Unsupported Browser
The American College of Surgeons website is not compatible with Internet Explorer 11, IE 11. For the best experience please update your browser.
Menu
Become a member and receive career-enhancing benefits

Our top priority is providing value to members. Your Member Services team is here to ensure you maximize your ACS member benefits, participate in College activities, and engage with your ACS colleagues. It's all here.

Become a Member
Become a member and receive career-enhancing benefits

Our top priority is providing value to members. Your Member Services team is here to ensure you maximize your ACS member benefits, participate in College activities, and engage with your ACS colleagues. It's all here.

Become a Member
ACS
ACS Case Reviews

Laparoscopic Cystectomy of Hemorrhagic Cyst After Blunt Abdominal Trauma

March 20, 2024

Abstract

Background

The use of laparoscopy in trauma has been and continues to be, an area of controversy. As laparoscopy continues to be more mainstream, a growing body of literature has guided appropriate use in the trauma setting. Even as laparoscopy becomes more common, there continue to be additional applications that are not well described.

Summary

This case study exemplifies the use of therapeutic laparoscopy for a traumatic gynecologic injury. It discusses the current uses of laparoscopy in trauma, its advantages and limitations, and the potential to expand laparoscopy use.

Conclusion

The potential for therapeutic laparoscopy in gynecologic trauma management exists. The guidelines, indications, and algorithms published for laparoscopy in blunt abdominal trauma are transferrable to gynecologic injury and should be considered.

Key Words

laparoscopy; gynecologic trauma; blunt abdominal trauma


Case Description

A 49-year-old female arrived at the emergency department (ED) as a transfer from another hospital following a motor vehicle collision. Emergency medical services (EMS) reported that the patient had a syncopal episode while driving and collided with a tree at 45 mph. The patient was restrained. Her blood pressure on scene was 132/77, and during transport, she was noted to have a decreased blood pressure reading of 74/45 with no change in mental status. Her pulse remained between 70-90 bpm, and her respirations and SpO2 remained stable at 16 and >95%, respectively. At the outside facility, she was given tranexamic acid (TXA) and had improvement in her hemodynamics with a systolic blood pressure of 152/96. She complained of lightheadedness, left upper quadrant pain, nausea, back pain, and right shoulder pain. She had a positive focused assessment with sonography in trauma (FAST) with CT evidence of intraabdominal hemorrhage. She was then transferred to our facility for a higher level of care. Her hemodynamics remained stable during transfer between facilities. The patient had no significant past medical history. Her past surgical history was significant for hysterectomy.

Upon presentation, the patient was hemodynamically unremarkable, with a Glasgow Coma Scale (GCS) of 15. Upon examination, she had a soft abdomen with left lower quadrant tenderness to palpation. There was no overlying ecchymosis, guarding, rebound, or peritoneal signs, and no palpable mass. No vaginal bleeding or bleeding at the urethral meatus was noted.

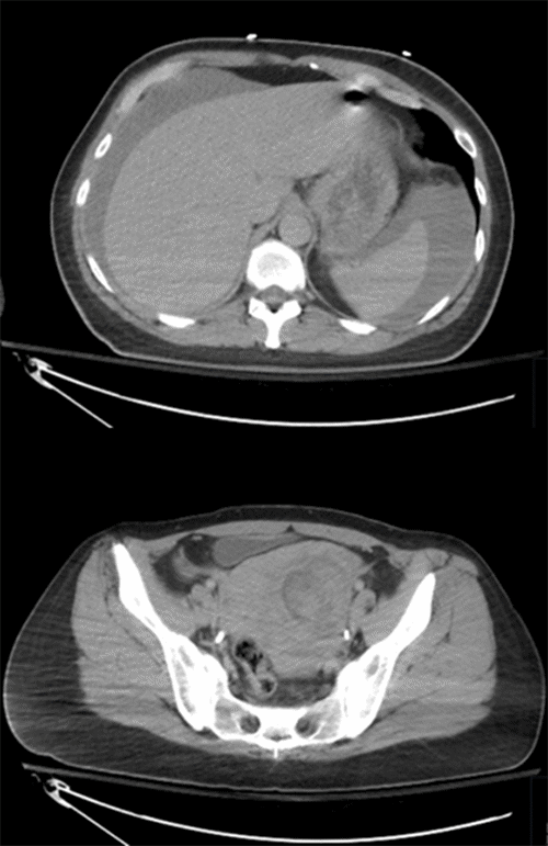
A FAST exam was positive at the outside facility prior to transfer. The patient had subsequent CT imaging with IV contrast prior to transfer. CT of the abdomen/pelvis demonstrated a large pelvic hematoma measuring 10.5 × 10.3 × 13 cm with possible adnexal origin and hemorrhagic ascites (Figure 1). No active extravasation was noted. The remaining imaging was unremarkable except for a displaced nasal spine fracture.

