Unsupported Browser
The American College of Surgeons website is not compatible with Internet Explorer 11, IE 11. For the best experience please update your browser.
Menu
Become a member and receive career-enhancing benefits

Our top priority is providing value to members. Your Member Services team is here to ensure you maximize your ACS member benefits, participate in College activities, and engage with your ACS colleagues. It's all here.

Become a Member
Become a member and receive career-enhancing benefits

Our top priority is providing value to members. Your Member Services team is here to ensure you maximize your ACS member benefits, participate in College activities, and engage with your ACS colleagues. It's all here.

Become a Member
ACS
ACS Case Reviews

Subconjunctival Emphysema Following Blunt Chest Trauma Improved with Bilateral Thoracostomy

March 20, 2024

Abstract

Background

A male presented as a trauma status post fall at home with pneumomediastinum, diffuse subcutaneous emphysema, and bilateral subconjunctival emphysema. Development of subconjunctival emphysema after trauma is usually pathognomonic for underlying orbital fracture, though it is a rare finding in other clinical contexts.

Summary

The 58-year-old patient presented as a Level I trauma from an outside facility after a fall at home. He was found to have pneumomediastinum, subconjunctival emphysema, and diffuse subcutaneous emphysema that worsened after endotracheal intubation, prompting transfer to our hospital. Further evaluation revealed a right lateral 4th rib fracture, displaced fractures of the posterior right 7-10th ribs, and nondisplaced fractures of the right 11th and 12th ribs. No evidence of orbital fracture was noted on computed tomography of the head. Bilateral pneumothoraces prompted bilateral thoracostomy tube placement, and his subcutaneous and subconjunctival emphysema was improved throughout his ICU admission.

Conclusion

We present a case of diffuse subcutaneous and subconjunctival emphysema in the setting of pneumothorax following blunt chest trauma, with improvement after bilateral thoracostomy.

Key Words

subconjunctival emphysema; subcutaneous emphysema; pneumomediastinum; pneumothorax


Case Description

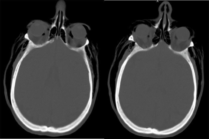
A 58-year-old male presented as a Level I trauma status post fall at home. Per history, the patient fell from a standing height and struck his right chest wall on a table mid-fall. He awoke the next morning with facial edema, prompting the call to EMS. He was initially evaluated at an outside facility and found to have pneumomediastinum, diffuse subcutaneous emphysema, and a right pneumothorax. His subcutaneous emphysema worsened after endotracheal intubation and a right-sided chest tube was placed before transfer. CXR on admission showed a right lateral 4th rib fracture with possible additional rib fractures. Various imaging was obtained after arrival, including CT of the head, cervical, thoracic, and lumbar spine, and CTA of the neck, chest, abdomen, and pelvis. These studies were remarkable for extensive subcutaneous emphysema in the bilateral neck, chest, abdomen, pelvis, and subconjunctival emphysema (Figure 1).

Figure 1. CT Head Scan Demonstrating Subconjunctival Emphysema Bilaterally. Published with Permission

Additionally, the CTA chest confirmed acute displaced fractures of the posterior right 7-10th ribs and nondisplaced fractures of the right 11th and 12th ribs. A moderate to large left-sided pneumothorax was also revealed (Figure 2), and a second chest tube was placed. No facial fractures were identified on imaging.

Figure 2. CT Chest Scan Demonstrating Large Left Pneumothorax. Published with Permission

On exam, periorbital and subconjunctival emphysema was observed (Figure 3), though the patient’s visual acuity was unaffected.

Figure 3. Photograph Depicting Subconjunctival Emphysema of Patient’s Left Orbit. Published with Permission

The patient was admitted to the surgical intensive care unit for management of emphysema and further investigation. Ophthalmology was consulted, and continued clinical monitoring of conjunctiva was advised. Bronchoscopy revealed no evidence of tracheal or bronchial injury, and EGD was unremarkable for esophageal or duodenal injury. The patient’s ophthalmologic pressure was monitored throughout his stay by ophthalmology and was found to be normal.

The patient’s subcutaneous emphysema and pneumothorax improved throughout his admission. The patient was extubated on hospital day 2, and a chest X ray on hospital day 3 showed no residual pneumothorax. The patient was transferred to the floor, and bilateral chest tubes were removed by hospital day 5. The patient’s clinical status remained stable, with continued subcutaneous and conjunctival emphysema improvement. The patient was discharged home on hospital day 6.

