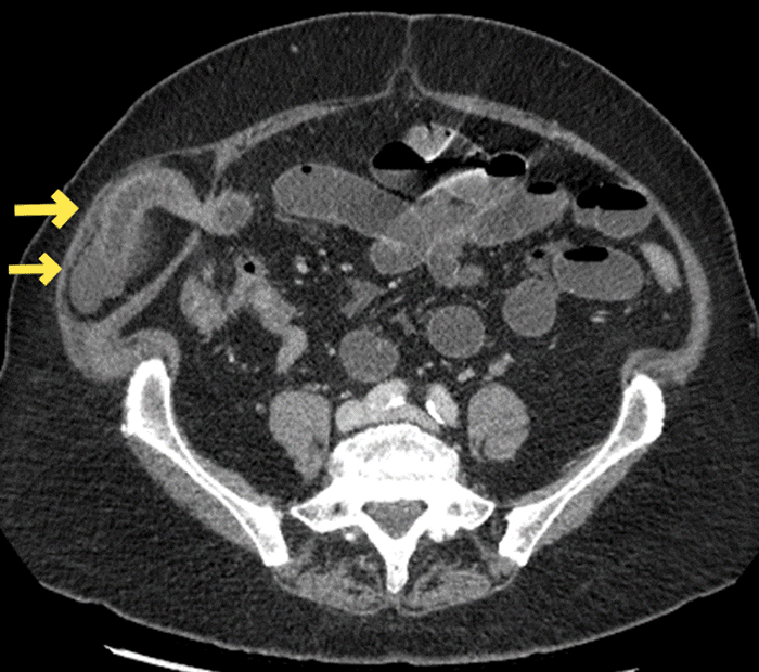
The patient is a 78-year-old female with a history of open appendectomy, open cholecystectomy, and open hysterectomy presented with typical bowel obstruction symptoms, including abdominal pain, distension, nausea, and vomiting. She was hemodynamically stable and with normal labs but exquisitely tender over an indiscrete bulge in her right lower quadrant, which was not reducible. A CT abdomen and pelvis demonstrated bowel obstruction as a result of a Spigelian hernia, as shown in Figure 1 and Figure 2.

Figure 1. Axial View of Spigelian-type Incisional Hernia. Published with Permission

Note compression of the herniated ileum and free fluid within the hernia sac
Note compression of the herniated ileum and free fluid within the hernia sac

Figure 2. Coronal View of Spigelian-type Incisional Hernia with Dilated Proximal Bowel Entering Hernia (cranial) and Decompressed Loop of Bowel Exiting Hernia (caudal). Published with Permission

The patient was taken to the operating room, where the small intestine was seen passing through a 2 cm fascial defect. The hernia was reduced laparoscopically, but given the limited working space resulting from bowel distension due to her obstruction, both intracorporeal suture repair and percutaneous suturing with a suture passer were not able to be safely performed. Therefore, the decision was made to proceed with open repair. Dissection was carried down to the hernia, and the external oblique was divided along the length of its fibers to reveal the hernia sac, which was circumferentially dissected and reduced. The internal oblique and transversus abdominis were repaired primarily, as was the external oblique. We chose not to leave a mesh because of the small size of the defect. She recovered well and was discharged home on postoperative day 3 after the return of bowel function.

Discussion

The Spigelian aponeurosis is the aponeurosis of the transversus abdominis at the semilunar line, lateral to the rectus abdominis.1 Spigelian hernias represent 0.1 to 2% of ventral hernias.2 True Spigelian hernias are primary hernias of the abdominal wall; however, Spigelian-type hernias have been reported due to port placement or incisions through the Spigelian aponeurosis.3,4 Management of Spigelian hernia and Spigelian-type hernias is inadequately studied as a result of their rarity. Only one randomized controlled trial of surgical approaches has been conducted to date. This study of 22 patients undergoing elective Spigelian hernia repair found that length of stay and morbidity were decreased with a laparoscopic approach, either extraperitoneal repair (TEP) with a preperitoneal mesh or transperitoneal (TAP) with an intraperitoneal onlay mesh (IPOM), as compared to an open approach with preperitoneal mesh and primary repair.5 As this was performed on patients undergoing surgery in the elective setting, most recommendations regarding Spigelian hernia repair are based on the broader ventral hernia literature, and no distinct consensus has been reached.