Figure 1. Contrast CT of Abdomen/Pelvis Demonstrating Hemorrhagic Ascites and Pelvic Hematoma. Published with Permission

Significant laboratory tests at presentation consisted of hemoglobin and hematocrit at 10.6 and 31.5, respectively, and white blood cell count was elevated at 16.5. She had a pH of 7.29, pCO2 of 29, pO2 of 85, HCO3 of 14, and a base deficit of 11. The remainder of her laboratory values were normal at presentation.

Due to the patient’s hemodynamic stability and no evidence of active extravasation, the on-call trauma surgeon opted to admit her to the ICU for observation, resuscitation, and pain control. The patient was given her completion dose of TXA per hospital protocol. She was kept NPO and underwent serial abdominal exams and frequent hemoglobin rechecks. Because she was treated conservatively, gynecologic consultation and intervention were not deemed necessary.

The patient had been admitted overnight and transferred care between trauma surgeons in the morning. The dayshift surgeon continued conservative management and monitoring for nonoperative failure. Later on hospital day 1, the patient remained hemodynamically stable; hemoglobin and hematocrit were stable at 10.5 and 30.5, respectively, and a repeat ABG showed improving acidosis. However, she complained of worsening left lower quadrant pain. At that time, the decision was made to proceed with diagnostic laparoscopy to further evaluate the possible adnexal injury and evacuation of the hemoperitoneum.

Laparoscopy revealed 2000 ml of blood in the pelvis and a clot noted around an enlarged left ovary (Figure 2). The free blood was suctioned free, and the clot was gently dislodged from the underlying left ovary. Upon visualization of the ovary, there appeared to be a large ruptured hemorrhagic ovarian cyst with ongoing venous bleeding. At this point in the operation, the OB/GYN was called to the operating room for intraoperative consultation. The gynecologist saw the benefit of partial oophorectomy to preserve endocrine function, and a joint decision was made to proceed with a left partial oophorectomy.

Figure 2. Laparoscopic View of Pelvic Hemorrhage and Left Hemorrhagic Ovarian Cyst. Published with Permission

Hemostasis was achieved with partial oophorectomy and an absorbable hemostatic agent. The remainder of the abdominal cavity was explored, including evaluation of the small bowel, colon, stomach, liver, and spleen, and no gross abnormalities or evidence of injury was noted. Complete hemostasis had been achieved with partial oophorectomy, and all retained hematomas were evacuated. No blood transfusion was necessary intraoperatively. The patient had an uneventful postoperative course and was discharged home without complications.

Discussion

The use of laparoscopy in trauma has been controversial for several decades. One of the earliest studies in the literature was published in 1976 by Gazzaniga et al. 1, evaluating the use of laparoscopy in blunt and penetrating trauma and discussing the possibility of avoiding negative laparotomies. They reported that the findings of laparoscopy correlated with those at laparotomy, and there were no false-negative results in their laparoscopic group. They concluded that laparoscopy is useful for evaluating appropriately selected trauma patients. Shortly after that, the literature for laparoscopy use in trauma blossomed, corresponding with a push for minimally invasive procedures.2

Laparoscopy is now commonly used within numerous trauma practices. Diagnostic laparoscopy (DL) has been proven in multiple studies to be an effective tool for the evaluation of hemodynamically stable trauma patients. It is more recently expanding as a therapeutic tool as well.2-9 The Society of American Gastrointestinal and Endoscopic Surgeons (SAGES)10 has published guidelines covering “Diagnostic Laparoscopy for Trauma.” Their guidelines show that laparoscopy is indicated in patients who have undergone imaging evaluation and have a clinical exam suspicious for intraabdominal injury in the setting of blunt or penetrating trauma. Contraindications for diagnostic laparoscopy include hemodynamic instability, a clear indication for laparotomy, and limited laparoscopic expertise.