Discussion

Subconjunctival emphysema, in general, is a rare clinical occurrence. Physiologically, it results from a connection between the subcutaneous and subconjunctival tissue planes or an extension of orbital emphysema.1 The most common etiology is a fracture of the orbital wall that permits air entry from the paranasal sinuses. However, it has been documented in patients who suffered direct conjunctival injury from compressed air and those on mechanical ventilation.2 Compressed air injuries from high-pressure pneumatic instruments can force air directly into the orbit, which may dissipate along fascial planes to the face, neck, and opposite eyelid without concomitant orbital fracture. Pulmonary barotrauma from mechanical ventilation is another important cause, as high positive end-expiratory pressure causes alveolar distension and rupture. This allows air to escape into the mediastinum and potentially spread to the subcutaneous tissues of the chest wall, head, and neck.3 In cases of severe diffuse subcutaneous emphysema affecting the face, the laxity of the subconjunctival tissues allows air to enter the subconjunctival space. However, it is often obscured due to superimposed periorbital emphysema.4 Less common causes include Valsalva maneuvers (nose-blowing, instrument-playing), otorhinolaryngologic surgeries, paranasal sinusitis, esophageal rupture, and factitious disorder.4,5

Diagnosis of subconjunctival emphysema is largely clinical, as palpable crepitus of the eyelids is pathognomonic. Visual inspection of air pockets in the subconjunctival space is depicted in the literature and was noted in our patient. CT is an important diagnostic tool to assess the presence of air as well as orbital anatomy in the setting of known trauma. Though orbital emphysema was not present in our patient, it is a common additional finding, especially in patients with orbital fractures. Most orbital and subconjunctival emphysema cases resolve spontaneously and do not require any treatment. However, it is prudent to assess visual acuity and extraocular muscle motility so that ophthalmologic emergencies can be recognized and managed swiftly.6

We postulate that our patient’s right-sided pneumothorax occurred due to the right-sided rib fracture. Puncture of the parietal and visceral pleura of the right lung allowed air to spread diffusely throughout the subcutaneous tissue and into the mediastinum. Endotracheal intubation and bag ventilation exacerbated these findings, including bilateral subconjunctival emphysema and left-sided pneumothorax.

Conclusion

We present a case of diffuse subcutaneous and subconjunctival emphysema in the setting of pneumothorax following blunt chest trauma requiring bilateral thoracostomy, with subsequent improvement in subcutaneous and subconjunctival emphysema.

Lessons Learned

While subconjunctival emphysema is largely pathognomonic for orbital fracture, it can occur via any injury that creates a connection between subcutaneous and subconjunctival tissue planes.

Authors

Philip GJa,b,c; Foerster Ka,b; Wienclaw Ba,d; Nguyen MTa,c; Gilbert BWa; Nesmith BLWe; Waswick WAa,b,c; Hunt DLSa,b,c

Author Affiliations

  1. Department of Acute Care Trauma and Surgery, Wesley Medical Center, Wichita, KS 67214
  2. University of Kansas Wichita General Surgery Residency, Wichita, KS 67214
  3. Kansas Surgical Consultants, Wichita, KS 67208
  4. Kansas City University of Medicine and Biosciences, Kansas City, MO 64106
  5. Vitreo-Retinal Consultants and Surgeons, Wichita, KS 67214

Corresponding Author

George J. Philip, MD, MPH
Alegent Creighton Clinic
7710 Mercy Road
Ste. 2000
Omaha, NE 68124
Email: george.philip@commonspirit.org

Disclosure Statement

The authors have no conflicts of interest to disclose.

Funding/Support

The authors have no relevant financial relationships or in-kind support to disclose.

Received: February 6, 2021
Revision received: June 11, 2021
Accepted: July 13, 2021

References

  1. Ababneh OH. Orbital, subconjunctival, and subcutaneous emphysema after an orbital floor fracture. Clin Ophthalmol. 2013;7:1077-1079. doi:10.2147/OPTH.S44649
  2. Biger Y, Abulafia C. Subconjunctival emphysema due to trauma by compressed air tube. Br J Ophthalmol. 1986;70(3):227-228. doi:10.1136/bjo.70.3.227
  3. Zimmer-Galler IE, Bartley GB. Orbital emphysema: case reports and review of the literature. Mayo Clin Proc. 1994;69(2):115-121. doi:10.1016/s0025-6196(12)61036-2
  4. Woolley PD. Subconjunctival emphysema. Postgrad Med J. 1985;61(719):805. doi:10.1136/pgmj.61.719.805
  5. Roelofs KA, Starks V, Yoon MK. Orbital Emphysema: A Case Report and Comprehensive Review of the Literature. Ophthalmic Plast Reconstr Surg. 2019;35(1):1-6. doi:10.1097/IOP.0000000000001216
  6. Ariyoshi Y, Naito H, Yumoto T, et al. Orbital Emphysema as a Consequence of Forceful Nose-Blowing: Report of a Case. Case Rep Emerg Med. 2019;2019:4383086. Published 2019 Jun 18. doi:10.1155/2019/4383086