Unsupported Browser
The American College of Surgeons website is not compatible with Internet Explorer 11, IE 11. For the best experience please update your browser.
Menu
Become a member and receive career-enhancing benefits

Our top priority is providing value to members. Your Member Services team is here to ensure you maximize your ACS member benefits, participate in College activities, and engage with your ACS colleagues. It's all here.

Become a Member
Become a member and receive career-enhancing benefits

Our top priority is providing value to members. Your Member Services team is here to ensure you maximize your ACS member benefits, participate in College activities, and engage with your ACS colleagues. It's all here.

Become a Member
ACS
ACS Case Reviews

Colonic Hemangiopericytoma

March 20, 2024

Abstract

Background

Hemangiopericytoma is an uncommon perivascular tumor. Descending colon hemangiopericytoma is extremely rare. Here, we report the clinical, ultrasonography, contrast-enhanced computed tomography (CT), and pathologic findings of an HPC arising from the posterior wall of the descending colon in a 42-year-old man.

Summary

Abdominopelvic contrast-enhanced CT showed a 7 cm heterogeneous tumor characterized by internal necrotic material detected in the left lumbar region extending to the left iliac fossa, infiltrating the descending colon. Intraoperative findings revealed a well-capsulated solid tumor surrounding the posterior wall of the descending colon. Positive CD34 and STAT6 markers, along with negative S100, CD117, DOG1, and smooth muscle actin, confirmed the diagnosis of hemangiopericytoma. Follow-up imaging showed no signs of recurrence or metastasis.

Conclusion

HPCs should be included in the differential list of a sizeable mesenchymal tumor with heterogeneous enhancement in the regions of the tumor.

Key Words

hemangiopericytoma; mesenchymal tumor; gastrointestinal stromal tumor; pericytes; STAT6; spindle cell tumor

Abbreviations

HPC: hemangiopericytoma
GIST: gastrointestinal stromal tumor
US: ultrasonography
MFH: malignant fibrous histiocytoma


Case Description

A 42-year-old man presented with complaints of left-sided abdominal pain associated with bleeding per rectum of 30 days duration. He underwent a laparotomy for resection of a retroperitoneal malignant tumor in 2009; on histopathological examination, the tumor was consistent with malignant fibrous histiocytoma. The physical and rectal examination did not reveal any abnormalities. Complete blood count, serum electrolytes, creatinine, and urea were within the normal range, and screening for viral markers was negative. He underwent abdominal ultrasonography, which revealed a large rounded lesion, predominantly hypoechoic lesion of size more than 7.2 × 7.7 cm in the left hemipelvis, anterior to left iliac vessels and close to the midline. The lesion showed increased vascularity, and the site of the origin of the lesion could not be defined. Colonoscopy showed a nodular area with evidence of luminal compression and a visible vessel with an intermittent spur. Therapeutic intervention was not performed as there was no active bleeding.

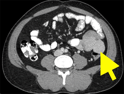
An abdominopelvic contrast-enhanced computed tomography scan showed a soft tissue attenuating mass lesion measuring about 72 × 70 × 60 mm in the left lumbar region extending into the left iliac fossa (Figure 1). There was a heterogeneous gradual enhancement in the tumor with a few foci of necrotic areas. Multiple enhancing venous channels were seen in the vicinity of the lesion, particularly in the posterior and left lateral aspects; it was encasing the adjacent descending colon, causing compression of its lumen. It appeared consistent from the adjacent psoas muscle. The kidney was separate. There was no evidence of metastasis.

Figure 1. CECT of Abdomen. Published with Permission

Scan demonstrates a soft tissue mass lesion located in the left lumbar region, with infiltration into the descending colon
Scan demonstrates a soft tissue mass lesion located in the left lumbar region, with infiltration into the descending colon

Figure 2. Colonoscopy Showing Nodular Area in Descending Colon. Published with Permission

A.

B.

The patient underwent surgery after a thorough evaluation of clinical and imaging findings. Intraoperatively, there was a well-capsulated and circumscribed solid tumor on the posterior wall of the descending colon. Tumor resection, along with involved colonic segment, was done with end-to-end anastomosis. His postoperative period was uneventful.

Figure 3. Intraoperative Image of Lesion and Resected Specimen Along with Part of Descending Colon. Published with Permission

A.

B.