One of the main advantages of DL that has been consistently demonstrated is the avoidance of nontherapeutic laparotomies.1,3,4 It has been reported that the use of DL avoids 45.6% of nontherapeutic laparotomies5. Further, as DL gained popularity and systematic approaches were created, the missed injury rate decreased, with some small studies reporting no missed injuries.4 A larger meta-analysis reported the missed injury rate at 0.12%.5 Other benefits of diagnostic laparoscopy that have been described include decreased incidence of pneumonia, decreased incidence of wound infection, and decreased hospital length of stay (LOS).5 Koganti et al.6 found their patients who underwent DL compared to DL converted to laparotomy had a 50% shorter LOS.

Beyond DL, many institutions have started utilizing therapeutic laparoscopy (TL) in hemodynamically stable trauma patients. Types of TL that have been described in trauma patients include diaphragm repair, gastrostomy, peritoneal lavage, repair or resection of large/small bowel laceration, repair of liver laceration, partial or complete splenectomy, repair of mesentery, appendectomy, foreign body removal, cholecystectomy, distal pancreatectomy, oophorectomy, among others.3,7 An algorithm for managing abdominal trauma patients is available and outlines indications for nonoperative management versus laparoscopy versus laparotomy.8 In patients undergoing TL, Lin et al.3 report a 92% success rate, with the remaining 8% converted to therapeutic laparotomy. Matsevych et al.8 found 80% of laparotomies could be avoided. Zafar et al.7 found that 1 in 5 patients undergoing DL also underwent TL and was, therefore, able to avoid exploratory laparotomy and the associated morbidity. Patients that undergo TL compared to exploratory laparotomy have significantly decreased hospital LOS, a difference of 4-5 days.3,7 Additionally, the incisional hernia risk is decreased in trauma laparoscopy compared to trauma laparotomy. One study reported the incisional hernia rate of trauma laparotomies to be 6.3%, compared with port site hernia rates in laparoscopy, which range from 0.74 to 1.7%.11,12 The cost difference between TL compared to exploratory laparotomy is not well described at this time. Still, given the reduced LOS, hernia risk, and morbidity, there is the potential to achieve cost benefit with TL.

TL is supported in select situations given the patient is hemodynamically stable, the surgeon is experienced with advanced laparoscopic skills, and the institution is able to provide the appropriate staff and equipment.7 However, surgeon expertise is frequently regarded as a limitation for the expanded use of TL, and one reason why laparoscopy has slowly been adopted into trauma practice.2,6,7,9 One method to overcome this limitation has been incorporating simulated laparoscopy training using surgical box models early in residency9. In addition, elective laparoscopic surgery can be used to learn advanced laparoscopic skills and later be transferred to trauma patients.

Despite the increased use of DL and TL and efforts to advance their utility, there remain gaps within the literature, specifically, as it relates to this case study, the management of gynecologic trauma. In one review, there is mention of one oophorectomy in 1 of 112 blunt abdominal patients.3 Much of the literature on gynecologic trauma is case studies, and no management guidelines currently exist. A recent study summarized the trend in ovarian/fallopian tube injuries to favor repair over removal.13 The study does not compare laparoscopy versus laparotomy; however, laparoscopic ovarian cystectomies are common within gynecologic practices.

With the limited research and reported case studies involving gynecologic trauma, the authors are unable to suggest specific guidelines for the use of laparoscopy. In this case, the patient was initially treated following guidelines for blunt abdominal solid organ injury. With a worsening exam but hemodynamic stability, it was felt safe to proceed with diagnostic laparoscopy first. However, the authors want to caution that although this patient was managed laparoscopically, she did have a significant amount of hemoperitoneum, and her risk of worsening hemodynamics or hypovolemic shock was high. It is important for care teams to be aware of these risks and to be prepared for possible initial or conversion to an open procedure if needed. DL and TL are exciting management options, but more studies are needed to create specific guidelines in the setting of gynecologic trauma.

Conclusion

The evidence is clear that laparoscopy is a valid and beneficial diagnostic and, in select cases, a therapeutic tool available for managing trauma patients. Although there are gaps within the literature, specifically surrounding gynecologic trauma, the potential for therapeutic laparoscopy in gynecologic trauma management exists. The guidelines, indications, and algorithms published for laparoscopy in blunt abdominal trauma are transferrable to gynecologic injury and should be considered.