Most laparotomies are performed through the midline, but laparoscopic trocars are commonly placed in lateral positions, which may involve the Spigelian aponeurosis. The incidence of trocar site hernia has been found to range between 0%-5.2%, with hernias occurring primarily at the site of 10 mm and greater trocars (96%) and the umbilicus (82%).6 However, numerous operative factors contribute to the ultimate port site fascial defect, such as blunt versus cutting trocars, devices to minimize insufflation leak, port site dilation for specimen retrieval, the degree of torque applied to the port, and port reinsertions.7

Trocar site closure is not without risk. The incidence of postoperative neuropathic pain due to abdominal wall nerve entrapment from fascial suture placement has been reported at 5% for lateral trocar sites.8 In addition, trocar site closure incurs additional time and material costs.

Conclusion

As a result of the heterogeneity of access methods, port types, intraoperative factors, and closure techniques, no Level I evidence exists to recommend specific criteria for trocar site fascial closure. Thus, the decision to close the fascia at laparoscopic trocar sites should be individualized based on the factors mentioned earlier and the surgeon’s estimate of hernia risk. One factor contributing to this estimate should be ports placed through the Spigelian aponeurosis, an inherent weak point in the abdominal wall that lacks well-vascularized muscle like the linea alba.9

Lessons Learned

Care should be taken when placing ports or incisions through the Spigelian aponeurosis. Care should be given to fascial closure when ports are placed through this inherent weak point in the abdominal wall.

Authors

Vetter CJ; Lowe K

Author Affiliation

Department of Surgery, Carle Foundation Hospital, Urbana, IL 61801

Corresponding Author

Christopher Vetter, MD, MSc
Carle Foundation Hospital
611 W. Park Street
Urbana, IL 61801
Email: christopher.vetter@gmail.com

Disclosure Statement

The authors have no conflicts of interest to disclose.

Funding/Support

The authors have no relevant financial relationships or in-kind support to disclose.

Received: March 28, 2021
Revision received: May 28, 2021
Accepted: June 22, 2021

References

  1. Skandalakis PN, Zoras O, Skandalakis JE, Mirilas P. Spigelian hernia: surgical anatomy, embryology, and technique of repair. Am Surg. 2006;72(1):42-48.
  2. Polistina FA, Garbo G, Trevisan P, Frego M. Twelve years of experience treating Spigelian hernia. Surgery. 2015;157(3):547-550. doi:10.1016/j.surg.2014.09.027
  3. Spaliviero M, Samara EN, Oguejiofor IK, DaVault RJ, Albrecht RM, Wong C. Trocar site spigelian-type hernia after robot-assisted laparoscopic prostatectomy. Urology. 2009;73(6):. doi:10.1016/j.urology.2008.04.036
  4. Mackay DR, Stevenson JC. Spigelian herniation after component separation. Plast Reconstr Surg. 2008;122(5):155e-156e. doi:10.1097/PRS.0b013e318186cd06
  5. Moreno-Egea A, Carrasco L, Girela E, Martín JG, Aguayo JL, Canteras M. Open vs laparoscopic repair of spigelian hernia: a prospective randomized trial. Arch Surg. 2002;137(11):1266-1268. doi:10.1001/archsurg.137.11.1266
  6. Helgstrand F, Rosenberg J, Bisgaard T.v Trocar site hernia after laparoscopic surgery: a qualitative systematic review. Hernia. 2011;15(2):113-121. doi:10.1007/s10029-010-0757-x
  7. Arifuzaman M, Samreen A. Laparoscopic port closure techniques and incidence of port-site hernias: a review and recommendations. WJOLS. 2018;11(2):90–101.
  8. Shin JH, Howard FM. Abdominal wall nerve injury during laparoscopic gynecologic surgery: incidence, risk factors, and treatment outcomes. J Minim Invasive Gynecol. 2012;19(4):448-453. doi:10.1016/j.jmig.2012.03.009
  9. Morrison CP, Wemyss-Holden SA, Iswariah H, Maddern GJ. Lateral laparoscopic port sites should all be closed: the incisional “spigelian” hernia. Surg Endosc. 2002;16(9):1364. doi:10.1007/s00464-002-4214-5