The gross specimen showed a well-encapsulated mass 4 × 3 cm in size. The cut section of the tumor mass showed a greyish-white, fleshy appearance and was multinodular in some places. Microscopically, the specimen showed highly cellular pleomorphic spindle-shaped cells with a patternless, fascicular, whorled, storiform, and palisading architecture. The vascular network was prominent. Tumor cells were invading through the serosal layer of the attached colonic segment. With immunochemical histology stains, the tumor cells reacted positively for CD34 and STAT6 and negatively for CD117, S100 protein, smooth muscle actin, and DOG1. The tumor had low malignant potential activity.

Figure 4. Microscopic Histological Section Showing Infiltrating Cellular Spindle Cells Tumor. Published with Permission

Tumor cells are arranged in patternless, fascicular, whorled, storiform, and palisading patterns. The cytoplasm is moderate, spindly, and amphophilic to clear, with defined cellular borders. Mitotic activity 5-7/50 HPF seen. Stroma is scant and collagenous with mild lymphoplasmacytic infiltrate seen. Foci of hemorrhages and coagulative necros noted. Tumor has rich vascularity
Tumor cells are arranged in patternless, fascicular, whorled, storiform, and palisading patterns. The cytoplasm is moderate, spindly, and amphophilic to clear, with defined cellular borders. Mitotic activity 5-7/50 HPF seen. Stroma is scant and collagenous with mild lymphoplasmacytic infiltrate seen. Foci of hemorrhages and coagulative necros noted. Tumor has rich vascularity

Six months post-surgery, a subsequent abdominal ultrasound examination showed no signs of tumor recurrence or metastasis. Additionally, a follow-up colonoscopy was performed and found to be normal.

Discussion

Wagner first described the solitary fibrous tumor in 1870.1 Hemangiopericytoma (HPC) is an uncommon perivascular tumor and accounts for 1% of primary vascular tumors.2 HPC develops from the specialized cells lining the capillaries, pericytes, which are small, spindle, or oval-shaped cells lining capillaries.3 It occurs most frequently in the extremities, pelvis, head, neck, and meninges.2 The neoplasm occurs most commonly in the mesenchymal soft tissue, but hemangiopericytomas are prevalent in other viscera, including the brain, oral cavity, thyroid, urinary bladder, and prostate.4

The first description of HPC was published in 1942 by Stout and Murray.5 HPC is a rare tumor that originates from Zimmermann pericytes, which are primitive mesenchymal cells closely linked with endothelial cells of capillaries.5 Pericytes, which are contractile cells encircling capillaries and postcapillary venules,6 primarily manifest in the pelvis, lower extremities, and retroperitoneum. It appears to have no predilection for age7 and exhibits a male-to-female ratio of 1.8.8

HPCs typically originate from the stomach4 and small bowel,9 with rare occurrences in the esophagus, colon, and rectum. Symptoms in the large intestine may include obstruction, bleeding, and intussusception.10 Recurrence rates are notably high (up to 52%),11 underscoring the importance of long-term follow-up post-primary tumor resection. Other characteristic features are various paraneoplastic symptoms, commonly hypoglycaemia12 and hypertension,13 as the tumor cells can secrete insulin-like substances. The imaging features of colonic HPCs are nonspecific. A large HPC can have necrosis and cystic changes, but calcifications are rare.

Intense heterogeneous enhancement is observed in contrast-enhanced CT along with multiple enhancing venous channels near the lesion, indicating the tumor’s vascular origin. Still, there is uncertainty about the origin of the tumor. Magnetic resonance imaging is the generally chosen modality of imaging for detecting the organ of origin of a mesenchymal tumor. MRI was not performed on our patient. MRI shows the characteristic sign “flow void phenomena,” often emerging from hypervascular tumors.8 They are hyperintense on gadolinium-enhanced images. Lipomatous HPCs are benign variants of HPCs.14 Colonic HPCs must be differentiated from gastrointestinal stromal tumors (GIST) and retroperitoneal tumors. GISTs rarely cause lymph nodal metastasis. Other differential diagnoses should be considered if extensive lymph nodal metastasis is observed.15 It is challenging to differentiate GISTs and common retroperitoneal tumors like leiomyosarcoma, liposarcoma, and malignant fibrous histiocytoma (MFH) on the background of imaging findings.

Conclusion

Colonic HPC is a rare tumor with nonspecific imaging findings. HPCs should be included in the differential list of a sizeable mesenchymal tumor with heterogeneous enhancement in the regions of the tumor.

Lessons Learned

Patients who undergo complete surgical resection have an 80% survival rate at five years.16 Adjuvant radiotherapy is recommended. Research indicates the benefit of radiotherapy for controlling local recurrence of tumors that were not completely excised. Given the high recurrence rate of these tumors, long-term follow-up, including annual abdominal and pelvic ultrasound examinations, is essential.