Lessons Learned

The benefits of both diagnostic and therapeutic laparoscopy in trauma have been demonstrated in numerous studies. The authors find the current guidelines and indications for blunt abdominal injury as outlined by Maytsevych et al.8 and SAGES10 to promote the use of diagnostic and therapeutic laparoscopy and to be potentially transferrable to use in gynecologic trauma, especially in institutions where gynecologic surgeons are available for intraoperative consult.

Authors

Theisen FC; Woods TN

Author Affiliation

CoxHealth Trauma and Acute Care Surgery, Springfield, MO 65807

Corresponding Author

Frances C. Theisen, PA-C
3800 S. National Avenue, Ste. 600
Springfield, MO 65807
Email: frances.theisen@coxhealth.com

Disclosure Statement

The authors have no conflicts of interest to disclose.

Funding/Support

The authors have no relevant financial relationships or in-kind support to disclose.

Received: February 16, 2021
Revision received: May 4, 2021
Accepted: June 28, 2021

References

  1. Gazzaniga AB, Stanton WW, Bartlett RH. Laparoscopy in the diagnosis of blunt and penetrating injuries to the abdomen. Am J Surg. 1976;131(3):315-318. doi:10.1016/0002-9610(76)90124-0
  2. Coleman L, Gilna G, Portenier D, et al. Trauma laparoscopy from 1925 to 2017: Publication history and study demographics of an evolving modality. J Trauma Acute Care Surg. 2018;84(4):664-669. doi:10.1097/TA.0000000000001780
  3. Lin HF, Chen YD, Chen SC. Value of diagnostic and therapeutic laparoscopy for patients with blunt abdominal trauma: A 10-year medical center experience. PLoS One. 2018;13(2):e0193379. Published 2018 Feb 22. doi:10.1371/journal.pone.0193379
  4. Koto MZ, Matsevych OY, Mosai F, Patel S, Aldous C, Balabyeki M. Laparoscopy for blunt abdominal trauma: a challenging endeavor. Scand J Surg. 2019;108(4):273-279. doi:10.1177/1457496918816927
  5. Hajibandeh S, Hajibandeh S, Gumber AO, Wong CS. Laparoscopy versus laparotomy for the management of penetrating abdominal trauma: A systematic review and meta-analysis. Int J Surg. 2016;34:127-136. doi:10.1016/j.ijsu.2016.08.524
  6. Koganti D, Hazen BJ, Dente CJ, Nguyen J, Gelbard RB. The role of diagnostic laparoscopy for trauma at a high-volume level one center. Surg Endosc. 2021;35(6):2667-2670. doi:10.1007/s00464-020-07687-1
  7. Zafar SN, Onwugbufor MT, Hughes K, et al. Laparoscopic surgery for trauma: the realm of therapeutic management. Am J Surg. 2015;209(4):627-632. doi:10.1016/j.amjsurg.2014.12.011
  8. Matsevych O, Koto M, Balabyeki M, Aldous C. Trauma laparoscopy: when to start and when to convert?. Surg Endosc. 2018;32(3):1344-1352. doi:10.1007/s00464-017-5812-6
  9. Matsevych OY, Koto MZ, Aldous C. Trauma laparoscopy: A prospect of skills training (cohort study). Int J Surg. 2018;55:117-123. doi:10.1016/j.ijsu.2018.05.033
  10. Society of American Gastrointestinal Endoscopic Surgeons (SAGES). Guidelines for diagnostic laparoscopy. Surg Endosc. 1999;13(2):202-203.
  11. Hietbrink F, Smeeing D, Karhof S, et al. Outcome of trauma-related emergency laparotomies, in an era of far-reaching specialization. World J Emerg Surg. 2019;14:40. Published 2019 Aug 14. doi:10.1186/s13017-019-0257-y
  12. Kindel T, Latchana N, Swaroop M, et al. Laparoscopy in trauma: An overview of complications and related topics. Int J Crit Illn Inj Sci. 2015;5(3):196-205. doi:10.4103/2229-5151.165004
  13. Rivas L, Ju T, Hernandez M, et al. Current Management of Gynecologic Trauma. J Gynecol Obstet Hum Reprod. 2020;49(6):101731. doi:10.1016/j.jogoh.2020.101731