Authors

Aditya Ta; Rao TNa,c; Vikram Gb; Parvathi Tb

Author Affiliations

  1. Apollo Hospitals, Visakhapatnam, Andhra Pradesh, India
  2. Maharajah Institute of Medical Sciences, Vizianagaram, Andhra Pradesh, India
  3. King George Hospital, Visakhapatnam, Andhra Pradesh, India

Corresponding Author

T. Narayana Rao, MBBS, MS FICS, FRCS(G), FACS
59 Daspalla Hills
Visakhapatnam 530003, Andhra Pradesh
India
Email: drtnrao@yahoo.com

Disclosure Statement

The authors have no conflicts of interest to disclose.

Funding/Support

The authors have no relevant financial relationships or in-kind support to disclose.

Received: December 15, 2020
Revision received: February 12, 2021
Accepted: March 4, 2021

References

  1. Wagner E, Wunderlich CA, Roser W. Das tuberkelähnliche Lymphadenom. (Hrsg) 1870. pp. S497–525.
  2. Enzinger FM, Smith BH. Hemangiopericytoma. An analysis of 106 cases. Hum Pathol. 1976;7(1):61-82. doi:10.1016/s0046-8177(76)80006-8
  3. Gerner RE, Moore GE, Pickren JW. Hemangiopericytoma. Ann Surg. 1974;179(2):128-132. doi:10.1097/00000658-197402000-00002
  4. Gupta S, Padmanabhan A, Khanna S. Malignant hemangiopericytoma of the gallbladder. J Surg Oncol. 1983;22(3):171-174. doi:10.1002/jso.2930220307
  5. Stout AP, Murray MR. Hemangiopericytoma: a vascular tumor featuring Zimmermann’s pericytes. Ann Surg. 1942;116(1):26-33. doi:10.1097/00000658-194207000-00004
  6. Horikawa-Kyo Y, Tanaka T, Tanano H, Kitayama Y, Karakawa S, Taniyama K. Mediastinal hemangiopericytoma. Pediatr Blood Cancer. 2009;53(2):206-207. doi:10.1002/pbc.22054
  7. Auguste LJ, Razack MS, Sako K. Hemangiopericytoma. J Surg Oncol. 1982;20(4):260-264. doi:10.1002/jso.2930200416
  8. Lu L, Zhang LJ, Zhou CS, Lu GM. Rectal hemangiopericytoma in a 37-year-old woman: a case report and review of the literature. J Med Case Rep. 2011;5:352. Published 2011 Aug 5. doi:10.1186/1752-1947-5-352
  9. Cueto J, Gilbert EF, Currie RA. Hemangiopericytoma of the stomach. Am J Surg. 1966;112(6):943-946. doi:10.1016/0002-9610(66)90158-9
  10. Ball AB, Strong L, Hastings A. Malignant haemangiopericytoma of the terminal ileum presenting with peritonitis and transcoelomic metastases. Br J Surg. 1984;71(2):161-162. doi:10.1002/bjs.1800710234
  11. Noda N, Hasegawa H, Kanai M, et al. Recurrent hemangiopericytoma of the liver: report of a case. Surg Today. 1995;25(1):72-75. doi:10.1007/BF00309391
  12. Cotterill AM, Holly JM, Davies SC, Coulson VJ, Price PA, Wass JA. The insulin-like growth factors and their binding proteins in a case of non-islet-cell tumour-associated hypoglycaemia. J Endocrinol. 1991;131(2):303-311. doi:10.1677/joe.0.1310303
  13. Robertson PW, Klidjian A, Harding LK, Walters G, Lee MR, Robb-Smith AH. Hypertension due to a renin-secreting renal tumour. Am J Med. 1967;43(6):963-976. doi:10.1016/0002-9343(67)90256-2
  14. Dozois EJ, Malireddy KK, Bower TC, Stanson AW, Sim FH. Management of a retrorectal lipomatous hemangiopericytoma by preoperative vascular embolization and a multidisciplinary surgical team: report of a case. Dis Colon Rectum. 2009;52(5):1017-1020. doi:10.1007/DCR.0b013e318199dc31
  15. Rimondini A, Belgrano M, Favretto G, et al. Contribution of CT to treatment planning in patients with GIST. Radiol Med. 2007;112(5):691-702. doi:10.1007/s11547-007-0173-1
  16. Espat NJ, Lewis JJ, Leung D, et al. Conventional hemangiopericytoma: modern analysis of outcome. Cancer. 2002;95(8):1746-1751. doi:10.1002/cncr.10867